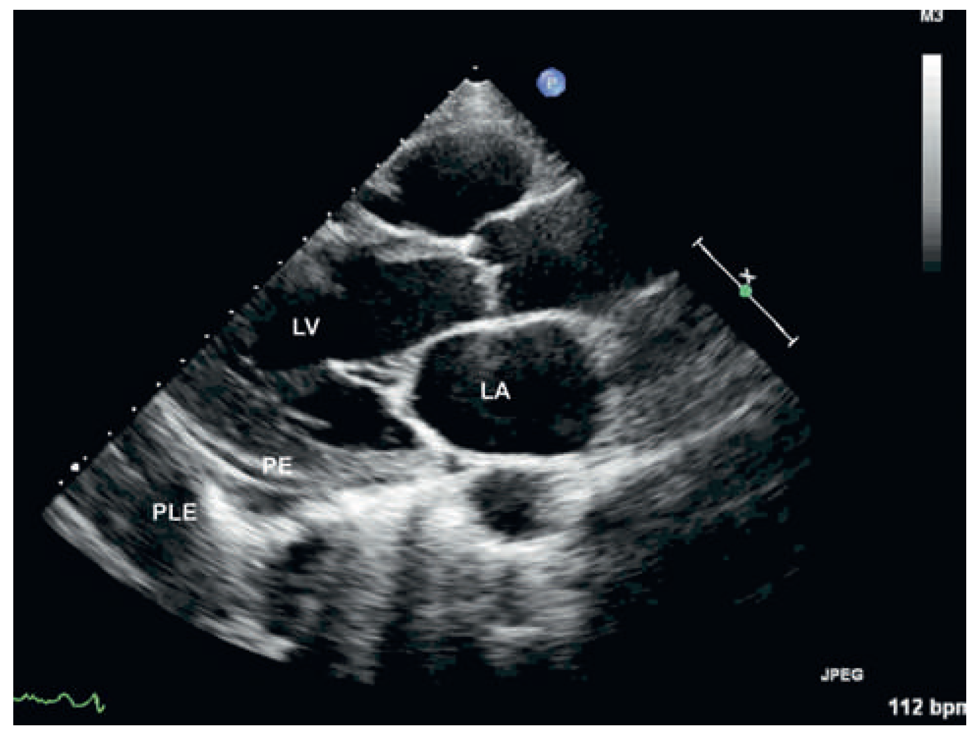
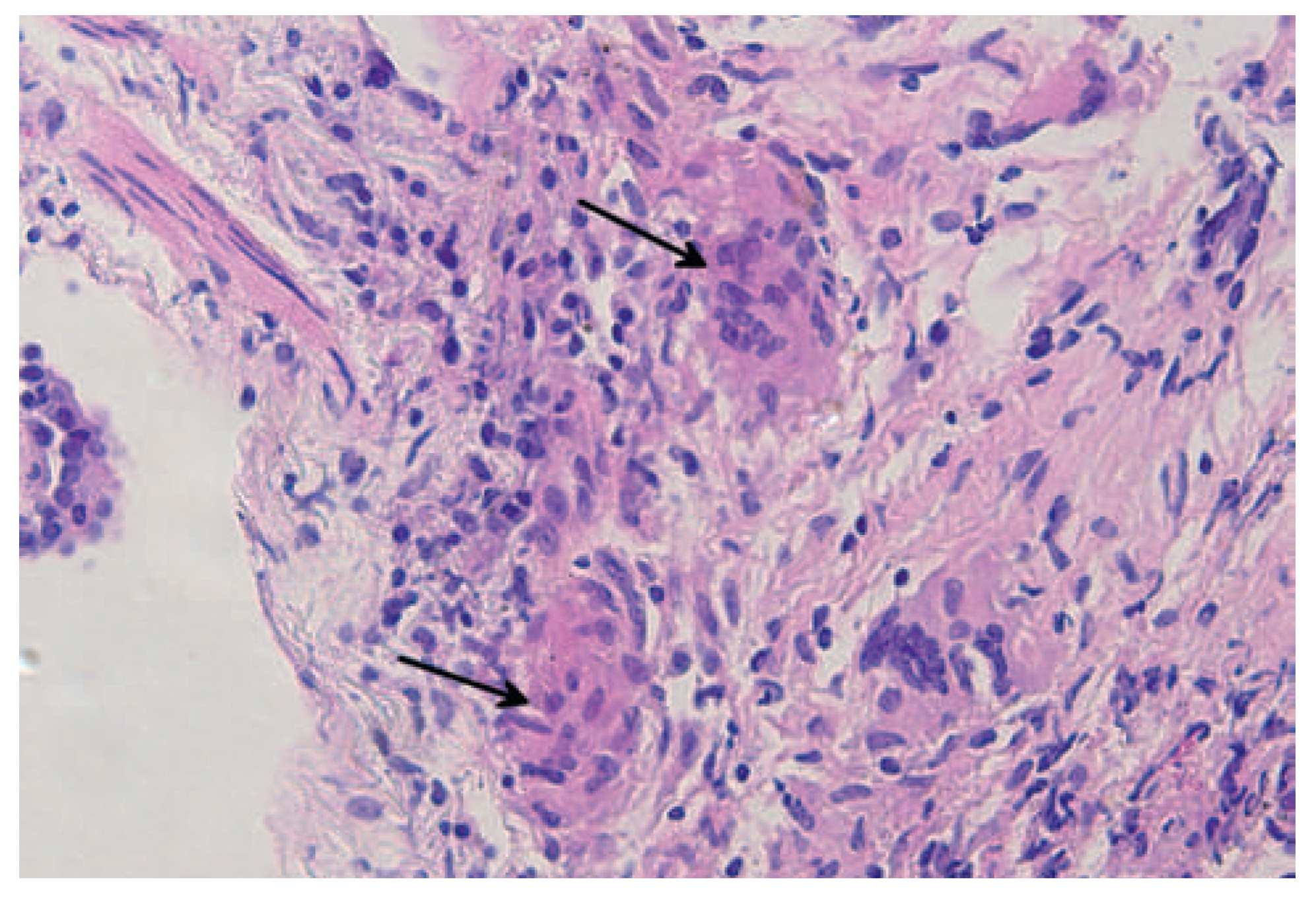
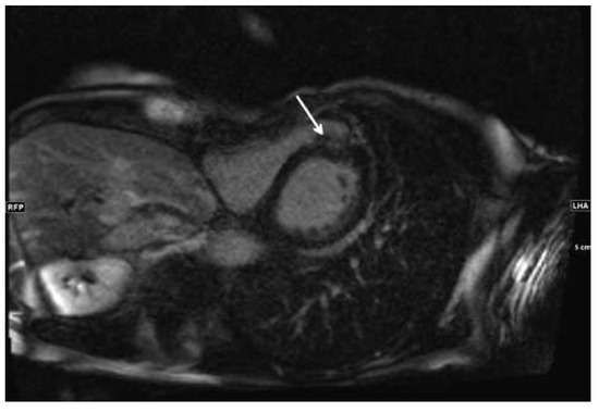
Heart Failure in a Patient with Multi-Organ Sarcoidosis
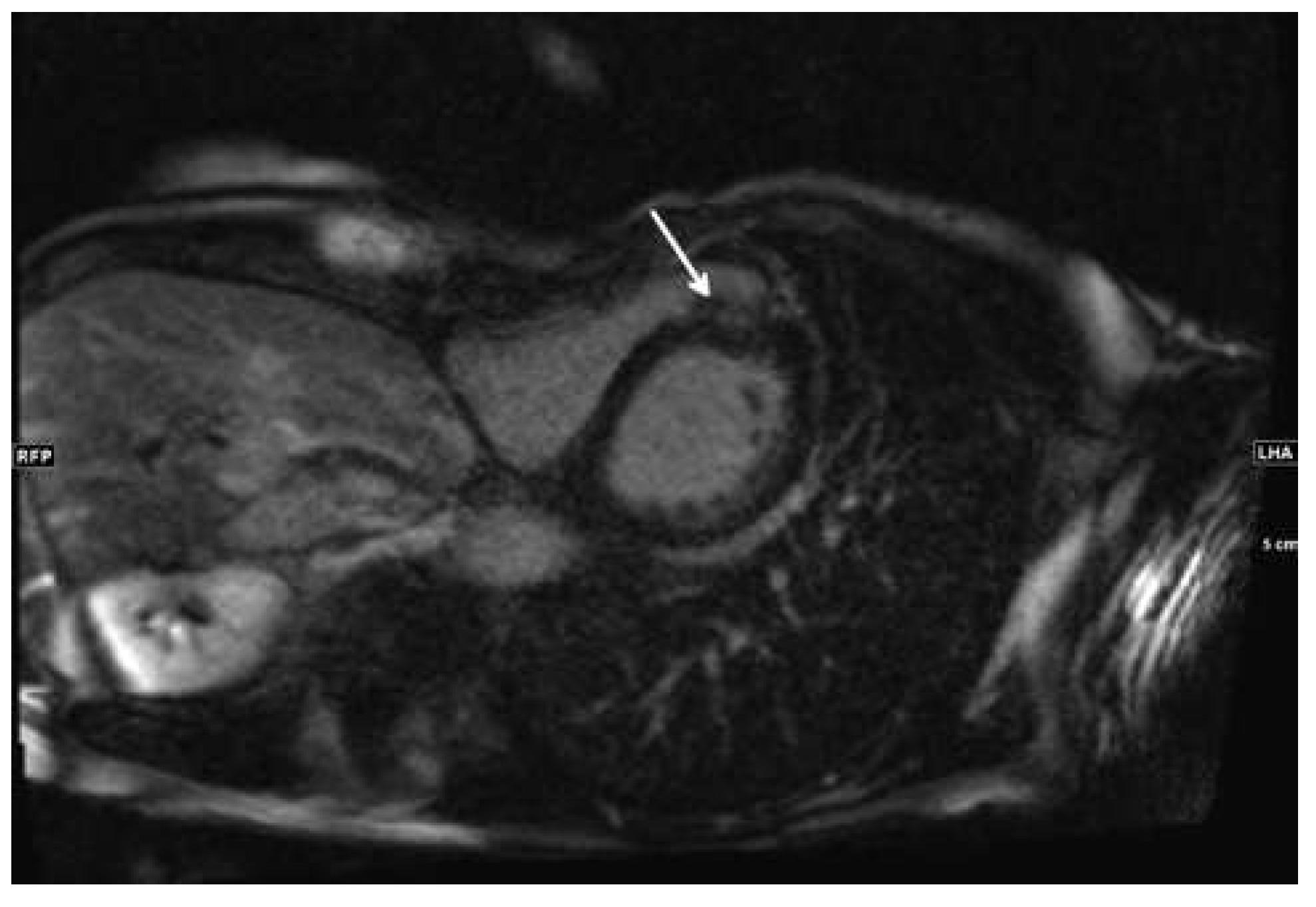
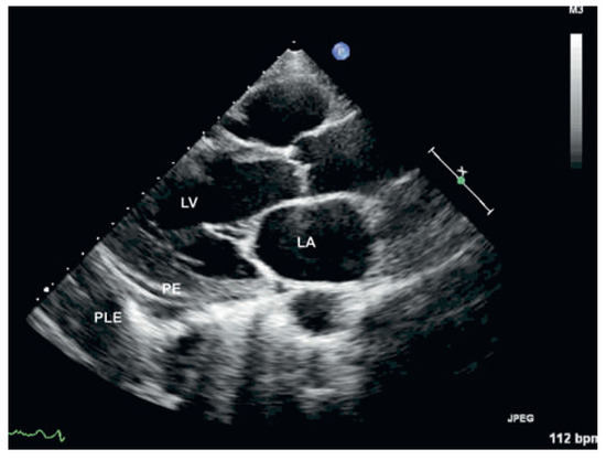
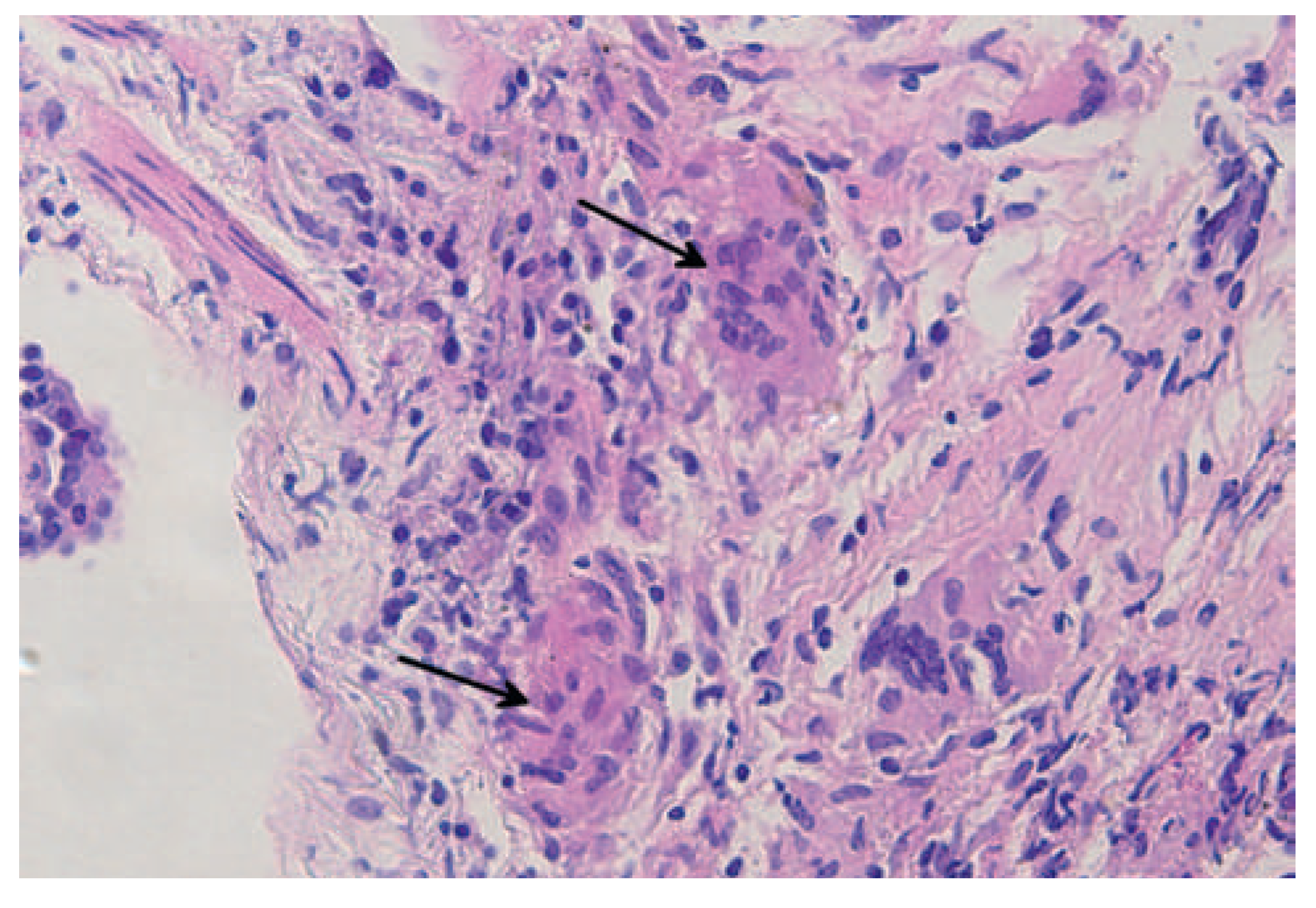
