Contrast-Enhanced Ultrasound for Assessing Abdominal Conditions in Pregnancy
Abstract
1. Introduction
2. Materials and Methods
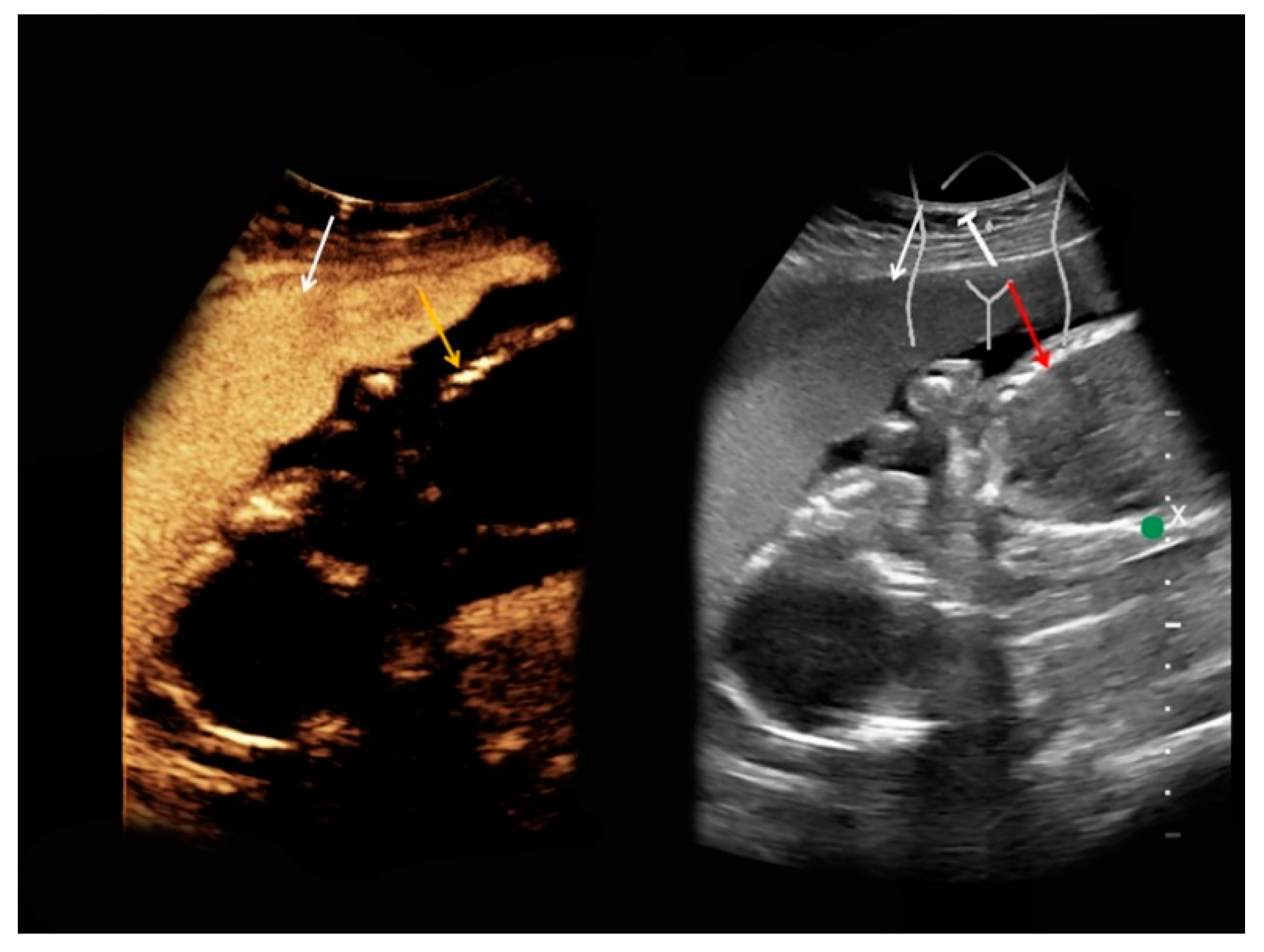
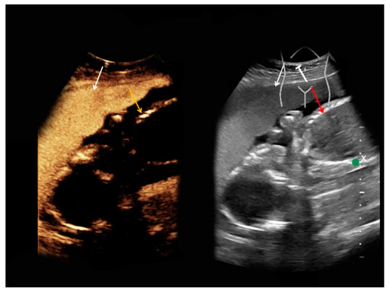
3. Results
4. Discussion
Author Contributions
Funding
Acknowledgments
Conflicts of Interest
References
- Salomon, L.J.; Alfirevic, Z.; Bilardo, C.M.; Chalouhi, G.E.; Ghi, T.; Kagan, K.O.; Lau, T.K.; Papageorghiou, A.T.; Raine-Fenning, N.J.; Stirnemann, J.; et al. ISUOG practice guidelines: Performance of first-trimester fetal ultrasound scan. Ultrasound Obstet. Gynecol. 2013, 41, 102–113. [Google Scholar] [CrossRef] [PubMed]
- EFSUMB. CLINICAL SAFETY STATEMENT FOR DIAGNOSTIC ULTRASOUND. 2006. Available online: http://www.efsumb.org/ecmus/Clinical-SStatement-202006.pdf (accessed on 13 November 2020).
