Next Issue
Volume 12, 10
Previous Issue
Volume 12, 08
 
 
cardiovascmed-logo

Journal Browser

Journal Browser
Cardiovascular Medicine is published by MDPI from Volume 28 Issue 1 (2025). Previous articles were published by another publisher in Open Access under a CC-BY (or CC-BY-NC-ND) licence, and they are hosted by MDPI on mdpi.com as a courtesy and upon agreement with Editores Medicorum Helveticorum (EMH).

Cardiovasc. Med., Volume 12, Issue 9 (09 2009) – 7 articles

  • Issues are regarded as officially published after their release is announced to the table of contents alert mailing list.
  • You may sign up for e-mail alerts to receive table of contents of newly released issues.
  • PDF is the official format for papers published in both, html and pdf forms. To view the papers in pdf format, click on the "PDF Full-text" link, and use the free Adobe Reader to open them.
Order results
Result details
Select all
Export citation of selected articles as:
1 pages, 76 KB  
Communication
Jahresbericht 2008 der Arbeitsgruppe «Erwachsene mit Angeborenem Herzfehler» (WATCH) der SGK
by Kurt Mayer, Pedro Trigo-Trindade, Maurice Beghetti, Nicole Sekarski, René Prêtre and Markus Schwerzmann
Cardiovasc. Med. 2009, 12(9), 254; https://doi.org/10.4414/cvm.2009.01441 - 18 Sep 2009
Viewed by 97
Abstract
An der SGK 2008 in Bern wurden keine neuen ordentlichen oder ausserordentlichen Mitglieder aufgenommen [...] Full article
1 pages, 79 KB  
Communication
Jahresbericht 2008 der Arbeitsgruppe «Kardiovaskuläre Biologie» der Schweizerischen Gesellschaft für Kardiologie
by Zusammensetzung M. Matter, Marijke Brink, Brink R. Kwak Chanson, Zhihong Yang, Thierry Pedrazzini, Christian Zuppinger and Thomas M. Suter
Cardiovasc. Med. 2009, 12(9), 253; https://doi.org/10.4414/cvm.2009.01443 - 18 Sep 2009
Viewed by 100
Abstract
Tätigkeit der Arbeitsgruppe
Das wissenschaftliche Meeting 2008 hat als «14. Cardiovascular Biology and Clinical Implications Meeting» am 2. und 3 [...] Full article
2 pages, 1379 KB  
Interesting Images
My Heart Dances
by Marcus Mutschelknauss, Hans Rickli and Peter Ammann
Cardiovasc. Med. 2009, 12(9), 251; https://doi.org/10.4414/cvm.2009.01442 - 18 Sep 2009
Cited by 1 | Viewed by 106
Abstract
Case presentation
A 33-year old woman was admitted for persistent palpitations over the past six years [...] Full article
Show Figures

Figure 1

6 pages, 315 KB  
Editorial
Management der Pulmonalen Hypertonie – Was Ist neu Seit Dana Point?
by Silvia Ulrich Somaini
Cardiovasc. Med. 2009, 12(9), 245; https://doi.org/10.4414/cvm.2009.01440 - 18 Sep 2009
Viewed by 111
Abstract
Management of pulmonary hypertension – news from Dana Point
Recently, the 4th WHO conference on pulmonary hypertension (PH) was hold in Dana Point. Thereby, new treatment algorhythms were developed. Specific PH therapy with prostanoids, endothelin-receptor antagonists and phosphodiesterase-5-inhibitors is now also recommended for [...] Read more.
Management of pulmonary hypertension – news from Dana Point
Recently, the 4th WHO conference on pulmonary hypertension (PH) was hold in Dana Point. Thereby, new treatment algorhythms were developed. Specific PH therapy with prostanoids, endothelin-receptor antagonists and phosphodiesterase-5-inhibitors is now also recommended for patients with pulmonary arterial hypertension (PAH) in NYHA/WHO class II. Combination therapy is recommended for PAH patients not sufficiently responding to monotherapy, however, the best combination has still to be investigated in clinical trials. If PAH patients are stable on therapy, closely supervised training can be recommended. For chronic thromboembolic PH (CTEPH), pulmonary endarterectomy remains the treatment of choice. CTEPH patients not eligible for surgery may profit from drug therapy in analogy to PAH patients. Patients with PH due to chronic heart or lung diseases should be treated as efficiently as possible for their underlying condition. Many new compounds for the treatment of PH are currently under investigation, including sGC stimulators, thyrosin kinase inhibitors and serotonin antagonists Full article
Show Figures

