Asymptomatic Idiopathic Renal Infarction Detected Incidentally on Contrast-Enhanced Computed Tomography: A Case Report
Abstract
1. Introduction
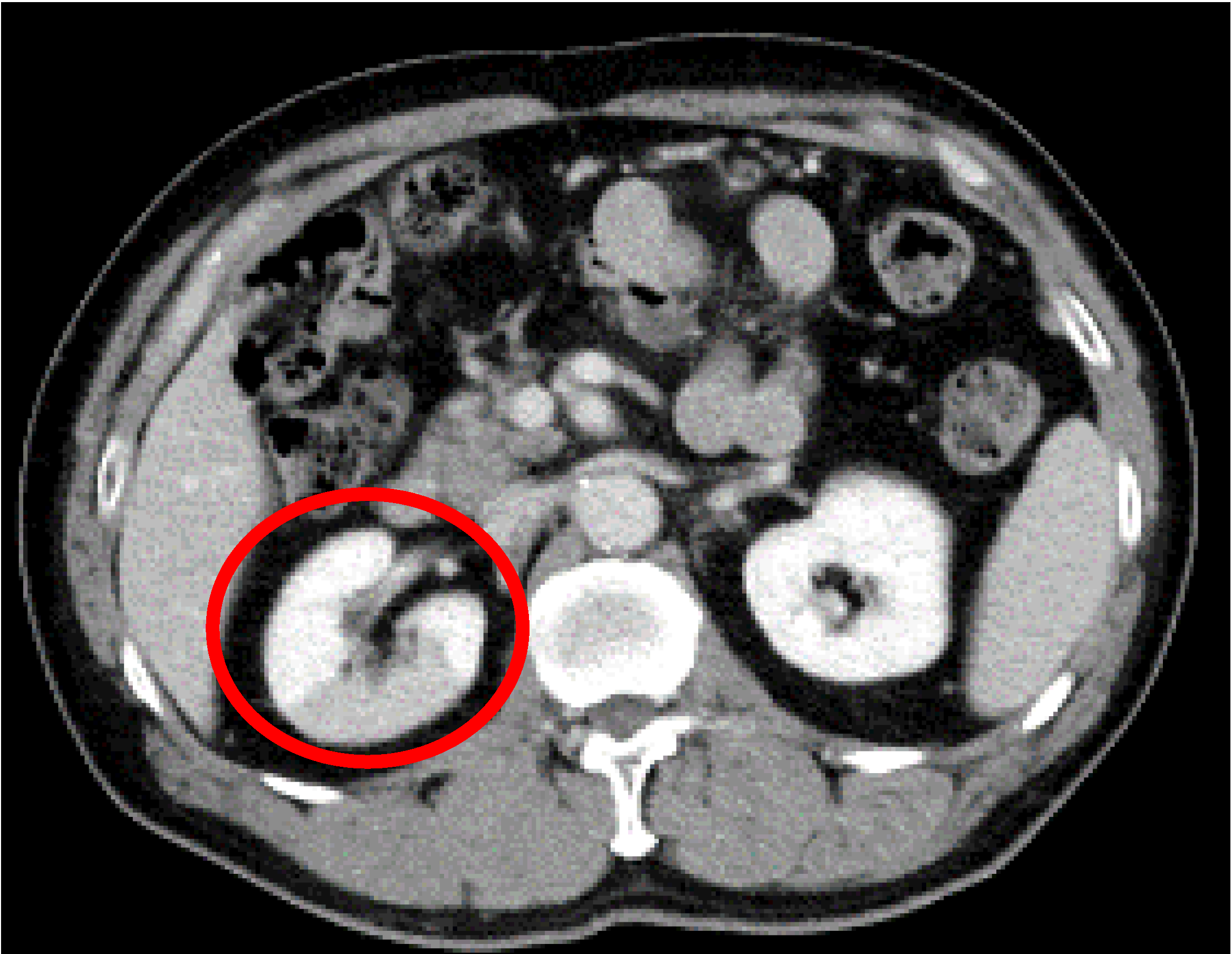
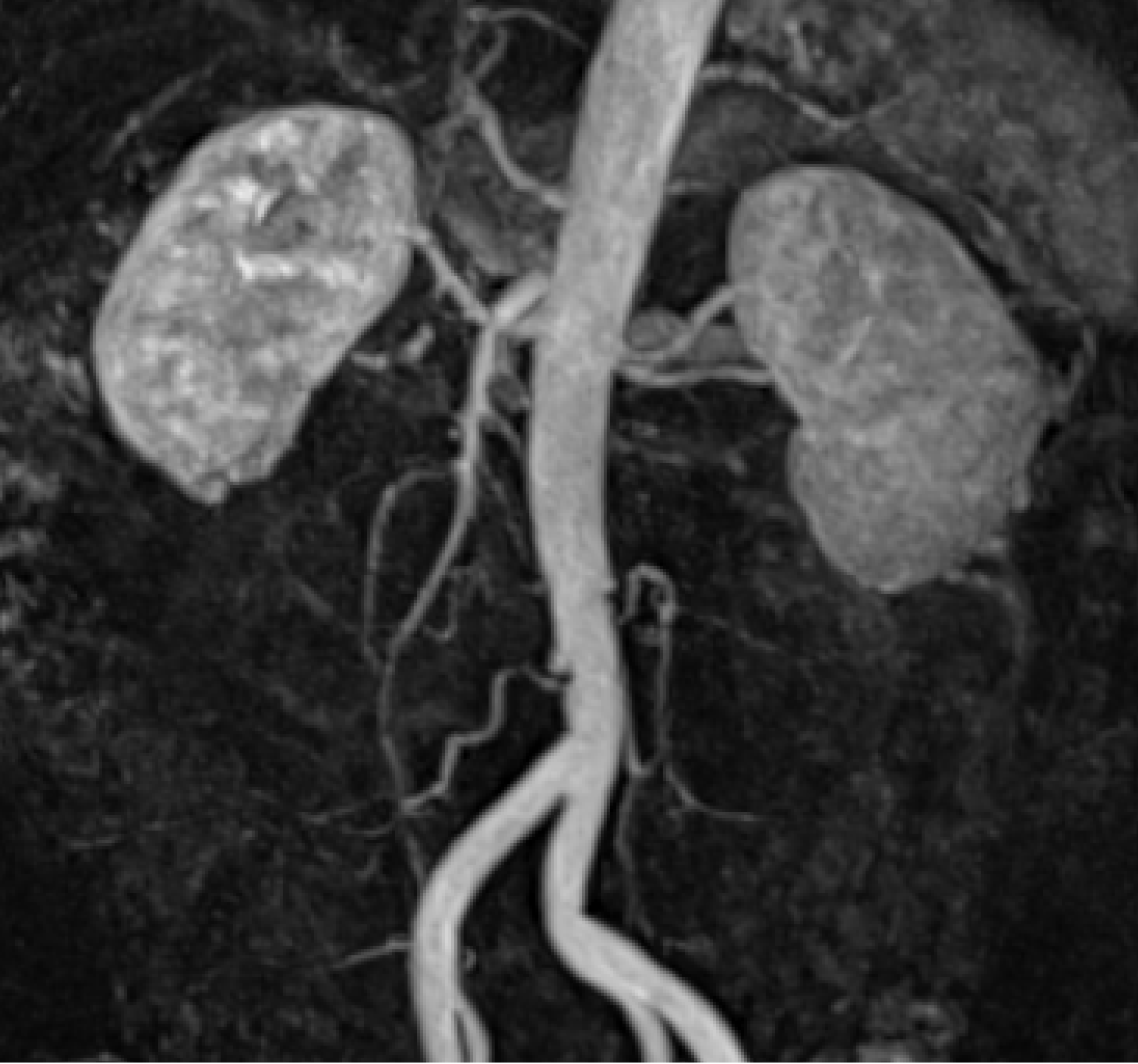
2. Case Presentation
3. Discussion
4. Conclusions
Author Contributions
Funding
Institutional Review Board Statement
Informed Consent Statement
Data Availability Statement
Conflicts of Interest
References
- Faucon, A.L.; Bobrie, G.; Jannot, A.S.; Azarine, A.; Plouin, P.F.; Azizi, M.; Amar, L. Cause of renal infarction: A retrospective analysis of 186 consecutive cases. J. Hypertens. 2018, 36, 634–640. [Google Scholar] [CrossRef] [PubMed]
- Bourgault, M.; Grimbert, P.; Verret, C.; Pourrat, J.; Herody, M.; Halimi, J.M.; Karras, A.; Amoura, Z.; Jourde-Chiche, N.; Izzedine, H.; et al. Acute renal infarction: A case series. Clin. J. Am. Soc. Nephrol. 2013, 8, 392–398. [Google Scholar] [CrossRef] [PubMed]
- Khayat, M.I.; Nee, R.; Little, D.J.; Olson, S.W. Idiopathic renal infarction and anticoagulation. TH Open 2019, 3, e331–e334. [Google Scholar] [CrossRef] [PubMed]
- Murray, N.P.; Fuentealba, C.; Reyes, E.; Salazar, A. Renal infarction associated with asymptomatic COVID-19 infection. Hematol. Transfus. Cell Ther. 2021, 43, 353–356. [Google Scholar] [CrossRef] [PubMed]
- Ono, K.; Iwasaki, Y.K.; Akao, M.; Ikeda, T.; Ishii, K.; Inden, Y.; Kusano, K.; Kobayashi, Y.; Koretsune, Y.; Sasano, T.; et al. JCS/JHRS 2020 guideline on pharmacotherapy of cardiac arrhythmias. Circ. J. 2022, 86, 1790–1924. [Google Scholar] [CrossRef] [PubMed]
- Di Serafino, M.; Severino, R.; Gullotto, C.; Lisanti, F.; Scarano, E. Idiopathic renal infarction mimicking appendicitis. Case Rep. Emerg. Med. 2017, 2017, 8087315. [Google Scholar] [CrossRef] [PubMed]
- Hedhli, H.; Ouanes, Y.; Bibi, M.; Mraddeli, K.; Benrhouma, S.; Nouira, Y. Idiopathic renal infarction: A new case report. Urol. Case Rep. 2021, 39, 101752. [Google Scholar] [CrossRef] [PubMed]
