Surgery for an Uncommon Pathology: Pancreatic Metastases from Renal Cell Carcinoma—Indications, Type of Pancreatectomy, and Outcomes in a Single-Center Experience
Abstract
1. Introduction
2. Materials and Methods
Statistical Analyses
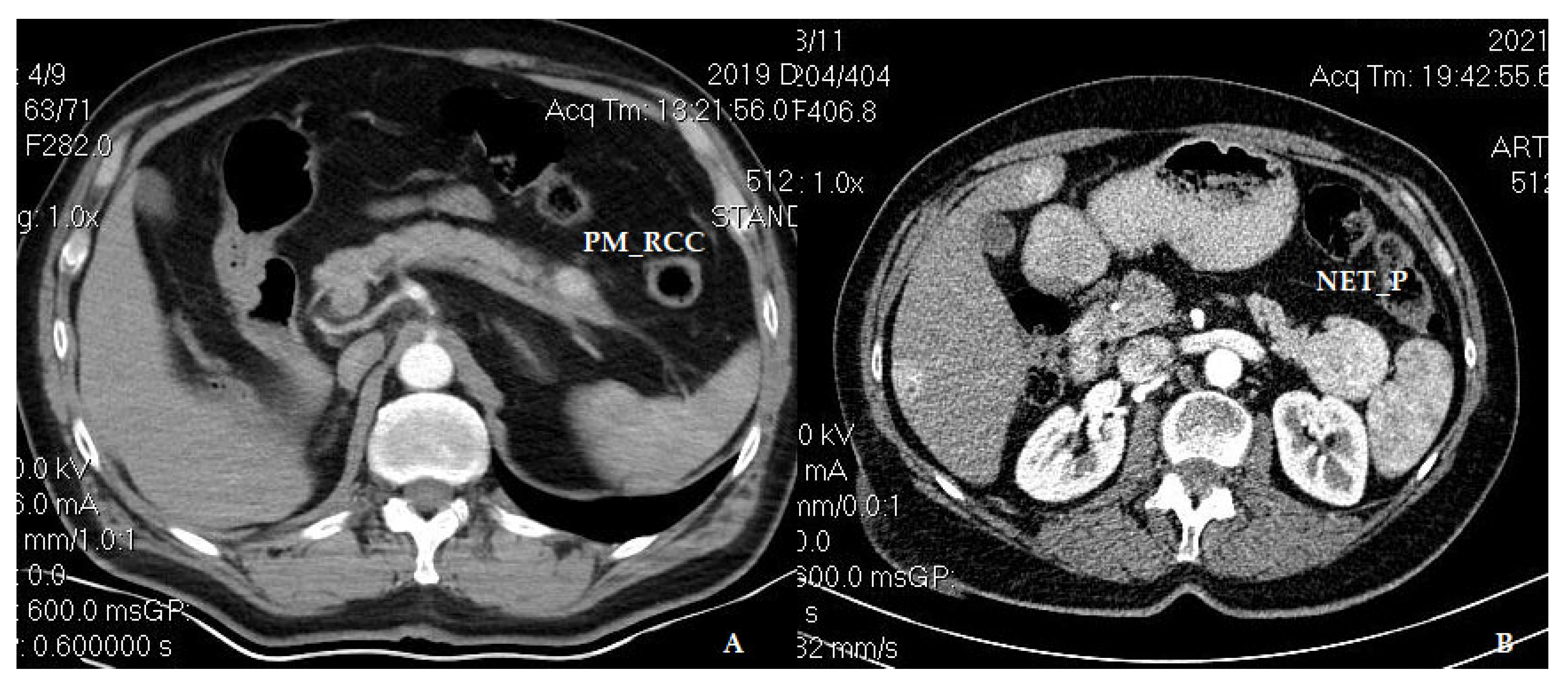
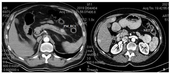
3. Results
4. Discussion
5. Conclusions
Author Contributions
Funding
Institutional Review Board Statement
Informed Consent Statement
Data Availability Statement
Conflicts of Interest
References
- Dar, F.S.; Mukherjee, S.; Bhattacharya, S. Surgery for Secondary Tumors of the Pancreas. HPB 2008, 10, 498–500. [Google Scholar] [CrossRef] [PubMed]
- Fang, Y.; Tang, M.; Zhou, W.-T.; Lou, W.-H. Survival Benefit of Pancreatic Metastasectomy of Clear Cell Renal Cell Carcinoma. Chin. Med. J. 2019, 132, 2751–2753. [Google Scholar] [CrossRef] [PubMed]
- Yu, Q.; Kan, F.; Ma, Z.; Wang, T.; Lin, G.; Chen, B.; Zhao, W. CT Diagnosis for Metastasis of Clear Cell Renal Cell Carcinoma to the Pancreas: Three Case Reports. Medicine 2018, 97, e13200. [Google Scholar] [CrossRef] [PubMed]
- Gajendra, S. Metastatic Renal Cell Carcinoma: An Unusual Cause of Bleeding Pancreatic Mass. J. Clin. Diagn. Res. 2015, 9, ED15–ED19. [Google Scholar] [CrossRef] [PubMed]
- Adsay, N.V.; Andea, A.; Basturk, O.; Kilinc, N.; Nassar, H.; Cheng, D. Secondary Tumors of the Pancreas: An Analysis of a Surgical and Autopsy Database and Review of the Literature. Virchows Arch. 2004, 444, 527–535. [Google Scholar] [CrossRef] [PubMed]
- Crippa, S.; Angelini, C.; Mussi, C.; Bonardi, C.; Romano, F.; Sartori, P.; Uggeri, F.; Bovo, G. Surgical Treatment of Metastatic Tumors to the Pancreas: A Single Center Experience and Review of the Literature. World J. Surg. 2006, 30, 1536. [Google Scholar] [CrossRef]
- Grassi, P.; Doucet, L.; Giglione, P.; Grünwald, V.; Melichar, B.; Galli, L.; De Giorgi, U.; Sabbatini, R.; Ortega, C.; Santoni, M.; et al. Clinical Impact of Pancreatic Metastases from Renal Cell Carcinoma: A Multicenter Retrospective Analysis. PLoS ONE 2016, 11, e0151662. [Google Scholar] [CrossRef] [PubMed]
- Sellner, F. Isolated Pancreatic Metastases from Renal Cell Carcinoma: An Outcome of a Special Metastatic Pathway or of Specific Tumor Cell Selection? Clin. Exp. Metastasis 2018, 35, 91–102. [Google Scholar] [CrossRef] [PubMed]
- Chikhladze, S.; Lederer, A.-K.; Kühlbrey, C.M.; Hipp, J.; Sick, O.; Fichtner-Feigl, S.; Wittel, U.A. Curative-Intent Pancreas Resection for Pancreatic Metastases: Surgical and Oncological Results. Clin. Exp. Metastasis 2020, 37, 313–324. [Google Scholar] [CrossRef] [PubMed]
- Strobel, O.; Hackert, T.; Hartwig, W.; Bergmann, F.; Hinz, U.; Wente, M.N.; Fritz, S.; Schneider, L.; Büchler, M.W.; Werner, J. Survival Data Justifies Resection for Pancreatic Metastases. Ann. Surg. Oncol. 2009, 16, 3340–3349. [Google Scholar] [CrossRef]
- Sweeney, A.D.; Fisher, W.E.; Wu, M.-F.; Hilsenbeck, S.G.; Brunicardi, F.C. Value of Pancreatic Resection for Cancer Metastatic to the Pancreas. J. Surg. Res. 2009, 156, 189–198. [Google Scholar] [CrossRef]
