Abstract
Background: Cardiovascular diseases, particularly hypertension, and gastrointestinal disorders represent major public health concerns in Mexico. Although a range of pharmacological treatments exists, their use is associated with adverse effects, highlighting the need for safer therapeutic alternatives. Species of the Ipomoea genus are widely employed in Mexican traditional medicine (MTM) for their purgative, anti-inflammatory, analgesic, and sedative properties. Particularly, Ipomoea purpurea is traditionally used as a diuretic and purgative; its leaves and stems are applied topically for their anti-inflammatory and soothing effects. This study aimed to determine their phytochemical composition and to evaluate the associated vasodilatory activity, modulatory effects on intestinal smooth-muscle motility, and toxicological effects of the methanolic (ME-Ip) and dichloromethane (DE-Ip) extracts obtained from the aerial parts of I. purpurea. Methods: The phytochemical composition of the ME-Ip and DE-Ip extracts of I. purpurea was assessed using UPLC-QTOF-MS and GC-MS, respectively. For both extracts, the vasodilatory activity and effects on intestinal smooth muscle were investigated using ex vivo models incorporating isolated rat aorta and ileum, respectively, whereas acute toxicity was evaluated in vivo. Results: Phytochemical analysis revealed, for the first time, the presence of two glycosylated flavonoids within the Ipomoea genus; likewise, constituents with potential anti-inflammatory activity were detected. The identified compounds in I. purpurea extracts may contribute to the vasodilatory, biphasic, and purgative effects observed in this species. The EC50 values for the vasodilatory effects of the methanolic (ME-Ip) and dichloromethane (DE-Ip) extracts were 0.80 and 0.72 mg/mL, respectively. In the initial phase of the experiments on isolated ileal tissues, both extracts induced a spasmodic (contractile) effect on basal motility, with ME-Ip exhibiting higher potency (EC50 = 27.11 μg/mL) compared to DE-Ip (EC50 = 1765 μg/mL). In contrast, during the final phase of the experiments, both extracts demonstrated a spasmolytic effect, with EC50 values of 0.43 mg/mL for ME-Ip and 0.34 mg/mL for DE-Ip. In addition, both extracts exhibited low levels of acute toxicity. Conclusions: The phytochemical profile and the vasodilatory and biphasic effects of the I. purpurea extracts explain, in part, the use of I. purpurea in MTM. The absence of acute toxic effects constitutes a preliminary step in the toxicological safety assessment of I. purpurea extracts and demonstrates their potential for the development of phytopharmaceutic agents as adjuvants for the treatment of cardiovascular and gastrointestinal disorders.
1. Introduction
In Mexico, the numerous health challenges demand a coordinated response from the health sector [1]. These challenges largely stem from socioeconomic inequalities, which manifest in disparate health outcomes among different social strata. For instance, marginalized and indigenous populations experience disproportionately high rates of morbidity associated with unsafe water supplies, infectious gastrointestinal diseases, respiratory illnesses, and other conditions [2].
In contrast, according to the National Institute of Public Health, the Mexican population has undergone a significant nutritional transition over recent decades, characterized by a shift in dietary patterns and a decline in physical activity. These changes have contributed to a rise in chronic non-communicable diseases (NCDs), including obesity, hypertension, and diabetes—conditions collectively responsible for approximately 41 million deaths annually worldwide [3].
Arterial hypertension (AH) is a leading risk factor for the development of cardiovascular diseases. In Mexico, an estimated 30 million individuals are affected by AH, which constitutes the primary cause of mortality in the country, accounting for approximately 50,000 deaths annually [4,5]. Management strategies for AH typically involve the administration of vasodilator drugs, such as calcium-channel blockers, nitrovasodilators, potassium channel activators, and α1-adrenergic blockers [6]. However, these medications are often associated with adverse effects—including tachyarrhythmias and fluid retention—as well as the development of pharmacological tolerance. As a result, they are frequently prescribed in combination with β-blockers and diuretics to mitigate these side effects [7]. However, polypharmacy contributes to poor patient adherence to treatment regimens [8].
Gastrointestinal diseases (GDs) also pose a major public health concern in Mexico. They are the leading cause of death among children, the elderly, and immunocompromised individuals, and represent the most common reason for seeking medical care [9,10]. GDs are multifactorial in origin, and their pharmacological management primarily targets symptomatic relief of dyspepsia, dysphagia, nausea, vomiting, heartburn, aerophagia, constipation, intestinal spasms, and diarrhea [11]. Intestinal spasms—characterized by painful and involuntary contractions of the intestinal musculature—are commonly treated with antispasmodic agents, including anticholinergics, calcium-channel blockers, and direct smooth-muscle relaxants [12]. Nevertheless, these drugs can cause adverse effects such as urinary retention, constipation, drowsiness, and tachycardia, which limits their use in vulnerable populations such as children, the elderly, and pregnant women [13].
Moreover, both hypertension and gastrointestinal disorders have been implicated in the initiation of inflammatory processes—an immune response that can lead to tissue damage in affected organs [14,15]. While pharmacological agents remain the first-line treatments for AH and GD symptoms, their use is often associated with significant limitations. Consequently, medicinal plants are increasingly considered viable therapeutic alternatives [16], especially in developing countries, in which approximately 90% of the population relies on traditional medicine [17].
Mexico is recognized for its rich floristic diversity; notably, though, only around 5% of the endemic plant species used in traditional medicine have undergone chemical and pharmacological validation [18,19]. The Convolvulaceae family, which includes about 50 genera and 1650 species, is well represented in Mexico, with approximately 313 species documented. Particularly, the genera Ipomoea, Convolvulus, Exogonium, and Operculina are of particular importance for their medicinal properties [20,21].
Among these, the genus Ipomoea has received attention for its potential pharmacological activities. Aqueous and organic extracts from the aerial parts and roots of various Ipomoea species, including I. hederacea, I. pes-caprae, I. tyrianthina, I. acanthocarpa, I. stans, and I. imperati, have been evaluated in vitro and in vivo for vasodilatory, antihypertensive, and/or antispasmodic effects. Several studies have also suggested possible mechanisms of action underlying these pharmacological properties [22,23,24,25,26].
In various traditional medical systems across the Americas, Asia, and Africa, different parts of Ipomoea species such as I. imperati, I. pes-caprae, I. hederacea, I. asarifolia, I. carnea, I. involucrata, I. stolonifera, I. obscura, and I. batatas are used to treat inflammatory conditions, including rheumatism, rheumatoid arthritis, dermatitis, cancer, and type 2 diabetes mellitus [27,28]. In the case of Ipomoea purpurea, its seeds have been employed in ancestral rituals for their hallucinogenic properties, while infusions of its aerial parts are traditionally used as diuretics and purgatives. Poultices made from the leaves and stems are also applied for their soothing and anti-inflammatory effects on the skin [29,30]. Several Ipomoea species exhibit pharmacological activities attributed to phenolic acids, flavonoids, and resin glycosides. These compounds act via mechanisms such as calcium-channel blockade, nitric oxide (NO) modulation, and NF-κB inhibition, contributing to spasmolytic, vasorelaxant, antioxidant, and anti-inflammatory effects [23,31,32,33].
Ipomoea purpurea is a resilient species, capable of withstanding diverse climatic and soil conditions. However, it is considered an invasive agricultural weed, and its biomass is often discarded without being utilized [34,35]. Ipomoea purpurea, like other species of the Ipomoea genus, exhibits resistance to both chemical herbicides and biological control agents [23]. Consequently, the utilization of this species provides an opportunity to render its regular harvesting economically viable, thereby contributing to its population management. In this context, various efforts have been made to exploit Ipomoea species as sources of volatile fatty acids to generate clean energy [36], biosorbents [37], chemical compounds [38], and pharmaceutical agents [39], among others. Despite the traditional uses of the plant, pharmacological research on I. purpurea remains limited, with existing studies primarily focused on its phytochemical profile and antioxidant capacity, and the anticancer properties of its leaf extracts [40,41].
Therefore, the present study aims to characterize the phytochemical composition and assess the vasodilatory and gastrointestinal smooth-muscle effects, as well as the acute toxicity, of methanolic and dichloromethane extracts derived from the aerial parts of Ipomoea purpurea, using ex vivo and in vivo models. We hypothesize that these extracts exhibit significant pharmacological effects, namely vasodilatory activity and alterations in intestinal motility, without inducing acute toxicity. These effects are presumed to be mediated by the presence of bioactive secondary metabolites such as bicyclic sesquiterpenes, norisoprenoids, triterpenes, diterpenes, steroidal glycosides, phenylpropanoids, flavonoid glycosides, and polyphenols.
2. Results and Discussion
2.1. Phytochemical Tests of Methanolic Extract (ME-Ip) and Dichloromethane Extract (DE-Ip) of Aerial Parts of Ipomoea purpurea for the Presence of Secondary Metabolites
Table 1 shows the qualitative analysis of secondary metabolites detected in the methanolic (ME-Ip) and dichloromethane (DE-Ip) extracts of the aerial parts of Ipomoea purpurea. These results are consistent with those obtained by Beheshti et al. [41], who conducted the most recent phytochemical study of the same species, using specimens collected in Iran. These authors used ethyl alcohol as the extraction solvent and identified flavonoids, steroids, and tannins. Likewise, these authors studied the chloroformic extract of I. purpurea and detected the presence of flavonoids and steroids. Unlike the previously cited study, the analysis of the secondary metabolites of ME-Ip and DE-Ip presented in Table 1 was complemented by additional analysis of UPLC-MS and CG-MSP, the results of which are shown later, in Section 2.3 and 2.4, respectively.
Table 1.
Phytochemical tests of methanolic extract (ME-Ip) and dichloromethane extract (DE-Ip) of Ipomoea purpurea for the presence of secondary metabolites.
2.2. Total Phenolic Compounds and Antioxidant Capacity of Methanolic Extract of Aerial Parts of Ipomoea purpurea (ME-Ip)
Given the importance of phenolic compounds and flavonoids in the prevention of cardiovascular diseases [42], the content levels of these bioactive compounds were quantified in the methanolic extract of Ipomoea purpurea (ME-Ip). The results are shown in Table 2, and they indicate higher concentrations than those previously reported by Beheshti et al. [41], who documented values of 28.78 ± 0.1 mg GAE (gallic acid equivalents)/g dry extract for total phenolics and 19.9 ± 0.3 mg CAE (catechin equivalents)/g dry extract for flavonoids. These discrepancies may be attributed to variations in environmental and edaphic conditions affecting the biosynthesis of secondary metabolites [43].
Table 2.
Total phenolic content and antioxidant capacity of methanolic extract of Ipomoea purpurea (ME-Ip).
Regarding antioxidant capacity, I. purpurea demonstrated lower activity compared to aqueous extracts of Ipomoea batatas (25.16 ± 0.13 μmol Trolox/g dry extract; 68.63 ± 0.34% inhibition) and Camellia sinensis leaves (25.63 ± 0.58 μmol Trolox/g dry extract; 69.88 ± 1.55% inhibition), both recognized for their potent antioxidant profiles [44]. Nevertheless, I. purpurea exhibited a higher phenolic content than other species within the genus, such as I. mauritiana, which has been reported to contain 8.2 ± 0.16 mg/g dry extract [45]. Interestingly, the methanolic extract of I. purpurea leaves has demonstrated antiproliferative and pro-apoptotic effects in lung and breast cancer cell lines, effects that have been associated with its flavonoid and phenolic compound contents [40,41].
2.3. UPLC-QTOF-MS Analysis of Methanolic Extract of Aerial Parts of Ipomoea purpurea (ME-Ip)
The chemical profile of the methanolic extract of Ipomoea purpurea (ME-Ip) via UPLC-QTOF-MS is shown in Table 3. The analysis revealed a metabolite composition predominantly comprising phenolic acids and flavonoids, many of which have been previously documented in other species of the Ipomoea genus. Compounds such as caffeic acid, chlorogenic acid, ferulic acid, 3,4-di-O-caffeoylquinic acid, N-cis-feruloylthiamine, (−)-arctigenin, and betulinic acid have been identified in species including I. batatas, I. muricata, I. aquatica, I. cairica, and I. pes-caprae, and are known to exhibit a broad spectrum of pharmacological properties, including antioxidant, anti-inflammatory, hepatoprotective, and anticancer activities [46,47,48,49]. Categorically speaking, the phenolic acids detected in the extract are recognized for their capacity to scavenge free radicals and modulate the pro-inflammatory signaling pathways such as NF-κB and COX-2. Likewise, lignans like arctigenin, and triterpenes such as betulinic acid, have demonstrated antiviral and pro-apoptotic effects in various cellular models [47,48,49,50].
