A Rare Intersection of Septic Cavernous Sinus Thrombosis and Subarachnoid Hemorrhage: Insights from the Case of a 70-Year-Old Patient
Abstract
1. Introduction
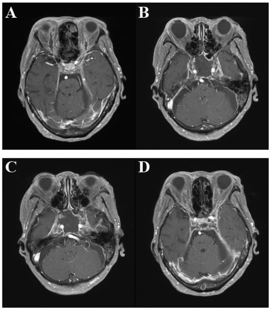
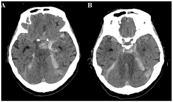
2. Case Presentation
3. Discussion
4. Conclusions
Author Contributions
Funding
Institutional Review Board Statement
Informed Consent Statement
Data Availability Statement
Conflicts of Interest
References
- Ikawa, F.; Michihata, N.; Matsushige, T.; Abiko, M.; Ishii, D.; Oshita, J.; Okazaki, T.; Sakamoto, S.; Kurogi, R.; Iihara, K.; et al. In-hospital mortality and poor outcome after surgical clipping and endovascular coiling for aneurysmal subarachnoid hemorrhage using nationwide databases: A systematic review and meta-analysis. Neurosurg. Rev. 2020, 43, 655–667. [Google Scholar] [CrossRef] [PubMed]
- Sofferman, R.A. Cavernous sinus thrombophlebitis secondary to sphenoid sinusitis. Laryngoscope 1983, 93, 797–800. [Google Scholar] [CrossRef] [PubMed]
- Weerasinghe, D.; Lueck, C.J. Septic Cavernous Sinus Thrombosis: Case Report and Review of the Literature. Neuro-Ophthalmology 2016, 40, 263–276. [Google Scholar] [CrossRef] [PubMed]
- Sethi, P.; Jones, S.T.; Valenzuela, A.A. Septic cavernous sinus thrombosis with diffuse spread leading to cerebral ischemia. Orbit 2013, 32, 330–332. [Google Scholar] [CrossRef] [PubMed]
- Dolapsakis, C.; Kranidioti, E.; Katsila, S.; Samarkos, M. Cavernous sinus thrombosis due to ipsilateral sphenoid sinusitis. BMJ Case Rep. 2019, 12, e227302. [Google Scholar] [CrossRef] [PubMed]
- Kotagiri, R.; Saunders, A.T. Septic Bilateral Cavernous Sinus Thrombosis With Persistent Methicillin-Resistant Staphylococcus Aureus Bacteremia. Cureus 2020, 12, e8554. [Google Scholar] [CrossRef] [PubMed]
- Arévalo-Lorido, J.C.; Carretero-Gómez, J. Cerebral Venous Thrombosis with Subarachnoid Hemorrhage: A Case Report. Clin. Med. Res. 2015, 13, 40–43. [Google Scholar] [CrossRef] [PubMed][Green Version]
- Mayo, J.N.; Beard, R.S., Jr.; Price, T.O.; Chen, C.-H.; Erickson, M.A.; Ercal, N.; Banks, W.A.; Bearden, S.E. Nitrative Stress in Cerebral Endothelium is Mediated by mGluR5 in Hyperhomocysteinemia. J. Cereb. Blood Flow Metab. 2012, 32, 825–834. [Google Scholar] [CrossRef] [PubMed]
- Einhäupl, K.; Stam, J.; Bousser, M.; De Bruijn, S.F.T.M.; Ferro, J.M.; Martinelli, I.; Masuhr, F. EFNS guideline on the treatment of cerebral venous and sinus thrombosis in adult patients. Eur. J. Neurol. 2010, 17, 1229–1235. [Google Scholar] [CrossRef] [PubMed]
- Ulivi, L.; Squitieri, M.; Cohen, H.; Cowley, P.; Werring, D.J. Cerebral venous thrombosis: A practical guide. Pract. Neurol. 2020, 20, 356–367. [Google Scholar] [CrossRef] [PubMed]
- Southwick, F.S.; Richardoson, E.P., Jr.; Swartz, M.N. Septic Thrombosis of the Dural Venous Sinuses. Medicine 1986, 65, 82–106. [Google Scholar] [CrossRef] [PubMed]
- Yarington, C.T., Jr. The Prognosis and Treatment of Cavernous Sinus Thrombosis. Review of 878 cases in the literature. Ann. Otol. Rhinol. Laryngol. 1961, 70, 263–267. [Google Scholar] [CrossRef] [PubMed]