- Untch, B.R.; Allen, P.J. Pancreatic Metastasectomy: The Memorial Sloan-Kettering Experience and a Review of the Literature. J. Surg. Oncol. 2014, 109, 28–30. [Google Scholar] [CrossRef]
- Adler, H.; Redmond, C.E.; Heneghan, H.M.; Swan, N.; Maguire, D.; Traynor, O.; Hoti, E.; Geoghegan, J.G.; Conlon, K.C. Pancreatectomy for Metastatic Disease: A Systematic Review. Eur. J. Surg. Oncol. 2014, 40, 379–386. [Google Scholar] [CrossRef] [PubMed]
- Ito, T.; Takada, R.; Omoto, S.; Tsuda, M.; Masuda, D.; Kato, H.; Matsumoto, T.; Moriyama, I.; Okabe, Y.; Shiomi, H.; et al. Analysis of Prognostic Factors in Pancreatic Metastases: A Multicenter Retrospective Analysis. Pancreas 2018, 47, 1033–1039. [Google Scholar] [CrossRef] [PubMed]
- Huang, Q.; Zhou, H.; Liu, C.; Jin, K.; Fan, K.; Cheng, H.; Fan, Z.; Yang, C.; Liu, L.; Long, J.; et al. Surgical Resection for Metastatic Tumors in the Pancreas: A Single-Center Experience and Systematic Review. Ann. Surg. Oncol. 2019, 26, 1649–1656. [Google Scholar] [CrossRef] [PubMed]
- Duarte, C.; Hu, J.; Beuselinck, B.; Panian, J.; Weise, N.; Dizman, N.; Collier, K.A.; Rathi, N.; Li, H.; Elias, R.; et al. Metastatic Renal Cell Carcinoma to the Pancreas and Other Sites—A Multicenter Retrospective Study. eClinicalMedicine 2023, 60, 102018. [Google Scholar] [CrossRef] [PubMed]
- Di Franco, G.; Gianardi, D.; Palmeri, M.; Furbetta, N.; Guadagni, S.; Bianchini, M.; Bonari, F.; Sbrana, A.; Vasile, E.; Pollina, L.E.; et al. Pancreatic Resections for Metastases: A Twenty-Year Experience from a Tertiary Care Center. Eur. J. Surg. Oncol. 2020, 46, 825–831. [Google Scholar] [CrossRef]
- Shin, T.J.; Song, C.; Jeong, C.W.; Kwak, C.; Seo, S.; Kang, M.; Chung, J.; Hong, S.; Hwang, E.C.; Park, J.Y.; et al. Metastatic Renal Cell Carcinoma to the Pancreas: Clinical Features and Treatment Outcome. J. Surg. Oncol. 2021, 123, 204–213. [Google Scholar] [CrossRef]
- Singla, N.; Xie, Z.; Zhang, Z.; Gao, M.; Yousuf, Q.; Onabolu, O.; McKenzie, T.; Tcheuyap, V.T.; Ma, Y.; Choi, J.; et al. Pancreatic Tropism of Metastatic Renal Cell Carcinoma. JCI Insight 2020, 5, e134564. [Google Scholar] [CrossRef] [PubMed]
- Malleo, G.; Salvia, R.; Maggino, L.; Marchegiani, G.; D’Angelica, M.; DeMatteo, R.; Kingham, P.; Pulvirenti, A.; Sereni, E.; Jarnagin, W.R.; et al. Long-Term Outcomes After Surgical Resection of Pancreatic Metastases from Renal Clear-Cell Carcinoma. Ann. Surg. Oncol. 2021, 28, 3100–3108. [Google Scholar] [CrossRef]
- Cignoli, D.; Fallara, G.; Aleotti, F.; Larcher, A.; Rosiello, G.; Rowe, I.; Basile, G.; Colandrea, G.; Martini, A.; De Cobelli, F.; et al. Pancreatic Metastases after Surgery for Renal Cell Carcinoma: Survival and Pathways of Progression. World J. Urol. 2022, 40, 2481–2488. [Google Scholar] [CrossRef] [PubMed]
- Boubaddi, M.; Marichez, A.; Adam, J.P.; Chiche, L.; Laurent, C. Long-Term Outcomes after Surgical Resection of Pancreatic Metastases from Renal Clear-Cell Carcinoma. Eur. J. Surg. Oncol. 2024, 50, 107960. [Google Scholar] [CrossRef]
