A Review of the Methods on Cobb Angle Measurements for Spinal Curvature
Abstract
:1. Introduction
2. The Challenges of Cobb Angle Measurement
3. Typical Application Scenarios & Preprocessing Methods
3.1. PDE Filters Used for Feature Enhancement
3.2. Preprocessing Methods Used to Deal with Parallax
3.3. Preprocessing Methods Used for Metal Artifacts Reduction (MAR)
4. Evaluation Methods of Cobb Angle in 2D Images
4.1. Image Enhancement Method for 2D Image
4.1.1. Semi-Automatic Method
4.1.2. Full-Automatic Method
4.2. Machine Learning Methods for 2D Image
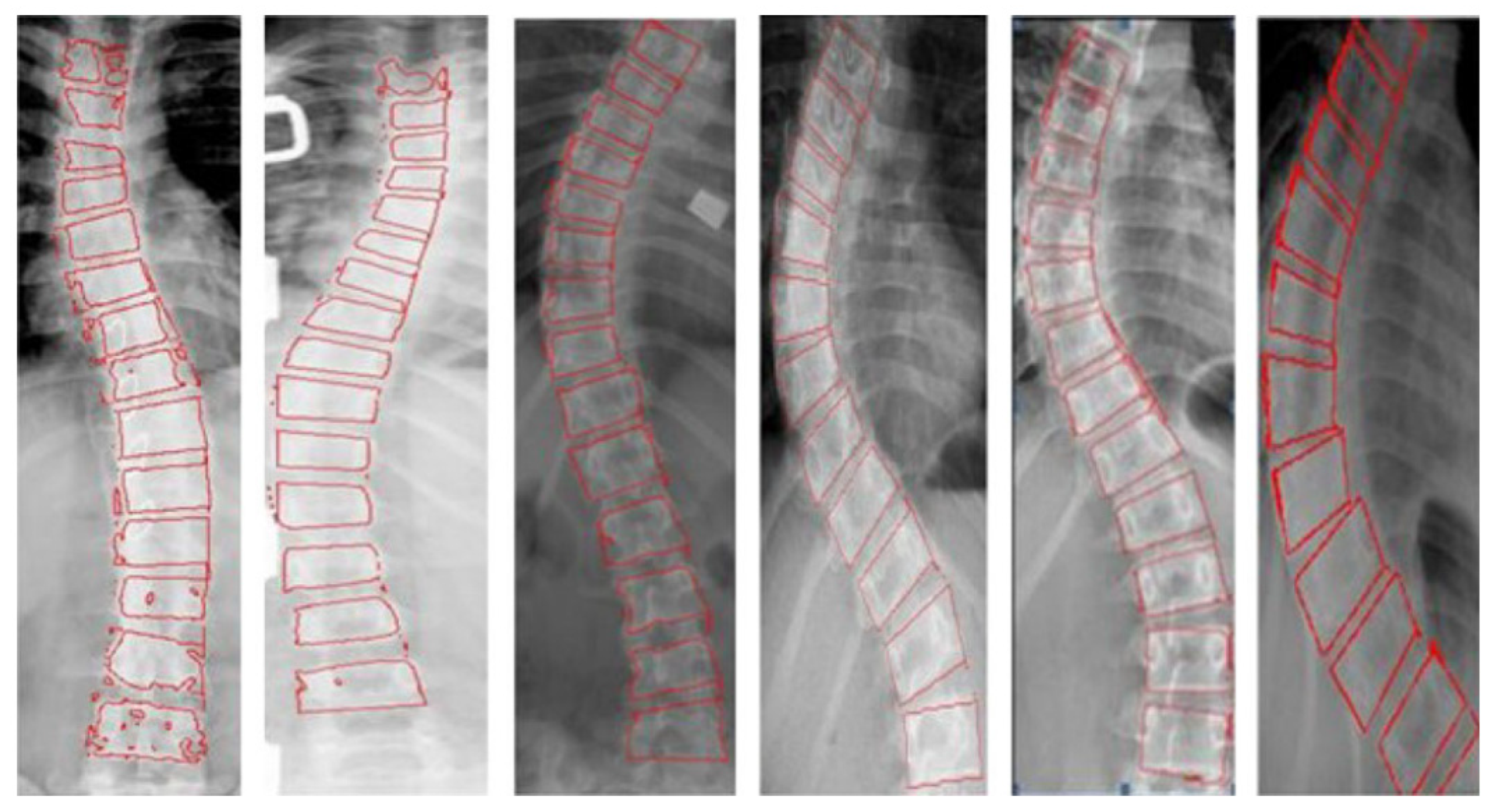
4.2.1. Segment the Vertebral Body to Measure the Cobb Angle
4.2.2. Locate the Landmark of the Spine to Measure the Cobb Angle
5. Evaluation Methods of Cobb Angle in 3D Images
5.1. Image Enhancement Method for 3D Image
5.1.1. Semi-Automatic Method
5.1.2. Full-Automatic Method
5.2. Machine Learning Method for 3D Image
6. Discussion
7. Conclusions
Author Contributions
Funding
Institutional Review Board Statement
Informed Consent Statement
Data Availability Statement
Conflicts of Interest
References
- Li, Y.W.; Cui, W.; Yan, X.Y.; Wang, H.J. Epidemiology of congenital scoliosis in Luohe. Chin. J. Pediatr. Surg. 2017, 38, 221–224. [Google Scholar]
- Wang, K.; Geng, X.M. Scoliosis is the third biggest killer of children’s health, and the incidence of adolescent girls is eight times higher than that of boys. China Woman’s News 2020, 11, B4. [Google Scholar]
- Moe, J.H.; Lonstein, J.E. Moe’s Textbook of Scoliosis and Other Spinal Deformities, 3rd ed.; WB Saunders: Philadelphia, PA, USA, 1995. [Google Scholar]
- Cobb, J.T. Outline for the study of scoliosis. Instructional course lectures. Am. Acad. Orthop. Surg. 1948, 5, 261–275. [Google Scholar]
- Weinstein, S.L.; Dolan, L.A.; Cheng, J.C.; Danielsson, A.; Morcuende, J.A. Adolescent idiopathic scoliosis. Lacent 2008, 371, 1527–1537. [Google Scholar] [CrossRef] [Green Version]
- Heary, R.F.; Albert, T.J. Spinal Deformities, 1st ed.; Thieme Medical Publishers: New York, NY, USA, 2007; pp. 3–4. [Google Scholar]
- Aubin, C.E.; BeUefleur, C.; Joncas, J.; de Lanauze, D.; Kadoury, S.; Blanke, K.; Parent, S.; Labelle, H. Reliability and accuracy analysis of a new semiautomatic radiographic measurement software in adult scoliosis. Spine 2011, 36, E780–E790. [Google Scholar] [CrossRef] [PubMed]
