Next Issue
Volume 18, 09
Previous Issue
Volume 18, 05
 
 
cardiovascmed-logo

Journal Browser

Journal Browser
Cardiovascular Medicine is published by MDPI from Volume 28 Issue 1 (2025). Previous articles were published by another publisher in Open Access under a CC-BY (or CC-BY-NC-ND) licence, and they are hosted by MDPI on mdpi.com as a courtesy and upon agreement with Editores Medicorum Helveticorum (EMH).

Cardiovasc. Med., Volume 18, Issue 6 (06 2015) – 8 articles

  • Issues are regarded as officially published after their release is announced to the table of contents alert mailing list.
  • You may sign up for e-mail alerts to receive table of contents of newly released issues.
  • PDF is the official format for papers published in both, html and pdf forms. To view the papers in pdf format, click on the "PDF Full-text" link, and use the free Adobe Reader to open them.
Order results
Result details
Select all
Export citation of selected articles as:
2 pages, 1050 KB  
Editorial
A PCI Live Course Where It All Began: The 4th European Live Summit on Retrograde Chronic Total Occlusion Revascularization at the Andreas Grüntzig Catheterization Laboratories on May 8–9, 2015
by Oliver Gaemperli, Alfredo R. Galassi, George Sianos, Lydia Tchambaz, Ruth Amstein and Thomas F. Lüscher
Cardiovasc. Med. 2015, 18(6), 205; https://doi.org/10.4414/cvm.2015.00342 - 24 Jun 2015
Viewed by 85
Abstract
When Andreas Grüntzig did his first procedures with his innovative balloon in 1977, he dared to treat only proximal type A lesions [...] Full article
Show Figures

Figure 1

2 pages, 635 KB  
Editorial
The New Postgraduate Course in Heart Failure (PCHF)—Update on the 1st and Announcement of the 2nd PCHF Course Edition
by Lydia Tchambaz, Ruth Amstein, Francesco Maisano, Thomas F. Lüscher and Frank Ruschitzka
Cardiovasc. Med. 2015, 18(6), 203; https://doi.org/10.4414/cvm.2015.00340 - 24 Jun 2015
Viewed by 85
Abstract
Heart failure has become the major cause of hospitalisation in patients over 65 years and the new epidemic of the 21st century [...] Full article
Show Figures

Figure 1

2 pages, 370 KB  
Communication
Zum Hinschied von Prof. Dr. Med. Alfred Bollinger (1932–2015)
by Felix Mahler
Cardiovasc. Med. 2015, 18(6), 201; https://doi.org/10.4414/cvm.2015.00341 - 24 Jun 2015
Cited by 1 | Viewed by 67
Abstract
Am 3. April 2015 ist Alfred Bollinger, ehemaliger Leiter der Angiologie am UniversitätsSpital Zürich, im Alter von 83 Jahren nach tapfer ertragener Tumorkrankheit gestorben [...] Full article
3 pages, 1657 KB  
Interesting Images
Das Paradoxe EKG
by Dimitri Patriki and David Altmann
Cardiovasc. Med. 2015, 18(6), 198; https://doi.org/10.4414/cvm.2015.00338 - 24 Jun 2015
Cited by 1 | Viewed by 72
Abstract
Ein 18-jähriger, kreislaufstabiler Patient stellt sich mit einer Breitkomplextachykardie auf der Notfallstation vor [...] Full article
Show Figures

Figure 1

3 pages, 3193 KB  
Interesting Images
Recurrent Tachycardia During Pacemaker Interrogation
by Tobias Reichlin, Michael Kühne, Beat Schär and Christian Sticherling
Cardiovasc. Med. 2015, 18(6), 195; https://doi.org/10.4414/cvm.2015.00336 - 24 Jun 2015
Viewed by 71
Abstract
A 76-year-old man was seen in the pacemaker clinic for routine follow-up [...] Full article
Show Figures

Figure 1

4 pages, 266 KB  
Case Report
Exercise-Induced Syncope—Not Always Due to the Worst Cause
by Julien Regamey, Karin Seiler, Thilo Burkard and Michael Kühne
Cardiovasc. Med. 2015, 18(6), 191; https://doi.org/10.4414/cvm.2015.00335 - 24 Jun 2015
Viewed by 899
Abstract
We report the case of a healthy 16-year-old ballet dancer with a history of three episodes of syncope during physical activity as the manifestation of an exercise-induced vasodepressor syncope. This diagnosis may be hard to demonstrate in clinical practice because of the potential [...] Read more.
We report the case of a healthy 16-year-old ballet dancer with a history of three episodes of syncope during physical activity as the manifestation of an exercise-induced vasodepressor syncope. This diagnosis may be hard to demonstrate in clinical practice because of the potential poor reproducibility of the exercise test to provoke hypotension. Although most of the potentially fatal causes of exercise-induced syncope are usually well known and have a well-defined standard of care based on guidelines, vasodepressor type reflex syncope has only been described in a few case reports. The main mechanism seems to be an inappropriate peripheral vasodilation, which could be triggered by the activation of intraventricular mechanoreceptors sensitised by high circulating catecholamines in susceptible individuals. Full article
Show Figures

