Complications of Percutaneous Vertebroplasty: A Pictorial Review
Abstract
:1. Introduction
2. Mild Complications
3. Extravasation of Cement
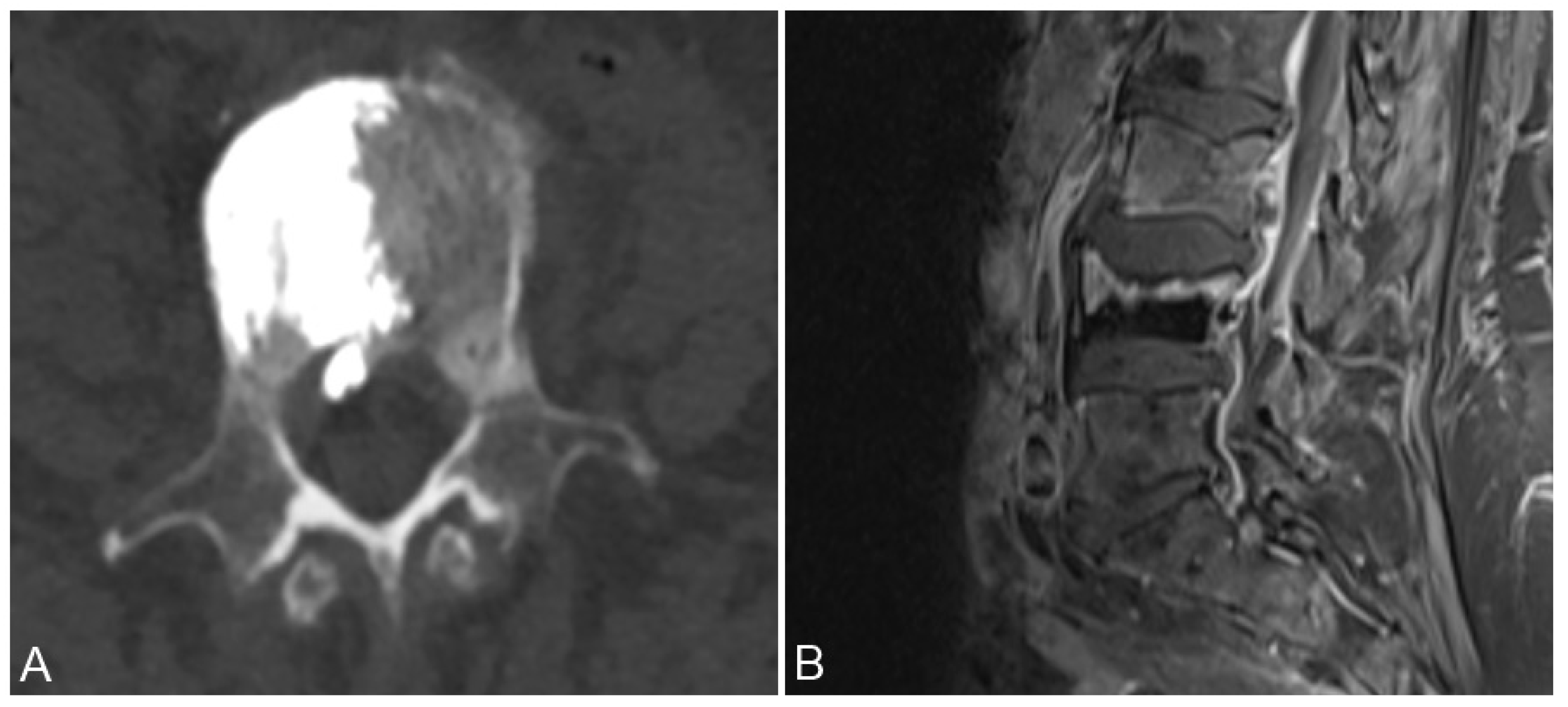
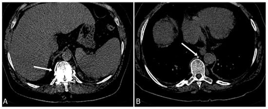
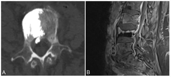
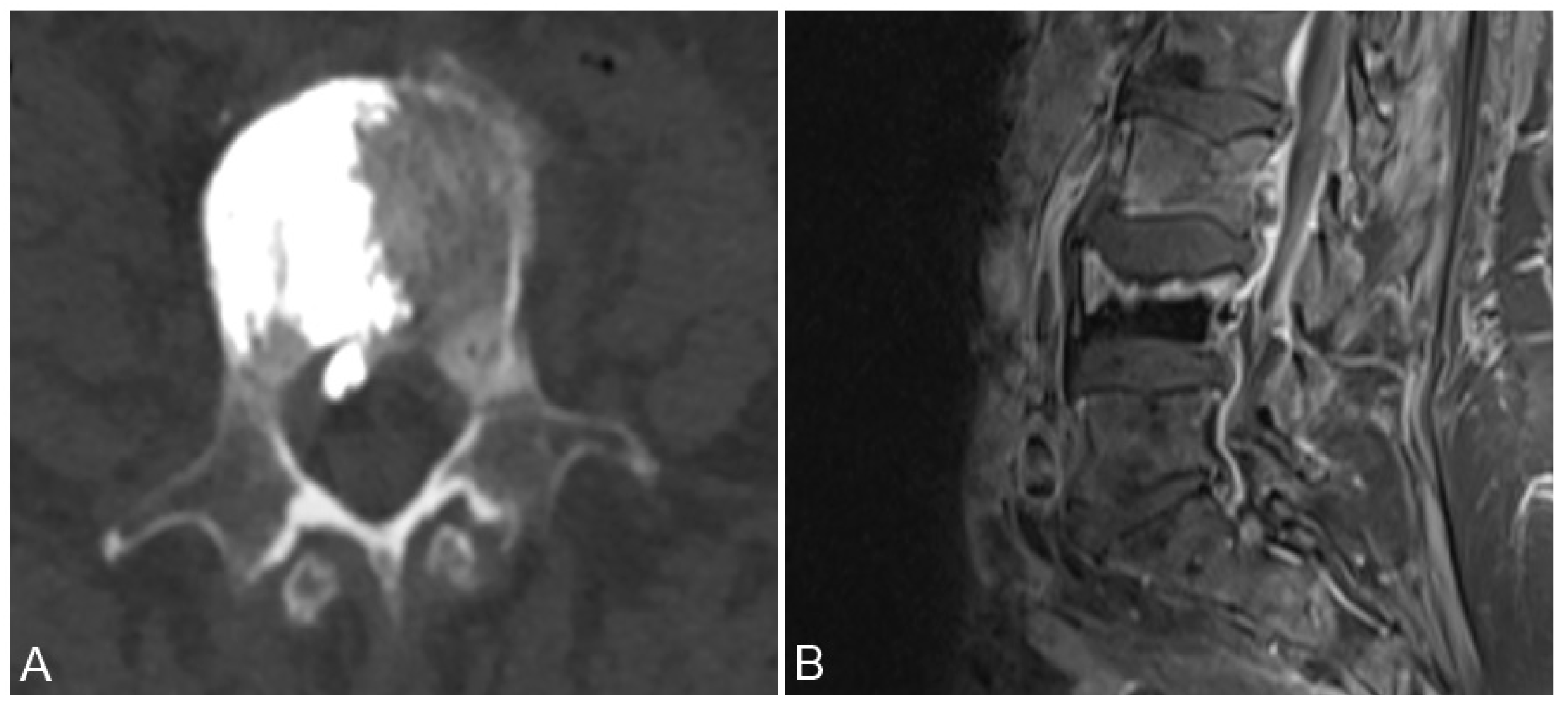
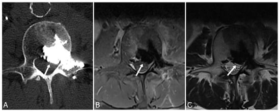
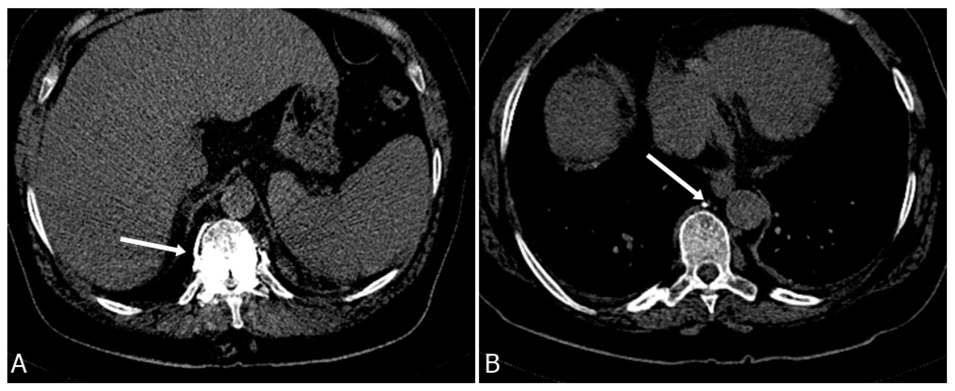
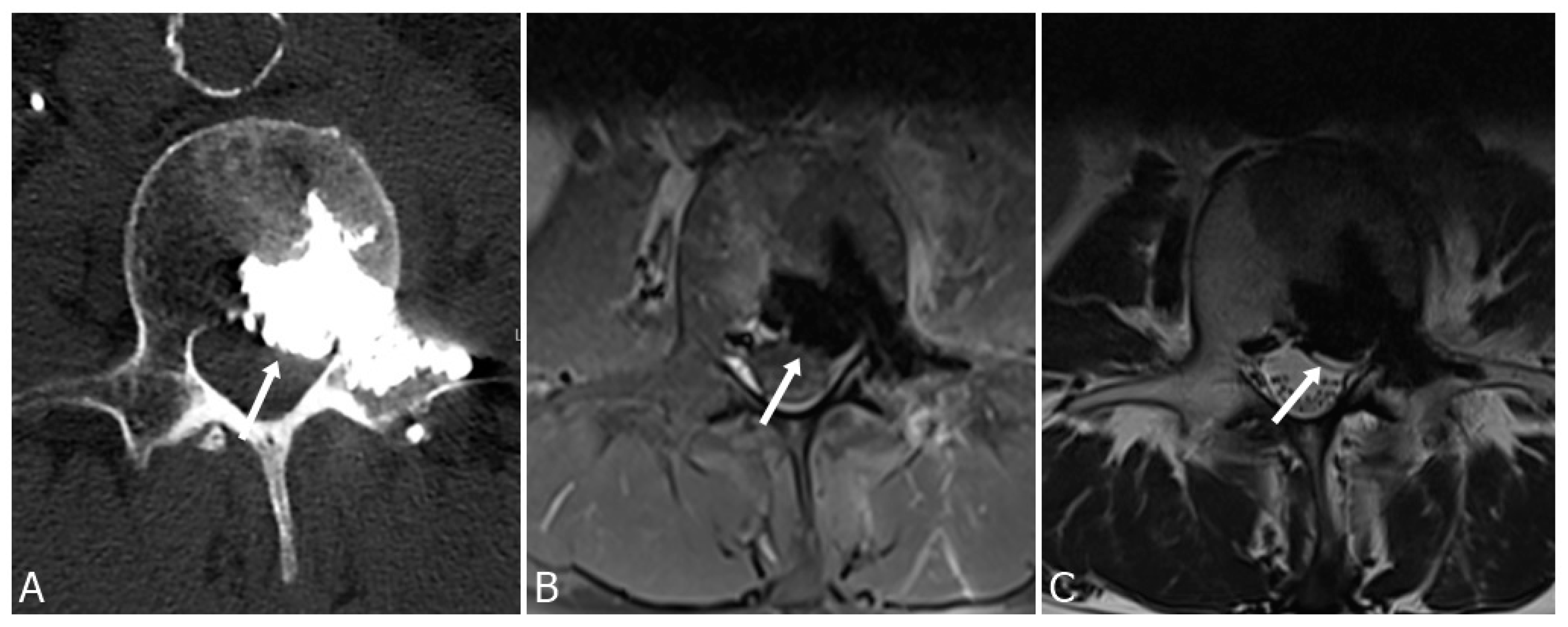
3.1. Epidural and Foraminal Cement Leakage
3.2. New Vertebral Fractures
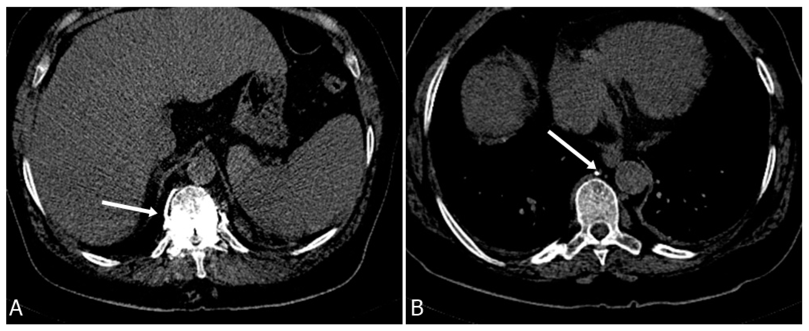
3.3. Paravertebral Soft Tissue Leakage
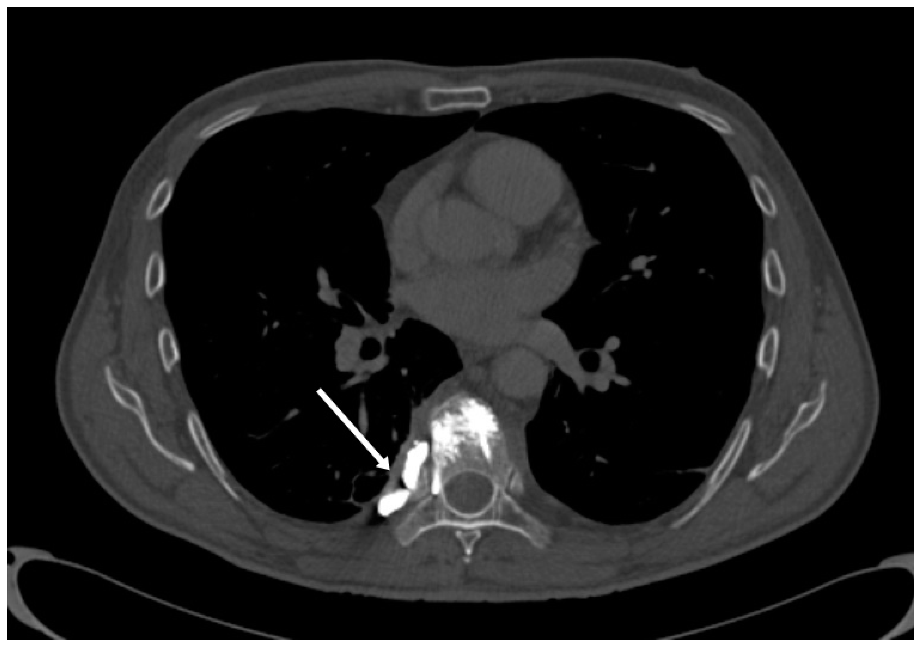
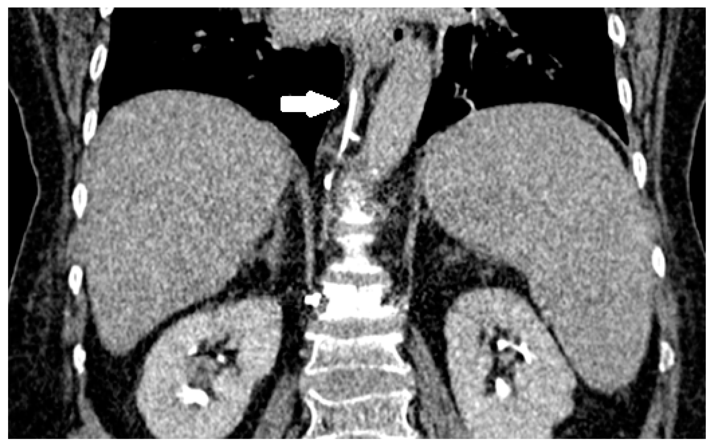
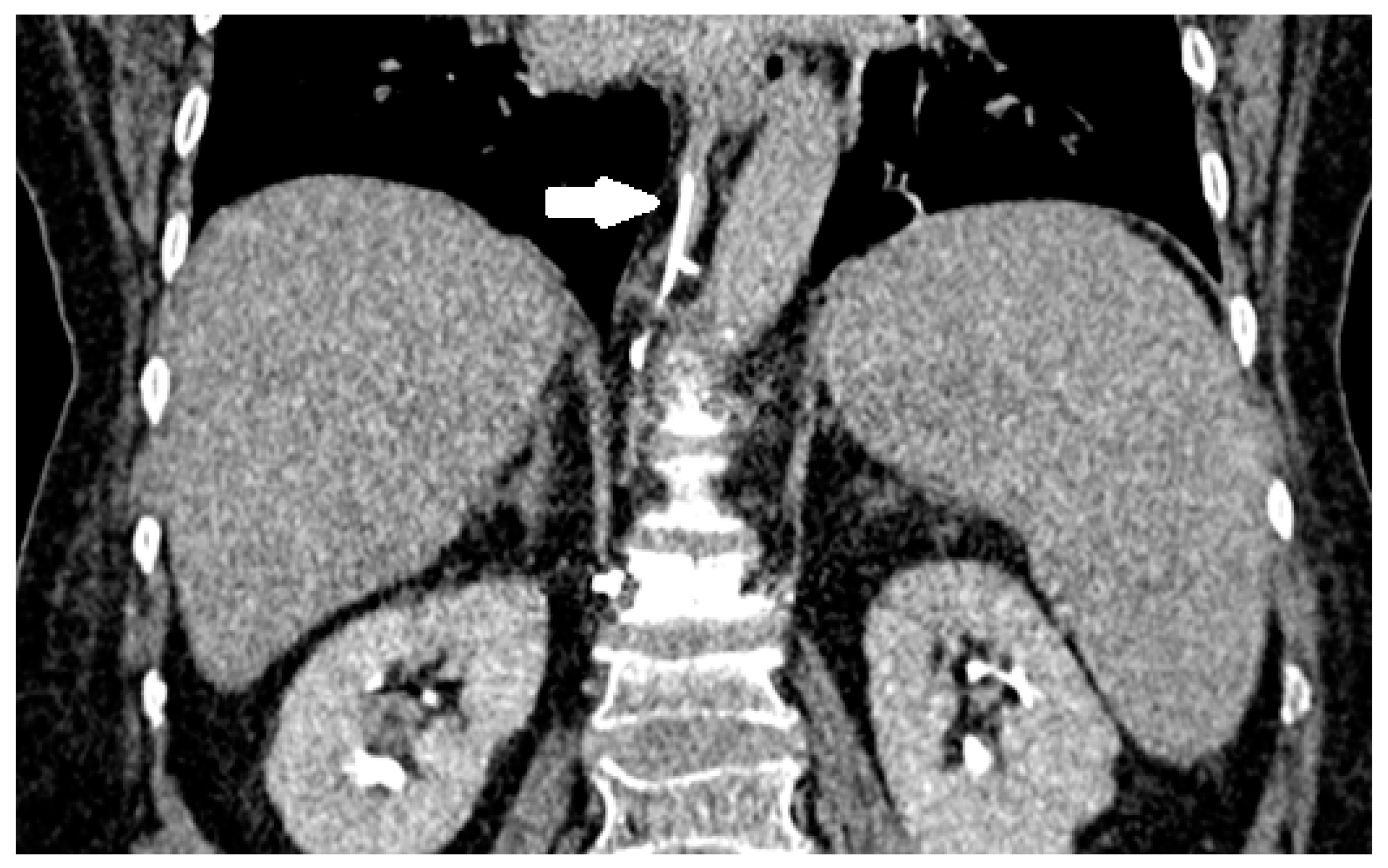
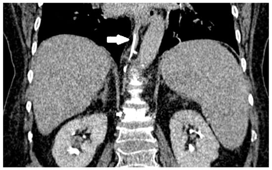
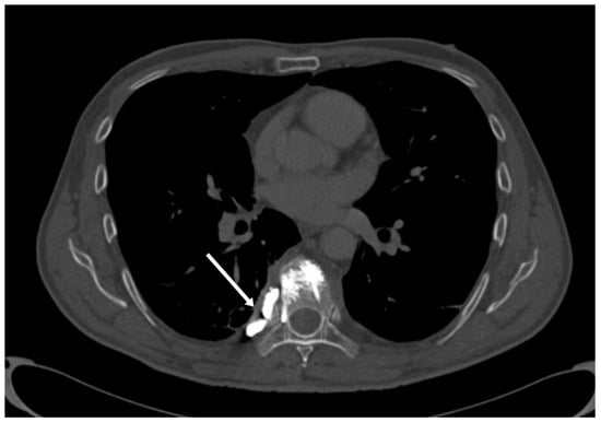
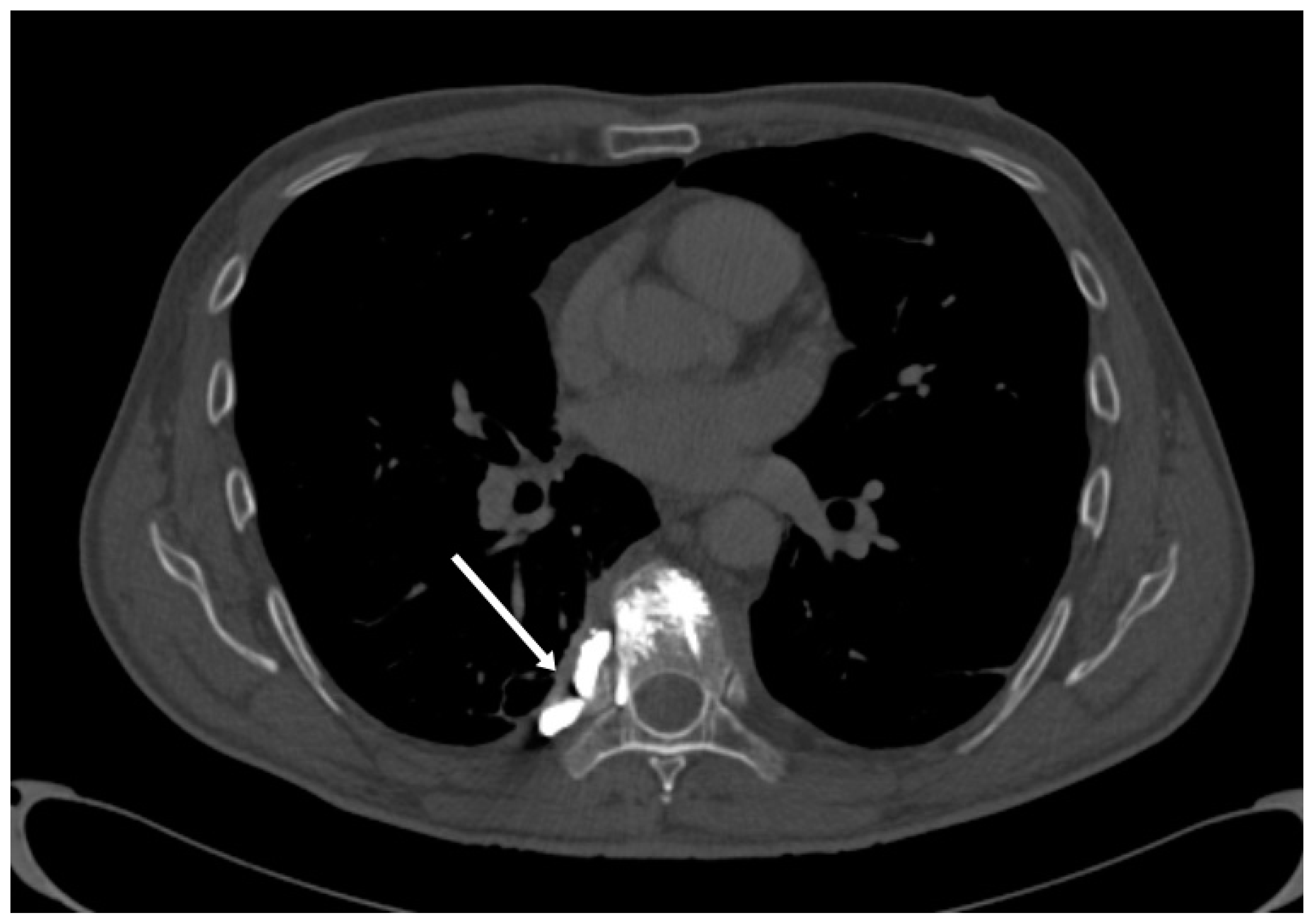
3.4. Venous System Cement Leakage and Pulmonary Embolism
4. Infection
5. Reducing the Risk and Effects of Complications
6. Discussion
7. Conclusions
Author Contributions
Funding
Institutional Review Board Statement
Informed Consent Statement
Data Availability Statement
Conflicts of Interest
References
- Beall, D.P.; Brook, A.L.; Chambers, M.R.; Hirsch, J.A.; Kelekis, A.; Kim, Y.C.; Kreiner, S.; Murphy, K. Vertebral Augmentation: The Comprehensive Guide to Vertebroplasty, Kyphoplasty and Implant Augmentation. Thieme 2020. [Google Scholar] [CrossRef]
