The “Viral” Form of Polyarteritis Nodosa (PAN)—A Distinct Entity: A Case Based Review
Abstract
1. Introduction
2. Clinical Case
2.1. History of Present Illness
2.2. Clinical Picture
- -
- The general condition was influenced
- -
- Pale skin and mucous membranes, jaundice, petechiae on the right forearm, livedo reticularis on the left lower limb, bilateral onycholysis (Figure 1a,b)
- -
- Arthritis of hands, knees, and ankles bilaterally with positive Celsus signs of inflammation (heat, redness, swelling, pain, and loss of function)
- -
- Absent pulse of the radial artery in the left hand and absent pulse of the posterior tibial artery and dorsalis pedis artery bilaterally
- -
- Rhythmic heart sounds, tachycardia with HR = 93/min, BP = 180/100 mmHg
- -
- Diminished basal vesicular murmur on the right, SpO2 = 95%,
- -
- Abdominal distension due to ascites, displaceable dullness on the flanks, non-tender to palpation
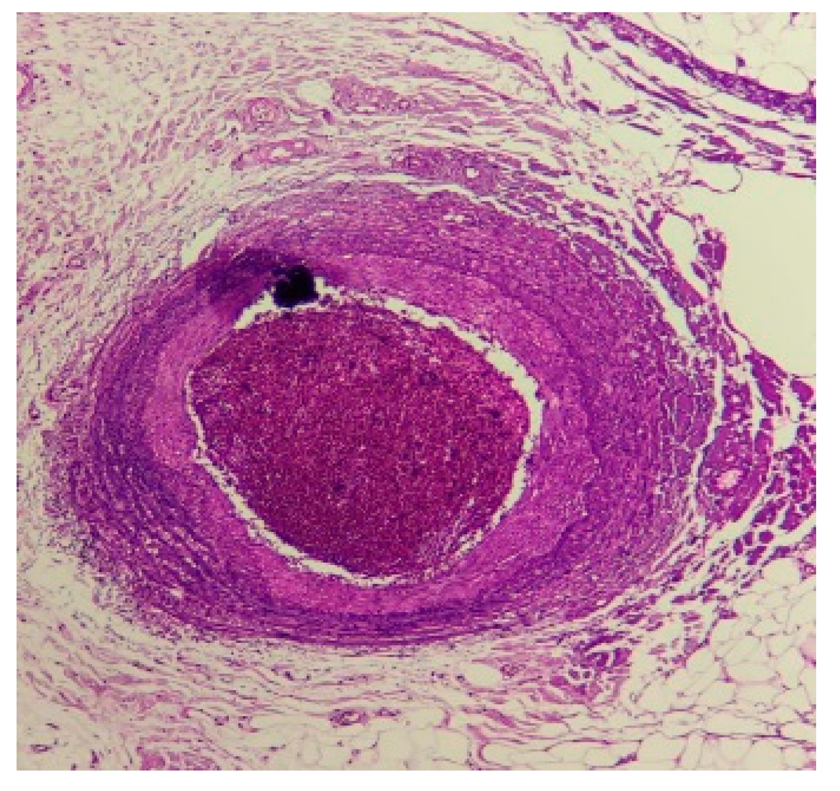
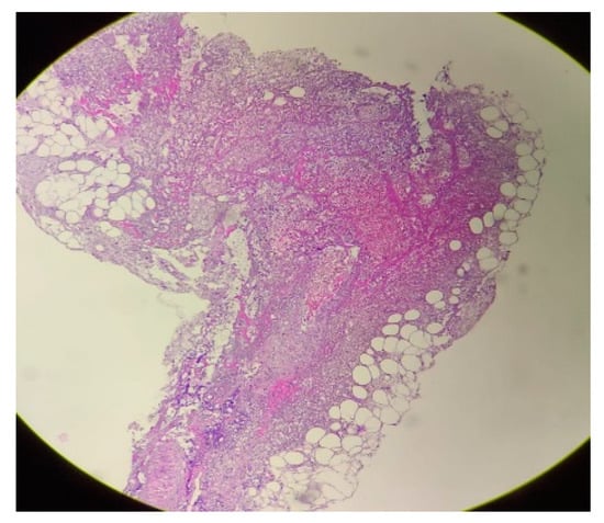
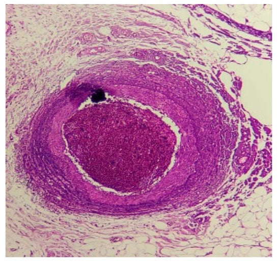
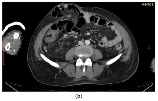
2.3. Investigations
2.4. Differential Diagnosis
- Infectious diseases that can induce clinical manifestations similar to PAN-HVB or that can produce vascular inflammation: infectious endocarditis or other infections that evolve with bacteremia, mycotic aneurysm with distal embolism, hepatitis C virus infection, or HIV infection [6,7]. The screening of these infections is important in the differential diagnosis of different forms of vasculitis.
