GAD65 Antibody-Associated Epilepsy
Abstract
1. Introduction
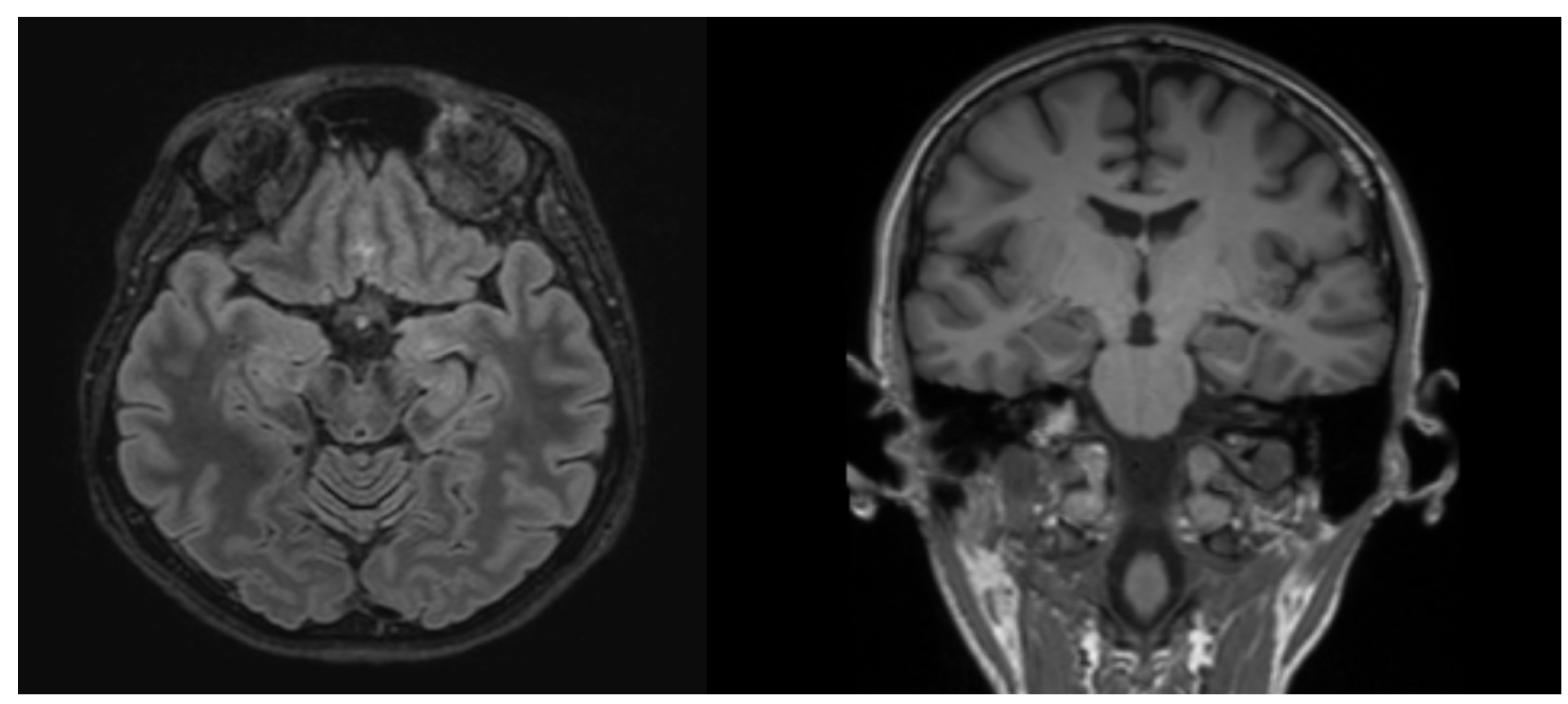
2. Case Report
3. Review of Literature and Discussion
3.1. Etiology and Pathogenesis
3.2. Clinical Presentation, Workup, and Diagnosis
3.3. Treatment
3.4. Autoimmune-Associated Epilepsy (GAD65)
4. Conclusions
Author Contributions
Funding
Institutional Review Board Statement
Informed Consent Statement
Data Availability Statement
Conflicts of Interest
References
- Begley, C.; Wagner, R.G.; Abraham, A.; Beghi, E.; Newton, C.; Kwon, C.; Labiner, D.; Winkler, A.S. The Global Cost of Epilepsy: A Systematic Review and Extrapolation. Epilepsia 2022, 63, 892–903. [Google Scholar] [CrossRef]
- Levite, M. Autoimmune Epilepsy. Nat. Immunol. 2002, 3, 500. [Google Scholar] [CrossRef]
- Scheffer, I.E.; Berkovic, S.; Capovilla, G.; Connolly, M.B.; French, J.; Guilhoto, L.; Hirsch, E.; Jain, S.; Mathern, G.W.; Moshé, S.L.; et al. ILAE Classification of the Epilepsies: Position Paper of the ILAE Commission for Classification and Terminology. Epilepsia 2017, 58, 512–521. [Google Scholar] [CrossRef]
- Fisher, R.S.; Acevedo, C.; Arzimanoglou, A.; Bogacz, A.; Cross, J.H.; Elger, C.E.; Engel, J.; Forsgren, L.; French, J.A.; Glynn, M.; et al. ILAE Official Report: A Practical Clinical Definition of Epilepsy. Epilepsia 2014, 55, 475–482. [Google Scholar] [CrossRef]
- Steriade, C.; Britton, J.; Dale, R.C.; Gadoth, A.; Irani, S.R.; Linnoila, J.; McKeon, A.; Shao, X.; Venegas, V.; Bien, C.G. Acute Symptomatic Seizures Secondary to Autoimmune Encephalitis and Autoimmune-associated Epilepsy: Conceptual Definitions. Epilepsia 2020, 61, 1341–1351. [Google Scholar] [CrossRef]
- Liu, X.; Yan, B.; Wang, R.; Li, C.; Chen, C.; Zhou, D.; Hong, Z. Seizure Outcomes in Patients with Anti-NMDAR Encephalitis: A Follow-up Study. Epilepsia 2017, 58, 2104–2111. [Google Scholar] [CrossRef]
- Bien, C.G.; Vincent, A.; Barnett, M.H.; Becker, A.J.; Blümcke, I.; Graus, F.; Jellinger, K.A.; Reuss, D.E.; Ribalta, T.; Schlegel, J.; et al. Immunopathology of Autoantibody-Associated Encephalitides: Clues for Pathogenesis. Brain 2012, 135 Pt 5, 1622–1638. [Google Scholar] [CrossRef]
- Dalmau, J.; Geis, C.; Graus, F. Autoantibodies to Synaptic Receptors and Neuronal Cell Surface Proteins in Autoimmune Diseases of the Central Nervous System. Physiol. Rev. 2017, 97, 839–887. [Google Scholar] [CrossRef] [PubMed]
- Ehling, P.; Melzer, N.; Budde, T.; Meuth, S.G. CD8+ T Cell-Mediated Neuronal Dysfunction and Degeneration in Limbic Encephalitis. Front. Neurol. 2015, 6, 1. [Google Scholar] [CrossRef] [PubMed]
- Singh, T.D.; Fugate, J.E.; Hocker, S.E.; Rabinstein, A.A. Postencephalitic Epilepsy: Clinical Characteristics and Predictors. Epilepsia 2015, 56, 133–138. [Google Scholar] [CrossRef] [PubMed]