- Bai, B.; Yin, Z.; Xu, Q.; Lew, M.; Chen, Y.; Ye, J.; Wu, J.; Chen, D.; Zeng, Y. Histological changes of an injectable rhBMP-2/calcium phosphate cement in vertebroplasty of rhesus monkey. Spine 2009, 34, 1887–1892. [Google Scholar] [CrossRef] [PubMed]
- Vukicevic, S.; Oppermann, H.; Verbanac, D.; Jankolija, M.; Popek, I.; Curak, J.; Brkljacic, J.; Pauk, M.; Erjavec, I.; Francetic, I.; et al. The clinical use of bone morphogenetic proteins revisited: A novel biocompatible carrier device OSTEOGROW for bone healing. Int. Orthop. 2014, 38, 635–647. [Google Scholar] [CrossRef] [PubMed]
- Grgurevic, L.; Erjavec, I.; Gupta, M.; Pecin, M.; Bordukalo-Niksic, T.; Stokovic, N.; Vnuk, D.; Farkas, V.; Capak, H.; Milosevic, M.; et al. Autologous blood coagulum containing rhBMP6 induces new bone formation to promote anterior lumbar interbody fusion (ALIF) and posterolateral lumbar fusion (PLF) of spine in sheep. Bone 2020, 138, 115448. [Google Scholar] [CrossRef] [PubMed]
- Carli, D.; Venmans, A.; Lodder, P.; Donga, E.; van Oudheusden, T.; Boukrab, I.; Schoemaker, K.; Smeets, A.; Schonenberg, C.; Hirsch, J.; et al. Vertebroplasty versus Active Control Intervention for Chronic Osteoporotic Vertebral Compression Fractures: The VERTOS V Randomized Controlled Trial. Radiology 2023, 308, e222535. [Google Scholar] [CrossRef]