- ANCA-associated vasculitis: This includes granulomatosis with polyangiitis (Wegener’s granulomatosis), microscopic polyangiitis, and eosinophilic granulomatosis with polyangiitis (Churg-Strauss syndrome). These can mimic the symptoms of PAN. The distinction between these different forms of vasculitis is essential for the appropriate treatment, and in our case, the differential diagnosis was performed through laboratory determinations (absence of ANCA antibodies) and histopathological examination [4,6].
- Other forms of vasculitis: There are various types of vasculitis that can present with similar clinical features, such as giant cell arteritis or Takayasu arteritis. The distinction between these different forms of vasculitis is essential for the appropriate treatment, and in our case, the differential diagnosis was performed through laboratory determinations (absence of ANCA antibodies) and histopathological examination [6,8,9].
- Connective tissue diseases: Conditions such as systemic lupus erythematosus (SLE), rheumatoid arthritis, and Sjögren’s syndrome can present with clinical manifestations of systemic vasculitis. Behçet’s disease is another disorder we need to consider in the differential diagnosis of PAN-HVB. It is a chronic inflammatory condition characterized by recurrent oral and genital ulcers, skin lesions, eye inflammation, and various systemic manifestations. Although it primarily affects the mucous membranes, Behçet’s disease can also involve blood vessels, leading to vasculitis that can resemble PAN-HVB [6,8,9].
- The paraclinical data excluded the presence of these conditions in our patient.
2.5. Treatment and Evolution
3. Discussion
3.1. PAN Features
- Weight loss of 4 kg or more,
- Livedo reticularis,
- Testicular pain/tension,
- Myalgia or weakness/tension in the legs,
- Mononeuropathy or polyneuropathy,
- Diastolic blood pressure greater than 90 mmHg,
- Elevation of urea or creatinine level not caused by dehydration or obstruction,
- Presence of hepatitis B surface antigen or antibodies in serum,
- Arteriography showing aneurysms or obstructions of the visceral arteries,
- Presence of polymorphonuclear neutrophils in biopsy material from a small or medium-sized artery.
3.2. Genetic Associations
3.3. Stages
3.4. Treatment
- Idiopathic PAN refractory to corticosteroids or involving major organ involvement: corticosteroids plus cyclophosphamide are standard of care;
- Hepatitis B-associated PAN: corticosteroids and antiviral agents (e.g., vidarabine, interferon alfa-2b) and plasmapheresis;
- In patients with corticosteroid-resistant or recurrent PAN, there are case reports describing response to treatment with biological agents (e.g., infliximab, etanercept, tocilizumab, tofacitinib, rituximab);
- Severe PAN: plasma transfusion was used.
4. Conclusions and Future Perspectives
Author Contributions
Funding
Institutional Review Board Statement
Informed Consent Statement
Data Availability Statement
Acknowledgments
Conflicts of Interest
References
- Stanton, M.; Tiwari, V. Polyarteritis Nodosa. In StatPearls; StatPearls Publishing: Treasure Island, FL, USA, 2023. Available online: https://www.ncbi.nlm.nih.gov/books/NBK482157/ (accessed on 4 April 2023).
