Prognostic Value and Immunohistochemical Analysis of Mismatch Repair Deficiency in Patients with Stage II and III Colorectal Carcinoma—A Single-Center Study
Abstract
1. Introduction
2. Materials and Methods
Statistical Analysis
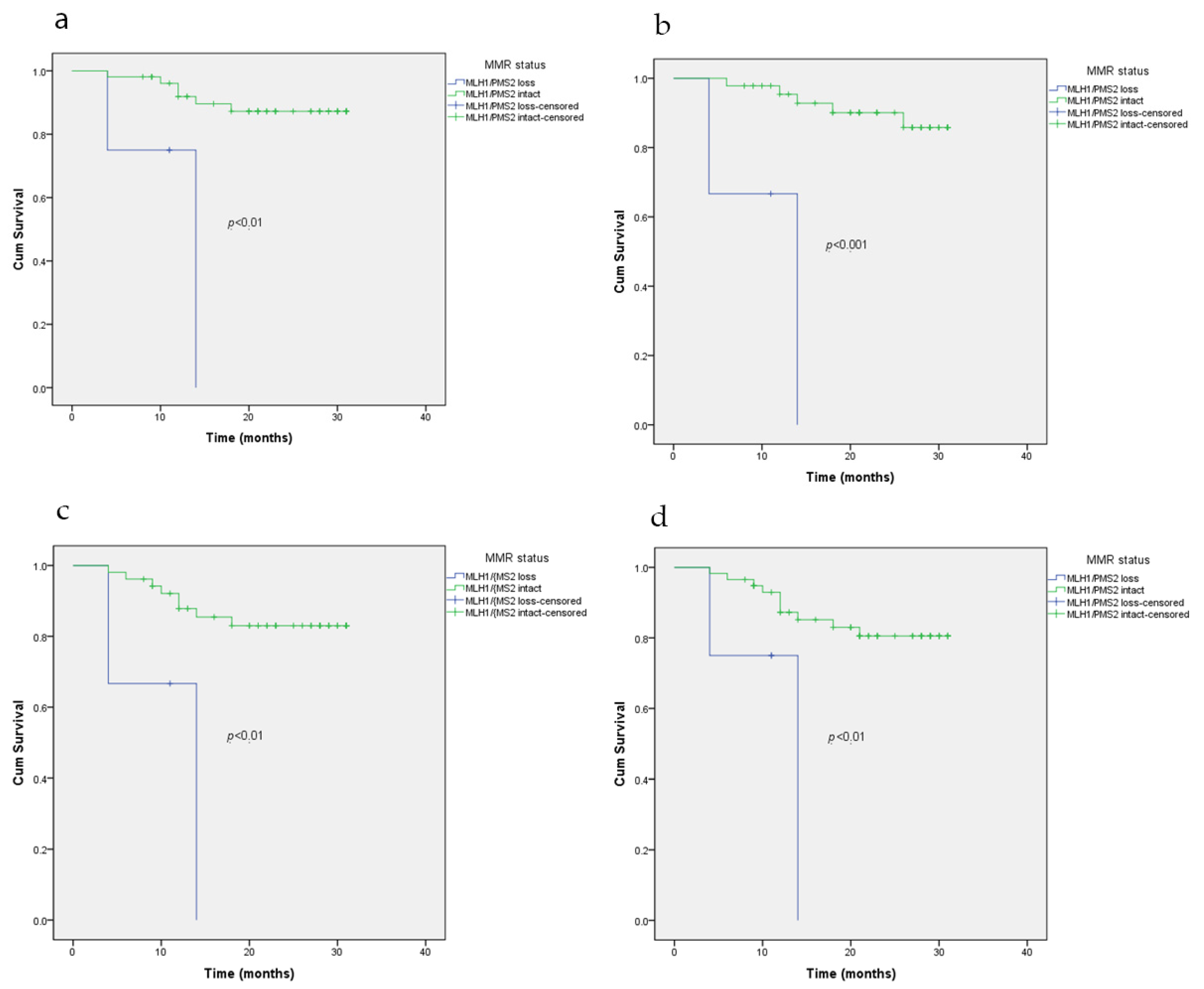
3. Results
4. Discussion
5. Conclusions
Author Contributions
Funding
Acknowledgments
Conflicts of Interest
References
- Bray, F.; Ferlay, J.; Soerjomataram, I.; Siegel, R.L.; Torre, L.A.; Jemal, A. Global cancer statistics 2018: GLOBOCAN estimates of incidence and mortality worldwide for 36 cancers in 185 countries. CA Cancer J. Clin. 2018, 68, 394–424. [Google Scholar] [CrossRef] [PubMed]
- Battaglin, F.; Naseem, M.; Lenz, H.J.; Salem, M.E. Microsatellite instability in colorectal cancer: Overview of its clinical significance and novel perspectives. Clin. Adv. Hematol. Oncol. 2018, 16, 735–745. [Google Scholar] [PubMed]
- De Jong, A.E.; Morreau, H.; Van Puijenbroek, M.; Eilers, P.H.; Wijnen, J.; Nagengast, F.M.; Griffioen, G.; Cats, A.; Menko, F.H.; Kleibeuker, J.H.; et al. The role of mismatch repair gene defects in the development of adenomas in patients with HNPCC. Gastroenterology 2004, 126, 42–48. [Google Scholar] [CrossRef] [PubMed]
- Kim, H.; Jen, J.; Vogelstein, B.; Hamilton, S. Clinical and pathological characteristics of sporadic colorectal carcinomas with DNA replication errors in microsatellite sequences. Am. J. Pathol. 1994, 145, 148–156. [Google Scholar]
- Kountourakis, P.; Souglakos, J.; Gouvas, N.; Androulakis, N.; Athanasiadis, A.; Boukovinas, I.; Christodoulou, C.; Chrysou, E.; Dervenis, C.; Emmanouilidis, C.; et al. Adjuvant chemotherapy for colon cancer: A consensus statement of the Hellenic and Cypriot Colorectal Cancer Study Group by the HeSMO. Ann. Gastroenterol. 2016, 29, 18–23. [Google Scholar]
- Lamberti, C.; Lundin, S.; Bogdanow, M.; Pagenstecher, C.; Friedrichs, N.; Büttner, R.; Sauerbruch, T. Microsatellite instability did not predict individual survival of unselected patients with colorectal cancer. Int. J. Colorectal Dis. 2007, 22, 145–152. [Google Scholar] [CrossRef]
- Kim, G.P.; Colangelo, L.H.; Wieand, H.S.; Paik, S.; Kirsch, I.R.; Wolmark, N.; Allegra, C.J. Prognostic and predictive roles of high-degree microsatellite instability in colon cancer: A National Cancer Institute-National Surgical Adjuvant Breast and Bowel Project Collaborative Study. J. Clin. Oncol. 2007, 25, 767–772. [Google Scholar] [CrossRef]
