A Rare Case of Primary Pulmonary Diffuse Large B-Cell Lymphoma Transformed from Marginal Zone Mucosa-Associated Lymphoid Tissue Lymphoma
Abstract
1. Introduction
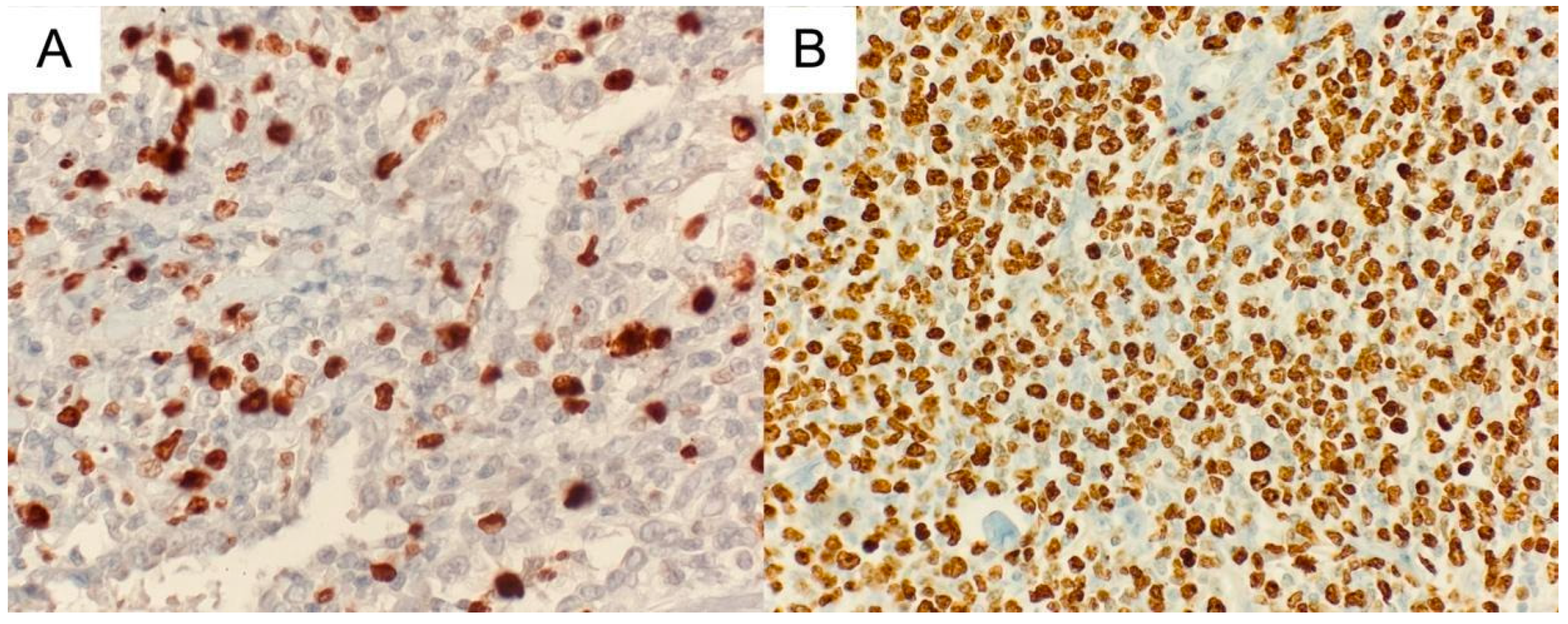
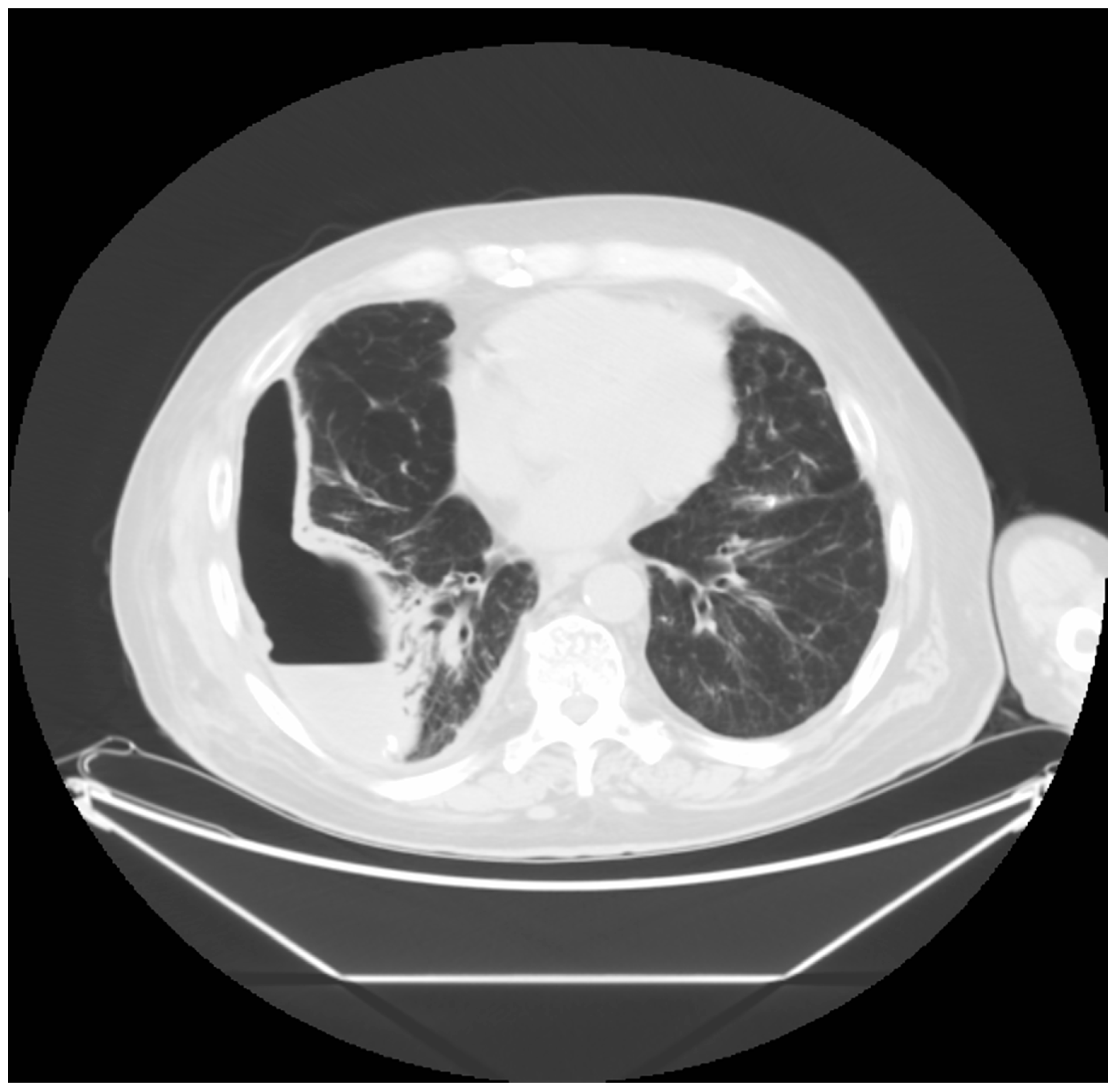
2. Case Presentation
3. Discussion
4. Conclusions
Author Contributions
Funding
Institutional Review Board Statement
Informed Consent Statement
Data Availability Statement
Conflicts of Interest
References
- Piña-Oviedo, S.; Weissferdt, A.; Kalhor, N.; Moran, C.A. Primary Pulmonary Lymphomas. Adv. Anat. Pathol. 2015, 22, 355–375. [Google Scholar] [CrossRef] [PubMed]
- Zhang, M.-C.; Zhou, M.; Song, Q.; Wang, S.; Shi, Q.; Wang, L.; Yan, F.; Qu, J.-M.; Zhao, W.-L. Clinical Features and Outcomes of Pulmonary Lymphoma: A Single Center Experience of 180 Cases. Lung Cancer 2019, 132, 39–44. [Google Scholar] [CrossRef] [PubMed]
- He, H.; Tan, F.; Xue, Q.; Liu, L.; Peng, Y.; Bai, G.; Zhang, M.; Gao, S. Clinicopathological Characteristics and Prognostic Factors of Primary Pulmonary Lymphoma. J. Thorac. Dis. 2021, 13, 1106–1117. [Google Scholar] [CrossRef] [PubMed]
- Liu, A.-N.; Teng, K.-W.; Chew, Y.; Wang, P.-C.; Nguyen, T.T.H.; Kao, M.-C. The Effects of HP0044 and HP1275 Knockout Mutations on the Structure and Function of Lipopolysaccharide in Helicobacter Pylori Strain 26695. Biomedicines 2022, 10, 145. [Google Scholar] [CrossRef] [PubMed]
- Kelemen, K.; Rimsza, L.M.; Craig, F.E. Primary Pulmonary B-Cell Lymphoma. Semin. Diagn. Pathol. 2020, 37, 259–267. [Google Scholar] [CrossRef] [PubMed]
- Touil, I.; Ibn Hadj Amor, H.; Brahem, Y.; Bouchareb, S.; Ayeb, J.; Boussoffara, L.; Boudawara, N.K.; Knani, J. Pulmonary MALT Lymphoma Associated with Interstitial Pulmonary Disease. Respir. Med. Case Rep. 2022, 36, 101598. [Google Scholar] [CrossRef] [PubMed]
- Sanguedolce, F.; Zanelli, M.; Zizzo, M.; Bisagni, A.; Soriano, A.; Cocco, G.; Palicelli, A.; Santandrea, G.; Caprera, C.; Corsi, M.; et al. Primary Pulmonary B-Cell Lymphoma: A Review and Update. Cancers 2021, 13, 415. [Google Scholar] [CrossRef] [PubMed]
