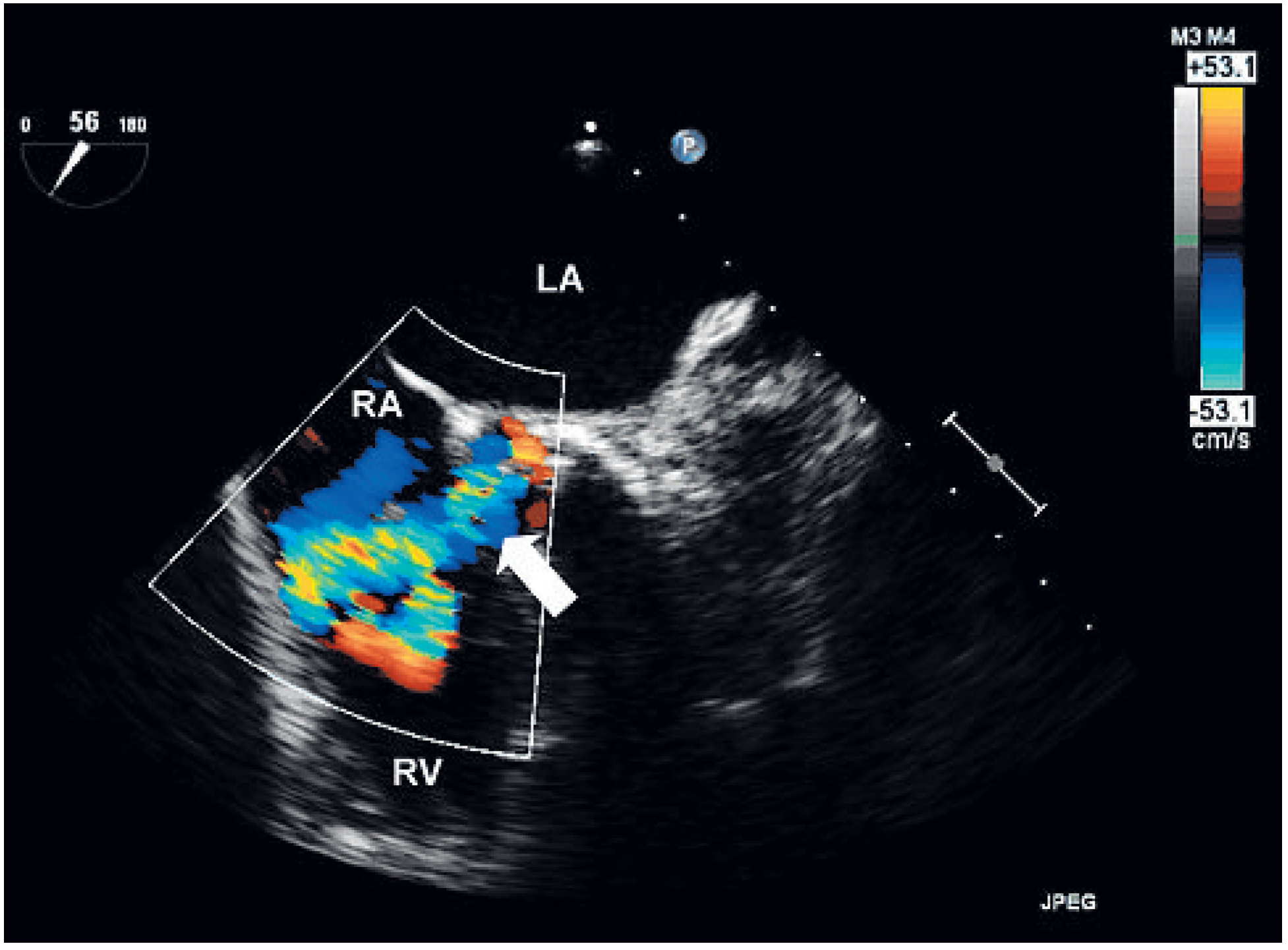
Aorto-Right Atrial Fistula Due to Complicated Prosthetic Valve Endocarditis
Conflicts of Interest
References
- Choussat, R.; Thomas, D.; Isnard, R.; Michel, P.L.; Iung, B.; Hanania, G.; et al. Perivalvular abscesses associated with endocarditis. Clinical features and prognostic factors of overall survival in a series of 233 cases. Eur Heart J. 1999, 20, 232–241. [Google Scholar] [CrossRef] [PubMed]
- Anguera, I.; Miro, J.M.; Vilacosta, I.; Almirante, B.; Anguita, M.; Munoz, P.; et al. Aorto-cavitary fistulous tract formation in infective endocarditis: clinical and echocardiographic features of 76 cases and risk factors for mortality. Eur Heart J. 2005, 26, 288–297. [Google Scholar] [CrossRef] [PubMed]
- Habib, G.; Tribouilloy, C.; Thuny, F.; Giorgi, R.; Brahim, A.; Amazouz, M.; et al. Prosthetic valve endocarditis: who needs surgery? A multicentre study of 104 cases. Heart. 2005, 91, 954–959. [Google Scholar] [CrossRef] [PubMed]



© 2010 by the author. Attribution - Non-Commercial - NoDerivatives 4.0.
Share and Cite
Rohner, A.; Bernheim, A.; Buser, P.; Kaufmann, B.; Kessel-Schaefer, A. Aorto-Right Atrial Fistula Due to Complicated Prosthetic Valve Endocarditis. Cardiovasc. Med. 2010, 13, 350. https://doi.org/10.4414/cvm.2010.01536
Rohner A, Bernheim A, Buser P, Kaufmann B, Kessel-Schaefer A. Aorto-Right Atrial Fistula Due to Complicated Prosthetic Valve Endocarditis. Cardiovascular Medicine. 2010; 13(11):350. https://doi.org/10.4414/cvm.2010.01536
Chicago/Turabian StyleRohner, Andreas, Alain Bernheim, Peter Buser, Beat Kaufmann, and Arnheid Kessel-Schaefer. 2010. "Aorto-Right Atrial Fistula Due to Complicated Prosthetic Valve Endocarditis" Cardiovascular Medicine 13, no. 11: 350. https://doi.org/10.4414/cvm.2010.01536
APA StyleRohner, A., Bernheim, A., Buser, P., Kaufmann, B., & Kessel-Schaefer, A. (2010). Aorto-Right Atrial Fistula Due to Complicated Prosthetic Valve Endocarditis. Cardiovascular Medicine, 13(11), 350. https://doi.org/10.4414/cvm.2010.01536