- Jeffries, B.F.; Tarlton, M.; Desmet, A.A.; Dwyer, S.J.; Brower, A.C. Computerized measurement and analysis of scoliosis. Radiology 1980, 134, 381–385. [Google Scholar] [CrossRef] [PubMed]
- Yang, W.Z. Reliability of Cobb Angle Measurements in Severe Congenital Scoliosis. Master’s Thesis, Fourth Military Medical University, Xi’an, China, December 2015. [Google Scholar]
- Shea, K.G.; Stevens, P.M.; Nelson, M.; Masters, K.S.; Yandow, S. A comparison of manual versus computer-assisted radiographic measurement: Intra-observer measurement variability for Cobb angles. Spine 1998, 23, 551–555. [Google Scholar] [CrossRef]
- Wills, B.; Auerbach, J.; Zhu, X.; Caird, M.S.; Horn, B.D.; Flynn, J.M.; Drummond, D.S.; Dormans, J.P.; Ecker, M.L. Comparison of Cobb angle measurement of scoliosis radiographs with preselected end vertebrae: Traditional versus digital acquisition. Spine 2007, 32, 98–105. [Google Scholar] [CrossRef]
- Gstoettner, M.; Sekyra, K.; Walochnik, N.; Winter, P.; Wachter, R.; Bach, M.C. Inter- and intra-observer reliability assessment of the Cobb angle: Manual versus digital measurement tools. European Spine Journal 2007, 16, 1587–1592. [Google Scholar] [CrossRef] [Green Version]
- Stokes, I.; Aronsson, D. Computer-assisted algorithms improve reliability of King classification and Cobb angle measurement of scoliosis. Spine 2006, 31, 665–670. [Google Scholar] [CrossRef] [Green Version]
- Lin, W. Research of Scoliosis based on Kinect Camera. Master’s Thesis, University of Electronic Science and Technology of China, Chengdu, China, April 2019. [Google Scholar]
- Yang, J.; Zhang, K.; Fan, H.; Huang, Z.; Xiang, Y.; Yang, J.; He, L.; Zhang, L.; Yang, Y.; Li, R.; et al. Development and validation of deep learning algorithms for scoliosis screening using back images. Commun. Biol. 2019, 2, 390. [Google Scholar] [CrossRef] [PubMed]
- Liu, X.; Wang, L.; Yu, M.; Liu, X.G.; Liu, Z.J. DIERS-4D system and QUINTIC gait analysis system for evaluation of spinal- pelvic-lower extremity motor function among different spinal diseases. Orthop. J. China 2019, 27, 73–78. [Google Scholar]
- Surgimap User Guide For Version 2.3.2 and Higher. Available online: https://www.surgimap.com/ (accessed on 13 September 2021).
