Congenital Isolated Unilateral Agenesis of Pulmonary Arteries with 3-Year Follow-Up after Initiation of Treatment
Abstract
1. Introduction
2. Case Report
2.1. Case Presentation
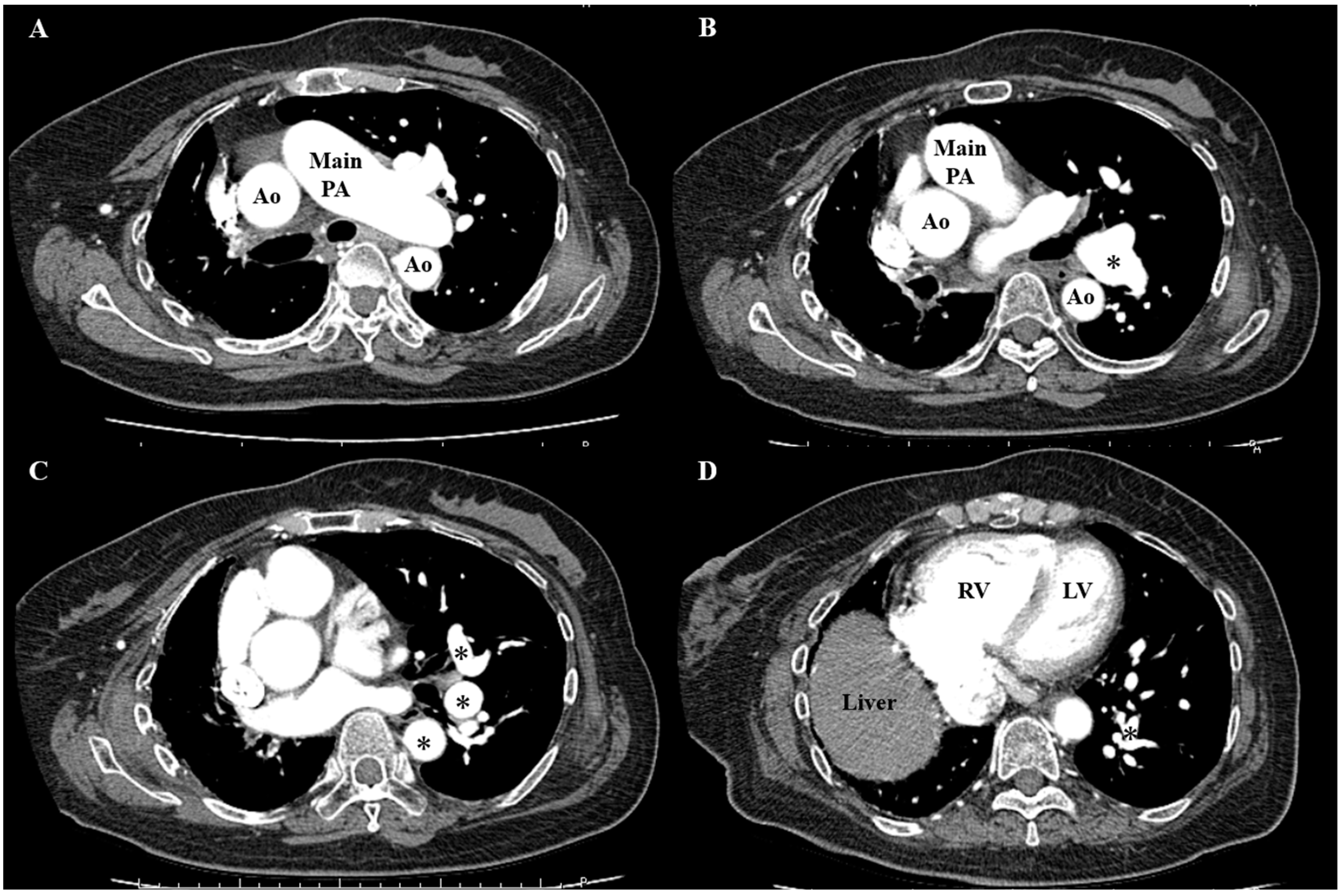
2.2. Investigation
2.3. Differential Diagnosis
2.4. Outcome and Follow-Up
3. Discussion
3.1. First and Second Novelty
3.2. Significance of the First and Second Novelty
3.3. Reference to Clinical Utility
4. Conclusions
5. Teaching Point
Author Contributions
Funding
Institutional Review Board Statement
Informed Consent Statement
Data Availability Statement
Conflicts of Interest
Abbreviations
| UAPA | unilateral agenesis of pulmonary arteries; |
| CT | computed tomography; |
| PDE 5 | phosphodiesterase type 5; |
| NT-proBNP | N-terminal prohormone of brain natriuretic peptide; |
| TRV | tricuspid regurgitation velocity; |
| RVSP | right ventricular systolic pressure; |
| TAPSE | tricuspid annular plane systolic excursion. |
References
- Jariwala, P.; Maturu, V.N.; Christopher, J.; Jadhav, K.P. Congenital isolated unilateral agenesis of pulmonary arteries in adults: Case series and review. Indian J. Thorac. Cardiovasc. Surg. 2021, 37 (Suppl. S1), 144–154. [Google Scholar] [CrossRef] [PubMed]
- Kruzliak, P.; Syamasundar, R.P.; Novak, M.; Pechanova, O.; Kovacova, G. Unilateral absence of pulmonary artery: Pathophysiology, symptoms, diagnosis and current treatment. Arch. Cardiovasc. Dis. 2013, 106, 448–454. [Google Scholar] [CrossRef] [PubMed]
- Fukuda, K.; Date, H.; Doi, S.; Fukumoto, Y.; Fukushima, N.; Hatano, M.; Ito, H.; Kuwana, M.; Matsubara, H.; Momomura, S.I.; et al. Guidelines for the treatment of pulmonary hypertension (JCS 2017/JPCPHS 2017). Circ. J. 2019, 83, 842–945. [Google Scholar] [CrossRef] [PubMed]
- Chopra, R.K.; Jayamani, M.; Pratap, G. Unilateral absence of pulmonary artery: A rare cause of dyspnea in a 77-year-old woman. Eurasian J. Pulmonol. 2020, 22, 64. [Google Scholar] [CrossRef]
- Rodríguez-Gómez, F.; Martín, I.; Sánchez, A.; Pujol, E. Edema de pulmón unilateral e hipertensión pulmonar tratada con sildenafilo en la agenesia de la arteria pulmonar [Sildenafil treatment of unilateral pulmonary edema and pulmonary hypertension in pulmonary artery agenesis]. Rev. Esp. Cardiol. 2006, 59, 1347–1349. (In Spanish) [Google Scholar] [CrossRef] [PubMed]