- Khatri, I.A.; Wasay, M. Septic cerebral venous sinus thrombosis. J. Neurol. Sci. 2016, 362, 221–227. [Google Scholar] [CrossRef] [PubMed]


| Author | Age (yrs) | Gender | Infection Source | Co-Morbidity | Organism | Antibiotic Choice | Anti-Coagulant | Surgical Treatment | Outcome |
|---|---|---|---|---|---|---|---|---|---|
| Sofferman et al. [2] | 18 | Male | Sphenoid sinusitis | N/A | Bacteriodes, Streptococcus intermedius, mixed anaerobe | Penicillin, Chloramphenicol, Aminoglycoside | Not used | Trans-septal sphenoidotomy | Full recovery |
| Weerasinghe et al. [3] | 41 | Male | Nasal furuncle | N/A | MSSA | Penicillin, Ceftriaxone, carbapenem, linezolid | Enoxaparin for 30 days | No | Full recovery |
| Sethi et al. [4] | 25 | Male | Nasal furuncle | Hepatitis C | MRSA | Vancomycin, Piperacillin/Tazobactam, Amphotericin-B | Unfractionated heparin | No | Expired |
| Dolapsakis et al. [5] | 70 | Female | Sphenoid sinusitis | Coronary artery disease, Diabetes mellitus | No finding | Vancomycin, Meropenem, Metronidazole | Enoxaparin for 2 days | No | Expired |
| Kotagiri et al. [6] | 31 | Female | Bacteremia | Methamphetamine abuse | MRSA | Vancomycin, Ceftriaxone, linezolid | Unfractionated heparin | No | Expired |
Disclaimer/Publisher’s Note: The statements, opinions and data contained in all publications are solely those of the individual author(s) and contributor(s) and not of MDPI and/or the editor(s). MDPI and/or the editor(s) disclaim responsibility for any injury to people or property resulting from any ideas, methods, instructions or products referred to in the content. |
© 2024 by the authors. Licensee MDPI, Basel, Switzerland. This article is an open access article distributed under the terms and conditions of the Creative Commons Attribution (CC BY) license (https://creativecommons.org/licenses/by/4.0/).
Share and Cite
Li, C.-R.; Chen, P.-H.; Chen, S.-Y.; Yang, T.-H.; Chang, C.-S.; Shen, C.-Y.; Chan, F.-H. A Rare Intersection of Septic Cavernous Sinus Thrombosis and Subarachnoid Hemorrhage: Insights from the Case of a 70-Year-Old Patient. Medicina 2024, 60, 253. https://doi.org/10.3390/medicina60020253
Li C-R, Chen P-H, Chen S-Y, Yang T-H, Chang C-S, Shen C-Y, Chan F-H. A Rare Intersection of Septic Cavernous Sinus Thrombosis and Subarachnoid Hemorrhage: Insights from the Case of a 70-Year-Old Patient. Medicina. 2024; 60(2):253. https://doi.org/10.3390/medicina60020253
Chicago/Turabian StyleLi, Chi-Ruei, Po-Han Chen, Se-Yi Chen, Tsung-Hsi Yang, Cheng-Siu Chang, Chao-Yu Shen, and Fook-How Chan. 2024. "A Rare Intersection of Septic Cavernous Sinus Thrombosis and Subarachnoid Hemorrhage: Insights from the Case of a 70-Year-Old Patient" Medicina 60, no. 2: 253. https://doi.org/10.3390/medicina60020253
APA StyleLi, C.-R., Chen, P.-H., Chen, S.-Y., Yang, T.-H., Chang, C.-S., Shen, C.-Y., & Chan, F.-H. (2024). A Rare Intersection of Septic Cavernous Sinus Thrombosis and Subarachnoid Hemorrhage: Insights from the Case of a 70-Year-Old Patient. Medicina, 60(2), 253. https://doi.org/10.3390/medicina60020253

