Galangin’s Neuroprotective Role: Targeting Oxidative Stress, Inflammation, and Apoptosis in Ischemic Stroke in a Rat Model of Permanent Middle Cerebral Artery Occlusion
Abstract
1. Introduction
2. Results
2.1. Effect of Galangin on Neurological Deficit Score
2.2. Effect of Galangin on Brain Edema
2.3. Effect of Galangin on the Density of Surviving Neurons
2.4. Galangin Treatment Ameliorates the Alterations of Microglial Morphology Following Ischemic Stroke
2.5. Effect of Galangin on Myeloperoxidase Activity
2.6. Effect of Galangin on Superoxide Dismutase Activity
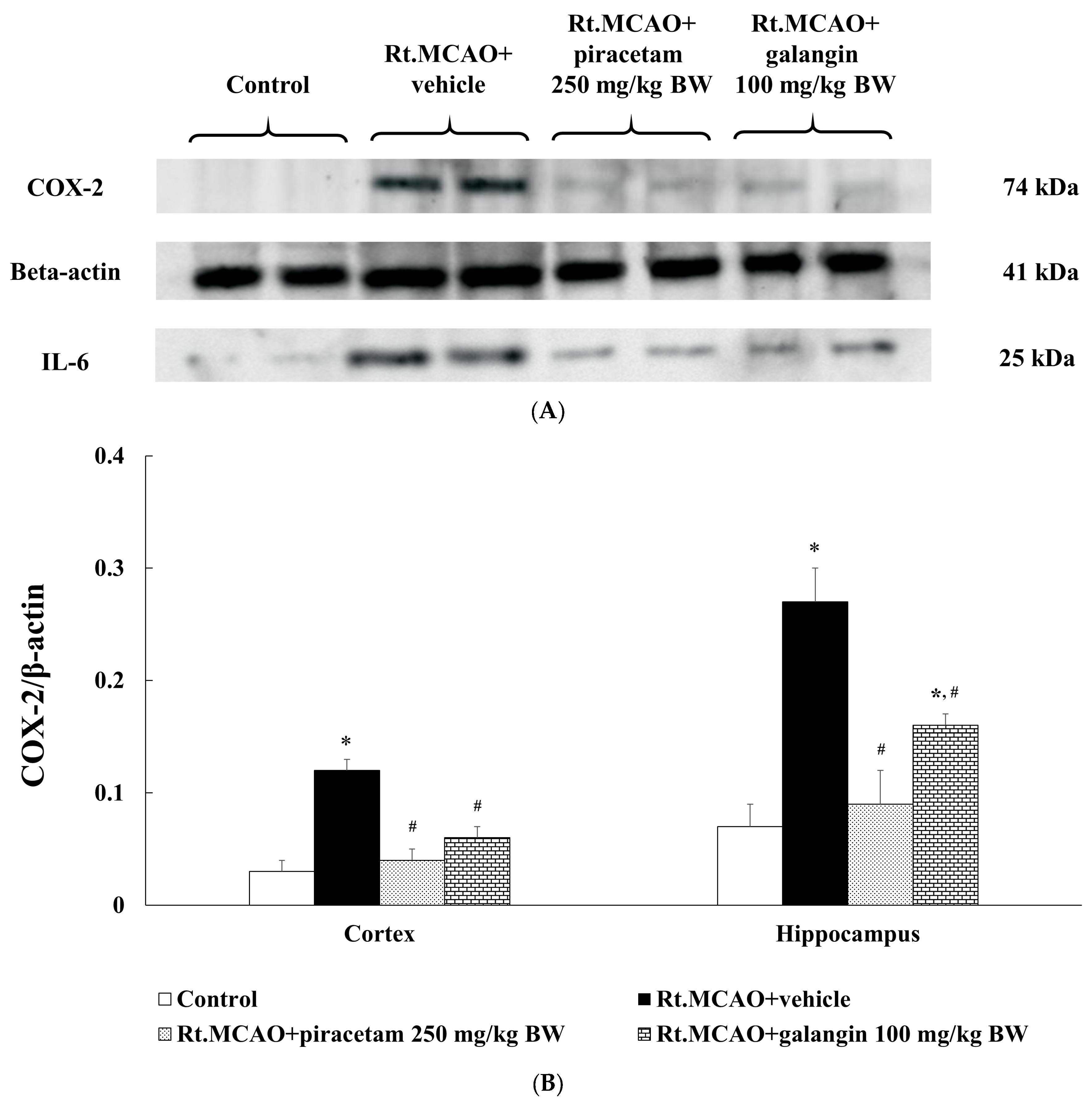
2.7. Anti-Inflammatory Effects of Galangin in Rt.MCAO-Induced Rats
2.8. Neuroprotective Role of Galangin in Rats with Rt.MCAO-Induced Injury via Activation of Anti-Apoptotic Pathways
3. Discussion
4. Materials and Methods
4.1. Test Treatments
4.2. Experimental Design
- (i)
- Control group: The rats underwent a surgical procedure to expose the right middle cerebral artery without occlusion (sham operation) and received no treatment.