- Osher, S.J.; Rudin, L.I. Feature-Oriented Image enhancement using Shock Filters. SIAM J. Number Anal. 1990, 27, 919–940. [Google Scholar] [CrossRef]
- Alvarez, L.; Mazorra, L. Signal and image restoration using shock filters and anisotropic diffusion. SIAM J. Number Anal. 1994, 31, 590–605. [Google Scholar] [CrossRef]
- Gilboa, G.; Sochen, N.; Zeevi, Y.Y. Image enhancement and denoising by complex diffusion processes. IEEE Trans. Pattern Anal. Mach. Intell. 2004, 26, 1020–1036. [Google Scholar] [CrossRef]
- Gilboa, G.; Sochen, N.; Zeevi, Y.Y. Real and complex PDE-based schemes for image sharpening and enhancement. Adv. Imag. Electron. Phys. 2005, 136, 1–109. [Google Scholar]
- Duong, L.; Cheriet, F.; Labelle, H. Automatic Detection of Scoliotic Curves in Posteroanterior Radiographs. IEEE Trans. Bio-Med. Eng. 2010, 57, 1143–1151. [Google Scholar] [CrossRef]
- Wang, L.; Traub, J.; Weidert, S.; Heining, S.M.; Euler, E.; Navab, N. Parallax-free intra-operative X-ray image stitching. Med. Image Anal. 2010, 14, 674–686. [Google Scholar] [CrossRef]
- Yaniv, Z.; Joskowicz, L. Long bone panoramas from fluoroscopic X-ray images. IEEE Trans. Med. Imaging 2004, 218, 402–410. [Google Scholar] [CrossRef]
- Wang, L.; Traub, J.; Weidert, S.; Heining, S.M.; Euler, E.; Navab, N. Parallax-free long bone X-ray image stitching. In Proceedings of the International Conference on Medical Image Computing and Computer-Assisted Intervention (MICCAI), London, UK, 20–24 September 2009. [Google Scholar]
- Peleg, S.; Rousso, B.; Rav-Acha, A.; Zomet, A. Mosaicing on adaptive manifolds. IEEE Trans. Pattern Anal. Mach. Intell. 2000, 22, 1144–1154. [Google Scholar] [CrossRef] [Green Version]
- Seamless Stitching Using Multi-Perspective Plane Sweep. Available online: https://www.microsoft.com/enus/research/publication/seamless-stitching-using-multi-perspective-plane-sweep/?from=http%3A%2F%2Fresearch.microsoft.com%2Fpubs%2F70064%2Ftr-2004-48.pdf (accessed on 8 June 2004).
- Image Alignment and Stitching: A Tutorial. Available online: https://www.microsoft.com/en-us/research/publication/image-alignment-and-stitching-a-tutorial/ (accessed on 12 October 2004).
- Ellingson, A.M.; Boelter, K.; Sembrano, J.N.; Takahashi, T.; Polly, D.W. Intraoperative stitched fluoroscopic images: Effect of parallax on angular measurements of the spine. Spine J. 2022, 1–4. [Google Scholar] [CrossRef] [PubMed]
- Ladd, B.; Jones, K.; Polly, D. 2-Dimensional Long Film O-Arm Imaging, an Alternative When Intraoperative Fluoroscopy Is Inadequate. World Neurosurg. 2021, 150, 54–55. [Google Scholar] [CrossRef] [PubMed]
- Yuan, Y.; Gao, J.M.; Guo, L.; Cao, G. Ultrasound in Local Soft Tissue Lesions After Orthopaedic Implant Surgery. Chin. J. Med. Imagine 2015, 23, 549–552. [Google Scholar]
- Zhao, S.; Robeltson, D.D.; Wang, G.; Whiting, B.; Bae, K.T. X-ray CT metal artifact reduction using wavelets: An application for imaging total hip prostheses. IEEE Trans. Med. Imag. 2000, 19, 1238–1247. [Google Scholar] [CrossRef] [PubMed]
- Meyer, E.; Raupach, R.; Lell, M.; Schmidt, B.; Kachelrieß, M. Normalized metal artifact reduction (NMAR) in computed tomography. Med. Phys. 2000, 19, 1238–1247. [Google Scholar]
- Wang, G.; Snyder, D.L.; O’Sullivan, J.A.; Vannier, M.W. Iterative deblurring for CT metal artifact reduction. IEEE Trans. Med. Imaging 1996, 15, 657–664. [Google Scholar] [CrossRef]
