Primary Mucosal Melanoma Presenting with a Unilateral Nasal Obstruction of the Left Inferior Turbinate
Abstract
1. Introduction
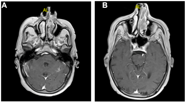
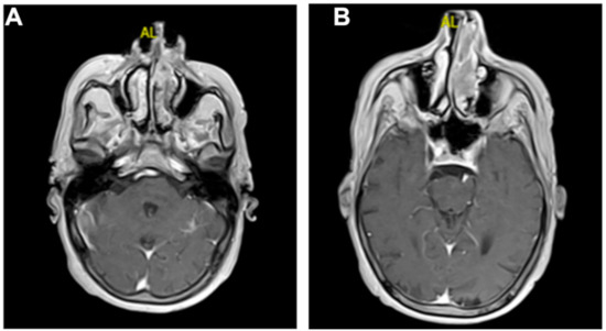
2. Case Report
3. Discussion
4. Conclusions
Funding
Institutional Review Board Statement
Informed Consent Statement
Data Availability Statement
Conflicts of Interest
References
- Matthews, N.H.; Li, W.Q.; Qureshi, A.A.; Weinstock, M.A.; Cho, E. Epidemiology of Melanoma. In Cutaneous Melanoma: Etiology and Therapy [Internet]; Ward, W.H., Farma, J.M., Eds.; Codon Publications: Brisbane, Australia, 2017; Chapter 1. Available online: https://www.ncbi.nlm.nih.gov/books/NBK481862/ (accessed on 29 December 2020). [CrossRef]
- Ascierto, P.A.; Accorona, R.; Botti, G.; Farina, D.; Fossati, P.; Gatta, G.; Gogas, H.; Lombardi, D.; Maroldi, R.; Nicolai, P.; et al. Mucosal melanoma of the head and neck. Crit. Rev. Oncol. Hematol. 2017, 112, 136–152. [Google Scholar] [CrossRef] [PubMed]
- Crippen, M.M.; Kilic, S.; Eloy, J.A. Updates in the management of sinonasal mucosal melanoma. Curr. Opin. Otolaryngol. Head Neck Surg. 2018, 26, 52–57. [Google Scholar] [CrossRef] [PubMed]
- Gilain, L.; Houette, A.; Montalban, A.; Mom, T.; Saroul, N. Mucosal melanoma of the nasal cavity and paranasal sinuses. Eur. Ann. Otorhinolaryngol. Head Neck Dis. 2014, 131, 365–369. [Google Scholar] [CrossRef] [PubMed]
- Patrick, R.J.; Fenske, N.A.; Messina, J.L. Primary mucosal melanoma. J. Am. Acad. Dermatol. 2007, 56, 828–834. [Google Scholar] [CrossRef] [PubMed]
- Allam, J.P.; Niederhagen, B.; Bucheler, M.; Appel, T.; Betten, H.; Bieber, T.; Berge, S.; Novak, N. Comparative analysis of nasal and oral mucosa dendritic cells. Allergy 2006, 61, 166–172. [Google Scholar] [CrossRef] [PubMed]
- Behranwala, R.; Loku Waduge, B.H.; Teo, B. Nasal mucosal melanoma as a cause of epistaxis. BMJ Case Rep. 2019, 12, e228640. [Google Scholar] [CrossRef] [PubMed]
- Chang, W.; Wu, L.; Han, D. Imaging progress of sinonasal mucosal malignant melanoma. Lin Chung Er Bi Yan Hou Tou Jing Wai Ke Za Zhi 2018, 32, 960–962. [Google Scholar] [CrossRef] [PubMed]
- Nardi, C.; Vignoli, C.; Vannucchi, M.; Pietragalla, M. Magnetic resonance features of sinonasal melanotic mucosal melanoma. BMJ Case Rep. 2019, 12, e229790. [Google Scholar] [CrossRef] [PubMed]
- Houette, A.; Gilain, L.; Mulliez, A.; Mom, T.; Saroul, N. Prognostic value of two tumour staging classifications in patients with sinonasal mucosal melanoma. Eur. Ann. Otorhinolaryngol. Head Neck Dis. 2016, 133, 313–317. [Google Scholar] [CrossRef] [PubMed]
- Kim, S.H. Mucosal malignant melanoma presenting with huge, fleshy, dark-red polyp in the nasal cavity. Br. J. Hosp. Med. (Lond.) 2017, 78, 297. [Google Scholar] [CrossRef] [PubMed]
- Wahid, N.W.; Meghji, S.; Barnes, M. Nasal mucosal melanoma. Lancet Oncol. 2019, 20, e284. [Google Scholar] [CrossRef]
- Pittaka, M.; Kardamakis, D.; Spyropoulou, D. Comparison of International Guidelines on Mucosal Melanoma of the Head and Neck: A Comprehensive Review of the Role of Radiation Therapy. In Vivo 2016, 30, 165–170. [Google Scholar] [PubMed]