- Hashmi, A.A.; Ali, R.; Hussain, Z.F.; Faridi, N.; Khan, E.Y.; Bakar, S.M.A.; Edhi, M.M.; Khan, M. Mismatch repair deficiency screening in colorectal carcinoma by a four-antibody immunohistochemical panel in Pakistani population and its correlation with histopathological parameters. World J. Surg. Oncol. 2017, 15, 116. [Google Scholar] [CrossRef]
- Raut, C.; Pawlik, T.; Rodriguez-Bigas, M. Clinicopathologic features in colorectal cancer patients with microsatellite instability. Mutat. Res./Fundam. Mol. Mech. Mutagenesis 2004, 568, 275–282. [Google Scholar] [CrossRef]
- Kawakami, H.; Zaanan, A.; Sinicrope, F. Microsatellite instability testing and its role in the management of colorectal cancer. Curr. Treat. Options Oncol. 2015, 16, 30. [Google Scholar] [CrossRef]
- Soliman, N.A.; Morsia, D.F.; Helmy, N.A.H. Immunohistochemical Expression of MMR Proteins with Clinicopathological Correlation in Colorectal Cancer in Egypt. Open Access Maced. J. Med. Sci. 2019, 7, 1608–1617. [Google Scholar] [CrossRef] [PubMed]
- Bai, H.; Wang, R.; Cheng, W.; Shen, Y.; Li, H.; Xia, W.; Ding, Z.; Zhang, Y. Evaluation of Concordance Between Deficient Mismatch Repair and Microsatellite Instability Testing and Their Association with Clinicopathological Features in Colorectal Cancer. Cancer Manag. Res. 2020, 12, 2863–2873. [Google Scholar] [CrossRef] [PubMed]
- Suzuki, O.; Eguchi, H.; Chika, N.; Sakimoto, T.; Ishibashi, K.; Kumamoto, K.; Tamaru, J.I.; Tachikawa, T.; Akagi, K.; Arai, T.; et al. Prevalence and clinicopathologic/molecular characteristics of mismatch repair-deficient colorectal cancer in the under-50-year-old Japanese population. Surg. Today 2017, 47, 1135–1146. [Google Scholar] [CrossRef]
- Pearlman, R.; Frankel, W.L.; Swanson, B.; Zhao, W.; Yilmaz, A.; Miller, K.; Bacher, J.; Bigley, C.; Nelsen, L.; Goodfellow, P.J.; et al. Prevalence and Spectrum of Germline Cancer Susceptibility Gene Mutations Among Patients with Early-Onset Colorectal Cancer. JAMA Oncol. 2017, 3, 464–471. [Google Scholar] [CrossRef]
- Chew, M.H.; Koh, P.K.; Tan, M.; Lim, K.H.; Carol, L.; Tang, C.L. Mismatch repair deficiency screening via immunohistochemical staining in young Asians with colorectal cancers. World J. Surg. 2013, 37, 2468–2475. [Google Scholar] [CrossRef]
- Guastadisegni, C.; Colafranceschi, M.; Ottini, L.; Dogliotti, E. Microsatellite instability as a marker of prognosis and response to therapy: A meta-analysis of colorectal cancer survival data. Eur. J. Cancer 2010, 46, 2788–2798. [Google Scholar] [CrossRef]
