Magnetic Resonance-Guided Radiation Therapy for Head and Neck Cancers
Abstract
1. Introduction
2. Baseline Evaluation
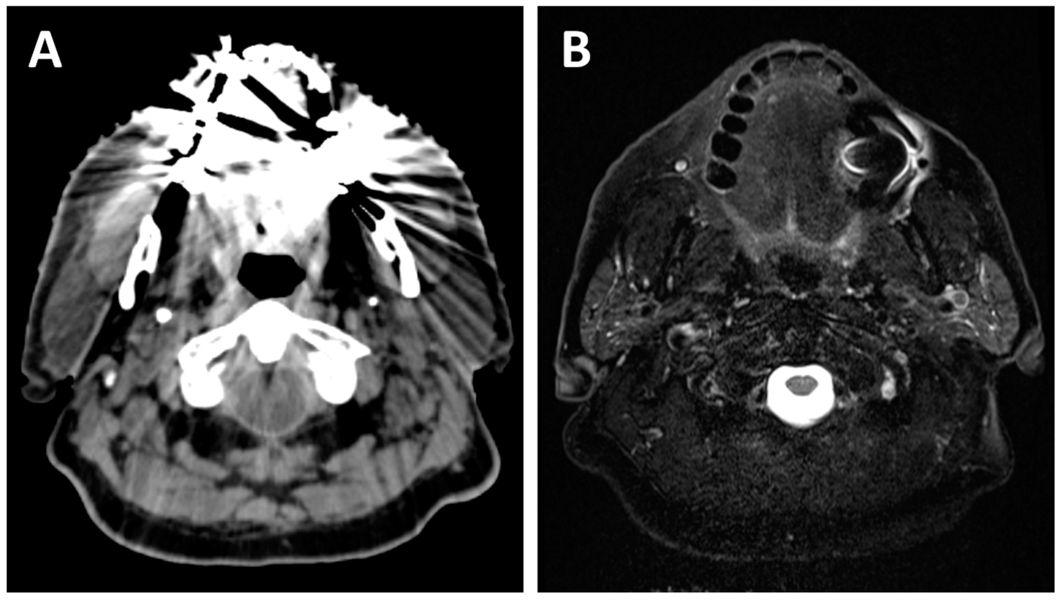
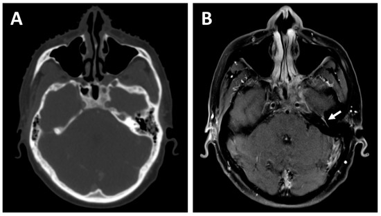
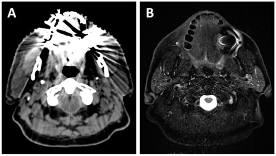
2.1. Local Extension
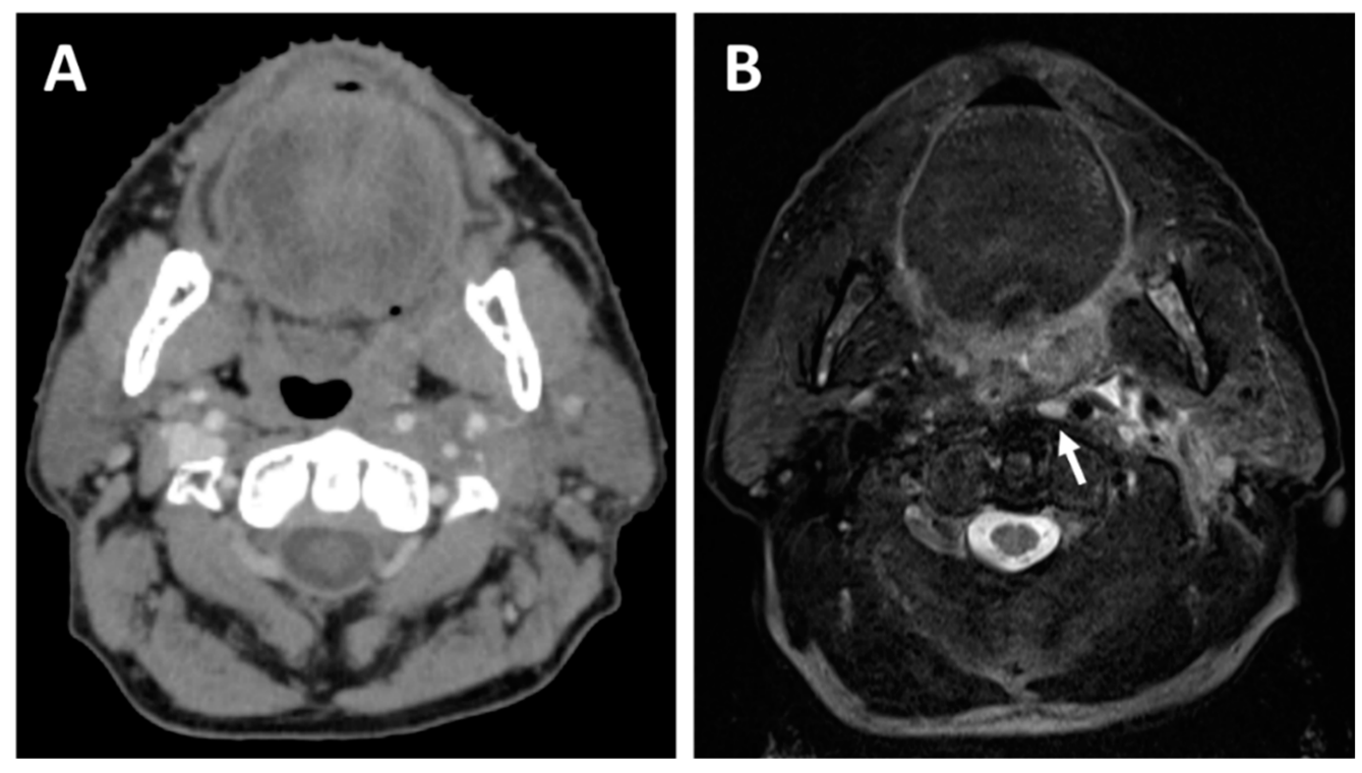
2.2. Lymph Node Evaluation
2.3. Treatment Planning
3. Treatment Adaptation
3.1. CT-Based Treatment Adaptation
3.2. MRI-Based Treatment Adaptation
3.2.1. Anatomical Adaptation
3.2.2. Functional Adaptation
3.2.3. Hypofractionation
4. Assessment of Response
4.1. Before Treatments
4.2. During Treatments
4.3. After Treatments
5. Current Challenges and Limitations
6. Conclusions
Author Contributions
Funding
Acknowledgments
Conflicts of Interest
References
- National Comprehensive Cancer Network. Head and Neck Cancers (Version 2.2022). Available online: https://www.nccn.org/professionals/physician_gls/pdf/head-and-neck.pdf (accessed on 15 August 2022).
- Gupta, T.; Sinha, S.; Ghosh-Laskar, S.; Budrukkar, A.; Mummudi, N.; Swain, M.; Phurailatpam, R.; Prabhash, K.; Agarwal, J.P. Intensity-modulated radiation therapy versus three-dimensional conformal radiotherapy in head and neck squamous cell carcinoma: Long-term and mature outcomes of a prospective randomized trial. Radiat. Oncol. 2020, 15, 218. [Google Scholar] [CrossRef]
- Grégoire, V.; Guckenberger, M.; Haustermans, K.; Lagendijk, J.J.W.; Ménard, C.; Pötter, R.; Slotman, B.J.; Tanderup, K.; Thorwarth, D.; van Herk, M.; et al. Image guidance in radiation therapy for better cure of cancer. Mol. Oncol. 2020, 14, 1470–1491. [Google Scholar] [CrossRef]
- Jensen, K.; Friborg, J.; Hansen, C.R.; Samsøe, E.; Johansen, J.; Andersen, M.; Smulders, B.; Andersen, E.; Nielsen, M.S.; Eriksen, J.G.; et al. The Danish Head and Neck Cancer Group (DAHANCA) 2020 radiotherapy guidelines. Radiother. Oncol. 2020, 151, 149–151. [Google Scholar] [CrossRef] [PubMed]
- Winkel, D.; Bol, G.H.; Kroon, P.S.; van Asselen, B.; Hackett, S.S.; Werensteijn-Honingh, A.M.; Intven, M.P.W.; Eppinga, W.S.C.; Tijssen, R.H.N.; Kerkmeijer, L.G.W.; et al. Adaptive radiotherapy: The Elekta Unity MR-linac concept. Clin. Transl. Radiat. Oncol. 2019, 18, 54–59. [Google Scholar] [CrossRef] [PubMed]
- Kim, S.Y.; Beer, M.; Tshering Vogel, D.W. Imaging in head and neck cancers: Update for non-radiologist. Oral Oncol. 2021, 120, 105434. [Google Scholar] [CrossRef] [PubMed]
- Junn, J.C.; Soderlund, K.A.; Glastonbury, C.M. Imaging of Head and Neck Cancer With CT, MRI, and US. Semin. Nucl. Med. 2021, 51, 3–12. [Google Scholar] [CrossRef] [PubMed]
