Case Report: Massive Spontaneous Pneumothorax—A Rare Form of Presentation for Severe COVID-19 Pneumonia
Abstract
1. Introduction
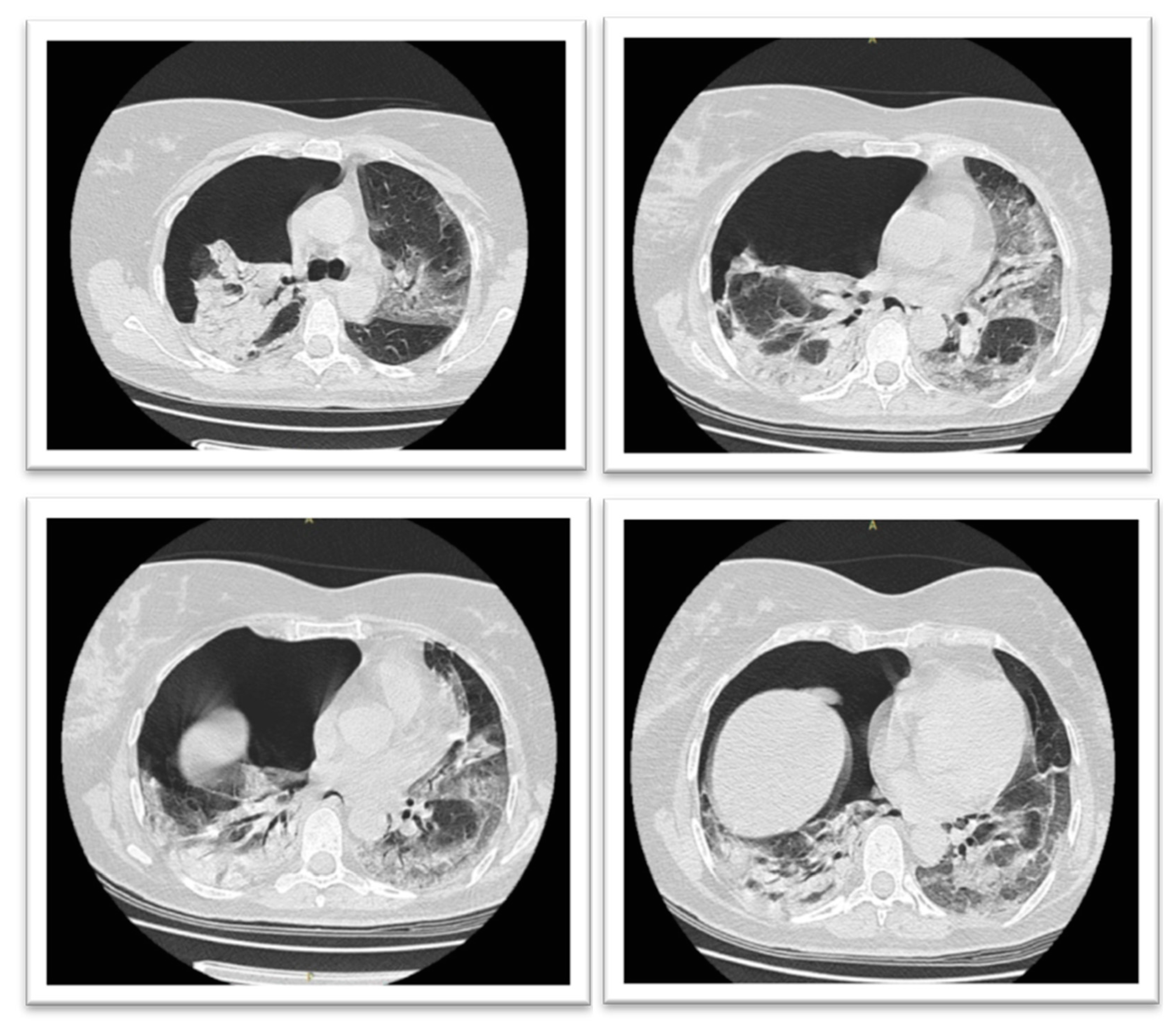
2. Case Presentation
3. Discussion
4. Conclusions
Author Contributions
Funding
Institutional Review Board Statement
Informed Consent Statement
Data Availability Statement
Conflicts of Interest
References
- Zhu, H.; Wei, L.; Niu, P. The novel coronavirus outbreak in Wuhan, China. Glob. Health Res. Policy 2020, 5, 1–3. [Google Scholar] [CrossRef] [PubMed]
- Hu, B.; Guo, H.; Zhou, P.; Shi, Z.L. Characteristics of SARS-CoV-2 and COVID-19. Nat. Rev. Microbiol. 2020. [Google Scholar] [CrossRef] [PubMed]
- Wu, Z.; McGoogan, J.M. Characteristics of and important lessons from the coronavirus disease 2019 (COVID-19) outbreak in china: Summary of a report of 72314 cases from the chinese center for disease control and prevention. JAMA 2020, 323, 1239–1242. [Google Scholar] [CrossRef] [PubMed]
- Guan, W.J.; Ni, Z.Y.; Hu, Y.; Liang, W.H.; Ou, C.Q.; He, J.X.; Liu, L.; Shan, H.; Lei, C.L.; Hui, D.S.C. Clinical characteristics of coronavirus disease 2019 in China. N. Engl. J. Med. 2020, 382, 1708–1720. [Google Scholar] [CrossRef] [PubMed]
- Peckham, H. Male sex identified by global COVID-19 meta-analysis as a risk factor for death and ITU admission. Nat. Commun. 2020, 11, 6317. [Google Scholar] [CrossRef] [PubMed]
- Machhi, J.; Herskovitz, J.; Senan, A.M.; Dutta, D.; Nath, B.; Oleynikov, M.D.; Kevadiya, B.D. The natural history, pathobiology, and clinical manifestations of SARS-CoV-2 infections. J. Neuroimmune Pharmacol. 2020, 15, 359–386. [Google Scholar] [CrossRef] [PubMed]
- Miró, Ò.; Alquézar-Arbé, A.; Llorens, P.; Martín-Sánchez, J.F.; Jiménez, S.; Martín, A.; del Castillo, G.J. Comparison of the demographic characteristics and comorbidities of patients with COVID-19 who died in Spanish hospitals based on whether they were or were not admitted to an intensive care unit. Med. Intensiva 2021, 45, 14–26. [Google Scholar] [CrossRef] [PubMed]