- Lanza, G.; Gafa, R.; Santini, A.; Maestri, I.; Guerzoni, L.; Cavazzini, L. Immunohistochemical test for MLH1 and MSH2 expression predicts clinical outcome in stage II and III colorectal cancer patients. J. Clin. Oncol. 2006, 24, 2359–2367. [Google Scholar] [CrossRef] [PubMed]
- Gong, Q.; Zhang, H.H.; Sun, S.B.; Ge, W.M.; Li, Y.; Yhu, Y.C.; Le-Ping, L. Mismatch repair-deficient status associates with favorable prognosis of Eastern Chinese population with sporadic colorectal cancer. Oncol. Lett. 2018, 15, 7007–7013. [Google Scholar] [CrossRef] [PubMed]
- Sinicrope, F.A.; Foster, N.R.; Thibodeau, S.N.; Marsoni, S.; Monges, G.; Labianca, R.; Kim, G.P.; Yothers, G.; Allegra, C.; Moore, M.J.; et al. DNA mismatch repair status and colon cancer recurrence and survival in clinical trials of 5-fluorouracil-based adjuvant therapy. J. Natl. Cancer Inst. 2011, 103, 863–875. [Google Scholar] [CrossRef]
- Roth, A.D.; Tejpar, S.; Delorenzi, M.; Yan, P.; Fiocca, R.; Klingbiel, D.; Dietrich, D.; Biesmans, B.; Bodoky, G.; Barone, C.; et al. Prognostic role of KRAS and BRAF in stage II and III resected colon cancer: Results of the translational study on the PETACC-3, EORTC 40993, SAKK 60-00 trial. J. Clin. Oncol. 2010, 28, 466–474. [Google Scholar] [CrossRef]
- Li, P.; Xiao, Z.; Braciak, T.A.; Ou, Q.; Chen, G.; Oduncu, F.S. Systematic immunohistochemical screening for mismatch repair and ERCC1 gene expression from colorectal cancers in China: Clinicopathological characteristics and effects on survival. PLoS ONE 2017, 12, doi. [Google Scholar] [CrossRef] [PubMed]
- Popat, S.; Hubner, R.; Houlston, R.S. Systematic review of microsatellite instability and colorectal cancer prognosis. J. Clin. Oncol. 2005, 23, 609–618. [Google Scholar] [CrossRef] [PubMed]


| Features | dMMR (n = 12) | Expression of All MMR Proteins (n = 92) | Total (n = 104) | p Value | |||
|---|---|---|---|---|---|---|---|
| Age (years) | |||||||
| ≤50 | 9 | (75.00%) | 6 | (6.52%) | 15 | (14.42%) | 0.0000 *** |
| >50 | 3 | (25.00%) | 86 | (93.48%) | 89 | (85.58%) | |
| Gender | |||||||
| Female | 7 | (58.33%) | 39 | (42.39%) | 46 | (44.23%) | 0.2980 |
| Male | 5 | (41.67%) | 53 | (57.61%) | 58 | (55.77%) | |
| Tumor localization | |||||||
| Right | 10 | (83.33%) | 22 | (23.91%) | 32 | (30.77%) | 0.0001 *** |
| Left | 2 | (16.67%) | 70 | (76.09%) | 72 | (69.23%) | |
| Chemotherapy given (yes) | 11 | (91.67%) | 62 | (67.39%) | 73 | (70.19%) | 0.1031 |
| TNM staging | |||||||
| Stage III | 7 | 58.33% | 48 | 52.17% | 55 | 52.88% | 0.765 |
| Stage II | 5 | 41.67% | 44 | 47.83% | 49 | 47.12% | |
| Tumor histology | |||||||
