Next Issue
Volume 19, 01
Previous Issue
Volume 18, 12
 
 
cardiovascmed-logo

Journal Browser

Journal Browser
Cardiovascular Medicine is published by MDPI from Volume 28 Issue 1 (2025). Previous articles were published by another publisher in Open Access under a CC-BY (or CC-BY-NC-ND) licence, and they are hosted by MDPI on mdpi.com as a courtesy and upon agreement with Editores Medicorum Helveticorum (EMH).

Cardiovasc. Med., Volume 18, Issue 7-8 (08 2015) – 7 articles

  • Issues are regarded as officially published after their release is announced to the table of contents alert mailing list.
  • You may sign up for e-mail alerts to receive table of contents of newly released issues.
  • PDF is the official format for papers published in both, html and pdf forms. To view the papers in pdf format, click on the "PDF Full-text" link, and use the free Adobe Reader to open them.
Order results
Result details
Select all
Export citation of selected articles as:
2 pages, 485 KB  
Editorial
The EHJ’s New Impact Factor is 15.2–Surpassing Circulation and Solid No. 2 Worldwide
by Thomas F. Lüscher, Jeroen J. Bax, Suzanne Dedecke, Bernard J. Gersh, Gerhard Hindricks, Johanna Huggler, Ulf Landmesser, Amelia Meier, Sam Rogers, Frank Ruschitzka and William Wijns
Cardiovasc. Med. 2015, 18(7-8), 231; https://doi.org/10.4414/cvm.2015.00349 - 12 Aug 2015
Viewed by 847
Abstract
The European Heart Journal was founded by the European Society of Cardiology (ESC) in 1980 as its first flagship journal [...] Full article
Show Figures

Figure 1

2 pages, 272 KB  
Interesting Images
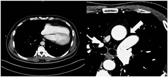
An Unusual Cause of Thromboembolic Disease
by Marc L. Fischer, Peter Matt, Beat A. Kaufmann and Arnheid Kessel-Schaefer
Cardiovasc. Med. 2015, 18(7-8), 229; https://doi.org/10.4414/cvm.2015.00348 - 12 Aug 2015
Cited by 1 | Viewed by 160
Abstract
The most frequent noncardiac sources of systemic embolism are mural thrombi within proximal aneurysms, ulcerated atherosclerotic plaques, and paradoxical emboli originating from the venous side of the circulation [...] Full article
Show Figures

Figure 1

3 pages, 448 KB  
Interesting Images
When Apical Is Parasternal, Or "Where Is the Heart?"
by Thilo Burkard and Beat A. Kaufmann
Cardiovasc. Med. 2015, 18(7-8), 226; https://doi.org/10.4414/cvm.2015.00345 - 12 Aug 2015
Viewed by 147
Abstract
A 57-year-old male presented to the medical outpatient department with typical angina pectoris Canadian Cardiovascular Society (CCS) class II and dyspnoea on exertion during the previous weeks [...] Full article
Show Figures

Figure 1

5 pages, 406 KB  
Case Report
Late Transcatheter Aortic Valve Thrombotic Obstruction
by Simon Andreas Müggler, Sabrina Gisler-Jantzen, Jörg Gasser and David Tüller
Cardiovasc. Med. 2015, 18(7-8), 222; https://doi.org/10.4414/cvm.2015.00347 - 12 Aug 2015
Viewed by 144
Abstract
Late valve thrombosis is uncommon after transcatheter aortic valve implantation. Herein, we describe such a complication after transcatheter aortic valve implantation of an Edwards SAPIEN XT aortic bioprosthesis valve. Full article
Show Figures

Figure 1

2 pages, 309 KB  
Case Report
Short Breath, Small Vessels and Big Heart—An Unusual Suspect
by Thierry Grandjean, Nicolas Brugger, Stéphane Cook and Gérard Baeriswyl
Cardiovasc. Med. 2015, 18(7-8), 220; https://doi.org/10.4414/cvm.2015.00343 - 12 Aug 2015
Viewed by 170
Abstract
In most cases, dyspnoea, chest pain and negative T waves found on ECG represent myocardial ischaemia, pulmonary embolism, left ventricular hypertrophy or pericarditis. In some cases, the cause is unusual. We discuss here the case of a 76-year-old woman presenting with chest pain [...] Read more.
In most cases, dyspnoea, chest pain and negative T waves found on ECG represent myocardial ischaemia, pulmonary embolism, left ventricular hypertrophy or pericarditis. In some cases, the cause is unusual. We discuss here the case of a 76-year-old woman presenting with chest pain and dyspnoea as symptoms of a metastatic hepatocellular carcinoma located in her right ventricular septum and incidentally found on coronary angiography. Full article
Show Figures

