Unravelling Different Water Management Strategies in Three Olive Cultivars: The Role of Osmoprotectants, Proteins, and Wood Properties
Abstract
1. Introduction
2. Results
2.1. Sugar Levels
2.2. Proline Content
2.3. Starch Content
2.4. PIP1 Aquaporin Levels
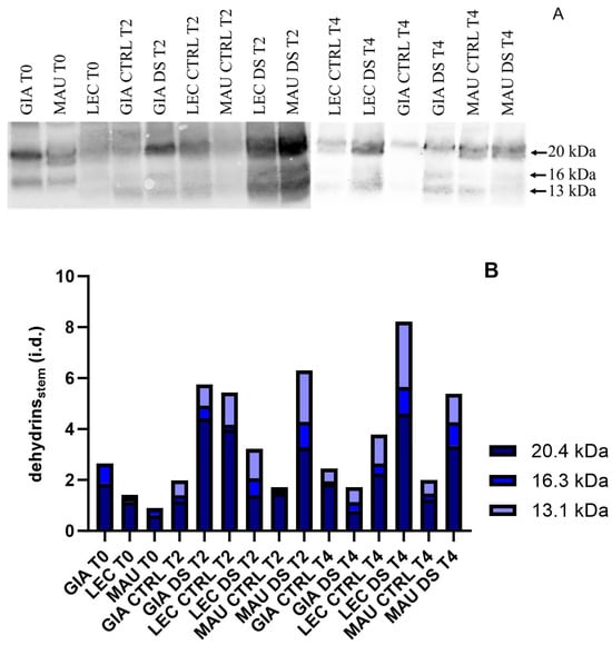
2.5. Dehydrin Levels
2.6. Osmotin Levels
2.7. Lignin Content and Composition
2.8. Xylem Anatomy
3. Discussion
4. Materials and Methods
4.1. Cultivation of Olive Plants and Application of Drought Stress
4.2. Extraction of Protein from Sampled Olive Stems and Leaves
4.3. Electrophoresis and Immunoblotting of Leaf Proteins without Stain-Free Technology
4.4. Electrophoresis and Immunoblotting of Stem Proteins with Stain-Free Technology
4.5. Proline Analysis
4.6. Sugar Analysis by High-Performance Liquid Chromatography (HPLC)
4.7. Analysis of Starch Content
4.8. Determination of Lignin Content
4.9. Analysis of Lignin Composition Using 2D-NMR Spectroscopy
4.10. Stem Anatomy Analyses
- −
- Vessel-diameter frequency distribution: number of vessels by group of 5 µm diameter of vessel lumen diameters.
- −
- Vessel density (VD, n./mm−2): number of xylem vessels per area of the xylem.
- −
- Vessel diameter (dm, µm): average of the xylem Feret diameters.
- −
- Vessel area/xylem area (Av, %): percentage of vessel lumen area/xylem area ratio.
- −
- Hydraulic weighted-vessel diameter (DH, µm), calculated as
- −
- Theoretical specific xylem hydraulic conductivity (Kst, kg s−1 m−1 MPa−1), calculated as
4.11. Statistical Analyses
5. Conclusions
Supplementary Materials
Author Contributions
Funding
Institutional Review Board Statement
Data Availability Statement
Acknowledgments
Conflicts of Interest
References
- Ali, E.; Cramer, W.; Carnicer, J.; Georgopoulou, E.; Hilmi, N.J.M.; Le Cozannet, G.; Lionello, P. Climate Change 2022—Impacts, Adaptation and Vulnerability: Working Group II Contribution to the Sixth Assessment Report of the Intergovernmental Panel on Climate Change, 1st ed.; Cambridge University Press: Cambridge, UK, 2022; ISBN 978-1-00-932584-4. [Google Scholar]
- Brito, C.; Dinis, L.T.; Moutinho-Pereira, J.; Correia, C.M. Drought Stress Effects and Olive Tree Acclimation under a Changing Climate. Plants 2019, 8, 232. [Google Scholar] [CrossRef]
- Diaz-Espejo, A.; Fernández, J.E.; Torres-Ruiz, J.M.; Rodriguez-Dominguez, C.M.; Perez-Martin, A.; Hernandez-Santana, V. The Olive Tree under Water Stress. In Water Scarcity and Sustainable Agriculture in Semiarid Environment: Tools, Strategies, and Challenges for Woody Crops; Elsevier: Amsterdam, The Netherlands, 2018; pp. 439–479. ISBN 978-0-12-813164-0. [Google Scholar]
- Rico, E.I.; de la Fuente, G.C.M.; Morillas, A.O.; Ocaña, A.M.F. Physiological and Biochemical Study of the Drought Tolerance of 14 Main Olive Cultivars in the Mediterranean Basin. Photosynth. Res. 2023, 159, 1–16. [Google Scholar] [CrossRef]
- Lima, T.R.A.; Carvalho, E.C.D.; Martins, F.R.; Oliveira, R.S.; Miranda, R.S.; Müller, C.S.; Pereira, L.; Bittencourt, P.R.L.; Sobczak, J.C.M.S.M.; Gomes-Filho, E.; et al. Lignin Composition Is Related to Xylem Embolism Resistance and Leaf Life Span in Trees in a Tropical Semiarid Climate. New Phytol. 2018, 219, 1252–1262. [Google Scholar] [CrossRef]