- Pillai, S.C.; Mohammad, S.S.; Hacohen, Y.; Tantsis, E.; Prelog, K.; Barnes, E.H.; Gill, D.; Lim, M.J.; Brilot, F.; Vincent, A.; et al. Postencephalitic Epilepsy and Drug-Resistant Epilepsy after Infectious and Antibody-Associated Encephalitis in Childhood: Clinical and Etiologic Risk Factors. Epilepsia 2016, 57, e7–e11. [Google Scholar] [CrossRef]
- Varadkar, S.; Bien, C.G.; Kruse, C.A.; Jensen, F.E.; Bauer, J.; Pardo, C.A.; Vincent, A.; Mathern, G.W.; Cross, J.H. Rasmussen’s Encephalitis: Clinical Features, Pathobiology, and Treatment Advances. Lancet Neurol. 2014, 13, 195–205. [Google Scholar] [CrossRef] [PubMed]
- Titulaer, M.J.; McCracken, L.; Gabilondo, I.; Armangué, T.; Glaser, C.; Iizuka, T.; Honig, L.S.; Benseler, S.M.; Kawachi, I.; Martinez-Hernandez, E.; et al. Treatment and Prognostic Factors for Long-Term Outcome in Patients with Anti-NMDA Receptor Encephalitis: An Observational Cohort Study. Lancet. Neurol. 2013, 12, 157–165. [Google Scholar] [CrossRef] [PubMed]
- Sillevis Smitt, P.; Grefkens, J.; De Leeuw, B.; Van Den Bent, M.; Van Putten, W.; Hooijkaas, H.; Vecht, C. Survival and Outcome in 73 Anti-Hu Positive Patients with Paraneoplastic Encephalomyelitis/Sensory Neuronopathy. J. Neurol. 2002, 249, 745–753. [Google Scholar] [CrossRef]
- Gillinder, L.; Britton, J. Autoimmune-Associated Seizures. Contin. Lifelong Learn. Neurol. 2022, 28, 363–398. [Google Scholar] [CrossRef]
- Aurangzeb, S.; Symmonds, M.; Knight, R.K.; Kennett, R.; Wehner, T.; Irani, S.R. LGI1-Antibody Encephalitis Is Characterised by Frequent, Multifocal Clinical and Subclinical Seizures. Seizure 2017, 50, 14. [Google Scholar] [CrossRef]
- Van Sonderen, A.; Thijs, R.D.; Coenders, E.C.; Jiskoot, L.C.; Sanchez, E.; De Bruijn, M.A.A.M.; Van Coevorden-Hameete, M.H.; Wirtz, P.W.; Schreurs, M.W.J.; Sillevis Smitt, P.A.E.; et al. Anti-LGI1 Encephalitis. Neurology 2016, 87, 1449–1456. [Google Scholar] [CrossRef] [PubMed]
- Kayser, M.S.; Titulaer, M.J.; Gresa-Arribas, N.; Dalmau, J. Frequency and Characteristics of Isolated Psychiatric Episodes in Anti–N-Methyl-d-Aspartate Receptor Encephalitis. JAMA Neurol. 2013, 70, 1133–1139. [Google Scholar] [CrossRef]
- Schmitt, S.E.; Pargeon, K.; Frechette, E.S.; Hirsch, L.J.; Dalmau, J.; Friedman, D. Extreme Delta Brush: A Unique EEG Pattern in Adults with Anti-NMDA Receptor Encephalitis. Neurology 2012, 79, 1094–1100. [Google Scholar] [CrossRef]
- Graus, F.; Titulaer, M.J.; Balu, R.; Benseler, S.; Bien, C.G.; Cellucci, T.; Cortese, I.; Dale, R.C.; Gelfand, J.M.; Geschwind, M.; et al. A Clinical Approach to Diagnosis of Autoimmune Encephalitis. Lancet. Neurol. 2016, 15, 391. [Google Scholar] [CrossRef]
