Next Article in Journal
Sedation During Transoesophageal Echocardiography
Previous Article in Journal
Differentiating AV Nodal vs Orthodromic AV Reentrant Tachycardia
 
 
Cardiovascular Medicine is published by MDPI from Volume 28 Issue 1 (2025). Previous articles were published by another publisher in Open Access under a CC-BY (or CC-BY-NC-ND) licence, and they are hosted by MDPI on mdpi.com as a courtesy and upon agreement with Editores Medicorum Helveticorum (EMH).
Font Type:
Arial Georgia Verdana
Font Size:
Aa Aa Aa
Line Spacing:
Column Width:
Background:
Interesting Images

When Apical Is Parasternal, Or "Where Is the Heart?"

by
Thilo Burkard
1,2,* and
Beat A. Kaufmann
2
1
Medical Outpatient Department, University Hospital Basel, Petersgraben 4, CH-4031 Basel, Switzerland
2
Department of Cardiology, University Hospital Basel, Switzerland
*
Author to whom correspondence should be addressed.
Cardiovasc. Med. 2015, 18(7-8), 226; https://doi.org/10.4414/cvm.2015.00345
Submission received: 12 May 2015 / Revised: 12 June 2015 / Accepted: 12 July 2015 / Published: 12 August 2015
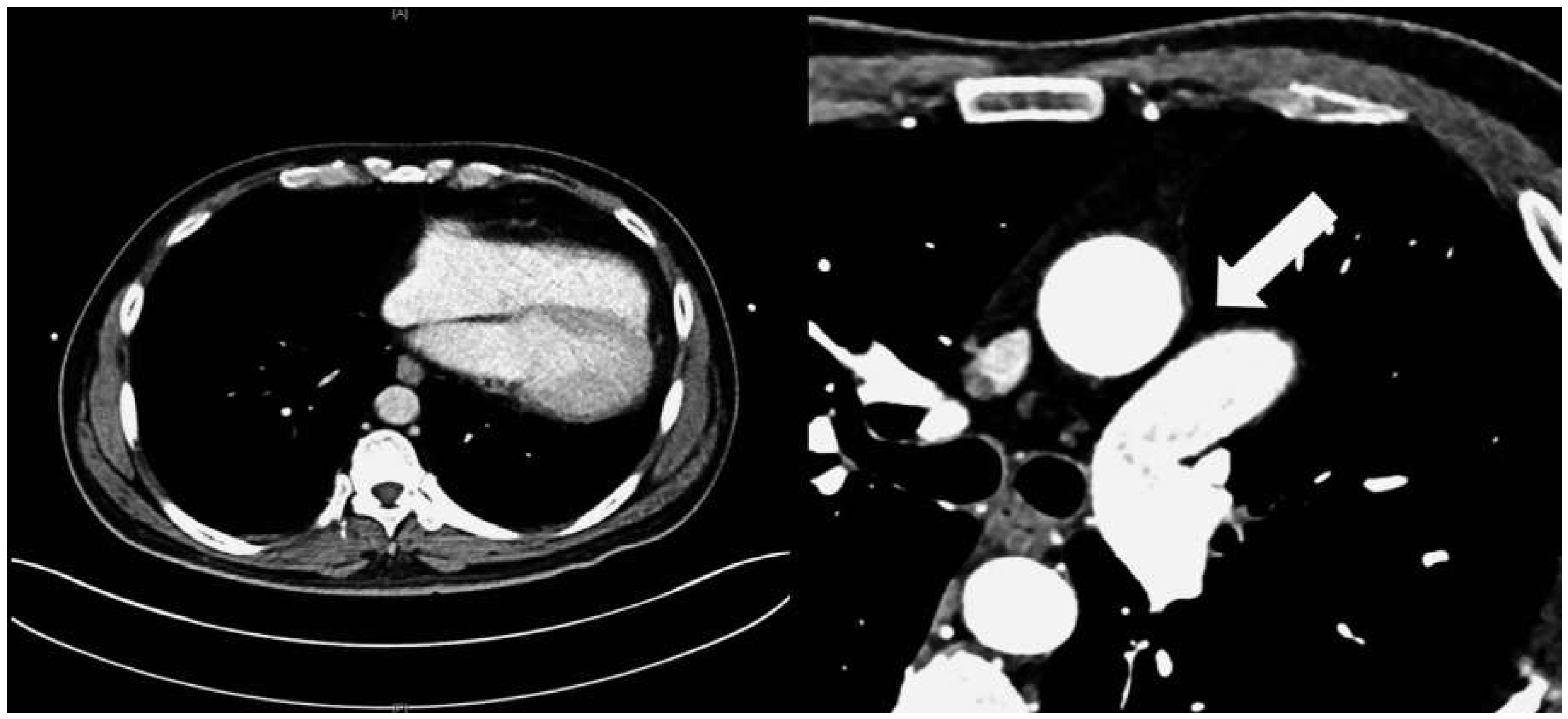
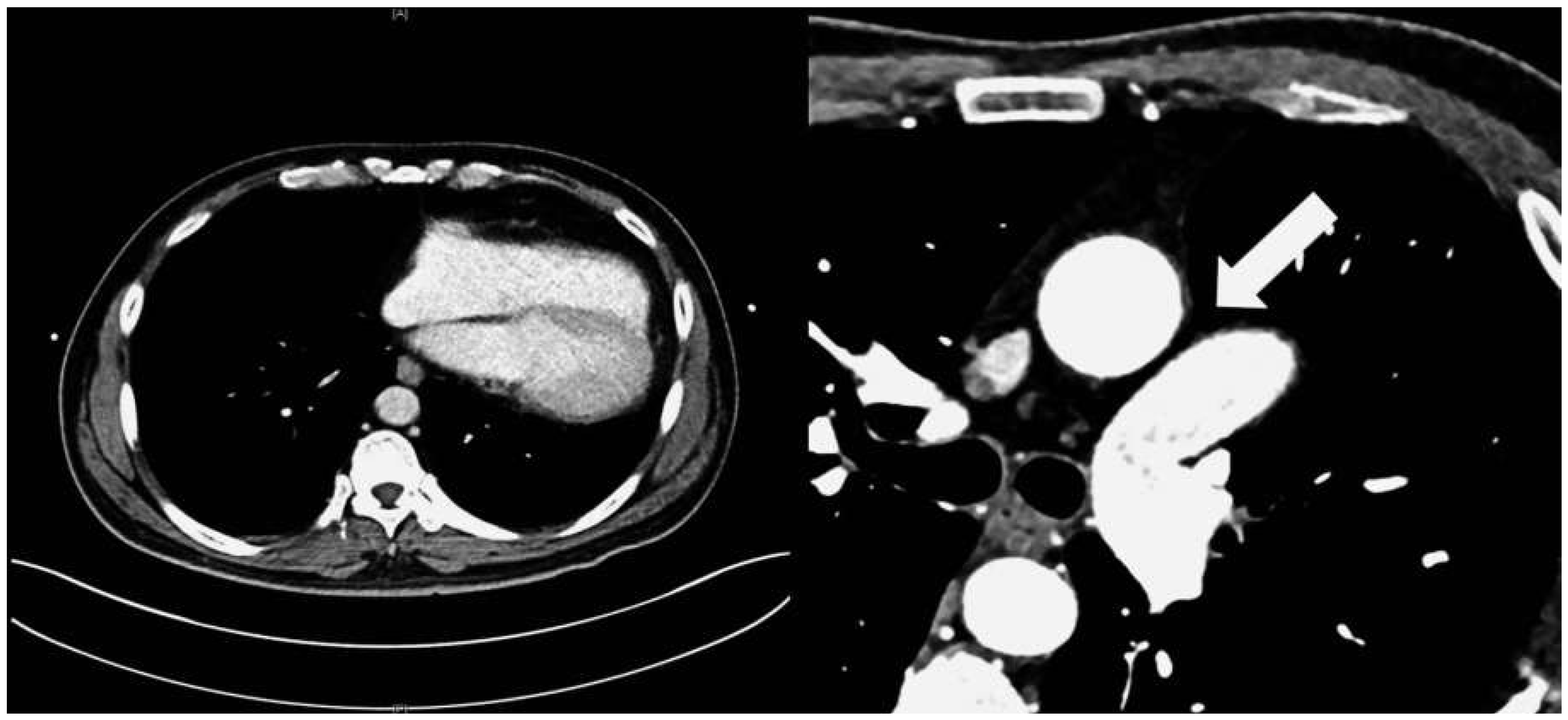
A 57-year-old male presented to the medical outpatient department with typical angina pectoris Canadian Cardiovascular Society (CCS) class II and dyspnoea on exertion during the previous weeks. Additionally he had retrosternal pain at rest and dyspnoea during the previous night. The patient had a a history of untreated arterial hypertension. On initial workup, the patient was in a stable cardiovascular condition with an office blood pressure of 150/88 mm Hg, and the cardiac examination was unremarkable. Blood tests revealed serially negative high-sensitivity troponins. Glycated haemoglobin was 6.4%, consistent with prediabetes, and lowdensity lipoprotein cholesterol was 2.5 mmol/l. An electrocardiogram (ECG) showed sinus rhythm, right axis deviation, signs of an incomplete right bundle-branch block with rR’ morphology in leads V1 to V4, and lateral displacement of the transition zone in the precordial leads, but no signs of acute ischaemia (Figure 1). On echocardiography, the image acquisition was difficult with a typical long axis view acquired in the fifth intercostal space in the midaxillary line (Figure 2) and apical views acquired from a posterolateral