- Gu, Y.F.; Li, Y.D.; Wu, C.G.; Sun, Z.K.; He, C.J. Safety and efficacy of percutaneous vertebroplasty and interventional tumor removal for metastatic spinal tumors and malignant vertebral compression fractures. AJR Am. J. Roentgenol. 2014, 202, W298–W305. [Google Scholar] [CrossRef]
- Al-Nakshabandi, N.A. Percutaneous vertebroplasty complications. Ann. Saudi Med. 2011, 31, 294–297. [Google Scholar] [CrossRef]
- Laredo, J.D.; Hamze, B. Complications of percutaneous vertebroplasty and their prevention. Semin. Ultrasound CT MR 2005, 26, 65–80. [Google Scholar] [CrossRef]
- Cotten, A.; Boutry, N.; Cortet, B.; Assaker, R.; Demondion, X.; Leblond, D.; Chastanet, P.; Duquesnoy, B.; Deramond, H. Percutanous Vertebroplasty: State of art. RadioGraphics 1998, 18, 311–320. [Google Scholar] [CrossRef]
- Vasconcelos, C.; Gailloud, P.; Martin, J.B.; Murphy, K.J. Transient arterial hypotension induced by polymethylmethacrylate injection during percutaneous vertebroplasty. J. Vasc. Interv. Radiol. 2001, 12, 1001–1002. [Google Scholar] [CrossRef]
- Heran, M.K.; Legiehn, G.M.; Munk, P.L. Current concepts and techniques in percutaneous vertebroplasty. Orthop. Clin. N. Am. 2006, 37, 409–434. [Google Scholar] [CrossRef] [PubMed]