- Langenbruch, L.; Wiendl, H.; Groß, C.; Kovac, S. Diagnostic Utility of Cerebrospinal Fluid (CSF) Findings in Seizures and Epilepsy with and without Autoimmune-Associated Disease. Seizure 2021, 91, 233–243. [Google Scholar] [CrossRef] [PubMed]
- Blinder, T.; Lewerenz, J. Cerebrospinal Fluid Findings in Patients with Autoimmune Encephalitis-a Systematic Analysis. Front. Neurol. 2019, 10, 804. [Google Scholar] [CrossRef] [PubMed]
- Bakpa, O.D.; Reuber, M.; Irani, S.R. Antibody-Associated Epilepsies: Clinical Features, Evidence for Immunotherapies and Future Research Questions. Seizure 2016, 41, 26. [Google Scholar] [CrossRef] [PubMed]
- Dubey, D.; Singh, J.; Britton, J.W.; Pittock, S.J.; Flanagan, E.P.; Lennon, V.A.; Tillema, J.M.; Wirrell, E.; Shin, C.; So, E.; et al. Predictive Models in the Diagnosis and Treatment of Autoimmune Epilepsy. Epilepsia 2017, 58, 1181–1189. [Google Scholar] [CrossRef]
- Dubey, D.; Kothapalli, N.; McKeon, A.; Flanagan, E.P.; Lennon, V.A.; Klein, C.J.; Britton, J.W.; So, E.; Boeve, B.F.; Tillema, J.M.; et al. Predictors of Neural-Specific Autoantibodies and Immunotherapy Response in Patients with Cognitive Dysfunction. J. Neuroimmunol. 2018, 323, 62–72. [Google Scholar] [CrossRef]
- Dubey, D.; Pittock, S.J.; McKeon, A. Antibody Prevalence in Epilepsy and Encephalopathy Score: Increased Specificity and Applicability. Epilepsia 2019, 60, 367–369. [Google Scholar] [CrossRef]
- Shah, S.; Berezoski, A.; Rahman, S.; Eckstein, C.; Luedke, M. Genetic or Autoimmune: POLG-Related Epilepsy Initially Treated as an Autoimmune Encephalitis, a Case Report. The Neurohospitalist 2021, 11, 80. [Google Scholar] [CrossRef]
- Saneto, R.P.; Lee, I.C.; Koenig, M.K.; Bao, X.; Weng, S.W.; Naviaux, R.K.; Wong, L.J.C. POLG DNA Testing as an Emerging Standard of Care before Instituting Valproic Acid Therapy for Pediatric Seizure Disorders. Seizure 2010, 19, 140. [Google Scholar] [CrossRef]
- Husari, K.S.; Dubey, D. Autoimmune Epilepsy. Neurotherapeutics 2019, 16, 685–702. [Google Scholar] [CrossRef]
- Thompson, J.; Bi, M.; Murchison, A.G.; Makuch, M.; Bien, C.G.; Chu, K.; Farooque, P.; Gelfand, J.M.; Geschwind, M.D.; Hirsch, L.J.; et al. The Importance of Early Immunotherapy in Patients with Faciobrachial Dystonic Seizures. Brain 2018, 141, 348–356. [Google Scholar] [CrossRef]
- Maalouf, M.; Rho, J.M.; Mattson, M.P. The Neuroprotective Properties of Calorie Restriction, the Ketogenic Diet, and Ketone Bodies. Brain Res. Rev. 2009, 59, 293–315. [Google Scholar] [CrossRef]
- Husari, K.S.; Cervenka, M.C. Ketogenic Diet Therapy for the Treatment of Post-Encephalitic and Autoimmune-Associated Epilepsies. Front. Neurol. 2021, 12, 624202. [Google Scholar] [CrossRef] [PubMed]
