Next Issue
Volume 20, 09
Previous Issue
Volume 20, 05
 
 
cardiovascmed-logo

Journal Browser

Journal Browser
Cardiovascular Medicine is published by MDPI from Volume 28 Issue 1 (2025). Previous articles were published by another publisher in Open Access under a CC-BY (or CC-BY-NC-ND) licence, and they are hosted by MDPI on mdpi.com as a courtesy and upon agreement with Editores Medicorum Helveticorum (EMH).

Cardiovasc. Med., Volume 20, Issue 6 (06 2017) – 7 articles

  • Issues are regarded as officially published after their release is announced to the table of contents alert mailing list.
  • You may sign up for e-mail alerts to receive table of contents of newly released issues.
  • PDF is the official format for papers published in both, html and pdf forms. To view the papers in pdf format, click on the "PDF Full-text" link, and use the free Adobe Reader to open them.
Order results
Result details
Select all
Export citation of selected articles as:
1 pages, 81 KB  
Editorial
Paul-Morawitz-Preis 2017
by Thomas F. Lüscher
Cardiovasc. Med. 2017, 20(6), 166; https://doi.org/10.4414/cvm.2017.00490 - 21 Jun 2017
Viewed by 131
Abstract
Prof. Dr. Thomas F. Lüscher, Zürich, wurde anlässlich der Jahrestagung der Deutschen Gesellschaft für Kardiologie mit dem prestigeträchtigen Paul-Morawitz-Preis 2017 ausgezeichnet [...] Full article
2 pages, 242 KB  
Editorial
Cardiovascular Roundtable, CARTA 2016: Gesundheitswesen Zwischen Regulierung und Freiem Markt
by Ruth Amstein
Cardiovasc. Med. 2017, 20(6), 164; https://doi.org/10.4414/cvm.2017.00488 - 21 Jun 2017
Viewed by 125
Abstract
Der «Cardiovascular Roundtable» (CARTA) am UniversitätsSpital Zürich will den Dialog zwischen den verschiedenen Partnern im Gesundheitswesen [...] Full article
2 pages, 208 KB  
Interesting Images
Franck’s Sign
by Florian Rey, Ulysse Voirol and Georgios Giannakopoulos
Cardiovasc. Med. 2017, 20(6), 162; https://doi.org/10.4414/cvm.2017.00485 - 21 Jun 2017
Viewed by 206
Abstract
A 61-year-old obese female with Parkinson’s disease reported recurrent chest pain and exertional dyspnoea in the previous 24 hours [...] Full article
Show Figures

Figure 1

2 pages, 200 KB  
Case Report
Remotely Navigated Ablation of RVOT Tachycardia
by Florian Spies, Sven Knecht, Tobias Reichlin, Michael Kühne and Christian Sticherling
Cardiovasc. Med. 2017, 20(6), 160; https://doi.org/10.4414/cvm.2017.00481 - 21 Jun 2017
Viewed by 150
Abstract
Ablation of tachycardia and premature ventricular contractions originating from the right ventricular outflow tract can safely be performed in patients with normal anatomy via the femoral approach. We present a case of catheter ablation in the right ventricular outflow tract in a patient [...] Read more.
Ablation of tachycardia and premature ventricular contractions originating from the right ventricular outflow tract can safely be performed in patients with normal anatomy via the femoral approach. We present a case of catheter ablation in the right ventricular outflow tract in a patient with a venous malformation of the inferior vena cava by means of remote magnetic navigation via the internal jugular vein. Full article
Show Figures

Figure 1

6 pages, 300 KB  
Review
Severe Pulmonary Embolism: Surgical Aspects
by Oliver Reuthebuch
Cardiovasc. Med. 2017, 20(6), 154; https://doi.org/10.4414/cvm.2017.00486 - 21 Jun 2017
Cited by 1 | Viewed by 197
Abstract
Severe pulmonary embolism is a life-threatening disease requiring a wellbalanced therapeutic approach. It is of upmost importance to differentiate between acute pulmonary embolism and chronic pulmonary embolism in this setting. The management of acute embolism is predominantly carried out by the internal specialist, [...] Read more.
Severe pulmonary embolism is a life-threatening disease requiring a wellbalanced therapeutic approach. It is of upmost importance to differentiate between acute pulmonary embolism and chronic pulmonary embolism in this setting. The management of acute embolism is predominantly carried out by the internal specialist, whereas the therapy of chronic pulmonary embolism is in the domain of the surgical community. Acute, untreated pulmonary embolism has a mortality of >30%, with two thirds of deaths occurring within the first 60 minutes. It is the most common cause of death without a prior clinical diagnosis because of its vague and nonspecific clinical symptoms and undefined laboratory parameters. The nature of chronic pulmonary embolism is different since it is based on recurrent pulmonary emboli without complete resolution. Five-year survival is pressure dependent, with a mere 10% survival rate in patients having a mean pulmonary arterial pressure of more than 50 mm Hg. It has an incidence of up to 3.8% in survivors of acute pulmonary embolism, as well as an incidence of >10% in patients with recurrent embolism. There are various treatment options for acute pulmonary embolism based on the haemodynamic stability or instability of the patient. If the patient is stable, anticoagulation is to be administered with a potential subsequent implantation of an inferior vena cava filter. If the patient is unstable, thrombolytic therapy has to be considered first. If this fails, mechanical embolectomy or even surgical embolectomy should be taken into account. Patients with chronic pulmonary embolism should be treated surgically with a bilateral endarterectomy of the pulmonary arteries. This is the standard and recommended treatment. The role of the emerging percutaneous pulmonary angioplasty is not yet defined and needs further evaluation. Patients suffering from acute or chronic pulmonary embolism should be transferred to a certified centre. There, specialists decide on the appropriate treatment with potential implantation of life-supporting systems (e.g., extracorporeal membrane oxygenation). Full article
Show Figures

