Mixed Corticomedullary Tumor of the Adrenal Gland: A Case Report and Literature Review
Abstract
:1. Introduction
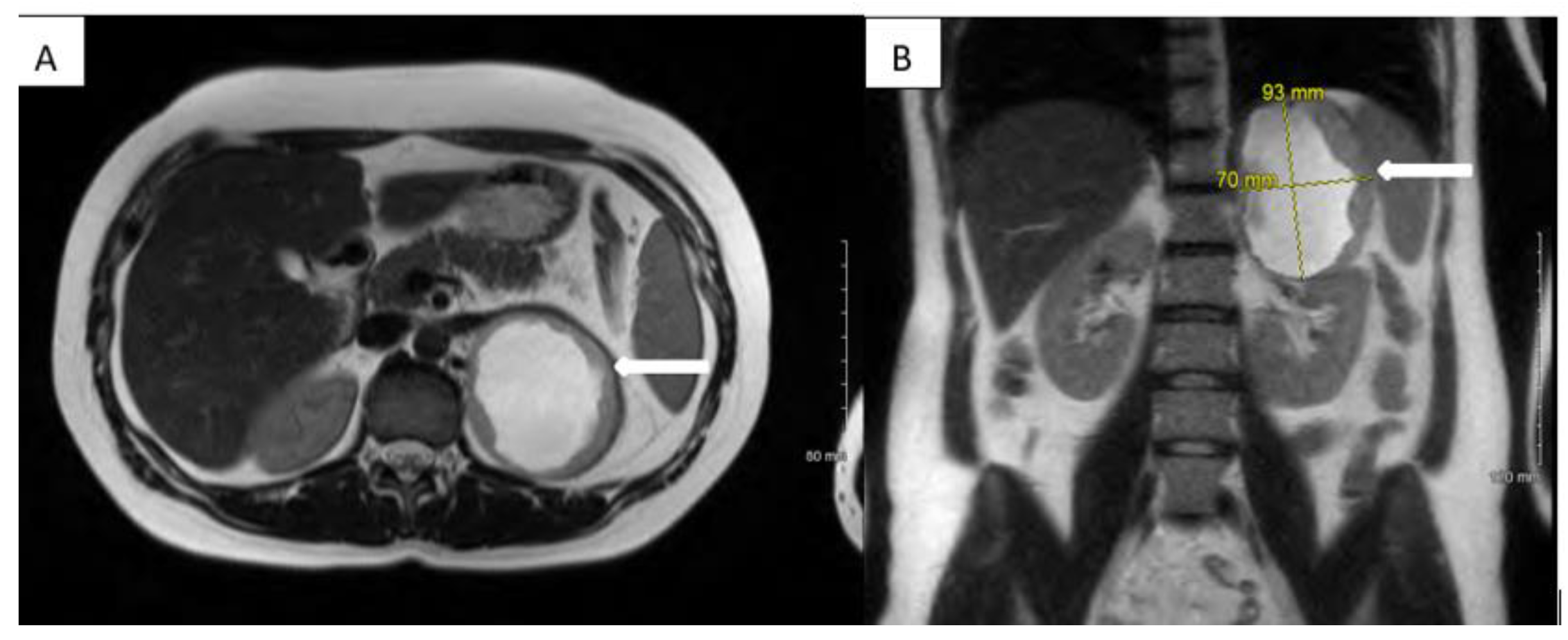
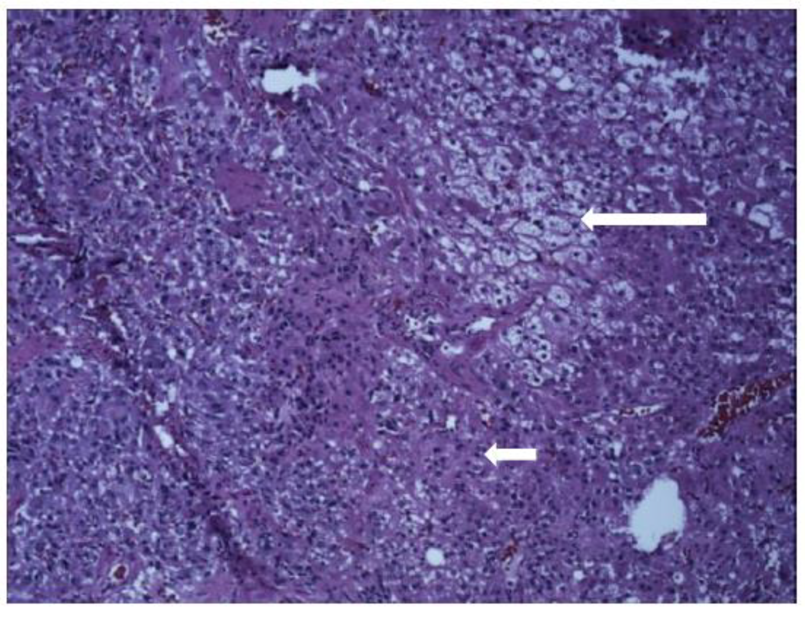
2. Case
3. Discussion
4. Conclusions
- This case illustrates a rare case of mixed corticomedullary tumor of the adrenal gland that are composed of an admixture of cortical and medullary cells.