| Conventional adenocarcinoma | 10 | (83.33%) | 66 | (71.74%) | 76 | (73.08%) | 0.5066 |
| Mucinous adenocarcinoma | 2 | (16.67%) | 26 | (28.26%) | 28 | (26.92%) | |
| Tumor grade | |||||||
| High-grade | 9 | (75.00%) | 53 | (57.61%) | 62 | (59.62%) | 0.3525 |
| Low-grade | 3 | (25.00%) | 39 | (42.39%) | 42 | (40.38%) | |
| Mucinous secretion | |||||||
| Present | 7 | (58.33%) | 28 | (30.43%) | 35 | (33.65%) | 0.0999 |
| Absent | 5 | (41.67%) | 64 | (69.57%) | 69 | (66.35%) | |
| Peritumoral lymphocytic infiltrate | |||||||
| Pronounced | 8 | (66.67%) | 39 | (42.39%) | 47 | (45.19%) | 0.1137 |
| Poor | 4 | (33.33%) | 53 | (57.61%) | 57 | (54.81%) | |
| Crohn’s-like reaction | |||||||
| Positive | 8 | (66.67%) | 13 | (14.13%) | 21 | (20.19%) | 0.0002 *** |
| Negative | 4 | (33.33%) | 79 | (85.87%) | 83 | (79.81%) | |
| Tumor budding | |||||||
| High-grade | 9 | (75.00%) | 17 | (18.48%) | 26 | (25.00%) | 0.0000 |
| Low-grade | 3 | (25.00%) | 75 | 81.25% | 78 | 75.00% | |
| Lymphovascular invasion | |||||||
| Present | 8 | 66.67% | 49 | 53.26% | 57 | 54.81% | 0.540 |
| Absent | 4 | 33.33% | 43 | 46.74% | 47 | 45.19% | |
| Perineural invasion | |||||||
| Present | 6 | 50.00% | 43 | 46.74% | 49 | 47.12% | 10.000 |
| Absent | 6 | 50.00% | 49 | 53.26% | 55 | 52.88% | |
| Univariate Logistic Regression | p Value | OR | (95% CI of OR) |
| Factor | |||
| Age ≤50 years | <0.001 | 43.000 | (9.157–201.922) |
| Female gender | 0.3014 | 1.903 | (0.562–6.443) |
| Right-sided tumor localization | <0.001 | 15.909 | (3.238–78.168) |
| TNM stage (III) | 0.688 | 1.283 | (0.379–4.340) |
| Conventional adenocarcinoma | 0.4018 | 1.970 | (0.404–9.606) |
| High-grade tumor | 0.2574 | 2.208 | (0.561–8.692) |
| Present mucin secretion | 0.0639 | 3.200 | (0.935–10.954) |
| Pronounced peritumoral lymphocytic infiltration | 0.1226 | 2.718 | (0.764–9.673) |
| Crohn’s-like reaction | <0.001 | 12.154 | (3.195–46.227) |
| Tumor budding (high-grade) | <0.001 | 13.235 | (3.235–54.142) |
| Lymphovascular invasion (yes) | 0.385 | 1.755 | (0.494–6.238) |
| Perineural invasion (yes) | 0.832 | 1.140 | (0.342–3.796) |
| Multivariate logistic regression (Step 2) | p Value | OR | (95% CI of OR) |
| Factor | |||
| Age ≤50 years | <0.001 | 77.924 | (8.029–756.225) |
| Right-sided tumor localization | 0.0048 | 30.491 | (2.843–327.060) |
| Crohn’s-like reaction | 0.236 | 3.483 | (0.442–27.422) |
| Tumor budding (high-grade) | 0.280 | 2.872 | (0.424–19.436) |
| Constant | <0.001 | 0.004 | (3.195–46.227) |
| Features | Relapse | No Relapse | p Value |
|---|---|---|---|