- Man, B.D.; Nuyts, J.; Dupont, P.; Marchal, G.; Suetens, P. An iterative maximum-likelihood polychromatic algorithm for CT. IEEE Trans. Med. Imaging 2001, 20, 999–1008. [Google Scholar] [CrossRef]
- Liao, H.; Lin, W.A.; Zhou, S.K.; Luo, J.B. ADN: Artifact disentanglement network for unsupervised metal artifact reduction. IEEE Trans. Med. Imaging 2020, 39, 634–643. [Google Scholar] [CrossRef] [Green Version]
- Lee, J.; Gu, J.; Ye, J.C. Unsupervised CT Metal Artifact Learning Using Attention-Guided β-CycleGAN. IEEE Trans. Med. Imaging 2021, 40, 3932–3944. [Google Scholar] [CrossRef]
- Liao, W.; Lin, H.; Peng, C.; Sun, X.H.; Zhang, J.D.; Luo, J.B.; Chellappa, R.; Zhou, S.H. DuDoNet: Dual Domain Network for CT Metal Artifact Reduction. In Proceedings of the IEEE/CVF Conference on Computer Vision and Pattern Recognition (CVPR), Long Beach, CA, USA, 15–20 June 2019. [Google Scholar]
- Liao, H.; Lin, W.; Huo, Z.; Vogelsang, L.; Sehnert, W.J.; Zhou, S.H.; Luo, J.B. Generative Mask Pyramid Network for CT/CBCT Metal Artifact Reduction with Joint Projection-Sinogram Correction. In Proceedings of the International Conference on Medical Image Computing and Computer Assisted Intervention (MICCAI), Shenzhen, China, 13–17 October 2019. [Google Scholar]
- Agrawal, A.; Hietanen, A.; Särkkä, S. Metal Artifact Reduction in Cone-beam Extremity Images Using Gated Convolutions. In Proceedings of the International Symposium on Biomedical Imaging (ISBI), Nice, France, 13–16 April 2021. [Google Scholar]
- What Is the Radiation Dose for Common Radiological Examinations? Available online: https://www.chunyuyisheng.com/pc/topic/407442/ (accessed on 10 November 2009).
- Chockalingam, N.; Dangerfield, P.H.; Giakas, G.; Cochrane, T.; Dorgan, J.C. Computer-assisted Cobb measurement of scoliosis. Eur. Spine J. 2002, 11, 353–357. [Google Scholar] [CrossRef] [Green Version]
- Samuvel, B.; Thomas, V.; Mini, M.G.; Renjith Kumar, J. A Mask Based Segmentation Algorithm for Automatic Measurement of Cobb Angle from Scoliosis X-Ray Image. In Proceedings of the International Conference on Advances in Computing and Communications (ICACC), Cochin, Kerala, India, 9–11 August 2012. [Google Scholar]
- Yang, D.; Lee, T.; Lai, K.; Lam, T.P.; Chu, W.; Castelein, R.M.; Cheng, J.; Zheng, Y.P. Semi-automatic ultrasound curve angle measurement for adolescent idiopathic scoliosis. Spine Deform. 2022, 10, 351–359. [Google Scholar] [CrossRef] [PubMed]
- Zhang, J.H.; Lou, E.; Hill, D.L.; Raso, J.V.; Wang, Y.Y.; Le, L.H.; Shi, X.L. Computer-aided assessment of scoliosis on posteroanterior radiographs. Med. Biol. Eng. Comput. 2010, 48, 185–195. [Google Scholar] [CrossRef] [PubMed]
- Anitha, H.; Karunakar, A.K.; Dinesh, K.V.N. Automatic Extraction of Vertebral Endplates from Scoliotic Radiographs Using Customized Filter. Biomed. Eng. Lett. 2014, 4, 158–165. [Google Scholar] [CrossRef]
- Williams, D.J.; Shah, M. A Fast Algorithm for Active Contours and Curvature Estimation. CVGIP Image Underst. 1992, 55, 14–26. [Google Scholar] [CrossRef]
- Anitha, H.G.; Prabhu, K. Automatic Quantification of Spinal Curvature in Scoliotic Radiograph using Image. J. Med. Syst. 2012, 36, 1943–1957. [Google Scholar]
- Roberts, M.G.; Cootes, T.F.; Adams, J.E. Linking Sequences of Active Appearance Sub-Models via Constraints: An Application in Automated Vertebral Morphometry. In Proceedings of the British Machine Vision Conference (BMVC), Norwich, UK, 1–2 September 2003. [Google Scholar]
