Erythema Nodosum following Nocardia Infection: A Case Report
Abstract
1. Introduction
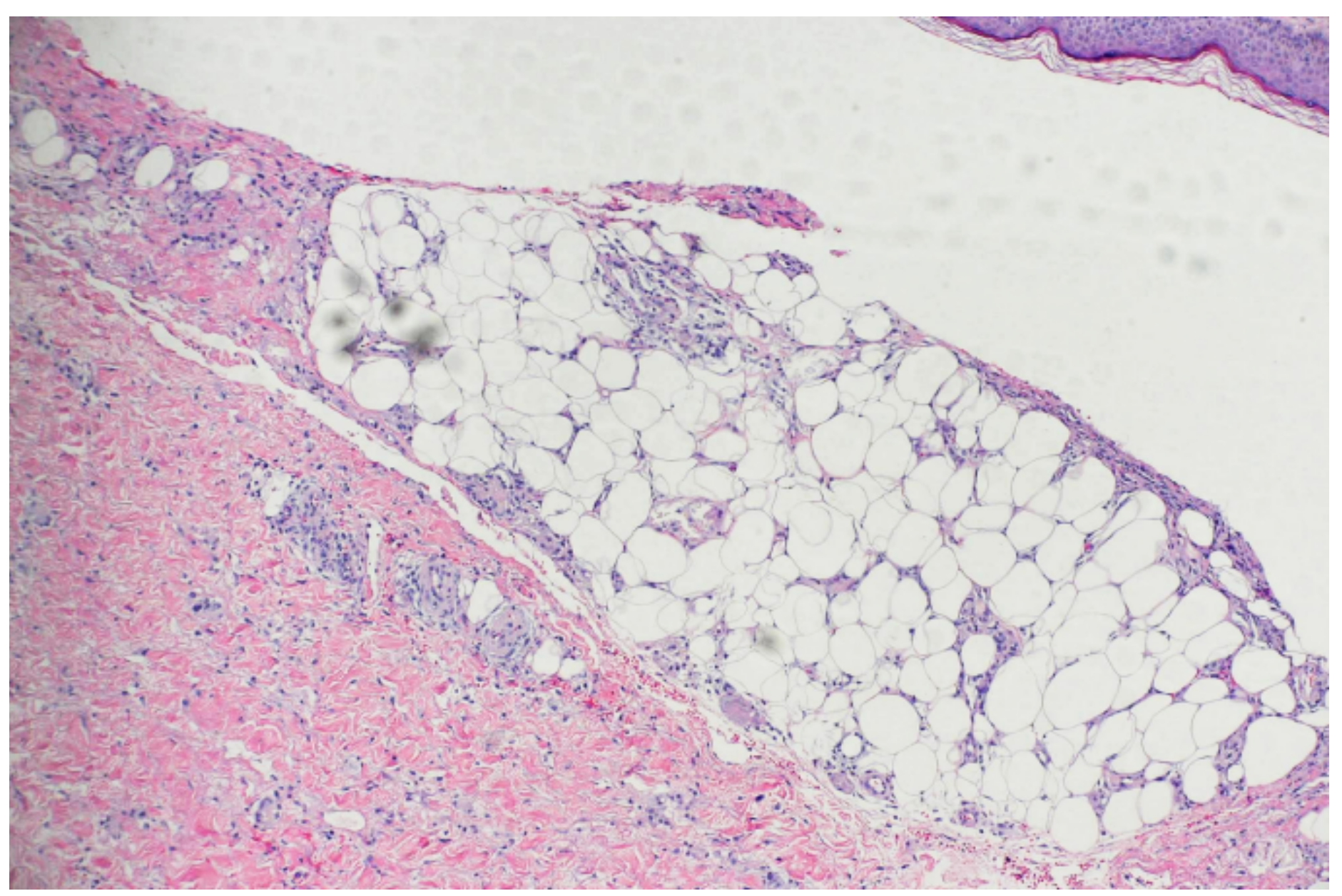
2. Case Presentation
3. Discussion
Author Contributions
Funding
Institutional Review Board Statement
Informed Consent Statement
Acknowledgments
Conflicts of Interest
References
- Parker, E.R.; Fitzpatrick, A. A case report of COVID-19-associated erythema nodosum: A classic presentation with a new trigger. Fam. Pract. 2022, 39, 936–938. [Google Scholar] [CrossRef] [PubMed]
- Pérez-Garza, D.M.; Chavez-Alvarez, S.; Ocampo-Candiani, J.; Gomez-Flores, M. Erythema Nodosum: A Practical Approach and Diagnostic Algorithm. Am. J. Clin. Dermatol. 2021, 22, 367–378. [Google Scholar] [CrossRef] [PubMed]
- Antonelli, E.; Bassotti, G.; Tramontana, M.; Hansel, K.; Stingeni, L.; Ardizzone, S.; Genovese, G.; Marzano, A.V.; Maconi, G. Dermatological Manifestations in Inflammatory Bowel Diseases. J. Clin. Med. 2021, 10, 364. [Google Scholar] [CrossRef] [PubMed]
- Rouzaud, C.; Rodriguez-Nava, V.; Catherinot, E.; Méchaï, F.; Bergeron, E.; Farfour, E.; Scemla, A.; Poirée, S.; Delavaud, C.; Mathieu, D.; et al. Clinical Assessment of a Nocardia PCR-Based Assay for Diagnosis of Nocardiosis. J. Clin. Microbiol. 2018, 56, e00002-18. [Google Scholar] [CrossRef] [PubMed]
- Wang, A.; Xu, Q.; Wang, Y.; Liao, H. Orbital and intracranial Nocardia farcinica infection caused by trauma to the orbit: A case report. BMC Infect. Dis. 2019, 19, 953. [Google Scholar] [CrossRef]
- Shetty, P.V.; Kannappan, O.; Sarma, Y.S. Salivary gland nocardiosis in an immunocompetent patient. Asian J. Surg. 2011, 34, 99–101. [Google Scholar] [CrossRef][Green Version]
- Beaman, B.L.; Beaman, L. Nocardia species: Host-parasite relationships. Clin. Microbiol. Rev. 1994, 7, 213–264. [Google Scholar] [CrossRef]
- Acevedo, C.T.; Imkamp, F.; Maggio, E.M.; Brugger, S.D. Primary cutaneous nocardiosis of the head and neck in an immunocompetent patient. BMJ Case Rep. CP 2021, 14, e241217. [Google Scholar] [CrossRef]
- Oda, R.; Sekikawa, Y.; Hongo, I. Primary Cutaneous Nocardiosis in an Immunocompetent Patient. Intern. Med. 2017, 56, 469–470. [Google Scholar] [CrossRef]
- Makadia, S.; Patel, I.; Soosaipillai, I.; Tarasiuk-Rusek, A. First Case of Nocardia pseudobrasiliensis Causing Primary Cutaneous Nocardiosis in an Immunocompetent Patient. J. Investig. Med. High Impact Case Rep. 2020, 8, 1557563916. [Google Scholar] [CrossRef]
