Debulking Surgery Combined with Low-Dose Oral Prednisolone and Azathioprine for Intractable IgG4-Related Orbital Disease: A Case Report
Abstract
1. Introduction
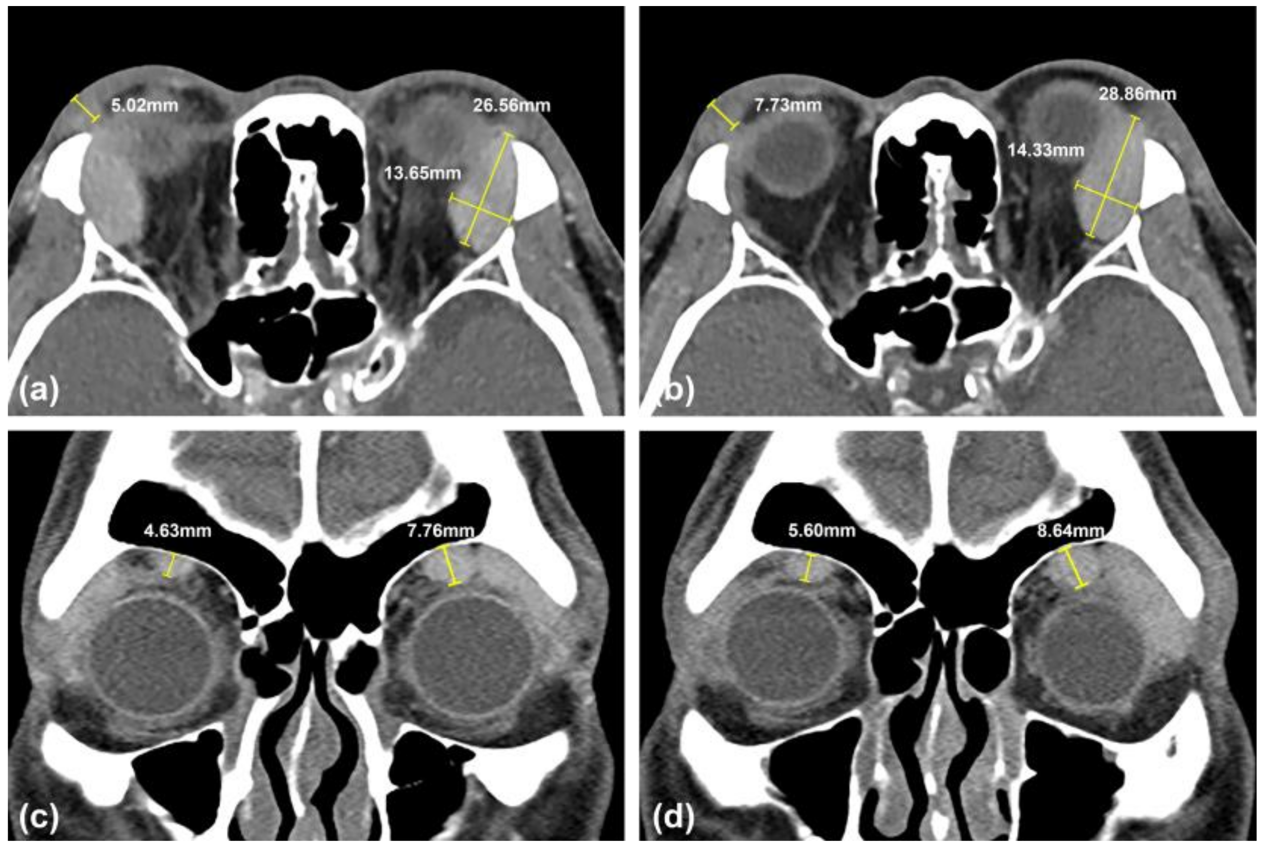
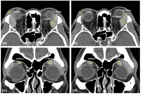
2. Case Report
3. Discussion
4. Conclusions
Author Contributions
Funding
Institutional Review Board Statement
Informed Consent Statement
Data Availability Statement
Conflicts of Interest
Abbreviations
| IgG4-ROD | IgG4-related orbital disease |
| IgG4-RD | IgG4-related disease |
| DMARDs | Disease-modifying anti-rheumatic drugs |
| HPF | High power field |
| CT | Computed tomography |
References
- Kamisawa, T.; Zen, Y.; Pillai, S.; Stone, J.H. IgG4-related disease. Lancet 2015, 385, 1460–1471. [Google Scholar] [CrossRef]
- Andrew, N.; Kearney, D.; Selva, D. IgG4-related orbital disease: A meta-analysis and review. Acta Ophthalmol. 2013, 91, 694–700. [Google Scholar] [CrossRef] [PubMed]
- Detiger, S.E.; Karim, A.F.; Verdijk, R.M.; van Hagen, P.M.; van Laar, J.A.M.; Paridaens, D. The treatment outcomes in IgG4-related orbital disease: A systematic review of the literature. Acta Ophthalmol. 2019, 97, 451–459. [Google Scholar] [CrossRef] [PubMed]
- Sogabe, Y.; Ohshima, K.; Azumi, A.; Takahira, M.; Kase, S.; Tsuji, H.; Yoshikawa, H.; Nakamura, T. Location and frequency of lesions in patients with IgG4-related ophthalmic diseases. Graefes Arch. Clin. Exp. Ophthalmol. 2014, 252, 531–538. [Google Scholar] [CrossRef] [PubMed]
- Masaki, Y.; Matsui, S.; Saeki, T.; Tsuboi, H.; Hirata, S.; Izumi, Y.; Miyashita, T.; Fujikawa, K.; Dobashi, H.; Susaki, K.; et al. A multicenter phase II prospective clinical trial of glucocorticoid for patients with untreated IgG4-related disease. Mod. Rheumatol. 2017, 27, 849–854. [Google Scholar] [CrossRef] [PubMed]
- Khosroshahi, A.; Wallace, Z.S.; Crowe, J.L.; Akamizu, T.; Azumi, A.; Carruthers, M.N.; Chari, S.T.; Della-Torre, E.; Frulloni, L.; Goto, H.; et al. International Consensus Guidance Statement on the Management and Treatment of IgG4-Related Disease. Arthritis Rheumatol. 2015, 67, 1688–1699. [Google Scholar] [CrossRef] [PubMed]
- Wallace, Z.S.; Mattoo, H.; Mahajan, V.S.; Kulikova, M.; Lu, L.; Deshpande, V.; Choi, H.K.; Pillai, S.; Stone, J.H. Predictors of disease relapse in IgG4-related disease following rituximab. Rheumatology 2016, 55, 1000–1008. [Google Scholar] [PubMed]
- Karim, A.F.; Bansie, R.D.; Rombach, S.M.; Paridaens, D.; Verdijk, R.M.; van Hagen, P.M.; Van Laar, J.A.M. The treatment outcomes in IgG4-related disease. Neth. J. Med. 2018, 76, 275–285. [Google Scholar] [PubMed]
- Khosroshahi, A.; Stone, J.H. Treatment approaches to IgG4-related systemic disease. Curr. Opin. Rheumatol. 2011, 23, 67–71. [Google Scholar] [CrossRef] [PubMed]