- Bakst, R.L.; Glastonbury, C.M.; Parvathaneni, U.; Katabi, N.; Hu, K.S.; Yom, S.S. Perineural Invasion and Perineural Tumor Spread in Head and Neck Cancer. Int. J. Radiat. Oncol. Biol. Phys. 2019, 103, 1109–1124. [Google Scholar] [CrossRef] [PubMed]
- Hanna, E.; Vural, E.; Prokopakis, E.; Carrau, R.; Snyderman, C.; Weissman, J. The sensitivity and specificity of high-resolution imaging in evaluating perineural spread of adenoid cystic carcinoma to the skull base. Arch. Otolaryngol. Head Neck Surg. 2007, 133, 541–545. [Google Scholar] [CrossRef]
- Schroeder, C.; Lee, J.H.; Tetzner, U.; Seidel, S.; Kim, S.Y. Comparison of diffusion-weighted MR imaging and (18)F Fluorodeoxyglucose PET/CT in detection of residual or recurrent tumors and delineation of their local spread after (chemo) radiotherapy for head and neck squamous cell carcinoma. Eur. J. Radiol. 2020, 130, 109157. [Google Scholar] [CrossRef] [PubMed]
- Wippold, F.J., 2nd. Head and neck imaging: The role of CT and MRI. J. Magn. Reson. Imaging 2007, 25, 453–465. [Google Scholar] [CrossRef]
- Forghani, R.; Yu, E.; Levental, M.; Som, P.M.; Curtin, H.D. Imaging evaluation of lymphadenopathy and patterns of lymph node spread in head and neck cancer. Expert Rev. Anticancer Ther. 2015, 15, 207–224. [Google Scholar] [CrossRef] [PubMed]
- Lee, J.; Emmett, L.; Tang, R.; Ho, B.; Earls, P.; Matthews, T.; Gallagher, R. Prospective evaluation of the impact of human papilloma virus status and small node size on the diagnostic accuracy of 18F-fluorodeoxyglucose positron emission tomography/computed tomography for primary head and neck squamous cell carcinoma. ANZ J. Surg. 2020, 90, 1396–1401. [Google Scholar] [CrossRef]
- Zhou, Y.; Yu, T.; Rui, X.; Jin, T.; Huang, Z.; Huang, Z. Effectiveness of diffusion-weighted imaging in predicting cervical lymph node metastasis in head and neck malignancies. Oral Surg. Oral Med. Oral Pathol. Oral Radiol. 2021, 131, 122–129.e2. [Google Scholar] [CrossRef]
- Treutlein, C.; Stollberg, A.; Scherl, C.; Agaimy, A.; Ellmann, S.; Iro, H.; Lell, M.; Uder, M.; Bäuerle, T. Diagnostic value of 3D dynamic contrast-enhanced magnetic resonance imaging in lymph node metastases of head and neck tumors: A correlation study with histology. Acta Radiol. Open 2020, 9, 2058460120951966. [Google Scholar] [CrossRef] [PubMed]
- Abdel Razek, A.A.; Gaballa, G. Role of perfusion magnetic resonance imaging in cervical lymphadenopathy. J. Comput. Assist. Tomogr. 2011, 35, 21–25. [Google Scholar] [CrossRef]
- Dirix, P.; Haustermans, K.; Vandecaveye, V. The Value of Magnetic Resonance Imaging for Radiotherapy Planning. Semin. Radiat. Oncol. 2014, 24, 151–159. [Google Scholar] [CrossRef] [PubMed]