- Schmidt, R.; Cakir, B.; Mattes, T.; Wegener, M.; Puhl, W.; Richter, M. Cement leakage during vertebroplasty: An underestimated problem? Eur. Spine J. 2005, 14, 466–473. [Google Scholar] [CrossRef]
- Tang, B.; Xu, S.; Chen, X.; Cui, L.; Wang, Y.; Yan, X.; Liu, Y. The impact of intravertebral cleft on cement leakage in percutaneous vertebroplasty for osteoporotic vertebral compression fractures: A case-control study. BMC Musculoskelet. Disord. 2021, 22, 805. [Google Scholar] [CrossRef] [PubMed]
- Jin, Y.J.; Yoon, S.H.; Park, K.W.; Chung, S.K.; Kim, K.J.; Yeom, J.S.; Kim, H.J. The volumetric analysis of cement in vertebroplasty: Relationship with clinical outcome and complications. Spine 2011, 36, E761–E772. [Google Scholar] [CrossRef] [PubMed]
- Chen, Y.; Zhang, H.; Chen, H.; Ou, Z.; Fu, Y.; Zhang, J. Comparison of the effectiveness and safety of unilateral and bilateral percutaneous vertebroplasty for osteoporotic vertebral compression fractures: A protocol for systematic review and meta-analysis. Medicine 2021, 100, e28453. [Google Scholar] [CrossRef] [PubMed]
- Ryu, K.S.; Park, C.K.; Kim, M.C.; Kang, J.K. Dose-dependent epidural leakage of polymethylmethacrylate after percutaneous vertebroplasty in patients with osteoporotic vertebral compression fractures. J. Neurosurg. 2002, 96, 56–61. [Google Scholar] [CrossRef]