- Markabawi, D.; Singh-Gambhir, H. Acute renal infarction: A diagnostic challenge. Am. J. Emerg. Med. 2018, 36, 1325.e1–1325.e2. [Google Scholar] [CrossRef] [PubMed]
- Chornyy, V.; Koratala, A. Idiopathic renal infarction: Suspicion is the key. J. Acute Med. 2017, 7, 79–81. [Google Scholar] [CrossRef] [PubMed]
- Al-Shareef, A.S.; Alwafi, E.; Alzailaie, M.; Shirah, B. Idiopathic renal infarction: An important differential diagnosis of unexplained flank pain. Cureus 2021, 13, e18206. [Google Scholar] [CrossRef] [PubMed]
- Eickhoff, C.; Mei, J.M.; Martinez, J.; Little, D. Idiopathic renal infarction in a previously healthy active duty soldier. Mil. Med. 2014, 179, e259–e262. [Google Scholar] [CrossRef] [PubMed]
- Braun, D.R.; Sawczuk, I.S.; Axelrod, S.A. Idiopathic renal infarction. Urology 1995, 45, 142–145. [Google Scholar] [CrossRef] [PubMed]
- Racusin, J.S.; Pollack, M.L. Idiopathic renal infarction in a young woman. Am. J. Emerg. Med. 2005, 23, 397–398. [Google Scholar] [CrossRef] [PubMed]
- Chen, Y.J.; Chen, W.L.; Tsai, W.C.; Tsao, Y.T. Sentinel central retinal artery occlusion: A forme fruste of idiopathic renal infarction. Am. J. Emerg. Med. 2009, 27, 253.e1–253.e2. [Google Scholar] [CrossRef] [PubMed]
- Oh, Y.K.; Yang, C.W.; Kim, Y.L.; Kang, S.W.; Park, C.W.; Kim, Y.S.; Lee, E.Y.; Han, B.G.; Lee, S.H.; Kim, S.H.; et al. Clinical characteristics and outcomes of renal infarction. Am. J. Kidney Dis. 2016, 67, 243–250. [Google Scholar] [CrossRef] [PubMed]
- García-García, A.; Demelo-Rodríguez, P.; Ordieres-Ortega, L.; Cervilla-Muñoz, E.; García-Fernández-Bravo, I.; Pulfer, M.D.; López-Aparicio, A.; Galeano-Valle, F.; Del Toro-Cervera, J. Idiopathic versus Provoked Renal Infarction: Characteristics and Long-Term Follow-Up of a Cohort of Patients in a Tertiary Hospital. Kidney Blood Press Res. 2019, 44, 1432–1440. [Google Scholar] [CrossRef] [PubMed]



| Parameter | Recorded Value | Standard Value |
|---|---|---|
| White blood cell count | 8090 µL | 4500–7500 µL |
| Hemoglobin | 15.0 g/dL | 11.3–15.2 g/dL |
| Platelet count | 43.6 × 104 µL | 13–35 × 104 µL |
