Tracheitis Caused by Coinfection with Cytomegalovirus and Herpes Simplex Virus
Abstract
1. Introduction
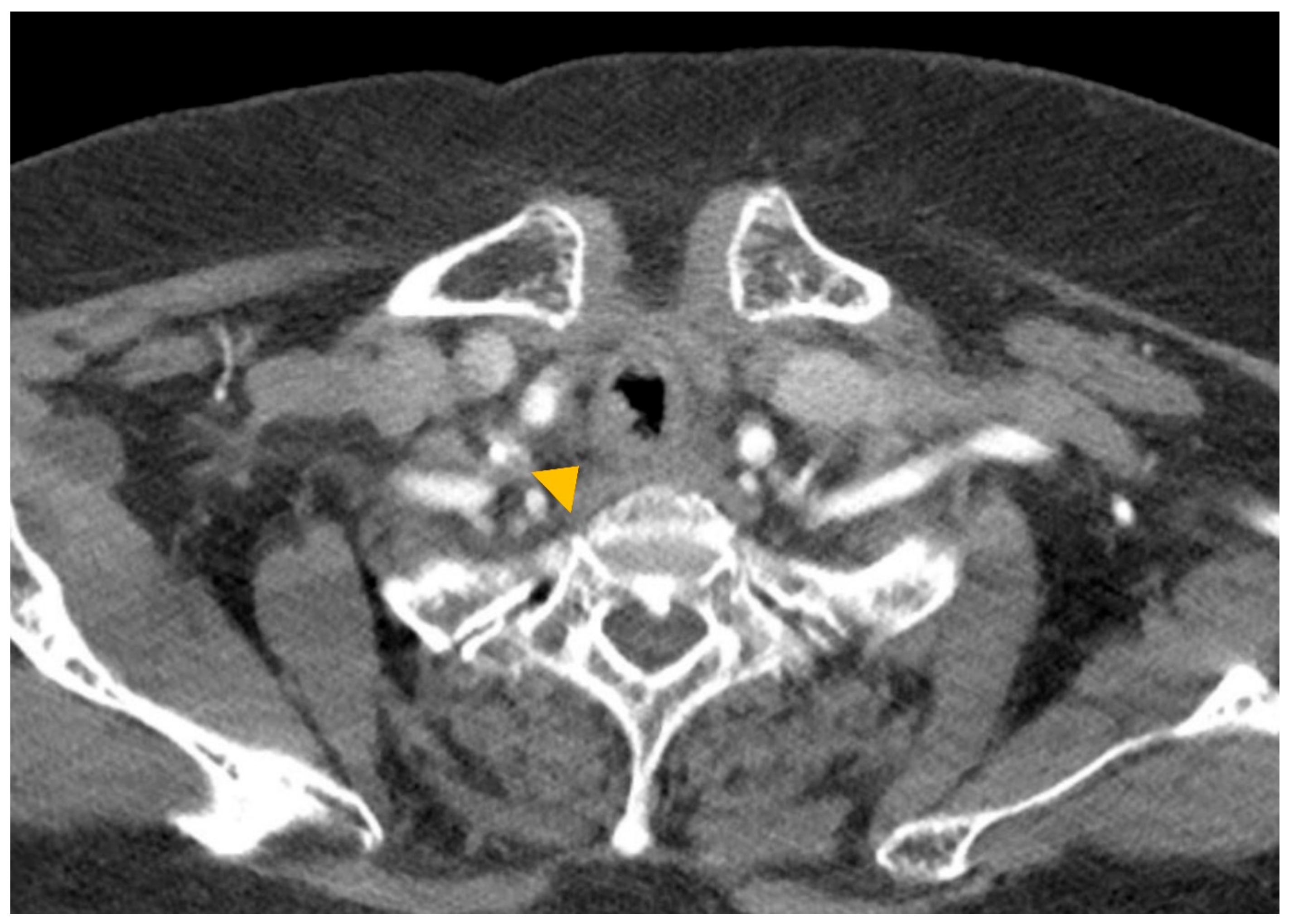
2. Case Report
3. Discussion
4. Conclusions
Author Contributions
Funding
Institutional Review Board Statement
Informed Consent Statement
Conflicts of Interest
References
- Blot, M.; Bonniaud-Blot, P.; Favrolt, N.; Bonniaud, P.; Chavanet, P.; Piroth, L. Update on childhood and adult infectious tracheitis. Med. Mal. Infect. 2017, 47, 443–452. [Google Scholar] [CrossRef]
- Al-Qadi, M.O.; Artenstein, A.W.; Braman, S.S. The “forgotten zone”: Acquired disorders of the trachea in adults. Respir. Med. 2013, 107, 1301–1313. [Google Scholar] [CrossRef]
- Donnelly, L.F. Airway. In Fundamentals of Pediatric Imaging; Academic Press: Cambridge, MA, USA, 2016; Chapter 2; pp. 8–25. [Google Scholar]
- Denny, F.W.; Murphy, T.F.; Clyde, W.A., Jr.; Collier, A.M.; Henderson, F.W. Croup: An 11-year study in a pediatric practice. Pediatrics 1983, 71, 871–876. [Google Scholar]
- Cherry, J.D. Clinical practice. Croup. N. Engl. J. Med. 2008, 358, 384–391. [Google Scholar] [CrossRef] [PubMed]
- Gill, J.R.; Sheng, Z.M.; Ely, S.F.; Guinee, D.G.; Beasley, M.B.; Suh, J.; Deshpande, C.; Mollura, D.J.; Morens, D.M.; Bray, M.; et al. Pulmonary pathologic findings of fatal 2009 pandemic influenza A/H1N1 viral infections. Arch. Pathol. Lab. Med. 2010, 134, 235–243. [Google Scholar] [CrossRef] [PubMed]
- Wu, C.; Cheng, X.; Wang, X.; Lv, X.; Yang, F.; Liu, T.; Fang, S.; Zhang, R.; Jinquan, C. Clinical and molecular characteristics of the 2009 pandemic influenza H1N1 infection with severe or fatal disease from 2009 to 2011 in Shenzhen, China. J. Med Virol. 2013, 85, 405–412. [Google Scholar] [CrossRef]
- Baras, L.; Farber, C.M.; Van Vooren, J.P.; Parent, D. Herpes simplex virus tracheitis in a patient with the acquired immunodeficiency syndrome. Eur. Respir. J. 1994, 7, 2091–2093. [Google Scholar]
- Thong, L.; Plant, B.J.; McCarthy, J.; Murphy, D.M. Herpetic tracheitis in association with rituximab therapy. Respirol. Case Rep. 2016, 4, e00158. [Google Scholar] [CrossRef]
