Complete Intradural Interbody Cage Migration in Lumbar Spine Surgery: A Case Report and Literature Review
Abstract
1. Background
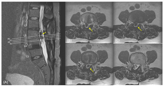
2. Case Presentation
3. Discussion and Conclusions
Supplementary Materials
Author Contributions
Funding
Institutional Review Board Statement
Informed Consent Statement
Conflicts of Interest
References
- Rajaee, S.S.; Bae, H.W.; Kanim, L.E.; Delamarter, R.B. Spinal fusion in the United States: Analysis of trends from 1998 to 2008. Spine 2012, 37, 67–76. [Google Scholar] [CrossRef] [PubMed]
- Reisener, M.-J.; Pumberger, M.; Shue, J.; Girardi, F.P.; Hughes, A.P. Trends in lumbar spinal fusion—A literature review. J. Spine Surg. 2020, 6, 752–761. [Google Scholar] [CrossRef] [PubMed]
- Zaina, F.; Tomkins-Lane, C.; Carragee, E.; Negrini, S. Surgical versus non-surgical treatment for lumbar spinal stenosis. Cochrane Database Syst. Rev. 2016, 1, CD. [Google Scholar] [CrossRef] [PubMed]
- Molina, C.S.; Thakore, R.V.; Blumer, A.; Obremskey, W.T.; Sethi, M.K. Use of the National Surgical Quality Improvement Program in Orthopaedic Surgery. Clin. Orthop. Relat. Res. 2015, 473, 1574–1581. [Google Scholar] [CrossRef] [PubMed]
- Wood, K.B.; Schwender, J.D. Lumbar intervertebral cages: Limitations and complications. Oper. Tech. Orthop. 2000, 10, 320–324. [Google Scholar] [CrossRef]
- Zhao, F.-D.; Yang, W.; Shan, Z.; Wang, J.; Chen, H.-X.; Hong, Z.-H.; Qian, Y.; He, D.-W.; Fan, S.-W. Cage Migration after Transforaminal Lumbar Interbody Fusion and Factors Related to It. Orthop. Surg. 2012, 4, 227–232. [Google Scholar] [CrossRef] [PubMed]
- Arnold, P.M.; Wakwaya, Y.T. Intradural disk herniation at L1–L2: Report of two cases. J. Spinal Cord Med. 2011, 34, 312–314. [Google Scholar] [CrossRef] [PubMed]
- Kızılay, Z.; Yay, M.; Kara, A.K.; Aydın, V. Intradural migration of fusion cage in an isthmic listhesis patient treated with transforaminal lumbar interbody fusion (TLIF): A case report. J. Surg. Med. 2022, 6, 636–639. [Google Scholar] [CrossRef]
- Girasole, G.; Muro, G.; Mintz, A.; Chertoff, J. Transforaminal lumbar interbody fusion rates in patients using a novel titanium implant and demineralized cancellous allograft bone sponge. Int. J. Spine Surg. 2013, 7, e95–e100. [Google Scholar] [CrossRef] [PubMed]
- Park, M.-K.; Kim, K.-T.; Bang, W.-S.; Cho, D.-C.; Sung, J.-K.; Lee, Y.-S.; Lee, C.K.; Kim, C.H.; Kwon, B.K.; Lee, W.-K.; et al. Risk factors for cage migration and cage retropulsion following transforaminal lumbar interbody fusion. Spine J. 2018, 19, 437–447. [Google Scholar] [CrossRef] [PubMed]
- Lee, D.-Y.; Park, Y.-J.; Song, S.-Y.; Jeong, S.-T.; Kim, D.-H. Risk Factors for Posterior Cage Migration after Lumbar Interbody Fusion Surgery. Asian Spine J. 2018, 12, 59–68. [Google Scholar] [CrossRef] [PubMed]
- Zhang, J.; Pan, A.; Zhou, L.; Yu, J.; Zhang, X. Comparison of unilateral pedicle screw fixation and interbody fusion with PEEK cage vs. standalone expandable fusion cage for the treatment of unilateral lumbar disc herniation. Arch. Med. Sci. 2018, 14, 1432–1438. [Google Scholar] [CrossRef] [PubMed]
- Phan, K.; Hogan, J.A.; Assem, Y.; Mobbs, R.J. PEEK-Halo effect in interbody fusion. J. Clin. Neurosci. 2016, 24, 138–140. [Google Scholar] [CrossRef] [PubMed]