- (ii)
- Rt.MCAO + vehicle: The rats were subjected to Rt. MCAO and were administered an intraperitoneal (i.p.) vehicle (1%DMSO).
- (iii)
- Rt.MCAO + piracetam 250 mg/kg body weight (BW): The rats were subjected to Rt. MCAO and administered i.p. piracetam at a dose of 250 mg/kg BW.
- (iv)
- Rt.MCAO + galangin 25 mg/kg BW: The rats were subjected to Rt. MCAO and were administered i.p. galangin at a dose of 25 mg/kg BW.
- (v)
- Rt.MCAO + galangin 50 mg/kg BW: The rats were subjected to Rt. MCAO and were administered i.p. galangin at a dose of 50 mg/kg BW.
- (vi)
- Rt.MCAO + galangin 100 mg/kg BW: The rats were subjected to MCAO and were administered i.p. galangin at a dose of 100 mg/kg BW.
4.3. Induction of Right Middle Cerebral Artery Occlusion
4.4. Assessment of Neurological Deficit Score
4.5. Assessment of Brain Edema
4.6. Assessment of Neuronal Density
4.7. Immunohistochemical Staining of Microglia
4.8. Assessment of Protein Concentration
4.9. Determination of MPO Activity
4.10. Determination of SOD Activity
4.11. Western Blotting
4.12. Statistical Analysis
5. Conclusions
Author Contributions
Funding
Institutional Review Board Statement
Informed Consent Statement
Data Availability Statement
Acknowledgments
Conflicts of Interest
References
- Gebreyohannes, E.A.; Bhagavathula, A.S.; Abebe, T.B.; Seid, M.A.; Haile, K.T. In-Hospital Mortality Among Ischemic Stroke Patients in Gondar University Hospital: A Retrospective Cohort Study. Stroke Res. Treat. 2019, 2019, 7275063. [Google Scholar] [CrossRef] [PubMed]
- Hankey, G.J. Stroke: How large a public health problem, and how can the neurologist help? Arch Neurol. 1999, 56, 748–754. [Google Scholar] [CrossRef] [PubMed]
- Bersano, A.; Gatti, L. Pathophysiology and Treatment of Stroke: Present Status and Future Perspectives. Int. J. Mol. Sci. 2023, 24, 14848. [Google Scholar] [CrossRef] [PubMed]
- Salaudeen, M.A.; Bello, N.; Danraka, R.N.; Ammani, M.L. Understanding the Pathophysiology of Ischemic Stroke: The Basis of Current Therapies and Opportunity for New Ones. Biomolecules 2024, 14, 305. [Google Scholar] [CrossRef]
- Yang, J.; Yang, J.; Luo, Y.; Ran, D.; Xia, R.; Zheng, Q.; Yao, P.; Wang, H. Nrf1 Reduces COX-2 Expression and Maintains Cellular Homeostasis After Cerebral Ischemia/Reperfusion By Targeting IL-6/TNF-alpha Protein Production. J. Neuroimmune Pharmacol. 2024, 19, 41. [Google Scholar] [CrossRef]
- Li, Z.; Xiao, G.; Wang, H.; He, S.; Zhu, Y. A preparation of Ginkgo biloba L. leaves extract inhibits the apoptosis of hippocampal neurons in post-stroke mice via regulating the expression of Bax/Bcl-2 and Caspase-3. J. Ethnopharmacol. 2021, 280, 114481. [Google Scholar] [CrossRef]
- Wang, Y.C.; Lu, Y.B.; Huang, X.L.; Lao, Y.F.; Zhang, L.; Yang, J.; Shi, M.; Ma, H.L.; Pan, Y.W.; Zhang, Y.N. Myeloperoxidase: A new target for the treatment of stroke? Neural Regen. Res. 2022, 17, 1711–1716. [Google Scholar] [CrossRef]