- Jović, A.; Fila, J.; Gršić, K.; Ivkić, M.; Ozretić, D. Diffusion-weighted MRI: Impact of the size of the ROI in detecting metastases in subcentimeter lymph nodes in head and neck squamous cell carcinoma. Neuroradiology 2020, 62, 987–994. [Google Scholar] [CrossRef]
- Abdel-Halim, C.N.; Rosenberg, T.; Dyrvig, A.K.; Høilund-Carlsen, P.F.; Sørensen, J.A.; Rohde, M.; Godballe, C. Diagnostic accuracy of imaging modalities in detection of histopathological extranodal extension: A systematic review and meta-analysis. Oral Oncol. 2021, 114, 105169. [Google Scholar] [CrossRef]
- Park, S.I.; Guenette, J.P.; Suh, C.H.; Hanna, G.J.; Chung, S.R.; Baek, J.H.; Lee, J.H.; Choi, Y.J. The diagnostic performance of CT and MRI for detecting extranodal extension in patients with head and neck squamous cell carcinoma: A systematic review and diagnostic meta-analysis. Eur. Radiol. 2021, 31, 2048–2061. [Google Scholar] [CrossRef]
- Grégoire, V.; Ang, K.; Budach, W.; Grau, C.; Hamoir, M.; Langendijk, J.A.; Lee, A.; Le, Q.T.; Maingon, P.; Nutting, C.; et al. Delineation of the neck node levels for head and neck tumors: A 2013 update. DAHANCA, EORTC, HKNPCSG, NCIC CTG, NCRI, RTOG, TROG consensus guidelines. Radiother. Oncol. 2014, 110, 172–181. [Google Scholar] [CrossRef] [PubMed]
- Kim, J.H.; Choi, K.Y.; Lee, S.H.; Lee, D.J.; Park, B.J.; Yoon, D.Y.; Rho, Y.S. The value of CT, MRI, and PET-CT in detecting retropharyngeal lymph node metastasis of head and neck squamous cell carcinoma. BMC Med. Imaging 2020, 20, 88. [Google Scholar] [CrossRef] [PubMed]
- Iyizoba-Ebozue, Z.; Murray, L.J.; Arunsingh, M.; Dyker, K.E.; Vaidyanathan, S.; Scarsbrook, A.F.; Prestwich, R.J.D. Retropharyngeal Lymph Node Involvement in Oropharyngeal Carcinoma: Impact upon Risk of Distant Metastases and Survival Outcomes. Cancers 2019, 12, 83. [Google Scholar] [CrossRef] [PubMed]
- Lin, T.A.; Garden, A.S.; Elhalawani, H.; Elgohari, B.; Jethanandani, A.; Ng, S.P.; Mohamed, A.S.; Frank, S.J.; Glisson, B.S.; Debnam, J.M.; et al. Radiographic retropharyngeal lymph node involvement in HPV-associated oropharyngeal carcinoma: Patterns of involvement and impact on patient outcomes. Cancer 2019, 125, 1536–1546. [Google Scholar] [CrossRef] [PubMed]
- Samuels, S.E.; Vainshtein, J.; Spector, M.E.; Ibrahim, M.; McHugh, J.B.; Tao, Y.; Schipper, M.; Worden, F.; Eisbruch, A. Impact of retropharyngeal adenopathy on distant control and survival in HPV-related oropharyngeal cancer treated with chemoradiotherapy. Radiother. Oncol. 2015, 116, 75–81. [Google Scholar] [CrossRef]
- Grégoire, V.; Evans, M.; Le, Q.T.; Bourhis, J.; Budach, V.; Chen, A.; Eisbruch, A.; Feng, M.; Giralt, J.; Gupta, T.; et al. Delineation of the primary tumour Clinical Target Volumes (CTV-P) in laryngeal, hypopharyngeal, oropharyngeal and oral cavity squamous cell carcinoma: AIRO, CACA, DAHANCA, EORTC, GEORCC, GORTEC, HKNPCSG, HNCIG, IAG-KHT, LPRHHT, NCIC CTG, NCRI, NRG Oncology, PHNS, SBRT, SOMERA, SRO, SSHNO, TROG consensus guidelines. Radiother. Oncol. 2018, 126, 3–24. [Google Scholar] [CrossRef]