- PancreasGroup.org Collaborative; Fusai, G.K.; Raptis, D.A.; Hilal, M.A.; Bassi, C.; Besselink, M.; Conlon, K.; Davidson, B.; Del Chiaro, M.; Dervenis, C.; et al. Pancreatic Surgery Outcomes: Multicentre Prospective Snapshot Study in 67 Countries. Br. J. Surg. 2024, 111, znad330. [Google Scholar] [CrossRef]
- Jaen-Torrejimeno, I.; Rojas-Holguín, A.; López-Guerra, D.; Ramia, J.M.; Blanco-Fernández, G. Pancreatic Resection for Metastatic Renal Cell Carcinoma. A Systematic Review. HPB 2020, 22, 479–486. [Google Scholar] [CrossRef] [PubMed]
- Ballarin, R. Pancreatic Metastases from Renal Cell Carcinoma: The State of the Art. World J. Gastroenterol. 2011, 17, 4747. [Google Scholar] [CrossRef]
- Ouzaid, I.; Capitanio, U.; Staehler, M.; Wood, C.G.; Leibovich, B.C.; Ljungberg, B.; Van Poppel, H.; Bensalah, K. Surgical Metastasectomy in Renal Cell Carcinoma: A Systematic Review. Eur. Urol. Oncol. 2019, 2, 141–149. [Google Scholar] [CrossRef]
- Rodger, F.E.; Brennan, P.T.; Nair, R.; Holroyd, D.J. The Role of Hepatic and Pancreatic Metastatectomy in the Management of Metastatic Renal Cell Carcinoma: A Systematic Review. Surg. Oncol. 2022, 44, 101819. [Google Scholar] [CrossRef]
- Hajibandeh, S.; Hajibandeh, S.; Romman, S.; Ghassemi, N.; Evans, D.; Laing, R.W.; Durkin, D.; Athwal, T.S. Pancreatic Resection for Metastasis from Renal Cell Carcinoma: A Single Institution Experience and Meta-Analysis of Survival Outcomes. Pancreatology 2024, 24, 160–168. [Google Scholar] [CrossRef] [PubMed]
- Wang, X.; Qian, L.; Qian, Z.; Wu, Q.; Cheng, D.; Wei, J.; Song, L.; Huang, S.; Chen, X.; Wang, P.; et al. Therapeutic Options for Different Metastatic Sites Arising from Renal Cell Carcinoma: A Review. Medicine 2024, 103, e38268. [Google Scholar] [CrossRef]
- Qiu, J.; Fu, Y.; Liu, T.; Wang, J.; Liu, Y.; Zhang, Z.; Ye, Z.; Cao, Z.; Su, D.; Luo, W.; et al. Single-Cell RNA-Seq Reveals Heterogeneity in Metastatic Renal Cell Carcinoma and Effect of Anti-Angiogenesis Therapy in the Pancreas Metastatic Lesion. Cancer Lett. 2024, 601, 217193. [Google Scholar] [CrossRef] [PubMed]
- Ljungberg, B.; Albiges, L.; Abu-Ghanem, Y.; Bedke, J.; Capitanio, U.; Dabestani, S.; Fernández-Pello, S.; Giles, R.H.; Hofmann, F.; Hora, M.; et al. European Association of Urology Guidelines on Renal Cell Carcinoma: The 2022 Update. Eur. Urol. 2022, 82, 399–410. [Google Scholar] [CrossRef] [PubMed]
- Rathmell, W.K.; Rumble, R.B.; Van Veldhuizen, P.J.; Al-Ahmadie, H.; Emamekhoo, H.; Hauke, R.J.; Louie, A.V.; Milowsky, M.I.; Molina, A.M.; Rose, T.L.; et al. Management of Metastatic Clear Cell Renal Cell Carcinoma: ASCO Guideline. J. Clin. Oncol. 2022, 40, 2957–2995. [Google Scholar] [CrossRef]
- National Comprehensive Cancer Network. Clinical Practice Guidelines in Oncology (NCCN Guidelines®) for kidney cancer—Version 3.2024. Available online: https://www.nccn.org/professionals/physician_gls/pdf/kidney.pdf (accessed on 1 September 2024).
