Neonatal Intrahepatic Cholestasis Caused by Citrin Deficiency with SLC25A13 Mutation Presenting Hepatic Steatosis and Prolonged Jaundice. A Rare Case Report
Abstract
:1. Introduction
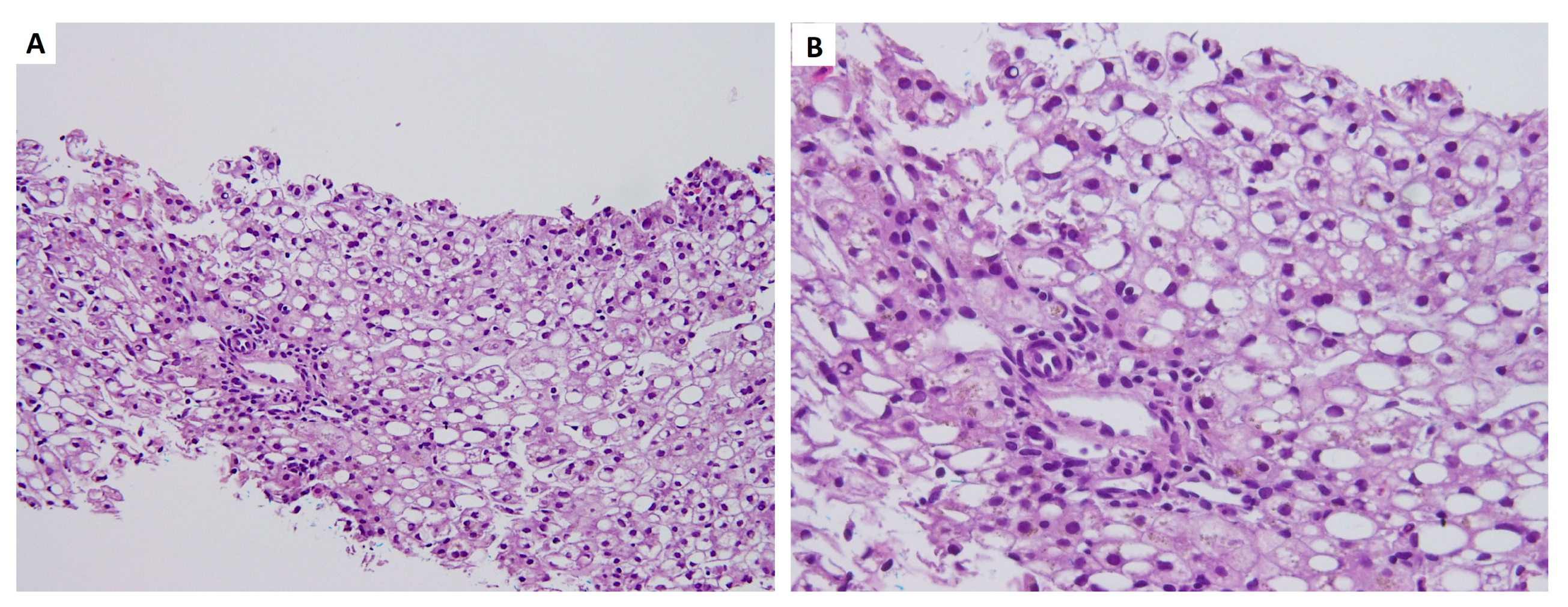
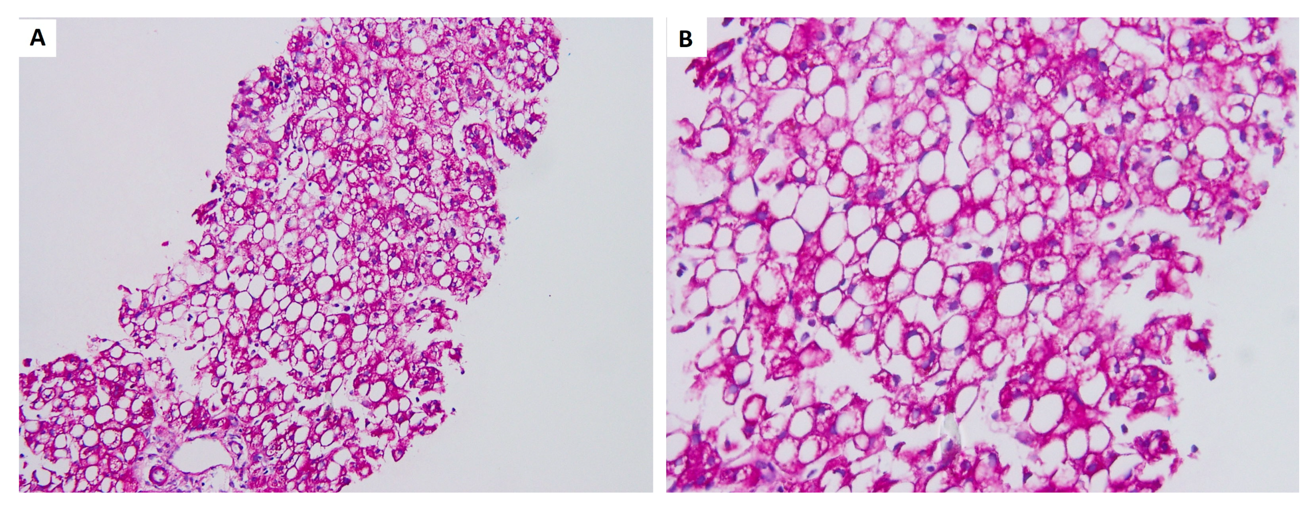
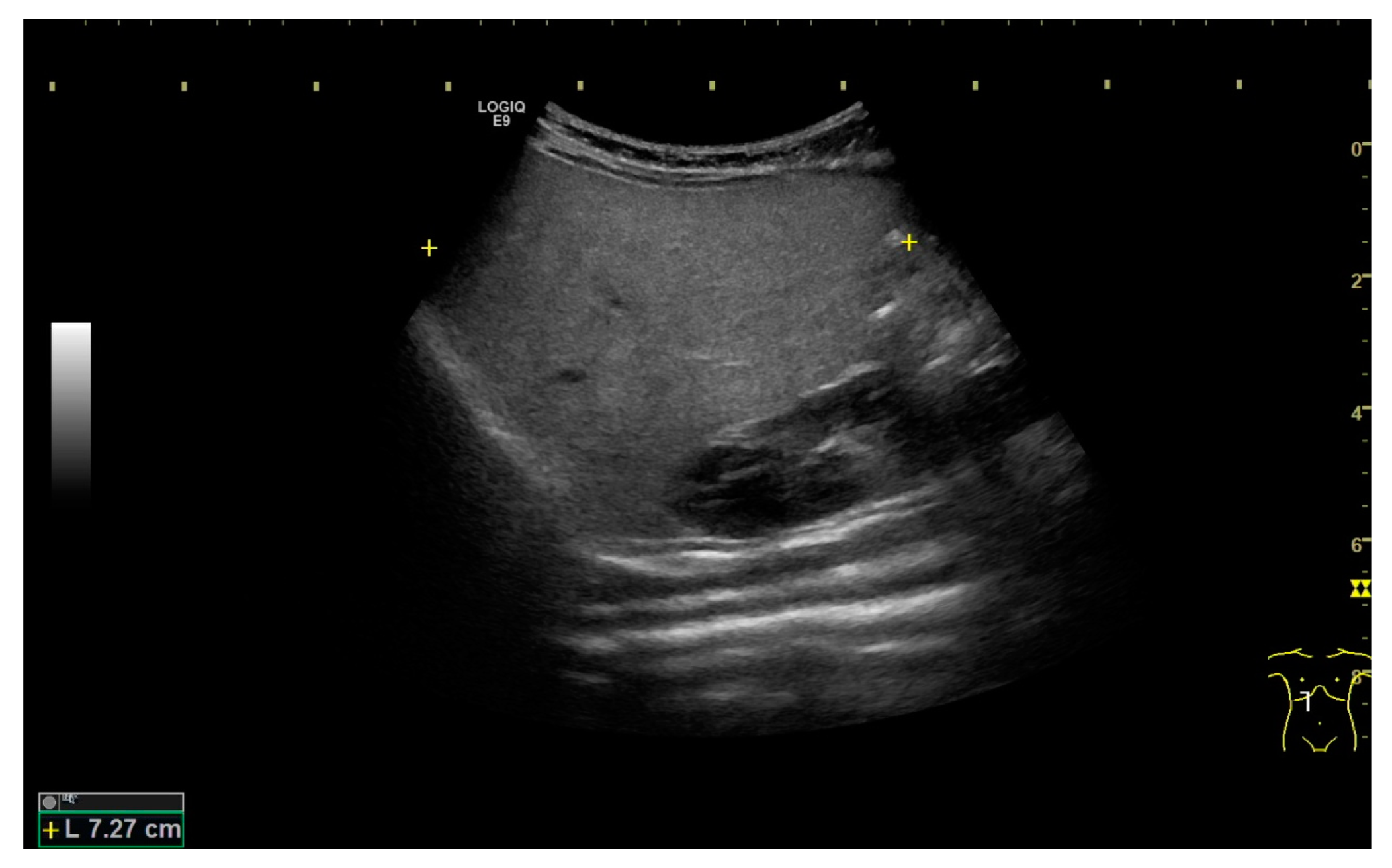
2. Case Presentation
3. Discussion
4. Conclusions
Author Contributions
Funding
Institutional Review Board Statement
Informed Consent Statement
Data Availability Statement
Conflicts of Interest
References
- Saheki, T.; Kobayashi, K.; Iijima, M.; Moriyama, M.; Yazaki, M.; Takei, Y.I.; Ikeda, S.I. Metabolic derangements in deficiency of citrin, a liver-type mitochondrial aspartate-glutamate carrier. Hepatol. Res. 2005, 33, 181–184. [Google Scholar] [CrossRef] [PubMed]
- Miyakoshi, T.; Takahashi, T.; Kato, M.; Watanabe, M.; Ito, C. Abnormal citrulline metabolism of inose-type hepatocerebral disease. Shinkeikagaku 1968, 7, 88–91. [Google Scholar]
- Okano, Y.; Ohura, T.; Sakamoto, O.; Inui, A. Current treatment for citrin deficiency during NICCD and adaptation/compensation stages: Strategy to prevent CTLN2. Mol. Genet. Metab. 2019, 127, 175–183. [Google Scholar] [CrossRef]
- Saheki, T.; Kobayashi, K. Mitochondrial aspartate glutamate carrier (citrin) deficiency as the cause of adult-onset type II citrullinemia (CTLN2) and idiopathic neonatal hepatitis (NICCD). J. Hum. Genet. 2002, 47, 333–341. [Google Scholar] [CrossRef]
