Successful Endovascular Surgery for Iatrogenic Common Iliac Artery Injury during Lumbar Spine Surgery: A Case Report
Abstract
:1. Introduction
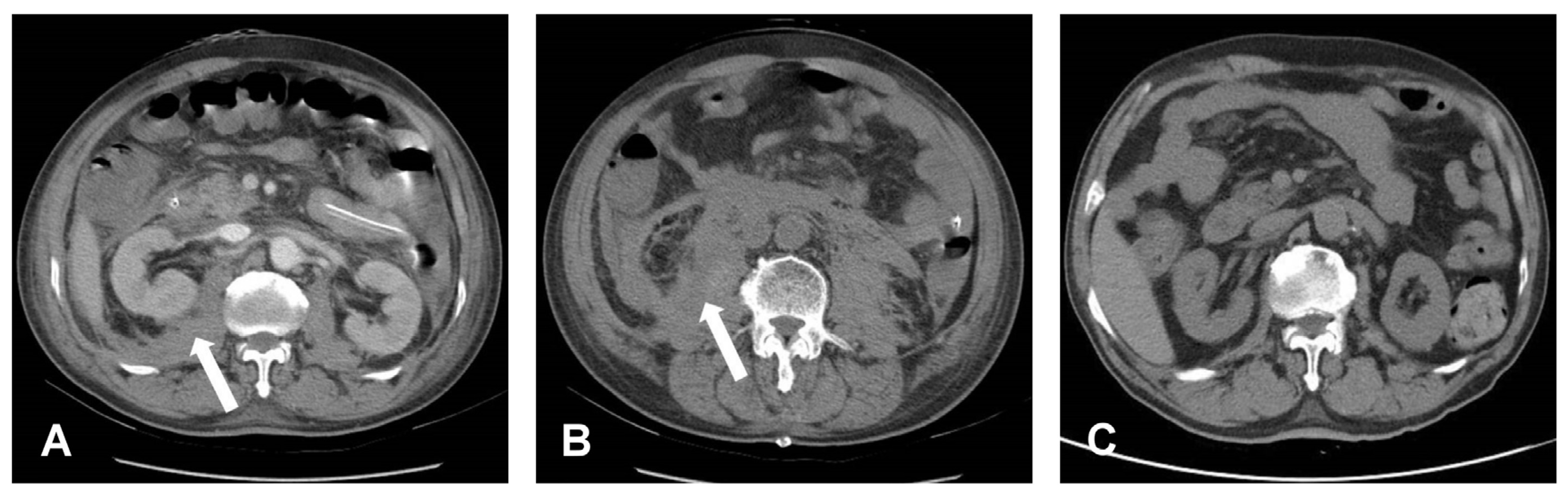
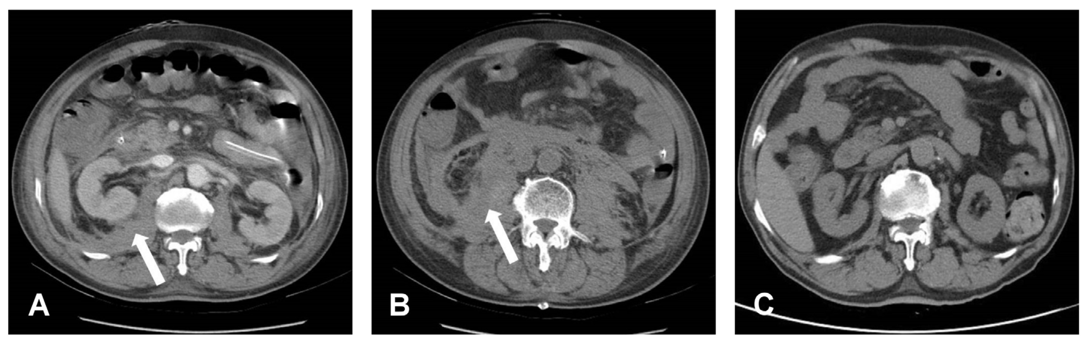
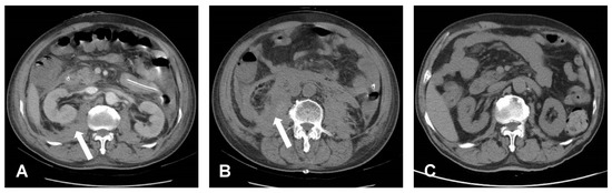
2. Illustrative Case
3. Discussion
4. Conclusions
Author Contributions
Funding
Institutional Review Board Statement
Informed Consent Statement
Data Availability Statement
Acknowledgments
Conflicts of Interest
Abbreviations
References
- Vaccaro, A.R.; Kepler, C.K.; Rihn, J.A.; Suzuki, H.; Ratliff, J.K.; Harrop, J.S.; Morrison, W.B.; Limthongkul, W.; Albert, T.J. Anatomical Relationships of the Anterior Blood Vessels to the Lower Lumbar Intervertebral Discs: Analysis based on magnetic resonance imaging of patients in the prone position. J. Bone Jt. Surg. 2012, 94, 1088–1094. [Google Scholar] [CrossRef]
- Papadoulas, S.; Konstantinou, D.; Kourea, H.; Kritikos, N.; Haftouras, N.; Tsolakis, J. Vascular Injury Complicating Lumbar Disc Surgery. A Systematic Review. Eur. J. Vasc. Endovasc. Surg. 2002, 24, 189–195. [Google Scholar] [CrossRef] [Green Version]
- Ewah, M.B.; Calder, M.I. Intraoperative death during lumbar discectomy. Br. J. Anaesth. 1991, 66, 721–723. [Google Scholar] [CrossRef] [PubMed]
- Goodkin, R.; Lewis, L.L. Vascular and Visceral Injuries Associated with Lumbar Disc Surgery: Medicolegal Implications. Surg. Neurol. 1998, 49, 358–372. [Google Scholar] [CrossRef]
- Van Zitteren, M.; Fan, B.; Lohle, P.N.; de Nie, J.C.; Malefijt, J.D.W.; Vriens, P.W.; Heyligers, J.M. A Shift Toward Endovascular Repair for Vascular Complications in Lumbar Disc Surgery During the Last Decade. Ann. Vasc. Surg. 2013, 27, 810–819. [Google Scholar] [CrossRef] [PubMed]
- Jung, H.S.; Kim, D.J.; Kim, H.S.; Lee, H.K.; Na Choi, S.J.; Chung, S.Y. Vascular Complications Related to Posterior Lumbar Disc Surgery. Vasc. Spéc. Int. 2017, 33, 160–165. [Google Scholar] [CrossRef] [PubMed]
- Boyd, D.P.; Farha, G.J. Arteriovenous Fistula and Isolated Vascular Injuries Secondary to Intervertebral Disk Surgery. Ann. Surg. 1965, 161, 524–531. [Google Scholar] [CrossRef]
- Momoh, A.O.; Barshes, N.R.; Kougias, P.; Huynh, T.T.; Lin, P.H. Endovascular treatment of postlaminectomy aortic pseudoaneurysm. J. Vasc. Surg. 2008, 47, 1083–1085. [Google Scholar] [CrossRef] [Green Version]
- Canaud, L.; Hireche, K.; Joyeux, F.; D’Annoville, T.; Berthet, J.-P.; Marty-Ané, C.; Alric, P. Endovascular Repair of Aorto-iliac Artery Injuries after Lumbar-spine Surgery. Eur. J. Vasc. Endovasc. Surg. 2011, 42, 167–171. [Google Scholar] [CrossRef] [Green Version]