- Lador, R.; Dreiangel, N.; Ben-Galim, P.J.; Hipp, J.A. A pictorial classification atlas of cement extravasation with vertebral augmentation. Spine J. 2010, 10, 1118–1127. [Google Scholar] [CrossRef]
- Jing, Z.; Li, L.; Song, J. Delayed neurological deficits caused by cement extravasation following vertebroplasty: A case report. J. Int. Med. Res. 2021, 49, 3000605211019664. [Google Scholar] [CrossRef]
- Yeom, J.S.; Kim, W.J.; Choy, W.S.; Lee, C.K.; Chang, B.S.; Kang, J.W. Leakage of cement in percutaneous transpedicular vertebroplasty for painful osteoporotic compression fractures. J. Bone Jt. Surg. Br. 2003, 85, 83–89. [Google Scholar] [CrossRef]
- Venmans, A.; Klazen, C.A.; van Rooij, W.J.; de Vries, J.; Mali, W.P.; Lohle, P.N. Postprocedural CT for perivertebral cement leakage in percutaneous vertebroplasty is not necessary--results from VERTOS II. Neuroradiology 2011, 53, 19–22. [Google Scholar] [CrossRef]
- Kao, F.C.; Tu, Y.K.; Lai, P.L.; Yu, S.W.; Yen, C.Y.; Chou, M.C. Inferior vena cava syndrome following percutaneous vertebroplasty with polymethylmethacrylate. Spine 2008, 33, E329–E333. [Google Scholar] [CrossRef] [PubMed]