- Zheng, M.; Liu, Y.; Zhang, G.; Yang, Z.; Xu, W.; Chen, Q. The Applications and Mechanisms of Superoxide Dismutase in Medicine, Food, and Cosmetics. Antioxidants 2023, 12, 1675. [Google Scholar] [CrossRef]
- Thapa, R.; Afzal, O.; Alfawaz Altamimi, A.S.; Goyal, A.; Almalki, W.H.; Alzarea, S.I.; Kazmi, I.; Jakhmola, V.; Singh, S.K.; Dua, K.; et al. Galangin as an inflammatory response modulator: An updated overview and therapeutic potential. Chem. Interact. 2023, 378, 110482. [Google Scholar] [CrossRef]
- Hassanein, E.H.M.; Abd El-Maksoud, M.S.; Ibrahim, I.M.; Abd-Alhameed, E.K.; Althagafy, H.S.; Mohamed, N.M.; Ross, S.A. The molecular mechanisms underlying anti-inflammatory effects of galangin in different diseases. Phytother. Res. 2023, 37, 3161–3181. [Google Scholar] [CrossRef]
- Li, S.; Wu, C.; Zhu, L.; Gao, J.; Fang, J.; Li, D.; Fu, M.; Liang, R.; Wang, L.; Cheng, M.; et al. By improving regional cortical blood flow, attenuating mitochondrial dysfunction and sequential apoptosis galangin acts as a potential neuroprotective agent after acute ischemic stroke. Molecules 2012, 17, 13403–13423. [Google Scholar] [CrossRef] [PubMed]
- Huang, Y.C.; Tsai, M.S.; Hsieh, P.C.; Shih, J.H.; Wang, T.S.; Wang, Y.C.; Lin, T.H.; Wang, S.H. Galangin ameliorates cisplatin-induced nephrotoxicity by attenuating oxidative stress, inflammation and cell death in mice through inhibition of ERK and NF-kappaB signaling. Toxicol. Appl. Pharmacol. 2017, 329, 128–139. [Google Scholar] [CrossRef] [PubMed]
- Tomar, A.; Vasisth, S.; Khan, S.I.; Malik, S.; Nag, T.C.; Arya, D.S.; Bhatia, J. Galangin ameliorates cisplatin induced nephrotoxicity in vivo by modulation of oxidative stress, apoptosis and inflammation through interplay of MAPK signaling cascade. Phytomedicine 2017, 34, 154–161. [Google Scholar] [CrossRef] [PubMed]
- Yang, R.; Chen, K.; Zhao, Y.; Tian, P.; Duan, F.; Sun, W.; Liu, Y.; Yan, Z.; Li, S. Analysis of Potential Amino Acid Biomarkers in Brain Tissue and the Effect of Galangin on Cerebral Ischemia. Molecules 2016, 21, 438. [Google Scholar] [CrossRef]
- Wu, C.; Chen, J.; Chen, C.; Wang, W.; Wen, L.; Gao, K.; Chen, X.; Xiong, S.; Zhao, H.; Li, S. Wnt/beta-catenin coupled with HIF-1alpha/VEGF signaling pathways involved in galangin neurovascular unit protection from focal cerebral ischemia. Sci. Rep. 2015, 5, 16151. [Google Scholar] [CrossRef]
- Supawat, A.; Palachai, N.; Jittiwat, J. Effect of galangin on oxidative stress, antioxidant defenses and mitochondrial dynamics in a rat model of focal cerebral ischemia. Biomed. Rep. 2025, 22, 10. [Google Scholar] [CrossRef]
- Zhang, J.; Hu, S.; Gao, Y.; Wei, X.; Qu, Y.; Gao, R.; Lv, Y.; Wang, J.; Wang, Y.; Yang, J.; et al. Galangin alleviated myocardial ischemia-reperfusion injury by enhancing autophagic flux and inhibiting inflammation. Eur. J. Pharmacol. 2023, 945, 175621. [Google Scholar] [CrossRef]