- Jensen, K.; Al-Farra, G.; Dejanovic, D.; Eriksen, J.G.; Loft, A.; Hansen, C.R.; Pameijer, F.A.; Zukauskaite, R.; Grau, C. Imaging for Target Delineation in Head and Neck Cancer Radiotherapy. Semin. Nucl. Med. 2021, 51, 59–67. [Google Scholar] [CrossRef] [PubMed]
- Brouwer, C.L.; Steenbakkers, R.J.H.M.; Bourhis, J.; Budach, W.; Grau, C.; Grégoire, V.; van Herk, M.; Lee, A.; Maingon, P.; Nutting, C.; et al. CT-based delineation of organs at risk in the head and neck region: DAHANCA, EORTC, GORTEC, HKNPCSG, NCIC CTG, NCRI, NRG Oncology and TROG consensus guidelines. Radiother. Oncol. 2015, 117, 83–90. [Google Scholar] [CrossRef]
- Chung, N.N.; Ting, L.L.; Hsu, W.C.; Lui, L.T.; Wang, P.M. Impact of magnetic resonance imaging versus CT on nasopharyngeal carcinoma: Primary tumor target delineation for radiotherapy. Head Neck 2004, 26, 241–246. [Google Scholar] [CrossRef]
- Ahmed, M.; Schmidt, M.; Sohaib, A.; Kong, C.; Burke, K.; Richardson, C.; Usher, M.; Brennan, S.; Riddell, A.; Davies, M.; et al. The value of magnetic resonance imaging in target volume delineation of base of tongue tumours—A study using flexible surface coils. Radiother. Oncol. 2010, 94, 161–167. [Google Scholar] [CrossRef]
- Biau, J.; Lapeyre, M.; Troussier, I.; Budach, W.; Giralt, J.; Grau, C.; Kazmierska, J.; Langendijk, J.A.; Ozsahin, M.; O’Sullivan, B.; et al. Selection of lymph node target volumes for definitive head and neck radiation therapy: A 2019 Update. Radiother. Oncol. 2019, 134, 1–9. [Google Scholar] [CrossRef]
- Lee, A.W.; Ng, W.T.; Pan, J.J.; Poh, S.S.; Ahn, Y.C.; AlHussain, H.; Corry, J.; Grau, C.; Grégoire, V.; Harrington, K.J.; et al. International guideline for the delineation of the clinical target volumes (CTV) for nasopharyngeal carcinoma. Radiother. Oncol. 2018, 126, 25–36. [Google Scholar] [CrossRef]
- Blinde, S.; Mohamed, A.S.R.; Al-Mamgani, A.; Newbold, K.; Karam, I.; Robbins, J.R.; Thomson, D.; Raaijmakers, N.; Fuller, C.D.; Terhaard, C. Interobserver Variation in the International MRI Linear Accelerator Oropharyngeal Carcinoma Delineation Study. Int. J. Radiat. Oncol. Biol. Phys. 2018, 100, 1362. [Google Scholar] [CrossRef]
- Rasch, C.R.; Steenbakkers, R.J.; Fitton, I.; Duppen, J.C.; Nowak, P.J.; Pameijer, F.A.; Eisbruch, A.; Kaanders, J.H.; Paulsen, F.; van Herk, M. Decreased 3D observer variation with matched CT-MRI, for target delineation in Nasopharynx cancer. Radiat. Oncol. 2010, 5, 21. [Google Scholar] [CrossRef] [PubMed]