| Age (years) | 70.0 (62.8–73.2) | 66.0 (54.0–71.2) | 1.364 (0.172) |
| Gender (male) | 6 (42.9%) | 52 (57.8%) | 0.572 (0.388) |
| Localization (right-sided) | 7 (50.0%) | 25 (27.8%) | 1.862 (0.121) |
| Chemotherapy given (yes) | 11 (78.6%) | 62 (68.9%) | 0.179 (0.547) |
| TNM stage (III) | 10 (71.4%) | 45 (50.0%) | 1.456 (0.160) |
| Tumor histology (conventional adenocarcinoma) | 8 (57.1%) | 68 (75.6%) | 1.257 (0.195) |
| Tumor grade (high) | 12 (85.7%) | 50 (55.6%) | 3.410 (0.041) |
| Mucinous secretion (yes) | 7 (50.0%) | 28 (31.1%) | 1.182 (0.224) |
| Crohn-like reaction (positive) | 4 (28.6%) | 17 (18.9%) | 0.232 (0.474) |
| High-grade tumor budding (yes) | 5 (35.7%) | 21 (23.3%) | 0.440 (0.332) |
| Lymphovascular invasion (yes) | 8 (57.1%) | 49 (54.4%) | 0.000 (1.000) |
| Perineural invasion (yes) | 7 (50.0%) | 42 (46.7%) | 0.000 (1.000) |
| MMR status (proficient vs deficient) | 12 (85.7%) | 80 (88.9%) | 0.000 (0.663) |
| MMR status Proficient | 12 (85.7%) | 80 (88.9%) | 2.163 (0.706) |
| MLH1/PMS2 loss | 2 (14.3%) | 5 (5.6%) | |
| PMS2 loss | 0 (0.0%) | 3 (3.3%) | |
| MSH2/MSH6 loss | 0 (0.0%) | 1 (1.1%) | |
| MSH6 loss | 0 (0.0%) | 1 (1.1%) |
| Univariate | Multivariate | |||
|---|---|---|---|---|
| HR (95% CI for HR) | p Value | HR (95% CI for HR) | p Value | |
| Tumor Grade (High) | 4.914 (1.098–21.992) | 0.037 | 2.935 (0.556–15.499) | 0.205 |
| Features | Death | No-Death | p Value |
|---|---|---|---|
| Age (years) | 70.0 (62.8–73.2) | 66.0 (54.0–71.2) | 1.364 (0.172) |
| Gender (male) | 11 (52.4%) | 47 (56.6%) | 0.011 (0.808) |
| Localization (right-sided) | 9 (42.9%) | 23 (27.7%) | 1.164 (0.195) |
| Chemotherapy given (yes) | 18 (85.7%) | 55 (66.3%) | 2.172 (0.110) |
| Relapse (yes) | 8 (38.1%) | 6 (7.2%) | 11.185 (0.001) |
| TNM stage (III) | 16 (76.2%) | 39 (47.0%) | 4.624 (0.026) |
| Tumor histology (adenocarcinoma) | 11 (52.4%) | 65 (78.3%) | 4.486 (0.026) |
| Tumor grade (high) | 19 (90.5%) | 43 (51.8%) | 8.865 (0.001) |
| Mucinous secretion (yes) | 10 (47.6%) | 25 (30.1%) | 1.581 (0.195) |
| Crohn-like reaction (positive) | 4 (19.0%) | 17 (20.5%) | 0.000 (1.000) |
| High-grade tumor budding (yes) | 3 (14.3%) | 23 (27.7%) | 0.975 (0.266) |
| Lymphovascular invasion (yes) | 15 (71.4%) | 42 (50.6%) | 2.154 (0.140) |
| Perineural invasion (yes) | 14 (66.7%) | 35 (42.2%) | 3.113 (0.053) |
| MMR status (proficient vs. deficient) | 20 (95.2%) | 72 (86.7%) | 0.498 (0.452) |
| MMR status Proficient | 20 (95.2%) | 72 (86.7%) | 1.553 (0.817) |
| MLH1/PMS2 loss | 1 (4.8%) | 6 (7.2%) | |