Table 3.
Identification of compounds in methanolic extract of aerial parts of Ipomoea purpurea (ME-Ip), by UPLC-MS analysis.
Furthermore, the UPLC-QTOF-MS analysis (Table 3) identified metabolites that, to the best of our knowledge, have not been previously reported in the Ipomoea genus. These include apigenin-7-glucuronide and diosmetin 7-O-β-D-glucopyranoside (flavonoids well-known for their anti-inflammatory, anxiolytic, and neuroprotective properties). These compounds in I. purpurea suggest a potential species-specific biosynthetic pathway or an adaptive response to distinct environmental factors, such as climatic conditions or soil composition [46].
Alkaloids were not detected in the UPLC-QTOF-MS analysis; this result is consistent with both the absence of these compounds in the phytochemical screening of ME-Ip (Table 1) and with indications in the prior literature that ergoline alkaloids, such as lysergic acid and its derivatives, which are characteristic of the Ipomoea genus, are predominantly confined to the seeds of I. purpurea, and not found in its aerial parts [29,30]. This finding reinforces the hypothesis that the observed biological activities of the extract are likely attributable to its phenolic and flavonoid constituents rather than to ergoline alkaloids. Fragmentation patterns used to confirm the identity of the compounds detected by UPLC-QTOF-MS analysis are provided in the Supplementary Material (Table S1).
2.4. GC-MS Analysis of Dichloromethane Extract of Aerial Parts of Ipomoea purpurea (DE-Ip)
Table 4 shows the phytochemical profile of the dichloromethane extract of Ipomoea purpurea (DE-Ip), indicating the presence of 49 volatile metabolites.
Table 4.
Identification of compounds in dichloromethane extract of aerial parts of Ipomoea purpurea (DE-Ip), by GC-MS analysis.
The most recent GC-MS-based report on the chemical composition of I. purpurea was published by Beheshti et al. [41], focusing on a species native to Iran. In that study, 14 metabolites were identified, predominantly consisting of alkanes and alcohols. Additionally, Ono et al. [51] reported the occurrence of n-octanoic acid, operculinic acid E, methyl n-octanoate, and methyl n-decanoate, which are derived from the hydrolysis of the ether-soluble resinous compound (Jalapino) characteristic of the Convolvulaceae family.
As shown in Table 4, the major chemical compounds identified include carboxylic acids (11), terpenoids (11), esters (8), and alkanes (8). Among these, n-octanoic acid was detected with a relative abundance of 1.42%. This medium-chain fatty acid is recognized for its antimicrobial, antifungal, and anti-inflammatory activities [52]. In addition, this compound has been previously reported in other Ipomoea species and in various medicinal plants, where its presence is considered to contribute significantly to the biological activity of plant-derived extracts [53,54].
The most abundant compounds identified in the DE-Ip were tetracosane (12.75%) and heneicosane (8.68%); both compounds are long-chain alkanes associated with anti-inflammatory, analgesic, and antipyretic properties [53]. The third-most-abundant metabolite was n-hexadecanoic acid (7.80%), a saturated fatty acid widely known for its anti-inflammatory, antioxidant, and antimicrobial effects [55,56].
To date, studies focused on the chemical composition of extracts from the aerial parts of I. purpurea are scarce. Variations in metabolite profiles are largely influenced by factors such as the extraction methodology, solvent polarity, and the plant’s geographical origin, which encompasses specific environmental conditions [41,43]. For the most part, several metabolites identified in the DE-Ip extract, including caryophyllene, n-hexadecanoic acid, and phytol, have also been previously reported in other Ipomoea species [25,57]. These findings are consistent with the results of the qualitative phytochemical screening of DE-Ip (Table 1), which detected terpenoids. Their presence aligns with their chemical nature, as terpenoids exhibit greater solubility in non-polar solvents such as dichloromethane, compared to polar solvents like methanol.
2.5. Vasodilator Effects of ME-Ip and DE-Ip on Isolated Rat Aorta Assay
The dichloromethane (DE-Ip) and methanolic (ME-Ip) extracts obtained from the aerial parts of Ipomoea purpurea induced a concentration-dependent relaxation of isolated aortic rings. Figure 1 illustrates the concentration–response curves ass determined for both extracts, as well as for acetylcholine (ACh), which served as a vasodilator compound. The ME-Ip extract exhibited an EC50 of 802.3 ± 62.60 µg/mL, whereas the DE-Ip extract displayed an EC50 of 718.9 ± 53.90 µg/mL. Both values indicate an approximately 10-fold lower potency in comparison to ACh (EC50 = 87.01 ± 1.85 µg/mL). The EC50 is a standard pharmacological parameter used to quantify the potency of bioactive compounds; lower EC50 values correspond to higher potency [58]. Consequently, the observed EC50 values suggest that both extracts are substantially less potent than ACh, a compound frequently used as a reference in smooth-muscle studies due to its well-characterized vasorelaxant effect, mediated primarily through M3 muscarinic receptors [59]. Statistically significant differences in EC50 values were observed for both ME-Ip and DE-Ip compared to ACh (p = 0.0111 and p = 0.0073, respectively; p < 0.05). However, no significant difference was found between the EC50 values of the two extracts (p = 0.3342; p > 0.05). Regarding efficacy, the ME-Ip extract achieved an Emax = 69.40 ± 2.61%, while the DE-Ip extract reached an Emax = 60.8 ± 2.14%. Statistically significant differences in Emax values were observed between ME-Ip and DE-Ip (p = 0.005; p < 0.05), as well as between DE-Ip and ACh (Emax = 68.81 ± 1.3%) (p = 0.011; p < 0.05). In contrast, no significant difference was found in Emax between ME-Ip and ACh (p = 0.788; p > 0.05).
Figure 1.
Concentration–response curves showing the vasodilatory effects of the methanolic (ME-Ip) and dichloromethane (DE-Ip) extracts from the aerial parts of Ipomoea purpurea, as well as those of acetylcholine (ACh), on isolated rat aortic rings. Data are presented as mean ± SEM (n = 6 per group). Statistically significant differences in EC50 values were observed for both ME-Ip and DE-Ip when compared to ACh (p < 0.05). No significant difference was found between ME-Ip and DE-Ip (p > 0.05). Significant differences were observed between Emax of ME-Ip and DE-Ip, and between Emax of DE-Ip and ACh (p < 0.05), no significant difference was found between Emax of ME-Ip and ACh (p > 0.05).
Several metabolites identified by UPLC-QTOF-MS, such as caffeic acid, astragalin, betulinic acid, chlorogenic acid, ferulic acid, and arctigenin, as well as compounds detected via GC-MS, including caryophyllene, phytol, and squalene, have previously demonstrated vasodilatory activity in experimental models involving isolated aortic tissue [60,61,62,63,64,65,66,67,68]. Nonetheless, although these compounds were detected in the tested extracts, their concentrations may be insufficient to elicit a vasodilatory response comparable to that of acetylcholine. Therefore, further studies are necessary to elucidate additional mechanisms that contribute to the observed vasodilatory activity. These mechanisms could include angiotensin-converting enzyme (ACE) inhibition or diuretic effects [60,61,62,63,64,65,66,67,68], especially considering that I. purpurea has been traditionally used as a diuretic agent, as documented in various herbal compilations [29,30].
The vasodilatory effect of carbachol, a well-established cholinergic agonist that primarily acts on M3 muscarinic receptors, has been reported to induce arterial smooth-muscle vasodilation with an EC50 = 0.031 ± 0.0029 µg/mL and an Emax = 86.8 ± 3.6%, under ex vivo conditions comparable to those used in the present study [69]. Comparing these values with the EC50 = 802.3 ± 62.60 µg/mL for ME-Ip and EC50 = 718.9 ± 53.90 µg/mL for DE-Ip, it is evident that both I. purpurea extracts exhibit a lower potency than that of carbachol.
Definitely, pharmacokinetic studies are critical components in the evaluation of the pharmacological effects of plant extracts and their active constituents, as limited absorption can significantly hinder both their therapeutic application and the development of phytopharmaceuticals. In this context, caffeic acid—identified as one of the most abundant phenolic compounds in ME-Ip—has been reported to exhibit poor oral bioavailability (14.7%) in Sprague Dawley rats [70]. Similarly, in a study by Godugu et al. [71], oral administration of betulinic acid, also detected in ME-Ip (Table 3), to Sprague Dawley rats resulted in a maximum plasma concentration (Cmax) of 1.16 µg/mL after 2.36 h of exposure. This finding highlights the extremely low bioavailability of this pentacyclic triterpene, which has been attributed to its poor aqueous solubility (~0.02 µg/mL) [72]. Consequently, numerous studies have focused on the development of advanced drug delivery systems aimed at improving the bioavailability and stability of such bioactive compounds, while minimizing potential side effects [73].
2.6. Spasmodic and Spasmolytic Effects of ME-Ip and DE-Ip on Isolated Rat Ileum Assay
The effects of the methanolic (ME-Ip) and dichloromethane (DE-Ip) extracts of Ipomoea purpurea aerial parts on the spontaneous motility of isolated rat ileum are presented in Figure 2. In the concentration–response curves (Figure 2A), both extracts exhibited a spasmodic (contractile) effect on the basal motility of ileal tissue, with ME-Ip demonstrating greater potency (EC50 = 27.11 ± 1.44 μg/mL) and efficacy (Emax = 85.33 ± 4.81%) compared to DE-Ip (EC50 = 176.0 ± 2.25 μg/mL; Emax = 75.71 ± 2.98%). Statistically significant differences were observed between the EC50 values (p < 0.05; p = 0.0001) and Emax values (p < 0.05; p = 0.0126). However, approximately 35 min after administration, a progressive decrease in both the amplitude and frequency of peristaltic contractions was observed, along with a sustained reduction in the initial contractile force (~1 g) for both extracts (Figure 2B). This inhibitory effect persisted up to 60 min of recording. Under these conditions, ME-Ip showed an EC50 = 437.1 ± 11.44 μg/mL and an Emax = 52.5 ± 5.04%, whereas DE-Ip exhibited an EC50 = 339.5 ± 10.10 μg/mL and an Emax = 85.32 ± 7.73%. Although no statistically significant differences were found between the EC50 values (p > 0.05; p = 0.5365), the difference in Emax values was statistically significant (p < 0.05; p = 0.0081).
Figure 2.
(A) Concentration–response curves of the contractile effects of the methanolic (ME-Ip) and dichloromethane (DE-Ip) extracts from the aerial parts of I. purpurea on isolated rat ileum; contraction is expressed as the percentage of the contractile response induced by acetylcholine (Ach, 10 µM). Data are presented as mean ± SEM (n = 6), No statistically significant differences were observed (p value > 0.05, p value = 0.333). (B) Concentration–response curves showing the relaxant effects of ME-Ip and DE-Ip on isolated rat ileum preincubated for 30 min; relaxation is expressed as a percentage of the maximal effect induced by papaverine (Papv, 30 μM). Data are presented as mean ± SEM (n = 6); no statistically significant differences were observed (p value > 0.05, p value = 0.5365). (C) Representative tracing of smooth-muscle activity in isolated rat ileum, recorded over a 60 min period following administration of ME-Ip (1000 μg/mL). (D) Representative tracing of smooth-muscle activity in isolated rat ileum recorded over a 60 min period, following the administration of DE-Ip (1000 μg/mL). The inserts in Figure 2C,D confirm the functional viability of the tissue after 60 min of experimentation. (E) Representative response to acetylcholine (ACh, 10 μM) in isolated rat ileum. (F) Representative response to papaverine (Papv, 30 μM) in isolated rat ileum.
Based on the above findings, it can be inferred that both extracts exhibit a biphasic effect (Figure 2C,D), characterized by an initial excitatory phase resembling that induced by acetylcholine (Figure 2E), followed by a sustained inhibitory phase consistent with a spasmolytic effect similar to that of papaverine (Figure 2F). At the conclusion of both experimental protocols, prior to removing the tissue from the organ bath, a wash with Krebs solution was performed to eliminate residual extracts. Subsequently, acetylcholine (10 μM) was added to confirm the functional viability of the tissue, which was verified by the presence of characteristic contractile responses to this cholinergic agonist (Figure 2C, insert; Figure 2D, insert). This biphasic response may be attributed to the complex phytochemical composition of the extracts, which likely contain multiple metabolites with opposing mechanisms of action. Certain constituents may activate muscarinic receptors, thereby promoting contraction, while others may interfere with calcium influx or modulate ion channels, resulting in smooth-muscle relaxation. The coexistence of such metabolites within the same extract could explain the temporal transition between excitatory and inhibitory phases.