- Rogoziński, P.; Bruliński, K.; Malinowski, E.; Wandzel, P.; Kucharzewski, M. Guzkowy Rozrost Limfoidalny—Rzadki Przypadek Choroby Limfoproliferacyjnej w Płucach. Adv. Respir. Med. 2012, 81, 68–72. [Google Scholar] [CrossRef]
- Majid, N.; El Bakraoui, K.; Boukir, A.; Aassab, R.; Inrhaoun, H.; Errihani, H. Primary Pulmonary Lymphoma: About Five Cases and Literature Review. Lung India 2014, 31, 53. [Google Scholar] [CrossRef]
- Nasrullah, A.; Gordon, A.; Javed, A.; Tariq, U.; Raja, A.; Alhajhusain, A. Maltoma Veiled in the Lung-a Rare Case of Pulmonary and Gastric Maltoma. Respir. Med. Case Rep. 2021, 33, 101403. [Google Scholar] [CrossRef]
- Swarup, R. Bronchus-associated lymphoid tissue lymphoma stage IV with subsequent histologic transformation to an aggressive lymphoma: A case report. J. Med. Case Rep. 2011, 5, 455. [Google Scholar] [CrossRef]
- Diamantidis, M.; Chatzileontiadou, S.; Pantelidou, D.; Papaioannou, M. Prolonged Complete Remission in a Primary MALT Lymphoma of the Lung after Rituximab Monotherapy. Hippokratia 2017, 21, 108–110. [Google Scholar]
- Tiruneh, F.; Awan, A.; Amin, R.; Afreen, S.; Musa, A.; Davis, W. A Rare Case of Pulmonary Mucosa-Associated Lymphoid Tissue Lymphoma Transforming into Diffuse Large B-Cell Lymphoma. Cureus 2017, 9, e1373. [Google Scholar] [CrossRef]
- Zhou, H.; Yang, L.; Dang, Q.; Huang, J.; Cheng, Y.; Zhang, Y.; Shi, W. Ibrutinib Resistance in a Patient with Transformed Diffuse Large B-Cell Lymphoma from Primary Pulmonary Mucosa-Associated Lymphoid Tissue Lymphoma. Cancer Biol. Ther. 2020, 21, 303–308. [Google Scholar] [CrossRef]
- Chen, C.; Zhang, W.; Zhou, D.; Zhang, Y. Sintilimab and Chidamide for Refractory Transformed Diffuse Large B Cell Lymphoma: A Case Report and A Literature Review. Front. Oncol. 2021, 11, 757403. [Google Scholar] [CrossRef]
- Iftikhar, A.; Magh, A.; Cheema, M.; Thappa, S.; Sahni, S.; Karbowitz, S. Primary Pulmonary MALT Lymphoma Presenting as Non-Resolving Pneumonia. Adv. Respir. Med. 2017, 85, 202–205. [Google Scholar] [CrossRef]
- Deng, W.; Wan, Y.; Yu, J. Pulmonary MALT Lymphoma Has Variable Features on CT. Sci. Rep. 2019, 9, 8657. [Google Scholar] [CrossRef] [PubMed]
