Next Issue
Volume 17, 03
Previous Issue
Volume 17, 01
 
 
cardiovascmed-logo

Journal Browser

Journal Browser
Cardiovascular Medicine is published by MDPI from Volume 28 Issue 1 (2025). Previous articles were published by another publisher in Open Access under a CC-BY (or CC-BY-NC-ND) licence, and they are hosted by MDPI on mdpi.com as a courtesy and upon agreement with Editores Medicorum Helveticorum (EMH).

Cardiovasc. Med., Volume 17, Issue 2 (02 2014) – 10 articles

  • Issues are regarded as officially published after their release is announced to the table of contents alert mailing list.
  • You may sign up for e-mail alerts to receive table of contents of newly released issues.
  • PDF is the official format for papers published in both, html and pdf forms. To view the papers in pdf format, click on the "PDF Full-text" link, and use the free Adobe Reader to open them.
Order results
Result details
Select all
Export citation of selected articles as:
1 pages, 62 KB  
Communication
Swiss Society of Cardiology Cardiovascular Biology Prize
by Swiss Society of Cardiology
Cardiovasc. Med. 2014, 17(2), 68; https://doi.org/10.4414/cvm.2014.00219 - 19 Feb 2014
Viewed by 102
Abstract
The Cardiovascular Biology Prize is awarded for original research work in cardiovascular disease [...] Full article
12 pages, 1607 KB  
Communication
Almanac 2013: Cardiac Arrhythmias and Pacing—An Editorial Overview of Selected Research That Has Driven Recent Advances in Clinical Cardiology
by Reginald Liew
Cardiovasc. Med. 2014, 17(2), 56; https://doi.org/10.4414/cvm.2014.00192 - 19 Feb 2014
Viewed by 129
Abstract
Important advances have been made in the past few years in the fields of clinical cardiac electrophysiology and pacing. Researchers and clinicians have a greater understanding of the pathophysiological mechanisms underlying atrial fibrillation (AF), which has transpired into improved methods of detection, risk [...] Read more.
Important advances have been made in the past few years in the fields of clinical cardiac electrophysiology and pacing. Researchers and clinicians have a greater understanding of the pathophysiological mechanisms underlying atrial fibrillation (AF), which has transpired into improved methods of detection, risk stratification, and treatments. The introduction of novel oral anticoagulants has provided clinicians with alternative options in managing patients with AF at moderate to high thromboembolic risk and further data has been emerging on the use of catheter ablation for the treatment of symptomatic AF. Another area of intense research in the field of cardiac arrhythmias and pacing is in the use of cardiac resynchronisation therapy (CRT) for the treatment of patients with heart failure. Following the publication of major landmark randomised controlled trials reporting that CRT confers a survival advantage in patients with severe heart failure and improves symptoms, many subsequent studies have been performed to further refine the selection of patients for CRT and determine the clinical characteristics associated with a favourable response. The field of sudden cardiac death and implantable cardioverter defibrillators also continues to be actively researched, with important new epidemiological and clinical data emerging on improved methods for patient selection, r isk stratification, and management. This review covers the major recent advances in these areas related to cardiac arrhythmias and pacing. Full article
1 pages, 1512 KB  
Interesting Images
Lost in Space - Left Lateral Cardiac Displacement Due to an Unusual Cause
by Niels Holm, Esther Bächli and Tobias Hoefflinghaus
Cardiovasc. Med. 2014, 17(2), 55; https://doi.org/10.4414/cvm.2014.00223 - 19 Feb 2014
Viewed by 110
Abstract
We present a case of an incidental finding of congenital absent pericardium (CAP) [...] Full article
Show Figures

Figure 1

1 pages, 1575 KB  
Interesting Images
Unusual Complication of Transradial Coronary Angiography
by Panneerselvam Arunkumar
Cardiovasc. Med. 2014, 17(2), 54; https://doi.org/10.4414/cvm.2014.00214 - 19 Feb 2014
Viewed by 133
Abstract
A 68-year-old male with diabetes and hypertension underwent a coronary angiogram, t hrough the right radial artery approach, because of inducible ischaemia on stress testing [...] Full article
Show Figures

Figure 1

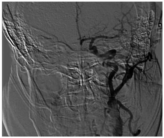
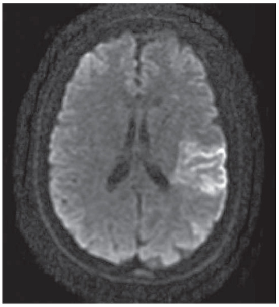
3 pages, 1632 KB  
Case Report
Mechanical Thrombectomy After Embolic Internal Carotid Artery Occlusion in Acute Stroke
by Christophe A. Wyss, Anahita Dastoor and Roberto Corti
Cardiovasc. Med. 2014, 17(2), 51; https://doi.org/10.4414/cvm.2014.00204 - 19 Feb 2014
Viewed by 360
Abstract
A 34-year old woman presented to the emergency department with a wake-up stroke, after onset of a sensomotoric paresis of the right arm and motoric aphasia [...] Full article
Show Figures

