Acute Respiratory Failure, Ischemic Modifications on Electrocardiogram: Alternative Etiology—A Case of Morgagni Hernia
Abstract
:1. Introduction
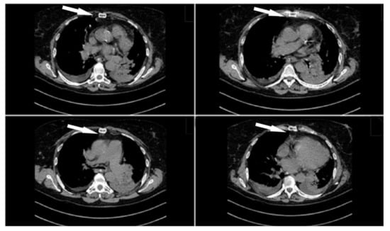
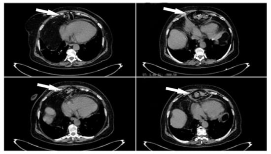
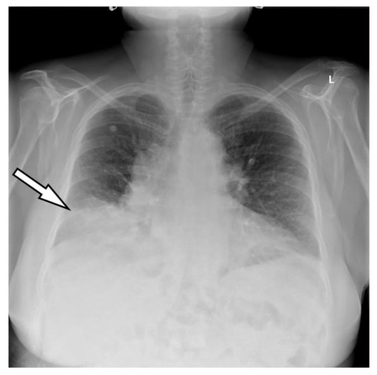
2. Case Presentation
3. Discussion
Particularity of the Case
4. Conclusions
Author Contributions
Funding
Institutional Review Board Statement
Informed Consent Statement
Data Availability Statement
Acknowledgments
Conflicts of Interest
Abbreviations
| COPD | chronic obstructive pulmonary disease |
| ER | emergency room |
| ECG: | electrocardiogram |
| CT | computer tomography |
| CDH | congenital diaphragm hernia |
| CCTA | coronary computed tomography angiography |
References
- Laberge, J.M.; Sigalet, D.L.; Guttman, F.M. Congenital diaphragmatic hernia. In Hernia, 4th ed.; Nyhus, L.M., Condon, R.E., Eds.; J.B. Lippincott Co.: Philadelphia, PA, USA, 1995; pp. 555–566. [Google Scholar]
- Arora, S.; Haji, A.; Ng, P. Adult Morgagni Hernia: The Need for Clinical Awareness, Early Diagnosis, and Prompt Surgical Intervention. Ann. R. Coll. Surg. Engl. 2008, 90, 694–695. [Google Scholar] [CrossRef] [PubMed]
- Anđelka, S.; Zoran, M.; Dordeviç, I.; Zorica, J.; Ivana, B. Congenital herniation through the foramen Morgagni—Clinical presentation, diagnosis, and treatment in the pediatric population. Open Med. 2011, 6, 131–135. [Google Scholar] [CrossRef]
- Horton, J.D.; Hofmann, L.J.; Hetz, S.P. Presentation and management of Morgagni hernias in adults: A review of 298 cases. Surg. Endosc. 2008, 22, 1413–1420. [Google Scholar] [CrossRef]
- Lin, S.T.; Moss, D.M.; Henderson, S.O. A case of Morgagni hernia presenting as pneumonia. J. Emerg. Med. 1997, 15, 297–301. [Google Scholar] [CrossRef]
- Angrisani, L.; Lorenzo, M.; Santoro, T.; Sodano, A.; Tesauro, B. Hernia of Foramen of Morgagni in Adult: Case Report of Laparoscopic Repair. J. Soc. Laparoendosc. Surg. 2000, 4, 177–181. [Google Scholar]
- Ahmad, M.; Al-Arifi, A.; Najm, K.H. Giant Hernia of Morgagni with Acute Coronary Syndrome: A Rare Case Report and Review of Literature. Heart Lung Circ. 2015, 24, 144–147. [Google Scholar] [CrossRef] [PubMed]
- Humble, A.G.; Sample, C.B. Morgagni’s hernia in a hypoxaemic adult. Lancet 2016, 388, 705. [Google Scholar] [CrossRef]
- Soylu, H.; Koltuksuz, U.; Kutlu, N.O.; Sarihan, H.; Sen, Y.; Ustün, N.; Baki, A.; Sönmezgöz, E.; Dogrul, M.; Akinci, A. Morgagni hernia: An unexpected cause of respiratory complaints and a chest mass. Pediatr. Pulmonol. 2000, 30, 429–433. [Google Scholar] [CrossRef]
- Dubrey, S.W.; Singh, V.D.; Mittal, T.K. Hernia of Morgagni: An unusual cause of apparent ‘cardiomegaly’. Eur. Heart J. 2013, 34, 710. [Google Scholar] [CrossRef] [PubMed]
- Goh, F.Q.; Sia, C.H.; Singh, D.; Poh, K.; Kong, W.K.F. An Elderly Woman with Exertional Dyspnoea and T-Wave Inversions on Electrocardiography. Can. J. Cardiol. 2019, 35, 1605.e1–1605.e3. [Google Scholar] [CrossRef] [PubMed]
- Loong, T.P.F.; Kocher, H.M. Clinical presentation and operative repair of hernia of Morgagni. Postagrad. Med. J. 2005, 81, 41–44. [Google Scholar] [CrossRef] [PubMed] [Green Version]
- Ciancarella, P.; Fazzari, F.; Montano, V.; Guglielmo, M.; Pontoned, G. A huge Morgagni hernia with compression of the right ventricle. J. Saudi Heart Assoc. 2018, 30, 143–146. [Google Scholar] [CrossRef] [PubMed]