- Al-Shokri, S.D.; Ahmed, A.O.; Saleh, A.O.; AbouKamar, M.; Ahmed, K.; Mohamed, M.F. Case report: COVID-19–related pneumothorax—Case series highlighting a significant complication. Am. J. Trop. Med. Hyg. 2020, 103, 1166–1169. [Google Scholar] [CrossRef] [PubMed]
- Vega, J.M.L.; Gordo, M.L.P.; Tascón, A.D.; Vélez, S.O. Pneumomediastinum and spontaneous pneumothorax as an extrapulmonary complication of COVID-19 disease. Emerg. Radiol. 2020, 27, 727–730. [Google Scholar] [CrossRef] [PubMed]
- Shi, S.; Li, G.; Lei, W.; Yang, X. Spontaneous pneumomediastinum, pneumothorax and subcutaneous emphysema in COVID-19: Case report and literature review. Rev. Inst. Med. Trop. São Paulo 2020. [Google Scholar] [CrossRef]
- Dennison, J.; Carlson, S.; Faehling, S.; Lieb, M.; Mubarik, A. Case report: Spontaneous pneumothorax in resolved, uncomplicated COVID-19 Pneumonia-A literature review. Respir. Med. Case Rep. 2020, 31, 101291. [Google Scholar] [PubMed]
- Onuki, T.; Ueda, S.; Yamaoka, M.; Sekiya, Y.; Yamada, H.; Kawakami, N.; Matsumiya, N. Primary and secondary spontaneous pneumothorax: Prevalence, clinical features, and in-hospital mortality. Can. Respir. J. 2017, 2017, 6014967. [Google Scholar] [CrossRef] [PubMed]
- Ruppert, A.M.; Sroussi, D.; Khallil, A.; Giot, M.; Assouad, J.; Cadranel, J.; Gounant, V. Detection of secondary causes of spontaneous pneumothorax: Comparison between computed tomography and chest X-ray. Diagn. Interv. Imaging 2020, 101, 217–224. [Google Scholar] [CrossRef] [PubMed]
- Noppen, M. Spontaneous pneumothorax: Epidemiology, pathophysiology and cause. Eur. Respir. Rev. 2010, 19, 217–219. [Google Scholar] [CrossRef] [PubMed]
- Spiro, J.E.; Sisovic, S.; Ockert, B.; Böcker, W.; Siebenbürger, G. Secondary tension pneumothorax in a COVID-19 pneumonia patient: A case report. Infection 2020, 48, 941–944. [Google Scholar] [CrossRef] [PubMed]
- Hanley, M.E. Chapter 69-Pneumothorax. In Critical Care Secrets, 4th ed.; Parsons, P.E., Wiener-Kronish, J.P., Eds.; Mosby: Philadelphia, PA, USA, 2007; pp. 441–446. [Google Scholar]