Among the compounds identified in the methanolic extract (ME-Ip) by UPLC-QTOF-MS are caffeic acid (3,4-dihydroxycinnamic acid), which has been shown to exert inhibitory effects on muscarinic receptors in the ileum and may also contribute to L-type calcium-channel blockade [74], and chlorogenic acid, which has demonstrated antispasmodic activity [75]. In addition, apigenin-7-O-glucoside and luteolin have been reported to inhibit KCl-induced contractions in rat ileum in a concentration-dependent manner [76]. The compound (−)-arctigenin has also been shown to relax intestinal smooth muscle, potentially through L-type calcium-channel inhibition [77]. Although the remaining metabolites detected by UPLC-QTOF-MS have not been specifically evaluated in isolated intestinal tissues, it is noteworthy that several species within the Convolvulaceae family are known to contain glycosidic resins with spasmogenic properties. For example, tricolorin A, a glycolipid isolated from Ipomoea tricolor, has been reported to induce spontaneous contractions in guinea pig ileum [32].
Among the metabolites identified by GC-MS analysis, heptadecanoic acid and stearic acid have been reported to induce contractions in colonic smooth muscle in rats and to increase the frequency of bowel movements [78]. Additionally, decanoic acid has been shown to dose-dependently induce muscle contraction, as characterized by contractions in isolated guinea pig duodenum and jejunum tissues [79]. Conversely, the essential oil of Pterodon polygalaeflorus, the main constituent of which is β-caryophyllene, has demonstrated antispasmodic activity in isolated rat ileum preparations [80]. Molecular docking studies have further suggested that γ-sitosterol possesses high binding affinity for M3 muscarinic receptors, indicating a potential antidiarrheal effect [81]. Moreover, phytol—a metabolite also isolated from Ipomoea pes-caprae—has exhibited antispasmodic properties in vascular smooth-muscle models [57].
Biphasic pharmacological responses, as observed in this study, have also been documented in other plant species [82,83,84,85,86]. To further substantiate the biphasic behavior of the extracts—characterized by an initial excitatory phase followed by a relaxation phase, in recordings from isolated rat ileum—additional pharmacological assays were conducted. These assays involved evaluating contractile activity in the presence of atropine (Atro, 1 μM), a selective M3 muscarinic receptor antagonist, as a control. To confirm the spasmolytic activity, both extracts were also tested on ileal tissue precontracted with KCl (38 mM). The results of these assays are presented below.
The co-administration of atropine with either ME-Ip or DE-Ip resulted in statistically significant reductions (p = 0.0049 and p = 0.000001, respectively) in contractility compared to treatment with the respective extracts alone. The pre-treatment with atropine significantly attenuated the contractile responses elicited by ME-Ip and DE-Ip, suggesting a potential involvement of cholinergic pathways in the mechanisms of action of the two extracts (Figure 3). These findings support the hypothesis that the observed contractile activity of ME-Ip and DE-Ip may be mediated, at least in part, through modulation of the cholinergic system [87].
Figure 3.
Contractile effects of ME-Ip and DE-Ip (1000 μg/mL) on the spontaneous activity of isolated rat ileum. Each bar represents the percentage of contractile response to the extract relative to that obtained with acetylcholine (Ach, 10 µM). ME-Ip: methanolic extract of aerial parts of I. purpurea. DE-Ip: dichloromethane extract of aerial parts of I. purpurea. Bars are means ± SEM, based on 3–6 experiments. Significant difference, ** p < 0.01, *** p < 0.001. Atropine (Atro, 1 μM) was used as spasmolytic control.
Additionally, the potential spasmolytic activity of the extracts was assessed using KCl-induced contractions, a model that activates voltage-dependent Ca2+ channels [76]. As shown in Figure 4, DE-Ip exhibited a significantly greater relaxant effect than ME-Ip (p < 0.05), indicating a more pronounced antispasmodic potential under the experimental conditions employed. Furthermore, the relaxant effect of ME-Ip was significantly lower (p < 0.05) than that of papaverine (a reference compound with well-established smooth-muscle relaxant properties), suggesting a limited spasmolytic capacity for ME-Ip. In contrast, DE-Ip demonstrated no statistically significant difference (p < 0.05) in relaxant activity compared to papaverine, indicating that its antispasmodic effect may be comparable to that of the positive control, at least within the evaluated concentrations and model system [88].
Figure 4.
Relaxant effects of ME-Ip and DE-Ip (1000 μg/mL) on KCl (32 mM)-induced contractions. Each bar represents the percentage of relaxant response to the extract relative to KCl-induced contractions. The bars represent the mean ± SEM of 6 experiments. Papaverine (Papv, 30 µM) was used as spasmolytic control. ME-Ip: methanolic extract of aerial parts of I. purpurea. DE-Ip: dichloromethane extract of aerial parts of I. purpurea. * Significant differences (p < 0.05).
By comparing the antispasmodic effects of ME-Ip (EC50 = 0.44 mg/mL) and DE-Ip (EC50 = 0.34 mg/mL) with the spasmolytic activity reported for aqueous-methanolic extracts of Matricaria chamomilla (EC50 = 0.89 mg/mL) [89] and Mentha longifolia (EC50 = 1.80 mg/mL) [90] on spontaneous contractions of isolated rabbit jejunum—two plant species widely recognized for their antispasmodic properties—a comparison of relative potency reveals that ME-Ip is approximately 2- and 4-fold more potent than M. chamomilla and M. longifolia extracts, respectively. Likewise, DE-Ip exhibits a potency approximately 3- and 5-fold greater than that of M. chamomilla and M. longifolia, respectively. However, it is important to note that, according to the aforementioned studies, the aqueous-methanolic extracts of M. chamomilla and M. longifolia inhibited spontaneous contractions of isolated rabbit jejunum by approximately 100%, whereas ME-Ip and DE-Ip achieved maximum inhibitory effects (Emax) of only 52.5% and 85.32%, respectively. These findings indicate that, despite the higher potency observed for the I. purpurea extracts, the aqueous-methanolic extracts of M. chamomilla and M. longifolia are more effective than those of I. purpurea. On the other hand, hyoscine butylbromide (also known as scopolamine butylbromide) is an antispasmodic agent widely used in the treatment of gastrointestinal spasms [91]. In isolated segments of guinea pig ileum, the application of 4–6 µg/mL to the serosal side of the tissue was sufficient to abolish peristaltic activity [92]. Based on this, the relative potency values of ME-Ip and DE-Ip were estimated to be approximately 0.014 and 0.018, respectively, when compared to scopolamine butylbromide. Accordingly, scopolamine butylbromide is between 56- and 73-fold more potent than the ME-Ip and DE-Ip extracts, respectively.
In the case of Ipomoea purpurea, the species has been previously reported to facilitate bowel movements (suggesting purgative activity), while also exhibiting analgesic effects [29,30]. Osmotic laxatives function by retaining water within the intestinal lumen through non-absorbable ions or molecules, whereas stimulant laxatives promote peristalsis or increase colonic secretion of water and electrolytes. For instance, species of the Senna genus exert a laxative effect primarily due to the presence of sennosides A and B [93,94,95,96]. Gastrointestinal disorders characterized by symptoms such as constipation and abdominal pain are frequently managed with laxative agents, reducing patient discomfort.
Mearin et al. [93] developed a Clinical Practice Guideline for Irritable Bowel Syndrome with Constipation and Functional Constipation in Adults, in which it is stated that while laxatives enhance intestinal motility, antispasmodics are employed to alleviate visceral pain [97]. Accordingly, the dual modulatory effect of I. purpurea extracts on intestinal smooth muscle (capable of both stimulating and relaxing activity), positions this plant species as a promising candidate for the development of phytopharmaceutical formulations proposed as adjunctive treatments for gastrointestinal disorders which combine constipation and abdominal discomfort [94,95].
2.7. Acute Oral Toxicity Study
The most commonly used methodologies for assessing acute toxicity are primarily aligned with the 3Rs principle (replacement, reduction, and refinement) of animal experimentation [98]. Regarding this, the Lorke method is based on the progressive evaluation of toxicity through the sequential administration of varying doses. This method comprises two distinct phases. In the first phase, the test extract is administered to three groups of animals (n = 3 per group) at ascending dose levels of 10, 100, and 1000 mg/kg. The animals are observed over a 24 h period for signs of toxicity or mortality. The second phase involves administering higher doses, selected according to the number of deaths observed, generally within the range identified as critical in phase one. These doses are administered to individual animals, one per dose, to improve the estimation of the median lethal dose (LD50), allowing preliminary information on the acute effects of a compound while minimizing animal use [99]. The LD50 values for ME-Ip and DE-Ip were greater than 5000 mg/kg (Table 5), indicating low levels of acute toxicity.
Table 5.
Summary of general observations and behavioral responses in mice administered ME-Ip and DE-Ip, in comparison with the control group, during the acute toxicity assessment.
In both phases of the study (Table 5), piloerection was observed in animals treated with ME-Ip or DE-Ip. This physiological response may be associated with activation of the sympathetic nervous system under conditions of stress or physiological imbalance, such as the early stages of dehydration [100]. A similar response was noted in the group treated with sennosides A and B, compounds commonly used as laxatives due to their ability to enhance intestinal motility by stimulating nerve endings in the intestinal mucosa [94,95]. The stool characteristics observed after administration of ME-Ip or DE-Ip, at all doses evaluated using the Lorke method, only lasted for the first 6 h post-administration. Nevertheless, animals treated with sennosides A and B maintained these fecal characteristics for up to 24 h afterward. This coincidence suggests that ME-Ip and DE-Ip extracts may induce similar but less intense effects, compared to sennosides [95,96,97].
In addition, it has been documented that sennosides A and B can cause abdominal pain and diarrhea, decrease colonic tone, and promote alteration of natural peristalsis and electrolyte imbalances, and some studies suggest that prolonged use can stimulate epithelial hyperplasia and potentially promote early neoplastic lesions. Hence, the search for new and better pharmacological alternatives for the management of gastrointestinal disorders continues [95].
The effects of ME-Ip and DE-Ip on stool characteristics correlate with the results of the ileum assay, in which contractions were evident after exposure of the tissue to different concentrations of both extracts (Figure 4). These contractions indicate a stimulating effect on intestinal musculature, which could accelerate intestinal transit and reduce water reabsorption time, resulting in softer or moister stools. This supports the hypothesis of a purgative effect of the extracts, suggesting a potential application as a phytotherapeutic agent for cases of constipation [96,97].
No statistically significant reductions in body weight (p > 0.05) were observed in any of the experimental groups throughout the study duration (Table 6). These findings suggest that treatment with ME-Ip and DE-Ip extracts did not adversely affect the animals’ overall health or metabolic status.
Table 6.
Average body weight gain (g) of mice treated with different doses of ME-Ip and DE-Ip, compared with control group, during the acute toxicity study.
2.8. Hematological Cell Profile and Biochemical Profile of Experimental Subjects Treated with the ME-Ip and DE-Ip
The hematological profiles of the experimental groups administered ME-Ip and DE-Ip revealed no evidence of cytopenias, significant alterations in red blood cell indices (p > 0.05), or morphological abnormalities in peripheral blood cells compared to the control group (Table 7). The absence of such changes indicates that ME-Ip and DE-Ip do not elicit acute hematopoietic toxicity.
Table 7.
Hematological results for red blood cell profile (including platelets) of mice treated at different doses of ME-Ip or DE-Ip during the acute toxicity study.
Within the white blood cell parameters, no statistically significant differences (p > 0.05) were observed between the experimental and control groups, except in the lymphocyte count (Table 8). Specifically, the group treated with ME-Ip at a dose of 1000 mg/kg exhibited a statistically significant increase (p value = 0.005, p < 0.05) in lymphocyte count compared to the control group. Nonetheless, the lymphocyte values remained within the physiological range reported for the CD-1 mouse strain, and no clinical signs of toxicity were observed. Furthermore, the leukocyte differential count did not reveal any abnormalities indicative of systemic toxicity [101]. These findings suggest that, under the conditions of the present study, the administration of ME-Ip and DE-Ip does not induce a systemic inflammatory response or acute hematological alterations.
Table 8.
Hematological results for the white blood cell differential profiles of mice treated at different doses of ME-Ip or DE-Ip during the acute toxicity study.