- Barthels, D.; Das, H. Current advances in ischemic stroke research and therapies. Biochim. Biophys. Acta Mol. Basis Dis. 2020, 1866, 165260. [Google Scholar] [CrossRef]
- Fluri, F.; Schuhmann, M.K.; Kleinschnitz, C. Animal models of ischemic stroke and their application in clinical research. Drug Des. Dev. Ther. 2015, 9, 3445–3454. [Google Scholar] [CrossRef]
- Lakhan, S.E.; Kirchgessner, A.; Hofer, M. Inflammatory mechanisms in ischemic stroke: Therapeutic approaches. J. Transl. Med. 2009, 7, 97. [Google Scholar] [CrossRef]
- Kelly, P.J.; Lemmens, R.; Tsivgoulis, G. Inflammation and Stroke Risk: A New Target for Prevention. Stroke 2021, 52, 2697–2706. [Google Scholar] [CrossRef] [PubMed]
- Radak, D.; Katsiki, N.; Resanovic, I.; Jovanovic, A.; Sudar-Milovanovic, E.; Zafirovic, S.; Mousad, S.A.; Isenovic, E.R. Apoptosis and Acute Brain Ischemia in Ischemic Stroke. Curr. Vasc. Pharmacol. 2017, 15, 115–122. [Google Scholar] [CrossRef]
- Li, Z.; Bi, R.; Sun, S.; Chen, S.; Chen, J.; Hu, B.; Jin, H. The Role of Oxidative Stress in Acute Ischemic Stroke-Related Thrombosis. Oxid. Med. Cell. Longev. 2022, 2022, 8418820. [Google Scholar] [CrossRef]
- Jayaraj, R.L.; Azimullah, S.; Beiram, R.; Jalal, F.Y.; Rosenberg, G.A. Neuroinflammation: Friend and foe for ischemic stroke. J Neuroinflammation 2019, 16, 142. [Google Scholar] [CrossRef] [PubMed]
- Yan, F.; Tang, H.; Wang, L.; Huang, L.; Zhang, J. Editorial: Mitochondrial Dysfunction in Stroke. Front. Aging Neurosci. 2022, 14, 888952. [Google Scholar] [CrossRef] [PubMed]
- Garcia-Pupo, L.; Van San, E.; Delgado-Hernandez, R.; Vanden Berghe, T.; Vanden Berghe, W. Emerging immune and cell death mechanisms in stroke: Saponins as therapeutic candidates. Brain Behav. Immun. Health 2020, 9, 100152. [Google Scholar] [CrossRef]
- Lai, K.; Pritisanac, I.; Liu, Z.Q.; Liu, H.W.; Gong, L.N.; Li, M.X.; Lu, J.F.; Qi, X.; Xu, T.L.; Forman-Kay, J.; et al. Glutamate acts on acid-sensing ion channels to worsen ischaemic brain injury. Nature 2024, 631, 826–834. [Google Scholar] [CrossRef]
- Afzal, S.; Abdul Manap, A.S.; Attiq, A.; Albokhadaim, I.; Kandeel, M.; Alhojaily, S.M. From imbalance to impairment: The central role of reactive oxygen species in oxidative stress-induced disorders and therapeutic exploration. Front. Pharmacol. 2023, 14, 1269581. [Google Scholar] [CrossRef]
- Wicha, P.; Tocharus, J.; Janyou, A.; Jittiwat, J.; Chaichompoo, W.; Suksamrarn, A.; Tocharus, C. Hexahydrocurcumin alleviated blood-brain barrier dysfunction in cerebral ischemia/reperfusion rats. Pharmacol. Rep. 2020, 72, 659–671. [Google Scholar] [CrossRef]
- Chen, S.; Chen, H.; Du, Q.; Shen, J. Targeting Myeloperoxidase (MPO) Mediated Oxidative Stress and Inflammation for Reducing Brain Ischemia Injury: Potential Application of Natural Compounds. Front. Physiol. 2020, 11, 433. [Google Scholar] [CrossRef]