- Owing to the presence of two distinct components of different embryonic lineage, these tumors are extremely rare. Less than 30 tumors of this type have been reported to date.
- Patients may present with Cushing’s syndrome, hypertension or non-specific symptoms like weight loss.
- A high degree of suspicion is required to avoid a hypertensive crisis during surgery. For this reason, clinicians should be aware of this entity.
Author Contributions
Funding
Institutional Review Board Statement
Informed Consent Statement
Data Availability Statement
Acknowledgments
Conflicts of Interest
References
- Ross, I.L.; Louw, G.J. Embryological and molecular development of the adrenal glands. Clin. Anat. 2014, 28, 235–242. [Google Scholar] [CrossRef] [PubMed]
- Mathison, D.A.; Waterhouse, C.A. Cushing’s syndrome with hypertensive crisis and mixed adrenal cortical adenoma-pheochromocytoma (Corticomedullary adenoma). Am. J. Med. 1969, 47, 635–641. [Google Scholar] [PubMed]
- Akai, H.; Sanoyama, K.; Namai, K.; Miura, Y.; Murakami, O.; Hanew, K.; Sasaki, H.; Kimura, N.; Takahashi, K.; Sasano, N.; et al. A case of adrenal mixed tumor of pheochromocytoma and adrenocortical adenoma presenting diabetes mellitus and hypertension. Folia Endocrinol. Jpn. 1993, 69, 659–669. [Google Scholar] [CrossRef]
- Michal, M.; Havlicek, F. Corticomedullary tumors of the adrenal glands: Report of two cases. association of corticomedullary tumor with spindle cell sarcoma. Pathol. Res. Pr. 1996, 192, 1082–1089. [Google Scholar] [CrossRef]
- Wieneke, J.A.; Thompson, L.D.; Heffess, C.S. Corticomedullary mixed tumor of the adrenal gland. Ann. Diagn. Pathol. 2001, 5, 304–308. [Google Scholar] [CrossRef]
- Hu, W.-L.; Cao, Q.-Y.; He, H.-X.; L, J.; Li, Q.-R.; Wang, Y.-L.; Nie, H.-B.; Yang, H.; Huang, X.-T.; Zhu, Y.-S.; et al. Misdiagnosis of corticomedullary mixed pathological changes in adrenals: Report of 4 cases. Di 1 Jun Yi Da Xue Xue Bao=Acad. J. First Med. Coll. PLA 2002, 22, 1145–1147. [Google Scholar]
- Chu, A.Y.; LiVolsi, V.A.; Fraker, D.L.; Zhang, P.J. Corticomedullary mixed tumor of the adrenal gland with concurrent adrenal myelolipoma. Arch. Pathol. Lab. Med. 2003, 127, e329–e332. [Google Scholar] [CrossRef]
- Ma, W.-Y.; Yang, A.-H.; Chang, Y.-H.; Lin, L.-Y.; Lin, H.-D. Coexistence of adrenal Cushing syndrome and pheochromocytoma in a “corticomedullary adenoma”: A case report and review of the literature. Endocrinologist 2007, 17, 341–345. [Google Scholar]
- Lee, P.; Bradbury, R.; Sy, J.; Hughes, L.; Wong, L.; Falk, G.; Chen, R. Phaeochromocytoma and mixed corticomedullary tumour–a rare cause of Cushing’s syndrome and labile hypertension in a primigravid woman postpartum. Clin. Endocrinol. 2008, 68, 492–494. [Google Scholar]
- Trimeche Ajmi, S.; Chadli Chaieb, M.; Mokni, M.; Braham, R.; Ach, L.; Maaroufi, L.; Chaieb, L. Corticomedullary mixed tumor of the adrenal gland. Ann. D’endocrinologie 2009, 70, 473–476. [Google Scholar]
