The Fraser Complex Proteins (Frem1, Frem2, and Fras1) Can Form Anchoring Cords in the Absence of AMACO at the Dermal–Epidermal Junction of Mouse Skin
Abstract
1. Introduction
2. Results
2.1. Generation of an AMACO-Deficient Mouse Line
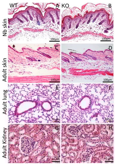
2.2. AMACO Expressing Tissues Display No Obvious Aberrations upon AMACO Deficiency
2.3. Expression and Basement Membrane Deposition of Fraser Complex Proteins Are Not Affected in AMACO-Deficient Mice
2.4. Ultrastructural Localization of Fraser Complex Proteins and Basement Membrane Structure Is Not Altered in AMACO-Deficient Mice
3. Discussion
3.1. Genetic Studies of AMACO and Fraser Complex Protein Function
3.2. Generation and Characterization of an AMACO-Deficient Mouse Line
3.3. AMACO Function under Challenging Conditions and in Disease
4. Materials and Methods
4.1. Generation of an AMACO-Knockout Mouse Line
4.2. Animal Husbandry
4.3. Genotyping of Mice
4.4. Isolation of Total RNA
4.5. RT-PCR of Isolated mRNA
4.6. SDS-Polyacrylamide Gel Electrophoresis and Immunoblotting
4.7. Immunofluorescence Microscopy
4.8. Hematoxylin and Eosin Staining
4.9. Electron Microscopy
Author Contributions
Funding
Institutional Review Board Statement
Data Availability Statement
Acknowledgments
Conflicts of Interest
References
- Sengle, G.; Kobbe, B.; Morgelin, M.; Paulsson, M.; Wagener, R. Identification and characterization of AMACO, a new member of the von Willebrand factor A-like domain protein superfamily with a regulated expression in the kidney. J. Biol. Chem. 2003, 278, 50240–50249. [Google Scholar] [CrossRef] [PubMed]
- Sennett, R.; Wang, Z.; Rezza, A.; Grisanti, L.; Roitershtein, N.; Sicchio, C.; Mok, K.W.; Heitman, N.J.; Clavel, C.; Ma’ayan, A.; et al. An integrated transcriptome atlas of embryonic hair follicle progenitors, their niche, and the developing skin. Dev. Cell. 2015, 34, 577–591. [Google Scholar] [CrossRef]
- Geyfman, M.; Gordon, W.; Paus, R.; Andersen, B. Identification of telogen markers underscores that telogen is far from a quiescent hair cycle phase. J. Investig. Dermatol. 2012, 132, 721–724. [Google Scholar] [CrossRef] [PubMed]
- Richardson, R.J.; Gebauer, J.M.; Zhang, J.L.; Kobbe, B.; Keene, D.R.; Karlsen, K.R.; Richetti, S.; Wohl, A.P.; Sengle, G.; Neiss, W.F.; et al. AMACO is a component of the basement membrane-associated Fraser complex. J. Investig. Dermatol. 2014, 134, 1313–1322. [Google Scholar] [CrossRef] [PubMed]
- Hiroyasu, S.; Jones, J.C.R. A new component of the Fraser complex. J. Investig. Dermatol. 2014, 134, 1192–1193. [Google Scholar] [CrossRef]
- Gebauer, J.M.; Muller, S.; Hanisch, F.G.; Paulsson, M.; Wagener, R. O-glucosylation and O-fucosylation occur together in close proximity on the first epidermal growth factor repeat of AMACO (VWA2 protein). J. Biol. Chem. 2008, 283, 17846–17854. [Google Scholar] [CrossRef]
- Gebauer, J.M.; Keene, D.R.; Olsen, B.R.; Sorokin, L.M.; Paulsson, M.; Wagener, R. Mouse AMACO, a kidney and skin basement membrane associated molecule that mediates RGD-dependent cell attachment. Matrix Biol. 2009, 28, 456–462. [Google Scholar] [CrossRef]
- Xin, B.Z.; Platzer, P.; Fink, S.P.; Reese, L.; Nosrati, A.; Willson, J.K.V.; Wilson, K.; Markowitz, S. Colon cancer secreted protein-2 (CCSP-2), a novel candidate serological marker of colon neoplasia. Oncogene 2005, 24, 724–731. [Google Scholar] [CrossRef]
- Gonzalez, B.; Fece de la Cruz, F.; Samuelsson, J.K.; Alibes, A.; Alonso, S. Epigenetic and transcriptional dysregulation of VWA2 associated with a MYC-driven oncogenic program in colorectal cancer. Sci. Rep. 2018, 8, 11097. [Google Scholar] [CrossRef]
- Slavotinek, A.M.; Tifft, C.J. Fraser syndrome and cryptophthalmos: Review of the diagnostic criteria and evidence for phenotypic modules in complex malformation syndromes. J. Med. Genet. 2002, 39, 623–633. [Google Scholar] [CrossRef]