- Fesharaki-Zadeh, A. Oxidative Stress in Traumatic Brain Injury. Int. J. Mol. Sci. 2022, 23, 13000. [Google Scholar] [CrossRef] [PubMed]
- Li, P.; Niu, C.; Du, X.; Zhao, M.; Wang, H.; Yang, D.; Li, Y.; Jing, W. Myeloperoxidase to high-density lipoprotein ratio: Potential predictor of severity and outcome in patients with acute ischemic stroke. Brain Res. 2024, 1833, 148883. [Google Scholar] [CrossRef] [PubMed]
- Kim, H.J.; Wei, Y.; Wojtkiewicz, G.R.; Lee, J.Y.; Moskowitz, M.A.; Chen, J.W. Reducing myeloperoxidase activity decreases inflammation and increases cellular protection in ischemic stroke. J. Cereb. Blood Flow Metab. 2019, 39, 1864–1877. [Google Scholar] [CrossRef] [PubMed]
- Fu, C.; Wu, Y.; Liu, S.; Luo, C.; Lu, Y.; Liu, M.; Wang, L.; Zhang, Y.; Liu, X. Rehmannioside A improves cognitive impairment and alleviates ferroptosis via activating PI3K/AKT/Nrf2 and SLC7A11/GPX4 signaling pathway after ischemia. J. Ethnopharmacol. 2022, 289, 115021. [Google Scholar] [CrossRef]
- Lin, W.; Chen, H.; Chen, X.; Guo, C. The Roles of Neutrophil-Derived Myeloperoxidase (MPO) in Diseases: The New Progress. Antioxidants 2024, 13, 132. [Google Scholar] [CrossRef]
- Bui, T.A.; Jickling, G.C.; Winship, I.R. Neutrophil dynamics and inflammaging in acute ischemic stroke: A transcriptomic review. Front. Aging Neurosci. 2022, 14, 1041333. [Google Scholar] [CrossRef]
- Aladaileh, S.H.; Abukhalil, M.H.; Saghir, S.A.M.; Hanieh, H.; Alfwuaires, M.A.; Almaiman, A.A.; Bin-Jumah, M.; Mahmoud, A.M. Galangin Activates Nrf2 Signaling and Attenuates Oxidative Damage, Inflammation, and Apoptosis in a Rat Model of Cyclophosphamide-Induced Hepatotoxicity. Biomolecules 2019, 9, 346. [Google Scholar] [CrossRef]
- Khawaja, G.; El-Orfali, Y.; Shoujaa, A.; Abou Najem, S. Galangin: A Promising Flavonoid for the Treatment of Rheumatoid Arthritis-Mechanisms, Evidence, and Therapeutic Potential. Pharmaceuticals 2024, 17, 963. [Google Scholar] [CrossRef]
- Verma, D.K.; Gupta, S.; Biswas, J.; Joshi, N.; Singh, A.; Gupta, P.; Tiwari, S.; Sivarama Raju, K.; Chaturvedi, S.; Wahajuddin, M.; et al. New therapeutic activity of metabolic enhancer piracetam in treatment of neurodegenerative disease: Participation of caspase independent death factors, oxidative stress, inflammatory responses and apoptosis. Biochim. Biophys. Acta Mol. Basis Dis. 2018, 1864, 2078–2096. [Google Scholar] [CrossRef]
- Liu, J.; Yang, N.; Wang, X.; Wang, W. Piracetam reduces oxidative stress and mitochondrial function impairment in an in vitro model of vascular dementia. Exp. Brain Res. 2024, 242, 1841–1850. [Google Scholar] [CrossRef]
- Kurz, C.; Ungerer, I.; Lipka, U.; Kirr, S.; Schutt, T.; Eckert, A.; Leuner, K.; Muller, W.E. The metabolic enhancer piracetam ameliorates the impairment of mitochondrial function and neurite outgrowth induced by beta-amyloid peptide. Br. J. Pharmacol. 2010, 160, 246–257. [Google Scholar] [CrossRef] [PubMed]
