Lichen Planus of the Lip—Case Series and Review of the Literature
Abstract
1. Introduction
2. Materials and Methods
2.1. Study Design
2.2. Review Design
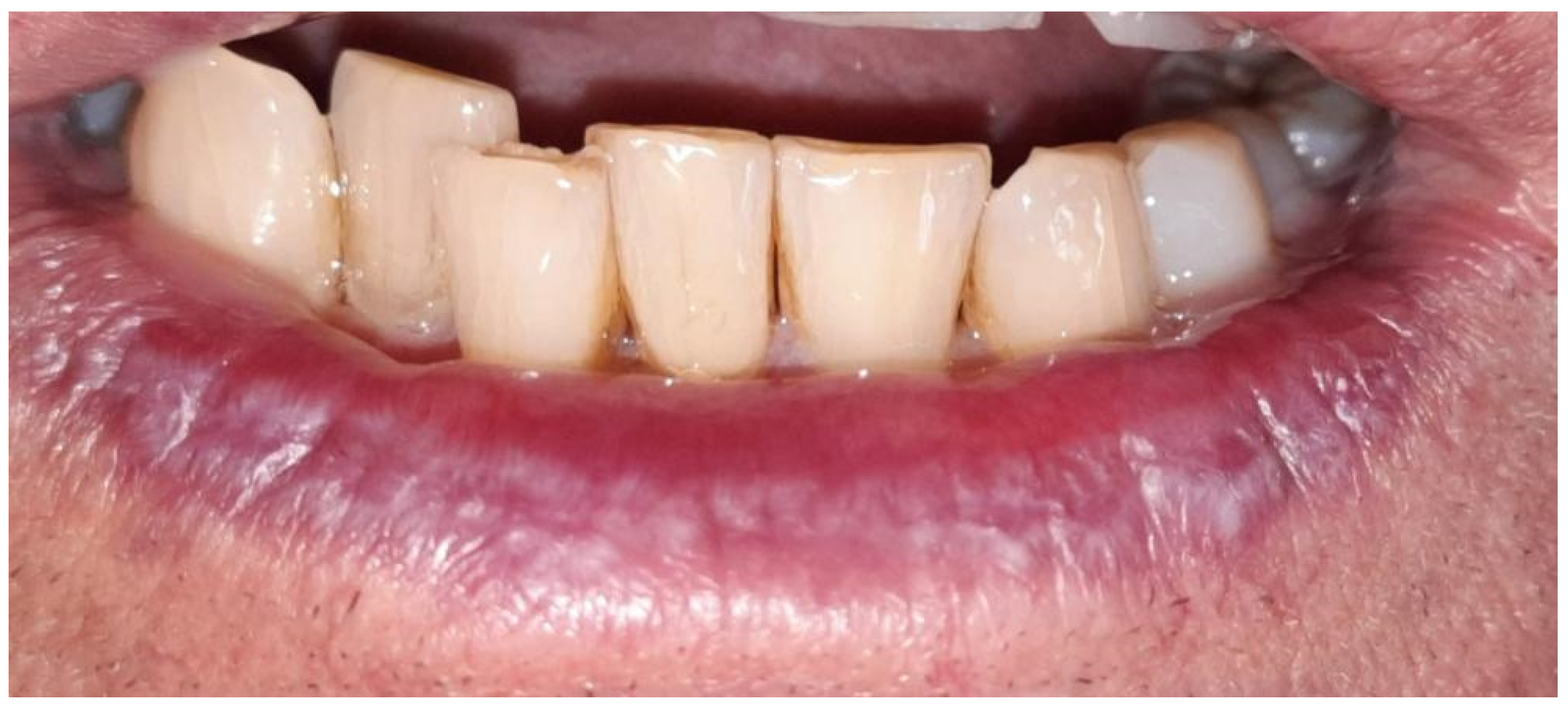
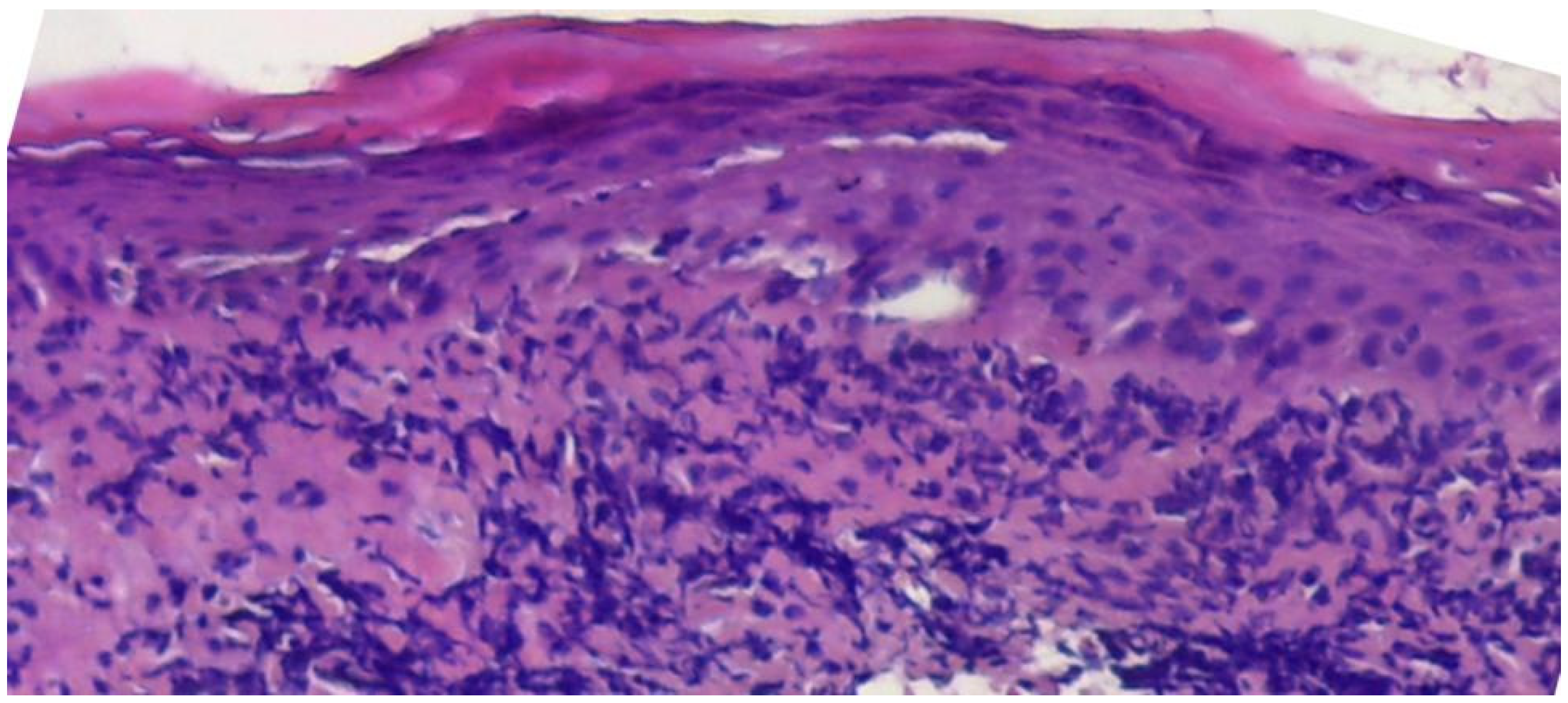
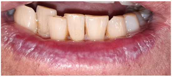
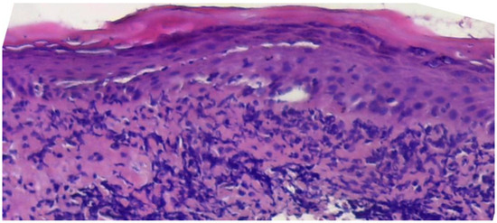
3. Results
4. Discussion
5. Conclusions
Supplementary Materials
Author Contributions
Funding
Institutional Review Board Statement
Informed Consent Statement
Data Availability Statement
Conflicts of Interest
References
- Nuzzolo, P.; Celentano, A.; Bucci, P.; Adamo, D.; Ruoppo, E.; Leuci, S.; Mignogna, M.D. Lichen Planus of the Lips: An Intermediate Disease between the Skin and Mucosa? Retrospective Clinical Study and Review of the Literature. Int. J. Dermatol. 2016, 55, e473–e481. [Google Scholar] [CrossRef] [PubMed]
- Hasan, S. Lichen Planus of Lip—Report of a Rare Case with Review of Literature. J. Fam. Med. Prim. Care 2019, 8, 1269. [Google Scholar] [CrossRef] [PubMed]
- Carrozzo, M.; Thorpe, R.J. Oral Lichen Planus: A Review. Minerva Stomatol. 2009, 58, 519–537. [Google Scholar] [PubMed]
- Ţovaru, R.Ş.; Ţovaru, M.; Costache, M.; Demarossi, F. Medicină şi Patologie Orală; Q Med Publishing: Bucharest, Romania, 2008. [Google Scholar]
- Carneiro, M.C.; Quenta-Huayhua, M.G.; Peralta-Mamani, M.; Honório, H.M.; Santos, S.; Fischer, R.; Fischer, M. Clinicopathological Analysis of Actinic Cheilitis: A Systematic Review with Meta-Analyses. Head Neck Pathol. 2023, 17, 708–721. [Google Scholar] [CrossRef]
- de Souza Lucena, E.; Costa, D.; da Silveira, E.; Lima, K. Prevalence and Factors Associated to Actinic Cheilitis in Beach Workers. Oral Dis. 2012, 18, 575–579. [Google Scholar] [CrossRef]
- Warnakulasuriya, S. Clinical Features and Presentation of Oral Potentially Malignant Disorders. Oral Surg. Oral Med. Oral Pathol. Oral Radiol. 2018, 125, 582–590. [Google Scholar] [CrossRef]
- Sun, S.; Zhong, B.; Li, W.; Jin, X.; Yao, Y.; Wang, J.; Liu, J.; Dan, H.; Chen, Q.; Zeng, X. Immunological Methods for the Diagnosis of Oral Mucosal Diseases. Br. J. Dermatol. 2019, 181, 23–36. [Google Scholar] [CrossRef]
- Healy, E.; Kieran, E.; Rogers, S. Cutaneous Lupus Erythematosus—A Study of Clinical and Laboratory Prognostic Factors in 65 Patients. Ir. J. Med. Sci. 1995, 164, 113–115. [Google Scholar] [CrossRef] [PubMed]