- Lee, C.; Langen, K.M.; Lu, W.; Haimerl, J.; Schnarr, E.; Ruchala, K.J.; Olivera, G.H.; Meeks, S.L.; Kupelian, P.A.; Shellenberger, T.D.; et al. Assessment of parotid gland dose changes during head and neck cancer radiotherapy using daily megavoltage computed tomography and deformable image registration. Int. J. Radiat. Oncol. Biol. Phys. 2008, 71, 1563–1571. [Google Scholar] [CrossRef]
- Castelli, J.; Simon, A.; Louvel, G.; Henry, O.; Chajon, E.; Nassef, M.; Haigron, P.; Cazoulat, G.; Ospina, J.D.; Jegoux, F.; et al. Impact of head and neck cancer adaptive radiotherapy to spare the parotid glands and decrease the risk of xerostomia. Radiat. Oncol. 2015, 10, 6. [Google Scholar] [CrossRef] [PubMed]
- Grepl, J.; Sirak, I.; Vosmik, M.; Tichy, A. The Changes in Pharyngeal Constrictor Muscles Related to Head and Neck Radiotherapy: A Systematic Review. Technol. Cancer Res. Treat. 2020, 19, 1533033820945805. [Google Scholar] [CrossRef]
- Chen, A.M.; Daly, M.E.; Cui, J.; Mathai, M.; Benedict, S.; Purdy, J.A. Clinical outcomes among patients with head and neck cancer treated by intensity-modulated radiotherapy with and without adaptive replanning. Head Neck 2014, 36, 1541–1546. [Google Scholar] [CrossRef] [PubMed]
- Mahmoud, O.; Reis, I.M.; Samuels, M.M.; Elsayyad, N.; Bossart, E.; Both, J.; ELGhoneimy, E.; Moustafa, M.; AbdAllah, M.; Takita, C. Prospective Pilot Study Comparing the Need for Adaptive Radiotherapy in Unresected Bulky Disease and in Postoperative Patients with Head and Neck Cancer. Technol. Cancer Res. Treat. 2017, 16, 1014–1021. [Google Scholar] [CrossRef]
- Schwartz, D.L.; Garden, A.S.; Thomas, J.; Chen, Y.; Zhang, Y.; Lewin, J.; Chambers, M.S.; Dong, L. Adaptive Radiotherapy for Head-and-Neck Cancer: Initial Clinical Outcomes from a Prospective Trial. Int. J. Radiat. Oncol. Biol. Phys. 2012, 83, 986–993. [Google Scholar] [CrossRef]
- Subesinghe, M.; Scarsbrook, A.F.; Sourbron, S.; Wilson, D.J.; McDermott, G.; Speight, R.; Roberts, N.; Carey, B.; Forrester, R.; Gopal, S.V.; et al. Alterations in anatomic and functional imaging parameters with repeated FDG PET-CT and MRI during radiotherapy for head and neck cancer: A pilot study. BMC Cancer 2015, 15, 137. [Google Scholar] [CrossRef][Green Version]
- Ding, Y.; Hazle, J.D.; Mohamed, A.S.; Frank, S.J.; Hobbs, B.P.; Colen, R.R.; Gunn, G.B.; Wang, J.; Kalpathy-Cramer, J.; Garden, A.S.; et al. Intravoxel incoherent motion imaging kinetics during chemoradiotherapy for human papillomavirus-associated squamous cell carcinoma of the oropharynx: Preliminary results from a prospective pilot study. NMR Biomed. 2015, 28, 1645–1654. [Google Scholar] [CrossRef] [PubMed]