- Mo, L.; Wu, Z.; Liang, D.; Cai, Z.; Huang, J.; Lin, S.; Cui, J.; Zhang, S.; Yang, Z.; Yao, Z.; et al. Influence of bone cement distribution on outcomes following percutaneous vertebroplasty: A retrospective matched-cohort study. J. Int. Med. Res. 2021, 49, 3000605211022287. [Google Scholar] [CrossRef]
- Zhao, Z.; Qin, D.; Zhao, W. Asymptomatic cement leakage into inferior vena cava. QJM 2022, 115, 49–50. [Google Scholar] [CrossRef] [PubMed]
- Toru, Ü.; Coşkun, T.; Acat, M.; Onaran, H.; Gül, Ş.; Çetinkaya, E. Pulmonary Cement Embolism following Percutaneous Vertebroplasty. Case Rep. Pulmonol. 2014, 2014, 851573. [Google Scholar] [CrossRef] [PubMed]
- Hsieh, M.K.; Kao, F.C.; Chiu, P.Y.; Chen, L.H.; Yu, C.W.; Niu, C.C.; Lai, P.L.; Tsai, T.T. Risk factors of neurological deficit and pulmonary cement embolism after percutaneous vertebroplasty. J. Orthop. Surg. Res. 2019, 14, 406. [Google Scholar] [CrossRef]
- Kim, S.Y.; Seo, J.B.; Do, K.H.; Lee, J.S.; Song, K.S.; Lim, T.H. Cardiac perforation caused by acrylic cement: A rare complication of percutaneous vertebroplasty. Am. J. Roentgenol. 2005, 185, 1245–1247. [Google Scholar] [CrossRef]
- Edmonds, C.R.; Barbut, D.; Hager, D.; Sharrock, N.E. Intraoperative cerebral arterial embolization during total hip arthroplasty. Anesthesiology 2000, 93, 315–318. [Google Scholar] [CrossRef]