- Mani, V.; Rabbani, S.I.; Shariq, A.; Amirthalingam, P.; Arfeen, M. Piracetam as a Therapeutic Agent for Doxorubicin-Induced Cognitive Deficits by Enhancing Cholinergic Functions and Reducing Neuronal Inflammation, Apoptosis, and Oxidative Stress in Rats. Pharmaceuticals 2022, 15, 1563. [Google Scholar] [CrossRef] [PubMed]
- Kongsui, R.; Jittiwat, J. Ameliorative effects of 6-gingerol in cerebral ischemia are mediated via the activation of antioxidant and anti-inflammatory pathways. Biomed. Rep. 2023, 18, 26. [Google Scholar] [CrossRef] [PubMed]
- Kongsui, R.; Jittiwat, J. In vivo protective effects of 6-gingerol in cerebral ischemia involve preservation of antioxidant defenses and activation of anti-apoptotic pathways. Biomed. Rep. 2024, 20, 85. [Google Scholar] [CrossRef]
- Abomosallam, M.; Hendam, B.M.; Abdallah, A.A.; Refaat, R.; Elshatory, A.; Gad El Hak, H.N. Neuroprotective effect of piracetam-loaded magnetic chitosan nanoparticles against thiacloprid-induced neurotoxicity in albino rats. Inflammopharmacology 2023, 31, 943–965. [Google Scholar] [CrossRef]
- Fessel, J. Prevention of Alzheimer’s disease by treating mild cognitive impairment with combinations chosen from eight available drugs. Alzheimer’s Dement. 2019, 5, 780–788. [Google Scholar] [CrossRef]
- Xie, L.; He, M.; Ying, C.; Chu, H. Mechanisms of inflammation after ischemic stroke in brain-peripheral crosstalk. Front. Mol. Neurosci. 2024, 17, 1400808. [Google Scholar] [CrossRef]
- Gao, C.; Jiang, J.; Tan, Y.; Chen, S. Microglia in neurodegenerative diseases: Mechanism and potential therapeutic targets. Signal Transduct. Target. Ther. 2023, 8, 359. [Google Scholar] [CrossRef]
- Jittiwat, J.; Suksamrarn, A.; Tocharus, C.; Tocharus, J. Dihydrocapsaicin effectively mitigates cerebral ischemia-induced pathological changes in vivo, partly via antioxidant and anti-apoptotic pathways. Life Sci. 2021, 283, 119842. [Google Scholar] [CrossRef]
- Jittiwat, J.; Chonpathompikunlert, P.; Sukketsiri, W. Neuroprotective effects of Apium graveolens against focal cerebral ischemia occur partly via antioxidant, anti-inflammatory, and anti-apoptotic pathways. J. Sci. Food Agric. 2021, 101, 2256–2263. [Google Scholar] [CrossRef]
- Liu, G.; Wang, T.; Wang, T.; Song, J.; Zhou, Z. Effects of apoptosis-related proteins caspase-3, Bax and Bcl-2 on cerebral ischemia rats. Biomed. Rep. 2013, 1, 861–867. [Google Scholar] [CrossRef] [PubMed]
- Gupta, R.; Ghosh, S. Putative roles of mitochondrial Voltage-Dependent Anion Channel, Bcl-2 family proteins and c-Jun N-terminal Kinases in ischemic stroke associated apoptosis. Biochim. Open 2017, 4, 47–55. [Google Scholar] [CrossRef] [PubMed]
- Kaiser, E.E.; West, F.D. Large animal ischemic stroke models: Replicating human stroke pathophysiology. Neural Regen. Res. 2020, 15, 1377–1387. [Google Scholar] [CrossRef] [PubMed]