- Shostak, E.; Sarwar, A. A 50-year-old woman with dyspnea, lower extremity edema, and volume loss of the right hemithorax. Chest 2009, 136, 628–632. [Google Scholar] [CrossRef] [PubMed]
- Nagamatsu, Y.; Goda, A.; Ito, J.; Takeuchi, K.; Kikuchi, H.; Kariyasu, T.; Machida, H.; Inami, T.; Kohno, T.; Soejima, K.; et al. Novel diagnostic and therapeutic approaches to pulmonary hypertension due to the unilateral absence of a pulmonary artery. ESC Heart Fail. 2021, 8, 3427–3430. [Google Scholar] [CrossRef] [PubMed]





| Parameter | Value at Initial Visit | Value at First Admission | Normal Range |
|---|---|---|---|
| White blood cell count (cells/µL) | 6200 | 7500 | 3300–8600 |
| Hemoglobin (g/dL) | 12.6 | 12.5 | 11.5–15.0 |
| Platelet count (/µL) | 19.4 × 104 | 24.1 × 104 | 15–35 × 104 |
| C-reactive protein (mg/dL) | 1.12 | - | ≤0.14 |
| Total protein (g/dL) | 7.4 | 6.7 | 6.6–8.1 |
| Albumin (g/dL) | 3.7 | 3.4 | 4.1–5.1 |
| Total Bilirubin (mg/dL) | 0.6 | - | 0.4–1.5 |
| Aspartate aminotransferase (U/L) | 15 | 17 | 13–30 |
| Alanine aminotransferase (U/L) | 6 | 6 | 7–23 |
| Lactase dehydrogenase (U/L) | 180 | 205 | 124–222 |
| γ-Glutamyl Transpeptidase (U/L) | 53 | 88 | 9–32 |
| Blood urea nitrogen (mg/dL) | 7.7 | 11.6 | 8–20 |
| Creatinine (mg/dL) | 0.71 | 0.79 | 0.46–0.79 |
| Sodium (mEq/L) | 141 | 138 | 138–145 |
| Potassium (mEq/L) | 4.0 | 3.9 | 3.6–4.8 |
| Chloride (mEq/L) | 109 | 104 | 101–108 |
| Glucose (mg/dL) | 93 | 100 | 73–109 |
| NT-proBNP (pg/dL) | 86 | 1338 | 0–125 |
| D-dimer (µg/mL) | - | 0.3 | 0.0–1.0 |
| Measured Variables | Value at First Admission | Value at Second Admission | Normal Range |
|---|---|---|---|
| Mean right atrial pressure (mRAP) (mmHg) | 5 | 10 | 2–6 |
| Systolic pulmonary artery pressure (sPAP) (mmHg) | 100 | 108 | 15–30 |
| Diastolic pulmonary artery pressure (dPAP) (mmHg) | 32 | 37 | 4–12 |
| Mean pulmonary artery pressure (mPAP) (mmHg) | 56 | 62 | 8–20 |
| Mean pulmonary artery wedge pressure (mPAWP) (mmHg) | - | 14 | ≦15 |
| Cardiac output (CO) (L/min) | 2.94 | 3.26 | 4–8 |