- Park, J.; Lee, M.J.; Kim, N.; Kim, J.E.; Park, S.W.; Choung, H.K.; Khwarg, S.I. Risk factors for exophthalmic involvement and treatment outcomes in patients with IgG4-related ophthalmic disease. Br. J. Ophthalmol. 2018, 102, 736–741. [Google Scholar] [CrossRef] [PubMed]
- Omar, D.; Chen, Y.; Cong, Y.; Dong, L. Glucocorticoids and steroid sparing medications montherapies or in combination for IgG4-RD: A systemic review and network meta-analysis. Rheumatology 2020, 59, 718–726. [Google Scholar] [CrossRef] [PubMed]
- Brito-Zerón, P.; Kostov, B.; Bosch, X.; Acar-Denizli, N.; Ramos-Casals, M.; Stone, J.H. Therapeutic approach to IgG4-related disease: A systematic review. Medicine 2016, 95, e4002. [Google Scholar] [CrossRef] [PubMed]
- Ominato, J.; Oyama, T.; Cho, H.; Shiozaki, N.; Umezu, H.; Takizawa, J.; Fukuchi, T. The natural course of IgG4-related ophthalmic disease after debulking surgery: A single-centre retrospective study. BMJ Open Ophthalmol. 2019, 4, e000295. [Google Scholar] [CrossRef] [PubMed]
- Fernández-Codina, A.; Pinilla, B.; Pinal-Fernández, I.; López, C.; Fraile-Rodríguez, G.; Fonseca-Aizpuru, E.; Carballo, I.; Brito-Zerón, P.; Feijóo-Massó, C.; López-Dupla, M.; et al. Treatment and outcomes in patients with IgG4-related disease using the IgG4 responder index. Jt. Bone Spine 2018, 85, 721–726. [Google Scholar] [CrossRef]
- Stevenson, W.; Pugazhendhi, S.; Wang, M.W. Is the main lacrimal gland indispensable? Contributions of the corneal and conjunctival epithelia. Surv. Ophthalmol. 2016, 61, 616–627. [Google Scholar] [CrossRef]



Publisher’s Note: MDPI stays neutral with regard to jurisdictional claims in published maps and institutional affiliations. |
© 2021 by the authors. Licensee MDPI, Basel, Switzerland. This article is an open access article distributed under the terms and conditions of the Creative Commons Attribution (CC BY) license (https://creativecommons.org/licenses/by/4.0/).
Share and Cite
Kuo, H.-H.; Chen, C.-H.; Wu, S.-Y. Debulking Surgery Combined with Low-Dose Oral Prednisolone and Azathioprine for Intractable IgG4-Related Orbital Disease: A Case Report. Medicina 2021, 57, 448. https://doi.org/10.3390/medicina57050448
Kuo H-H, Chen C-H, Wu S-Y. Debulking Surgery Combined with Low-Dose Oral Prednisolone and Azathioprine for Intractable IgG4-Related Orbital Disease: A Case Report. Medicina. 2021; 57(5):448. https://doi.org/10.3390/medicina57050448
Chicago/Turabian StyleKuo, Hua-Hsuan, Chen-Hung Chen, and Shu-Ya Wu. 2021. "Debulking Surgery Combined with Low-Dose Oral Prednisolone and Azathioprine for Intractable IgG4-Related Orbital Disease: A Case Report" Medicina 57, no. 5: 448. https://doi.org/10.3390/medicina57050448
APA StyleKuo, H.-H., Chen, C.-H., & Wu, S.-Y. (2021). Debulking Surgery Combined with Low-Dose Oral Prednisolone and Azathioprine for Intractable IgG4-Related Orbital Disease: A Case Report. Medicina, 57(5), 448. https://doi.org/10.3390/medicina57050448