- Kulthanan, K.; Roongphiboolsopit, P.; Chanjanakijskul, S.; Kullavanijaya, P. Chronic Discoid Lupus Erythematosus in Thailand: Direct Immunofluorescence Study. Int. J. Dermatol. 1996, 35, 711–714. [Google Scholar] [CrossRef]
- Schubert, M.M.; Correa, M.E.P. Oral Graft-Versus-Host Disease. Dent. Clin. N. Am. 2008, 52, 79–109. [Google Scholar] [CrossRef]
- McParland, H.; Warnakulasuriya, S. Oral Lichenoid Contact Lesions to Mercury and Dental Amalgam—A Review. J. Biomed. Biotechnol. 2012, 2012, 589569. [Google Scholar] [CrossRef] [PubMed]
- Suter, V.G.A.; Warnakulasuriya, S. The Role of Patch Testing in the Management of Oral Lichenoid Reactions. J. Oral Pathol. Med. 2015, 45, 48–57. [Google Scholar] [CrossRef] [PubMed]
- van der Meij, E.H.; Mast, H.; van der Waal, I. The Possible Premalignant Character of Oral Lichen Planus and Oral Lichenoid Lesions: A Prospective Five-Year Follow-up Study of 192 Patients. Oral Oncol. 2007, 43, 742–748. [Google Scholar] [CrossRef] [PubMed]
- Cheng, Y.-S.L.; Gould, A.; Kurago, Z.; Fantasia, J.; Muller, S. Diagnosis of Oral Lichen Planus: A Position Paper of the American Academy of Oral and Maxillofacial Pathology. Oral Surg. Oral Med. Oral Pathol. Oral Radiol. 2016, 122, 332–354. [Google Scholar] [CrossRef] [PubMed]
- Tovaru, S.; Parlatescu, I.; Gheorghe, C.; Tovaru, M.; Costache, M.; Sardella, A. Oral Lichen Planus: A Retrospective Study of 633 Patients from Bucharest, Romania. Med. Oral Patol. Oral Y Cir. Bucal 2013, 18, e201–e206. [Google Scholar] [CrossRef] [PubMed]
- Thongprasom, K.; Luangjarmekorn, L.; Sererat, T.; Taweesap, W. Relative Efficacy of Fluocinolone Acetonide Compared with Triamcinolone Acetonide in Treatment of Oral Lichen Planus. J. Oral Pathol. Med. 1992, 21, 456–458. [Google Scholar] [CrossRef] [PubMed]
- Gobbo, M.; Rupel, K.; Zoi, V.; Perinetti, G.; Ottaviani, G.; Di Lenarda, R.; Bevilacqua, L.; Sook, B.W.; Biasotto, M. Scoring Systems for Oral Lichen Planus Used by Differently Experienced Raters. Med. Oral Patol. Oral Y Cir. Bucal 2017, 22, e562–e571. [Google Scholar] [CrossRef] [PubMed]
- Fujita, Y.; Sugai, T.; Maya, Y.; Inamura, E.; Hirano, Y.; Shimizu, S. Secukinumab-Induced Oral Lichen Planus in a Psoriatic Arthritis Patient Ameliorated after a Switch to Risankizumab. J. Dermatol. 2023, 50, 824–827. [Google Scholar] [CrossRef]