- Qiu, W.; Chen, H.; Zhang, J.; Shuai, R.; Zhang, H.; Guo, K.; Zhu, L.; Wang, Z. Evaluation of HRCT for the Differential Diagnosis of Pneumonia-Like Consolidation Pattern of Pulmonary MALT Lymphoma from Lobar Pneumonia. Cancer Manag. Res. 2021, 13, 7813–7821. [Google Scholar] [CrossRef]
- Wang, L.; Ye, G.; Liu, Z.; Shi, L.; Zhan, C.; Gu, J.; Luo, R.; Lin, Z.; Ge, D.; Wang, Q. Clinical Characteristics, Diagnosis, Treatment, and Prognostic Factors of Pulmonary Mucosa-associated Lymphoid Tissue-derived Lymphoma. Cancer Med. 2019, 8, 7660–7668. [Google Scholar] [CrossRef] [PubMed]
- Borie, R.; Wislez, M.; Antoine, M.; Fleury-Feith, J.; Thabut, G.; Crestani, B.; Monnet, I.; Nunes, H.; Delfau-Larue, M.-H.; Cadranel, J. Clonality and Phenotyping Analysis of Alveolar Lymphocytes Is Suggestive of Pulmonary MALT Lymphoma. Respir. Med. 2011, 105, 1231–1237. [Google Scholar] [CrossRef] [PubMed][Green Version]
- Du, C.; Zhang, J.; Wei, Y.; Bai, J.; Duan, M.C.; Liu, G.; He, Z.; Deng, J. Retrospective Analysis of 9 Cases of Primary Pulmonary Mucosa-Associated Lymphoid Tissue Lymphoma and Literature Review. Med. Sci. Monit. Basic Res. 2018, 24, 233–240. [Google Scholar] [CrossRef]
- Maeshima, A.M.; Taniguchi, H.; Toyoda, K.; Yamauchi, N.; Makita, S.; Fukuhara, S.; Munakata, W.; Maruyama, D.; Kobayashi, Y.; Tobinai, K. Clinicopathological Features of Histological Transformation from Extranodal Marginal Zone B-Cell Lymphoma of Mucosa-Associated Lymphoid Tissue to Diffuse Large B-Cell Lymphoma: An Analysis of 467 Patients. Br. J. Haematol. 2016, 174, 923–931. [Google Scholar] [CrossRef] [PubMed]
- Kiesewetter, B.; Lamm, W.; Dolak, W.; Lukas, J.; Mayerhoefer, M.E.; Weber, M.; Schiefer, A.; Christoph, K.; Bayer, G.; Simonitsch-Klupp, I.; et al. Transformed Mucosa-Associated Lymphoid Tissue Lymphomas: A Single Institution Retrospective Study Including Polymerase Chain Reaction-Based Clonality Analysis. Br. J. Haematol. 2019, 186, 448–459. [Google Scholar] [CrossRef] [PubMed]
- Huang, W.; Guo, L.; Liu, H.; Zheng, B. C-MYC Overexpression Predicts Aggressive Transformation and a Poor Outcome in Mucosa-Associated Lymphoid Tissue Lymphomas. Int. J. Clin. Exp. Pathol. 2014, 7, 5634–5644. [Google Scholar] [PubMed]