- Oguz, M.C.; Aycan, M.; Oguz, E.; Poyraz, I.; Yildiz, M. Drought Stress Tolerance in Plants: Interplay of Molecular, Biochemical and Physiological Responses in Important Development Stages. Physiologia 2022, 2, 180–197. [Google Scholar] [CrossRef]
- Venturas, M.D.; Sperry, J.S.; Hacke, U.G. Plant Xylem Hydraulics: What We Understand, Current Research, and Future Challenges. J. Integr. Plant Biol. 2017, 59, 356–389. [Google Scholar] [CrossRef]
- Deslauriers, A.; Beaulieu, M.; Balducci, L.; Giovannelli, A.; Gagnon, M.J.; Rossi, S. Impact of Warming and Drought on Carbon Balance Related to Wood Formation in Black Spruce. Ann. Bot. 2014, 114, 335–345. [Google Scholar] [CrossRef]
- Ahmed, C.B.; Rouina, B.B.; Sensoy, S.; Boukhris, M.; Abdallah, F.B. Changes in Gas Exchange, Proline Accumulation and Antioxidative Enzyme Activities in Three Olive Cultivars under Contrasting Water Availability Regimes. Environ. Exp. Bot. 2009, 67, 345–352. [Google Scholar] [CrossRef]
- Chehab, H.; Mechri, B.; Mariem, F.B.; Hammami, M.; Ben Elhadj, S.; Braham, M. Effect of Different Irrigation Regimes on Carbohydrate Partitioning in Leaves and Wood of Two Table Olive Cultivars (Olea europaea L. Cv. Meski and Picholine). Agric. Water Manag. 2009, 96, 293–298. [Google Scholar] [CrossRef]
- Dichio, B.; Xiloyannis, C.; Angelopoulos, K.; Nuzzo, V.; Bufo, S.A.; Celano, G. Drought-Induced Variations of Water Relations Parameters in Olea europaea. Plant Soil 2003, 257, 381–389. [Google Scholar] [CrossRef]
- Karimi, S.; Rahemi, M.; Rostami, A.A.; Sedaghat, S. Drought Effects on Growth, Water Content and Osmoprotectants in Four Olive Cultivars with Different Drought Tolerance. Int. J. Fruit Sci. 2018, 18, 254–267. [Google Scholar] [CrossRef]
- Lo Bianco, R.; Scalisi, A. Water Relations and Carbohydrate Partitioning of Four Greenhouse-Grown Olive Genotypes under Long-Term Drought. Trees 2017, 31, 717–727. [Google Scholar] [CrossRef]
- Roussos, P.A.; Denaxa, N.-K.; Damvakaris, T.; Stournaras, V.; Argyrokastritis, I. Effect of Alleviating Products with Different Mode of Action on Physiology and Yield of Olive under Drought. Sci. Hortic. 2010, 125, 700–711. [Google Scholar] [CrossRef]
- Ennajeh, M.; Vadel, A.M.; Khemira, H. Osmoregulation and Osmoprotection in the Leaf Cells of Two Olive Cultivars Subjected to Severe Water Deficit. Acta Physiol. Plant 2009, 31, 711–721. [Google Scholar] [CrossRef]
- Tsamir-Rimon, M.; Ben-Dor, S.; Feldmesser, E.; Oppenhimer-Shaanan, Y.; David-Schwartz, R.; Samach, A.; Klein, T. Rapid Starch Degradation in the Wood of Olive Trees under Heat and Drought Is Permitted by Three Stress-Specific Beta Amylases. New Phytol. 2021, 229, 1398–1414. [Google Scholar] [CrossRef]
- Dichio, B.; Margiotta, G.; Xiloyannis, C.; Bufo, S.A.; Sofo, A.; Cataldi, T.R.I. Changes in Water Status and Osmolyte Contents in Leaves and Roots of Olive Plants (Olea europaea L.) Subjected to Water Deficit. Trees 2009, 23, 247–256. [Google Scholar] [CrossRef]
- Conde, A.; Silva, P.; Agasse, A.; Conde, C.; Gerós, H. Mannitol Transport and Mannitol Dehydrogenase Activities Are Coordinated in Olea europaea Under Salt and Osmotic Stresses. Plant Cell Physiol. 2011, 52, 1766–1775. [Google Scholar] [CrossRef] [PubMed]