- Mozafari, N.; Bidari-Zerehpoosh, F.; Movahedi, M.; Dadkhahfar, S. Hypertrophic Lichen Planus on Lip Mimicking SCC. Clin. Case Rep. 2022, 10, e6191. [Google Scholar] [CrossRef]
- Mittal, S.; Vinitha, N.M.; Chaitra, V. Dermoscopy of Isolated Lip Lichen Planus. Indian Dermatol. Online J. 2022, 13, 165. [Google Scholar] [CrossRef]
- Hasan, S.; Mansoori, S.; Sircar, K.; Popli, D.B. Isolated Lichen Planus of the Lower Lip: Report of a Rare Case with an Updated Literature Review. Curr. Health Sci. J. 2023, 48, 345–352. [Google Scholar] [CrossRef] [PubMed]
- Yanagihara, S.; Oiso, N.; Kawada, A. Post-Herpes Labialis Isolated Lichen Planus of the Lip. Int. J. Dermatol. 2020, 60, 387–388. [Google Scholar] [CrossRef] [PubMed]
- Economopoulou, P.; Nicolatou-Galitis, O.; Kotsantis, I.; Psyrri, A. Nivolumab-Related Lichen Planus of the Lip in a Patient with Head and Neck Cancer. Oral Oncol. 2020, 104, 104623. [Google Scholar] [CrossRef] [PubMed]
- Mathur, M.; Acharya, P.; Karki, A.; Nisha, K.C.; Shah, J.; Jha, A. Isolated Lichen Planus of Lip: Diagnosis and Treatment Monitoring Using Dermoscopy. Clin. Case Rep. 2018, 7, 146–148. [Google Scholar] [CrossRef] [PubMed]
- Yu, F.; Xu, N.; Zhao, B.; Ren, X.; Zhang, F. Successful Treatment of Isolated Oral Lichen Planus on Lower Lip with Traditional Chinese Medicine and Topical Wet Dressing. Medicine 2018, 97, e13630. [Google Scholar] [CrossRef] [PubMed]
- Choi, E.; Tan, K.; Chandran, N. Isolated Actinic Lichen Planus of the Lower Lip. Case Rep. Dermatol. 2017, 9, 131–134. [Google Scholar] [CrossRef] [PubMed]
- Morita, M.; Asoda, S.; Tsunoda, K.; Soma, T.; Nakagawa, T.; Shirakawa, M.; Shoji, H.; Yagishita, H.; Nishikawa, T.; Kawana, H. The Onset Risk of Carcinoma in Patients Continuing Tacrolimus Topical Treatment for Oral Lichen Planus: A Case Report. Odontology 2016, 105, 262–266. [Google Scholar] [CrossRef]
- Samal, D.K.; Behera, G.; Gupta, V.; Majumdar, K.; Khurana, U. Isolated Lichen Planus of Lower Lip: A Case Report. Indian J. Otolaryngol. Head Neck Surg. 2014, 67, 151–153. [Google Scholar] [CrossRef] [PubMed]
- Sugashima, Y.; Yamamoto, T. Letter:Annular Atrophic Lichen Planus of the Lip. Dermatol. Online J. 2012, 18, 14. [Google Scholar]
- Holmukhe, S.; Gutte, R.M.; Sirur, S. Letter: Isolated Annular Lichen Planus of Lower Lip. Dermatol. Online J. 2012, 18, 15. [Google Scholar]