- Alexandraki, K.I.; Michail, O.P.; Nonni, A.; Diamantis, D.; Giannopoulou, I.; Kaltsas, G.A.; Michail, P.O. Corticomedullary mixed adrenal tumor: Case report and literature review. Endocr. J. 2009, 56, 817–824. [Google Scholar] [CrossRef] [PubMed]
- Singh, M.; Mandal, S.; Kakkar, A.; Khurana, N.; Garg, A. Mixed corticomedullary tumour with myelolipoma: A rare coexistence. Pathology 2010, 42, 589–591. [Google Scholar] [CrossRef] [PubMed]
- Lau, S.K.; Chu, P.G.; Weiss, L.M. Mixed cortical adenoma and composite pheochromocytoma-ganglioneuroma: An unusual corticomedullary tumor of the adrenal gland. Ann. Diagn. Pathol. 2011, 15, 185–189. [Google Scholar] [CrossRef] [PubMed]
- Kaneko, T.; Matsushima, H.; Homma, Y. Dopamine-secreting corticomedullary mixed tumor of the adrenal gland. Int. J. Urol. Off. J. Jpn. Urol. Assoc. 2012, 19, 1123–1124. [Google Scholar]
- Donatini, G.; Van Slycke, S.; Aubert, S.; Carnaille, B. Corticomedullary mixed tumor of the adrenal gland—A clinical and pathological chameleon: Case report and review of literature. Updat. Surg. 2012, 65, 161–164. [Google Scholar] [CrossRef]
- Michalopoulos, N.; Pazaitou-Panayiotou, K.; Boudina, M.; Papavramidis, T.; Karayannopoulou, G.; Papavramidis, S. Mixed corticomedullary adrenal carcinoma. Surg. Today 2013, 43, 1232–1239. [Google Scholar] [CrossRef]
- Lwin, T.M.; Galal, N.; Gera, S.; Marti, J.L. Adrenal Cushing syndrome with detectable ACTH from an unexpected source. BMJ Case Rep. 2016, 2016, bcr2016216965. [Google Scholar] [CrossRef]
- Duan, L.; Fang, F.; Fu, W.; Fang, Z.; Wang, H.; Yu, S.; Tang, Z.; Liu, Z.; Zheng, H. Corticomedullary mixed tumour resembling a small adrenal gland-involvement of cancer stem cells: Case report. BMC Endocr. Disord. 2017, 17, 9. [Google Scholar] [CrossRef]
- Kanzawa, M.; Fukuoka, H.; Yamamoto, A.; Suda, K.; Shigemura, K.; Hara, S.; Imagawa, N.; Tsukamoto, R.; Aoyama, Y.; Nakamura, Y.; et al. Adrenal Corticomedullary Mixed Tumor Associated With the FGFR4-G388R Variant. J. Endocr. Soc. 2020, 4, bvaa101. [Google Scholar] [CrossRef]
- Patel, E.; Chen, Y.; Fan, X.; Liu, N.-A.; Westreich, A.M.; Reyes, K.; Labadzhyan, A. A Rare Case: Adrenal Corticomedullary Mixed Tumor with Elements of Pheochromocytoma, Cortical Adenoma, and Ganglioneuroma Cells. AACE Clin. Case Rep. 2022, 9, 17–20. [Google Scholar] [CrossRef]
- Delèvaux, I.; Cabane, J.; Picard, O.; Bénit, C.; LeBas, J.; Nordlinger, B.; De Saint-Maur, P.; Imbert, J.C. Mixed Corticomedullary Tumor; Presse Medicale: Paris, France, 1998; Volume 27, pp. 1272–1274. [Google Scholar]
- Kimura, T.; Usui, T.; Inamoto, S.; Minamiguchi, S.; Okuno, H.; Sasano, H.; Hagiwara, H.; Nagata, D.; Tagami, T.; Naruse, M.; et al. Image in endocrinology. Pheochromocytoma with subclinical cushing’s syndrome caused by corticomedullary mixed tumor of the adrenal gland. J. Clin. Endocrinol. Metab. 2009, 94, 746–747. [Google Scholar] [CrossRef] [PubMed]