window (Figure 3). Computed tomography angiography (CTA) of the heart showed that the entire heart was displaced leftwards into the left hemithorax. Also evident was a lingula of lung tissue interposed between the aorta and the pulmonary artery indicating a congenitally absent pericardium (Figure 4). Additionally, the CT scan revealed coronary artery disease with soft plaques and >70% stenoses of the left anterior descending artery (LAD), the left circumflex artery (50%–70% stenosis) and the first marginal branch (>70% stenosis). Considering the diagnosis of a congenitally absent pericardium, the ECG was repeated, with leads V7–V9, showing a normal R-progression from V4 to V9 (Figure 5). Coronary angiography with primary stenting of a 95%–99% stenosis of the LAD artery and a 75%–95% stenosis of the first marginal branch resulted in complete resolution of symptoms.
Congenitally absent pericardium is a rare condition found in 1/10 000 autopsies with morphological patterns of: total bilateral absence (extremely rare); partial left absence (70%); and partial right absence (17%) [1]. It may be associated with other congenital defects such as atrial septal defects, persistant ductus arteriosus, bicuspid aortic valve or tetralogy of Fallot [2]. Most patients are asymptomatic but absent pericardium may cause paroxysmal, stabbing, nonexertional chest pain. In partial left absence severe complications may be caused by herniation of parts of the heart resulting in shortness of breath, syncope or sudden death [1,2]. On ECG, partial right bundle-branch block is common and displacement of the transition zone in the precordial leads is seen as a result of the displacement of the heart [2]. On transthoracic echocardiography, the standard views are found to be displaced leftwards as is exemplified in Figure 2. The diagnosis is usually established by use of CT or magnetic resonance tomography showing displacement of the heart into the left hemithorax and lung tissue interposed between the aorta and the main pulmonary artery [2]. In symptomatic patients, and especially in patients with risk factors or symptoms of herniation, surgical therapy with pericardioplasty may be performed [1,2]. Our patient was symptom-free after coronary angiography and no treatment due to the congenitally absent pericardium was necessary.