- Szolar, D.H.; Preidler, K.W.; Steiner, H.; Riepl, T.; Flaschka, G.; Stiskal, M.; Moelleken, S.; Norman, D. Vascular complications in lumbar disk surgery: Report of four cases. Neuroradiology 1996, 38, 521–525. [Google Scholar] [CrossRef]
- Düz, B.; Kaplan, M.; Günay, C.; Ustünsöz, B.; Uğurel, M.S. Iliocaval arteriovenous fistula following lumbar disc surgery: Endovascular treatment with a Stent-graft. Turk Neurosurg. 2008, 18, 245–248. [Google Scholar]
- Lee, C.H.; Shih, T.Y.; Wu, Y.C.; Chen, K.H.; Pan, C.C.; Shih, C.M.; Hung, L.K. Rescue of Life-Threatening Great Vessel Injury during Posterior Spine Surgery. Biomed. J. Sci. Tech. Res. 2020, 24, 18594–18598. [Google Scholar] [CrossRef]
- Nam, T.-K.; Park, S.-W.; Shim, H.-J.; Hwang, S.-N. Endovascular Treatment for Common Iliac Artery Injury Complicating Lumbar Disc Surgery: Limited Usefulness of Temporary Balloon Occlusion. J. Korean Neurosurg. Soc. 2009, 46, 261–264. [Google Scholar] [CrossRef]
- Inamasu, J.; Guiot, B.H. Vascular injury and complication in neurosurgical spine surgery. Acta Neurochir. 2006, 148, 375–387. [Google Scholar] [CrossRef] [PubMed]
- Hong, S.J.; Oh, J.H.; Yoon, Y. Percutaneous endovascular stent-graft for iliac pseudoaneurysm following lumbar discectomy. Cardiovasc. Interv. Rad. 2000, 23, 475–477. [Google Scholar] [CrossRef] [PubMed]
- Giugliano, G.; Laurenzano, E.; Rengo, C.; De Rosa, G.; Brevetti, L.; Sannino, A.; Perrino, C.; Chiariotti, L.; Schiattarella, G.G.; Serino, F.; et al. Abdominal aortic aneurysm in patients affected by intermittent claudication: Prevalence and clinical predictors. BMC Surg. 2012, 12 (Suppl. 1). [Google Scholar] [CrossRef] [PubMed] [Green Version]
- Park, H.-K.; Choe, W.J.; Koh, Y.-C.; Park, S.W. Endovascular Management of Great Vessel Injury Following Lumbar Microdiscectomy. Korean J. Spine 2013, 10, 264–267. [Google Scholar] [CrossRef]
- Yan, G.-W.; Li, H.-W.; Yang, G.-Q.; Bhetuwal, A.; Liu, J.-P.; Li, Y.; Fu, Q.-S.; Zhao, L.-W.; Chen, H.; Hu, N.; et al. Iatrogenic arteriovenous fistula of the iliac artery after lumbar discectomy surgery: A systematic review of the last 18 years. Quant. Imaging Med. Surg. 2019, 9, 1163–1175. [Google Scholar] [CrossRef]
- Liu, B.; Ye, K.; Gao, S.; Liu, K.; Feng, H.; Zhou, F.; Tian, Y. The summary of experience of abdominal vascular injury related to posterior lumbar surgery. Int. Orthop. 2019, 43, 2191–2198. [Google Scholar] [CrossRef]
- Malina, M.; Veith, F.; Ivancev, K.; Sonesson, B. Balloon Occlusion of the Aorta During Endovascular Repair of Ruptured Abdominal Aortic Aneurysm. J. Endovasc. Ther. 2005, 12, 556–559. [Google Scholar] [CrossRef]
