EUS-Guided Combined Injection Therapy as a Secondary Prophylaxis of Gastric Variceal Bleeding in a Patient Contraindicated for TIPS: Case Report
Abstract
1. Introduction
2. Case Description
2.1. Pre-Procedure Evaluation
2.2. Technique Description
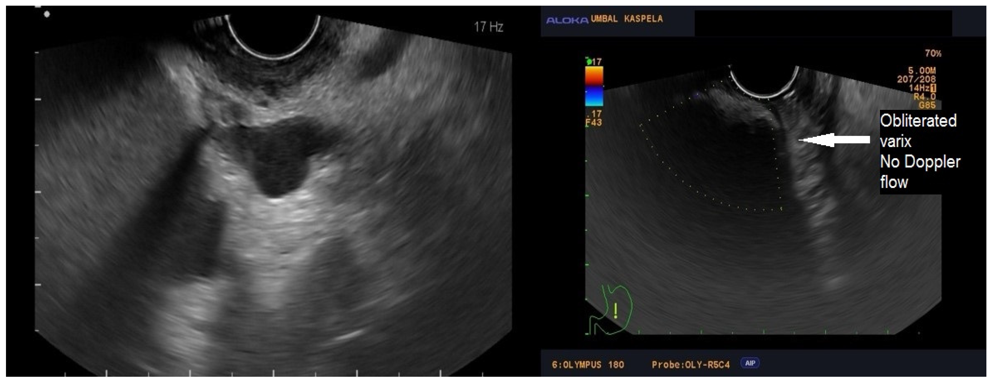
2.3. Post-Procedure
3. Discussion
4. Conclusions
Author Contributions
Funding
Institutional Review Board Statement
Informed Consent Statement
Data Availability Statement
Conflicts of Interest
Abbreviations
| VB | variceal bleeding | 
| GOV | gastro-esophageal varices | 
| GV | gastric varices | 
| EVs | esophageal varices | 
| GVB | gastric variceal bleeding | 
| IGV | isolated gastric varices | 
| EBL | endoscopic band ligation | 
| ECI | endoscopic cyanoacrylate injection | 
| AEs | adverse events | 
| EUS | endoscopic ultrasound | 
| TIPS | transjugular intrahepatic portosystemic shunt | 
| BRTO | balloon occlusive retrograde transvenous obliteration | 
| EUS-CIT | endoscopic ultrasound combined with injection therapy | 
| INR | international normalized ratio | 
| FNA | fine needle aspiration | 
Appendix A
| Parameter | Points Assigned | ||
|---|---|---|---|
| 1 | 2 | 3 | |
| Ascites | Absent | Mild to moderate (diuretic responsiveness)  | Severe (diuretic refractory)  | 
| Hepatic encephalopaty | None | Grades 1–2 | Grades 3–4 | 
| Bilirubin (µmol/L) | <34.2 | 34.2–51.3 | >51.3 | 
| INR | <1.7 | 1.7–2.3 | >2.3 | 
| Albumin (g/L) | >35 | 28–35 | <28 | 
| Size | Description | 
|---|---|
| Small | Minimally elevated varices above the esophageal mucosa surface | 
| Medium | Tortuous varices occupying less than one third of the esophageal surface | 
| Large | Varices occupying more than one-third of the esophageal surface | 
References
- Alqahtani, S.A.; Jang, S. Pathophysiology and Management of Variceal Bleeding. Drugs 2021, 81, 647–667. [Google Scholar] [CrossRef]
 - Baiges, A.; Hernández-Gea, V. Management of Liver Decompensation in Advanced Chronic Liver Disease: Ascites, Hyponatremia, and Gastroesophageal Variceal Bleeding. Clin. Drug Investig. 2022, 42, 25–31. [Google Scholar] [CrossRef]
 - de Franchis, R.; Bosch, J.; Garcia-Tsao, G.; Reiberger, T.; Ripoll, C.; Abraldes, J.G.; Albillos, A.; Baiges, A.; Bajaj, J.; Bañares, R.; et al. Baveno VII—Renewing consensus in portal hypertension. J. Hepatol. 2021, 76, 959–974. [Google Scholar] [CrossRef]
 - Hristov, B.; Andonov, V.; Doykov, D.; Doykova, K.; Valova, S.; Nacheva-Georgieva, E.; Uchikov, P.; Kostov, G.; Doykov, M.; Tilkian, E. Evaluation of Liver Stiffness Measurement by Means of 2D-SWE for the Diagnosis of Esophageal Varices. Diagnostics 2023, 13, 356. [Google Scholar] [CrossRef]
 - Nacheva-Georgieva, E.L.; Doykov, D.I.; Hristov, B.K.; Doykova, K.A.; Doykov, M.I. Comparison of Point Shear Wave Elastography and 2-Dimensional Shear Wave Elastography Values of Liver Metastases from Colorectal Cancer. Gastroenterol. Insights 2023, 14, 271–281. [Google Scholar] [CrossRef]
 - Hristov, B.; Andonov, V.; Doykov, D.; Tsvetkova, S.; Doykova, K.; Doykov, M. Evaluation of Ultrasound-Based Point Shear Wave Elastography for Differential Diagnosis of Pancreatic Diseases. Diagnostics 2022, 12, 841. [Google Scholar] [CrossRef]