- Patel, S.J.; Reede, D.L.; Katz, D.S.; Subramaniam, R.; Amorosa, J.K. Imaging the pregnant patient for nonobstetric conditions: Algorithms and radiation dose considerations. Radiographics 2007, 27, 1705–1722. [Google Scholar] [CrossRef]
- Lazarus, E.; Debenedectis, C.; North, D.; Spencer, P.K.; Mayo-Smith, W.W. Utilization of imaging in pregnant patients: 10-year review of 5270 examinations in 3285 patients—1997–2006. Radiology 2009, 251, 517–524. [Google Scholar] [CrossRef] [PubMed]
- Chen, M.M.; Coakley, F.V.; Kaimal, A.; Laros, R.K., Jr. Guidelines for computed tomography and magnetic resonance imaging use during pregnancy and lactation. Obstet. Gynecol. 2008, 112, 333–340. [Google Scholar] [CrossRef] [PubMed]
- Kinsella, S.M.; Lohmann, G. Supine hypotensive syndrome. Obstet. Gynecol. 1994, 83, 774–788. [Google Scholar]
- Ryo, E.; Okai, T.; Kozuma, S.; Kobayashi, K.; Kikuchi, A.; Taketani, Y. Influence of compression of the inferior vena cava in the late second trimester on uterine and umbilical artery blood flow. Int. J. Gynaecol. Obstet. 1996, 55, 213–218. [Google Scholar] [CrossRef]
- Fujita, N.; Higuchi, H.; Sakuma, S.; Takagi, S.; Latif, M.; Ozaki, M. Effect of Right-Lateral Versus Left-Lateral Tilt Position on Compression of the Inferior Vena Cava in Pregnant Women Determined by Magnetic Resonance Imaging. Anesth. Analg. 2019, 128, 1217–1222. [Google Scholar] [CrossRef]
- Mervak, B.M.; Altun, E.; McGinty, K.A.; Hyslop, W.B.; Semelka, R.C.; Burke, L.M. MRI in pregnancy: Indications and practical considerations. J. Magn. Reson. Imaging 2019, 49, 621–631. [Google Scholar] [CrossRef]
- Medical magnetic resonance (MR) procedures: Protection of patients. Health Phys. 2004, 87, 197–216. [CrossRef]
- Plunk, M.R.; Chapman, T. The fundamentals of fetal MR imaging: Part 1. Curr. Probl. Diagn. Radiol. 2014, 43, 331–346. [Google Scholar] [CrossRef]
- Kanal, E.; Barkovich, A.J.; Bell, C.; Borgstede, J.P.; Bradley, W.G., Jr.; Froelich, J.W.; Gilk, T.; Gimbel, J.R.; Gosbee, J.; Kuhni-Kaminski, E.; et al. ACR guidance document for safe MR practices: 2007. AJR Am. J. Roentgenol. 2007, 188, 1447–1474. [Google Scholar] [CrossRef] [PubMed]
- Prola-Netto, J.; Woods, M.; Roberts, V.H.J.; Sullivan, E.L.; Miller, C.A.; Frias, A.E.; Oh, K.Y. Gadolinium Chelate Safety in Pregnancy: Barely Detectable Gadolinium Levels in the Juvenile Nonhuman Primate after in Utero Exposure. Radiology 2018, 286, 122–128. [Google Scholar] [CrossRef] [PubMed]
- Sundgren, P.C.; Leander, P. Is administration of gadolinium-based contrast media to pregnant women and small children justified? J. Magn. Reson. Imaging 2011, 34, 750–757. [Google Scholar] [CrossRef] [PubMed]
- Novak, Z.; Thurmond, A.S.; Ross, P.L.; Jones, M.K.; Thornburg, K.L.; Katzberg, R.W. Gadolinium-DTPA transplacental transfer and distribution in fetal tissue in rabbits. Investig. Radiol. 1993, 28, 828–830. [Google Scholar] [CrossRef]
- Oh, K.Y.; Roberts, V.H.; Schabel, M.C.; Grove, K.L.; Woods, M.; Frias, A.E. Gadolinium Chelate Contrast Material in Pregnancy: Fetal Biodistribution in the Nonhuman Primate. Radiology 2015, 276, 110–118. [Google Scholar] [CrossRef]