The biochemical profiles of the groups administered ME-Ip and DE-Ip showed no statistically significant differences (p > 0.05) compared to the control group (Table 9). Specifically, no elevations were observed in hepatic biomarkers, i.e., alanine aminotransferase (ALT) and aspartate aminotransferase (AST), or in renal function parameters, including urea and creatinine. These findings indicate that administration of ME-Ip and DE-Ip at a dose of 1000 mg/kg does not acutely compromise liver or kidney function. Typically, a toxic effect would be reflected by elevated levels of these biomarkers, which are indicative of hepatocellular injury or impaired glomerular filtration [102]. Moreover, no significant alterations were detected in serum cholesterol or total protein levels. Particularly, abnormal cholesterol levels may signal hepatic dysfunction, particularly disturbances in lipid metabolism, while a reduction in total protein concentration could suggest hepatic impairment or protein loss due to renal or gastrointestinal toxicity [103].
Table 9.
Biochemical profiles of mice treated at different doses of ME-Ip or DE-Ip during the acute toxicity study.
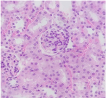
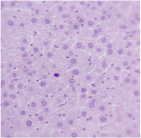
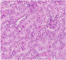
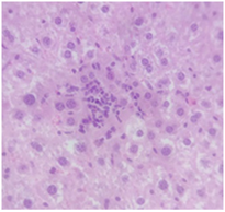
2.9. Histopathological Assessment of Experimental Subjects Treated with the ME-Ip or DE-Ip
Finally, histopathological analysis of liver and kidney tissues from experimental subjects administered ME-Ip or DE-Ip revealed no evidence of tissue lesions, necrosis, inflammatory infiltrates, or structural alterations when compared to the control group (Table 10). These findings confirm the structural and functional integrity of these primary target organs commonly assessed in acute toxicity studies [104,105,106].
Table 10.
Histopathology of kidney and liver of mice treated at different doses of ME-Ip and DE-Ip during acute toxicity study.
From a pharmacological point of view, the absence of significant alterations in hematological, biochemical, and histopathological parameters, along with the apparent tolerance to ME-Ip and DE-Ip even at high doses, supports the safety profile of Ipomoea purpurea as a potential candidate for phytopharmaceutical development. The lack of adverse effects on blood chemistry and key organ histology in the treated groups suggests that these extracts do not induce acute toxicity under the conditions of this study.
Nevertheless, it is presently necessary to conduct subacute and chronic toxicity assessments to evaluate the potential effects of prolonged exposure. These studies are essential to determine whether the extracts exhibit delayed or cumulative toxic effects that may not be detectable in an acute toxicity model.
To provide a concise overview of the principal findings, a summary table (Table 11) is presented below. This table highlights the key phytochemical analyses, pharmacological effects, and relevant toxicological outcomes of the evaluated extracts, thereby facilitating an integrated interpretation of the results discussed above.
Table 11.
Phytochemical, pharmacological, and toxicological evaluation of Ipomoea purpurea extracts.
3. Materials and Methods
3.1. Reagents
Methanol (Cat. No. 9093-3), dichloromethane (Cat. No. 9324-03), sodium bicarbonate (Cat. No. 3506-01), dibasic potassium phosphate (Cat. No. 3506-05), mercuric chloride (Cat. No. 2594-04), sodium hydroxide (Cat. No. 6697), sulfuric acid (Cat. No. 9681-05), sodium molybdate (Cat. No. 3764-01), phosphoric acid reagent grade (Cat. No. 0260-03), and acetonitrile HPLC grade (Cat. No. 9012-03) were obtained from J.T. Baker (Radnor, PA, USA).
Phenylephrine (Cat. No. P1250000), acetylcholine (Cat. No. A6625), atropine (Cat. No. A0132), gallic acid (Cat. No. G7384), tannic acid (Cat. No. W304204), and 6-hydroxy- 2,5,7,8-tetramethylchromane-2-carboxylic acid (Cat. No.238813) were obtained from Sigma-Aldrich (St. Louis, MO, USA)
Bismuth nitrate (Cat. No. 101878), sodium acetate (Cat. No. 128201), ferric chloride (Cat. No. 103943), aluminum chloride (Cat. No. 237051), sodium tungstate (Cat. No. 106673), formic acid (Cat. No. 533002), 2,4,6-tris(2-pyridyl)-s-triazine (TPTZ) (Cat. No. 93285), 2,2′ -diphenil-1-picrilhidrazil (Cat. No. D9132), the Folin–Ciocalteau reagent (Cat. No. F9252), and polysorbate 80 (Cat. No. Y0002469) were obtained from Merck (Darmstadt, Germany).
Glucose (Cat. No. 1445), sodium chloride (Cat. No. 2365), potassium chloride (Cat. No. 0455), hydrochloric acid (Cat. No. 0095), nitric acid (Cat. No. 0195), and acetic anhydride (Cat. No. 0652) reagent grade were purchased from Meyer (Mexico City, Mexico)
Magnesium sulphate (Cat. No. 50961), potassium iodide (Cat. No. 28586), chloroform (Cat. No. 50930), cholesterol (Cat. No. 24913), and sodium carbonate (Cat. No. 50887) were purchased from CTR Scientific (Monterrey, Mexico).
3.2. Vegetal Material
Aerial parts of Ipomoea purpurea were collected in Cadereyta de Montes, Querétaro México, in September 2023 by Biologist Beatriz Maruri-Aguilar and M.Sc. Yazmin Hailen Ugalde de la Cruz. Botanical identification was carried out in the Jerzy Rzedowsky Herbarium, Natural Sciences Department, Autonomous University of Querétaro (voucher number QMEX00007403, Ipomoea purpurea L. Roth).
3.3. Experimental Animals
All experimental procedures were conducted in accordance with the guidelines established by the Mexican Official Standard NOM-062-ZOO-1999 [107], and were approved by the Bioethics Committee of the Chemistry Department, Autonomous University of Querétaro. The protocol received ethical approval from the same committee under the approval code CBQ24/020. Male Wistar rats (250–300 g) and CD-1 male mice (25–30 g) were obtained from the Institute of Neurobiology, National Autonomous University of Mexico, Juriquilla Campus.
Animals were housed in standard cages under controlled temperature conditions (22 °C) with a 12:12 h light–dark cycle. Food and water were provided ad libitum. Waste disposal was carried out in accordance with the Mexican Official Standard NOM-087-SEMARNAT-SSA1-2002 [108].
3.4. Preparation of Dichloromethane and Methanol Extracts of I. purpurea
Plant samples were air dried at room temperature and ground to a powder with a hand mill (Gilson, Co., Inc., LC-80, Lewis Center, OH, USA). Soxhlet extraction was carried out under standardized conditions, with the operating temperature adjusted according to the boiling point of the selected solvents (65 °C for methanol and 39–40 °C for dichloromethane). A solvent-to-plant material ratio range of 10:1 (v/w) was employed, using dried plant material with a particle size of approximately 0.5–2 mm to enhance extraction efficiency. The extraction process was conducted over a period of 4 h, allowing a solvent recirculation rate of one cycle every 10 min, which resulted in approximately 24 extraction cycles in total. Then, the solvents were removed with a rotatory evaporator (Heidolph®, VV 2000, SCHB, Schwabach, Germany), at temperatures below 45 °C to avoid thermal degradation of heat-sensitive phytoconstituents, in order to obtain dry extracts.
3.5. Phytochemical Screening
Qualitative assays were carried out on the methanol extract of I. purpurea (ME-Ip) and dichloromethane extract of I. purpurea (DE-Ip) in order to identify the presence of diverse groups of metabolites such as alkaloids, phenolic compounds, flavonoids, tannins, terpenoids, saponins, glycosides, anthraquinones, and carbohydrates, according to the methods described previously [109,110,111,112].
3.6. Phenolic Compound Content in Methanolic Extract
Total phenolic compounds were assessed using the Folin–Ciocalteu method according to the description in [113]. The content of phenolic compounds was calculated using a standard curve of gallic acid in a concentration range of 5 to 100 µg/mL, and the results are expressed as gallic acid equivalents, as mg of AG/g of extract.
3.7. Flavonoid Content in Methanolic Extract
Flavonoid content was evaluated by Zhishen’s method [113]. The calibration curve was prepared from 20 to 200 µg/mL with a standard curve of (+) catechin, and the content of flavonoids in the extracts was expressed in (+) catechin equivalent, as mg of CA/g of extract.
3.8. Determination of Antioxidant Capacity
The antioxidant capacity (AOC) was carried out by two assays: the 1,1-diphenyl-2-picrylhydrazyl (DPPH) radical scavenging method and iron-reducing antioxidant power (FRAP) assay [114]. The AOCs obtained from both methods are expressed as µmol Trolox equivalents/g of extract.
3.9. UPLC–QTOF-MS Analysis of Methanolic Extract
In order to identify the metabolites in the ME-Ip, an ultra-high-performance liquid chromatography quadrupole time-of-flight mass spectrometry study was carried out. The sample was dissolved in methanol (1.5 mg/mL), filtered using a syringe filter (0.45 µm), and 6 µL was injected into the UPLC system. This analysis was performed using an Acquity UPLC I-class (Waters Co., Milford, CT, USA) with a diode array detector (DAD) set at 210 to 600 nm, and an XBride BEH amide C18 reverse phase column (2.1 mm × 150 mm, 2.5 µm; Waters Co., Milford, CT, USA). The mobile phase was a mixture of 0.1% formic acid in water and acetonitrile at a flow rate of 0.4 mL/min and 35 °C. The UPLC was coupled to a mass spectrometer detector equipped with an electrospray ionization (ESI) interphase source operating in the negative ionization mode (Vion; Waters Co, Milford, USA). The analysis mode was MSE, and the low collision energy was 6 eV, with a ramp from 15 to 45 eV at high energy. The mass range was considered from 50 to 1800 m/z. The capillary voltage used was 2 kV for negative; the source temperature, 120 °C; the desolvation temperature, 450 °C; argon was utilized as the collision and desolvation gas, with flow rates of 50 L/h and 800 L/h, respectively; and cone voltage was 40 V. Leucine enkephalin was used at a concentration of 200 pg/µL as a reference for mass correction, with a flow rate of 10 µL/min.
Data analysis was performed using Unifi 1.9 SR 4 software with libraries from the Specialized Food Analysis Laboratory of the Chemistry Department of the Autonomous University of Queretaro, the University of Mississippi Botanical Library, and the University of Ottawa Phytochemical Library. The target match tolerance was set at 5 ppm. Fragment identification was performed by comparing fragmentation patterns reported in PubChem, FooDB version 1.0, HMDB version 5.0, and Mass Bank of North America, as well as those from previous analyses performed in the laboratory. For compounds without a reported fragmentation pattern, an in silico fragmentation pattern was generated by the software, with a tolerance of 10 mDa.
3.10. GC-MS Analysis of Dichloromethane Extract of Ipomoea purpurea
Gas chromatography separation and quantification was carried out using an Agilent GC 7890A series instrument (Agilent Technologies, Inc., Santa Clara, CA, USA) coupled with an Agilent 5975C Mass Spectrometer in electron impact mode (EI) and a quadrupole analyzer. The injector was operated in 1:5 split mode; the injection port and detector temperatures were 280 °C. The capillary columns used were an HP-5MS (60 m × 250 um i.d., 0.25 μm film thickness; Agilent Technologies, Inc., Santa Clara, CA, USA). The oven was programmed to produce an initial temperature of 40 °C for 10 min, then raise the temperature at 3 °C/min to 140 °C and hold for 20 min, then raise it at 3 °C/min to 220 °C and hold for 5 min, and finally to raise it at 10 °C/min to 270 °C and hold for 15 min. Helium was used as the carrier gas, at a constant flow rate of 1 mL/min. The Agilent 5975C Mass Spectrometer detector (Agilent Technologies, Inc., Santa Clara, CA, USA) was used in electron impact mode (EI), with an ionization voltage of 70 eV and gain factor of 1. The temperatures of the transfer line, ion source, and quadrupole were 280 °C, 230 °C, and 150 °C, respectively. Full scan mode was used in a range of 33–600 uma. Identification of volatile compounds was performed by comparing their mass spectra with those in the NIST Mass Spectral Library (National Institute of Standards and Technology, Gaithersburg, MD, USA, 2023 version).
3.11. Isolated Rat Aorta Assay
The isolated rat aorta assay was employed to evaluate the vasodilatory activity of both extracts obtained from Ipomoea purpurea, following previously described methods [115,116,117].