- Conde, C.; Silva, P.; Agasse, A.; Lemoine, R.; Delrot, S.; Tavares, R.; Gerós, H. Utilization and Transport of Mannitol in Olea europaea and Implications for Salt Stress Tolerance. Plant Cell Physiol. 2007, 48, 42–53. [Google Scholar] [CrossRef]
- Ghosh, U.K.; Islam, M.N.; Siddiqui, M.N.; Cao, X.; Khan, M.a.R. Proline, a Multifaceted Signalling Molecule in Plant Responses to Abiotic Stress: Understanding the Physiological Mechanisms. Plant Biol. 2022, 24, 227–239. [Google Scholar] [CrossRef]
- Sofo, A.; Dichio, B.; Xiloyannis, C.; Masia, A. Lipoxygenase Activity and Proline Accumulation in Leaves and Roots of Olive Trees in Response to Drought Stress. Physiol. Plant. 2004, 121, 58–65. [Google Scholar] [CrossRef]
- Boughalleb, F.; Mhamdi, M. Possible Involvement of Proline and the Antioxidant Defense Systems in the Drought Tolerance of Three Olive Cultivars Grown under Increasing Water Deficit Regimes. Agric. J. 2011, 6, 378–391. [Google Scholar] [CrossRef]
- Bacelar, E.A.; Moutinho-Pereira, J.M.; Gonçalves, B.C.; Lopes, J.I.; Correia, C.M. Physiological Responses of Different Olive Genotypes to Drought Conditions. Acta Physiol. Plant 2009, 31, 611–621. [Google Scholar] [CrossRef]
- Melaouhi, A.; Baraza, E.; Escalona, J.M.; El-AouOuad, H.; Mahjoub, I.; Bchir, A.; Braham, M.; Bota, J. Physiological and Biochemical Responses to Water Deficit and Recovery of Two Olive Cultivars (Olea europaea L., Arbequina and Empeltre Cvs.) under Mediterranean Conditions. Theor. Exp. Plant Physiol. 2021, 33, 369–383. [Google Scholar] [CrossRef]
- Yang, X.; Lu, M.; Wang, Y.; Wang, Y.; Liu, Z.; Chen, S. Response Mechanism of Plants to Drought Stress. Horticulturae 2021, 7, 50. [Google Scholar] [CrossRef]
- Banerjee, A.; Roychoudhury, A. Group II Late Embryogenesis Abundant (LEA) Proteins: Structural and Functional Aspects in Plant Abiotic Stress. Plant Growth Regul. 2016, 79, 1–17. [Google Scholar] [CrossRef]
- Tiwari, P.; Indoliya, Y.; Singh, P.K.; Singh, P.C.; Chauhan, P.S.; Pande, V.; Chakrabarty, D. Role of Dehydrin-FK506-Binding Protein Complex in Enhancing Drought Tolerance through the ABA-Mediated Signaling Pathway. Environ. Exp. Bot. 2019, 158, 136–149. [Google Scholar] [CrossRef]
- Cansev, A.; Gulen, H.; Eris, A. Cold-Hardiness of Olive (Olea europaea L.) Cultivars in Cold-Acclimated and Non-Acclimated Stages: Seasonal Alteration of Antioxidative Enzymes and Dehydrin-like Proteins. J. Agric. Sci. 2009, 147, 51–61. [Google Scholar] [CrossRef]
- Alowaiesh, B.F.; El-Mansy, A.B.; El-Alakmy, D.; Rehema, E.A.; Abd El-Moneim, D. Biochemical, Physiological, and Molecular Responses of Diverse Olive Cultivars to Different Irrigation Regimes. Not. Bot. Horti Agrobot. Cluj-Napoca 2023, 51, 4. [Google Scholar] [CrossRef]
- Manghwar, H.; Hussain, A. Mechanism of Tobacco Osmotin Gene in Plant Responses to Biotic and Abiotic Stress Tolerance: A Brief History. Biocell 2022, 46, 623–632. [Google Scholar] [CrossRef]
- Faillace, G.R.; Caruso, P.B.; Timmers, L.F.S.M.; Favero, D.; Guzman, F.L.; Rechenmacher, C.; de Oliveira-Busatto, L.A.; de Souza, O.N.; Bredemeier, C.; Bodanese-Zanettini, M.H. Molecular Characterisation of Soybean Osmotins and Their Involvement in Drought Stress Response. Front. Genet. 2021, 12, 632685. [Google Scholar] [CrossRef]