- Escudier, B.; Porta, C.; Schmidinger, M.; Rioux-Leclercq, N.; Bex, A.; Khoo, V.; Grünwald, V.; Gillessen, S.; Horwich, A. Renal Cell Carcinoma: ESMO Clinical Practice Guidelines for Diagnosis, Treatment and Follow-Up. Ann. Oncol. 2019, 30, 706–720. [Google Scholar] [CrossRef]
- Hsieh, P.-Y.; Hung, S.-C.; Li, J.-R.; Wang, S.-S.; Yang, C.-K.; Chen, C.-S.; Lu, K.; Cheng, C.-L.; Chiu, K.-Y. The Effect of Metastasectomy on Overall Survival in Metastatic Renal Cell Carcinoma: A Systematic Review and Meta-Analysis. Urol. Oncol. Semin. Orig. Investig. 2021, 39, 422–430. [Google Scholar] [CrossRef] [PubMed]
- Dabestani, S.; Marconi, L.; Hofmann, F.; Stewart, F.; Lam, T.B.L.; Canfield, S.E.; Staehler, M.; Powles, T.; Ljungberg, B.; Bex, A. Local Treatments for Metastases of Renal Cell Carcinoma: A Systematic Review. Lancet Oncol. 2014, 15, e549–e561. [Google Scholar] [CrossRef]
- Adashek, J.J.; Aydin, A.M.; Kim, P.; Spiess, P.E. The Role of Metastasectomy in the Treatment of Metastatic Renal Cell Carcinoma. AME Med. J. 2019, 4, 30. [Google Scholar] [CrossRef]
- Tanis, P.J.; Van Der Gaag, N.A.; Busch, O.R.C.; Van Gulik, T.M.; Gouma, D.J. Systematic Review of Pancreatic Surgery for Metastatic Renal Cell Carcinoma. Br. J. Surg. 2009, 96, 579–592. [Google Scholar] [CrossRef]
- Milanetto, A.C.; Morelli, L.; Di Franco, G.; David, A.; Campra, D.; De Paolis, P.; Pasquali, C. A Plea for Surgery in Pancreatic Metastases from Renal Cell Carcinoma: Indications and Outcome from a Multicenter Surgical Experience. J. Clin. Med. 2020, 9, 3278. [Google Scholar] [CrossRef]
- Sellner, F.; Thalhammer, S.; Klimpfinger, M. Isolated Pancreatic Metastases of Renal Cell Carcinoma—Clinical Particularities and Seed and Soil Hypothesis. Cancers 2023, 15, 339. [Google Scholar] [CrossRef]
- Sellner, F. Observations on Solitary Versus Multiple Isolated Pancreatic Metastases of Renal Cell Carcinoma: Another Indication of a Seed and Soil Mechanism? Cancers 2019, 11, 1379. [Google Scholar] [CrossRef] [PubMed]
- Yano, R.; Yokota, T.; Morita, M.; Amano, M.; Ochi, H.; Azemoto, N.; Mashiba, T.; Joko, K. Metastasis from Renal Cell Carcinoma to Ectopic Pancreas Diagnosed after Resection. Intern. Med. 2023, 62, 1011–1015. [Google Scholar] [CrossRef] [PubMed]
- Fahlbusch, T.; Luu, A.M.; Braumann, C.; Lukas, C.; Uhl, W.; Künzli, B.M. Lipomatous Pancreas Facilitates Late Onset of Renal Cell Carcinoma Metastases. Acta Chir. Belg. 2021, 121, 314–319. [Google Scholar] [CrossRef]
- Yagi, T.; Hashimoto, D.; Taki, K.; Yamamura, K.; Chikamoto, A.; Ohmuraya, M.; Beppu, T.; Baba, H. Surgery for Metastatic Tumors of the Pancreas. Surg. Case Rep. 2017, 3, 31. [Google Scholar] [CrossRef] [PubMed]
- Tosoian, J.J.; Cameron, J.L.; Allaf, M.E.; Hruban, R.H.; Nahime, C.B.; Pawlik, T.M.; Pierorazio, P.M.; Reddy, S.; Wolfgang, C.L. Resection of Isolated Renal Cell Carcinoma Metastases of the Pancreas: Outcomes from the Johns Hopkins Hospital. J. Gastrointest. Surg. 2014, 18, 542–548. [Google Scholar] [CrossRef] [PubMed]
- Persano, I.; Parlagreco, E.; La Salvia, A.; Audisio, M.; Volante, M.; Buttigliero, C.; Scagliotti, G.V.; Brizzi, M.P. Synchronous or Metachronous Presentation of Pancreatic Neuroendocrine Tumor versus Secondary Lesion to Pancreas in Patients Affected by Renal Cell Carcinoma. Systematic Review. Semin. Oncol. 2022, 49, 476–481. [Google Scholar] [CrossRef]
- Van Der Pol, C.B.; Lee, S.; Tsai, S.; Larocque, N.; Alayed, A.; Williams, P.; Schieda, N. Differentiation of Pancreatic Neuroendocrine Tumors from Pancreas Renal Cell Carcinoma Metastases on CT Using Qualitative and Quantitative Features. Abdom. Radiol. 2019, 44, 992–999. [Google Scholar] [CrossRef]
- Krisboi, I.; Breazu, C.; Pop, M.; Iancu, C.; Bartoş, A. Multiple Pancreatic Metastasis of Clear Renal Cell Carcinoma Associated with Neuroendocrine Tumor. Chirurgia 2023, 118, 317. [Google Scholar] [CrossRef] [PubMed]
- Zaid, H.B.; Parker, W.P.; Safdar, N.S.; Gershman, B.; Erwin, P.J.; Murad, M.H.; Boorjian, S.A.; Costello, B.A.; Thompson, R.H.; Leibovich, B.C. Outcomes Following Complete Surgical Metastasectomy for Patients with Metastatic Renal Cell Carcinoma: A Systematic Review and Meta-Analysis. J. Urol. 2017, 197, 44–49. [Google Scholar] [CrossRef]