- Jalba, A.C.; Wilkinson, M.; Roerdink, J. CPM: A Deformable Model for Shape Recovery and Segmentation Based on Charged Particles. IEEE Trans. Pattern Anal. Mach. Intell. 2004, 26, 1320–1335. [Google Scholar] [CrossRef] [Green Version]
- Sardjono, T.A.; Wilkinson, M.; Veldhuizen, A.G. Automatic Cobb Angle Determination From Radiographic Images. Spine 2013, 38, E1256–E1262. [Google Scholar] [CrossRef] [Green Version]
- Kusuma, B.A. Determination of spinal curvature from scoliosis X-ray images using K-means and curve fitting for early detection of scoliosis disease. In Proceedings of the Information Systems and Electrical Engineering (ICITISEE), Yogyakarta, Indonesia, 1–2 November 2017. [Google Scholar]
- Duncan, J.S.; Ayache, N. Medical image analysis: Progress over two decades and the challenges ahead. IEEE Trans. Pattern Anal. Mach. Intell. 2000, 22, 85–106. [Google Scholar] [CrossRef] [Green Version]
- Alharbi, R.H.; Alshaye, M.B.; Alkanhal, M.M.; Alharbi, N.M.; Alrehaili, O.A. Deep Learning Based Algorithm For Automatic Scoliosis Angle Measurement. In Proceedings of the International Conference on Medical Image Computing and Computer-Assisted Intervention (ICCAIS), Riyadh, Saudi Arabia, 19–21 March 2020. [Google Scholar]
- Ronneberger, O.; Fischer, P.; Brox, T. U-net: Convolutional networks for biomedical image segmentation. In Proceedings of the International Conference on Medical Image Computing and Computer-Assisted Intervention, Munich, Germany, 5–9 October 2015. [Google Scholar]
- Long, J.; Shelhamer, E.; Darrell, T. Fully Convolutional Networks for Semantic Segmentation. IEEE Trans. Pattern Anal. Mach. Intell. 2014, 39, 640–651. [Google Scholar]
- Tu, Y.; Wang, N.; Tong, F.; Chen, H. Automatic measurement algorithm of scoliosis Cobb angle based on deep learning. J. Phys. Conf. Ser. 2019, 1187, 042100. [Google Scholar] [CrossRef]
- Wang, Z.M.; Qin, J.Y.; Li, X.; He, Z.H. Automatic Image Segmentation and Cobb Measurement of Spine Base on U-Net. In Proceedings of the International Automatic Control Conference (CACS), Chiayi, Taiwan, 3–6 November 2021. [Google Scholar]
- Lin, Y.; Zhou, H.Y.; Ma, K.; Yang, X.; Zheng, Y.F. Seg4Reg Networks for Automated Spinal Curvature Estimation. In Computational Methods and Clinical Applications for Spine Imaging. CSI 2019. Lecture Notes in Computer Science, 1st ed.; Cai, Y., Wang, L., Eds.; Springer: Cham, Switzerland, 2020; Volume 11963, pp. 69–74. [Google Scholar]
- Zhang, C.; Wang, J.; He, J.; Gao, P.; Xie, G.T. Automated vertebral landmarks and spinal curvature estimation using non-directional part affinity fields. Neurocomputing 2021, 438, 280–289. [Google Scholar] [CrossRef]
- Chen, B.; Xu, Q.H.; Wang, L.S.; Leung, S.; Chung, J.; Li, S. An Automated and Accurate Spine Curve Analysis System. IEEE Access 2019, 7, 124596–124605. [Google Scholar] [CrossRef]
- Kim, K.C.; Yun, H.S.; Kim, S.J.; Seo, J.K. Automation of Spine Curve Assessment in Frontal Radiographs Using Deep Learning of Vertebral-Tilt Vector. IEEE Access 2020, 8, 84618–84630. [Google Scholar] [CrossRef]
- Zhang, J.; Li, H.; Ly, L.; Zhang, Y.F. Computer-Aided Cobb Measurement Based on Automatic Detection of Vertebral Slopes Using Deep Neural Network. Int. J. Biomed. Imaging 2017, 201, 6. [Google Scholar] [CrossRef] [PubMed] [Green Version]
- Sun, H.L.; Zhen, X.T.; Bailey, C.; Rasoulinejad, P.; Yin, Y.L.; Li, S. Direct Estimation of Spinal Cobb Angles by Structured Multi-Output Regression. In Proceedings of the International Conference on Information Processing in Medical Imaging, Boone, NC, USA, 25–30 June 2017. [Google Scholar]