Figure 1

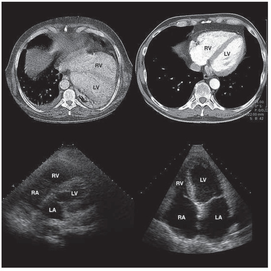
3 pages, 1623 KB  
Case Report
Quantification of Differential ECMO Return Flow Through an Axillary Artery Anastomosis Graft with Spectral Doppler Echocardiographyphy
by David G. Platts, Kiran Shekar, Bruce Thomson and John F. Fraser
Cardiovasc. Med. 2014, 17(2), 48; https://doi.org/10.4414/cvm.2014.00217 - 19 Feb 2014
Viewed by 110
Abstract
Venoarterial extracorporeal membrane oxygenation (VA-ECMO) is a specialised form of advanced cardiac life support that can be utilised in critically ill patients who require short term cardiac support. Cardiac imaging, especially with echocardiography, is fundamental to optimal management of patients supported with ECMO. [...] Read more.
Venoarterial extracorporeal membrane oxygenation (VA-ECMO) is a specialised form of advanced cardiac life support that can be utilised in critically ill patients who require short term cardiac support. Cardiac imaging, especially with echocardiography, is fundamental to optimal management of patients supported with ECMO. There are numerous cannulation options available for initiating ECMO. This case report describes the use of a transthoracic echocardiographic transducer and scanner to assess upper limb hyperperfusion in a patient with an axillary artery site for VA-ECMO return flow. The incidence, diagnosis and treatment of this vascular complication of ECMO are discussed. Full article
Show Figures

Figure 1

2 pages, 1507 KB  
Case Report
Coronary Spasm Provocation Testing: Still Useful?
by Felipe Andres Molina Jaque, Andrew Christopher Rahardja, Timothy Watson and Mark Webster
Cardiovasc. Med. 2014, 17(2), 46; https://doi.org/10.4414/cvm.2014.00213 - 19 Feb 2014
Cited by 1 | Viewed by 153
Abstract
This short and interesting case demonstrates very aptly the potential clinical utility of provocation testing for coronary artery spasm and briefly discusses the uncertainty encountered in interpreting the test. Full article
Show Figures

Figure 1

4 pages, 1594 KB  
Editorial
Role of Foetal Programming and Epigenetic Mechanisms in the Pathogenesis of Arterial Hypertension
by Emrush Rexhaj, Stefano F. Rimoldi, Roman Brenner, Agim Pireva, David Cerny, Robert Von Arx, Claudio Sartori, Urs Scherrer and Yves Allemann
Cardiovasc. Med. 2014, 17(2), 42; https://doi.org/10.4414/cvm.2014.00211 - 19 Feb 2014
Viewed by 134
Abstract
Essential hypertension remains poorly understood, despite the enormous efforts of research, which brought understanding of certain physiopathological and treatment mechanisms. New insights have emerged from recent data showing that environmental insults during (in vitro) fertilisation, foetal, perinatal and childhood periods may lead to [...] Read more.
Essential hypertension remains poorly understood, despite the enormous efforts of research, which brought understanding of certain physiopathological and treatment mechanisms. New insights have emerged from recent data showing that environmental insults during (in vitro) fertilisation, foetal, perinatal and childhood periods may lead to vascular dysfunction and hypertension later in life (the foetal programming of adult disease hypothesis, also called the “Barker hypothesis”). In line with this hypothesis, we recently reported that apparently young healthy children born after a pregnancy complicated by preeclampsia or born after in vitro fertilisation display a marked generalised vascular dysfunction, which may predispose them to premature cardiovascular morbidity and mortality. New data from animal studies strongly suggest that epigenetic alterations are important underpinning mechanisms involved in these vascular abnormalities. Preliminary animal data suggest that pharmacological interventions targeted at these epigenetic modifications may avoid premature cardiovascular morbidity and mortality. Full article
Show Figures

Figure 1

2 pages, 1591 KB  
Editorial
Wann Ist Bei Hypertonie-Patienten Eine Echokardiographie Nötig?
by David Conen
Cardiovasc. Med. 2014, 17(2), 40; https://doi.org/10.4414/cvm.2014.00210 - 19 Feb 2014
Viewed by 146
Abstract
When is echocardiography necessary? Patients with arterial hypertension frequently have cardiovascular complications. Echocardiography is needed in those patients for whom cardiac damage is suspected. However, systematic echocardiographic screening to determine left ventricular mass in patients with hypertension is not needed. Full article
Show Figures

Figure 1

3 pages, 1509 KB  
Editorial
Hypertensive Herzkrankheit – zur Diagnoseist der Nachweis Einer Linksventrikulären Hypertrophie Nicht Nötig
by Michel Zuber and Paul Erne
Cardiovasc. Med. 2014, 17(2), 37; https://doi.org/10.4414/cvm.2014.00222 - 19 Feb 2014
Viewed by 116
Abstract
This review indicates that the incidence of left ventricular hypertrophy which was a hallmark of hypertensive heart disease is decreasing. This review describes the work to assess hypertensive heart disease today. Proof of hypertension has to be documented by repetitive causal blood pressure [...] Read more.
This review indicates that the incidence of left ventricular hypertrophy which was a hallmark of hypertensive heart disease is decreasing. This review describes the work to assess hypertensive heart disease today. Proof of hypertension has to be documented by repetitive causal blood pressure or a 24h blood pressure recording. If hypertrophy in the absence of another cardiac disorder eg., a ortic stenosis, Fabry disease, noncompaction cardiomyopathy etc; c an be documented this is the indicator of heart disease. However, this is not easily assessed by simple measurement and the left ventricular mass also has to be measured. Nevertheless, alternatively additional parameters can be used such as biomarkers or strain on speckle tracking parameters which increase the diagnosis of a stiff ventricle. Thus, it is important to measure these parameters during echocardiographic assessments. Full article
Show Figures

Figure 1

Previous Issue
Next Issue
Back to TopTop