- Hirashita, T.; Iwashita, Y.; Endo, Y.; Fujinaga, A.; Shin, T.; Mimata, H.; Inomata, M. How Should We Treat Pancreatic Metastases from Renal Cell Carcinoma? A Meta-Analysis. World J. Surg. 2021, 45, 2191–2199. [Google Scholar] [CrossRef]
- Mikhail, M.; Chua, K.J.; Khizir, L.; Tabakin, A.; Singer, E.A. Role of Metastasectomy in the Management of Renal Cell Carcinoma. Front. Surg. 2022, 9, 943604. [Google Scholar] [CrossRef] [PubMed]
- Tenold, M.; Ravi, P.; Kumar, M.; Bowman, A.; Hammers, H.; Choueiri, T.K.; Lara, P.N. Current Approaches to the Treatment of Advanced or Metastatic Renal Cell Carcinoma. Am. Soc. Clin. Oncol. Educ. Book 2020, 40, 187–196. [Google Scholar] [CrossRef] [PubMed]
- Yuasa, T.; Inoshita, N.; Saiura, A.; Yamamoto, S.; Urakami, S.; Masuda, H.; Fujii, Y.; Fukui, I.; Ishikawa, Y.; Yonese, J. Clinical Outcome of Patients with Pancreatic Metastases from Renal Cell Cancer. BMC Cancer 2015, 15, 46. [Google Scholar] [CrossRef] [PubMed]
- Lee, S.-R.; Gemenetzis, G.; Cooper, M.; Javed, A.A.; Cameron, J.L.; Wolfgang, C.L.; Eckhauser, F.E.; He, J.; Weiss, M.J. Long-Term Outcomes of 98 Surgically Resected Metastatic Tumors in the Pancreas. Ann. Surg. Oncol. 2017, 24, 801–807. [Google Scholar] [CrossRef] [PubMed]
- Bauschke, A.; Altendorf-Hofmann, A.; Ali Deeb, A.; Kissler, H.; Tautenhahn, H.-M.; Settmacher, U. Chirurgische Therapie von Leber- und Pankreasmetastasen von Nierenzellkarzinomen. Chirurg 2021, 92, 948–954. [Google Scholar] [CrossRef] [PubMed]
- Moletta, L.; Friziero, A.; Serafini, S.; Grillo, V.; Pierobon, E.S.; Capovilla, G.; Valmasoni, M.; Sperti, C. Safety and Efficacy of Surgery for Metastatic Tumor to the Pancreas: A Single-Center Experience. J. Clin. Med. 2023, 12, 1171. [Google Scholar] [CrossRef]
- Dumitrascu, T.; Scarlat, A.; Ionescu, M.; Popescu, I. Central Pancreatectomy: An Oncologically Safe Option to Treat Metastases of Other Neoplasms of the Mid-Portion of the Pancreas? Ann. Hepato-Biliary-Pancreat. Surg. 2017, 21, 76. [Google Scholar] [CrossRef] [PubMed]
- Brozzetti, S.; Carati, M.; Sterpetti, A.V. Systematic Review and Meta-Analysis of Clinical Outcomes after Enucleation of Pancreatic Metastases from Renal Cell Carcinoma. Dig. Surg. 2023, 40, 9–20. [Google Scholar] [CrossRef] [PubMed]
- Patyutko, Y.I.; Kotelnikov, A.G.; Kriger, A.G.; Proskuryakov, I.S.; Galkin, G.V.; Polyakov, A.N.; Fainstein, I.A. Metastatic Renal Cell Carcinoma to the Pancreas: Experience of Surgical Treatment. Khirurgiya Zhurnal Im NI Pirogova 2019, 9, 25. [Google Scholar] [CrossRef] [PubMed]
- Blanco-Fernández, G.; Fondevila-Campo, C.; Sanjuanbenito, A.; Fabregat-Prous, J.; Secanella-Medayo, L.; Rotellar-Sastre, F.; Pardo-Sánchez, F.; Prieto-Calvo, M.; Marín-Ortega, H.; Sánchez-Cabús, S.; et al. Pancreatic Metastases from Renal Cell Carcinoma. Postoperative Outcome after Surgical Treatment in a Spanish Multicenter Study (PANMEKID). Eur. J. Surg. Oncol. 2022, 48, 133–141. [Google Scholar] [CrossRef] [PubMed]
- Bassi, C.; Butturini, G.; Falconi, M.; Sargenti, M.; Mantovani, W.; Pederzoli, P. High Recurrence Rate after Atypical Resection for Pancreatic Metastases from Renal Cell Carcinoma. Br. J. Surg. 2003, 90, 555–559. [Google Scholar] [CrossRef] [PubMed]
- Konstantinidis, I.T.; Dursun, A.; Zheng, H.; Wargo, J.A.; Thayer, S.P.; Fernandez-del Castillo, C.; Warshaw, A.L.; Ferrone, C.R. Metastatic Tumors in the Pancreas in the Modern Era. J. Am. Coll. Surg. 2010, 211, 749–753. [Google Scholar] [CrossRef] [PubMed]
- Wiltberger, G.; Bucher, J.N.; Krenzien, F.; Benzing, C.; Atanasov, G.; Schmelzle, M.; Hau, H.-M.; Bartels, M. Extended Resection in Pancreatic Metastases: Feasibility, Frequency, and Long-Term Outcome: A Retrospective Analysis. BMC Surg. 2015, 15, 126. [Google Scholar] [CrossRef]
- Wente, M.N.; Kleeff, J.; Esposito, I.; Hartel, M.; Müller, M.W.; Fröhlich, B.E.; Büchler, M.W.; Friess, H. Renal Cancer Cell Metastasis Into the Pancreas: A Single-Center Experience and Overview of the Literature. Pancreas 2005, 30, 218–222. [Google Scholar] [CrossRef] [PubMed]