- Viktorova, J.; Klcova, B.; Rehorova, K.; Vlcko, T.; Stankova, L.; Jelenova, N.; Cejnar, P.; Kundu, J.K.; Ohnoutkova, L.; Macek, T. Recombinant Expression of Osmotin in Barley Improves Stress Resistance and Food Safety during Adverse Growing Conditions. PLoS ONE 2019, 14, e0212718. [Google Scholar] [CrossRef]
- D’Angeli, S.; Altamura, M.M. Osmotin Induces Cold Protection in Olive Trees by Affecting Programmed Cell Death and Cytoskeleton Organization. Planta 2007, 225, 1147–1163. [Google Scholar] [CrossRef] [PubMed]
- D’Angeli, S.; Matteucci, M.; Fattorini, L.; Gismondi, A.; Ludovici, M.; Canini, A.; Altamura, M.M. OeFAD8, OeLIP and OeOSM Expression and Activity in Cold-Acclimation of Olea europaea, a Perennial Dicot without Winter-Dormancy. Planta 2016, 243, 1279–1296. [Google Scholar] [CrossRef] [PubMed]
- Silvestri, C.; Celletti, S.; Cristofori, V.; Astolfi, S.; Ruggiero, B.; Rugini, E. Olive (Olea europaea L.) Plants Transgenic for Tobacco Osmotin Gene Are Less Sensitive to in Vitro-Induced Drought Stress. Acta Physiol. Plant. 2017, 39, 229. [Google Scholar] [CrossRef]
- Gautam, A.; Pandey, A.K. Aquaporins Responses under Challenging Environmental Conditions and Abiotic Stress Tolerance in Plants. Bot. Rev. 2021, 87, 467–495. [Google Scholar] [CrossRef]
- Shivaraj, S.M.; Sharma, Y.; Chaudhary, J.; Rajora, N.; Sharma, S.; Thakral, V.; Ram, H.; Sonah, H.; Singla-Pareek, S.L.; Sharma, T.R.; et al. Dynamic Role of Aquaporin Transport System under Drought Stress in Plants. Environ. Exp. Bot. 2021, 184, 104367. [Google Scholar] [CrossRef]
- Perez-Martin, A.; Michelazzo, C.; Torres-Ruiz, J.M.; Flexas, J.; Fernández, J.E.; Sebastiani, L.; Diaz-Espejo, A. Regulation of Photosynthesis and Stomatal and Mesophyll Conductance under Water Stress and Recovery in Olive Trees: Correlation with Gene Expression of Carbonic Anhydrase and Aquaporins. J. Exp. Bot. 2014, 65, 3143–3156. [Google Scholar] [CrossRef]
- Secchi, F.; Lovisolo, C.; Schubert, A. Expression of OePIP2.1 Aquaporin Gene and Water Relations of Olea europaea Twigs during Drought Stress and Recovery. Ann. Appl. Biol. 2007, 150, 163–167. [Google Scholar] [CrossRef]
- Araújo, M.; Ferreira de Oliveira, J.M.P.; Santos, C.; Moutinho-Pereira, J.; Correia, C.; Dias, M.C. Responses of Olive Plants Exposed to Different Irrigation Treatments in Combination with Heat Shock: Physiological and Molecular Mechanisms during Exposure and Recovery. Planta 2019, 249, 1583–1598. [Google Scholar] [CrossRef]
- Sevanto, S.; Mcdowell, N.G.; Dickman, L.T.; Pangle, R.; Pockman, W.T. How Do Trees Die? A Test of the Hydraulic Failure and Carbon Starvation Hypotheses. Plant Cell Environ. 2014, 37, 153–161. [Google Scholar] [CrossRef]
- Hoffmann, W.A.; Marchin, R.M.; Abit, P.; Lau, O.L. Hydraulic Failure and Tree Dieback Are Associated with High Wood Density in a Temperate Forest under Extreme Drought. Glob. Change Biol. 2011, 17, 2731–2742. [Google Scholar] [CrossRef]
- Savi, T.; Tintner, J.; Da Sois, L.; Grabner, M.; Petit, G.; Rosner, S. The Potential of Mid-Infrared Spectroscopy for Prediction of Wood Density and Vulnerability to Embolism in Woody Angiosperms. Tree Physiol. 2019, 39, 503–510. [Google Scholar] [CrossRef] [PubMed]
- Venturas, M.; López, R.; Gascó, A.; Gil, L. Hydraulic Properties of European Elms: Xylem Safety-Efficiency Tradeoff and Species Distribution in the Iberian Peninsula. Trees Struct. Funct. 2013, 27, 1691–1701. [Google Scholar] [CrossRef]