- Okamura, I.; Imai, H.; Mori, K.; Ogura, K.; Isoda, A.; Mihara, K.; Matsumoto, M.; Saito, R.; Takahashi, T.; Ikeda, T. Rituximab Monotherapy as a First-Line Treatment for Pulmonary Mucosa-Associated Lymphoid Tissue Lymphoma. Int. J. Hematol. 2014, 101, 46–51. [Google Scholar] [CrossRef] [PubMed]
- Xu, Y.; Zheng, M.; Guo, Q.; Wang, N.; Wang, R. Clinical Features and Survival Outcome of Early-Stage Primary Pulmonary MALT Lymphoma After Surgical Treatment. Front. Surg. 2021, 8, 713748. [Google Scholar] [CrossRef]
- Sangha, R.; Davies, N.M.; Namdar, A.; Chu, M.; Spratlin, J.; Beauchamp, E.; Berthiaume, L.G.; Mackey, J.R. Novel, First-in-Human, Oral PCLX-001 Treatment in a Patient with Relapsed Diffuse Large B-Cell Lymphoma. Curr. Oncol. 2022, 29, 1939–1946. [Google Scholar] [CrossRef]







| First Author | Age | Sex | Symptoms | Transformation Time | MALT Immunohistochemistry | DLBCL Immunohistochemistry | MALT Ki67 | DLBCL Ki67 |
|---|---|---|---|---|---|---|---|---|
| Swarup [11] | 59 | Male | Dyspnea, cough; weight loss, night sweats, fevers | 3 years | CD19(+), CD20(+), CD5(−), kappa(+) | NR | NR | NR |
| Diamantidis [12] | 68 | Male | Dyspnea, cough, hemoptysis, right chest pain | NR | NR | CD19(+), CD20(+), CD22(+), CD79a(+), CD5(−), CD10(−), CD23(−) (with focal transformation to high-grade) | NR | NR |
| Tiruneh [13] | 63 | Male | NR | NR | CD20(+), BCL2(+) | NR | NR | |
| Zhou [14] | 55 | Female | Cough | 3 years | LCA(+), CD20(+), CD79a(+), CD21(+), CD5(−), cyclinD1(−), CD43(−), CKpan(−), CK18(−) | CD3(−), CD5(−), CD43(−), CD20(+), CD79a(+), Pax-5(+), Bcl-2 50%(+), Bcl-6(+), CD10(+), MUM1(+), C-myc 40%(+), CD21(+), CD23(+), CD30(−), Cyclin D1(−), CD38(−), CD138(−), EBER(−) | 20% | 90% |
| Chen [15] | 71 | Male | Pain, leg edema, facial paralysis | 2 years | CD3(−), CD20(+), Bcl-2(+), CD23(−), CD10(−), Bcl-6(−), CD5(−), Cyclin D1(−), Mum-1(−) | CD20(+), Bcl-2(+), CD23(−), CD10(−), Bcl-6(+), CD5(−), Cyclin D1(−), Mum-1(+), c-Myc (<10%+), SOX11(−) | 10% | 70% |