- Brozzetti, S.; Bini, S.; De Lio, N.; Lombardo, C.; Boggi, U. Surgical-Only Treatment of Pancreatic and Extra-Pancreatic Metastases from Renal Cell Carcinoma - Quality of Life and Survival Analysis. BMC Surg. 2020, 20, 101. [Google Scholar] [CrossRef]
- Schwarz, L.; Sauvanet, A.; Regenet, N.; Mabrut, J.Y.; Gigot, J.F.; Housseau, E.; Millat, B.; Ouaissi, M.; Gayet, B.; Fuks, D.; et al. Long-Term Survival After Pancreatic Resection for Renal Cell Carcinoma Metastasis. Ann. Surg. Oncol. 2014, 21, 4007–4013. [Google Scholar] [CrossRef]
- Masetti, M.; Zanini, N.; Martuzzi, F.; Fabbri, C.; Mastrangelo, L.; Landolfo, G.; Fornelli, A.; Burzi, M.; Vezzelli, E.; Jovine, E. Analysis of Prognostic Factors in Metastatic Tumors of the Pancreas: A Single-Center Experience and Review of the Literature. Pancreas 2010, 39, 135–143. [Google Scholar] [CrossRef] [PubMed]
- Riemenschneider, K.A.; Farooqui, W.; Penninga, L.; Storkholm, J.H.; Hansen, C.P. The Results of Surgery for Renal Cell Carcinoma Metastases of the Pancreas. Scand. J. Gastroenterol. 2024, 59, 354–360. [Google Scholar] [CrossRef]
- Anderson, B.; Williams, G.A.; Sanford, D.E.; Liu, J.; Dageforde, L.A.; Hammill, C.W.; Fields, R.C.; Hawkins, W.G.; Strasberg, S.M.; Doyle, M.B.; et al. A 22-Year Experience with Pancreatic Resection for Metastatic Renal Cell Carcinoma. HPB 2020, 22, 312–317. [Google Scholar] [CrossRef] [PubMed]
- Al-Madhi, S.; Acciuffi, S.; Meyer, F.; Dölling, M.; Beythien, A.; Andric, M.; Rahimli, M.; Croner, R.S.; Perrakis, A. The Pancreas as a Target of Metastasis from Renal Cell Carcinoma: Is Surgery Feasible and Safe? A Single-Center Experience in a High-Volume and Certified Pancreatic Surgery Center in Germany. J. Clin. Med. 2024, 13, 1921. [Google Scholar] [CrossRef] [PubMed]
- Shimizu, Y.; Iguchi, T.; Tamada, S.; Yasuda, S.; Kato, M.; Ninomiya, N.; Yamasaki, T.; Nakatani, T. Oncological Outcomes Classified According to Metastatic Lesions in the Era of Molecular Targeted Drugs for Metastatic Renal Cancer. Mol. Clin. Oncol. 2018, 8, 791–796. [Google Scholar] [CrossRef] [PubMed]
- Choi, J.; Bang, S.; Suh, J.; Choi, C.I.; Song, W.; Yuk, H.D.; Lee, C.H.; Kang, M.; Choo, S.H.; Kim, J.K.; et al. Survival Pattern of Metastatic Renal Cell Carcinoma Patients According to WHO/ISUP Grade: A Long-Term Multi-Institutional Study. Sci. Rep. 2024, 14, 4740. [Google Scholar] [CrossRef] [PubMed]
- Monda, S.; Lara, P.N.; Gulati, S. Post-Metastasectomy Adjuvant Therapy in Patients with Renal Cell Carcinoma: A Systematic Review. Kidney Cancer 2024, 8, 115–123. [Google Scholar] [CrossRef] [PubMed]
- Mennitto, A.; Huber, V.; Ratta, R.; Sepe, P.; De Braud, F.; Procopio, G.; Guadalupi, V.; Claps, M.; Stellato, M.; Daveri, E.; et al. Angiogenesis and Immunity in Renal Carcinoma: Can We Turn an Unhappy Relationship into a Happy Marriage? J. Clin. Med. 2020, 9, 930. [Google Scholar] [CrossRef] [PubMed]
- Salminen, A. Increased Immunosuppression Impairs Tissue Homeostasis with Aging and Age-Related Diseases. J. Mol. Med. 2021, 99, 1–20. [Google Scholar] [CrossRef] [PubMed]
- Kippenberger, M.; Schönberg, G.; Kaczorowski, A.; Schneider, F.; Böning, S.; Sun, A.; Schwab, C.; Görtz, M.; Schütz, V.; Stenzinger, A.; et al. Immune Landscape of Renal Cell Carcinoma with Metastasis to the Pancreas. Urol. Oncol. Semin. Orig. Investig. 2024, 42, 373.e9–373.e17. [Google Scholar] [CrossRef] [PubMed]
- Donskov, F.; Xie, W.; Overby, A.; Wells, J.C.; Fraccon, A.P.; Sacco, C.S.; Porta, C.; Stukalin, I.; Lee, J.-L.; Koutsoukos, K.; et al. Synchronous Versus Metachronous Metastatic Disease: Impact of Time to Metastasis on Patient Outcome—Results from the International Metastatic Renal Cell Carcinoma Database Consortium. Eur. Urol. Oncol. 2020, 3, 530–539. [Google Scholar] [CrossRef]
- Hoshino, Y.; Shinozaki, H.; Kimura, Y.; Masugi, Y.; Ito, H.; Terauchi, T.; Kimata, M.; Furukawa, J.; Kobayashi, K.; Ogata, Y. Pancreatic Metastases from Renal Cell Carcinoma: A Case Report and Literature Review of the Clinical and Radiological Characteristics. World J. Surg. Oncol. 2013, 11, 289. [Google Scholar] [CrossRef] [PubMed]