- Alsabek, M.B.; Alhmaidi, R.; Ghazzawi, B.; Hamed, G.; Alseoudi, A. Mixed corticomedullary adrenal carcinoma -case report: Comparison in features, treatment and prognosis with the other two reported cases. Int. J. Surg. Case Rep. 2017, 31, 254–261. [Google Scholar]
- Turk, A.T.; Asad, H.; Trapasso, J.; Perilli, G.; LiVolsi, V.A. Mixed corticomedullary carcinoma of the adrenal gland: A case report. Endocr. Pract. 2012, 18, e37–e42. [Google Scholar] [PubMed]
- Mercado-Asis, L.B.; Wolf, K.I.; Jochmanova, I.; Taïeb, D. Pheochromocytoma: A genetic and diagnostic update. Endocr. Pr. 2018, 24, 78–90. [Google Scholar] [CrossRef]
- Li, Z.-L.; Sun, D.; Kong, C.-Z. Diagnosis and treatment for the corticomedullary mixed tumor of adrenal gland. Zhonghua Wai Ke Za Zhi [Chin. J. Surg.] 2009, 47, 1239–1241. [Google Scholar]
- Amar, L.; Fassnacht, M.; Gimenez-Roqueplo, A.-P.; Januszewicz, A.; Prejbisz, A.; Timmers, H.; Plouin, P.-F. Long-term postoperative follow-up in patients with apparently benign pheochromocytoma and paraganglioma. Horm. Metab. Res. 2012, 44, 385–389. [Google Scholar] [CrossRef]
- TI, O. Cortico-medullary mixed tumor (pheochromocytoma and cortical adenoma) of the adrenal gland. J. Urol. Pathol. 1995, 3, 157–164. [Google Scholar]



| Year | Age | Gender | Presenting Symptoms | Tumor Size (cm) | Cystic Component | Hormones | 
| 1969 [2] | 39 | F | Intraoperative hypertensive crisis, Cushing’s syndrome | 4 | N/R | Cortisol, catecholamines (both nor-met and met) | 
| 1993 [3] | 61 | F | Hypertension, hyperglycemia | 3.5 | N/A | Cortisol, catecholamines (nor-met predominant) | 
| 1995 [28] | 32 | M | Cushing’s syndrome | 4.5 | N/A | Cortisol | 
| 1996 [4] | 56 | F | Cushing’s syndrome, paroxysmal hypertension | 8 | No | Cortisol, aldosterone, catecholamines (epinephrine predominant) | 
| 1996 [4] | 32 | F | Cushing’s syndrome, Paroxysmal hypertension | 9 | No | Cortisol, aldosterone, catecholamines (epinephrine predominant) | 
| 2001 [5] | 34 | F | Hypertension, hair loss and amenorrhea | 4.5 | No | Cortisol | 
| 2001 [5] | 52 | F | Flank pain | 2.5 | No | None | 
| 2002 [6] | N/A | N/A | Hypertension | N/A | N/A | Catecholamines | 
| 2002 [6] | N/A | N/A | hypertension | N/A | N/A | Aldosterone | 
| 2002 [6] | N/A | N/A | hypertension | N/A | N/A | Aldosterone | 
| 2002 [6] | N/A | N/A | hypertension | N/A | N/A | Aldosterone | 
| 2003 [7] | 55 | F | Mild Cushing’s syndrome and hyperglycemia | 2.5 | No | Cortisol | 
| 2007 [8] | 41 | F | Cushing’s syndrome, intra-operative hypertension | 4 | No | Cortisol (catecholamines not tested) | 
| 2008 [9] | 25 | F | Gestational diabetes, paroxysmal hypertension, Cushing’s syndrome | 3.2 | No | Cortisol, catecholamines (Nor-met predmoninant) | 