- Dordoe, C.; Huang, W.; Bwalya, C.; Wang, X.; Shen, B.; Wang, H.; Wang, J.; Ye, S.; Wang, P.; Xiaoyan, B.; et al. The role of microglial activation on ischemic stroke: Modulation by fibroblast growth factors. Cytokine Growth Factor Rev. 2023, 74, 122–133. [Google Scholar] [CrossRef]
- Zhao, S.C.; Ma, L.S.; Chu, Z.H.; Xu, H.; Wu, W.Q.; Liu, F. Regulation of microglial activation in stroke. Acta Pharmacol. Sin. 2017, 38, 445–458. [Google Scholar] [CrossRef]
- National Center for Biotechnology Information. PubChem Compound Summary for CID 5281616, Galangin. Available online: https://pubchem.ncbi.nlm.nih.gov/compound/Galangin (accessed on 19 December 2024).
- Charan, J.; Kantharia, N.D. How to calculate sample size in animal studies? J. Pharmacol. Pharmacother. 2013, 4, 303–306. [Google Scholar] [CrossRef]
- Vanichbuncha, K. Statistical Analysis: Statistics for Decision Making, 4th ed.; Chulalongkorn University Press: Bangkok, Thailand, 1999. [Google Scholar]
- Palachai, N.; Wattanathorn, J.; Muchimapura, S.; Thukham-Mee, W. Phytosome Loading the Combined Extract of Mulberry Fruit and Ginger Protects Against Cerebral Ischemia in Metabolic Syndrome Rats. Oxid. Med. Cell. Longev. 2020, 2020, 5305437. [Google Scholar] [CrossRef]
- van der Zijden, J.P.; Bouts, M.J.; Wu, O.; Roeling, T.A.; Bleys, R.L.; van der Toorn, A.; Dijkhuizen, R.M. Manganese-enhanced MRI of brain plasticity in relation to functional recovery after experimental stroke. J. Cereb. Blood Flow Metab. 2008, 28, 832–840. [Google Scholar] [CrossRef]
- Jittiwat, J. Laser Acupuncture at GV20 Improves Brain Damage and Oxidative Stress in Animal Model of Focal Ischemic Stroke. J. Acupunct. Meridian Stud. 2017, 10, 324–330. [Google Scholar] [CrossRef]
- Thongrong, S.; Surapinit, S.; Promsrisuk, T.; Jittiwat, J.; Kongsui, R. Pinostrobin alleviates chronic restraint stress-induced cognitive impairment by modulating oxidative stress and the function of astrocytes in the hippocampus of rats. Biomed. Rep. 2023, 18, 20. [Google Scholar] [CrossRef]
- Lowry, O.H.; Rosebrough, N.J.; Farr, A.L.; Randall, R.J. Protein measurement with the Folin phenol reagent. J. Biol. Chem. 1951, 193, 265–275. [Google Scholar] [CrossRef] [PubMed]
- Jittiwat, J. Baihui Point Laser Acupuncture Ameliorates Cognitive Impairment, Motor Deficit, and Neuronal Loss Partly via Antioxidant and Anti-Inflammatory Effects in an Animal Model of Focal Ischemic Stroke. Evid. Based Complement. Altern. Med. 2019, 2019, 1204709. [Google Scholar] [CrossRef] [PubMed]











| Neurological Deficit Score for Rats | ||
|---|---|---|
| Sign | Description | Score |
| 1. Motility, spontaneous activity | Normal | 0 |
| Slightly reduced exploratory behavior | 1 | |
| Moving limbs without proceeding | 2 | |
| Moving only to stimuli | 3 | |