- Gulani, V.; Calamante, F.; Shellock, F.G.; Kanal, E.; Reeder, S.B. Gadolinium deposition in the brain: Summary of evidence and recommendations. Lancet Neurol. 2017, 16, 564–570. [Google Scholar] [CrossRef]
- Bulas, D.; Egloff, A. Benefits and risks of MRI in pregnancy. Semin. Perinatol. 2013, 37, 301–304. [Google Scholar] [CrossRef]
- Ariyani, W.; Iwasaki, T.; Miyazaki, W.; Khongorzul, E.; Nakajima, T.; Kameo, S.; Koyama, H.; Tsushima, Y.; Koibuchi, N. Effects of Gadolinium-Based Contrast Agents on Thyroid Hormone Receptor Action and Thyroid Hormone-Induced Cerebellar Purkinje Cell Morphogenesis. Front. Endocrinol. (Lausanne) 2016, 7, 115. [Google Scholar] [CrossRef]
- Khairinisa, M.A.; Takatsuru, Y.; Amano, I.; Erdene, K.; Nakajima, T.; Kameo, S.; Koyama, H.; Tsushima, Y.; Koibuchi, N. The Effect of Perinatal Gadolinium-Based Contrast Agents on Adult Mice Behavior. Investig. Radiol. 2018, 53, 110–118. [Google Scholar] [CrossRef]
- American College of Radiology (ACR). Manual on Contrast Media, Version 10.3. Available online: https://www.acr.org/-/media/ACR/Files/Clinical-Resources/Contrast_Media.pdf (accessed on 7 December 2020).
- Denbow, M.L.; Welsh, A.W.; Taylor, M.J.; Blomley, M.J.; Cosgrove, D.O.; Fisk, N.M. Twin fetuses: Intravascular microbubble US contrast agent administration--early experience. Radiology 2000, 214, 724–728. [Google Scholar] [CrossRef]
- Denbow, M.L.; Blomley, M.J.; Cosgrove, D.O.; Fisk, N.M. Ultrasound microbubble contrast angiography in monochorionic twin fetuses. Lancet 1997, 349, 773. [Google Scholar] [CrossRef]
- Poret-Bazin, H.; Simon, E.G.; Bleuzen, A.; Dujardin, P.A.; Patat, F.; Perrotin, F. Decrease of uteroplacental blood flow after feticide during second-trimester pregnancy termination with complete placenta previa: Quantitative analysis using contrast-enhanced ultrasound imaging. Placenta 2013, 34, 1113–1115. [Google Scholar] [CrossRef] [PubMed]
- Xiong, X.; Yan, P.; Gao, C.; Sun, Q.; Xu, F. The Value of Contrast-Enhanced Ultrasound in the Diagnosis of Cesarean Scar Pregnancy. Biomed Res Int 2016, 2016, 4762785. [Google Scholar] [CrossRef] [PubMed]
- Windrim, R.; Kingdom, J.; Jang, H.J.; Burns, P.N. Contrast enhanced ultrasound (CEUS) in the prenatal evaluation of suspected invasive placenta percreta. J. Obstet. Gynaecol. Can. 2016, 38, 975–978. [Google Scholar] [CrossRef] [PubMed]
- Schwarze, V.; Marschner, C.; Negrão de Figueiredo, G.; Mueller-Peltzer, K.; Neumann, J.; Rübenthaler, J.; Clevert, D.A. SonoVue® Does Not Appear to Cross the Placenta as Observed During an Examination Aimed at Confirming a Diagnosis of Liver Echinococcosis in a Pregnant Woman. Ultraschall Med. 2020, 41, 146–147. [Google Scholar] [CrossRef] [PubMed]
- Schwarze, V.; Marschner, C.; Negrão de Figueiredo, G.; Rübenthaler, J.; Clevert, D.A. Single-Center Study: Evaluating the Diagnostic Performance and Safety of Contrast-Enhanced Ultrasound (CEUS) in Pregnant Women to Assess Hepatic Lesions. Ultraschall Med. 2020, 41, 29–35. [Google Scholar] [CrossRef]
- Schwarze, V.; Froelich, M.F.; Marschner, C.; Knosel, T.; Rubenthaler, J.; Clevert, D.A. Safe and pivotal approaches using contrast-enhanced ultrasound for the diagnostic workup of non-obstetric conditions during pregnancy, a single-center experience. Arch. Gynecol. Obstet. 2020. [Google Scholar] [CrossRef]