- van Tuyll, A.-M.; van Marion, A.M.; de Zwart-Storm, E.; Frank, J.; Poblete-Gutiérrez, P. Lichen Planus with Bullous Manifestation on the Lip. Int. J. Dermatol. 2007, 46, 25–26. [Google Scholar] [CrossRef] [PubMed]
- Yu, T.; Kelly, S.C.; Weinberg, J.M.; Scheinfeld, N. Isolated Lichen Planus of the Lower Lip. Cutis 2003, 71, 210–212. [Google Scholar] [PubMed]
- Lehner, J.; Agbo-Godeau, S.; Bertolus, C. A Retrospective Study of 23 Cases: Are Lichenoid Lesions of the Labial Mucosa Induced? Cureus 2022, 14, e25012. [Google Scholar] [CrossRef] [PubMed]
- Sandhu, S.; Neema, S.; Kashif, A.W.; Sinha, P.; Kothari, R.; Radhakrishnan, S. Dermoscopy of Lip Lichen Planus—A Descriptive Study. Dermatol. Pract. Concept. 2020, 50, 167–170. [Google Scholar] [CrossRef] [PubMed]
- Misra, S.R.; Baskaran, P.; Maragathavalli, G. Ulcerated Oral Lichen Planus of the Lower Lip, Common Disease with the Uncommon Presentation: A Case Series. J. Fam. Med. Prim. Care 2020, 9, 2505. [Google Scholar] [CrossRef] [PubMed]
- Garma, M.; Hasni, W.; Annabi, B.; Sriha, B.; Boudegga, S.; Boughzella, A. Isolated Lichen Planus of the Lips: Cases Reports and Literature Review. J. Oral Med. Oral Surg. 2020, 26, 14. [Google Scholar] [CrossRef]
- Gençoğlan, G.; Inanir, İ.; Şahin, Ö.; Gündüz, K. Imiquimod 5% Cream for Isolated Lichen Planus of the Lip. J. Dermatol. Treat. 2010, 22, 55–59. [Google Scholar] [CrossRef] [PubMed]
- Petruzzi, M.; De Benedittis, M.; Pastore, L.; Pannone, G.; Grassi, F.R.; Serpico, R. Isolated Lichen Planus of the Lip. Sage J. 2007, 20, 631–635. [Google Scholar] [CrossRef] [PubMed]
- Shichinohe, R.; Shibaki, A.; Nishie, W.; Tateishi, Y.; Shimizu, H. Successful Treatment of Severe Recalcitrant Erosive Oral Lichen Planus with Topical Tacrolimus. J. Eur. Acad. Dermatol. Venereol. 2006, 20, 66–68. [Google Scholar] [CrossRef]
- Altman, J.; Perry, H.O. The Variations Course Lichen Planus. Arch. Dermatol. 1961, 84, 179. [Google Scholar] [CrossRef]
- Boch, K.; Langan, E.A.; Kridin, K.; Zillikens, D.; Ludwig, R.J.; Bieber, K. Lichen Planus. Front. Med. 2021, 8, e737813. [Google Scholar] [CrossRef] [PubMed]
- Ioannides, D.; Vakirlis, E.; Kemeny, L.; Marinovic, B.; Massone, C.; Murphy, R.; Nast, A.; Ronnevig, J.; Ruzicka, T.; Cooper, S.M.; et al. European S1 Guidelines on the Management of Lichen Planus: A Cooperation of the European Dermatology Forum with the European Academy of Dermatology and Venereology. J. Eur. Acad. Dermatol. Venereol. 2020, 34, 1403–1414. [Google Scholar] [CrossRef] [PubMed]