| 2009 [10] | 54 | F | Mild hypertension, diabetes | 4.9 | No | Cortisol, Catecholamines (Nor-met predominant) | 
| 2009 [11] | 66 | F | Subclinical Cushing’s syndrome | 4.2 | Yes | Cortisol | 
| 2010 [12] | 48 | F | Abdominal distension, pedal edema, breathlessness | 8 | No | Catecholamines (Urinary VMA) | 
| 2011 [13] | 64 | F | hypertension | 3.6 | No | Catecholamines (metanephrines) | 
| 2012 [14] | 78 | F | Hypertensive urgency | 10 | No | Catecholamines (dopamine) | 
| 2013 [15] | 53 | M | Incidental finding of left adrenal mass | 5.5 | No | Cortisol and catecholamines (NSE and chromogranin A) | 
| 2013 [16] | 63 | M | Right upper quadrant palpable mass | 8 | No | Cortisol | 
| 2016 [17] | 48 | M | Cushing’s syndrome, hypertension | 3.9 | No | Cortisol, catecholamines (metanephrine) | 
| 2017 [18] | 58 | M | Fluctuant blood glucose levels, paroxysmal hypertension | 3 | No | Cortisol, Catecholamines (Urinary VMA) | 
| 2020 [19] | 31 | F | Gestational hypertension, psychiatric disturbances persistent to postpartum | 3.8 | No | Cortisol, Catecholamines (Normetanephrine predominant) | 
| 2022 [20] | 52 | F | Palpitations, weight gain, anxiety | 4.1 | No | Cortisol, Catecholamines (both met and nor-met) | 
| Disclaimer/Publisher’s Note: The statements, opinions and data contained in all publications are solely those of the individual author(s) and contributor(s) and not of MDPI and/or the editor(s). MDPI and/or the editor(s) disclaim responsibility for any injury to people or property resulting from any ideas, methods, instructions or products referred to in the content. | 
© 2023 by the authors. Licensee MDPI, Basel, Switzerland. This article is an open access article distributed under the terms and conditions of the Creative Commons Attribution (CC BY) license (https://creativecommons.org/licenses/by/4.0/).
Share and Cite
Maradana, J.; Edem, D.; Menon, L.; Abraham, S.; Velamala, P.; Trivedi, N. Mixed Corticomedullary Tumor of the Adrenal Gland: A Case Report and Literature Review. Medicina 2023, 59, 1539. https://doi.org/10.3390/medicina59091539
Maradana J, Edem D, Menon L, Abraham S, Velamala P, Trivedi N. Mixed Corticomedullary Tumor of the Adrenal Gland: A Case Report and Literature Review. Medicina. 2023; 59(9):1539. https://doi.org/10.3390/medicina59091539
Chicago/Turabian StyleMaradana, Jhansi, Dinesh Edem, Lakshmi Menon, Sonu Abraham, Pruthvi Velamala, and Nitin Trivedi. 2023. "Mixed Corticomedullary Tumor of the Adrenal Gland: A Case Report and Literature Review" Medicina 59, no. 9: 1539. https://doi.org/10.3390/medicina59091539
APA StyleMaradana, J., Edem, D., Menon, L., Abraham, S., Velamala, P., & Trivedi, N. (2023). Mixed Corticomedullary Tumor of the Adrenal Gland: A Case Report and Literature Review. Medicina, 59(9), 1539. https://doi.org/10.3390/medicina59091539
 
        


 
       