| PMS2 loss | 0 (0.0%) | 3 (3.6%) | |
| MSH2/MSH6 loss | 0 (0.0%) | 1 (1.2%) | |
| MSH6 loss | 0 (0.0%) | 1 (1.2%) |
| Features | Univariate | Multivariate | ||
|---|---|---|---|---|
| HR (95% CI for HR) | p | HR (95% CI for HR) | p | |
| Age (years) | 1.095 (1.014–1.184) | 0.021 | 1.104 (1.013–1.204) | 0.026 |
| TNM stage (III) | 3.068 (1.123–8.381) | 0.029 | 0.789 (0.224–2.776) | 0.711 |
| Tumor grade (high) | 7.575 (1.764–32.532) | 0.006 | 7.637 (1.163–50.162) | 0.034 |
| Relapse (yes) | 5.395 (2.207–13.189) | 0.000 | 2.678 (0.983–7.294) | 0.054 |
Publisher’s Note: MDPI stays neutral with regard to jurisdictional claims in published maps and institutional affiliations. |
© 2020 by the authors. Licensee MDPI, Basel, Switzerland. This article is an open access article distributed under the terms and conditions of the Creative Commons Attribution (CC BY) license (http://creativecommons.org/licenses/by/4.0/).
Share and Cite
Denčić, T.; Krstić, M.; Petrović, A.; Jovičić-Milentijević, M.; Radenković, G.; Jović, M.; Živković, N.; Šalinger-Martinović, S.; Branković, B.; Stojanović, S. Prognostic Value and Immunohistochemical Analysis of Mismatch Repair Deficiency in Patients with Stage II and III Colorectal Carcinoma—A Single-Center Study. Medicina 2020, 56, 676. https://doi.org/10.3390/medicina56120676
Denčić T, Krstić M, Petrović A, Jovičić-Milentijević M, Radenković G, Jović M, Živković N, Šalinger-Martinović S, Branković B, Stojanović S. Prognostic Value and Immunohistochemical Analysis of Mismatch Repair Deficiency in Patients with Stage II and III Colorectal Carcinoma—A Single-Center Study. Medicina. 2020; 56(12):676. https://doi.org/10.3390/medicina56120676
Chicago/Turabian StyleDenčić, Tijana, Miljan Krstić, Aleksandar Petrović, Maja Jovičić-Milentijević, Goran Radenković, Marko Jović, Nikola Živković, Sonja Šalinger-Martinović, Branko Branković, and Simona Stojanović. 2020. "Prognostic Value and Immunohistochemical Analysis of Mismatch Repair Deficiency in Patients with Stage II and III Colorectal Carcinoma—A Single-Center Study" Medicina 56, no. 12: 676. https://doi.org/10.3390/medicina56120676
APA StyleDenčić, T., Krstić, M., Petrović, A., Jovičić-Milentijević, M., Radenković, G., Jović, M., Živković, N., Šalinger-Martinović, S., Branković, B., & Stojanović, S. (2020). Prognostic Value and Immunohistochemical Analysis of Mismatch Repair Deficiency in Patients with Stage II and III Colorectal Carcinoma—A Single-Center Study. Medicina, 56(12), 676. https://doi.org/10.3390/medicina56120676