| Presented case | 55 | Male | Cough, weakness | 2 years | NR | CD20(+), CD79(+), Bcl-2(+), CD5(−), CD10(−), CD23(−) | NR | 60% |
Disclaimer/Publisher’s Note: The statements, opinions and data contained in all publications are solely those of the individual author(s) and contributor(s) and not of MDPI and/or the editor(s). MDPI and/or the editor(s) disclaim responsibility for any injury to people or property resulting from any ideas, methods, instructions or products referred to in the content. |
© 2024 by the authors. Licensee MDPI, Basel, Switzerland. This article is an open access article distributed under the terms and conditions of the Creative Commons Attribution (CC BY) license (https://creativecommons.org/licenses/by/4.0/).
Share and Cite
Kiełbowski, K.; Kordykiewicz, D.; Jesionka, J.; Wójcik, J.; Ptaszyński, K.; Kostopanagiotou, K.; Waloszczyk, P.; Wojtyś, M.E. A Rare Case of Primary Pulmonary Diffuse Large B-Cell Lymphoma Transformed from Marginal Zone Mucosa-Associated Lymphoid Tissue Lymphoma. Medicina 2024, 60, 840. https://doi.org/10.3390/medicina60060840
Kiełbowski K, Kordykiewicz D, Jesionka J, Wójcik J, Ptaszyński K, Kostopanagiotou K, Waloszczyk P, Wojtyś ME. A Rare Case of Primary Pulmonary Diffuse Large B-Cell Lymphoma Transformed from Marginal Zone Mucosa-Associated Lymphoid Tissue Lymphoma. Medicina. 2024; 60(6):840. https://doi.org/10.3390/medicina60060840
Chicago/Turabian StyleKiełbowski, Kajetan, Dawid Kordykiewicz, Janusz Jesionka, Janusz Wójcik, Konrad Ptaszyński, Konstantinos Kostopanagiotou, Piotr Waloszczyk, and Małgorzata Edyta Wojtyś. 2024. "A Rare Case of Primary Pulmonary Diffuse Large B-Cell Lymphoma Transformed from Marginal Zone Mucosa-Associated Lymphoid Tissue Lymphoma" Medicina 60, no. 6: 840. https://doi.org/10.3390/medicina60060840
APA StyleKiełbowski, K., Kordykiewicz, D., Jesionka, J., Wójcik, J., Ptaszyński, K., Kostopanagiotou, K., Waloszczyk, P., & Wojtyś, M. E. (2024). A Rare Case of Primary Pulmonary Diffuse Large B-Cell Lymphoma Transformed from Marginal Zone Mucosa-Associated Lymphoid Tissue Lymphoma. Medicina, 60(6), 840. https://doi.org/10.3390/medicina60060840