Figure 1

5 pages, 869 KB  
Case Report
Pulmonary Valve Stenosis Due to Undifferentiated Pleomorphic Sarcoma
by Panagiotis Antiochos, Pierre Monney, Salah Dine Qanadli, Leopold Schlueter, Samuel Rotman, Emilienne Descloux, Lars Niclauss, Michel Hurni and Olivier Muller
Cardiovasc. Med. 2015, 18(6), 186; https://doi.org/10.4414/cvm.2015.00333 - 24 Jun 2015
Cited by 2 | Viewed by 86
Abstract
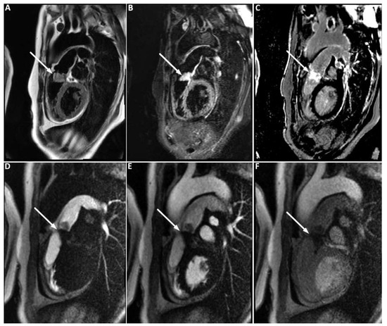
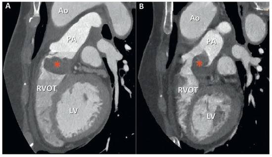
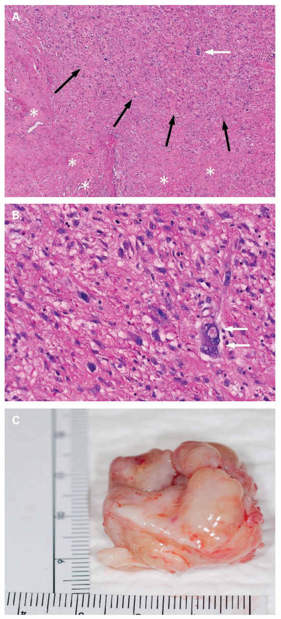
Pulmonary artery sarcomas are uncommon intracardiac tumours with poor prognosis. We report the case of a 69-year-old woman in good health presenting with rapidly progressive dyspnoea and an unfamiliar systolic murmur. Echocardiography revealed pulmonary valve stenosis due to an obstructing mobile mass. Imaging [...] Read more.
Pulmonary artery sarcomas are uncommon intracardiac tumours with poor prognosis. We report the case of a 69-year-old woman in good health presenting with rapidly progressive dyspnoea and an unfamiliar systolic murmur. Echocardiography revealed pulmonary valve stenosis due to an obstructing mobile mass. Imaging studies confirmed the presence of a contrast-enhancing lesion adherent to the valve, extending into the pulmonary trunk and right ventricular outflow tract, and suggestive of malignancy. Endovascular biopsy was attempted with no success. Surgical resection with autologous graft valve replacement and pulmonary artery reconstruction was performed. Postoperative histological examination confirmed the diagnosis of an undifferentiated pleomorphic sarcoma. Pulmonary artery sarcoma should be considered as a rare differential diagnosis in patients presenting with dyspnoea and a crescendo–decrescendo systolic murmur increasing with inspiration. Echocardiography is a useful first diagnostic approach but multi-imaging assessment is almost always necessary for definite diagnosis. Our case provides insights into the challenges met by cardiologists, radiologists and cardiac surgeons in the management of such cases. Full article
Show Figures

Figure 1

5 pages, 268 KB  
Review
Current Aspects of Atrial Fibrillation Surgery
by Christoph T. Starck, Jan Steffel, Tomas Holubec and Volkmar Falk
Cardiovasc. Med. 2015, 18(6), 181; https://doi.org/10.4414/cvm.2015.00334 - 24 Jun 2015
Viewed by 84
Abstract
Atrial fibrillation is the most common cardiac arrhythmia, with an increasing prevalence with rising age. Atrial fibrillation is associated with significant morbidity and mortality. Concomitant surgical ablation of atrial fibrillation in patients undergoing other cardiac surgical procedures is commonly practiced, with high success [...] Read more.
Atrial fibrillation is the most common cardiac arrhythmia, with an increasing prevalence with rising age. Atrial fibrillation is associated with significant morbidity and mortality. Concomitant surgical ablation of atrial fibrillation in patients undergoing other cardiac surgical procedures is commonly practiced, with high success rates, short procedure times and a low additional operative risk profile. Minimally invasive stand-alone surgical procedures for atrial fibrillation are performed less frequently, even though they represent a valid therapeutic option for certain patients, with excellent results. Surgical procedures for atrial fibrillation treatment allow the excision or exclusion of the left atrial appendage, therefore eliminating a potential source of cerebral embolic events in the case of procedural failure to abolish atrial fibrillation. The hybrid approach, which combines the advantages of catheter and surgical ablation, is a promising approach for the future. This review focuses on surgical options in the curative treatment of atrial fibrillation. Full article
Show Figures

Figure 1

Previous Issue
Next Issue
Back to TopTop