 - Sarin, S.K.; Lahoti, D.; Saxena, S.P.; Murthy, N.S.; Makwana, U.K. Prevalence, classification and natural history of gastric varices: A long-term follow-up study in 568 portal hypertension patients. Hepatology 1992, 16, 1343–1349. [Google Scholar] [CrossRef]
 - Henry, Z.; Patel, K.; Patton, H.; Saad, W. AGA Clinical Practice Update on Management of Bleeding Gastric Varices: Expert Review. Clin. Gastroenterol. Hepatol. 2021, 19, 1098–1107.e1. [Google Scholar] [CrossRef]
 - Gralnek, I.M.; Duboc, M.C.; Garcia-Pagan, J.C.; Fuccio, L.; Karstensen, J.G.; Hucl, T.; Jovanovic, I.; Awadie, H.; Hernandez-Gea, V.; Tantau, M.; et al. Endoscopic diagnosis and management of esophagogastric variceal hemorrhage: European Society of Gastrointestinal Endoscopy (ESGE) Guideline. Endoscopy 2022, 54, 1094–1120. [Google Scholar] [CrossRef]
 - Tripathi, D.; Stanley, A.J.; Hayes, P.C.; Patch, D.; Millson, C.; Mehrzad, H.; Austin, A.; Ferguson, J.W.; Olliff, S.P.; Hudson, M.; et al. UK guidelines on the management of variceal haemorrhage in cirrhotic patients. Gut 2015, 64, 1680–1704. [Google Scholar] [CrossRef]
 - Bazarbashi, A.N.; Wang, T.J.; Jirapinyo, P.; Thompson, C.C.; Ryou, M. Endoscopic Ultrasound-Guided Coil Embolization With Absorbable Gelatin Sponge Appears Superior to Traditional Cyanoacrylate Injection for the Treatment of Gastric Varices. Clin. Transl. Gastroenterol. 2020, 11, e00175. [Google Scholar] [CrossRef]
 - van der Merwe, S.W.; van Wanrooij, R.L.J.; Bronswijk, M.; Everett, S.; Lakhtakia, S.; Rimbas, M.; Hucl, T.; Kunda, R.; Badaoui, A.; Law, R.; et al. Therapeutic endoscopic ultrasound: European Society of Gastrointestinal Endoscopy (ESGE) Guideline. Endoscopy 2022, 54, 185–205. [Google Scholar] [CrossRef]
 - Hristov, B.; Radev, D.; Uchikov, P.; Kostov, G.; Doykov, M.; Valova, S.; Tilkiyan, E. Clinical Outcomes of EUS-Guided Choledochoduodenostomy for Biliary Drainage in Unresectable Pancreatic Cancer: A Case Series. Medicina 2023, 59, 351. [Google Scholar] [CrossRef]
 - Binmoeller, K.F.; Weilert, F.; Shah, J.N.; Kim, J. EUS-guided transesophageal treatment of gastric fundal varices with combined coiling and cyanoacrylate glue injection (with videos). Gastrointest. Endosc. 2011, 74, 1019–1025. [Google Scholar] [CrossRef]
 - Qiao, W.; Ren, Y.; Bai, Y.; Liu, S.; Zhang, Q.; Zhi, F. Cyanoacrylate injection versus band ligation in the endoscopic management of acute gastric variceal bleeding: Meta-analysis of randomized, controlled studies based on the PRISMA statement. Medicine 2015, 94, e1725. [Google Scholar] [CrossRef]
 - Cheng, L.F.; Wang, Z.Q.; Li, C.Z.; Lin, W.; Yeo, A.E.; Jin, B. Low incidence of complications from endoscopic gastric variceal obturation with butylcyanoacrylate. Clin. Gastroenterol. Hepatol. 2010, 8, 760–766. [Google Scholar] [CrossRef]
 - Butler, J.R.; Eckert, G.J.; Zyromski, N.J.; Leonardi, M.J.; Lillemoe, K.D.; Howard, T.J. Natural history of pancreatitis-induced splenic vein thrombosis: A systematic review and meta-analysis of its incidence and rate of gastrointestinal bleeding. HPB 2011, 13, 839–845. [Google Scholar] [CrossRef]