- Minneci, P.C.; Deans, K.J.; Kim, P.; Mathisen, D.J. Foramen of Morgagni hernia: Changes in diagnosis and treatment. Ann. Thorac. Surg. 2004, 77, 1956–1959. [Google Scholar] [CrossRef] [PubMed]
- Barut, I.; Tarhan, O.R.; Cerci, C.; Akdeniz, Y.; Bulbul, M. Intestinal obstruction caused by a strangulated Morgagni hernia in an adult patient. J. Thorac. Imaging 2005, 20, 220–222. [Google Scholar] [CrossRef] [PubMed]
- Goulart, A.; Torrão, H.; Leão, P. When pneumonia becomes a double congenital diaphragmatic hernia. BMJ Case Rep. 2015, 2015, bcr2014208988. [Google Scholar] [CrossRef] [PubMed] [Green Version]
- Hashmi, M.U.; Ullah, K.; Tariq, A.; Sarwar, M.; Khan, I.H. Morgagni-Larrey Hernia: A Possible Cause of Recurrent Lower Respiratory Tract Infections. Cureus 2019, 11, 4035. [Google Scholar] [CrossRef] [PubMed] [Green Version]
- Gossis, K.J.; Tatsis, C.K.; Lykouri, A.; Constantopoulos, S.H. Omental herniation through the foramen of Morgagni. Diagnosis with chest computed tomography. Chest 1991, 100, 1469–1470. [Google Scholar] [CrossRef] [PubMed]
- Arikan, S.; Dogan, B.M.; Kocakusak, A.; Ersoz, F.; Sari, S.; Duzkoylu, Y.; Nayci, A.E.; Ozoran, E.; Tozan, E.; Dubus, T. Morgagni’s Hernia: Analysis of 21 Patients with Our Clinical Experience in Diagnosis and Treatment. Indian J. Surg. 2018, 80, 239–244. [Google Scholar] [CrossRef] [PubMed]
- Zanini, G.; Seresini, G.; Racheli, M.; Bortolotti, M.; Virgillo, A.; Novali, A.; Benetello, C.; Pasini, G.F. Electrocardiographic changes in hiatal hernia: A case report. Cases J. 2009, 2, 8278. [Google Scholar] [CrossRef] [PubMed] [Green Version]
- Godazandeh, G.; Mokhtari-Esbuie, F. Laparoscopic Repair of Morgagni Hernia: Three-Case Presentation and the Literature. Case Rep. Surg. 2016, 2016, 4268539. [Google Scholar] [CrossRef] [PubMed] [Green Version]
- Ferreyra, G.; Squadrone, V.; Ranieri, V.M. Acute Respiratory Failure after Abdominal Surgery. In Yearbook of Intensive Care and Emergency Medicine; Springer: Berlin/Heidelberg, Germany, 2005; pp. 10–18. [Google Scholar]





Publisher’s Note: MDPI stays neutral with regard to jurisdictional claims in published maps and institutional affiliations. |
© 2022 by the authors. Licensee MDPI, Basel, Switzerland. This article is an open access article distributed under the terms and conditions of the Creative Commons Attribution (CC BY) license (https://creativecommons.org/licenses/by/4.0/).
Share and Cite
Szász, A.Z.; Székely-Vass, E.D.; Lovász, G.T.; Magdás, A.; Ferencz, L.J. Acute Respiratory Failure, Ischemic Modifications on Electrocardiogram: Alternative Etiology—A Case of Morgagni Hernia. Medicina 2022, 58, 204. https://doi.org/10.3390/medicina58020204
Szász AZ, Székely-Vass ED, Lovász GT, Magdás A, Ferencz LJ. Acute Respiratory Failure, Ischemic Modifications on Electrocardiogram: Alternative Etiology—A Case of Morgagni Hernia. Medicina. 2022; 58(2):204. https://doi.org/10.3390/medicina58020204
Chicago/Turabian StyleSzász, Agnes Zsuzsánna, Enikő Dalma Székely-Vass, Gyopár Tunde Lovász, Annamária Magdás, and Loránd Jozsef Ferencz. 2022. "Acute Respiratory Failure, Ischemic Modifications on Electrocardiogram: Alternative Etiology—A Case of Morgagni Hernia" Medicina 58, no. 2: 204. https://doi.org/10.3390/medicina58020204
APA StyleSzász, A. Z., Székely-Vass, E. D., Lovász, G. T., Magdás, A., & Ferencz, L. J. (2022). Acute Respiratory Failure, Ischemic Modifications on Electrocardiogram: Alternative Etiology—A Case of Morgagni Hernia. Medicina, 58(2), 204. https://doi.org/10.3390/medicina58020204