- Sidhu, P.S.; Cantisani, V.; Dietrich, C.F.; Gilja, O.H.; Saftoiu, A.; Bartels, E.; Bertolotto, M.; Calliada, F.; Clevert, D.A.; Cosgrove, D.; et al. The EFSUMB Guidelines and Recommendations for the Clinical Practice of Contrast-Enhanced Ultrasound (CEUS) in Non-Hepatic Applications: Update 2017 (Long Version). Ultraschall Med. 2018, 39, e2–e44. [Google Scholar] [CrossRef]
- Abramowicz, J.S.; Kossoff, G.; Marsal, K.; Ter Haar, G. Safety Statement, 2000 (reconfirmed 2003). International Society of Ultrasound in Obstetrics and Gynecology (ISUOG). Ultrasound Obstet. Gynecol. 2003, 21, 100. [Google Scholar] [CrossRef]
- Piscaglia, F.; Bolondi, L. The safety of Sonovue in abdominal applications: Retrospective analysis of 23188 investigations. Ultrasound Med. Biol. 2006, 32, 1369–1375. [Google Scholar] [CrossRef]
- Gassert, F.; Schnitzer, M.; Kim, S.H.; Kunz, W.G.; Ernst, B.P.; Clevert, D.A.; Norenberg, D.; Rubenthaler, J.; Froelich, M.F. Comparison of Magnetic Resonance Imaging and Contrast-Enhanced Ultrasound as Diagnostic Options for Unclear Cystic Renal Lesions: A Cost-Effectiveness Analysis. Ultraschall Med. 2020. [Google Scholar] [CrossRef] [PubMed]
- Arthuis, C.J.; Novell, A.; Escoffre, J.M.; Patat, F.; Bouakaz, A.; Perrotin, F. New insights into uteroplacental perfusion: Quantitative analysis using Doppler and contrast-enhanced ultrasound imaging. Placenta 2013, 34, 424–431. [Google Scholar] [CrossRef] [PubMed]
- Hua, X.; Zhu, L.P.; Li, R.; Zhong, H.; Xue, Y.F.; Chen, Z.H. Effects of diagnostic contrast-enhanced ultrasound on permeability of placental barrier: A primary study. Placenta 2009, 30, 780–784. [Google Scholar] [CrossRef] [PubMed]
- Orlandi, R.; Vallesi, E.; Boiti, C.; Polisca, A.; Troisi, A.; Righi, C.; Bargellini, P. Contrast-enhanced ultrasonography of maternal and fetal blood flows in pregnant bitches. Theriogenology 2019, 125, 129–134. [Google Scholar] [CrossRef] [PubMed]
- Wu, Y.; Zhou, L.; Chen, L.; Zhou, Q.; Zeng, T. Efficacy of contrast-enhanced ultrasound for diagnosis of cesarean scar pregnancy type. Medicine (Baltimore) 2019, 98, e17741. [Google Scholar] [CrossRef]
- Li, H.; Liu, X.; Xie, L.; Ye, Z.; Gan, L. Diagnostic accuracy and cut-off of contrast-enhanced ultrasound in caesarean scar pregnancy. Eur. J. Obstet. Gynecol. Reprod. Biol. 2020, 246, 117–122. [Google Scholar] [CrossRef]
- Roberts, V.H.J.; Morgan, T.K.; Bednarek, P.; Morita, M.; Burton, G.J.; Lo, J.O.; Frias, A.E. Early first trimester uteroplacental flow and the progressive disintegration of spiral artery plugs: New insights from contrast-enhanced ultrasound and tissue histopathology. Hum. Reprod. 2017, 32, 2382–2393. [Google Scholar] [CrossRef]
- Lienert, A.R.; Nicol, D. Renal angiomyolipoma. BJU Int. 2012, 110 (Suppl 4), 25–27. [Google Scholar] [CrossRef]
- Browne, R.F.; Zwirewich, C.; Torreggiani, W.C. Imaging of urinary tract infection in the adult. Eur. Radiol. 2004, 14 (Suppl 3), E168–E183. [Google Scholar] [CrossRef]
- Li, Z.; Zhang, P.; Shen, H.; Ding, B.; Wang, H.; Li, J.; Shen, Y. Clinical value of contrast-enhanced ultrasound for the differential diagnosis of specific subtypes of uterine leiomyomas. J. Obstet. Gynaecol. Res. 2020. [Google Scholar] [CrossRef]