- Chen, B.; Lundstrom, B.N.; Crepeau, A.Z.; Dacpano, L.; Lopez-Chiriboga, A.S.; Tatum, W.O.; Freund, B.; Feyissa, A.M. Brain Responsive Neurostimulation Device Safety and Effectiveness in Patients with Drug-Resistant Autoimmune-Associated Epilepsy. Epilepsy Res. 2022, 184, 106974. [Google Scholar] [CrossRef] [PubMed]
- Daif, A.; Lukas, R.V.; Issa, N.P.; Javed, A.; VanHaerents, S.; Reder, A.T.; Tao, J.X.; Warnke, P.; Rose, S.; Towle, V.L.; et al. Antiglutamic Acid Decarboxylase 65 (GAD65) Antibody-Associated Epilepsy. Epilepsy Behav. 2018, 80, 331–336. [Google Scholar] [CrossRef]
- Malter, M.P.; Frisch, C.; Zeitler, H.; Surges, R.; Urbach, H.; Helmstaedter, C.; Elger, C.E.; Bien, C.G. Treatment of Immune-Mediated Temporal Lobe Epilepsy with GAD Antibodies. Seizure 2015, 30, 57–63. [Google Scholar] [CrossRef]
- Lilleker, J.B.; Biswas, V.; Mohanraj, R. Glutamic Acid Decarboxylase (GAD) Antibodies in Epilepsy: Diagnostic Yield and Therapeutic Implications. Seizure 2014, 23, 598–602. [Google Scholar] [CrossRef] [PubMed]
- Ariño, H.; Höftberger, R.; Gresa-Arribas, N.; Martínez-Hernández, E.; Armangue, T.; Kruer, M.C.; Arpa, J.; Domingo, J.; Rojc, B.; Bataller, L.; et al. Paraneoplastic Neurological Syndromes and Glutamic Acid Decarboxylase Antibodies. JAMA Neurol. 2015, 72, 874. [Google Scholar] [CrossRef] [PubMed]
- Gresa-Arribas, N.; Titulaer, M.J.; Torrents, A.; Aguilar, E.; McCracken, L.; Leypoldt, F.; Gleichman, A.J.; Balice-Gordon, R.; Rosenfeld, M.R.; Lynch, D.; et al. Antibody Titres at Diagnosis and during Follow-up of Anti-NMDA Receptor Encephalitis: A Retrospective Study. Lancet Neurol. 2014, 13, 167–177. [Google Scholar] [CrossRef] [PubMed]
- Boronat, A.; Sabater, L.; Saiz, A.; Dalmau, J.; Graus, F. GABAB Receptor Antibodies in Limbic Encephalitis and Anti-GAD–Associated Neurologic Disorders. Neurology 2011, 76, 795. [Google Scholar] [CrossRef]
- Falip, M.; Rodriguez-Bel, L.; Castañer, S.; Miro, J.; Jaraba, S.; Mora, J.; Bas, J.; Carreño, M. Musicogenic Reflex Seizures in Epilepsy with Glutamic Acid Decarbocylase Antibodies. Acta Neurol. Scand. 2018, 137, 272–276. [Google Scholar] [CrossRef]
- Mäkelä, K.M.; Hietaharju, A.; Brander, A.; Peltola, J. Clinical Management of Epilepsy with Glutamic Acid Decarboxylase Antibody Positivity: The Interplay Between Immunotherapy and Anti-Epileptic Drugs. Front. Neurol. 2018, 9, 579. [Google Scholar] [CrossRef] [PubMed]
- Feyissa, A.M.; Mirro, E.A.; Wabulya, A.; Tatum, W.O.; Wilmer-Fierro, K.E.; Won Shin, H. Brain-Responsive Neurostimulation Treatment in Patients with GAD65 Antibody–Associated Autoimmune Mesial Temporal Lobe Epilepsy. Epilepsia Open 2020, 5, 307–313. [Google Scholar] [CrossRef] [PubMed]




| Acute Symptomatic Seizures Secondary to Autoimmune Encephalitis | Autoimmune-Associated Epilepsy | |
