Thrombus in Transit
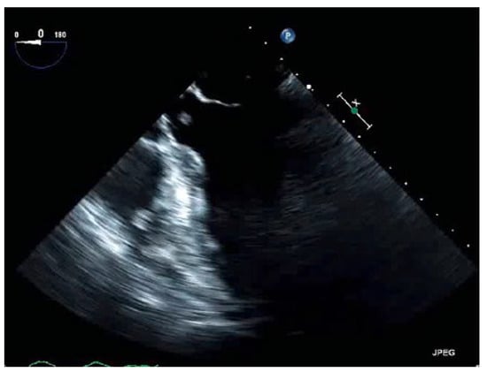
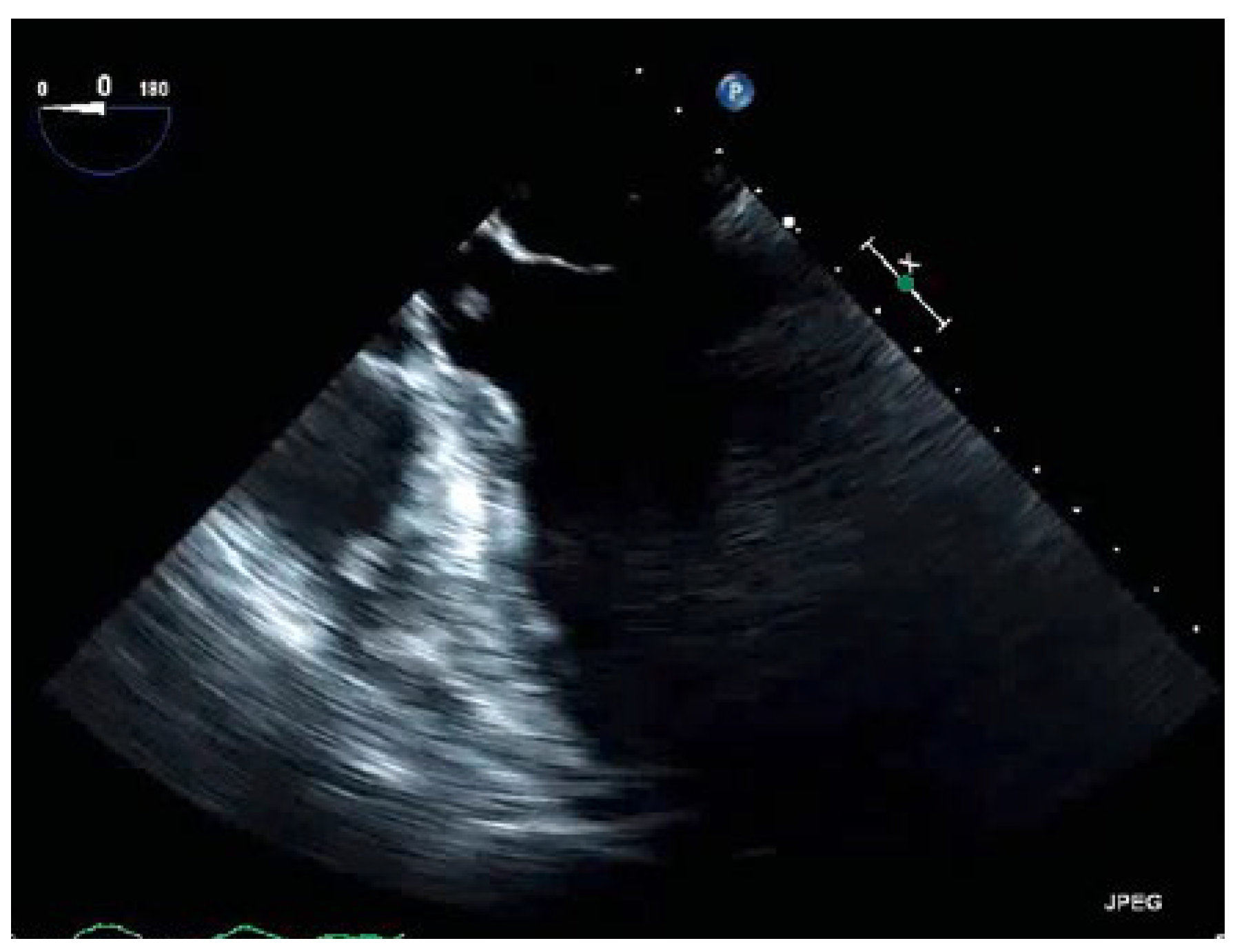
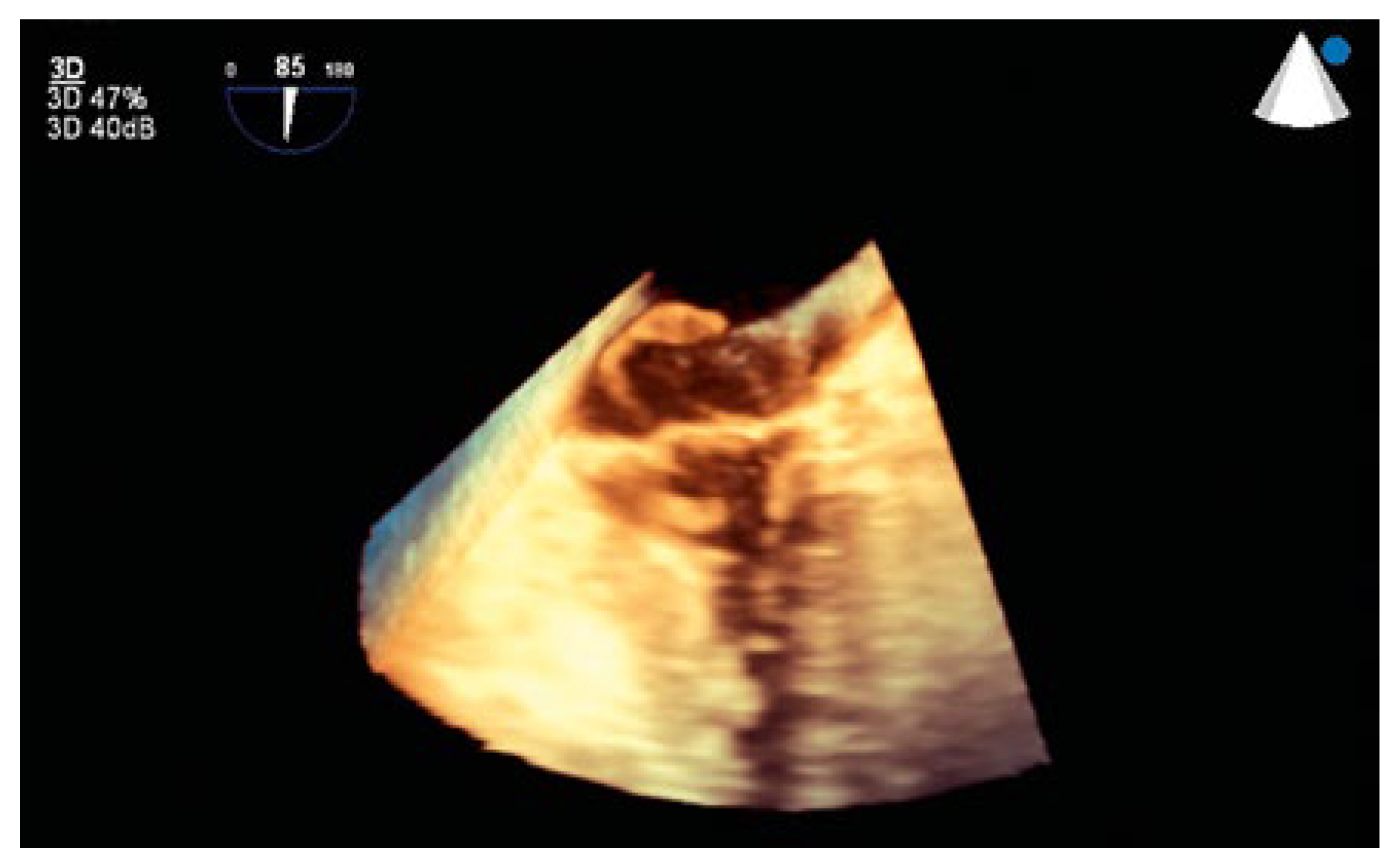
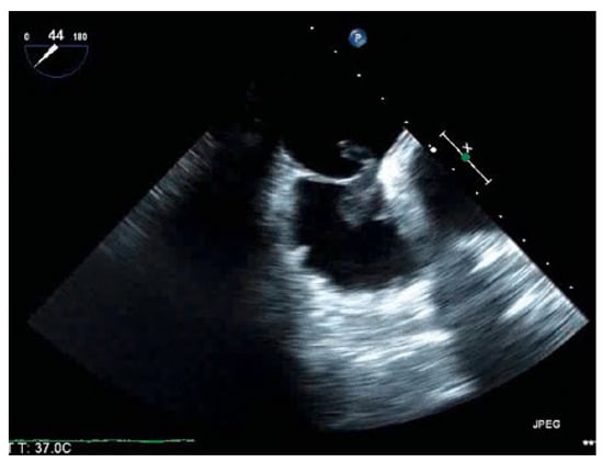
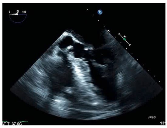
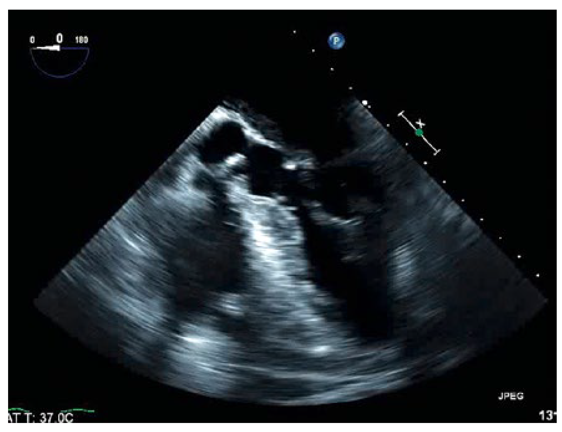
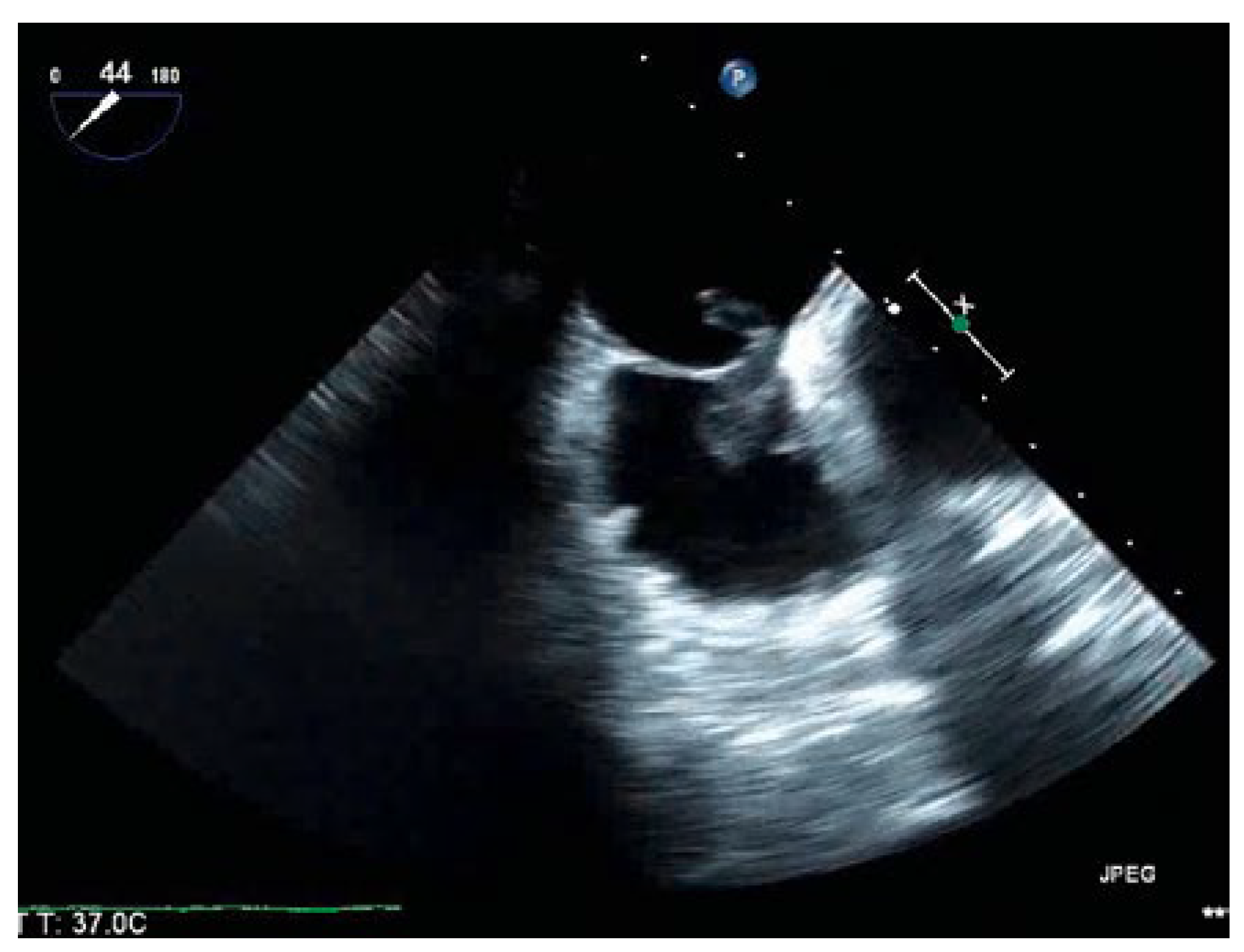
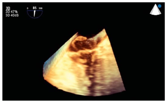
Case presentation
Discussion
Acknowledgments
Disclosure statement
References