- Zhang, H.P.; Bai, M.; Gu, J.Y.; He, Y.Q.; Qiao, X.H.; Du, L.F. Value of contrast-enhanced ultrasound in the differential diagnosis of gallbladder lesion. World J. Gastroenterol. 2018, 24, 744–751. [Google Scholar] [CrossRef] [PubMed]
- Rafailidis, V.; Fang, C.; Yusuf, G.T.; Huang, D.Y.; Sidhu, P.S. Contrast-enhanced ultrasound (CEUS) of the abdominal vasculature. Abdom. Radiol. (NY) 2018, 43, 934–947. [Google Scholar] [CrossRef] [PubMed]





| Patient | Age (years) | Pregnancy (weeks) | Condition | Contrast-Enhanced Ultrasound (CEUS) | Magnetic Resonance Imaging (MRI) |
|---|---|---|---|---|---|
| #1 | 30 | 27 | Renal angiomyolipoma | B-mode: hypoechoic, 14 cm Doppler: no hypervascularization CEUS: rapid early contrast enhancement, slight late wash-out | T1-hypointense, T2-hypointense, restricted diffusion |
| #2 | 37 | 21 | Pyelonephritis, ruled out the presence of an abscess | B-mode: no abnormalities Doppler: no abnormalities CEUS: homogeneous contrast enhancement, no abscess | homogeneous, restricted diffusion, perirenal fluid collections |
| #3 | 34 | 25 | Necrotic uterine fibroid | B-mode: inhomogeneous, hypo-/hyperechoic, 15 cm Doppler: no hypervascularization CEUS: slight contrast enhancement | inhomogeneous, predominantly T1-hypointense, T2-hypointense |
| #4 | 33 | 17 | Gallbladder polyp | B-mode: hyperechoic, 0.6 cm Doppler: no hypervascularization CEUS: homogeneous, late contrast enhancement | - |
| #5 | 34 | 14 | Superior mesenteric vein thrombosis | B-mode: no abnormalities Doppler: no Doppler signal in the superior mesenteric vein CEUS: only slightly marginal microbubble distribution in the superior mesenteric vein | small superior mesenteric vein thrombosis |
Publisher’s Note: MDPI stays neutral with regard to jurisdictional claims in published maps and institutional affiliations. |
© 2020 by the authors. Licensee MDPI, Basel, Switzerland. This article is an open access article distributed under the terms and conditions of the Creative Commons Attribution (CC BY) license (http://creativecommons.org/licenses/by/4.0/).
Share and Cite
Geyer, T.; Rübenthaler, J.; Froelich, M.F.; Sabel, L.; Marschner, C.; Schwarze, V.; Clevert, D.-A. Contrast-Enhanced Ultrasound for Assessing Abdominal Conditions in Pregnancy. Medicina 2020, 56, 675. https://doi.org/10.3390/medicina56120675
Geyer T, Rübenthaler J, Froelich MF, Sabel L, Marschner C, Schwarze V, Clevert D-A. Contrast-Enhanced Ultrasound for Assessing Abdominal Conditions in Pregnancy. Medicina. 2020; 56(12):675. https://doi.org/10.3390/medicina56120675
Chicago/Turabian StyleGeyer, Thomas, Johannes Rübenthaler, Matthias F. Froelich, Laura Sabel, Constantin Marschner, Vincent Schwarze, and Dirk-André Clevert. 2020. "Contrast-Enhanced Ultrasound for Assessing Abdominal Conditions in Pregnancy" Medicina 56, no. 12: 675. https://doi.org/10.3390/medicina56120675
APA StyleGeyer, T., Rübenthaler, J., Froelich, M. F., Sabel, L., Marschner, C., Schwarze, V., & Clevert, D.-A. (2020). Contrast-Enhanced Ultrasound for Assessing Abdominal Conditions in Pregnancy. Medicina, 56(12), 675. https://doi.org/10.3390/medicina56120675