Figure 1

8 pages, 324 KB  
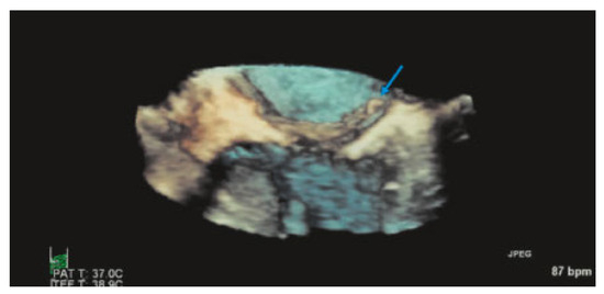
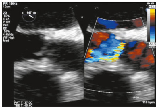
Review
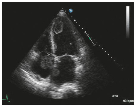
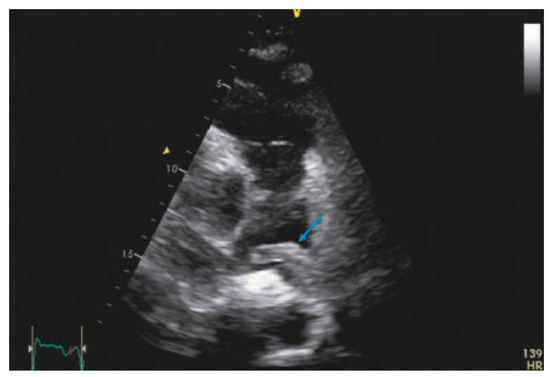
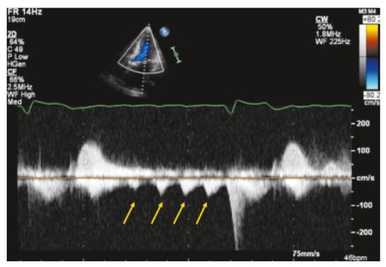
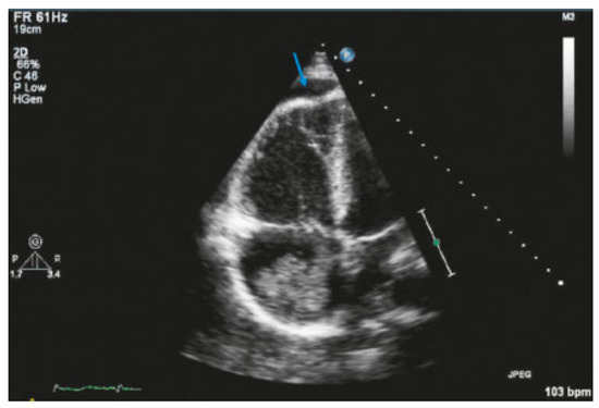
Value of Echocardiography in Differentiation of Acute Dyspnoea
by Ioannis Kapos and Felix C. Tanner
Cardiovasc. Med. 2017, 20(6), 146; https://doi.org/10.4414/cvm.2017.00489 - 21 Jun 2017
Viewed by 367
Abstract
Echocardiography is one of the most effective imaging modalities for investigation of patients with acute dyspnoea. This review summarises appropriateness criteria and current guidelines for the use of cardiac ultrasound in common clinical scenarios presenting with acute dyspnoea, and illustrates such scenarios with [...] Read more.
Echocardiography is one of the most effective imaging modalities for investigation of patients with acute dyspnoea. This review summarises appropriateness criteria and current guidelines for the use of cardiac ultrasound in common clinical scenarios presenting with acute dyspnoea, and illustrates such scenarios with typical echocardiographic findings. Full article
Show Figures

Figure 1

5 pages, 296 KB  
Editorial
Grimmige Märchen – Alternative Facts über das böse Cholesterin
by Thomas F. Lüscher
Cardiovasc. Med. 2017, 20(6), 141; https://doi.org/10.4414/cvm.2017.00487 - 21 Jun 2017
Viewed by 147
Abstract
Gelegentlich bleibt einem die Spucke weg [...] Full article
Show Figures

Figure 1

Previous Issue
Next Issue
Back to TopTop