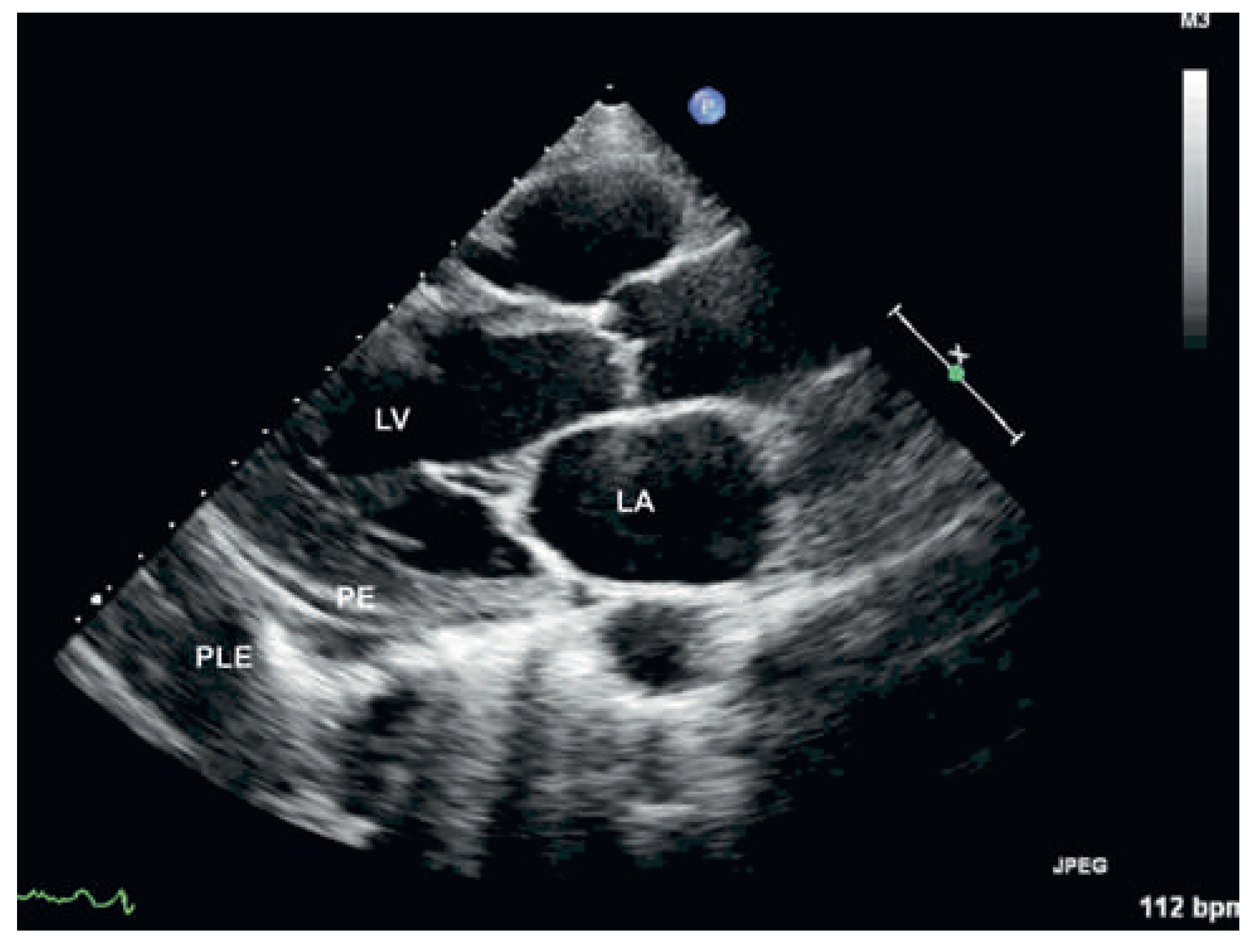
Case Report
Conflicts of Interest
References
- Koyama T, Ueda H, Togashi K, Umeoka S, Kataoka M, Nagai S. Radiologic manifestations of sarcoidosis in various organs. Radio Graphics 2004, 24, 87–104. [Google Scholar]
- Kim JS, Judson MA, Donnino R, Gold M, Cooper LT Jr, Prystowsky EN, et al. Cardiac