- Kobayashi, K.; Sinasac, D.S.; Iijima, M.; Boright, A.P.; Begum, L.; Lee, J.R.; Yasuda, T.; Ikeda, S.; Hirano, R.; Terazono, H.; et al. The gene mutated in adult-onset type II citrullinaemia encodes a putative mitochondrial carrier protein. Nat. Genet. 1999, 22, 159–163. [Google Scholar] [CrossRef]
- Tabata, A.; Sheng, J.S.; Ushikai, M.; Song, Y.Z.; Gao, H.Z.; Lu, Y.B.; Okumura, F.; Iijima, M.; Mutoh, K.; Kishida, S.; et al. Identification of 13 novel mutations including a retrotransposal insertion in SLC25A13 gene and frequency of 30 mutations found in patients with citrin deficiency. J. Hum. Genet. 2008, 53, 534–545. [Google Scholar] [CrossRef] [PubMed] [Green Version]
- Lu, Y.B.; Kobayashi, K.; Ushikai, M.; Tabata, A.; Iijima, M.; Li, M.X.; Lei, L.; Kawabe, K.; Taura, S.; Yang, Y.; et al. Frequency and distribution in East Asia of 12 mutations identified in the SLC25A13 gene of Japanese patients with citrin deficiency. J. Hum. Genet. 2005, 50, 338–346. [Google Scholar] [CrossRef] [PubMed]
- Liu, C.S.; Chin, T.W.; Wei, C.F. Value of gamma-glutamyl transpeptidase for early diagnosis of biliary atresia. Zhonghua Yi Xue Za Zhi 1998, 61, 716–720. [Google Scholar] [PubMed]
- Tang, K.S.; Huang, L.T.; Huang, Y.H.; Lai, C.Y.; Wu, C.H.; Wang, S.M.; Huang, K.-P.; Huang, F.-C.; Tiao, M.M. Gamma-glutamyl transferase in the diagnosis of biliary atresia. Acta Paediatr. Taiwan 2007, 48, 196–200. [Google Scholar] [PubMed]
