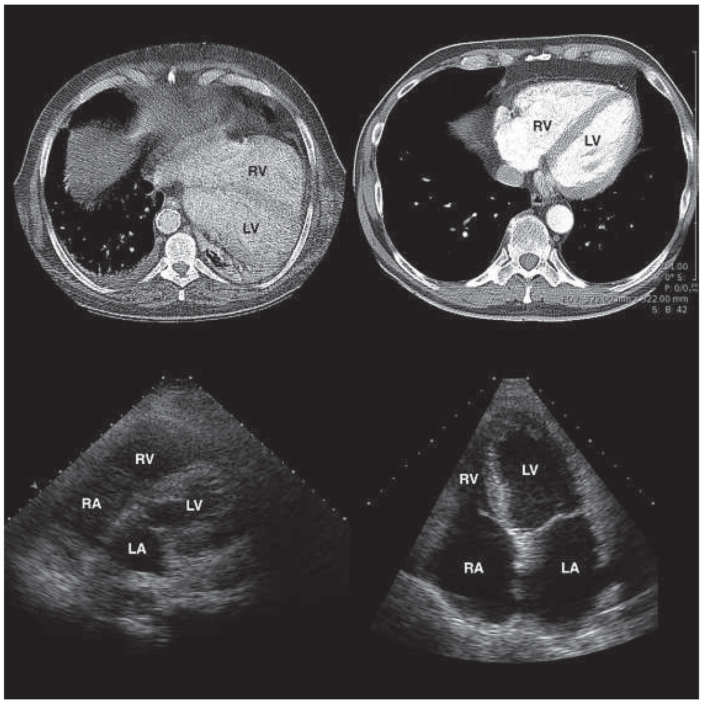
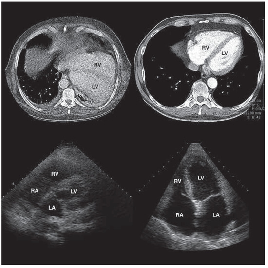
Lost in Space - Left Lateral Cardiac Displacement Due to an Unusual Cause

Funding / potential competing interests
References
- Columbus, M.R. De re anatomica; Beurlaque, N., Ed.; Venice, 1559; Vol 15, pp. 265–269. [Google Scholar]
- Garnier, F.; Eicher, J.C.; Philip, J.L.; Lalande, A.; Bieber, H.; Voute, M.F.; et al. Congenital complete absence of the left pericardium: a rare cause of chest pain or pseudo-right heart overload. Clin Cardiol. 2010, 33, E52–E57. [Google Scholar] [CrossRef] [PubMed]
- Gatzoulis, M.A.; Munk, M.D.; Merchant, N.; Van Arsdell, G.S.; McCrindle, B.W.; Webb, G.D. Isolated congenital absence of the percardium: clinical presentation, diagnosis, and management. Ann Thorac Surg. 2000, 69, 1209–1215. [Google Scholar] [CrossRef] [PubMed]
- Connolly, H.M.; Click, R.L.; Schattenberg, T.T.; Seward, J.B.; Tajik, A.J. Congenital absence of the pericardium: echocardiography as a diagnostic tool. J Am Soc Echocardiogr. 1995, 8, 87–92. [Google Scholar] [CrossRef]
© 2014 by the author. Attribution - Non-Commercial - NoDerivatives 4.0.
Share and Cite
Holm, N.; Bächli, E.; Hoefflinghaus, T. Lost in Space - Left Lateral Cardiac Displacement Due to an Unusual Cause. Cardiovasc. Med. 2014, 17, 55. https://doi.org/10.4414/cvm.2014.00223
Holm N, Bächli E, Hoefflinghaus T. Lost in Space - Left Lateral Cardiac Displacement Due to an Unusual Cause. Cardiovascular Medicine. 2014; 17(2):55. https://doi.org/10.4414/cvm.2014.00223
Chicago/Turabian StyleHolm, Niels, Esther Bächli, and Tobias Hoefflinghaus. 2014. "Lost in Space - Left Lateral Cardiac Displacement Due to an Unusual Cause" Cardiovascular Medicine 17, no. 2: 55. https://doi.org/10.4414/cvm.2014.00223
APA StyleHolm, N., Bächli, E., & Hoefflinghaus, T. (2014). Lost in Space - Left Lateral Cardiac Displacement Due to an Unusual Cause. Cardiovascular Medicine, 17(2), 55. https://doi.org/10.4414/cvm.2014.00223