| Mixed venous oxygen saturation (SvO2) | - | 57.5% | 65–80% |
| Systemic blood pressure (mmHg) | 126/70 | 120/57 | 120/80 |
| Calculated parameters | |||
| Pulmonary vascular resistance (PVR) (WU) | - | 14.72 | 0.3–2.0 |
| Pulmonary vascular resistance index (PVRI) (WU m2) | - | 20.78 WU m2 | 3–3.5 |
| Total pulmonary resistance (TPR) (WU) | 19.0 | 19.0 | <3 |
| Cardiac index (CI) (L/min/m2) | 2.02 | 2.31 | 2.5–4.0 |
| Stroke volume (SV) (mL) | 43.3 | 51.09 | 60–100 |
| Pulmonary arterial compliance (PAC) | 0.64 mL/ | 0.72 mL/ | >2.3 mL/ |
Disclaimer/Publisher’s Note: The statements, opinions and data contained in all publications are solely those of the individual author(s) and contributor(s) and not of MDPI and/or the editor(s). MDPI and/or the editor(s) disclaim responsibility for any injury to people or property resulting from any ideas, methods, instructions or products referred to in the content. |
© 2023 by the authors. Licensee MDPI, Basel, Switzerland. This article is an open access article distributed under the terms and conditions of the Creative Commons Attribution (CC BY) license (https://creativecommons.org/licenses/by/4.0/).
Share and Cite
Nakata, M.; Yokota, N.; Uehara, H.; Tabata, K.; Kenzaka, T. Congenital Isolated Unilateral Agenesis of Pulmonary Arteries with 3-Year Follow-Up after Initiation of Treatment. Medicina 2023, 59, 1161. https://doi.org/10.3390/medicina59061161
Nakata M, Yokota N, Uehara H, Tabata K, Kenzaka T. Congenital Isolated Unilateral Agenesis of Pulmonary Arteries with 3-Year Follow-Up after Initiation of Treatment. Medicina. 2023; 59(6):1161. https://doi.org/10.3390/medicina59061161
Chicago/Turabian StyleNakata, Marohito, Naoko Yokota, Hiroki Uehara, Kazuiko Tabata, and Tsuneaki Kenzaka. 2023. "Congenital Isolated Unilateral Agenesis of Pulmonary Arteries with 3-Year Follow-Up after Initiation of Treatment" Medicina 59, no. 6: 1161. https://doi.org/10.3390/medicina59061161
APA StyleNakata, M., Yokota, N., Uehara, H., Tabata, K., & Kenzaka, T. (2023). Congenital Isolated Unilateral Agenesis of Pulmonary Arteries with 3-Year Follow-Up after Initiation of Treatment. Medicina, 59(6), 1161. https://doi.org/10.3390/medicina59061161

