- Interesting Images
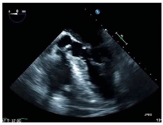
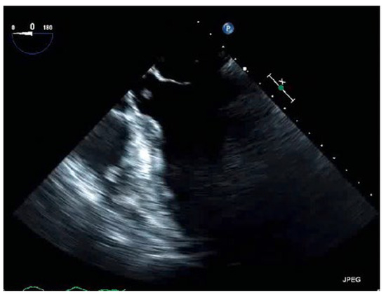
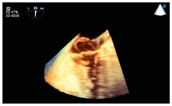
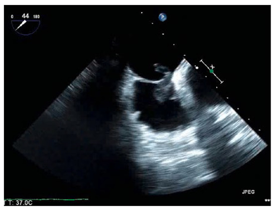
Thrombus in Transit
- Haseeb Nawaz,
- Thomas Zach,
- Bhatti Karan,
- Hariri Imad and
- Idris Owais
An 88-year-old man with a history of transient ischaemic attack, chronic kidney disease and primary hypertension presented with dyspnoea and was found to have large bilateral pulmonary emboli on a computedtomography angiogram of the chest [...]