|---|---|---|
| Antibodies involved | Antibodies against neuronal surface antigens (e.g., NMDAR, LGI1, GABABR, GABAAR). | Antibodies against intracellular antigens (anti-GAD and onconeural antibodies). |
| Pathogenesis | Antibodies often target synaptic proteins that lead to the downregulation of receptors, which alters synaptic transmission. | Cellular immunity (T-cell-mediated brain inflammation) is the main factor leading to pathological changes. Ongoing immune response, structural damage to the brain parenchyma, or combination of both. Recurrent seizures 12 or 24 months after the acute phase of autoimmune encephalitis. Rasmussen’s encephalitis. |
| Clinical presentation | Very variable and includes combinations of seizures, prominent psychiatric manifestations, sleep and movement disorders, memory impairment, and autonomic instability. MRI is often abnormal. | There are no other neurological signs and drug-resistant epilepsy is most frequently the only clinical feature. MRI is usually unremarkable. |
| Treatment | Usually, there is a good response to immunotherapy, which is the mainstay of treatment. Antiseizure medications. | Poor response to immunotherapy and resistance to antiseizure medications. Epilepsy surgery is rarely effective. |
Disclaimer/Publisher’s Note: The statements, opinions and data contained in all publications are solely those of the individual author(s) and contributor(s) and not of MDPI and/or the editor(s). MDPI and/or the editor(s) disclaim responsibility for any injury to people or property resulting from any ideas, methods, instructions or products referred to in the content. |
© 2023 by the authors. Licensee MDPI, Basel, Switzerland. This article is an open access article distributed under the terms and conditions of the Creative Commons Attribution (CC BY) license (https://creativecommons.org/licenses/by/4.0/).
Share and Cite
Valinčiūtė, J.; Jucevičiūtė, N.; Balnytė, R.; Jurkevičienė, G.; Gelžinienė, G. GAD65 Antibody-Associated Epilepsy. Medicina 2023, 59, 1135. https://doi.org/10.3390/medicina59061135
Valinčiūtė J, Jucevičiūtė N, Balnytė R, Jurkevičienė G, Gelžinienė G. GAD65 Antibody-Associated Epilepsy. Medicina. 2023; 59(6):1135. https://doi.org/10.3390/medicina59061135
Chicago/Turabian StyleValinčiūtė, Justina, Neringa Jucevičiūtė, Renata Balnytė, Giedrė Jurkevičienė, and Giedrė Gelžinienė. 2023. "GAD65 Antibody-Associated Epilepsy" Medicina 59, no. 6: 1135. https://doi.org/10.3390/medicina59061135
APA StyleValinčiūtė, J., Jucevičiūtė, N., Balnytė, R., Jurkevičienė, G., & Gelžinienė, G. (2023). GAD65 Antibody-Associated Epilepsy. Medicina, 59(6), 1135. https://doi.org/10.3390/medicina59061135