sarcoidosis. Am Heart J. 2009, 157, 9. [Google Scholar] [CrossRef] [PubMed]




© 2012 by the author. Attribution-Non-Commercial-NoDerivatives 4.0.
Share and Cite
Buser, M.; Buser, T.D.; Bremerich, J.; Tobler, D. Heart Failure in a Patient with Multi-Organ Sarcoidosis. Cardiovasc. Med. 2012, 15, 329. https://doi.org/10.4414/cvm.2012.00124
Buser M, Buser TD, Bremerich J, Tobler D. Heart Failure in a Patient with Multi-Organ Sarcoidosis. Cardiovascular Medicine. 2012; 15(11):329. https://doi.org/10.4414/cvm.2012.00124
Chicago/Turabian StyleBuser, Marc, Theresa Dellas Buser, Jens Bremerich, and Daniel Tobler. 2012. "Heart Failure in a Patient with Multi-Organ Sarcoidosis" Cardiovascular Medicine 15, no. 11: 329. https://doi.org/10.4414/cvm.2012.00124
APA StyleBuser, M., Buser, T. D., Bremerich, J., & Tobler, D. (2012). Heart Failure in a Patient with Multi-Organ Sarcoidosis. Cardiovascular Medicine, 15(11), 329. https://doi.org/10.4414/cvm.2012.00124