Rats were euthanized by decapitation in accordance with NOM-062-ZOO-1999 (Section 3.3). The thoracic aorta was excised and immediately placed in cold Krebs–Henseleit solution composed of (in mM) 126.8 NaCl, 5.9 KCl, 1.2 KH2PO4, 1.2 MgSO4, 5.0 D-glucose, 30 NaHCO3, and 2.5 CaCl2 (pH 7.4), and continuously bubbled with carbogen (95% O2 and 5% CO2). The lumen of the aorta was flushed with Krebs solution to prevent clot formation and surrounding adipose and connective tissues were carefully removed. Aortic rings measuring 4–5 mm in length were then prepared and mounted in 5 mL organ baths containing pre-warmed Krebs–Henseleit solution maintained at 37 °C and aerated with carbogen. Tissues were equilibrated for 30 min under tension of 1.5 g, with the bathing solution replaced every 10 min. To assess contractile responsiveness, tissues were first stimulated with 100 mM KCl. Once a stable contraction was observed, the solution was replaced to restore basal tone. Subsequently, tissues were challenged with 1µM L-phenylephrine. The contractile response induced by L-phenylephrine was defined as 100%, and once a stable contractile plateau was reached, the extracts were tested cumulatively (1, 3.16, 10, 31.6, 100, 316, 1000, 3600 10,000 µg/mL). Acetylcholine was used as a positive control.
Changes in vascular tension were measured using Grass FT03 force transducers connected to a Grass 7D Polygraph (Grass Instrument Co., Quincy, MA, USA). Vasorelaxation responses induced by the extracts were expressed as percentages of relaxation relative to the maximum contraction elicited by L-phenylephrine [115,116,117].
3.12. Isolated Rat Ileum Assay
Rats were euthanized by decapitation in accordance with the guidelines established in NOM-062-ZOO-1999 (Section 3.3). Ileum segments were immediately excised and placed in an organ isolation chamber containing Krebs solution maintained at 37 °C and continuously aerated with carbogen (95% O2, 5% CO2). Following an initial stabilization period of 10 min, the tissues were incubated for an additional 10 min with the test substances (extracts and controls). Changes in isometric tension in response to increasing concentrations of the test substances (1, 3.16, 10, 31.6, 100, 316 and 1000 µg/mL) were recorded using Grass FT03 force transducers connected to a Grass 7D polygraph (Grass Instrument Co., Quincy, MA, USA) [118]. At the end of each recording, the tissue was washed with Krebs–Henseleit solution; this was followed by the addition of acetylcholine to verify tissue viability.
To assess the spasmogenic activity of Ipomoea purpurea extracts, the contractile responses were compared to the maximal contraction induced by acetylcholine (10 µM), which was defined as 100% [119]. To investigate the potential involvement of muscarinic receptors in the observed spasmogenic effects, a separate set of experiments was conducted in the presence of atropine (1 µM) [119]. The potential spasmolytic effect of the extracts (1000 µg/mL) was evaluated in tissues precontracted with 32 mM KCl for at least five minutes. Relaxant responses were assessed over a five-minute period, or until the maximum relaxation was maintained for a minimum of 10 s. Papaverine (30 µM) was used as a positive control [118,119].
3.13. Acute Oral Toxicity Study
This study was conducted in accordance with the acute toxicity assay described by Lorke (1983) [99], using CD-1 mice. Prior to treatment, animals were fasted overnight and provided access to food one hour pre-administration. In the acute toxicity assessment following the Lorke method, key clinical signs were monitored in the rodents, including ocular changes (such as secretion, opacity, or mydriasis), piloerection, lethargy, somnolence, tremors, excessive salivation, alterations in fecal consistency and appearance, mucosal conditions (pallor or erythema), and neurological signs such as coma. These observations were conducted at regular intervals during the first 24 h and daily over a 14-day period to identify sublethal or systemic adverse effects.
The methanolic extract of Ipomoea purpurea (ME-Ip) was dissolved in water, while the dichloromethane extract (DE-Ip) was dissolved in a mixture of Tween 80 and water. Mice were subjected to a two-phase treatment protocol and body weights were recorded on days 1, 7, and 14.
Phase I:
Three dose levels (10, 100, and 1000 mg/kg) of ME-Ip and DE-Ip, as well as saline solution (negative control), were administered orally via gavage to groups of nine mice per dose. An additional group of three mice received only saline solution as the control group. After a single administration, animals were monitored for signs of toxicity and mortality during the first 24 h, and subsequently observed daily for 14 days. Clinical signs such as changes in skin, fur, eyes, respiratory function, and behavior were recorded. At the end of the observation period, all animals were euthanized by decapitation and their organs were dissected for gross pathological examination to identify potential signs of toxicity [120].
Phase II:
Higher dose levels (1600, 2900, and 5000 mg/kg) of ME-Ip and DE-Ip, along with saline solution, were administered by gavage to groups of four mice per dose. Animals were observed for toxicological signs during the first 24 h following administration. At the end of the observation period, all animals were euthanized by decapitation (Lorke, 1983) [99] and their organs were dissected for macroscopic evaluation of possible toxic effects [121].
Lethal dose media (LD50) was calculated as follows:
D0 = Highest dose that does not produce mortality
D100 = Lowest dose that produce mortality
3.14. Fecal Assessment
An assessment of fecal deposition was conducted to evaluate whether Ipomoea purpurea extracts exert a purgative effect in experimental animals. Fecal output was monitored during four consecutive 2 h intervals (0–2 h, 2–4 h, 4–6 h, and 6–8 h) following administration of the two extracts—methanolic extract of I. purpurea (ME-Ip) and dichloromethane extract of I. purpurea (DE-Ip)—at the concentrations specified in the Phase 1 acute toxicity study. A saline solution was used as the negative control, while sennosides A and B (2 mg/mL, 1 mL/kg) served as the positive control. Fecal consistency was classified based on stool morphology: normal stools were defined as brown, rugby ball-shaped pellets, whereas abnormal stools were characterized as loose, cloudy, or watery. Observations were conducted by a veterinary evaluator blinded to the treatment groups [96].
3.15. Hematological Cell Profile, Biochemical Profile and Histopathological Analysis
After a 14-day observation period, blood, kidney, and liver samples were collected from animals administered the highest doses in both experimental phases—Phase 1: 1000 mg/kg and Phase 2: 5000 mg/kg—as well as from the control group. Prior to tissue collection, the animals were anesthetized using carbon dioxide (CO2), and blood was obtained via cardiac puncture. The collected blood was divided into two tubes: one without additives and the other containing EDTA K2 as an anticoagulant. The liver and kidneys were excised, weighed, and immediately fixed in 10% neutral buffered formalin. A macroscopic examination was performed to assess the presence, in comparison with the control group, of gross pathological alterations, such as lesion development, attributable to exposure to ME-Ip and DE-Ip extracts. Following fixation, the tissues were processed using standard paraffin-embedding techniques. A complete blood count (CBC) was conducted using an automated hematology analyzer (Gilson Co. Inc., LC-80, Lewis Center, OH, USA). Serum was obtained by centrifuging the additive-free blood samples at 5000 rpm for 5 min. Biochemical parameters, including urea, creatinine, alanine aminotransferase (ALT), aspartate aminotransferase (AST), alkaline phosphatase (ALP), cholesterol, and total protein, were measured spectrophotometrically using a biochemistry analyzer (Mindray BS-360E, Shenzhen, China).
3.16. Statistical Analysis
Total phenolic content, flavonoid concentration, and antioxidant capacity were determined in triplicate, and the results are expressed as the mean ± standard deviation (SD). Ex vivo assays were performed in sextuplicate, and the results are reported as the mean ± standard error of the mean (SEM). Experimental data were fitted to a sigmoidal equation, plotted, and analyzed to calculate EC50 and Emax values using GraphPad Prism 7.02 (GraphPad Software, San Diego, CA, USA). For the analysis of isolated rat aorta, statistical comparisons were conducted using one-way ANOVA followed by Tukey’s post hoc test. Statistical significance was accepted at the 95% confidence level (p < 0.05). For the evaluation of basal contractions of isolated rat aorta, the investigation of spasmogenic and antispasmodic mechanisms, animal and organ weight, hematological parameters (red and white blood cell profiles), and biochemical profiles, an unpaired Student’s t-test was used. Statistical significance was set at p < 0.05. All statistical analyses were performed using the aforementioned software.
4. Conclusions
This study proved the presence of secondary metabolites in the methanolic and dichloromethane extracts of aerial parts of I. purpurea, similar to those detected in other species of genus Ipomoea, as expected due to the chemotaxonomic relationships. The ME-Ip showed important levels of total phenolic content and antioxidant capacity in comparison to other species of genus Ipomoea; this can be attributed mainly to presence of phenolic acids and flavonoids. The presence of apigenin-7-glucuronide and diosmetin 7-O-β-D-glucopyranoside is reported for the first time in I. purpurea. The major chemical compounds identified in DE-Ip include carboxylic acids, terpenoids, esters, and alkanes. The Me-Ip and DE-Ip both exhibited a slight vasodilatory effect on the isolated rat aorta assay; both extracts elicited a biphasic effect (contractile and relaxant) on intestinal smooth muscle. The absence of significant alterations in hematological, biochemical, and histopathological parameters resulting from the acute toxicological evaluation constitutes a preliminary step in the toxicological safety assessment of I. purpurea extracts and partly supports the safety of I. purpurea as a potential candidate for phytopharmaceutical development. Further studies are needed to evaluate subacute and chronic toxicity, and to explore additional pharmacological effects of Ipomoea purpurea. Bioactivity-guided fractionation and mechanistic studies are also recommended in order to identify active compounds and elucidate their vasodilatory and spasmolytic mechanisms.
Supplementary Materials
The following supporting information can be downloaded at: https://www.mdpi.com/article/10.3390/ph18081134/s1, Table S1. Fragmentation Pattern Analysis of Proposed Compounds by UPLC-QTOF-MS.
Author Contributions
V.S.-H.: Methodology, Investigation, Formal analysis, Validation, Visualization, Writing—original draft preparation; F.J.L.-V.: Methodology, Resources; M.A.C.-M.: Methodology, Supervision, Resources; C.I.-A.: Conceptualization, Validation, Resources, Supervision; A.R.-M.: Writing—review and editing, Resources; B.M.-A.: Methodology, Supervision; P.A.V.-L.: Methodology, Resources, Supervision; I.R.-M.: Conceptualization, Investigation, Writing—review and editing, Resources, Supervision, Project administration. All authors have read and agreed to the published version of the manuscript.
Funding
This research was funded by “Fund for the Strengthening of Research, Linking and Extension” Fund 2024 (FONFIVE-2024, Project FQU202418) of the Autonomous University of Queretaro.
Institutional Review Board Statement
The animal study protocol was approved by the Ethics Committee of the Chemistry Department of the Autonomous University of Queretaro, protocol CBQ24/020, on 6 November 2023.
Data Availability Statement
The data presented in this study are available on request from the corresponding author. The data are not publicly available due to privacy and ethical restrictions.
Acknowledgments
Valeria Sánchez Hernández thanks the Consejo Nacional de Humanidades, Ciencia y Tecnología (CONAHCYT) for her M.Sc. Scholarship. The authors also thank Flor González Cataño (Laboratorio Especializado en Análisis de Alimentos. Posgrado de Alimentos-UAQ), IBT. Arale Cristina Olivares Calderón (Universidad Autónoma de Coahuila, Facultad de Ciencias Biológicas), Leticia García Aguilar (Laboratorio de Farmacología. Posgrado en Ciencias Químico Biológicas-UAQ), and M.V.Z. Martín García-Servin (Laboratorio Universitario Bioterio, Instituto de Neurobiología-UNAM) for the technical support of UPLC-MS/QTOF analyses, phytochemical tests, isolated aorta and ileum assays, and toxicological studies. The authors also thank Yazmin Hailen Ugalde de la Cruz (Jardín Botánico Regional de Cadereyta “Ing. Manuel González de Cosío” del Consejo de Ciencia y Tecnología del Estado de Querétaro, Cadereyta, Qro.) for the facilities provided for the collection and identification of plant material.
Conflicts of Interest
The authors declare no conflicts of interest.