- Lens, F.; Gleason, S.M.; Bortolami, G.; Brodersen, C.; Delzon, S.; Jansen, S. Functional Xylem Characteristics Associated with Drought-Induced Embolism in Angiosperms. New Phytol. 2022, 236, 2019–2036. [Google Scholar] [CrossRef] [PubMed]
- Olson, M.E.; Rosell, J.A. Vessel Diameter-Stem Diameter Scaling across Woody Angiosperms and the Ecological Causes of Xylem Vessel Diameter Variation. New Phytol. 2013, 197, 1204–1213. [Google Scholar] [CrossRef]
- Choi, S.J.; Lee, Z.; Kim, S.; Jeong, E.; Shim, J.S. Modulation of Lignin Biosynthesis for Drought Tolerance in Plants. Front. Plant Sci. 2023, 14, 1116426. [Google Scholar] [CrossRef] [PubMed]
- De Benedictis, M.; De Caroli, M.; Baccelli, I.; Marchi, G.; Bleve, G.; Gallo, A.; Ranaldi, F.; Falco, V.; Pasquali, V.; Piro, G.; et al. Vessel Occlusion in Three Cultivars of Olea europaea Naturally Exposed to Xylella Fastidiosa in Open Field. J. Phytopathol. 2017, 165, 589–594. [Google Scholar] [CrossRef]
- Sabella, E.; Aprile, A.; Genga, A.; Siciliano, T.; Nutricati, E.; Nicolì, F.; Vergine, M.; Negro, C.; De Bellis, L.; Luvisi, A. Xylem Cavitation Susceptibility and Refilling Mechanisms in Olive Trees Infected by Xylella Fastidiosa. Sci. Rep. 2019, 9, 9602. [Google Scholar] [CrossRef]
- Petit, G.; Bleve, G.; Gallo, A.; Mita, G.; Montanaro, G.; Nuzzo, V.; Zambonini, D.; Pitacco, A. Susceptibility to Xylella Fastidiosa and Functional Xylem Anatomy in Olea europaea: Revisiting a Tale of Plant–Pathogen Interaction. AoB Plants 2021, 13, plab027. [Google Scholar] [CrossRef]
- Parri, S.; Romi, M.; Hoshika, Y.; Giovannelli, A.; Dias, M.C.; Piritore, F.C.; Cai, G.; Cantini, C. Morpho-Physiological Responses of Three Italian Olive Tree (Olea europaea L.) Cultivars to Drought Stress. Horticulturae 2023, 9, 830. [Google Scholar] [CrossRef]
- Parri, S.; Cai, G.; Romi, M.; Cantini, C.; Pinto, D.C.G.A.; Silva, A.M.S.; Dias, M.C.P. Comparative Metabolomics of Leaves and Stems of Three Italian Olive Cultivars under Drought Stress. Front. Plant Sci. 2024, 15, 1408731. [Google Scholar] [CrossRef]
- Cerri, L.; Parri, S.; Dias, M.C.; Fabiano, A.; Romi, M.; Cai, G.; Cantini, C.; Zambito, Y. Olive Leaf Extracts from Three Italian Olive Cultivars Exposed to Drought Stress Differentially Protect Cells against Oxidative Stress. Antioxidants 2024, 13, 77. [Google Scholar] [CrossRef]
- Yang, J.; Zhang, J.; Li, C.; Zhang, Z.; Ma, F.; Li, M. Response of Sugar Metabolism in Apple Leaves Subjected to Short-Term Drought Stress. Plant Physiol. Biochem. 2019, 141, 164–171. [Google Scholar] [CrossRef]
- Atkin, O.K.; Millar, A.H.; Gardeström, P.; Day, D.A. Photosynthesis, Carbohydrate Metabolism and Respiration in Leaves of Higher Plants. In Photosynthesis: Physiology and Metabolism; Leegood, R.C., Sharkey, T.D., von Caemmerer, S., Eds.; Springer: Dordrecht, The Netherlands, 2000; pp. 153–175. ISBN 978-0-306-48137-6. [Google Scholar]
- Atkin, O.K.; Macherel, D. The Crucial Role of Plant Mitochondria in Orchestrating Drought Tolerance. Ann. Bot. 2009, 103, 581–597. [Google Scholar] [CrossRef] [PubMed]
- Rosa, M.; Prado, C.; Podazza, G.; Interdonato, R.; González, J.A.; Hilal, M.; Prado, F.E. Soluble Sugars: Metabolism, Sensing and Abiotic Stress: A Complex Network in the Life of Plants. Plant Signal. Behav. 2009, 4, 388–393. [Google Scholar] [CrossRef] [PubMed]