- Petrou, P.; Makrygiannis, A.K.; Chalepakis, G. The Fras1/Frem family of extracellular matrix proteins: Structure, function, and association with Fraser syndrome and the mouse bleb phenotype. Connect. Tissue Res. 2008, 49, 277–282. [Google Scholar] [CrossRef] [PubMed]
- McGregor, L.; Makela, V.; Darling, S.M.; Vrontou, S.; Chalepakis, G.; Roberts, C.; Smart, N.; Rutland, P.; Prescott, N.; Hopkins, J.; et al. Fraser syndrome and mouse blebbed phenotype caused by mutations in FRAS1/Fras1 encoding a putative extracellular matrix protein. Nat. Genet. 2003, 34, 203–208. [Google Scholar] [CrossRef] [PubMed]
- Kiyozumi, D.; Sugimoto, N.; Sekiguchi, K. Breakdown of the reciprocal stabilization of QBRICK/Frem1, Fras1, and Frem2 at the basement membrane provokes Fraser syndrome-like defects. Proc. Natl. Acad. Sci. USA 2006, 103, 11981–11986. [Google Scholar] [CrossRef]
- Jadeja, S.; Smyth, I.; Pitera, J.E.; Taylor, M.S.; van Haelst, M.; Bentley, E.; McGregor, L.; Hopkins, J.; Chalepakis, G.; Philip, N.; et al. Identification of a new gene mutated in Fraser syndrome and mouse myelencephalic blebs. Nat. Genet. 2005, 37, 520–525. [Google Scholar] [CrossRef]
- Vrontou, S.; Petrou, P.; Meyer, B.I.; Galanopoulos, V.K.; Imai, K.; Yanagi, M.; Chowdhury, K.; Scambler, P.J.; Chalepakis, G. Fras1 deficiency results in cryptophthalmos, renal agenesis and blebbed phenotype in mice. Nat. Genet. 2003, 34, 209–214. [Google Scholar] [CrossRef]
- Petrou, P.; Chiotaki, R.; Dalezios, Y.; Chalepakis, G. Overlapping and divergent localization of Frem1 and Fras1 and its functional implications during mouse embryonic development. Exp. Cell. Res. 2007, 313, 910–920. [Google Scholar] [CrossRef]
- Kiyozumi, D.; Mori, M.; Kodani, M.; Ikawa, M. Genetic mutation of Frem3 does not causeFraser syndrome in mice. Exp. Anim. 2020, 69, 104–109. [Google Scholar] [CrossRef]
- Brandenberger, R.; Schmidt, A.; Linton, J.; Wang, D.; Backus, C.; Denda, S.; Muller, U.; Reichardt, L.F. Identification and characterization of a novel extracellular matrix protein nephronectin that is associated with integrin alpha 8 beta 1 in the embryonic kidney. J. Cell. Biol. 2001, 154, 447–458. [Google Scholar] [CrossRef]
- Kiyozumi, D.; Takeichi, M.; Nakano, I.; Sato, Y.; Fukuda, T.; Sekiguchi, K. Basement membrane assembly of the integrin alpha 8 beta 1 ligand nephronectin requires Fraser syndrome-associated proteins. J. Cell. Biol. 2012, 197, 677–689. [Google Scholar] [CrossRef]
- Linton, J.M.; Martin, G.R.; Reichardt, L.F. The ECM protein nephronectin promotes kidney development via integrin alpha 8 beta 1-mediated stimulation of Gdnf expression. Development 2007, 134, 2501–2509. [Google Scholar] [CrossRef] [PubMed]
- Esho, T.; Tufa, S.F.; Kobbe, B.; Wohl, A.P.; Sengle, G.; Paulsson, M.; Keene, D.R.; Wagener, R. Anchoring cords: A distinct suprastructure in the developing skin. J. Investig. Dermatol. 2022, 142, 2940–2948.e2942. [Google Scholar] [CrossRef]
- Carney, T.J.; Feitosa, N.M.; Sonntag, C.; Slanchev, K.; Kluger, J.; Kiyozumi, D.; Gebauer, J.M.; Coffin Talbot, J.; Kimmel, C.B.; Sekiguchi, K.; et al. Genetic analysis of fin development in zebrafish identifies furin and hemicentin1 as potential novel Fraser syndrome disease genes. PLoS Genet. 2010, 6, e1000907. [Google Scholar] [CrossRef] [PubMed]
- Talbot, J.C.; Walker, M.B.; Carney, T.J.; Huycke, T.R.; Yan, Y.L.; BreMiller, R.A.; Gai, L.; Delaurier, A.; Postlethwait, J.H.; Hammerschmidt, M.; et al. Fras1 shapes endodermal pouch 1 and stabilizes zebrafish pharyngeal skeletal development. Development 2012, 139, 2804–2813. [Google Scholar] [CrossRef]