- Tang, A.; Muggeo, A.; Rihn, B.; Thiercelin, M.C.; Brasme, L.; de Champs, C.; Guillard, T. Nocardiose cutanée chez une patiente immunocompétente A propos d’un cas et revue de la littérature. Ann. Biol. Clin. 2017, 75, 576–579. [Google Scholar] [CrossRef]
- Lovecchio, A.; Bazzacco, G.; Di Bella, S.; Di Meo, N.; Luzzati, R. Uncommon lymphocutaneous cellulitis after insect bite: A case report of primary cutaneous nocardiosis and literature review. Le Infez. Med. 2022, 30, 285–292. [Google Scholar]
- Marrakchi, W.; Aouam, A.; Kooli, I.; Brahim, H.B.; Toumi, A.; Chakroun, M. Cerebral nocardiosis with osteomyelitis of skull vault complicating a primary neck lesion in an immunocompetent patient: A case report. Pan Afr. Med. J. 2021, 38, 349. [Google Scholar] [CrossRef]
- Mangieri, N.A.; Echavarría, G.; Bertona, E.; Castello, L.; Benchetrit, G.; De Paulis, A.N. Sporotrichoid nocardiosis by Nocardia brasiliensis. Rev. Argent. Microbiol. 2021, 53, 43–47. [Google Scholar]
- Kumar, G.V.; Mahale, R.P.; Rajeshwari, K.G.; Rajani, R.; Shankaregowda, R. Primary facial cutaneous nocardiosis in a HIV patient and review of cutaneous nocardiosis in India. Indian J. Sex. Transm. Dis. AIDS 2011, 32, 40–43. [Google Scholar] [CrossRef]
- Márquez-Diaz, F.; Soto-Ramirez, L.E.; Sifuentes-Osornio, J. Nocardiasis in patients with HIV infection. AIDS Patient Care STDs 1998, 12, 825–832. [Google Scholar] [CrossRef]
- Jiao, M.; Deng, X.; Yang, H.; Dong, J.; Lv, J.; Li, F. Case Report: A Severe and Multi-Site Nocardia farcinica Infection Rapidly and Precisely Identified by Metagenomic Next-Generation Sequencing. Front. Med. 2021, 8, 669552. [Google Scholar] [CrossRef]
- Margalit, I.; Lebeaux, D.; Tishler, O.; Goldberg, E.; Bishara, J.; Yahav, D.; Coussement, J. How do I manage nocardiosis? Clin. Microbiol. Infect. Off. Publ. Eur. Soc. Clin. Microbiol. Infect. Dis. 2021, 27, 550–558. [Google Scholar] [CrossRef]
- Zhao, P.; Zhang, X.; Du, P.; Li, G.; Li, L.; Li, Z. Susceptibility profiles of Nocardia spp. to antimicrobial and antituberculotic agents detected by a microplate Alamar Blue assay. Sci. Rep. 2017, 7, 43660. [Google Scholar] [CrossRef]
- Zhuang, K.; Tang, J.; Ran, Y. Image Gallery: Acute primary cutaneous nocardiosis due to Nocardia brasiliensis. Br. J. Dermatol. 2017, 176, e97. [Google Scholar] [CrossRef][Green Version]
