- Case Report
Standard Pacemaker Implantation via Femoral Venous Access
- Ulysse Voirola and
- Haran Burrib
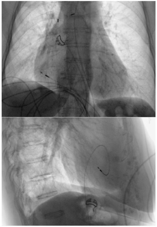
Pacemaker implantation via the femoral vein has been described since the 1980s. This technique is not very well known, but may be useful in some circumstances. We describe a case of a patient with sinus dysfunction without superior venous access, in...