Abbreviations
The following abbreviations are used in this manuscript:
| AH | Arterial hypertension |
| GDs | Gastrointestinal diseases |
| NCD’s | Non-communicable diseases |
| ME-Ip | Methanolic extract of Ipomoea purpurea |
| DE-Ip | Dichloromethane extract of Ipomoea purpurea |
| AOC | Antioxidant capacity |
| DPPH | 1,1-diphenyl-2-picrylhydrazyl |
| FRAP | Ferric reducing antioxidant power |
| ALT | Alanine aminotransferase |
| ACE | Angiotensin-converting enzyme |
| AST | Aspartate aminotransferase |
| Ach | Acetylcholine |
| GAE | Gallic acid equivalents |
| CAE | Catechin equivalents |
| NF-κB | Nuclear factor kappa B |
| COX-2 | Cyclooxygenase-2 |
| ALP | Alkaline phosphatase |
| UPLC-QTOF-MS | Ultra-performance liquid chromatography coupled with quadrupole time-of-flight mass spectrometry |
| GC-MS | Gas Chromatography–Mass Spectrometry |
| Papv | Papaverine |
| EC50 | Half maximal effective concentration |
| Emax | Maximum effect |
References
- Barquera, S.; Rivera, J. Obesity in Mexico: Rapid epidemiological transition and food industry interference in health policies. Lancet Diabetes Endocrinol. 2020, 8, 746–747. [Google Scholar] [CrossRef] [PubMed]
- Jimenez, M.P.; Barrientos, G.T.; Soria-Contreras, D.C.; Magid, H.S.; Kaufman, S.J. Increasing representation of epidemiologists from around the world in the society for epidemiologic research: The case of Mexico. Am. J. Epidemiol. 2022, 191, 1842–1846. [Google Scholar] [CrossRef] [PubMed]
- Barquera, S.; Hernández-Barrera, L.; Trejo, B.; Shamah, T.; Campos-Nonato, I.; Rivera-Dommarco, J. Obesidad en México, prevalencia y tendencias en adultos. Ensanut 2018-19. Salud Publica Mex. 2020, 62, 682–692. [Google Scholar] [CrossRef]
- Pavía, A.A.; Alcocer, M.A.; Ruiz, E.D.; Mayorga, J.L.; Mehta, R.; Díaz, F.A.; Aldrete, J.A.; López, N.; Cruz, I.; Chávez, A.; et al. Guía de práctica clínica mexicana para el diagnóstico y tratamiento de las dislipidemias y enfermedad cardiovascular aterosclerótica. Arch. Cardiol. Mex. 2022, 92, 1–62. [Google Scholar] [CrossRef]
- Secretaría de Salud en México, más de 30 Millones de Personas Padecen Hipertensión Arterial: Secretaría de Salud. Available online: https://www.gob.mx/salud/articulos/en-mexico-mas-de-30-millones-de-personas-padecen-hipertension-arterial-secretaria-de-salud (accessed on 10 March 2025).
- Gopar, R.; Ezquerra, A.; Chávez, N.L.; Manzur, D.; Raymundo, G.I. ¿Cómo tratar la hipertensión arterial sistémica? Estrategias de Tratamiento Actuales. Arch. Cardiol. Mex. 2021, 91, 493–499. [Google Scholar] [CrossRef]
- Carey, R.M.; Moran, A.E.; Whelton, P.K. Treatment of hypertension: A review. J. Am. Med. Assoc. 2022, 328, 1849–1861. [Google Scholar] [CrossRef]
- Lynch, S.S.; Adherencia al Tratamiento Farmacológico. Manual MSD Versión para Público General. Available online: https://www.msdmanuals.com/es/hogar/f%C3%A1rmacos-o-sustancias/factores-que-influyen-en-la-respuesta-del-organismo-a-los-f%C3%A1rmacos/adherencia-al-tratamiento-farmacol%C3%B3gico (accessed on 10 March 2025).
- Olaiz, G.A.; Gómez, E.G.; Juárez, A.; Anda, F.J.; Morales, J.E.; Carrasco, O. Panorama histórico de la enfermedad diarreica aguda en México y el futuro de su prevención. Salud Publica Mex. 2022, 62, 25–35. [Google Scholar] [CrossRef]
- Gotfried, J. Generalidades Sobre los síntomas Gastrointestinales. Manual MSD Versión para Profesionales. Available online: https://www.msdmanuals.com/es/professional/trastornos-gastrointestinales/s%C3%ADntomas-de-los-trastornos-gastrointestinales/generalidades-sobre-los-s%C3%ADntomas-gastrointestinales (accessed on 10 March 2025).
- Hani, A. Antiespasmódicos. Acta Gastroenterol. Latinoam. 2014, 44, 57–60. [Google Scholar]
- Homedes, N. Antiespasmódicos durante el embarazo, en resumen. Prescrire 2020, 40, 13–17. [Google Scholar]
- Hicks, G.A. Irritable Bowel Syndrome. In Comprehensive Medicinal Chemistry II, 2nd ed.; Taylor, J.F., Triggle, D.J., Eds.; Elsevier: Amsterdam, The Netherlands, 2007; Volume 2, pp. 643–670. [Google Scholar]
- Guzik, T.J.; Nosalski, R.; Maffia, P.; Drummond, G.R. Immune and inflammatory mechanisms in hypertension. Nat. Rev. Cardiol. 2024, 21, 396–416. [Google Scholar] [CrossRef]
- Oz, H.S. Nutrients, Infectious and Inflammatory Diseases. Nutrients 2017, 9, 1085. [Google Scholar] [CrossRef]
- SEMARNAT. Plantas Medicinales de México. Available online: https://www.gob.mx/semarnat/articulos/plantas-medicinales-de-mexico (accessed on 3 December 2024).
- World Health Organization. Traditional Medicine. Available online: https://www.who.int/es/news-room/questions-and-answers/item/traditional-medicine (accessed on 11 April 2025).
- Comisión Nacional de Áreas Naturales Protegidas (CONANP). México Megadiverso. Available online: https://www.gob.mx/conanp/articulos/mexico-megadiverso-173682 (accessed on 18 February 2025).
- Loraine, S.; Mendoza, J.A. Las plantas medicinales en la lucha contra el cáncer: Relevancia para México. Rev. Mex. Cienc. Farm. 2010, 41, 18–27. [Google Scholar]
- Rzedowski, J.; Carranza, E. Sinopsis de la familia Convolvulaceae en México. J. Bot. Res. Inst. Texas 2023, 17, 271. [Google Scholar] [CrossRef]
- Carranza, G.E. Diversidad del género Ipomoea L. (Convolvulaceae) en el estado de Michoacán, México. In Flora del Bajío y de Regiones Adyacentes; Hernández, L.P., Ed.; Instituto de Ecología A.C.: Michoacán, México, 2008; pp. 283–285. [Google Scholar]
- Ahmad, M.; Alamgeer, N.; Ali, I.; Mohamed, A. Ipomoea hederacea Jacq.: A plant with promising antihypertensive and cardio-protective effects. J. Ethnopharmacol. 2020, 268, 113–584. [Google Scholar] [CrossRef]
- Jansakul, C.; Chairuk, P.; Zia-Ul-Haq, M.; Imran, I. Effect of Ipomoea hederacea Jacq. methanolic extract on blood pressure and relaxation of rat thoracic aorta: Evidence indicated the release of NO and H2S. Thai J. Pharm. Sci. 2018, 42, 58–65. [Google Scholar] [CrossRef]
- Paula, A.B.; Hayashi, L.S.; Freitas, J.C. Anti-inflammatory and antispasmodic activity of Ipomoea imperati (Vahl) Griseb (Convolvulaceae). Braz. J. Med. Biol. Res. 2003, 36, 105–112. [Google Scholar] [CrossRef]
- Javaid, A.; Ferdosi, M.; Manzoor, M.; Haider, I. Medically important compounds in Ipomoea carnea flowers. Pak. J. Weed Sci. Res. 2023, 29, 115–121. [Google Scholar]
- Manhães, F.; Chaves, A.; Da Silva, M.; De Souza, Q.; Chaves, C.; Antunes, F.; Rodrigues, R. Pharmacognosy, phytochemical analysis, and hypotensive activity of Ipomoea pes-caprae on blood pressure of normotensive rats. Rodriguésia 2020, 71, 112–119. [Google Scholar] [CrossRef]
- Hamsa, T.P.; Kuttan, G. Evaluation of the anti-inflammatory and anti-tumor effect of Ipomoea obscura (L.) and its mode of action through the inhibition of pro-inflammatory cytokines, nitric oxide and COX-2. Inflammation 2010, 34, 171–183. [Google Scholar] [CrossRef]
- Cai, C.; Chen, Y.; Zhong, S.; Ji, B.; Wang, J.; Bai, X.; Shi, G. Anti-inflammatory activity of n-butanol extract from Ipomoea stolonifera in vivo and in vitro. PLoS ONE 2014, 9, e95931. [Google Scholar] [CrossRef]
- Monsalvo, M.; Fortunato, R.; Wagner, M.; Ricco, R. Estudio farmacobotánico de Ipomoea purpurea (L.) Roth (Convolvulaceae). Dominguezia 2018, 34, 21–29. [Google Scholar]
- Srivastava, D.; Rauniyar, N. Medicinal Plants of Genus Ipomoea, 1st ed.; LAP LAMBERT Academic Publishing: Beau Bassin, Mauritius, 2020; pp. 1–76. [Google Scholar]
- Srivastava, D. Medicinal plants of the genus Ipomoea found in Uttar Pradesh, India. Res. J. Recent Sci. 2017, 6, 12–22. [Google Scholar]
- León-Rivera, I.; Herrera-Ruiz, M.; Estrada-Soto, S.; Gutiérrez, M.C.; Martínez-Duncker, I.; Navarrete-Vázquez, G.; Rios, M.Y.; Aguilar, B.; Castillo-España, P.; Aguirre-Moreno, A. Sedative, vasorelaxant, and cytotoxic effects of convolvulin from Ipomoea tyrianthina. J. Ethnopharmacol. 2011, 135, 430–439. [Google Scholar] [CrossRef] [PubMed]
- Perusquía, M.; Mendoza, S.; Bye, R.; Linares, E.; Mata, R. Vasoactive effects of aqueous extracts from five Mexican medicinal plants on isolated rat aorta. J Ethnopharmacol. 1995, 46, 63–69. [Google Scholar] [CrossRef] [PubMed]
- Arias-Ortíz, H.M.; López-Bedoya, A.; Bernal-Vera, M.E.; Castaño-Ramirez, E. Caracterización ecológica y fitoquímica de la batatilla Ipomoea purpurea L. Roth (Solanales, Convolvulaceae) en el municipio de Manizales. Bol. Cient. Cent. Mus. Mus. Hist. Nat. 2011, 15, 19–39. Available online: https://revistasojs.ucaldas.edu.co/index.php/boletincientifico/article/view/4606 (accessed on 26 January 2024).