- Kovacevic, L.; Cavka, M.; Marusic, Z.; Kresic, E.; Stajduhar, A.; Grbanovic, L.; Dumic-Cule, I.; Prutki, M. Percutaneous CT-Guided Bone Lesion Biopsy for Confirmation of Bone Metastases in Patients with Breast Cancer. Diagnostics 2022, 12, 2094. [Google Scholar] [CrossRef]
- Park, J.W.; Park, S.M.; Lee, H.J.; Lee, C.K.; Chang, B.S.; Kim, H. Infection following percutaneous vertebral augmentation with polymethylmethacrylate. Arch. Osteoporos. 2018, 13, 47. [Google Scholar] [CrossRef]
- Vats, H.S.; McKiernan, F.E. Infected vertebroplasty: Case report and review of literature. Spine 2006, 31, E859–E862. [Google Scholar] [CrossRef]
- Wang, L.; Lu, M.; Zhang, X.; Zhao, Z.; Li, X.; Liu, T.; Xu, L.; Yu, S. Risk factors for pulmonary cement embolism after percutaneous vertebroplasty and radiofrequency ablation for spinal metastases. Front. Oncol. 2023, 13, 1129658. [Google Scholar] [CrossRef] [PubMed]






Disclaimer/Publisher’s Note: The statements, opinions and data contained in all publications are solely those of the individual author(s) and contributor(s) and not of MDPI and/or the editor(s). MDPI and/or the editor(s) disclaim responsibility for any injury to people or property resulting from any ideas, methods, instructions or products referred to in the content. |