- Ozen, S. The changing face of polyarteritis nodosa and necrotizing vasculitis. Nat. Rev. Rheumatol. 2017, 6, 381–386. [Google Scholar] [CrossRef]
- De Boysson, H.; Guillevin, L. Polyarteritis Nodosa Neurologic Manifestations. Neurol. Clin. 2019, 37, 345–357. [Google Scholar] [CrossRef]
- Hernández-Rodríguez, J.; Alba, M.A.; Prieto-González, S.; Cid, M.C. Diagnosis and classification of polyarteritis nodosa. J. Autoimmun. 2014, 48–49, 84–89. [Google Scholar] [CrossRef]
- Ramos-Casals, M.; Stone, J.H.; Cid, M.C.; Bosch, X. The cryoglobulinaemias. Lancet 2012, 379, 348–360. [Google Scholar] [CrossRef]
- Merkel, P.A. Clinical manifestations and diagnosis of polyarteritis nodosa. In UpToDate; Post, T.W., Ed.; UpToDate Inc.: Waltham, MA, USA, 2019; Available online: https://www.uptodate.com (accessed on 2 June 2023).
- Belizna, C.C.; Hamidou, M.A.; Levesque, H.; Guillevin, L.; Shoenfeld, Y. Infection and vasculitis. Rheumatology 2009, 48, 475–482. [Google Scholar] [CrossRef]
- Lötscher, F.; Pop, R.; Seitz, P.; Recher, M.; Seitz, L. Spectrum of Large- and Medium-Vessel Vasculitis in Adults: Neoplastic, Infectious, Drug-Induced, Autoinflammatory, and Primary Immunodeficiency Diseases. Curr. Rheumatol. Rep. 2022, 24, 293–309. [Google Scholar] [CrossRef]
- Okazaki, T.; Shinagawa, S.; Mikage, H. Vasculitis syndrome-diagnosis and therapy. J. Gen. Fam. Med. 2017, 18, 72–78. [Google Scholar] [CrossRef] [PubMed]
- Kussmaul, A.; Maier, R. Ueber eine bisher nicht beschriebene eigenthümliche Arterienerkrankung (Periarteritis nodosa), die mit Morbus Brightii und rapid fortschreitender allgemeiner Muskellähmung einhergeht. Dtsch. Arch. Klin. Med. 1866, 1, 484–518. [Google Scholar]
- Forbess, L.; Bannykh, S. Polyarteritis nodosa. Rheum. Dis. Clin. N. Am. 2015, 41, 33–46. [Google Scholar] [CrossRef]
- Gori, T. Coronary Vasculitis. Biomedicines 2021, 9, 622. [Google Scholar] [CrossRef] [PubMed]
- Matteson, E.L. A history of early investigation in polyarteritis nodosa. Arthritis Care Res. 1999, 4, 294–302. [Google Scholar] [CrossRef]
- Davson, J.; Ball, J.; Platt, R. The kidney in periarteritis nodosa. Q. J. Med. 1948, 67, 175–202. [Google Scholar]
- Stone, J.H. Polyarteritis nodosa. JAMA 2002, 288, 1632–1639. [Google Scholar] [CrossRef] [PubMed]
- Lightfoot, R.W., Jr.; Michel, B.A.; Bloch, D.A.; Hunder, G.G.; Zvaifler, N.J.; McShane, D.J. The American College of Rheumatology 1990 criteria for the classification of polyarteritis nodosa. Arthritis Rheum. 1990, 33, 1088–1093. [Google Scholar] [CrossRef] [PubMed]
- Mazzaro, C.; Adinolfi, L.E.; Pozzato, G.; Nevola, R.; Zanier, A.; Serraino, D.; Andreone, P.; Fenoglio, R.; Sciascia, S.; Gattei, V.; et al. Extrahepatic Manifestations of Chronic HBV Infection and the Role of Antiviral Therapy. J. Clin. Med. 2022, 11, 6247. [Google Scholar] [CrossRef]