Figure 1

6 pages, 202 KB  
Article
Sedation During Transoesophageal Echocardiography
by Verena Schelling, Daniel Mattle, Christoph Stähli, Martin Kraus, Bernhard Meier and Fritz Widmer
Cardiovasc. Med. 2015, 18(7-8), 215; https://doi.org/10.4414/cvm.2015.00344 - 12 Aug 2015
Cited by 2 | Viewed by 547
Abstract
Background and aim: Transoesophageal echocardiography (TEE) is widely used. There is no consensus on the optimal sedation for TEE. We hypothesised that in patients undergoing TEE propofol more frequently causes a potentially dangerous drop in blood pressure than a combination of pethidine a [...] Read more.
Background and aim: Transoesophageal echocardiography (TEE) is widely used. There is no consensus on the optimal sedation for TEE. We hypothesised that in patients undergoing TEE propofol more frequently causes a potentially dangerous drop in blood pressure than a combination of pethidine a nd m idazolam. Therefore a single centre prospective randomised trial was performed.
Methods: A total of 201 patients who underwent TEE were randomised into two groups receiving either intravenous (IV) propofol (<50 years old: 50–60 mg bolus plus further boluses of 20–30 mg as required for sufficient sedation; >50 years old: 30–40 mg bolus plus further boluses of 10–20 mg as required) or a combination of IV pethidine and midazolam (IV bolus of 25 mg pethidin and 1–2 mg midazolam, further boluses of 1 mg midazolam as required). We recorded blood pressure, oxygen saturation, heart rate, duration of procedure, and complications. Patient comfort was assessed by use of a short questionnaire once consciousness was regained.
Results: The incidence of a reduction in systolic blood pressure of ≥ 30 mm Hg and to <100 mm Hg systolic was 9% in the propofol group and 6% in the pethidine/midazolam group (p = 0.43). The changes in systolic blood pressure (propofol group: –5.80% [standard deviation 20.48%], pethidine/ midazolam group: –2.27% [SD 18.20%], p = 0.13) and diastolic blood pressure ( propofol g roup: −1.28% [SD 1 4.12%], pethidine/midazolam g roup: –1.00% [SD –3.46–1.46%], p = 0.43) were not significantly different either, nor were changes in oxygen saturation and heart rate (p = 0.37 and 0.06, respectively).
There was no significant difference regarding patient satisfaction and comfort (dizziness, nausea, headache, feeling that the procedure was unpleasant, anxiety during procedure) between the groups except f or the wish for deeper anaesthesia, which was more frequent in the propofol group (p = 0.03).
Conclusions: The risk of a drop in blood pressure was on a verage 5 0% higher for propofol than for pethidine/midazolam. However, this did not reach statistical significance. Both sedation regimens turned out to be safe and well tolerated (ClincalTrials.gov number NCT01567657).
Full article
Show Figures

Figure 1

6 pages, 329 KB  
Article
Differentiating AV Nodal vs Orthodromic AV Reentrant Tachycardia
by Joelle Studer, Michael Kühne, Florian Riede, Sabrina Gisler, Benjamin Meier, Christian Sticherling, Stefan Osswald and Beat Schaer
Cardiovasc. Med. 2015, 18(7-8), 209; https://doi.org/10.4414/cvm.2015.00346 - 12 Aug 2015
Viewed by 1089
Abstract
Aim: To evaluate the usefulness of interpretation of 12-lead ECGs recorded during tachycardia and history taking to differentiate AV nodal reentrant tachycardia (AVNRT) from AV reentrant tachycardia (AVRT). Knowledge of tachycardia mechanism is crucial for counselling patients before ablation about success rates and [...] Read more.
Aim: To evaluate the usefulness of interpretation of 12-lead ECGs recorded during tachycardia and history taking to differentiate AV nodal reentrant tachycardia (AVNRT) from AV reentrant tachycardia (AVRT). Knowledge of tachycardia mechanism is crucial for counselling patients before ablation about success rates and complications.
Methods: Part one: three cardiologists on different training levels assessed
49 ECGs recorded during tachycardia in a blinded mode. Diagnosis of AVNRT or AVRT was given based solely on the ECG without knowledge of clinical setting. Part two: 55 patients filled out a questionnaire with 10 questions related to trigger factors, relief and concomitant symptoms of attacks, frequency of occurrence and familial clustering. Single questions and combinations were analysed for their ability to predict AVNRT or AVRT.
Results: Overall, 59% of the ECGs were correctly assigned. AVNRT was more often identified than AVRT (76% versus 28%, p-value <0.05). There was no significant difference between the three physicians. Questions pertaining to termination by means of the Valsalva manoeuvre or to occurrence of syncope were significantly predictive for AVNRT and AVRT, respectively, but both questions were answered positively by fewer than 50%. However, a combination of negative answers to three specific questions (no coincidence with psychic stress, no fainting and no “frog sign”) was significant and clinically meaningful for diagnosis (69% for AVRT, 33% for AVNRT, p-value 0.03).
Conclusion: Detailed analysis of an ECG registered during tachycardia and specific history taking can help to differentiate between AVNRT and AVRT, but the obtained reliability was only moderate. Full article
Show Figures

Figure 1

Previous Issue
Next Issue
Back to TopTop