- Heary, R.F.; Parvathreddy, N.; Sampath, S.; Agarwal, N. Elastic modulus in the selection of interbody implants. J. Spine Surg. 2017, 3, 163–167. [Google Scholar] [CrossRef] [PubMed]
- Hu, Y.-H.; Niu, C.-C.; Hsieh, M.-K.; Tsai, T.-T.; Chen, W.-J.; Lai, P.-L. Cage positioning as a risk factor for posterior cage migration following transforaminal lumbar interbody fusion—An analysis of 953 cases. BMC Musculoskelet. Disord. 2019, 20, 260. [Google Scholar] [CrossRef] [PubMed]
- Shapiro, S. Cauda equina syndrome secondary to lumbar disc herniation. Neurosurgery 1993, 32, 743–746, discussion 746–747. [Google Scholar] [CrossRef] [PubMed]
- Ahn, U.M.; Ahn, N.U.; Buchowski, J.M.; Garrett, E.S.; Sieber, A.N.; Kostuik, J.P. Cauda equina syndrome secondary to lumbar disc herniation: A meta-analysis of surgical outcomes. Spine 2000, 25, 1515–1522. [Google Scholar] [CrossRef] [PubMed]
- Dhatt, S.; Tahasildar, N.; Tripathy, S.K.; Bahadur, R.; Dhillon, M. Outcome of spinal decompression in cauda equina syndrome presenting late in developing countries: Case series of 50 cases. Eur. Spine J. 2011, 20, 2235–2239. [Google Scholar] [CrossRef] [PubMed]
- Hayashi, T.; Ueta, T.; Kubo, M.; Maeda, T.; Shiba, K. Subarachnoid–subarachnoid bypass: A new surgical technique for posttraumatic syringomyelia. J. Neurosurg. Spine 2013, 18, 382–387. [Google Scholar] [CrossRef] [PubMed]
- Dumitru, M.; Berghi, O.N.; Taciuc, I.-A.; Vrinceanu, D.; Manole, F.; Costache, A. Could Artificial Intelligence Prevent Intraoperative Anaphylaxis? Reference Review and Proof of Concept. Medicina 2022, 58, 1530. [Google Scholar] [CrossRef] [PubMed]





| Patient-related | osteoporosis, BMI |
| Anatomy-related | pear-shaped disc, endplate injury |
| Cage-related | shape, size, material, positioning, the number |
Disclaimer/Publisher’s Note: The statements, opinions and data contained in all publications are solely those of the individual author(s) and contributor(s) and not of MDPI and/or the editor(s). MDPI and/or the editor(s) disclaim responsibility for any injury to people or property resulting from any ideas, methods, instructions or products referred to in the content. |
© 2023 by the authors. Licensee MDPI, Basel, Switzerland. This article is an open access article distributed under the terms and conditions of the Creative Commons Attribution (CC BY) license (https://creativecommons.org/licenses/by/4.0/).
Share and Cite
Hsiao, P.-H.; Lin, E.-T.; Chen, H.-T.; Lo, Y.-S. Complete Intradural Interbody Cage Migration in Lumbar Spine Surgery: A Case Report and Literature Review. Medicina 2023, 59, 956. https://doi.org/10.3390/medicina59050956
Hsiao P-H, Lin E-T, Chen H-T, Lo Y-S. Complete Intradural Interbody Cage Migration in Lumbar Spine Surgery: A Case Report and Literature Review. Medicina. 2023; 59(5):956. https://doi.org/10.3390/medicina59050956
Chicago/Turabian StyleHsiao, Pang-Hsuan, Erh-Ti Lin, Hsien-Te Chen, and Yuan-Shun Lo. 2023. "Complete Intradural Interbody Cage Migration in Lumbar Spine Surgery: A Case Report and Literature Review" Medicina 59, no. 5: 956. https://doi.org/10.3390/medicina59050956
APA StyleHsiao, P.-H., Lin, E.-T., Chen, H.-T., & Lo, Y.-S. (2023). Complete Intradural Interbody Cage Migration in Lumbar Spine Surgery: A Case Report and Literature Review. Medicina, 59(5), 956. https://doi.org/10.3390/medicina59050956