- Saeed, S.; Hasan, S.; Ahmed, S.; Kiran, R.; Panigrahi, R.; Thachil, J. Oral Lichen Planus and Associated Comorbidities: An Approach to Holistic Health. J. Fam. Med. Prim. Care 2019, 8, 3504. [Google Scholar] [CrossRef] [PubMed]
- Selaru, C.A.; Parlatescu, I.; Milanesi, E.; Dobre, M.; Tovaru, S. Impact of Altered Lipid Profile in Oral Lichen Planus. Mædica 2023, 18, 12–18. [Google Scholar] [CrossRef] [PubMed]
- Elsabagh, H.H.; Gaweesh, Y.; Ghonima, J.K.; Gebril, M.M. A Novel Comprehensive Scoring System for Oral Lichen Planus: A Validity, Diagnostic Accuracy, and Clinical Sensitivity Study. Oral Surg. Oral Med. Oral Pathol. Oral Radiol. 2021, 131, 304–311. [Google Scholar] [CrossRef] [PubMed]
- Szlauer-Stefańska, A.; Kamińska-Winciorek, G. What Do the Lips Say in Chronic Graft-Versus-Host Disease after Allogeneic Hematopoietic Stem Cell Transplantation? A Case Series. Dermatol. Ther. 2021, 11, 1423–1434. [Google Scholar] [CrossRef] [PubMed]
- Van Der Meij, E.H.; Van Der Waal, I. Lack of Clinicopathologic Correlation in the Diagnosis of Oral Lichen Planus Based on the Presently Available Diagnostic Criteria and Suggestions for Modifications. J. Oral Pathol. Med. 2003, 32, 507–512. [Google Scholar] [CrossRef]
- Lupu, M.; Caruntu, A.; Boda, D.; Caruntu, C. In Vivo Reflectance Confocal Microscopy-Diagnostic Criteria for Actinic Cheilitis and Squamous Cell Carcinoma of the Lip. J. Clin. Med. 2020, 9, 1987. [Google Scholar] [CrossRef]



| Case no. | Year of Presentation | Sex | Age | Environment | Symptoms | Stress | Medical History | Drugs | Self Reported Onset (Months) | Clinical Form | Score Thongprasom Evolution (Initial to Final) | Treatment | Outcome and Follow-Up Period |
|---|---|---|---|---|---|---|---|---|---|---|---|---|---|
| 1 | 2012 | F | 64 | U | Pain | No | Hepatitis C | No | 3 | Atrophic | 2 to 0 | Clobetasol propionate 0.05% | Remission in 5 months |
| 2 | 2013 | M | 65 | R | Burning | No | Hypertension | Antihypertensives | 12 | Atrophic | 2 to 0 | Clobetasol propionate 0.05% | Remission in 6 months |
| 3 | 2012 | M | 83 | U | Aesthetic complaints | Yes | Hypertension, Arteriosclerosis, Maxillary sinusitis | Statins, Antihypertensives | 6 | Erosive | 4 to 5 | Clobetasol propionate 0.05% and Nystatin in orabase | Aggravated, OLP lesions in 2 years |