- Cao, S.; Zhao, B.; Zou, Y.; Sun, Z.; Zhang, H.; Wei, S.; Ji, M. P450s mediated enhanced herbicide metabolism involved in the thifensulfuron-methyl resistance in Ipomoea purpurea L. Biochem. Physiol. 2022, 184, 105111. [Google Scholar] [CrossRef] [PubMed]
- Rafiq-Kumar, M.; Tauseef, S.M.; Abbasi, T.; Abbasi, S.A. Control of amphibious weed Ipomoea carnea by utilizing it for the extraction of volatile fatty acids as energy precursors. J. Adv. Res. 2015, 6, 73–78. [Google Scholar] [CrossRef][Green Version]
- Sharma, A.; Bachheti, R.K. A review on Ipomoea carnea. Int. J. Pharma Bio Sci. 2013, 4, 363–377. [Google Scholar]
- Abbasi, T.; Anuradha, J.; Ganaie, S.U.; Abbasi, S.A. Gainful utilization of the highly intransigent weed Ipomoea in the synthesis of gold nanoparticles. J. King Saud Univ. Sci. 2015, 27, 15–22. [Google Scholar] [CrossRef]
- Rout, S.K.; Kar, D.M. Sedative, anxiolytic and anticonvulsant effects of different extracts from the leaves of Ipomoea carnea in experimental animals. Int. J. Drug Dev. Res. 2013, 5, 232–243. [Google Scholar]
- Beheshti, F.; Shabani, A.A.; Akbari, M.R.; Kokhaei, P.; Vazirian, M.; Safavi, M. Anticancer activity of Ipomoea purpurea leaves extracts in monolayer and three-dimensional cell culture. Evid. Based Complement. Alternat. Med. 2021, 14, 6666567. [Google Scholar] [CrossRef]
- Beheshti, F.M.; Safavi, M.; Eidgahi, M.R.; Kokhaei, P.; Vazirian, M.; Shabani, A.A. Phytochemical screening and in vitro antioxidant activity of extracts of Ipomoea purpurea leaves from Iran. Biologia 2023, 69, 32–39. [Google Scholar] [CrossRef]
- Vázquez-Ruiz, Z.; Toledo, E.; Vitelli-Storelli, F.; Goni, L.; de la O, V.; Bes-Rastrollo, M.; Martínez-González, M.Á. Effect of dietary phenolic compounds on incidence of cardiovascular disease in the SUN Project; 10 years of follow-up. Antioxidants 2022, 11, 783. [Google Scholar] [CrossRef]
- Negri, S.; Pietrolucci, F.; Andreatta, S.; Njoku, R.C.; Ramos, C.A.S.N.; Crimi, M.; Commisso, M.; Guzzo, F.; Avesani, L. Bioprospecting of Artemisia genus: From artemisinin to other potentially bioactive compounds. Sci. Rep. 2024, 14, 4791. [Google Scholar] [CrossRef]
- Cervantes, R.; Barragán, M.; Chaquilla, G. Antioxidant evaluation in the sweet potato purple (Ipomoea batatas L.) leaf tea. Tecnol. Marcha 2019, 32, 51–59. [Google Scholar] [CrossRef]
- Sulaiman, C.; Geetha, S.P.; Indira, B. Identification of phenolic antioxidants in Ipomoea mauritiana Jacq. using spectrophotometric and mass spectroscopic studies. Avicenna J. Phytomed. 2014, 4, 89–96. [Google Scholar]
- Meira, M.; Silva, E.P.; David, J.M.; David, J.P. Review of the genus Ipomoea: Traditional uses, chemistry and biological activities. Rev. Bras. Farmacogn. 2012, 22, 682–713. [Google Scholar] [CrossRef]
- Sousa, E.O.; Costa, J.G. Genus Lantana: Chemical aspects and biological activities. Rev. Bras. Farmacogn. 2012, 22, 1111–1180. [Google Scholar] [CrossRef]
- Liang, D.; Li, H.; Pan, Y.; Liu, Z.; Xiang, H. Transcriptome analysis of Ipomoea cairica algicidal mechanism against Phaeocystis globosa. Front. Mar. Sci. 2025, 12, 1580077. [Google Scholar] [CrossRef]
- Wang, H.; Zhang, X.; Liu, Y.; Zhang, Y.; Wang, Y.; Peng, Y.; Ding, Y. Diosmetin-7-O-β-D-glucopyranoside suppresses endothelial-mesenchymal transformation through endoplasmic reticulum stress in cardiac fibrosis. Clin. Exp. Pharmacol. Physiol. 2023, 50, 789–805. [Google Scholar] [CrossRef]
- Hordyjewska, A.; Ostapiuk, A.; Horecka, A.; Kurzepa, J. Betulin and betulinic acid: Triterpenoids derivatives with a powerful biological potential. Phytochem. Rev. 2019, 18, 929–951. [Google Scholar] [CrossRef]
- Ono, M.; Ueguchi, T.; Murata, H.; Kawasaki, T.; Miyahara, K. Resin glycosides, XVI: Marubajalapins I–VII, new ether-soluble resin glycosides from Pharbitis purpurea. Chem. Pharm. Bull. 1992, 40, 3169–3173. [Google Scholar] [CrossRef]
- Lin, W.C.; Hsu, K.C.; You, M.F.; Lee, K.H.; Chi, C.H.; Chen, J.Y. Octanoic acid promotes clearance of antibiotic-tolerant cells and eradicates biofilms of Staphylococcus aureus isolated from recurrent bovine mastitis. Biofilm 2023, 6, 100149. [Google Scholar] [CrossRef] [PubMed]
- Boukhers, I.; Morel, S.; Kongolo, J.; Domingo, R.; Servent, A.; Ollier, L.; Kodja, H.; Petit, T.; Poucheret, P. Immunomodulatory and Antioxidant Properties of Ipomoea batatas Flour and Extracts Obtained by Green Extraction. Curr. Issues Mol. Biol. 2023, 45, 6967–6985. [Google Scholar] [CrossRef]
- Rosas-Ramírez, D.G.; Escandón-Rivera, S.; Lazcano-Pérez, F.; Arreguín-Espinosa, R. El género Ipomoea: Desde la época prehispánica hasta la actualidad. Epistemus 2025, 19, 2. [Google Scholar] [CrossRef]
- Okechukwu, P.N. Evaluation of anti-inflammatory, analgesic, antipyretic effect of eicosane, pentadecane, octacosane, and heneicosane. Asian J. Pharm. Clin. Res. 2020, 13, 123–127. [Google Scholar] [CrossRef]
- Aparna, V.; Dileep, K.V.; Mandal, P.K.; Karthe, P.; Sadasivan, C.; Haridas, M. Anti-inflammatory property of n-hexadecanoic acid: Structural evidence and kinetic assessment. Chem. Biol. Drug Des. 2012, 80, 434–439. [Google Scholar] [CrossRef]
- Pongprayoon, U.; Baeckström, P.; Jacobsson, U.; Lindström, L.; Bohlin, L. Antispasmodic Activity of β-Damascenone and E-Phytol Isolated from Ipomoea pes-caprae. Planta Med. 1992, 58, 19–21. [Google Scholar] [CrossRef] [PubMed]
- Kenakin, T. A Pharmacology Primer: Techniques for More Effective and Strategic Drug Discovery, 4th ed.; Academic Press: Cambridge, MA, USA, 2016; pp. 1–350. [Google Scholar]
- Rang, H.P.; Dale, M.M.; Ritter, J.M.; Flower, R.J.; Henderson, G. Rang & Dale’s Pharmacology, 7th ed.; Elsevier: Edinburgh, UK, 2012; pp. 1–829. [Google Scholar]
- Sakurai, N.; Iizuka, T.; Nakayama, S.; Funayama, H.; Noguchi, M.; Nagai, M. Vasorelaxant activity of caffeic acid derivatives from Cichorium intybus and Equisetum arvense. Yakugaku Zasshi 2003, 123, 593–598. [Google Scholar] [CrossRef]
- Astragalus Extracts Against Paraoxon-Induced Endothelial Dysfunction in Rat Aorta. CABI Digital Library. Available online: https://www.cabidigitallibrary.org/doi/full/10.5555/20113230155 (accessed on 15 May 2025).
- Qian, L.B.; Fu, J.Y.; Cai, X.; Xia, M.L. Betulinic acid inhibits superoxide anion-mediated endothelial dysfunction in rat aorta. Indian J. Pharmacol. 2012, 44, 588–592. [Google Scholar] [CrossRef]
- Oboh, G.; Agunloye, O.M.; Adefegha, S.A.; Akinyemi, A.J.; Ademiluyi, A.O. Caffeic and chlorogenic acids inhibit key enzymes linked to type 2 diabetes (in vitro): A comparative study. J. Basic Clin. Physiol. Pharmacol. 2015, 26, 165–170. [Google Scholar] [CrossRef]
- Suzuki, A.; Yamamoto, M.; Jokura, H.; Yamamoto, S.; Fujii, A.; Tokimitsu, I.; Saito, I. Ferulic acid restores endothelium-dependent vasodilation in aortas of spontaneously hypertensive rats. Am. J. Hypertens. 2007, 20, 508–513. [Google Scholar] [CrossRef]
- Arctigenin’s Calcium Antagonist Action on Smooth Muscle. BVS Biblioteca Virtual en Salud. Available online: https://pesquisa.bvsalud.org/portal/resource/pt/wpr-412222 (accessed on 15 May 2025).
- Javaid, A.; Shafique, S.; Shafique, S. Herbicidal effects of extracts and residue incorporation of Datura metel against parthenium weed. Nat. Prod. Res. 2010, 24, 1426–1437. [Google Scholar] [CrossRef]
- García, M. Evaluación del Efecto Citotóxico de Extractos de Tagetes lucida Sobre Líneas Celulares Tumorales. Master’s Thesis, Universidad Autónoma de Querétaro, Santiago de Querétaro, México, 2018. [Google Scholar]
- Pongprayoon, U.; Bohlin, L.; Soonthornsaratune, P.; Wasuwat, S. Anti-inflammatory activity of Ipomoea pes-caprae (L.) R. Br. Phytoter. Res. 1991, 5, 63–66. [Google Scholar] [CrossRef]
- Jiang, F.; Li, C.G.; Rand, M.J. Mechanisms of nitric oxide-independent relaxations induced by carbachol and acetylcholine in rat isolated renal arteries. Br. J. Pharmacol. 2000, 130, 1191–1200. [Google Scholar] [CrossRef]
- Wang, S.; Zeng, J.; Yang, B.; Zhong, Y.M. Bioavailability of caffeic acid in rats and its absorption properties in the Caco-2 cell model. Pharm. Biol. 2014, 52, 1150–1157. [Google Scholar] [CrossRef] [PubMed]
- Godugu, C.; Patel, A.R.; Doddapaneni, R.; Somagoni, J.; Singh, M. Approaches to improve the oral bioavailability and effects of novel anticancer drugs berberine and betulinic acid. PLoS ONE 2014, 9, e89919. [Google Scholar] [CrossRef] [PubMed]
- Wang, H.M.; Şoica, C.M.; Wenz, G.A. Comparison investigation on the solubilization of betulin and betulinic acid in cyclodextrin derivatives. Nat. Prod. Commun. 2012, 7, 289–291. [Google Scholar] [CrossRef] [PubMed]
- Losada-Barreiro, S.; Celik, S.; Sezgin-Bayindir, Z.; Bravo-Fernández, S.; Bravo-Díaz, C. Carrier systems for advanced drug delivery: Improving drug solubility/bioavailability and administration routes. Pharmaceutics 2024, 16, 852. [Google Scholar] [CrossRef]
- de Alencar Silva, A.; Pereira-de-Morais, L.; Rodrigues da Silva, R.E.; de Menezes Dantas, D.; Brito Milfont, C.G.; Gomes, M.F.; Araújo, I.M.; Kerntopf, M.R.; de Menezes, I.R.A.; Barbosa, R. Pharmacological screening of the phenolic compound caffeic acid using rat aorta, uterus and ileum smooth muscle. Chem. Biol. Interact. 2020, 332, 109269. [Google Scholar] [CrossRef]
- Duangjai, A.; Rawangkan, A.; Yosboonruang, A.; Ontawong, A.; Saokaew, S.; Goh, B.H.; Suganuma, M.; Phisalprapa, P. Antispasmodic activity of light-roasted coffee extract and its potential use in gastrointestinal motility disorders. Foods 2024, 13, 2307. [Google Scholar] [CrossRef]
- Sadraei, H.; Ghanadian, M.; Asghari, G.; Sekhavati, N. Antispasmodic activity of apigenin and luteolin, two components of Dracocephalum kotschyi extract, on rat ileum contractions. J. Herbmed. Pharmacol. 2018, 7, 100–105. [Google Scholar] [CrossRef]
- Koech, P.K.; Boldizsar, I.; Dobolyi, Á.; Varro, P. Effects of dibenzylbutyrolactone lignans arctigenin and trachelogenin on the motility of isolated rat ileum. Toxicol. Rep. 2022, 9, 1222–1232. [Google Scholar] [CrossRef] [PubMed]
- Zhao, L.; Huang, Y.; Lu, L.; Yang, W.; Huang, T.; Lin, Z.; Lin, C.; Kwan, H.; Wong, H.L.X.; Chen, Y.; et al. Saturated long-chain fatty acid-producing bacteria contribute to enhanced colonic motility in rats. Microbiome 2018, 6, 107. [Google Scholar] [CrossRef]
- Gwynne, R.M.; Thomas, E.A.; Goh, S.M.; Sjövall, H.; Bornstein, J.C. Segmentation induced by intraluminal fatty acid in isolated guinea-pig duodenum and jejunum. J. Physiol. 2004, 556, 557–569. [Google Scholar] [CrossRef]
- Leonhardt, V.; Leal-Cardoso, J.H.; Lahlou, S.; Albuquerque, A.A.; Porto, R.S.; Celedônio, N.R.; Oliveira, A.C.; Pereira, R.F.; Silva, L.P.; Garcia-Teófilo, T.M. Antispasmodic effects of essential oil of Pterodon polygalaeflorus and its main constituent β-caryophyllene on rat isolated ileum. Fundam. Clin. Pharmacol. 2010, 24, 749–758. [Google Scholar] [CrossRef]
- Wu, J.; Zhang, X.; Guo, L.; Sheng, Z. Bioactivity-guided isolation of potential antidiarrheal constituents from Euphorbia hirta L. and molecular docking evaluation. Front. Vet. Sci. 2024, 11, 1451615. [Google Scholar] [CrossRef]
- Todorova, V.; Ivanova, S.; Yotov, V.; Zaytseva, E.; Ardasheva, R.; Turiyski, V.; Prissadova, N.; Ivanov, K. Phytoecdysteroids: Quantification in Selected Plant Species and Evaluation of Some Effects on Gastric Smooth Muscles. Molecules 2024, 29, 5145. [Google Scholar] [CrossRef]
- Jodynis-Liebert, J.; Kujawska, M. Dosis-respuesta bifásica inducida por fitoquímicos: Evidencia experimental. J. Clin. Med. 2020, 9, 718. [Google Scholar] [CrossRef]
- Zevallos Escobar, L.E.; Arroyo Acebedo, J.L. Efecto sobre el músculo liso intestinal y toxicidad aguda oral de un extracto de chilca (Baccharis latifolia). Crescendo 2013, 4, 103–112. [Google Scholar] [CrossRef]
- Xi, X.; Wang, J.; Qin, Y.; You, Y.; Huang, W.; Zhan, J. The Biphasic Effect of Flavonoids on Oxidative Stress and Cell Proliferation in Breast Cancer Cells. Antioxidants 2022, 11, 622. [Google Scholar] [CrossRef]
- Albulescu, L.; Suciu, A.; Neagu, M.; Tanase, C.; Pop, S. Differential Biological Effects of Trifolium pratense Extracts—In Vitro Studies on Breast Cancer Models. Antioxidants 2024, 13, 1435. [Google Scholar] [CrossRef]
- McLendon, K.; Preuss, C.V. Atropine. StatPearls. 2025. Available online: https://www.ncbi.nlm.nih.gov/books/NBK470551/ (accessed on 15 May 2025).