- Wu, H.; Bailey, C.; Rasoulinejad, P.; Li, S. Automatic Landmark Estimation for Adolescent Idiopathic Scoliosis Assessment Using BoostNet. In Proceedings of the International Conference on Medical Image Computing and Computer-Assisted Intervention, Quebec City, QC, Canada, 10–14 September 2017. [Google Scholar]
- Wu, H.; Bailey, C.; Rasoulinejad, P.; Li, S. Automated Comprehensive Adolescent Idiopathic Scoliosis Assessment using MVC-Net. Med. Image Anal. 2018, 48, 1–11. [Google Scholar] [CrossRef]
- Xu, Q. Accurate Automated Cobb Angles Estimation using Multi-View Extrapolation Net. Master’s Thesis, Xiamen University, Xiamen, China, April 2019. [Google Scholar]
- Lin, Y.; Liu, L.Y.; Ma, K.; Zheng, Y.F. Seg4Reg+: Consistency Learning Between Spine Segmentation and Cobb Angle Regression. In Proceedings of the International Conference on Medical Image Computing and Computer-Assisted Intervention, Strasbourg, France, 27 September–1 October 2021. [Google Scholar]
- Vrtovec, T.; Pernus, F.; Likar, B. A review of methods for quantitative evaluation of spinal curvature. Eur. Spine J. 2009, 18, 593–607. [Google Scholar] [CrossRef] [Green Version]
- Yang, W.Z.; Li, T.; Li, F.; Liu, M.; Duan, C.G.; Tao, H.R.; Luo, Z.J. The Value of Three—Dimensional CT Reconstruction Imaging in Measuring the Cobb Angle in Severe Congenital Scoliosis. Prog. Mod. Biomed. 2015, 15, 6664–6707. [Google Scholar]
- Karpiel, I.; Ziębiński, A.; Kluszczyński, M.; Feige, D. A Survey of Methods and Technologies Used for Diagnosis of Scoliosis. Sensors 2021, 21, 8410. [Google Scholar] [CrossRef]
- Morrissy, R.T.; Goldsmith, G.S.; Hall, E.C.; Kehl, D.; Cowie, G.H. Measurement of the Cobb angle on radiographs of patients who have scoliosis: Evalution of intrinsic error. J. Bone Joint Surg. Am. Vol. 1990, 72, 320–327. [Google Scholar] [CrossRef] [Green Version]
- Yazici, M.; Acaroglu, E.R.; Alanay, A.; Deviren, V.; Cila, A.; Surat, A. Measurement of vertebral rotation in standing versussupine position in adolescent idiopathic scoliosis. J. Pediatric Orthopaed. 2001, 21, 252–256. [Google Scholar] [CrossRef]
- Torell, G.; Nachemson, A.; Haderspeck-Grib, K.; Schultz, A. Standing and supine Cobb measures in girls with idiopathic scoliosis. Spine 1985, 10, 425–427. [Google Scholar] [CrossRef] [PubMed]
- Pandey, P.U.; Quader, N.; Guy, P.; Garbi, R.; Hodgson, A.J. Ultrasound Bone Segmentation: A Scoping Review of Techniques and Validation Practices. Ultrasound Med. Biol. 2020, 46, 921–935. [Google Scholar] [CrossRef] [PubMed]
- Lyn, J.; Ling, S.H.; Banerjee, S.; Zheng, J.Y.; Lai, K.L.; Yang, D.; Zheng, Y.P.; Bi, X.J.; Su, S.; Chamoli, U. Ultrasound volume projection image quality selection by ranking from convolutional RankNet. Comput. Med. Imaging Graph. 2021, 89, 101847. [Google Scholar]
- Zheng, Y.P.; Lee, T.; Lai, K.; Yip, B.; Zhou, G.Q.; Jiang, W.W.; Cheung, J.; Wong, M.S.; Ng, B.; Cheng, J.; et al. A reliability and validity study for Scolioscan: A radiation-free scoliosis assessment system using 3D ultrasound imaging. Scoliosis Spinal Disord. 2016, 11, 1–15. [Google Scholar] [CrossRef] [PubMed] [Green Version]
- Cheung, C.J.; Zhou, G.Q.; Law, S.Y.; Mak, T.M.; Lai, K.L.; Zheng, Y.P. Ultrasound Volume Projection Imaging for Assessment of Scoliosis. IEEE Trans. Med. Imaging 2015, 34, 1760–1768. [Google Scholar] [CrossRef] [PubMed]