- Jennette, J.C.; Falk, R.J.; Andrassy, K. Nomenclature of systemic vasculitides. Proposal of an international consensus conference. Arthritis Rheum. 1994, 37, 187–192. [Google Scholar] [CrossRef]
- Colmegna, I.; Maldonado-Cocco, J.A. Polyarteritis nodosa revisited. Curr. Rheumatol. Rep. 2005, 7, 288–296. [Google Scholar] [CrossRef]
- Trepo, C.; Guillevin, L. Polyarteritis nodosa and extrahepatic manifestations of HBV infection: The case against autoimmune intervention in pathogenesis. J. Autoimmun. 2001, 16, 269–274. [Google Scholar] [CrossRef]
- Popa, E.; Zugun-Eloae, F.; Zlei, M.; Jitaru, D.; Pintilie, O.; Coman, A.; Traian, M.; Ungureanu, D.; Carasevici, E. Flow Cytometry Analysis of Pparα Receptors in Metabolic. Rom. Rev. Lab. Med. 2014, 22, 427–438. [Google Scholar] [CrossRef]
- Hatemi, G.; Esatoglu, S.N.; Yazici, Y. Biomarkers in vasculitis. Curr. Opin. Rheumatol. 2018, 30, 30–35. [Google Scholar] [CrossRef]
- Okano, T.; Takeuchi, S.; Soma, Y.; Suzuki, K.; Tsukita, S.; Ishizu, A.; Kawakami, T. Presence of anti-phosphatidylserine-prothrombin complex antibodies and anti-moesin antibodies in patients with polyarteritis nodosa. J. Dermatol. 2017, 44, 18–22. [Google Scholar] [CrossRef] [PubMed]
- Pyo, J.Y.; Lee, L.E.; Park, Y.-B.; Lee, S.-W. Comparison of the 2022 ACR/EULAR Classification Criteria for Antineutrophil Cytoplasmic Antibody-Associated Vasculitis with Previous Criteria. Yonsei Med. J. 2023, 64, 11–17. [Google Scholar] [CrossRef] [PubMed]
- Rodriguez-Pla, A.; Warner, R.L.; Cuthbertson, D.; Carette, S.; Khalidi, N.A.; Koening, C.L.; Langford, C.A.; McAlear, C.A.; Moreland, L.W.; Pagnoux, C.; et al. Vasculitis Clinical Research Consortium. Evaluation of Potential Serum Biomarkers of Disease Activity in Diverse Forms of Vasculitis. J. Rheumatol. 2020, 47, 1001–1010. [Google Scholar] [CrossRef] [PubMed]
- Strunk, D.; Schmidt-Pogoda, A.; Beuker, C.; Milles, L.S.; Korsukewitz, C.; Meuth, S.G.; Minnerup, J. Biomarkers in vasculitides of the nervous system. Front. Neurol. 2019, 10, 591. [Google Scholar] [CrossRef]
- Zhu, B.; Cai, X.; Zhu, Q.; Wu, T.; Liu, S.; Hong, J.; Li, N. The Association of Serum Anti-Lysosomal-Associated Membrane Protein-2 Antibody with Vasculitis Combined with Hypertension. Int. J. Hypertens. 2022, 2022, 9656560. [Google Scholar] [CrossRef]
- Guillevin, L.; Mahr, A.; Callard, P.; Godmer, P.; Pagnoux, C.; Leray, E.; Cohen, P.; French Vasculitis Study Group. Hepatitis B virus—Associated polyarteritis nodosa; clinical characteristics, outcome and impact of treatment in 114 patients. Medicine 2015, 84, 313–322. [Google Scholar] [CrossRef]