- Alvarez-Uria, G.; Surinach, J.M.; Ventura, A.; de la Rosa, D.; de Gracia, J.; Fernandez-Sevilla, T. Herpetic tracheitis and polybacterial pneumonia in an immunocompetent young man is herpes tracheitis involved in the pathogenesis of bacterial pneumonia? J. Clin. Virol. 2008, 41, 164–165. [Google Scholar] [CrossRef]
- Ben-Izhak, O.; Ben-Arieh, Y. Necrotizing squamous metaplasia in herpetic tracheitis following prolonged intubation: A lesion similar to necrotizing sialometaplasia. Histopathology 1993, 22, 265–269. [Google Scholar] [CrossRef] [PubMed]
- Engelmann, I.; Gottlieb, J.; Meier, A.; Sohr, D.; Ruhparwar, A.; Henke-Gendo, C.; Gastmeier, P.; Welte, T.; Schulz, T.F.; Mattner, F. Clinical relevance of and risk factors for HSV-related tracheobronchitis or pneumonia: Results of an outbreak investigation. Crit. Care (Lond. Engl.) 2007, 11, R119. [Google Scholar] [CrossRef]
- St John, R.C.; Pacht, E.R. Tracheal stenosis and failure to wean from mechanical ventilation due to herpetic tracheitis. Chest 1990, 98, 1520–1522. [Google Scholar] [CrossRef] [PubMed][Green Version]
- Graham, B.S.; Snell, J.D., Jr. Herpes simplex virus infection of the adult lower respiratory tract. Medicine 1983, 62, 384–393. [Google Scholar] [CrossRef] [PubMed]
- Naber, J.M.; Palmer, S.M.; Howell, D.N. Cytomegalovirus infection presenting as bronchial polyps in lung transplant recipients. J. Heart Lung Transplant. 2005, 24, 2109–2113. [Google Scholar] [CrossRef] [PubMed]
- Osa, M.; Sato, A.; Sakagami, M.; Machida, M.; Sato, T.; Tsukimori, A.; Fukushima, S.; Nakamura, I.; Akai, R.; Tsukahara, K.; et al. Refractory pharyngeal ulceration due to cytomegalovirus in a patient with HIV infection: A case report and literature review. BMC Infect. Dis. 2021, 21, 252. [Google Scholar] [CrossRef]
- Imoto, E.M.; Stein, R.M.; Shellito, J.E.; Curtis, J.L. Central airway obstruction due to cytomegalovirus-induced necrotizing tracheitis in a patient with AIDS. Am. Rev. Respir. Dis. 1990, 142, 884–886. [Google Scholar] [CrossRef]
- Wiest, P.M.; Flanigan, T.; Salata, R.A.; Shlaes, D.M.; Katzman, M.; Lederman, M.M. Serious infectious complications of corticosteroid therapy for COPD. Chest 1989, 95, 1180–1184. [Google Scholar] [CrossRef]