© 2023 by the authors. Licensee MDPI, Basel, Switzerland. This article is an open access article distributed under the terms and conditions of the Creative Commons Attribution (CC BY) license (https://creativecommons.org/licenses/by/4.0/).
Share and Cite
Cavka, M.; Delimar, D.; Rezan, R.; Zigman, T.; Duric, K.S.; Cimic, M.; Dumic-Cule, I.; Prutki, M. Complications of Percutaneous Vertebroplasty: A Pictorial Review. Medicina 2023, 59, 1536. https://doi.org/10.3390/medicina59091536
Cavka M, Delimar D, Rezan R, Zigman T, Duric KS, Cimic M, Dumic-Cule I, Prutki M. Complications of Percutaneous Vertebroplasty: A Pictorial Review. Medicina. 2023; 59(9):1536. https://doi.org/10.3390/medicina59091536
Chicago/Turabian StyleCavka, Mislav, Domagoj Delimar, Robert Rezan, Tomislav Zigman, Kresimir Sasa Duric, Mislav Cimic, Ivo Dumic-Cule, and Maja Prutki. 2023. "Complications of Percutaneous Vertebroplasty: A Pictorial Review" Medicina 59, no. 9: 1536. https://doi.org/10.3390/medicina59091536
APA StyleCavka, M., Delimar, D., Rezan, R., Zigman, T., Duric, K. S., Cimic, M., Dumic-Cule, I., & Prutki, M. (2023). Complications of Percutaneous Vertebroplasty: A Pictorial Review. Medicina, 59(9), 1536. https://doi.org/10.3390/medicina59091536