- Mohamed, A.S.R.; Bahig, H.; Aristophanous, M.; Blanchard, P.; Kamal, M.; Ding, Y.; Cardenas, C.E.; Brock, K.K.; Lai, S.Y.; Hutcheson, K.A.; et al. Prospective in silico study of the feasibility and dosimetric advantages of MRI-guided dose adaptation for human papillomavirus positive oropharyngeal cancer patients compared with standard IMRT. Clin. Transl. Radiat. Oncol. 2018, 11, 11–18. [Google Scholar] [CrossRef] [PubMed]
- Bahig, H.; Yuan, Y.; Mohamed, A.S.R.; Brock, K.K.; Ng, S.P.; Wang, J.; Ding, Y.; Hutcheson, K.; McCulloch, M.; Balter, P.A.; et al. Magnetic Resonance-based Response Assessment and Dose Adaptation in Human Papilloma Virus Positive Tumors of the Oropharynx treated with Radiotherapy (MR-ADAPTOR): An R-IDEAL stage 2a-2b/Bayesian phase II trial. Clin. Transl. Radiat. Oncol. 2018, 13, 19–23. [Google Scholar] [CrossRef] [PubMed]
- Adaptive Radio Therapy for OroPharynx Cancer (ART-OPC). ClinicalTrials.gov Identifier: NCT04901234. Updated 6 August 2021. Available online: https://clinicaltrials.gov/ct2/show/NCT04901234 (accessed on 18 August 2022).
- MRI—Guided Adaptive RadioTHerapy for Reducing XerostomiA in Head and Neck Cancer (MARTHA-Trial). ClinicalTrials.gov Identifier: NCT03972072. Updated 17 May 2022. Available online: https://clinicaltrials.gov/ct2/show/NCT03972072 (accessed on 18 August 2022).
- Optimising Radiation Therapy in Head and Neck Cancers Using Functional Image-Guided Radiotherapy and Novel Biomarkers (INSIGHT-2). ClinicalTrials.gov Identifier: NCT04242459. Updated 22 July 2021. Available online: https://clinicaltrials.gov/ct2/show/NCT04242459 (accessed on 18 August 2022).
- Galloway, T.J.; Zhang, Q.E.; Nguyen-Tan, P.F.; Rosenthal, D.I.; Soulieres, D.; Fortin, A.; Silverman, C.L.; Daly, M.E.; Ridge, J.A.; Hammond, J.A.; et al. Prognostic Value of p16 Status on the Development of a Complete Response in Involved Oropharynx Cancer Neck Nodes after Cisplatin-Based Chemoradiation: A Secondary Analysis of NRG Oncology RTOG 0129. Int. J. Radiat. Oncol. Biol. Phys. 2016, 96, 362–371. [Google Scholar] [CrossRef]
- Fu, S.; Li, Y.; Han, Y.; Wang, H.; Chen, Y.; Yan, O.; He, Q.; Ma, H.; Liu, L.; Liu, F. Diffusion-Weighted Magnetic Resonance Imaging-Guided Dose Painting in Patients with Locoregionally Advanced Nasopharyngeal Carcinoma Treated with Induction Chemotherapy Plus Concurrent Chemoradiotherapy: A Randomized, Controlled Clinical Trial. Int. J. Radiat. Oncol. Biol. Phys. 2022, 113, 101–113. [Google Scholar] [CrossRef]
- Dose-Escalated Hypofractionated Adaptive Radiotherapy for Head and Neck Cancer (DEHART). ClinicalTrials.gov Identifier: NCT04477759. Updated 25 April 2022. Available online: https://clinicaltrials.gov/ct2/show/NCT04477759 (accessed on 18 August 2022).