- Topic, B.; Masic, T.; Radovic, S.; Lincender, I.; Muhic, E. Primary Oral Mucosal Melanomas—Two Case Reports and Comprehensive Literature Review. Acta Clin. Croat. 2017, 56, 323–330. [Google Scholar] [CrossRef] [PubMed]
- Schaefer, T.; Satzger, I.; Gutzmer, R. Clinics, prognosis and new therapeutic options in patients with mucosal melanoma: A retrospective analysis of 75 patients. Medicine 2017, 96, e5753. [Google Scholar] [CrossRef] [PubMed]
- Axell, T.; Hedin, C.A. Epidemiologic study of excessive oral melanin pigmentation with special reference to the influence of tobacco habits. Scand. J. Dent. Res. 1982, 90, 434–442. [Google Scholar] [CrossRef] [PubMed]
- Kim, S.S.; Han, M.H.; Kim, J.E.; Lee, C.H.; Chung, H.W.; Lee, J.S.; Chang, K.H. Malignant melanoma of the sinonasal cavity: Explanation of magnetic resonance signal intensities with histopathologic characteristics. Am. J. Otolaryngol. 2000, 21, 366–378. [Google Scholar] [CrossRef] [PubMed]
- Lynch, S.C.; Lee, A.G.; Graham, S.M.; Kirby, P.A. Primary melanoma of the sphenoid sinus presenting with a third cranial nerve palsy. J. Neuroophthalmol. 2005, 25, 289–292. [Google Scholar] [CrossRef] [PubMed]
- Al-Haseni, A.; Vrable, A.; Qureshi, M.M.; Mathews, S.; Pollock, S.; Truong, M.T.; Sahni, D. Survival outcomes of mucosal melanoma in the USA. Future Oncol. 2019, 15, 3977–3986. [Google Scholar] [CrossRef] [PubMed]
- Altieri, L.; Eguchi, M.; Peng, D.H.; Cockburn, M. Predictors of mucosal melanoma survival in a population-based setting. J. Am. Acad. Dermatol. 2019, 81, 136–142.e132. [Google Scholar] [CrossRef] [PubMed]



Publisher’s Note: MDPI stays neutral with regard to jurisdictional claims in published maps and institutional affiliations. |
© 2021 by the authors. Licensee MDPI, Basel, Switzerland. This article is an open access article distributed under the terms and conditions of the Creative Commons Attribution (CC BY) license (https://creativecommons.org/licenses/by/4.0/).
Share and Cite
Lombardo, N.; Della Corte, M.; Pelaia, C.; Piazzetta, G.; Lobello, N.; Del Duca, E.; Bennardo, L.; Nisticò, S.P. Primary Mucosal Melanoma Presenting with a Unilateral Nasal Obstruction of the Left Inferior Turbinate. Medicina 2021, 57, 359. https://doi.org/10.3390/medicina57040359
Lombardo N, Della Corte M, Pelaia C, Piazzetta G, Lobello N, Del Duca E, Bennardo L, Nisticò SP. Primary Mucosal Melanoma Presenting with a Unilateral Nasal Obstruction of the Left Inferior Turbinate. Medicina. 2021; 57(4):359. https://doi.org/10.3390/medicina57040359
Chicago/Turabian StyleLombardo, Nicola, Marcello Della Corte, Corrado Pelaia, Giovanna Piazzetta, Nadia Lobello, Ester Del Duca, Luigi Bennardo, and Steven Paul Nisticò. 2021. "Primary Mucosal Melanoma Presenting with a Unilateral Nasal Obstruction of the Left Inferior Turbinate" Medicina 57, no. 4: 359. https://doi.org/10.3390/medicina57040359
APA StyleLombardo, N., Della Corte, M., Pelaia, C., Piazzetta, G., Lobello, N., Del Duca, E., Bennardo, L., & Nisticò, S. P. (2021). Primary Mucosal Melanoma Presenting with a Unilateral Nasal Obstruction of the Left Inferior Turbinate. Medicina, 57(4), 359. https://doi.org/10.3390/medicina57040359