 - Manguso, G.; Vignone, A.; Merli, M.; Miotti, C.; Caputo, A.; Vizza, C.D.; Badagliacca, R. Hemodynamic Evaluation of the Right Heart-Pulmonary Circulation Unit in Patients Candidate to Transjugular Intrahepatic Portosystemic Shunt. J. Clin. Med. 2022, 11, 461. [Google Scholar] [CrossRef]
 - Choi, Y.S.; Lee, J.H.; Sinn, D.H.; Song, Y.B.; Gwak, G.-Y.; Choi, M.S.; Koh, K.C.; Paik, S.W.; Yoo, B.C. Effect of balloon-occluded retrograde transvenous obliteration on the natural history of coexisting esophageal varices. J. Clin. Gastroenterol. 2008, 42, 974–979. [Google Scholar] [CrossRef]
 - Chandan, S.; Nguyen, A.K.; Mohan, B.P.; Deliwala, S.; Ramai, D.; Kassab, L.L.; Muthusamy, A.; Facciorusso, A.; Kamal, F.; Bilal, M.; et al. EUS-guided therapies for primary and secondary prophylaxis in gastric varices-An updated systematic review and meta-analysis. Endosc. Ultrasound 2023, 12, 351–361. [Google Scholar] [CrossRef]
 - Castellanos, E.R.; Seron, P.; Gisbert, J.P.; Cosp, X.B. Endoscopic injection of cyanoacrylate glue versus other endoscopic procedures for acute bleeding gastric varices in people with portal hypertension. Cochrane Database Syst. Rev. 2015, 5, CD010180. [Google Scholar] [CrossRef] [PubMed]
 - Kozieł, S.; Pawlak, K.; Błaszczyk, Ł.; Jagielski, M.; Wiechowska-Kozłowska, A. Endoscopic Ultrasound-Guided Treatment of Gastric Varices Using Coils and Cyanoacrylate Glue Injections: Results after 1 Year of Experience. J. Clin. Med. 2019, 8, 1786. [Google Scholar] [CrossRef]
 - Kouanda, A.; Binmoeller, K.; Hamerski, C.; Nett, A.; Bernabe, J.; Shah, J.; Bhat, Y.; Watson, R. Safety and efficacy of EUS-guided coil and glue injection for the primary prophylaxis of gastric variceal hemorrhage. Gastrointest. Endosc. 2021, 94, 291–296. [Google Scholar] [CrossRef] [PubMed]
 - Bhat, Y.M.; Weilert, F.; Fredrick, R.T.; Kane, S.D.; Shah, J.N.; Hamerski, C.M.; Binmoeller, K.F. EUS-guided treatment of gastric fundal varices with combined injection of coils and cyanoacrylate glue: A large U.S. experience over 6 years (with video). Gastrointest. Endosc. 2016, 83, 1164–1172. [Google Scholar] [CrossRef]
 - Romero-Castro, R.; Pellicer-Bautista, F.J.; Jimenez-Saenz, M.; Marcos-Sanchez, F.; Caunedo-Alvarez, A.; Ortiz-Moyano, C.; Gomez-Parra, M.; Herrerias-Gutierrez, J.M. EUS-guided injection of cyanoacrylate in perforating feeding veins in gastric varices: Results in 5 cases. Gastrointest. Endosc. 2007, 66, 402–407. [Google Scholar] [CrossRef]
 - Robles-Medranda, C.; Oleas, R.; Valero, M.; Puga-Tejada, M.; Baquerizo-Burgos, J.; Ospina, J.; Pitanga-Lukashok, H. Endoscopic ultrasonography-guided deployment of embolization coils and cyanoacrylate injection in gastric varices versus coiling alone: A randomized trial. Endoscopy 2020, 52, 268–275. [Google Scholar] [CrossRef]
 - Tsoris, A.; Marlar, C.A. Use of the Child Pugh Score in Liver Disease. [Updated 2023 Mar 13]; StatPearls Publishing: Treasure Island, FL, USA, 2023. Available online: https://www.ncbi.nlm.nih.gov/books/NBK542308/ (accessed on 8 December 2023).