- Strobel, O.; Schneider, L.; Philipp, S.; Fritz, S.; Büchler, M.W.; Hackert, T. Emergency Pancreatic Surgery—Demanding and Dangerous. Langenbecks Arch. Surg. 2015, 400, 837–841. [Google Scholar] [CrossRef] [PubMed]
- Popa, C.; Schlanger, D.; Chirică, M.; Zaharie, F.; Al Hajjar, N. Emergency Pancreaticoduodenectomy for Non-Traumatic Indications—A Systematic Review. Langenbecks Arch. Surg. 2022, 407, 3169–3192. [Google Scholar] [CrossRef]
- Madkhali, A.A.; Shin, S.; Song, K.B.; Lee, J.H.; Hwang, D.W.; Park, K.M.; Lee, Y.J.; Kim, S.C. Pancreatectomy for a Secondary Metastasis to the Pancreas: A Single-Institution Experience. Medicine 2018, 97, e12653. [Google Scholar] [CrossRef] [PubMed]
- Benhaim, R.; Oussoultzoglou, E.; Saeedi, Y.; Mouracade, P.; Bachellier, P.; Lang, H. Pancreatic Metastasis From Clear Cell Renal Cell Carcinoma: Outcome of an Aggressive Approach. Urology 2015, 85, 135–140. [Google Scholar] [CrossRef]
- Alzahrani, M.A.; Schmulewitz, N.; Grewal, S.; Lucas, F.V.; Turner, K.O.; McKenzie, J.T.; Sussman, J.J.; Ahmad, S.A. Metastases to the Pancreas: The Experience of a High Volume Center and a Review of the Literature. J. Surg. Oncol. 2012, 105, 156–161. [Google Scholar] [CrossRef]
- Santoni, M.; Conti, A.; Partelli, S.; Porta, C.; Sternberg, C.N.; Procopio, G.; Bracarda, S.; Basso, U.; De Giorgi, U.; Derosa, L.; et al. Surgical Resection Does Not Improve Survival in Patients with Renal Metastases to the Pancreas in the Era of Tyrosine Kinase Inhibitors. Ann. Surg. Oncol. 2015, 22, 2094–2100. [Google Scholar] [CrossRef] [PubMed]
- Jiang, W.; Shi, H.; Zhang, L.; Zhang, J.; Bi, X.; Wang, D.; Wen, L.; Li, C.; Ma, J.; Shou, J. Responses to Targeted Therapy among Organs Affected by Metastasis in Patients with Renal Cell Carcinoma Are Organ-Specific. Urol. J. 2020, 18, 6129. [Google Scholar] [CrossRef]
- Shaya, J.A.; Lin, X.; Weise, N.; Cabal, A.; Panian, J.; Derweesh, I.H.; McKay, R.R. Prognostic Significance of Pancreatic Metastases in Patients With Advanced Renal Cell Carcinoma Treated With Systemic Therapy. Clin. Genitourin. Cancer 2021, 19, e367–e373. [Google Scholar] [CrossRef] [PubMed]
- Zhao, J.; Huang, X.; Sun, F.; Ma, R.; Wang, H.; Shao, K.; Zhu, Y.; Zhou, W.; Xu, Z.; Shen, Z. Prognostic Factors for Overall Survival with Targeted Therapy in Chinese Patients with Metastatic Renal Cell Carcinoma. Can. Urol. Assoc. J. 2014, 8, 821. [Google Scholar] [CrossRef] [PubMed][Green Version]
- Principe, D.R.; Schulte, B.C.; Kamath, S.D.; Munshi, H.G. Glandular Metastases from Renal Cell Carcinoma Show Poor Clinical Responses to Immune Checkpoint Inhibition but Durable Responses to Angiogenesis Inhibitors. BMJ Case Rep. 2021, 14, e243259. [Google Scholar] [CrossRef] [PubMed]
- Aurilio, G.; Mauri, G.; Rossi, D.; Della Vigna, P.; Bonomo, G.; Varano, G.M.; Maiettini, D.; Rocca, M.C.; Verri, E.; Cullurà, D.; et al. Image-Guided Ablations in Patients with Recurrent Renal Cell Carcinoma. J. Clin. Med. 2023, 12, 4902. [Google Scholar] [CrossRef]






| Type of Pancreatic Resection | No of pts | Early Morbidity | POPF Grade B | Peripancreatic Abscesses | Mortality |
|---|---|---|---|---|---|
| Spleen-preserving distal Pancreatectomy 1 | 5 pts | 2 pts (40%) | 2 (40%) | - | - |
| Distal spleno-pancreatectomy 2 | 6 pts | - | - | - | - |
| Pancreaticoduodenectomy 3,* | 5 pts | 2 pts (40%) | 1 pt (20%) | 1 pt (20%)* | 1 pt (20%) * |
| Spleen-preserving total pancreatectomy | 1 pt | - | - | - | - |
| Total pancreatectomy with splenectomy * | 1 pt | - | - | - | - |
| Enucleation 4 | 1 pt | 1 pt (100%) | - | 1 pt (100%) | - |
| Total | 19 pts | 5 pts (26%) | 3 pts (16%) | 2 pts (10%) | 1 pt (5%) |
| Author, Year | Center | No of pts | Period | Median Interval from Nephrectomy | Morbidity Rate * | Median Follow-Up Time * | Recurrence Rate * | 5-Year DFS * | Median OS * | 5-Year OS * |
|---|---|---|---|---|---|---|---|---|---|---|
| Di Franco G et al., 2019 [17] | University Hospital of Pisa | 21 | 1999–2019 | 83 months | 8.6% | 77 months ¥ | 42.9% | - | 75 months | 71.6% |
| Patyutko Y et al., 2019 [59] | Blokhin National Cancer Medical Research Center, Vishnevsky National Medical Research Center of Surgery | 54 | 1995–2018 | 120 months | 52% | 73 months | - | 31% | 84 months | 74% |