- Stereotactic Boost and Short-Course Radiation Therapy for Oropharynx Cancer (SHORT-OPC). ClinicalTrials.gov Identifier: NCT04178174. Updated 26 April 2022. Available online: https://clinicaltrials.gov/ct2/show/NCT04178174 (accessed on 18 August 2022).
- Kim, S.; Loevner, L.; Quon, H.; Sherman, E.; Weinstein, G.; Kilger, A.; Poptani, H. Diffusion-Weighted Magnetic Resonance Imaging for Predicting and Detecting Early Response to Chemoradiation Therapy of Squamous Cell Carcinomas of the Head and Neck. Clin. Cancer Res. 2009, 15, 986–994. [Google Scholar] [CrossRef]
- Hatakenaka, M.; Nakamura, K.; Yabuuchi, H.; Shioyama, Y.; Matsuo, Y.; Ohnishi, K.; Sunami, S.; Kamitani, T.; Setoguchi, T.; Yoshiura, T.; et al. Pretreatment Apparent Diffusion Coefficient of the Primary Lesion Correlates with Local Failure in Head-and-Neck Cancer Treated with Chemoradiotherapy or Radiotherapy. Int. J. Radiat. Oncol. Biol. Phys. 2011, 81, 339–345. [Google Scholar] [CrossRef]
- Alfieri, S.; Romanò, R.; Bologna, M.; Calareso, G.; Corino, V.; Mirabile, A.; Ferri, A.; Bellanti, L.; Poli, T.; Marcantoni, A.; et al. Prognostic role of pre-treatment magnetic resonance imaging (MRI)-based radiomic analysis in effectively cured head and neck squamous cell carcinoma (HNSCC) patients. Acta Oncol. 2021, 60, 1192–1200. [Google Scholar] [CrossRef]
- Shukla-Dave, A.; Lee, N.Y.; Jansen, J.F.; Thaler, H.T.; Stambuk, H.E.; Fury, M.G.; Patel, S.G.; Moreira, A.L.; Sherman, E.; Karimi, S.; et al. Dynamic contrast-enhanced magnetic resonance imaging as a predictor of outcome in head-and-neck squamous cell carcinoma patients with nodal metastases. Int. J. Radiat. Oncol. Biol. Phys. 2012, 82, 1837–1844. [Google Scholar] [CrossRef]
- Martens, R.M.; Noij, D.P.; Ali, M.; Koopman, T.; Marcus, J.T.; Vergeer, M.R.; de Vet, H.; de Jong, M.C.; Leemans, C.R.; Hoekstra, O.S.; et al. Functional imaging early during (chemo)radiotherapy for response prediction in head and neck squamous cell carcinoma; a systematic review. Oral Oncol. 2019, 88, 75–83. [Google Scholar] [CrossRef]
- Schouten, C.S.; de Graaf, P.; Alberts, F.M.; Hoekstra, O.S.; Comans, E.F.; Bloemena, E.; Witte, B.I.; Sanchez, E.; Leemans, C.R.; Castelijns, J.A.; et al. Response evaluation after chemoradiotherapy for advanced nodal disease in head and neck cancer using diffusion-weighted MRI and 18F-FDG-PET-CT. Oral Oncol. 2015, 51, 541–547. [Google Scholar] [CrossRef] [PubMed]
- Yu, Y.; Mabray, M.; Silveira, W.; Shen, P.Y.; Ryan, W.R.; Uzelac, A.; Yom, S.S. Earlier and more specific detection of persistent neck disease with diffusion-weighted MRI versus subsequent PET/CT after definitive chemoradiation for oropharyngeal squamous cell carcinoma. Head Neck 2017, 39, 432–438. [Google Scholar] [CrossRef] [PubMed]
- Driessen, J.P.; van Kempen, P.M.; van der Heijden, G.J.; Philippens, M.E.; Pameijer, F.A.; Stegeman, I.; Terhaard, C.H.; Janssen, L.M.; Grolman, W. Diffusion-weighted imaging in head and neck squamous cell carcinomas: A systematic review. Head Neck 2015, 37, 440–448. [Google Scholar] [CrossRef] [PubMed]
- Volpe, S.; Pepa, M.; Zaffaroni, M.; Bellerba, F.; Santamaria, R.; Marvaso, G.; Isaksson, L.J.; Gandini, S.; Starzyńska, A.; Leonardi, M.C.; et al. Machine Learning for Head and Neck Cancer: A Safe Bet?—A Clinically Oriented Systematic Review for the Radiation Oncologist. Front. Oncol. 2021, 11, 772663. [Google Scholar] [CrossRef]