| 4 | 1994 | M | 67 | U | Burning | No | Hypertension, Nodular tuberculosis, Rheumatoid arthritis | No | 72 | Atrophic | 3 to 0 | Fluocinolone acetonide 0.1% in orabase | Remission in 6 months |
| 5 | 2004 | F | 66 | U | Aesthetic complaints | No | Vitiligo | No | 4 | Atrophic | 2 to 0 | Clobetasol propionate 0.05%, Fluocortolone 0.25% in cream | Remission in 7 months |
| 6 | 1984 | M | 60 | R | Aesthetic complaints | No | No | No | 3 | Erosive | 4 | Fluocortolone 0.25% in cream—twice daily | NA |
| 7 | 1980 | M | 69 | U | Burning | No | Parapsoriasis, Vitiligo, Chronic gastritis | No | 5 | Erosive | 4 to 0 | Clobetasol propionate 0.05% | Remission in 3 months |
| 8 | 1986 | M | 64 | U | Aesthetic complaints | No | No | No | 36 | Atrophic | 2 to 3 | Fluocortolone 0.25% in cream | Aggravated in 10 months |
| 9 | 2022 | F | 35 | U | Aesthetic complaints | No | No | No | 24 | Atrophic | 3 to 0 | Methylprednisolone aceponate 0.1%, hydrating lip balm | Remission in 5 months |
| 10 | 2022 | F | 51 | R | Aesthetic complaints | Yes | Hypothyroidism | Euthyrox | 10 | Erosive | 5 to 0 | Methylprednisolone aceponate 0.1%, hydrating lip balm | Remission in 11 months |
| 11 | 2023 | M | 76 | R | Pain | Yes | IBD, Prostatic hypertrophy | Statins, Antihypertensives | 3 | Erosive | 4 to 0 | Methylprednisolone aceponate 0.1%, hydrating lip balm | Remission in 3 months |
| Year | Reference | Country | No. of Patients | Age/Sex | Mean Age (Years) | Unique Lip Involvement | Main Symptoms | Clinical Features | Skin Involvement | Systemic Pathologies | Biopsy | Diagnosis | Treatment | Outcome |
|---|---|---|---|---|---|---|---|---|---|---|---|---|---|---|
| 2023 | Fujita [19] | Japan | 1 | 54/M | NA | Yes | Pain | Erosive | Yes | Psoriatic arthritis | Yes | OLP | Topical miconazole nitrate, topical corticosteroid, topical tacrolimus | Improvement after replacing secukinumab with risankizumab 150 mg |
| 2022 | Mozafari [20] | Iran | 1 | 45/M | NA | No | No | Keratotic, plaque | No | No | Yes | LPL | Tacrolimus 0.1% + Clobetasol | Regression, recurrence |
| 2022 | Mittal [21] | India | 1 | 50/M | NA | Yes (LL, UL) | No | Plaque | No | NA | Yes | OLP | NA | NA |
| 2022 | Hasan [22] | India | 1 | 53/M | NA | Yes (LL) | Tenderness, burning | Erosive | No | No | Yes | LPL | Turbocort 0.1% | Remission |