| Prothrombin time/International normalized ratio | 0.84 | 0.80–1.20 |
| Activated partial thromboplastin time | 27.5 s | 26.9–38.1 s |
| D-dimer | 1.0 μg/mL | <1.0 μg/mL |
| C-reactive protein | 0.13 mg/L | ≤0.60 mg/dL |
| Aspartate aminotransferase | 21 U/L | 11–30 U/L |
| Alanine aminotransferase | 20 U/L | 4–30 U/L |
| Lactase dehydrogenase | 181 U/L | 109–216 U/L |
| Creatine kinase | 73 U/L | 40–150 U/L |
| Blood urea nitrogen | 9.5 mg/dL | 8–20 mg/dL |
| Creatinine | 0.95 mg/dL | 0.63–1.03 mg/dL |
| Sodium | 139 mEq/L | 136–148 mEq/L |
| Potassium | 4.1 mEq/L | 3.6–5.0 mEq/L |
| Chloride | 102 mEq/L | 98–108 mEq/L |
| CEA | 1.94 ng/mL | <5.0 ng/mL |
| CA19-9 | 10.4 U/mL | <37.0 U/mL |
| Case | Literature | Year Published | Age (Years) | Sex | Symptoms | Treatment | Long-Term Outcomes after Treatment |
|---|---|---|---|---|---|---|---|
| 1 | 6 | 2017 | 38 | Male | Right-sided abdominal pain, Radiating pain to the iliac fossa and back | Continuous intravenous enoxaparin sodium was started; it was switched to oral warfarin. | No recurrence after one year. |
| 2 | 7 | 2021 | 43 | Male | Right renal colic | After intravenous heparin administration, the medication was switched to vitamin K antagonists. | No recurrence at 3, 6, and 12 months post-treatment. |
| 3 | 8 | 2018 | 41 | Male | Right upper and lateral abdominal pain, Fever and chills | Therapeutic dose of enoxaparin sodium | NR |
| 4 | 9 | 2017 | 42 | Male | Nausea, Epigastric pain, Radiating pain to the back | Oral anticoagulant (type and dose of the medicine were not reported) | NR |
| 5 | 10 | 2021 | 37 | Male | Left-sided abdominal colic, Radiogenic pain to testis | Unfractionated heparin 80 mg/kg bolus and continuous intravenous infusion at 18 mg/kg/h. This was then switched to oral warfarin. | NR |
| 6 | 11 | 2014 | 50 | Male | Right-sided abdominal pain, Vomiting, Sweating, Loss of appetite | Enoxaparin sodium and warfarin administration. Lisinopril oral administration. | No recurrence after 6 months. |