- Ebert, E.C.; Hagspiel, K.D.; Nagar, M.; Schlesinger, N. Gatrointestinal involvement in polyarteritis nodosa. Clin. Gastroenterol. Hepatol. 2008, 6, 960–966. [Google Scholar] [CrossRef]
- Mahr, A.; Guillevin, L.; Poissonnet, M.; Aymé, S. Prevalences of polyarteritis nodosa, microscopic polyangiitis, Wegener’s granulomatosis, and Churg-Strauss syndrome in a French urban multiethnic population in 2000: A capture-recapture estimate. Arthritis Rheum. 2004, 51, 92–99. [Google Scholar] [CrossRef]
- Zhou, Q.; Yang, D.; Ombrello, A.K.; Zavialov, A.V.; Toro, C.; Zavialov, A.V.; Stone, D.L.; Chae, J.J.; Rosenzweig, S.D.; Bishop, K.; et al. Early-onset stroke and vasculopathy associated with mutations in ADA2. N. Engl. J. Med. 2014, 370, 911–920. [Google Scholar] [CrossRef]
- Pardinhas, C.; Santo, G.; Escada, L.; Rodrigues, J.; Almeida, M.R.; Alves, R.; Salgado, M. A Case of Deficiency of Adenosine Deaminase 2: 28 years of Diagnostic Challenges. Case Rep. Nephrol. Dial. 2021, 11, 340–347. [Google Scholar] [CrossRef]
- Meyts, I.; Aksentijevich, I. Deficiency of Adenosine Deaminase 2 (DADA2): Updates on the Phenotype, Genetics, Pathogenesis, and Treatment. J. Clin. Immunol. 2018, 38, 569–578. [Google Scholar] [CrossRef] [PubMed]
- Elkan, P.N.; Pierce, S.B.; Segel, R.; Walsh, T.; Barash, J.; Padeh, S.; Zlotogorski, A.; Berkun, Y.; Press, J.J.; Mukamel, M.; et al. Mutant adenosine deaminase 2 in a polyarteritis nodosa vasculopathy. N. Engl. J. Med. 2014, 370, 921–931. [Google Scholar] [CrossRef] [PubMed]
- Jacobs-Kosmin, D.; Diamonds, H.S. Polyarteritis Nodosa. Available online: https://emedicine.medscape.com/article/330717-overview (accessed on 4 April 2023).
- Puéchal, X. Polyarteritis Nodosa: State of the art. Jt. Bone Spine 2022, 89, 105320. [Google Scholar] [CrossRef] [PubMed]
- Merkel, P.A. Treatment and prognosis of polyarteritis nodosa. In UpToDate; Post, T.W., Ed.; UpToDate Inc.: Waltham, MA, USA, 2020; Available online: https://www.uptodate.com (accessed on 4 April 2023).
- Ohta, R.; Sano, C. Comprehensive Management of Vasculitis and Suspected Polyarteritis Nodosa in an Older Patient. Cureus 2023, 15, e36307. [Google Scholar] [CrossRef] [PubMed]
- Chung, S.A.; Gorelik, M.; Langford, C.A.; Maz, M.; Abril, A.; Guyatt, G.; Archer, A.M.; Conn, D.L.; Full, K.A.; Grayson, P.C.; et al. 2021 American College of Rheumatology/Vasculitis Foundation Guideline for the Management of Polyarteritis Nodosa. Arthritis Rheumatol. 2021, 73, 1384–1393. [Google Scholar] [CrossRef] [PubMed]
- Chan, T.M.; Lok, A. Kidney disease associated with hepatitis B virus infection. In UpToDate; Post, T.W., Ed.; UpToDate Inc.: Waltham, MA, USA, 2021; Available online: https://www.uptodate.com (accessed on 6 June 2023).