 



| Sarin’s Type of Gastric Varix | Description | 
|---|---|
| Gastro-oesophageal varices type 1 (GOV type I) | Extension of the esophageal varices along the cardia toward the lesser curvature (straight course) | 
| Gastro-oesophageal varices type 2 (GOV type II) | Extension of the esophageal varices along the cardia toward the greater curvature (more tortuous course) | 
| Isolated gastric varices type 1 (IGV type 1) | Gastric varices in the fundus (complex and tortuous) in the absence of esophageal varices | 
| Isolated gastric varices type 2 (IGV type 2) | Gastric varices outside the fundus (body, antrum, pylorus) in the absence of esophageal varices | 
| Disease Course | Ascites | Encephalopathy | Bil. (µmol/L)  | INR | Alb. (g/L)  | Creatinine (µmol/L) | Na (mmol/L)  | Dialysis | CTP Class | MELD-Na  Score  | 
|---|---|---|---|---|---|---|---|---|---|---|
| Initial presentation | Mild | No | 18.4 | 1.2 | 29 | 114 | 140 | No | B | 11 | 
| EVB episode | Mild | No | 44.2 | 1.9 | 24 | 87 | 136 | No | C | 18 | 
| GVB episode I | Mild | No | 16.3 | 2.0 | 28 | 84 | 133 | No | B | 17 | 
| GVB episode II | Moderate | No | 20.3 | 2.0 | 24 | 67 | 144 | No | B | 15 | 
| EUS-CIT | Mild | No | 36.2 | 1.36 | 29 | 90 | 140 | No | B | 13 | 
| Follow-up | Moderate | No | 40.6 | 1.30 | 34 | 91 | 139 | No | B | 13 | 
Disclaimer/Publisher’s Note: The statements, opinions and data contained in all publications are solely those of the individual author(s) and contributor(s) and not of MDPI and/or the editor(s). MDPI and/or the editor(s) disclaim responsibility for any injury to people or property resulting from any ideas, methods, instructions or products referred to in the content.  | 
© 2024 by the authors. Licensee MDPI, Basel, Switzerland. This article is an open access article distributed under the terms and conditions of the Creative Commons Attribution (CC BY) license (https://creativecommons.org/licenses/by/4.0/).
Share and Cite
Asenov, K.; Dimov, R.; Kraeva, M.; Basheva-Kraeva, Y. EUS-Guided Combined Injection Therapy as a Secondary Prophylaxis of Gastric Variceal Bleeding in a Patient Contraindicated for TIPS: Case Report. Medicina 2024, 60, 116. https://doi.org/10.3390/medicina60010116
Asenov K, Dimov R, Kraeva M, Basheva-Kraeva Y. EUS-Guided Combined Injection Therapy as a Secondary Prophylaxis of Gastric Variceal Bleeding in a Patient Contraindicated for TIPS: Case Report. Medicina. 2024; 60(1):116. https://doi.org/10.3390/medicina60010116
Chicago/Turabian StyleAsenov, Krasimir, Rosen Dimov, Maria Kraeva, and Yordanka Basheva-Kraeva. 2024. "EUS-Guided Combined Injection Therapy as a Secondary Prophylaxis of Gastric Variceal Bleeding in a Patient Contraindicated for TIPS: Case Report" Medicina 60, no. 1: 116. https://doi.org/10.3390/medicina60010116
APA StyleAsenov, K., Dimov, R., Kraeva, M., & Basheva-Kraeva, Y. (2024). EUS-Guided Combined Injection Therapy as a Secondary Prophylaxis of Gastric Variceal Bleeding in a Patient Contraindicated for TIPS: Case Report. Medicina, 60(1), 116. https://doi.org/10.3390/medicina60010116
        