Funding/potential competing interests

No financial support and no other potential conflict of interest relevant to this article was reported.

References

  1. Maisch, B.1.; Seferović, P.M.; Ristić, A.D.; Erbel, R.; Rienmüller, R.; et al. Task Force on the Diagnosis and Management of Pericardial Diseases of the European Society of Cardiology. Guidelines on the diagnosis and management of pericardial diseases executive summary; the task force on the diagnosis and management of pericardial diseases of the European society of cardiology. Eur Heart J. 2004, 25, 587–610. [Google Scholar] [CrossRef] [PubMed]
  2. Gatzoulis, M.A.; Munk, M.D.; Merchant, N.; Van Arsdell, G.S.; McCrindle, B.W.; Webb, G.D. Isolated congenital absence of the pericardium: Clinical presentation, diagnosis, and management. Ann Thorac Surg. 2000, 69, 1209–1215. [Google Scholar] [CrossRef] [PubMed]
Figure 1. Initial ECG showing right axis deviation, incomplete right bundle branch block and lateral displacement of the transition zone in the precordial leads.
Figure 1. Initial ECG showing right axis deviation, incomplete right bundle branch block and lateral displacement of the transition zone in the precordial leads.
Cardiovascmed 18 00226 g001
Figure 2. Transthoracic echocardiography. Long axis view of the left ventricle acquired in a left lateral window.
Figure 2. Transthoracic echocardiography. Long axis view of the left ventricle acquired in a left lateral window.
Cardiovascmed 18 00226 g002
Figure 3. Apical four-chamber view derived from a posterolateral window.
Figure 3. Apical four-chamber view derived from a posterolateral window.
Cardiovascmed 18 00226 g003
Figure 4. Computed tomography scan showing the lateral displacement of the heart. The arrow indicats lung tissue between the aorta and the main pulmonal artery – pathognomonic sign for congenital left sided absent pericardium.
Figure 4. Computed tomography scan showing the lateral displacement of the heart. The arrow indicats lung tissue between the aorta and the main pulmonal artery – pathognomonic sign for congenital left sided absent pericardium.
Cardiovascmed 18 00226 g004
Figure 5. Resting ECG showing normal R-wave progression in the precordial leads when laterally displaced leads V7–V9 were used.
Figure 5. Resting ECG showing normal R-wave progression in the precordial leads when laterally displaced leads V7–V9 were used.
Cardiovascmed 18 00226 g005

Share and Cite

MDPI and ACS Style

Burkard, T.; Kaufmann, B.A. When Apical Is Parasternal, Or "Where Is the Heart?". Cardiovasc. Med. 2015, 18, 226. https://doi.org/10.4414/cvm.2015.00345

AMA Style

Burkard T, Kaufmann BA. When Apical Is Parasternal, Or "Where Is the Heart?". Cardiovascular Medicine. 2015; 18(7-8):226. https://doi.org/10.4414/cvm.2015.00345

Chicago/Turabian Style

Burkard, Thilo, and Beat A. Kaufmann. 2015. "When Apical Is Parasternal, Or "Where Is the Heart?"" Cardiovascular Medicine 18, no. 7-8: 226. https://doi.org/10.4414/cvm.2015.00345

APA Style

Burkard, T., & Kaufmann, B. A. (2015). When Apical Is Parasternal, Or "Where Is the Heart?". Cardiovascular Medicine, 18(7-8), 226. https://doi.org/10.4414/cvm.2015.00345

Article Metrics

Back to TopTop