Figure 1

6 pages, 264 KB  
Proceeding Paper
Lipid-Lowering Therapies and Liver Enzymes
by Delphine Stoll, Roger Darioli and Nicolas Rodondi
Cardiovasc. Med. 2009, 12(9), 239; https://doi.org/10.4414/cvm.2009.01446 - 18 Sep 2009
Viewed by 1488
Abstract
Lipid-lowering drugs, especially HMGCoA reductase inhibitors, are widely used in the treatment and prevention of cardiovascular disease. They are generally well tolerated. The main, but uncommon, adverse effects of statins are myopathy and an increase in hepatic transaminases. This review focuses on concerns [...] Read more.
Lipid-lowering drugs, especially HMGCoA reductase inhibitors, are widely used in the treatment and prevention of cardiovascular disease. They are generally well tolerated. The main, but uncommon, adverse effects of statins are myopathy and an increase in hepatic transaminases. This review focuses on concerns surrounding the safety of lipid-lowering therapy as it affects liver function. Asymptomatic statin-associated elevations in aminotransferases are common and doserelated, but they are not indicative of liver damage. Liver injury attributable to lipid-lowering therapies is very uncommon. Routine monitoring of liver function is not supported by the available evidence but is still recommended by the FDA. Decompensated cirrhosis, acute liver failure and significant cholestasis are contraindications for statin therapy, but not compensated chronic liver disease such as non-alcoholic fatty liver disease. Possible interactions (mainly with CYP3A4 inhibitors) deserve particular attention, and when statin therapy is needed the lowest effective dose should be prescribed in adults at risk for liver problems. Full article
Show Figures

Figure 1

5 pages, 462 KB  
Proceeding Paper
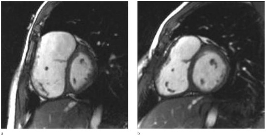
The Right Ventricle in Tetralogy of Fallot
by Emanuela Valsangiacomo Büchel and Dominik Stambach
Cardiovasc. Med. 2009, 12(9), 234; https://doi.org/10.4414/cvm.2009.01445 - 18 Sep 2009
Cited by 2 | Viewed by 291
Abstract
Surgical repair of tetralogy of Fallot (TOF) may be followed by various conditions and residual findings, early postoperatively or late during follow-up. Most of these conditions affect the right ventricular outflow tract and the pulmonary arteries and thus, indirectly, the right ventricle.
This [...] Read more.
Surgical repair of tetralogy of Fallot (TOF) may be followed by various conditions and residual findings, early postoperatively or late during follow-up. Most of these conditions affect the right ventricular outflow tract and the pulmonary arteries and thus, indirectly, the right ventricle.
This paper discusses the role of the right ventricle during the natural history of repaired TOF. The different imaging methods used to assess the function of the right ventricle in relation to this congenital heart disease are highlighted. Particular attention is focused on the volume overloaded right ventricle, as this condition is nowadays a subject of intense discussion, particularly regarding the appropriate timing for pulmonary valve replacement. The most recent literature on this topic is briefly reviewed. In summary, preservation of right ventricular function and prevention of right ventricular arrhythmias are crucial for these patients’ survival and outcome. Full article
Show Figures

Figure 1

5 pages, 166 KB  
Viewpoint
«Lies, Damn Lies, and Statistics»: Bemerkungen zu den Outcome-Zahlen des Bundesamtes für Gesundheit
by Thomas F. Lüscher
Cardiovasc. Med. 2009, 12(9), 229; https://doi.org/10.4414/cvm.2009.01444 - 18 Sep 2009
Viewed by 89
Abstract
«Lies, damn lies, and statistics»…
Benjamin Disraeli, britischer Premierminister von 1874–1880 (Abb. 1), soll diese Worte gesprochen haben, die später von Mark Twain popularisiert wurden: «There are three kinds of lies: Lies, damn lies, and statistics» [...] Full article
Show Figures

Figure 1

Previous Issue
Next Issue
Back to TopTop