Fatal Association of Mirror and Eisenmenger Syndrome during the COVID-19 Pandemic
Abstract
1. Introduction
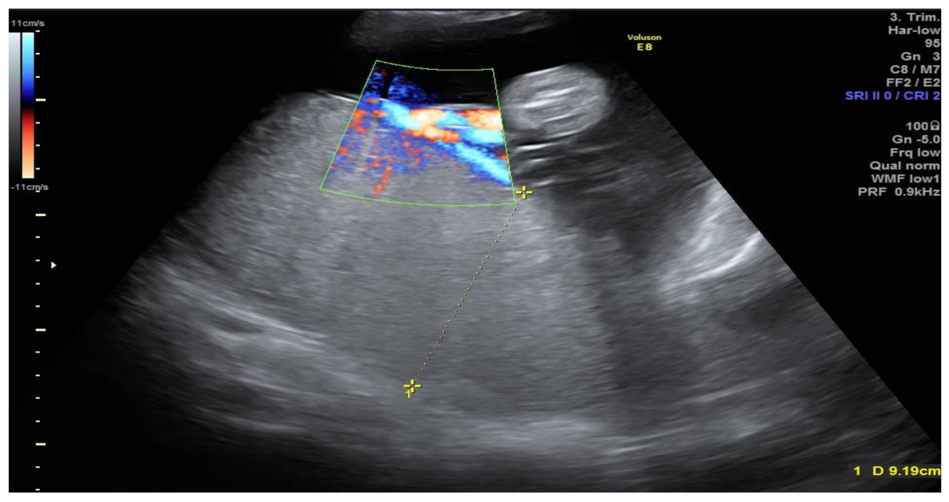
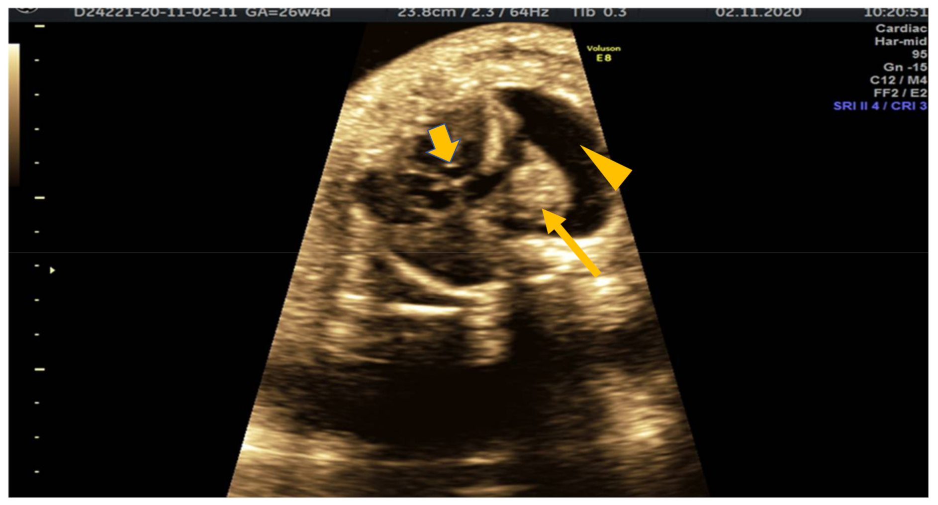
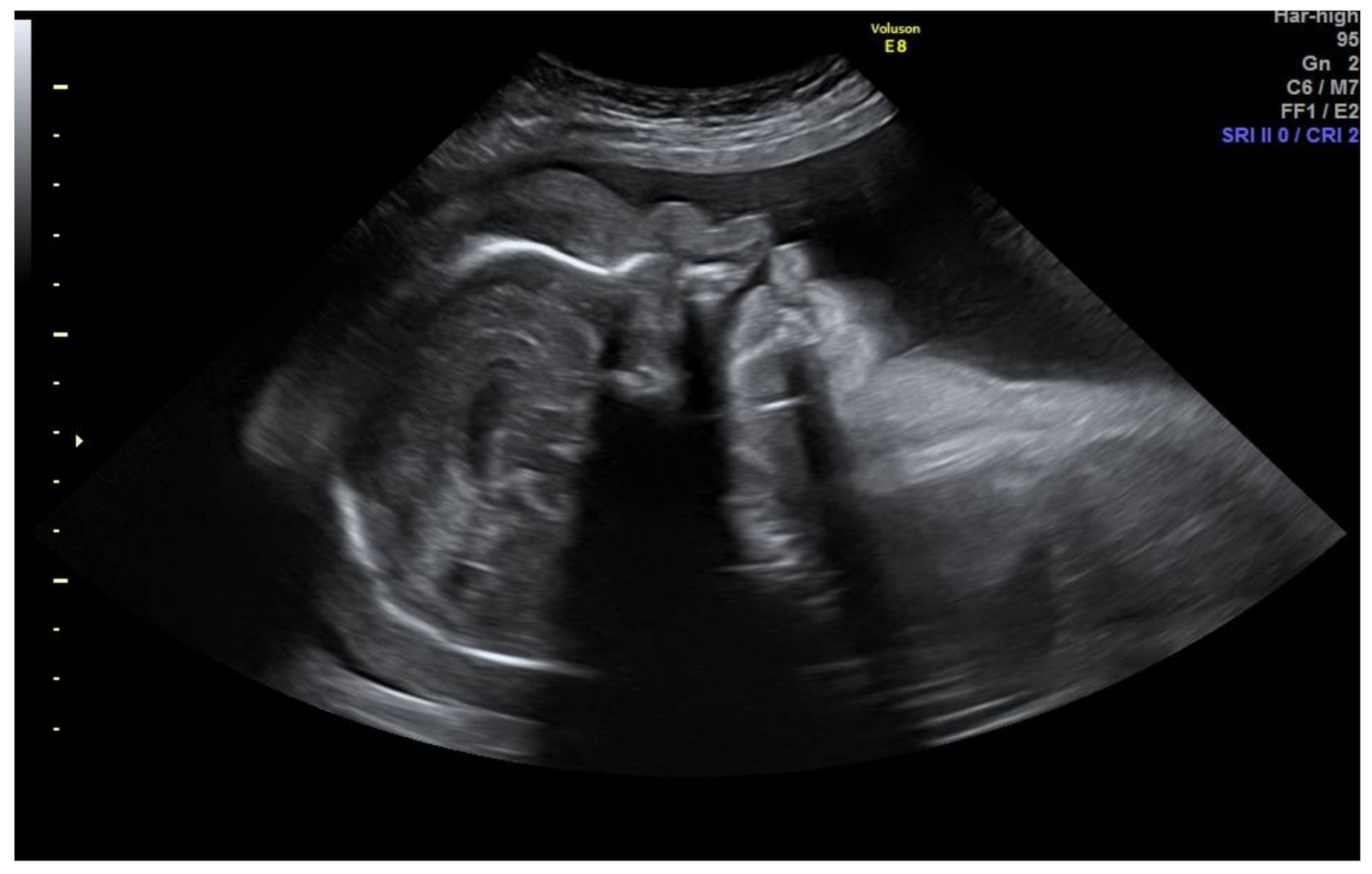
2. Case Presentation
3. Discussion
4. Conclusions
Author Contributions
Funding
Institutional Review Board Statement
Informed Consent Statement
Conflicts of Interest
References
- Dunn, P.M. Dr John Ballantyne (1861–1923): Perinatologist extraordinary of Edinburgh. Arch. Dis. Child. 1993, 68, 66–67. [Google Scholar] [CrossRef] [PubMed]
- Braun, T.; Brauer, M.; Fuchs, I.; Czernik, C.; Dudenhausen, J.W.; Henrich, W.; Sarioglu, N. Mirror Syndrome: A Systematic Review of Fetal Associated Conditions, Maternal Presentation and Perinatal Outcome. Fetal Diagn. Ther. 2010, 27, 191–203. [Google Scholar] [CrossRef] [PubMed]
- Cigăran, R.-G.; Botezatu, R.; Mînecan, E.-M.; Gică, C.; Panaitescu, A.; Peltecu, G.; Gică, N. The Psychological Impact of the COVID-19 Pandemic on Pregnant Women. Health 2021, 9, 725. [Google Scholar] [CrossRef] [PubMed]
- Chen, R.; Liu, M.; Yan, J.; Chen, F.; Han, Q.; Zheng, L.; Zhang, Y.; Luo, J.; Chen, L.; Liu, H.; et al. Clinical characteristics of mirror syndrome: Aretrospective study of 16 cases. J. Obstet. Gynaecol. 2020, 1, 73–76. [Google Scholar] [CrossRef] [PubMed]
- Xu, W.; Smith, C.T.; Binstock, A.; Lim, G. Maternal Mirror Syndrome Masquerading as Congestive Heart Failure: A Case Report. A A Pract. 2019, 12, 447–451. [Google Scholar] [CrossRef]