- Werth, K.; Ledbetter, L. Artificial Intelligence in Head and Neck Imaging: A Glimpse into the Future. Neuroimaging Clin. N. Am. 2020, 30, 359–368. [Google Scholar] [CrossRef]
- Gharzai, L.A.; Rosen, B.S.; Mittal, B.; Mierzwa, M.L.; Yadav, P. Magnetic Resonance Guided Radiotherapy for Head and Neck Cancers. J. Clin. Med. 2022, 11, 1388. [Google Scholar] [CrossRef]
- Boeke, S.; Mönnich, D.; van Timmeren, J.E.; Balermpas, P. MR-Guided Radiotherapy for Head and Neck Cancer: Current Developments, Perspectives, and Challenges. Front. Oncol. 2021, 11, 616156. [Google Scholar] [CrossRef]
- Ouyang, Z.; Liu Shen, Z.; Murray, E.; Kolar, M.; LaHurd, D.; Yu, N.; Joshi, N.; Koyfman, S.; Bzdusek, K.; Xia, P. Evaluation of auto-planning in IMRT and VMAT for head and neck cancer. J. Appl. Clin. Med. Phys. 2019, 20, 39–47. [Google Scholar] [CrossRef]
- Ghadimi, M.; Sapra, A. Magnetic Resonance Imaging Contraindications; StatPearls Publishing: Treasure Island, FL, USA, 2022. Available online: https://www.ncbi.nlm.nih.gov/books/NBK551669/ (accessed on 18 August 2022).
- Chin, S.; Eccles, C.L.; McWilliam, A.; Chuter, R.; Walker, E.; Whitehurst, P.; Berresford, J.; Van Herk, M.; Hoskin, P.J.; Choudhury, A. Magnetic resonance-guided radiation therapy: A review. J. Med. Imaging Radiat. Oncol. 2020, 64, 163–177. [Google Scholar] [CrossRef]
- Bruijnen, T.; Stemkens, B.; Terhaard, C.H.J.; Lagendijk, J.J.W.; Raaijmakers, C.P.J.; Tijssen, R.H.N. Intrafraction motion quantification and planning target volume margin determination of head-and-neck tumors using cine magnetic resonance imaging. Radiother. Oncol. 2019, 130, 82–88. [Google Scholar] [CrossRef]




Publisher’s Note: MDPI stays neutral with regard to jurisdictional claims in published maps and institutional affiliations. |
© 2022 by the authors. Licensee MDPI, Basel, Switzerland. This article is an open access article distributed under the terms and conditions of the Creative Commons Attribution (CC BY) license (https://creativecommons.org/licenses/by/4.0/).
Share and Cite
Lavigne, D.; Ng, S.P.; O’Sullivan, B.; Nguyen-Tan, P.F.; Filion, E.; Létourneau-Guillon, L.; Fuller, C.D.; Bahig, H. Magnetic Resonance-Guided Radiation Therapy for Head and Neck Cancers. Curr. Oncol. 2022, 29, 8302-8315. https://doi.org/10.3390/curroncol29110655
Lavigne D, Ng SP, O’Sullivan B, Nguyen-Tan PF, Filion E, Létourneau-Guillon L, Fuller CD, Bahig H. Magnetic Resonance-Guided Radiation Therapy for Head and Neck Cancers. Current Oncology. 2022; 29(11):8302-8315. https://doi.org/10.3390/curroncol29110655
Chicago/Turabian StyleLavigne, Danny, Sweet Ping Ng, Brian O’Sullivan, Phuc Felix Nguyen-Tan, Edith Filion, Laurent Létourneau-Guillon, Clifton D. Fuller, and Houda Bahig. 2022. "Magnetic Resonance-Guided Radiation Therapy for Head and Neck Cancers" Current Oncology 29, no. 11: 8302-8315. https://doi.org/10.3390/curroncol29110655
APA StyleLavigne, D., Ng, S. P., O’Sullivan, B., Nguyen-Tan, P. F., Filion, E., Létourneau-Guillon, L., Fuller, C. D., & Bahig, H. (2022). Magnetic Resonance-Guided Radiation Therapy for Head and Neck Cancers. Current Oncology, 29(11), 8302-8315. https://doi.org/10.3390/curroncol29110655