- Chen, V.M.; Shelke, R.; Nystrom, A.; Laver, N.; Sampson, J.F.; Zhiyi, C.; Bhat, N.; Panjwani, N. Collagen VII deficient mice show morphologic and histologic corneal changes that phenotypically mimic human dystrophic epidermolysis bullosa of the eye. Exp. Eye Res. 2018, 175, 133–141. [Google Scholar] [CrossRef] [PubMed]
- Fine, J.D.; Mellerio, J.E. Extracutaneous manifestations and complications of inherited epidermolysis bullosa: Part II. Other organs. J. Am. Acad. Dermatol. 2009, 61, 387–402, quiz 403–384. [Google Scholar] [CrossRef] [PubMed]
- Fine, J.D.; Mellerio, J.E. Extracutaneous manifestations and complications of inherited epidermolysis bullosa: Part I. Epithelial associated tissues. J. Am. Acad. Dermatol. 2009, 61, 367–384, quiz 385–386. [Google Scholar] [CrossRef]
- Sakai, L.Y.; Keene, D.R.; Morris, N.P.; Burgeson, R.E. Type VII collagen is a major structural component of anchoring fibrils. J. Cell. Biol. 1986, 103, 1577–1586. [Google Scholar] [CrossRef] [PubMed]
- Karelina, T.V.; Bannikov, G.A.; Eisen, A.Z. Basement membrane zone remodeling during appendageal development in human fetal skin. The absence of type VII collagen is associated with gelatinase-A (MMP2) activity. J. Investig. Dermatol. 2000, 114, 371–375. [Google Scholar] [CrossRef]
- Vitulo, N.; Dalla Valle, L.; Skobo, T.; Valle, G.; Alibardi, L. Transcriptome analysis of the regenerating tail vs. the scarring limb in lizard reveals pathways leading to successful vs. unsuccessful organ regeneration in amniotes. Dev. Dyn. 2017, 246, 116–134. [Google Scholar] [CrossRef]
- Van der Ven, A.T.; Kobbe, B.; Kohl, S.; Shril, S.; Pogoda, H.M.; Imhof, T.; Ityel, H.; Vivante, A.; Chen, J.; Hwang, D.Y.; et al. A homozygous missense variant in VWA2, encoding an interactor of the Fraser-complex, in a patient with vesicoureteral reflux. PLoS ONE 2018, 13, e0191224. [Google Scholar] [CrossRef]






Disclaimer/Publisher’s Note: The statements, opinions and data contained in all publications are solely those of the individual author(s) and contributor(s) and not of MDPI and/or the editor(s). MDPI and/or the editor(s) disclaim responsibility for any injury to people or property resulting from any ideas, methods, instructions or products referred to in the content. |
© 2023 by the authors. Licensee MDPI, Basel, Switzerland. This article is an open access article distributed under the terms and conditions of the Creative Commons Attribution (CC BY) license (https://creativecommons.org/licenses/by/4.0/).
Share and Cite
Esho, T.; Kobbe, B.; Tufa, S.F.; Keene, D.R.; Paulsson, M.; Wagener, R. The Fraser Complex Proteins (Frem1, Frem2, and Fras1) Can Form Anchoring Cords in the Absence of AMACO at the Dermal–Epidermal Junction of Mouse Skin. Int. J. Mol. Sci. 2023, 24, 6782. https://doi.org/10.3390/ijms24076782
Esho T, Kobbe B, Tufa SF, Keene DR, Paulsson M, Wagener R. The Fraser Complex Proteins (Frem1, Frem2, and Fras1) Can Form Anchoring Cords in the Absence of AMACO at the Dermal–Epidermal Junction of Mouse Skin. International Journal of Molecular Sciences. 2023; 24(7):6782. https://doi.org/10.3390/ijms24076782
Chicago/Turabian StyleEsho, Temitope, Birgit Kobbe, Sara F. Tufa, Douglas R. Keene, Mats Paulsson, and Raimund Wagener. 2023. "The Fraser Complex Proteins (Frem1, Frem2, and Fras1) Can Form Anchoring Cords in the Absence of AMACO at the Dermal–Epidermal Junction of Mouse Skin" International Journal of Molecular Sciences 24, no. 7: 6782. https://doi.org/10.3390/ijms24076782
APA StyleEsho, T., Kobbe, B., Tufa, S. F., Keene, D. R., Paulsson, M., & Wagener, R. (2023). The Fraser Complex Proteins (Frem1, Frem2, and Fras1) Can Form Anchoring Cords in the Absence of AMACO at the Dermal–Epidermal Junction of Mouse Skin. International Journal of Molecular Sciences, 24(7), 6782. https://doi.org/10.3390/ijms24076782