- Sosa, G.; Gandham, N.; Landeras, V.; Calimag, A.P.; Lerma, E. Abdominal compartment syndrome. Dis. Mon. 2019, 65, 5–19. [Google Scholar] [CrossRef] [PubMed]
- De Laet, I.E.; Malbrain, M.; De Waele, J.J. A Clinician’s Guide to Management of Intra-abdominal Hypertension and Abdominal Compartment Syndrome in Critically Ill Patients. Crit. Care 2020, 24, 1–9. [Google Scholar] [CrossRef] [PubMed] [Green Version]
- Cheatham, M.L.; Malbrain, M.L.N.G.; Kirkpatrick, A.; Sugrue, M.; Parr, M.; De Waele, J.; Balogh, Z.; Leppäniemi, A.; Olvera, C.; Ivatury, R.; et al. Results from the International Conference of Experts on Intra-abdominal Hypertension and Abdominal Compartment Syndrome. II. Recommendations. Intensiv. Care Med. 2007, 33, 951–962. [Google Scholar] [CrossRef] [PubMed]



| Pre-OP | POD 1 | POD 2 | POD 3 | POD 4 | POD 5 | POD8 | POD15 | POD31 | |
|---|---|---|---|---|---|---|---|---|---|
| BUN (mg/dL) | 13 | 18 | 31 | 40 | 50 | 54 | 93 | 85 | 24 |
| CRE (mg/dL) | 1 | 2 | 3.5 | 5.2 | 5.6 | 6 | 7 | 4.8 | 1.2 |
| eGFR (mL/min) | 76.22 | 34.25 | 17.96 | 11.37 | 10.44 | 9.64 | 8.07 | 12.47 | 61.76 |
| Lactate (mmol/L) | 0 | 11.8 | 1.4 | 1.7 | 1.1 | 0.6 | |||
| AST (U/L) | 19 | 155 | 177 | 316 | 160 | 66 | |||
| ALT (U/L) | 22 | 109 | 109 | 207 | 134 | 73 |
| First Author | Year | Case No. | ACS | Injured Vessel | Injured Type/Diagnosis Timing | Clinical Outcome | |
|---|---|---|---|---|---|---|---|
| Open repair Advantage
| Papadoulas S et al. [2] | 2002 | 29 | N/A | Aorta 7 IVC 2 CIA 15 CIV 1 | Laceration/ 28 cases were diagnosed intraoperatively or within 24 h | Total mortality rate 20%; 38% in aortic laceration |
| 55 | N/A | CIV | AV fistula/ Most patients were diagnosed postoperatively one month to one year | Mortality rate 5% | |||
| 2 | N/A | CIV | Pseudoaneurysm | Mortality rate 0% | |||
| Jung HS et al. [6] | 2017 | 4 | N/A | CIA | Laceration/3 cases were diagnosed intraoperatively; the other was diagnosed on the day of the operation | Survival | |
| Szolar DH et al. [10] | 1996 | 1 | N/A | CIA | Laceration/ postoperatively | Hemorrhagic infarction, died with stroke-related complication | |
| 1 | N/A | CIA | AV fistula/ 19 days after spine surgery | N/A | |||
| 2 | N/A | Aorta CIA | Pseudoaneurysm/1 case was diagnosed intraoperatively, the other case was diagnosed 11 months after the operation | survival | |||
| Shih et al. [12] | 2020 | 1 | yes | Abdominal aorta | Laceration/ Patient was diagnosed in postoperative room | Intraoperative cardiac arrest | |