- Piccini, C.; Cai, G.; Dias, M.C.; Romi, M.; Longo, R.; Cantini, C. UV-B Radiation Affects Photosynthesis-Related Processes of Two Italian Olea europaea (L.) Varieties Differently. Plants 2020, 9, 1712. [Google Scholar] [CrossRef] [PubMed]
- Stein, O.; Granot, D. An Overview of Sucrose Synthases in Plants. Front. Plant Sci. 2019, 10, 95. [Google Scholar] [CrossRef]
- Rejšková, A.; Patková, L.; Stodůlková, E.; Lipavská, H. The Effect of Abiotic Stresses on Carbohydrate Status of Olive Shoots (Olea europaea L.) under in Vitro Conditions. J. Plant Physiol. 2007, 164, 174–184. [Google Scholar] [CrossRef]
- Secchi, F.; Zwieniecki, M.A. Accumulation of Sugars in the Xylem Apoplast Observed under Water Stress Conditions Is Controlled by Xylem pH. Plant Cell Environ. 2016, 39, 2350–2360. [Google Scholar] [CrossRef]
- Secchi, F.; Pagliarani, C.; Zwieniecki, M.A. The Functional Role of Xylem Parenchyma Cells and Aquaporins during Recovery from Severe Water Stress. Plant Cell Environ. 2017, 40, 858–871. [Google Scholar] [CrossRef]
- Stoop, J.M.H.; Williamson, J.D.; Pharr, D.M. Mannitol Metabolism in Plants: A Method for Coping with Stress. Trends Plant Sci. 1996, 1, 139–144. [Google Scholar] [CrossRef]
- Massenti, R.; Scalisi, A.; Marra, F.P.; Caruso, T.; Marino, G.; Lo Bianco, R. Physiological and Structural Responses to Prolonged Water Deficit in Young Trees of Two Olive Cultivars. Plants 2022, 11, 1695. [Google Scholar] [CrossRef] [PubMed]
- Kapilan, R.; Vaziri, M.; Zwiazek, J.J. Regulation of Aquaporins in Plants under Stress. Biol. Res 2018, 51, 4. [Google Scholar] [CrossRef] [PubMed]
- Zargar, S.M.; Nagar, P.; Deshmukh, R.; Nazir, M.; Wani, A.A.; Masoodi, K.Z.; Agrawal, G.K.; Rakwal, R. Aquaporins as Potential Drought Tolerance Inducing Proteins: Towards Instigating Stress Tolerance. J. Proteom. 2017, 169, 233–238. [Google Scholar] [CrossRef] [PubMed]
- Alexandersson, E.; Fraysse, L.; Sjövall-Larsen, S.; Gustavsson, S.; Fellert, M.; Karlsson, M.; Johanson, U.; Kjellbom, P. Whole Gene Family Expression and Drought Stress Regulation of Aquaporins. Plant Mol. Biol. 2005, 59, 469–484. [Google Scholar] [CrossRef]
- Muries, B.; Mom, R.; Benoit, P.; Brunel-michac, N.; Cochard, H.; Drevet, P.; Petel, G.; Badel, E.; Fumanal, B.; Gousset-dupont, A.; et al. Aquaporins and Water Control in Drought-Stressed Poplar Leaves: A Glimpse into the Extraxylem Vascular Territories. Environ. Exp. Bot. 2019, 162, 25–37. [Google Scholar] [CrossRef]
- Riyazuddin, R.; Nisha, N.; Singh, K.; Verma, R.; Gupta, R. Involvement of Dehydrin Proteins in Mitigating the Negative Effects of Drought Stress in Plants. Plant Cell Rep 2022, 41, 519–533. [Google Scholar] [CrossRef]
- Chiappetta, A.; Muto, A.; Bruno, L.; Woloszynska, M.; Van Lijsebettens, M.; Bitonti, M.B. A Dehydrin Gene Isolated from Feral Olive Enhances Drought Tolerance in Arabidopsis Transgenic Plants. Front. Plant Sci. 2015, 6, 392. [Google Scholar] [CrossRef]
- Conti, V.; Cantini, C.; Romi, M.; Cesare, M.M.; Parrotta, L.; Del Duca, S.; Cai, G. Distinct Tomato Cultivars Are Characterized by a Differential Pattern of Biochemical Responses to Drought Stress. Int. J. Mol. Sci. 2022, 23, 5412. [Google Scholar] [CrossRef]