- Wong, M.Y.W.; Hebbard, G.; Gibson, P.R.; Burgell, R.E. Chronic constipation and abdominal pain: Independent or closely interrelated symptoms. J. Gastroenterol. Hepatol. 2020, 35, 1294–1301. [Google Scholar] [CrossRef]
- Mehmood, M.H.; Munir, S.; Khalid, U.A.; Asrar, M.; Gilani, A.H. Antidiarrheal, antisecretory and antispasmodic activities of Matricaria chamomilla are mediated predominantly through K+-channels activation. BMC Complement. Med. Ther. 2015, 15. [Google Scholar] [CrossRef]
- Shah, A.J.; Bhulani, N.N.; Khan, S.H.; Rehman, N.U.; Gilani, A.H. Calcium-channel-blocking activity of Mentha longifolia L. explains its medicinal use in diarrhea and gut spasm. Phytother. Res. 2010, 24, 1392–1397. [Google Scholar] [CrossRef] [PubMed]
- Corsetti, M.; Forestier, S.; Jiménez, M. Hyoscine butylbromide mode of action on bowel motility: From pharmacology to clinical practice. Neurogastroenterol. Motil. 2023, 35, e14451. [Google Scholar] [CrossRef]
- Pomeroy, A.R.; Rand, M.J. Anticholinergic effects and passage through the intestinal wall of N-butylhyoscine bromide. J. Pharm. Pharmacol. 1969, 21, 180–187. [Google Scholar] [CrossRef] [PubMed]
- Mearin, F.; Ciriza, C.; Mínguez, M.; Rey, E.; Mascort, J.J.; Balboa, A.; Díaz-Rubio, M. Guía de práctica clínica: Síndrome del intestino irritable con estreñimiento y estreñimiento funcional en adultos. Rev. Esp. Enferm. Dig. 2016, 108, 332–363. [Google Scholar] [CrossRef]
- Bylund, D.B. Senna. In Reference Module in Biomedical Sciences; Elsevier: Amsterdam, The Netherlands, 2014; pp. 1–14. [Google Scholar]
- Le, J.; Ji, H.; Zhou, X.; Wei, X.; Chen, Y.; Fu, Y.; Ma, Y.; Han, Q.; Sun, Y.; Gao, Y.; et al. Pharmacology, Toxicology, and Metabolism of Sennoside A, A Medicinal Plant-Derived Natural Compound. Front. Pharmacol. 2021, 12, 714586. [Google Scholar] [CrossRef]
- Hara, H.; Ise, Y.; Morimoto, N.; Shimazawa, M.; Ichihashi, K.; Ohyama, M.; Iinuma, M. Laxative effect of agarwood leaves and its mechanism. Biosci. Biotechnol. Biochem. 2008, 72, 335–345. [Google Scholar] [CrossRef]
- García, K.R.; Remes, J.M. Constipación crónica. Conceptos actuales desde la fisiopatología hasta el tratamiento. Acta Gastroenterol. Latinoam. 2021, 51, 14–18. [Google Scholar] [CrossRef]
- Vinardell, M.P. Are there alternatives to animal experimentation? RBD 2021, 51, 81–97. [Google Scholar] [CrossRef]
- Lorke, D. A new approach to practical acute toxicity testing. Arch. Toxicol. 1983, 54, 275–287. [Google Scholar] [CrossRef]
- Burkholder, T.; Foltz, C.; Karlsson, E.; Linton, C.G.; Smith, J.M. Health Evaluation of Experimental Laboratory Mice. Curr. Protoc. Mouse Biol. 2012, 2, 145–165. [Google Scholar] [CrossRef] [PubMed]
- Charles River Laboratories. CD-1® Mouse Hematology Data. Available online: https://www.criver.com/resources/cd-1-mouse-clinical-pathology-data (accessed on 15 June 2025).
- Liu, F.; Liu, Y.; Peng, Q.; Wang, G.; Tan, Q.; Ou, Z.; Xu, Q.; Liu, C.; Zuo, D.; Zhao, J. Creatinine accelerates APAP-induced liver damage by increasing oxidative stress through ROS/JNK signaling pathway. Front. Pharmacol. 2022, 13, 959497. [Google Scholar] [CrossRef] [PubMed]
- Bahadar, H.; Maqbool, F.; Niaz, K.; Abdollahi, M. Toxicity of Nanoparticles and an Overview of Current Experimental Models. Iran J. Pharm. Res. 2016, 15, 45–54. [Google Scholar] [CrossRef]
- El Hilaly, J.; Israili, Z.H.; Lyoussi, B. Acute and chronic toxicological studies of Ajuga iva in experimental animals. J. Ethnopharmacol. 2004, 91, 43–50. [Google Scholar] [CrossRef]
- Agbaje, E.O.; Adeneye, A.A.; Daramola, A.O. Biochemical and toxicological studies of aqueous extract of Syzygium aromaticum (L.) Merr. & Perry (Myrtaceae) in rodents. Afr. J. Trad. CAM 2009, 6, 241–254. [Google Scholar] [CrossRef]
- Ukwuani, A.N.; Abubakar, M.G.; Hassan, S.W.; Agaie, B.M. Toxicological studies of hydromethanolic leaves extract of Grewia crenata. Int. J. Pharm. Sci. Drug Res. 2012, 4, 245–249. [Google Scholar] [CrossRef]
- NOM-062-ZOO-1999; Especificaciones Técnicas para la Producción, Cuidado y uso de los Animales de Laboratorio. Dirección General de Normas: Ciudad de México, México, 2001.
- NOM-087-ECOL-SSA1-2002; Protección Ambiental–Salud Ambiental–Residuos Peligrosos Biológico-Infecciosos–Clasificación y Especificaciones de Manejo. Secretaría de Medio Ambiente y Recursos Naturales (SEMARNAT): Ciudad de México, México, 2002.
- Hinojosa Dávalos, J.; Gutiérrez Lomelí, M.; Siller López, F.; Rodríguez Sahagún, A.; Morales Del Río, J.A.; Guerrero Medina, P.J.; Del-Toro-Sánchez, C.L. Screening fitoquímico y capacidad antiinflamatoria de hojas de Tithonia tubaeformis. Rev. Cienc. Biol. Salud 2012, 15, 53–60. [Google Scholar] [CrossRef]
- Kashyap, S.; Rani, L. Phytochemical screening of primary and secondary metabolites in four species of Ipomoea (I. aquatica, I. batata, I. carnea, I. palmata)-an underutilized ethnomedicinal weeds of Jharkhand. Biospectra 2021, 16, 139–144. [Google Scholar]
- Muhamad, M.; Ai Sze, W.; Zulkifli, N.S.; Ab-Rahim, S. Qualitative Analysis on the Phytochemical Compounds and Total Phenolic Content of Cissus hastata (Semperai) Leaf Extract. Int. J. Plant Biol. 2023, 14, 53–62. [Google Scholar] [CrossRef]
- Pérez, M.; Dominguez-López, I.; Lamuela-Raventós, R.M. The Chemistry Behind the Folin–Ciocalteu Method for the Estimation of (Poly)phenol Content in Food: Total Phenolic Intake in a Mediterranean Dietary Pattern. J. Agric. Food Chem. 2023, 71, 17543–17553. [Google Scholar] [CrossRef]
- Cantin, C.M.; Moreno, M.A.; Gogorcena, Y. Evaluation of the antioxidant capacity, phenolic compounds, and vitamin C content of different peach and nectarine [Prunus persica (L.) Batsch] breeding progenies. J. Agric. Food Chem. 2009, 57, 4586–4592. [Google Scholar] [CrossRef]
- Kumari, D.; Singh, D.; Meena, M.; Janmeda, P.; Siddiqui, M.H. Qualitative, Quantitative, In Vitro Antioxidant Activity and Chemical Profiling of Leptadenia pyrotechnica (Forssk.) Decne Using Advanced Analytical Techniques. Antioxidants 2024, 13, 794. [Google Scholar] [CrossRef]
- Castro-Ruiz, J.E.; Rojas-Molina, A.; Luna-Vázquez, F.J.; Rivero-Cruz, F.; Garcia-Gasca, T.; Ibarra-Alvarado, C. Affinin (Spilanthol), isolated from Heliopsis longipes, induces vasodilation via activation of gasotransmitters and prostacyclin signaling pathways. Int. J. Mol. Sci. 2017, 18, 218. [Google Scholar] [CrossRef]
- Ibarra-Alvarado, C.; Rojas, A.; Mendoza, S.; Bah, M.; Gutiérrez, D.M.; Hernández-Sandoval, L.; Martínez, M. Vasoactive and antioxidant activities of plants used in Mexican traditional medicine for the treatment of cardiovascular diseases. Pharm. Biol. 2010, 48, 732–739. [Google Scholar] [CrossRef]
- Luna-Vázquez, F.J.; Ibarra-Alvarado, C.; Camacho-Corona, M.D.R.; Rojas-Molina, A.; Rojas-Molina, J.I.; García, A.; Bah, M. Vasodilator activity of compounds isolated from plants used in Mexican traditional medicine. Molecules 2018, 23, 1474. [Google Scholar] [CrossRef]
- Ventura-Martínez, R.; Rodríguez, R.; González-Trujano, M.E.; Ángeles-López, G.E.; Déciga-Campos, M.; Gómez, C. Spasmogenic and spasmolytic activities of Agastache mexicana ssp. mexicana and A. mexicana ssp. xolocotziana methanolic extracts on the guinea pig ileum. J. Ethnopharmacol. 2017, 196, 58–65. [Google Scholar] [CrossRef]
- Nasu, T.; Murase, H.; Shibata, H. Manganese ions induce tonic contraction after relaxation in a high-K+ medium in ileal longitudinal smooth muscle of guinea-pig. J. Pharm. Pharmacol. 1994, 46, 735–739. [Google Scholar] [CrossRef] [PubMed]
- Chinedu, E.; Arome, D.; Ameh, F.S. A new method for determining acute toxicity in animal models. Int. J. Toxicol. 2013, 20, 224. [Google Scholar] [CrossRef] [PubMed]
- Watafua, M.; Ejiofor, J.I.; Musa, A.; Ahmad, M.H. Toxicological study on methanol root bark extract of Acacia sieberiana (Fabaceae) in Wistar rats. bioRxiv 2022. [Google Scholar] [CrossRef]
Disclaimer/Publisher’s Note: The statements, opinions and data contained in all publications are solely those of the individual author(s) and contributor(s) and not of MDPI and/or the editor(s). MDPI and/or the editor(s) disclaim responsibility for any injury to people or property resulting from any ideas, methods, instructions or products referred to in the content. |
© 2025 by the authors. Licensee MDPI, Basel, Switzerland. This article is an open access article distributed under the terms and conditions of the Creative Commons Attribution (CC BY) license (https://creativecommons.org/licenses/by/4.0/).