- Jiang, Y.; Huang, A.; Fang, Q. Disseminated nocardiosis caused by Nocardia otitidiscaviarum in an immunocompetent host: A case report and literature review. Exp. Ther. Med. 2016, 12, 3339–3346. [Google Scholar] [CrossRef] [PubMed]
- Derungs, T.; Leo, F.; Loddenkemper, C.; Schneider, T. Treatment of disseminated nocardiosis: A host-pathogen approach with adjuvant interferon gamma. Lancet Infect. Dis. 2021, 21, e334–e340. [Google Scholar] [CrossRef] [PubMed]
- Damevska, K.; Simeonovski, V. Covid-19 vaccine associated erythema nodosum: Factors to consider. Dermatol. Ther. 2022, 35, e15410. [Google Scholar] [CrossRef] [PubMed]
- Gümüş, M.; Akkurt, Z.M.; Gümüş, H. Is erythema nodosum coexisting with lesions of the breast a suggestive sign for idiopathic granulomatous mastitis? Turk. J. Surg. 2018, 34, 71–73. [Google Scholar]
- Patterson, J.W.; Brown, P.C.; Broecker, A.H. Infection-induced panniculitis. J. Cutan. Pathol. 1989, 16, 183–193. [Google Scholar] [CrossRef]
- Caprilli, R.; Gassull, M.A.; Escher, J.C.; Moser, G.; Munkholm, P.; Forbes, A.; Hommes, D.W.; Lochs, H.; Angelucci, E.; Cocco, A.; et al. European evidence based consensus on the diagnosis and management of Crohn’s disease: Special situations. Gut 2006, 55 (Suppl. 1), i36–i58. [Google Scholar] [CrossRef]
- Requena, L.; Sánchez Yus, E. Erythema nodosum. Semin. Cutan. Med. Surg. 2007, 26, 114–125. [Google Scholar] [CrossRef]
- Wang, G.; Wu, J.; Miao, M.; Dou, H.; Nan, N.; Shi, M.; Yu, G.; Shan, F. Nocardia rubra cell-wall skeleton promotes CD4(+) T cell activation and drives Th1 immune response. Int. J. Biol. Macromol. 2017, 101, 398–407. [Google Scholar] [CrossRef]
- Vavricka, S.R.; Galván, J.A.; Dawson, H.; Soltermann, A.; Biedermann, L.; Scharl, M.; Schoepfer, A.M.; Rogler, G.; Prinz Vavricka, M.B.; Terracciano, L.; et al. Expression Patterns of TNFα, MAdCAM1, and STAT3 in Intestinal and Skin Manifestations of inflammatory bowel disease. J. Crohn Colitis 2018, 12, 347–354. [Google Scholar] [CrossRef]




| Case/Ref | Age | Sex | Immunization Status | Clinical Symptoms | Sites of Infection | Treatment (Duration) | Outcome |
|---|---|---|---|---|---|---|---|
| 1 [8] | 50 | W | Normal immune function | Intermittent fever at a temperature of 37.6 °C; a painful swelling of her face and neck on the right side; and a 3.5 × 3.5 cm diameter ulcerated plaque over the right temple. | Face and neck | 3 months | Successful |