| 7 | 12 | 1995 | 37 | Male | Lateral abdominal pain, Vomiting, Slight fever | After two weeks of intravenous heparin, six months of intravenous warfarin was administered. | No recurrence at 8 weeks post-CT. |
| 8 | 13 | 2005 | 42 | Female | Left-sided abdominal pain, Radiating pain to the left lower abdomen | Warfarin (drug dosage was not reported) | NR |
| 9 | 14 | 2009 | 46 | Male | Right-sided abdominal pain, Radiating pain to the right lower abdomen | Systemic anticoagulation after selective transarterial urokinase infusion (type and dose of the medicine were not reported) | NR |
Disclaimer/Publisher’s Note: The statements, opinions and data contained in all publications are solely those of the individual author(s) and contributor(s) and not of MDPI and/or the editor(s). MDPI and/or the editor(s) disclaim responsibility for any injury to people or property resulting from any ideas, methods, instructions or products referred to in the content. |
© 2023 by the authors. Licensee MDPI, Basel, Switzerland. This article is an open access article distributed under the terms and conditions of the Creative Commons Attribution (CC BY) license (https://creativecommons.org/licenses/by/4.0/).
Share and Cite
Mizusugi, M.; Kenzaka, T. Asymptomatic Idiopathic Renal Infarction Detected Incidentally on Contrast-Enhanced Computed Tomography: A Case Report. Medicina 2023, 59, 1176. https://doi.org/10.3390/medicina59061176
Mizusugi M, Kenzaka T. Asymptomatic Idiopathic Renal Infarction Detected Incidentally on Contrast-Enhanced Computed Tomography: A Case Report. Medicina. 2023; 59(6):1176. https://doi.org/10.3390/medicina59061176
Chicago/Turabian StyleMizusugi, Mariko, and Tsuneaki Kenzaka. 2023. "Asymptomatic Idiopathic Renal Infarction Detected Incidentally on Contrast-Enhanced Computed Tomography: A Case Report" Medicina 59, no. 6: 1176. https://doi.org/10.3390/medicina59061176
APA StyleMizusugi, M., & Kenzaka, T. (2023). Asymptomatic Idiopathic Renal Infarction Detected Incidentally on Contrast-Enhanced Computed Tomography: A Case Report. Medicina, 59(6), 1176. https://doi.org/10.3390/medicina59061176