- Vo, Q.N.; Le, L.H.; Lou, E. A semi-automatic 3D ultrasound reconstruction method to assess the true severity of adolescent idiopathic scoliosis. Med. Biol. Eng. Comput. 2019, 57, 2115–2128. [Google Scholar] [CrossRef] [PubMed]
- Zhou, G.; Zheng, Y. Assessment of scoliosis using 3-D ultrasound volume projection imaging with automatic spine curvature detection. In Proceedings of the IEEE International Ultrasonics Symposium (IUS), Taipei, Taiwan, CHN, 21–24 October 2015. [Google Scholar]
- Cheung, C.W.; Zhou, G.Q.; Law, S.Y.; Lai, K.L.; Jiang, W.W.; Zheng, Y.P. Freehand three-dimensional ultrasound system for assessment of scoliosis. J. Orthopaedic Transl. 2015, 3, 123–133. [Google Scholar] [CrossRef] [Green Version]
- Zhou, G.; Jiang, W.; Lai, K.; Zheng, Y.P. Automatic Measurement of Spine Curvature on 3-D Ultrasound Volume Projection Image With Phase Features. IEEE Trans. Med. Imaging 2017, 36, 1250–1262. [Google Scholar] [CrossRef]
- Zhou, G.Q.; Li, D.S.; Zhou, P.; Jiang, W.W.; Zheng, Y.P. Automating Spine Curvature Measurement in Volumetric Ultrasound via Adaptive Phase Features. Ultrasound Med. Biol. 2020, 46, 828–841. [Google Scholar] [CrossRef]
- Li, D.S.; Zhou, G.Q.; He, Y.K.; Zhou, P.; He, S.Y.; Zheng, Y.P. Ultrasound Sagittal Projection Imaging for the Assessment of Scoliosis. In Proceedings of the IEEE International Ultrasonics Symposium (IUS), Virtual Symposium, 6–11 September 2020. [Google Scholar]
- Zeng, H.; Zheng, R.; Le, L.H.; Ta, D. Measuring Spinous Process Angle on Ultrasound Spine Images using the GVF Segmentation Method. In Proceedings of the IEEE International Ultrasonics Symposium (IUS), Glasgow, Scotland, UK, 6–9 October 2019. [Google Scholar]
- Ge, S.; Zeng, H.; Zheng, R. Automatic Measurement of Spinous Process Angles on Ultrasound Spine Images. In Proceedings of the 42 nd Annual International Conference of the IEEE Engineering in Medicine & Biology Society (EMBC), Montreal, QC, Canada, 20–24 July 2020. [Google Scholar]
- Zeng, H.Y.; Lou, E.; Ge, S.H.; Liu, Z.C.; Zheng, R. Automatic Detection and Measurement of Spinous Process Curve on Clinical Ultrasound Spine Images. IEEE Trans. Ultrason. Ferroelectr. 2021, 68, 1696–1706. [Google Scholar] [CrossRef]
- Herzenberg, J.E.; Waanders, N.A.; Closkey, R.F.; Schultz, A.B.; Hensinger, R.N. Cobb angle versus spinous process angle in adolescent idiopathic scoliosis: The relationship of the anterior and posterior deformities. Spine 1990, 15, 874–879. [Google Scholar] [CrossRef] [PubMed]
- Chen, H.B.; Zheng, R.; Qian, L.Y.; Liu, F.Y.; Song, S.; Zeng, H.Y. Improvement of 3-D Ultrasound Spine Imaging Technique Using Fast Reconstruction Algorithm. IEEE Trans. Ultrason. Ferroelectr. Freq. Control. 2021, 68, 3104–3113. [Google Scholar] [CrossRef] [PubMed]
- Huang, Q.; Zhang, F.; Li, X. Machine Learning in Ultrasound Computer-Aided Diagnostic Systems: A Survey. BioMed. Res. Int. 2018, 2018, 5137904. [Google Scholar] [CrossRef] [PubMed]
- Alsinan, A.Z.; Patel, V.M.; Hacihaliloglu, I. Automatic segmentation of bone surfaces from ultrasound using a filter-layer-guided CNN. Int. J. CARS 2019, 14, 775–783. [Google Scholar] [CrossRef] [PubMed]
- Salehi, M.; Prevost, R.; Moctezuma, J.L.; Nasvab, N.; Wein, W. Precise Ultrasound Bone Registration with Learning-Based Segmentation and Speed of Sound Calibration. In Proceedings of the International Conference on Medical Image Computing and Computer-Assisted Intervention, Quebec City, QC, Canada, 10–14 September 2017. [Google Scholar]