| 2022 | Lehner [34] | France | 23 | NA | 67 (SD ± 9.1) | No | Pain | NA | NA | NA | NA | NA | Topical corticosteroid | Improvement (12), No improvement (2) |
| 2021 | Yanagihara [23] | Japan | 1 | 45/F | NA | Yes (LL) | Pain | Plaque | No | No | Yes | LPL | Topical corticosteroids | Remission |
| 2020 | Neema [35] | India | 12 | NA | NA | Yes (9) | NA | NA | NA | NA | Yes | LPL | NA | NA |
| 2020 | Misra [36] | India | 2 | 50/F, 22/F | 36 | No | Pain, bleeding | Erosive | Yes | NA | Yes | LP | Tacrolimus 0.1%, Amlexanox 5%, Levamisole 150 mg | Remission |
| 2020 | Economopoulou [24] | Greece | 1 | 66/M | NA | Yes (LL) | Pain, bleeding | Erosive | No | Oral cavity cancer, Skin LP 4 y ago | Yes | Nivolumab-related LPL | Betamethasone cream | Remission |
| 2020 | Garma [37] | Tunisia | 2 | 34/M, 33/F | 33.5 | Yes (LL) | Pain, bleeding | Erosive | No | Diabetes (male) | Yes | LPL | Clobetasol (male), Betamethasone female) | Remission (male), Regression and recurrence (female) |
| 2019 | Hasan [2] | India | 1 | 50/M | NA | Yes (LL) | Itching, burning | Erosive | No | No | Yes | OLP | Kenacort 0.1% | Regression, recurrence |
| 2018 | Mathur [25] | Nepal | 1 | 44/M | NA | Yes (LL) | No | Plaque | No | No | Yes | OLP | Betamethasone dipropionate 0.5% | Remission |
| 2018 | Yu [26] | China | 1 | 38/F | NA | Yes (LL) | Pain, bleeding | Erosive | No | No | Yes | OLP | Traditional Chinese medicine | Remission |
| 2017 | Choi [27] | Singapore | 1 | 62/F | NA | No | No | Erosive | No | No | Yes | LPL | Tacrolimus, Hydrocortisone | Remission |
| 2016 | Nuzzolo [1] | Italy | 13 | NA | 71.85 (SD ± 6.72) | NA | Burning, pain | Erosive, keratotic, annular | NA | NA | NA | LP | Cortisone, Nystatin | Remission, stable, regression |
| 2016 | Morita [28] | Japan | 1 | 63/M | NA | Yes (LL) | Pain | Erosive | NA | Hypertension, adrenal gland tumor | Yes | OLP | Topical corticosteroids | No improvement, malignization after 6 years |
| 2015 | Samal [29] | India | 1 | 52/M | NA | Yes (LL) | No | Plaque | No | No | Yes | LPL | NA | NA |
| 2012 | Sugashima [30] | Japan | 1 | 32/F | 32 | Yes (LL) | No | Annular, plaque, atrophic | No | Zinc allergy | Yes | LPL | Tacrolimus 0.1% | Remission |
| 2012 | Holmukhe [31] | India | 1 | 40/M | 40 | Yes (LL) | No | Annular plaque | No | No | Yes | LPL | Tacrolimus 0.03% | NA |