| Bauschke A et al., 2019 [55] | University of Jena | 19 | 1995–2018 | 156 months | 31% # | - | 43% | - | 69 months | 73% |
| Anderson B et al., 2020 [69] | Barnes-Jewish Hospital and the Alvin J. Siteman Cancer Center, Washington University School of Medicine | 29 | 1995–2017 | 96 months | 44.8% | 64 months | 55.2% | 45% | - | - |
| Brozzetti S et al., 2020 [65] | University of Rome La Sapienza | 26 | 2002–2015 | 156 months | 53.8% | 104 months ¥ | 46.2% | 57.7% | - | 76.9% |
| Chikhladze S et al., 2020 [9] | University of Freiburg Medical Centre | 20 | 2005–2017 | 116 months | 70% | 76.4 months | 70% | 56% | 54 months | 89% |
| Milanetto A et al., 2020 [39] | Multicentric, 3 hospitals, Italy | 39 | 2000–2019 | 84 months | 38.5% | 68 months | 48.7% | 60% | 134 months | 79% |
| Malleo G et al., 2021 [20] | University of Verona, Memorial Sloan Kettering Cancer Center | 69 | 2000–2008 | 109 months | 34.8% | 141 months | 71.6% | - | - | - |
| Blanco-Fernandez G et al., 2022 [60] | Multicentric, 40 hospitals, Spain | 116 | 2010–2020 | 87.3 months | 60.9% | 43 months | 53.4% | 35% | 105 months | 83% |
| Cignoli D et al., 2022 [21] | Multicentric, 3 hospitals, Italy | 33 | 1987–2018 | 96 months | - | 101 months | - | - | 106 months | 75.1% |
| Moletta L et al., 2023 [56] | University of Padua | 16 | 2000–2019 | 111 months | 43.7% # | 33 months | 56.2% | 31% | 119 months | 72% |
| Boubaddi M et al., 2024 [22] | Bordeaux University Hospital | 42 | 2005–2022 | 121 months | 23.8% # | 76 months | 69% | 29.6% | - | 92.8% |
| Hajibandeh S et al., 2024 [28] | University Hospitals of North Midlands NHS Trust | 18 | 2008–2021 | 58 months | 61.1% | - | - | 55.5% | 64 months | 55.5% |
| Al-Madhi S et al., 2024 [70] | University Hospital of Magdeburg | 17 | 2010–2022 | 154 months | 65% | 43 months | 35.2% | 70% | - | 72% |
| Riemenschneider K et al., 2024 [68] | Rigshospitalet Copenhagen | 25 | 2011–2021 | 95.6 months | 36% | 69.6 months | 60% | 32.3% | 46.3 months | 83.6% |
| Present series | Fundeni Clinical Institute Bucharest | 17 | 2002–2023 | 104 months | 24% | 62 months | 30% | 60% | 128 months | 82% |
Disclaimer/Publisher’s Note: The statements, opinions and data contained in all publications are solely those of the individual author(s) and contributor(s) and not of MDPI and/or the editor(s). MDPI and/or the editor(s) disclaim responsibility for any injury to people or property resulting from any ideas, methods, instructions or products referred to in the content. |
© 2024 by the authors. Published by MDPI on behalf of the Lithuanian University of Health Sciences. Licensee MDPI, Basel, Switzerland. This article is an open access article distributed under the terms and conditions of the Creative Commons Attribution (CC BY) license (https://creativecommons.org/licenses/by/4.0/).
Share and Cite
Matei, E.; Ciurea, S.; Herlea, V.; Dumitrascu, T.; Vasilescu, C. Surgery for an Uncommon Pathology: Pancreatic Metastases from Renal Cell Carcinoma—Indications, Type of Pancreatectomy, and Outcomes in a Single-Center Experience. Medicina 2024, 60, 2074. https://doi.org/10.3390/medicina60122074
Matei E, Ciurea S, Herlea V, Dumitrascu T, Vasilescu C. Surgery for an Uncommon Pathology: Pancreatic Metastases from Renal Cell Carcinoma—Indications, Type of Pancreatectomy, and Outcomes in a Single-Center Experience. Medicina. 2024; 60(12):2074. https://doi.org/10.3390/medicina60122074
Chicago/Turabian StyleMatei, Emil, Silviu Ciurea, Vlad Herlea, Traian Dumitrascu, and Catalin Vasilescu. 2024. "Surgery for an Uncommon Pathology: Pancreatic Metastases from Renal Cell Carcinoma—Indications, Type of Pancreatectomy, and Outcomes in a Single-Center Experience" Medicina 60, no. 12: 2074. https://doi.org/10.3390/medicina60122074
APA StyleMatei, E., Ciurea, S., Herlea, V., Dumitrascu, T., & Vasilescu, C. (2024). Surgery for an Uncommon Pathology: Pancreatic Metastases from Renal Cell Carcinoma—Indications, Type of Pancreatectomy, and Outcomes in a Single-Center Experience. Medicina, 60(12), 2074. https://doi.org/10.3390/medicina60122074