- Villa, M.; Dardenne, G.; Nasan, M.; Letissier, H.; Hamitouche, C.; Stindel, E. FCN-based approach for the automatic segmentation of bone surfaces in ultrasound images. Int. J. CARS 2018, 13, 1707–1716. [Google Scholar] [CrossRef]
- Gilboa, G.; Zeevi, Y.Y.; Sochen, N. Complex Diffusion Processes for Image Filtering, 1st ed.; Springer: Berlin/Heidelberg, Germany, 2001. [Google Scholar]
- Wang, C.H.; Li, Y.Z.; Ito, W.; Shimura, K.; Abe, K. A machine learning approach to extract spinal column centerline from three-dimensional CT data. Proc. SPIE 2009, 7259, T1–T8. [Google Scholar]
- Liu, Z.; Qian, L.Y.; Jing, W.K.; Zhou, D.S.; He, X.M.; Lou, E.; Zheng, R. Automatic spinal curvature measurement on ultrasound spine images using Faster R-CNN. In Proceedings of the IEEE International Ultrasonics Symposium (IUS), Virtual Symposium, 11–16 September 2021. [Google Scholar]
- Huang, Z.; Wang, L.W.; Leung, F.; Banerjee, S.; Yang, D.; Lee, T.; Lyn, J.; Ling, S.H.; Zheng, Y.P. Bone Feature Segmentation in Ultrasound Spine Image with Robustness to Speckle and Regular Occlusion Noise. In Proceedings of the IEEE International Conference on Systems, Man, and Cybernetics (SMC), Toronto, ON, Canada, 11–14 October 2020. [Google Scholar]
- Banerjee, S.; Lyu, J.; Huang, Z.; Leung, H.; Lee, T.; Yang, D.; Su, S.; Zheng, Y.P.; Ling, A.H. Light-Convolution Dense Selection U-Net (LDS U-Net) for Ultrasound Lateral Bony Feature Segmentation. Appl. Sci. 2021, 11, 10180. [Google Scholar] [CrossRef]
- Sekuboyina, A.; Husseini, M.E.; Bayat, A.; Löffler, M.; Liebl, H.; Li, H.W.; Tetteh, G.; Kukačka, J.; Payer, C.; Štern, D. VerSe: A Vertebrae labelling and segmentation benchmark for multi-detector CT images. Med. Image Anal. 2021, 73, 1–32. [Google Scholar] [CrossRef]
- Payer, C.; Štern, D.; Bischof, H.; Urschler, M. Coarse to Fine Vertebrae Localization and Segmentationwith SpatialConfiguration-Net and U-Net. In Proceedings of the International Joint Conference on Computer Vision, Imaging and Computer Graphics Theory and Applications (VISIGRAPP), Valleta, Malta, 27–29 February 2020. [Google Scholar]









| Measure | Definition |
|---|---|
| Technical Error of Measurement (TEM) | |
| Standard Deviation (SD) | |
| Average Reliability Coefficient (R) | |
| Intra- or Inter-class Correlation Co-efficient (ICC) | |
| Mean Absolute Difference (MAD) | |
| Mean Square Error (MSE) |
Publisher’s Note: MDPI stays neutral with regard to jurisdictional claims in published maps and institutional affiliations. |
© 2022 by the authors. Licensee MDPI, Basel, Switzerland. This article is an open access article distributed under the terms and conditions of the Creative Commons Attribution (CC BY) license (https://creativecommons.org/licenses/by/4.0/).
Share and Cite
Jin, C.; Wang, S.; Yang, G.; Li, E.; Liang, Z. A Review of the Methods on Cobb Angle Measurements for Spinal Curvature. Sensors 2022, 22, 3258. https://doi.org/10.3390/s22093258
Jin C, Wang S, Yang G, Li E, Liang Z. A Review of the Methods on Cobb Angle Measurements for Spinal Curvature. Sensors. 2022; 22(9):3258. https://doi.org/10.3390/s22093258
Chicago/Turabian StyleJin, Chen, Shengru Wang, Guodong Yang, En Li, and Zize Liang. 2022. "A Review of the Methods on Cobb Angle Measurements for Spinal Curvature" Sensors 22, no. 9: 3258. https://doi.org/10.3390/s22093258
APA StyleJin, C., Wang, S., Yang, G., Li, E., & Liang, Z. (2022). A Review of the Methods on Cobb Angle Measurements for Spinal Curvature. Sensors, 22(9), 3258. https://doi.org/10.3390/s22093258