| 2010 | Gencoglan [38] | Turkey | 4 | NA | 51 | Yes (LL) | Pain | Erosive, plaque | No | No | Yes | OLP | Imiquimod 5% cream | Remission (3/4); Regression and recurrence (1/4) |
| 2007 | Petruzzi [39] | Italy | 10 | NA | 62.7 (SD 11.0) | Yes (LL, UL) | NA | Erosive, keratotic | NA | NA | Yes | LPL | Clobetasol propionate 0.05%, Tocopherol oil, Miconazole | Remission |
| 2007 | van Tuyll van Serooskerken [32] | Netherlands | 1 | 75/F | 75 | No (LL) | Burning, bleeding | Plaques, bullous | Yes | No | Yes | OLP | Tretinoin 0.025%, Triamcinolone 0.1% | Remission |
| 2005 | Shichinohe [40] | Japan | 2 | 64, 68/M | 66 | NA | Pain, bleeding | Erosive | NA | NA | Yes | LPL | Tacrolimus 0.1% | Remission |
| 2003 | Yu [33] | USA | 1 | 44/M | 44 | Yes (LL) | Pain, burning | Erosive | No | Hypertension | Yes | OLP | Clobetasol propionate 0.05% | Remission |
Disclaimer/Publisher’s Note: The statements, opinions and data contained in all publications are solely those of the individual author(s) and contributor(s) and not of MDPI and/or the editor(s). MDPI and/or the editor(s) disclaim responsibility for any injury to people or property resulting from any ideas, methods, instructions or products referred to in the content. |
© 2024 by the authors. Licensee MDPI, Basel, Switzerland. This article is an open access article distributed under the terms and conditions of the Creative Commons Attribution (CC BY) license (https://creativecommons.org/licenses/by/4.0/).
Share and Cite
Marcu, C.A.; Parlatescu, I.; Tovaru, S.; Nicolae, C.L.; Costache, M.; Tovaru, M. Lichen Planus of the Lip—Case Series and Review of the Literature. Medicina 2024, 60, 987. https://doi.org/10.3390/medicina60060987
Marcu CA, Parlatescu I, Tovaru S, Nicolae CL, Costache M, Tovaru M. Lichen Planus of the Lip—Case Series and Review of the Literature. Medicina. 2024; 60(6):987. https://doi.org/10.3390/medicina60060987
Chicago/Turabian StyleMarcu (Selaru), Corina Andreea, Ioanina Parlatescu, Serban Tovaru, Carmen Larisa Nicolae, Mariana Costache, and Mihaela Tovaru. 2024. "Lichen Planus of the Lip—Case Series and Review of the Literature" Medicina 60, no. 6: 987. https://doi.org/10.3390/medicina60060987
APA StyleMarcu, C. A., Parlatescu, I., Tovaru, S., Nicolae, C. L., Costache, M., & Tovaru, M. (2024). Lichen Planus of the Lip—Case Series and Review of the Literature. Medicina, 60(6), 987. https://doi.org/10.3390/medicina60060987