| 2 [9] | 42 | W | Normal immune function | A painful palpable mass under her chin. | Chin | 3 months | Successful |
| 3 [10] | 67 | W | Normal immune function | Tender ulcers on the middle phalanx of her right middle finger with tender nodular lymphangitis extending up her forearm. | Right middle finger | 3 months | Successful |
| 4 [11] | 83 | W | Normal immune function | Erythema, purulent discharges, and edema of the infected wound. | Left leg | 3 months | Successful |
| 5 [12] | 45 | W | Normal immune function | Intermittent fever with a maximum temperature of 38.6 °C; a black–purplish lesion surrounded by an erythematous halo on the right leg. | Right leg | 5 months | Successful |
| 6 [13] | 64 | M | Normal immune function | A single 6 × 4 cm subcutaneous lesion with multiple scalp fistulas was observed in the posterior neck. There was a right purulent otorrhea coupled with pus discharge from the tumefaction and the fistulas. | Neck | 18 months | Successful |
| 7 [14] | 85 | W | Normal immune function | 1.5 cm in diameter, with erythema margin, purulent discharge and local hyperthermia. | Dorsum of the right hand | 1 month | Successful |
Publisher’s Note: MDPI stays neutral with regard to jurisdictional claims in published maps and institutional affiliations. |
© 2022 by the authors. Licensee MDPI, Basel, Switzerland. This article is an open access article distributed under the terms and conditions of the Creative Commons Attribution (CC BY) license (https://creativecommons.org/licenses/by/4.0/).
Share and Cite
Li, S.; Ji, B.; Teng, Y.; Tang, H.; Cui, H.; Tao, X.; Fan, Y.; Huang, Y. Erythema Nodosum following Nocardia Infection: A Case Report. Medicina 2022, 58, 1873. https://doi.org/10.3390/medicina58121873
Li S, Ji B, Teng Y, Tang H, Cui H, Tao X, Fan Y, Huang Y. Erythema Nodosum following Nocardia Infection: A Case Report. Medicina. 2022; 58(12):1873. https://doi.org/10.3390/medicina58121873
Chicago/Turabian StyleLi, Sujing, Bingzhou Ji, Yan Teng, Hui Tang, Hong Cui, Xiaohua Tao, Yibin Fan, and Youming Huang. 2022. "Erythema Nodosum following Nocardia Infection: A Case Report" Medicina 58, no. 12: 1873. https://doi.org/10.3390/medicina58121873
APA StyleLi, S., Ji, B., Teng, Y., Tang, H., Cui, H., Tao, X., Fan, Y., & Huang, Y. (2022). Erythema Nodosum following Nocardia Infection: A Case Report. Medicina, 58(12), 1873. https://doi.org/10.3390/medicina58121873