- Terzi, E.; Zarogoulidis, K.; Kougioumtzi, I.; Dryllis, G.; Kioumis, I.; Pitsiou, G.; Zarogoulidis, P. Acute respiratory distress syndrome and pneumothorax. J. Thorac. Dis. 2014, 6, S435–S442. [Google Scholar] [PubMed]


| Laboratory Test | Conventional Units | Value | Reference Range Value |
|---|---|---|---|
| WBC | ×109/µL | 3.8 | 4–10 |
| Lymphocytes | ×103/µL | 0.7 | 1–3 |
| AST | U/L | 107 | 2–32 |
| ALT | U/L | 80 | 2–33 |
| Ferritin | ng/mL | 1463 | 15–150 |
| Blood glucose | mg/dL | 361 | 74–106 |
| CRP | mg/dL | 85.9 | 0–5 |
| D-dimers | ng/mL | 1212.8 | age × 10 |
| aPTT | seconds | extremely low * | 25–36 |
Publisher’s Note: MDPI stays neutral with regard to jurisdictional claims in published maps and institutional affiliations. |
© 2021 by the authors. Licensee MDPI, Basel, Switzerland. This article is an open access article distributed under the terms and conditions of the Creative Commons Attribution (CC BY) license (http://creativecommons.org/licenses/by/4.0/).
Share and Cite
Marza, A.M.; Petrica, A.; Buleu, F.N.; Mederle, O.A. Case Report: Massive Spontaneous Pneumothorax—A Rare Form of Presentation for Severe COVID-19 Pneumonia. Medicina 2021, 57, 82. https://doi.org/10.3390/medicina57020082
Marza AM, Petrica A, Buleu FN, Mederle OA. Case Report: Massive Spontaneous Pneumothorax—A Rare Form of Presentation for Severe COVID-19 Pneumonia. Medicina. 2021; 57(2):82. https://doi.org/10.3390/medicina57020082
Chicago/Turabian StyleMarza, Adina Maria, Alina Petrica, Florina Nicoleta Buleu, and Ovidiu Alexandru Mederle. 2021. "Case Report: Massive Spontaneous Pneumothorax—A Rare Form of Presentation for Severe COVID-19 Pneumonia" Medicina 57, no. 2: 82. https://doi.org/10.3390/medicina57020082
APA StyleMarza, A. M., Petrica, A., Buleu, F. N., & Mederle, O. A. (2021). Case Report: Massive Spontaneous Pneumothorax—A Rare Form of Presentation for Severe COVID-19 Pneumonia. Medicina, 57(2), 82. https://doi.org/10.3390/medicina57020082