- Heyborne, K.D.; Chism, D.M. Reversal of Ballantyne syndrome by selective second-trimester fetal termination. A case report. J. Reprod. Med. 2000, 45, 360–362. [Google Scholar]
- Livingston, J.C.; Malik, K.M.; Crombleholme, T.M.; Lim, F.Y.; Sibai, B.M. Mirror syndrome: A novel approach to therapy with fetal peritoneal-amniotic shunt. Obstet. Gynecol. 2007, 110, 540–543. [Google Scholar] [CrossRef] [PubMed]
- Iciek, R.; Brązert, M.; Klejewski, A.; Pietryga, M.; Brązert, J. Ballantyne syndrome (the Mirror Syndrome) associated with severe non-immune fetal hydrops—A case report. Ginekol. Polska 2015, 86, 706–711. [Google Scholar] [CrossRef] [PubMed]
- Duran, N.; Günes, H.; Duran, I.; Biteker, M.; Özkan, M. Predictors of prognosis in patients with peripartum cardiomyopathy. Int. J. Gynecol. Obstet. 2008, 101, 137–140. [Google Scholar] [CrossRef] [PubMed]
- Niebauer, J.; Clark, A.L.; Anker, S.; Coats, A.S. Three year mortality in heart failure patients with very low left ventricular ejection fractions. Int. J. Cardiol. 1999, 70, 245–247. [Google Scholar] [CrossRef]
- Martinez-Portilla, R.J.; Sotiriadis, A.; Chatzakis, C.; Torres-Torres, J.; Espino y Sosa, S.; Sandoval-Mandujano, K.; Castro-Bernabe, D.A.; Medina-Jimenez, V.; Monarrez-Martin, J.C.; Figueras, F.; et al. Pregnant women with SARS-CoV-2 infection are at higher risk of death and pneumonia: Propensity score matched analysis of a nationwide prospective cohort (COV19Mx). Ultrasound Obstet. Gynecol. 2021, 57, 224–231. [Google Scholar] [CrossRef] [PubMed]