- Farrant, P.; Meire, H.B.; Mieli-Vergani, G. Ultrasound features of the gall bladder in infants presenting with conjugated hyperbilirubinaemia. Br. J. Radiol. 2000, 73, 1154–1158. [Google Scholar] [CrossRef] [PubMed]
- Zhou, L.Y.; Wang, W.; Shan, Q.Y.; Liu, B.X.; Zheng, Y.L.; Xu, Z.F.; Xu, M.; Pan, F.S.; Lu, M.; Xie, X. Optimizing the US diagnosis of biliary atresia with a modified triangular cord thickness and gallbladder classification. Radiology 2015, 277, 181–191. [Google Scholar] [CrossRef]
- Saheki, T.; Song, Y.Z. Citrin deficiency. In GeneReviews® [Internet]; Adam, M.P., Ardinger, H.H., Pagon, R.A., Wallace, S.E., Eds.; 16 September 2005 [Updated 10 August 2017]; University of Washington: Seattle, WA, USA, 2017. Available online: https://www.ncbi.nlm.nih.gov/books/NBK1181/ (accessed on 21 July 2021).
- Yeh, J.N.; Jeng, Y.M.; Chen, H.L.; Ni, Y.H.; Hwu, W.L.; Chang, M.H. Hepatic steatosis and neonatal intrahepatic cholestasis caused by citrin deficiency (NICCD) in Taiwanese infants. J. Pediatr. 2006, 148, 642–646. [Google Scholar] [CrossRef] [PubMed]
- Ida, S.; Yoshimura, N. NASH in children. Nihon Rinsho. 2006, 64, 1168–1172. [Google Scholar] [PubMed]





Publisher’s Note: MDPI stays neutral with regard to jurisdictional claims in published maps and institutional affiliations. |