| Unresponsive to stimuli, normal muscle tone | 4 | |
| Severely reduced muscle tone, premortal signs | 5 | |
| 2. Gait disturbances | Straight walking | 0 |
| Walking toward contralateral side | 1 | |
| Alternate circling and walking straight | 2 | |
| Alternate circling and walking towards paretic side | 3 | |
| Circling and/or other gait disturbances | 4 | |
| Constant circling towards paretic side | 5 | |
| 3. Postural signs | ||
| 3.1 Forelimb flexion | Degree of limb flexion when held by tail | 0–2 |
| 3.2 Thorax twisting | Degree of body rotation when held by tail | 0–2 |
| 4. Lateral resistance | Degree of resistance against lateral push | 0–2 |
| 5. Limb placing | ||
| 5.1 Ipsilesional forelimb | Normal, weak, or no placing | 0–2 |
| 5.2 Contralateral forelimb | Normal, weak, or no placing | 0–2 |
| Total score | 20 | |
Disclaimer/Publisher’s Note: The statements, opinions and data contained in all publications are solely those of the individual author(s) and contributor(s) and not of MDPI and/or the editor(s). MDPI and/or the editor(s) disclaim responsibility for any injury to people or property resulting from any ideas, methods, instructions or products referred to in the content. |
© 2025 by the authors. Licensee MDPI, Basel, Switzerland. This article is an open access article distributed under the terms and conditions of the Creative Commons Attribution (CC BY) license (https://creativecommons.org/licenses/by/4.0/).
Share and Cite
Palachai, N.; Supawat, A.; Kongsui, R.; Klimaschewski, L.; Jittiwat, J. Galangin’s Neuroprotective Role: Targeting Oxidative Stress, Inflammation, and Apoptosis in Ischemic Stroke in a Rat Model of Permanent Middle Cerebral Artery Occlusion. Int. J. Mol. Sci. 2025, 26, 1847. https://doi.org/10.3390/ijms26051847
Palachai N, Supawat A, Kongsui R, Klimaschewski L, Jittiwat J. Galangin’s Neuroprotective Role: Targeting Oxidative Stress, Inflammation, and Apoptosis in Ischemic Stroke in a Rat Model of Permanent Middle Cerebral Artery Occlusion. International Journal of Molecular Sciences. 2025; 26(5):1847. https://doi.org/10.3390/ijms26051847
Chicago/Turabian StylePalachai, Nut, Araya Supawat, Ratchaniporn Kongsui, Lars Klimaschewski, and Jinatta Jittiwat. 2025. "Galangin’s Neuroprotective Role: Targeting Oxidative Stress, Inflammation, and Apoptosis in Ischemic Stroke in a Rat Model of Permanent Middle Cerebral Artery Occlusion" International Journal of Molecular Sciences 26, no. 5: 1847. https://doi.org/10.3390/ijms26051847
APA StylePalachai, N., Supawat, A., Kongsui, R., Klimaschewski, L., & Jittiwat, J. (2025). Galangin’s Neuroprotective Role: Targeting Oxidative Stress, Inflammation, and Apoptosis in Ischemic Stroke in a Rat Model of Permanent Middle Cerebral Artery Occlusion. International Journal of Molecular Sciences, 26(5), 1847. https://doi.org/10.3390/ijms26051847