| Boyd et al. [7] | 1965 | 2 | N/A | Aorta CIA | Laceration/ intraoperatively | One patient encountered intraoperative cardiac arrest One patient died after post-op 3 months | |
| 2 | NA | CIA | AV fistula/ One case was diagnosed postoperative 4 months; one case was diagnosed post-operative 4 years | Survival | |||
| Endovascular Advantage
| Papadoulas S et al. [2] | 2002 | 1 | N/A | CIV | Pseudoaneurysm | Mortality rate 0% |
| Jung HS et al. [6] | 2017 | 1 | N/A | CIA | AV fistula/ 60 months after spine surgery | Survival | |
| 2 | N/A | CIA | Pseudoaneurysm/ 1 case was diagnosed 2 weeks after spine surgery, while the other was 23 months after spine surgery | Survival | |||
| Canaud L et al. [9] | 2011 | 3 | N/A | Aorta CIA | Laceration/ intraoperatively | Survival | |
| 2 | N/A | CIA | AV fistula/ Postoperatively, not mentioned clear time | Survival | |||
| 2 | N/A | CIA | Pseudoaneurysm/ Postoperatively, not mentioned precise time | Survival | |||
| Shih et al. [12] | 2020 | 1 | yes | CIA | Laceration/ intraoperatively | survival | |
| Momoh et al. [8] | 2008 | 1 | N/A | Aortic | Pseudoaneurysm/ 2 months postoperatively | Survival | |
| Hong, Seong J [15] | 2000 | 1 | N/A | CIA | Pseudoaneurysm/ Post-operative day 5 | Survival | |
| Park et al. [17] | 2013 | 1 | N/A | CIA | Pseudoaneurysm/ Post-operative day 1 | Survival |
Publisher’s Note: MDPI stays neutral with regard to jurisdictional claims in published maps and institutional affiliations. |
© 2022 by the authors. Licensee MDPI, Basel, Switzerland. This article is an open access article distributed under the terms and conditions of the Creative Commons Attribution (CC BY) license (https://creativecommons.org/licenses/by/4.0/).
Share and Cite
Chin, C.-M.; Liu, K.-L.; Chen, I.-H. Successful Endovascular Surgery for Iatrogenic Common Iliac Artery Injury during Lumbar Spine Surgery: A Case Report. Medicina 2022, 58, 927. https://doi.org/10.3390/medicina58070927
Chin C-M, Liu K-L, Chen I-H. Successful Endovascular Surgery for Iatrogenic Common Iliac Artery Injury during Lumbar Spine Surgery: A Case Report. Medicina. 2022; 58(7):927. https://doi.org/10.3390/medicina58070927
Chicago/Turabian StyleChin, Chien-Ming, Kuan-Lin Liu, and Ing-Ho Chen. 2022. "Successful Endovascular Surgery for Iatrogenic Common Iliac Artery Injury during Lumbar Spine Surgery: A Case Report" Medicina 58, no. 7: 927. https://doi.org/10.3390/medicina58070927
APA StyleChin, C.-M., Liu, K.-L., & Chen, I.-H. (2022). Successful Endovascular Surgery for Iatrogenic Common Iliac Artery Injury during Lumbar Spine Surgery: A Case Report. Medicina, 58(7), 927. https://doi.org/10.3390/medicina58070927