- Garcia-Maraver, A.; Salvachúa, D.; Martínez, M.J.; Diaz, L.F.; Zamorano, M. Analysis of the Relation between the Cellulose, Hemicellulose and Lignin Content and the Thermal Behavior of Residual Biomass from Olive Trees. Waste Manag. 2013, 33, 2245–2249. [Google Scholar] [CrossRef]
- Rencoret, J.; Gutiérrez, A.; Castro, E.; Río, J.C. del Structural Characteristics of Lignin in Pruning Residues of Olive Tree (Olea europaea L.). Holzforschung 2019, 73, 25–34. [Google Scholar] [CrossRef]
- Buttò, V.; Rossi, S.; Deslauriers, A.; Morin, H. Is Size an Issue of Time? Relationship between the Duration of Xylem Development and Cell Traits. Ann. Bot. 2019, 123, 1257–1265. [Google Scholar] [CrossRef]
- Walker, N.C.; White, S.M.; McKay Fletcher, D.; Ruiz, S.A.; Rankin, K.E.; De Stradis, A.; Saponari, M.; Williams, K.A.; Petroselli, C.; Roose, T. The Impact of Xylem Geometry on Olive Cultivar Resistance to Xylella Fastidiosa: An Image-Based Study. Plant Pathol. 2023, 72, 521–535. [Google Scholar] [CrossRef]
- Gleason, S.M.; Butler, D.W.; Ziemińska, K.; Waryszak, P.; Westoby, M. Stem Xylem Conductivity Is Key to Plant Water Balance across Australian Angiosperm Species. Funct. Ecol. 2012, 26, 343–352. [Google Scholar] [CrossRef]
- Tosca, A.; Valagussa, M.; Martinetti, L.; Frangi, P. Biochar and Green Compost as Peat Alternatives in the Cultivation of Photinia and Olive Tree. Acta Hortic. 2021, 1305, 257–262. [Google Scholar] [CrossRef]
- Wu, X.; Xiong, E.; Wang, W.; Scali, M.; Cresti, M. Universal Sample Preparation Method Integrating Trichloroacetic Acid/Acetone Precipitation with Phenol Extraction for Crop Proteomic Analysis. Nat. Protoc. 2014, 9, 362–374. [Google Scholar] [CrossRef] [PubMed]
- Hachmann, J.P.; Amshey, J.W. Models of Protein Modification in Tris–Glycine and Neutral pH Bis–Tris Gels during Electrophoresis: Effect of Gel pH. Anal. Biochem. 2005, 342, 237–245. [Google Scholar] [CrossRef]
- Khedr, A.H.A.; Abbas, M.A.; Wahid, A.A.A.; Quick, W.P.; Abogadallah, G.M. Proline Induces the Expression of Salt-stress-responsive Proteins and May Improve the Adaptation of Pancratium maritimum L. to Salt-stress. J. Exp. Bot. 2003, 54, 2553–2562. [Google Scholar] [CrossRef]
- Loppi, S.; Fedeli, R.; Canali, G.; Guarnieri, M.; Biagiotti, S.; Vannini, A. Comparison of the Mineral and Nutraceutical Profiles of Elephant Garlic (Allium ampeloprasum L.) Grown in Organic and Conventional Fields of Valdichiana, a Traditional Cultivation Area of Tuscany, Italy. Biology 2021, 10, 1058. [Google Scholar] [CrossRef]
- Lu, F.; Wang, C.; Chen, M.; Yue, F.; Ralph, J. A Facile Spectroscopic Method for Measuring Lignin Content in Lignocellulosic Biomass. Green Chem. 2021, 23, 5106–5112. [Google Scholar] [CrossRef]
- Kim, H.; Ralph, J.; Akiyama, T. Solution-State 2D NMR of Ball-Milled Plant Cell Wall Gels in DMSO-d 6. BioEnergy Res. 2008, 1, 56–66. [Google Scholar] [CrossRef]
- Rencoret, J.; Marques, G.; Gutiérrez, A.; Nieto, L.; Santos, J.I.; Jiménez-Barbero, J.; Martínez, Á.T.; Del Río, J.C. HSQC-NMR Analysis of Lignin in Woody (Eucalyptus globulus and Picea abies) and Non-Woody (Agave sisalana) Ball-Milled Plant Materials at the Gel State. Holzforschung 2009, 63, 691–698. [Google Scholar] [CrossRef]