- Wilmshurst, P.T.; de Belder, M.A. Patent foramen ovale in adult life. Br Heart J. 1994, 71, 209–212. [Google Scholar] [CrossRef] [PubMed]
- Baydoun, H.; Barakat, I.; Hatem, E.; et al. Thrombus in transit through patent foramen ovale. Case reports in cardiology 2013, 2013, 395879. [Google Scholar] [CrossRef] [PubMed]
- Fauveau, E.; Cohen, A.; Bonnet, N.; et al. Surgical or medical treatment for thrombus straddling the patent foramen ovale: Impending paradoxical embolism? Report of four clinical cases and literature review. Arch Cardiovasc Dis. 2008, 101, 637–644. [Google Scholar] [CrossRef] [PubMed]






© 2018 by the author. Attribution - Non-Commercial - NoDerivatives 4.0.
Share and Cite
Nawaz, H.; Zach, T.; Karan, B.; Imad, H.; Owais, I. Thrombus in Transit. Cardiovasc. Med. 2018, 21, 200. https://doi.org/10.4414/cvm.2018.00572
Nawaz H, Zach T, Karan B, Imad H, Owais I. Thrombus in Transit. Cardiovascular Medicine. 2018; 21(7-8):200. https://doi.org/10.4414/cvm.2018.00572
Chicago/Turabian StyleNawaz, Haseeb, Thomas Zach, Bhatti Karan, Hariri Imad, and Idris Owais. 2018. "Thrombus in Transit" Cardiovascular Medicine 21, no. 7-8: 200. https://doi.org/10.4414/cvm.2018.00572
APA StyleNawaz, H., Zach, T., Karan, B., Imad, H., & Owais, I. (2018). Thrombus in Transit. Cardiovascular Medicine, 21(7-8), 200. https://doi.org/10.4414/cvm.2018.00572