- Raigam Jafet, M.P.; Smith, M.R.; He, S.; Johnatan, T.R.; Espino-Y-Sosa, S.; Solis-Paredes, J.M.; Poon, L.C. Young pregnant women are also at an increased risk of mortality and severe illness due to COVID-19: Analysis of the Mexican National Surveillance Program. Am. J. Obstet. Gynecol. 2020, 224, 404–407. [Google Scholar]
- Yadav, D.K.; Singh, A.; Zhang, Q.; Bai, X.; Zhang, W.; Yadav, R.K.; Singh, A.; Zhiwei, L.; Adhikari, V.P.; Liang, T. Involvement of liver in COVID-19: Systematic review and meta-analysis. Gut 2021, 70, 807–809. [Google Scholar] [CrossRef] [PubMed]
- Mebus, S.; Nagdyman, N.; Kügel, J.; Zachoval, R.; Braun, S.L.; Haverkämper, G.; Opgen-Rhein, B.; Berger, F.; Horster, S.; Schoetzau, J.; et al. Non-invasive assessment of liver changes in Eisenmenger patients. Int. J. Cardiol. 2017, 249, 140–144. [Google Scholar] [CrossRef] [PubMed]
- Yentis, S.M.; Steer, P.J.; Plaat, F. Eisenmenger’s syndrome in pregnancy: Maternal and fetal mortality in the 1990s. BJOG: Int. J. Obstet. Gynaecol. 1998, 105, 921–922. [Google Scholar] [CrossRef] [PubMed]
- Yuan, S.-M. Eisenmenger Syndrome in Pregnancy. Braz. J. Cardiovasc. Surg. 2016, 31, 325–329. [Google Scholar] [CrossRef] [PubMed][Green Version]
- Han, L.; Gu, W.-R. Mirror syndrome associated with heart failure in a pregnant woman: A case report. Int. J. Clin. Exp. Med. 2015, 8, 16132. [Google Scholar]




| Blood Constant | Hb g/dL | Uric Acid mg/dL | ALT μ/L | AST μ/L | Creatinine mg/dL | WCC | CRP mg/dL |
|---|---|---|---|---|---|---|---|
| Pregnacy range | 10.5–14.8 | 0–5.7 | 0–30 | 0–30 | 0.7–1.2 | 6–13,000 | 0.7–0.9 |
| Admission D1 | 8.2 | 6.8 | 114 | 124 | 1.69 | 10,000 | 3 |