- Rossi, S.; Deslauriers, A.; Anfodillo, T. Assessment of Cambial Activity and Xylogenesis by Microsampling Tree Species: An Example at the Alpine Timberline. IAWA J. 2006, 27, 383–394. [Google Scholar] [CrossRef]
- Sperry, J.S.; Saliendra, N.Z. Intra- and Inter-Plant Variation in Xylem Embolism in Betula Occidentalis. Plant Cell Environ. 1994, 17, 1233–1241. [Google Scholar] [CrossRef]
- Giovannelli, A.; Traversi, M.L.; Anichini, M.; Hoshika, Y.; Fares, S.; Paoletti, E. Effect of Long-Term vs. Short-Term Ambient Ozone Exposure on Radial Stem Growth, Sap Flux and Xylem Morphology of O3-Sensitive Poplar Trees. Forests 2019, 10, 396. [Google Scholar] [CrossRef]
- Forner, A.; Valladares, F.; Aranda, I. Mediterranean Trees Coping with Severe Drought: Avoidance Might Not Be Safe. Environ. Exp. Bot. 2018, 155, 529–540. [Google Scholar] [CrossRef]










| Cultivar | Morphological Traits | Hydraulic Traits | |||
|---|---|---|---|---|---|
| VD (n. mm−2) | dm (µm) | Av (%) | DH (µm) | Kst (kg s−1 m−1 MPa−1) | |
| Giarraffa | 211.1 ± 27.9 | 30.0 ± 0.8 a | 6.0 ± 0.7 b | 30.5 ± 1.7 b | 2.6 ± 0.4 |
| Leccino | 237.1 ± 32.4 | 28.7 ± 0.7 a | 8.2 ± 0.5 ab | 36.7 ± 1.4 a | 3.7 ± 0.3 |
| Maurino | 251.6 ± 30.3 | 26.1 ± 0.7 b | 8.7 ± 1.1 a | 32.3 ± 1.3 ab | 3.5 ± 0.6 |
Disclaimer/Publisher’s Note: The statements, opinions and data contained in all publications are solely those of the individual author(s) and contributor(s) and not of MDPI and/or the editor(s). MDPI and/or the editor(s) disclaim responsibility for any injury to people or property resulting from any ideas, methods, instructions or products referred to in the content. |
© 2024 by the authors. Licensee MDPI, Basel, Switzerland. This article is an open access article distributed under the terms and conditions of the Creative Commons Attribution (CC BY) license (https://creativecommons.org/licenses/by/4.0/).
Share and Cite
Parri, S.; Faleri, C.; Romi, M.; del Río, J.C.; Rencoret, J.; Dias, M.C.P.; Anichini, S.; Cantini, C.; Cai, G. Unravelling Different Water Management Strategies in Three Olive Cultivars: The Role of Osmoprotectants, Proteins, and Wood Properties. Int. J. Mol. Sci. 2024, 25, 11059. https://doi.org/10.3390/ijms252011059
Parri S, Faleri C, Romi M, del Río JC, Rencoret J, Dias MCP, Anichini S, Cantini C, Cai G. Unravelling Different Water Management Strategies in Three Olive Cultivars: The Role of Osmoprotectants, Proteins, and Wood Properties. International Journal of Molecular Sciences. 2024; 25(20):11059. https://doi.org/10.3390/ijms252011059
Chicago/Turabian StyleParri, Sara, Claudia Faleri, Marco Romi, José C. del Río, Jorge Rencoret, Maria Celeste Pereira Dias, Sara Anichini, Claudio Cantini, and Giampiero Cai. 2024. "Unravelling Different Water Management Strategies in Three Olive Cultivars: The Role of Osmoprotectants, Proteins, and Wood Properties" International Journal of Molecular Sciences 25, no. 20: 11059. https://doi.org/10.3390/ijms252011059
APA StyleParri, S., Faleri, C., Romi, M., del Río, J. C., Rencoret, J., Dias, M. C. P., Anichini, S., Cantini, C., & Cai, G. (2024). Unravelling Different Water Management Strategies in Three Olive Cultivars: The Role of Osmoprotectants, Proteins, and Wood Properties. International Journal of Molecular Sciences, 25(20), 11059. https://doi.org/10.3390/ijms252011059