- Vago, L.; Nebuloni, M.; Sala, E.; Cinque, P.; Bonetto, S.; Isella, A.; Ottoni, L.; Crociati, A.; Costanzi, G. Coinfection of the central nervous system by cytomegalovirus and herpes simplex virus type 1 or 2 in AIDS patients: Autopsy study on 82 cases by immunohistochemistry and polymerase chain reaction. Acta Neuropathol. 1996, 92, 404–408. [Google Scholar] [CrossRef]
- Chiu, H.Y.; Chang, C.Y.; Hsiao, C.H.; Wang, L.F. Concurrent cytomegalovirus and herpes simplex virus infection in pemphigus vulgaris treated with rituximab and prednisolone. Acta Derm. Venereol. 2013, 93, 200–201. [Google Scholar] [CrossRef][Green Version]
- Bannoura, S.; Barada, K.; Sinno, S.; Boulos, F.; Chakhachiro, Z. Esophageal Cytomegalovirus and Herpes Simplex virus co-infection in an immunocompromised patient: Case report and review of literature. IDCases 2020, 22, e00925. [Google Scholar] [CrossRef]
- Gouveia, A.I.; Borges-Costa, J.; Soares-Almeida, L.; Sacramento-Marques, M.; Kutzner, H. Herpes simplex virus and cytomegalovirus co-infection presenting as exuberant genital ulcer in a woman infected with human immunodeficiency virus. Clin. Exp. Dermatol. 2014, 39, 915–917. [Google Scholar] [CrossRef] [PubMed]





Publisher’s Note: MDPI stays neutral with regard to jurisdictional claims in published maps and institutional affiliations. |
© 2021 by the authors. Licensee MDPI, Basel, Switzerland. This article is an open access article distributed under the terms and conditions of the Creative Commons Attribution (CC BY) license (https://creativecommons.org/licenses/by/4.0/).
Share and Cite
Lee, Y.-M.; Kim, S.-W.; Kwack, W.-G. Tracheitis Caused by Coinfection with Cytomegalovirus and Herpes Simplex Virus. Medicina 2021, 57, 1162. https://doi.org/10.3390/medicina57111162
Lee Y-M, Kim S-W, Kwack W-G. Tracheitis Caused by Coinfection with Cytomegalovirus and Herpes Simplex Virus. Medicina. 2021; 57(11):1162. https://doi.org/10.3390/medicina57111162
Chicago/Turabian StyleLee, Yu-Mi, So-Woon Kim, and Won-Gun Kwack. 2021. "Tracheitis Caused by Coinfection with Cytomegalovirus and Herpes Simplex Virus" Medicina 57, no. 11: 1162. https://doi.org/10.3390/medicina57111162
APA StyleLee, Y.-M., Kim, S.-W., & Kwack, W.-G. (2021). Tracheitis Caused by Coinfection with Cytomegalovirus and Herpes Simplex Virus. Medicina, 57(11), 1162. https://doi.org/10.3390/medicina57111162