© 2021 by the authors. Licensee MDPI, Basel, Switzerland. This article is an open access article distributed under the terms and conditions of the Creative Commons Attribution (CC BY) license (https://creativecommons.org/licenses/by/4.0/).
Share and Cite
Hu, S.-W.; Lu, W.-L.; Chiang, I.-P.; Wu, S.-F.; Wang, C.-H.; Chen, A.-C. Neonatal Intrahepatic Cholestasis Caused by Citrin Deficiency with SLC25A13 Mutation Presenting Hepatic Steatosis and Prolonged Jaundice. A Rare Case Report. Medicina 2021, 57, 1032. https://doi.org/10.3390/medicina57101032
Hu S-W, Lu W-L, Chiang I-P, Wu S-F, Wang C-H, Chen A-C. Neonatal Intrahepatic Cholestasis Caused by Citrin Deficiency with SLC25A13 Mutation Presenting Hepatic Steatosis and Prolonged Jaundice. A Rare Case Report. Medicina. 2021; 57(10):1032. https://doi.org/10.3390/medicina57101032
Chicago/Turabian StyleHu, Shu-Wei, Wen-Li Lu, I-Ping Chiang, Shu-Fen Wu, Chung-Hsing Wang, and An-Chyi Chen. 2021. "Neonatal Intrahepatic Cholestasis Caused by Citrin Deficiency with SLC25A13 Mutation Presenting Hepatic Steatosis and Prolonged Jaundice. A Rare Case Report" Medicina 57, no. 10: 1032. https://doi.org/10.3390/medicina57101032
APA StyleHu, S.-W., Lu, W.-L., Chiang, I.-P., Wu, S.-F., Wang, C.-H., & Chen, A.-C. (2021). Neonatal Intrahepatic Cholestasis Caused by Citrin Deficiency with SLC25A13 Mutation Presenting Hepatic Steatosis and Prolonged Jaundice. A Rare Case Report. Medicina, 57(10), 1032. https://doi.org/10.3390/medicina57101032