- Lok, A.S.; McMahon, B.J.; Brown, R.S., Jr.; Wong, J.B.; Ahmed, A.T.; Farah, W.; Almasri, J.; Alahdab, F.; Benkhadra, K.; Mouchli, M.A.; et al. Antiviral therapy for chronic hepatitis B viral infection in adults: A systematic review and meta-analysis. Hepatology 2016, 63, 284–306. [Google Scholar] [CrossRef]
- Fukuoka, K.; Kishimoto, M.; Kawakami, T.; Komagata, Y.; Kaname, S. Plasmapheresis for systemic vasculitis. Ther. Apher. Dial. 2022, 26, 493–506. [Google Scholar] [CrossRef]
- European Association for the Study of the Liver. EASL 2017 Clinical Practice Guidelines on the management of hepatitis B virus infection. J. Hepatol. 2017, 67, 370–398. [Google Scholar] [CrossRef]
- Demirkaya, E.; Arici, Z.S.; Romano, M.; Berard, R.A.; Aksentijevich, I. Current State of Precision Medicine in Primary Systemic Vasculitides. Front. Immunol. 2019, 10, 2813. [Google Scholar] [CrossRef]
- Barlow, E.L.; Seddon, O.; Healy, B. PAN’s labyrinth: A multidisciplinary delayed diagnosis and patient’s perspective. BMJ Case Rep. 2016, 2016, bcr201521349. [Google Scholar] [CrossRef]
- Vergneault, H.; Picard, C.; Georgin-Lavialle, S. Break down the barriers of auto-inflammation: How to deal with a monogenic auto-inflammatory disease and immuno-haematological features in 2022? Immunology 2023, 168, 1–17. [Google Scholar] [CrossRef] [PubMed]







| Clinical Features and Diagnosis | Medication | |
|---|---|---|
| Mild Disease |
| Antiviral therapy a:
|
| Moderate and severe Disease |
| Antiviral therapy:
|
Disclaimer/Publisher’s Note: The statements, opinions and data contained in all publications are solely those of the individual author(s) and contributor(s) and not of MDPI and/or the editor(s). MDPI and/or the editor(s) disclaim responsibility for any injury to people or property resulting from any ideas, methods, instructions or products referred to in the content. |
© 2023 by the authors. Licensee MDPI, Basel, Switzerland. This article is an open access article distributed under the terms and conditions of the Creative Commons Attribution (CC BY) license (https://creativecommons.org/licenses/by/4.0/).
Share and Cite
Pașa, V.; Popa, E.; Poroch, M.; Cosmescu, A.; Bacusca, A.I.; Slanina, A.M.; Ceasovschih, A.; Stoica, A.; Petroaie, A.; Ungureanu, M.; et al. The “Viral” Form of Polyarteritis Nodosa (PAN)—A Distinct Entity: A Case Based Review. Medicina 2023, 59, 1162. https://doi.org/10.3390/medicina59061162
Pașa V, Popa E, Poroch M, Cosmescu A, Bacusca AI, Slanina AM, Ceasovschih A, Stoica A, Petroaie A, Ungureanu M, et al. The “Viral” Form of Polyarteritis Nodosa (PAN)—A Distinct Entity: A Case Based Review. Medicina. 2023; 59(6):1162. https://doi.org/10.3390/medicina59061162
Chicago/Turabian StylePașa, Victoria, Elena Popa, Mihaela Poroch, Adriana Cosmescu, Agnes Iacinta Bacusca, Ana Maria Slanina, Alexandr Ceasovschih, Alexandra Stoica, Antoneta Petroaie, Monica Ungureanu, and et al. 2023. "The “Viral” Form of Polyarteritis Nodosa (PAN)—A Distinct Entity: A Case Based Review" Medicina 59, no. 6: 1162. https://doi.org/10.3390/medicina59061162
APA StylePașa, V., Popa, E., Poroch, M., Cosmescu, A., Bacusca, A. I., Slanina, A. M., Ceasovschih, A., Stoica, A., Petroaie, A., Ungureanu, M., Popa, A. E., Avram, R. I., Bologa, C., Poroch, V., & Coman, E. A. (2023). The “Viral” Form of Polyarteritis Nodosa (PAN)—A Distinct Entity: A Case Based Review. Medicina, 59(6), 1162. https://doi.org/10.3390/medicina59061162