| Surgery Day D2 | 7.7 | 8.8 | 759 | 1015 | 1.79 | 14,000 | 7 |
| Post Surgery D3 | 9.2 | 8.4 | 701 | 1213 | 2.01 | 22,000 | 12 |
Publisher’s Note: MDPI stays neutral with regard to jurisdictional claims in published maps and institutional affiliations. |
© 2021 by the authors. Licensee MDPI, Basel, Switzerland. This article is an open access article distributed under the terms and conditions of the Creative Commons Attribution (CC BY) license (https://creativecommons.org/licenses/by/4.0/).
Share and Cite
Radoi, V.; Pop, L.G.; Bacalbasa, N.; Panaitescu, A.M.; Ciobanu, A.M.; Cretoiu, D.; Toader, O.D. Fatal Association of Mirror and Eisenmenger Syndrome during the COVID-19 Pandemic. Medicina 2021, 57, 1031. https://doi.org/10.3390/medicina57101031
Radoi V, Pop LG, Bacalbasa N, Panaitescu AM, Ciobanu AM, Cretoiu D, Toader OD. Fatal Association of Mirror and Eisenmenger Syndrome during the COVID-19 Pandemic. Medicina. 2021; 57(10):1031. https://doi.org/10.3390/medicina57101031
Chicago/Turabian StyleRadoi, Viorica, Lucian Gheorghe Pop, Nicolae Bacalbasa, Anca Maria Panaitescu, Anca Marina Ciobanu, Dragos Cretoiu, and Oana Daniela Toader. 2021. "Fatal Association of Mirror and Eisenmenger Syndrome during the COVID-19 Pandemic" Medicina 57, no. 10: 1031. https://doi.org/10.3390/medicina57101031
APA StyleRadoi, V., Pop, L. G., Bacalbasa, N., Panaitescu, A. M., Ciobanu, A. M., Cretoiu, D., & Toader, O. D. (2021). Fatal Association of Mirror and Eisenmenger Syndrome during the COVID-19 Pandemic. Medicina, 57(10), 1031. https://doi.org/10.3390/medicina57101031

