Transcriptomic Analysis of Hormone Signal Transduction, Carbohydrate Metabolism, Heat Shock Proteins, and SCF Complexes before and after Fertilization of Korean Pine Ovules
Abstract
1. Introduction
2. Results
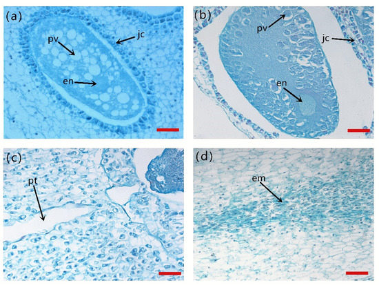
2.1. Anatomical Observation of the Ovule Fertilization Process of Korean Pine
2.2. Physiological Analysis during Ovule Fertilization in Korean Pine
2.2.1. Changes in IAA and ZR Content
2.2.2. Changes in Soluble Sugar and Starch Contents
2.3. RNA-Seq Analysis before and after Fertilization of Korean Pine Ovules
2.3.1. Sequencing Data Evaluation and Statistical Results
2.3.2. KEGG Pathway Analysis of DEGs among ZA, ZB, ZC, and ZD
2.4. Gene Regulation during Ovule Fertilization of Korean Pine
2.4.1. Genes Related to Plant Hormones
2.4.2. Genes Related to Carbohydrate Metabolism
2.4.3. Genes Related to Heat Shock Proteins
2.4.4. Genes Associated with SCF Complexes
2.5. Verification of Genes Related to Fertilization Process by qRT-PCR
3. Discussion
3.1. Plant Hormone Signal Transduction Pathways
3.2. Carbohydrate Metabolic Pathway
3.3. Heat Shock Proteins
3.4. SCF Complex
4. Materials and Methods
4.1. Plant Materials
4.2. Anatomical Observation of Korean Pine Ovules
4.3. Measurement of Physiological Indexes of Korean Pine Ovules
4.4. Extraction of RNA from Korean Pine Ovules and Transcriptome Sequencing
4.5. RNA-Seq and Transcriptome Data Processing
4.6. Analysis of Differentially Expressed Genes
4.7. Quantitative PCR (qRT-PCR) Analysis
5. Conclusions
Supplementary Materials
Author Contributions
Funding
Institutional Review Board Statement
Informed Consent Statement
Data Availability Statement
Conflicts of Interest
References
- Hou, D.; Zhang, L.; Wang, J.N.; Li, J.Q.; Zhao, C.H.; Li, Z.X.; Zhang, H.G. Variation in cone, seed, and kernel nutritional components traits of Pinus koraiensis. Silvae Genet. 2021, 70, 205–216. [Google Scholar] [CrossRef]
- Liang, Y.; Bai, X.; Xu, X.; Xu, H.G.; Wang, J.; Pan, P. Direct in vitro organogenesis from sprouted seeds of a highly economical and ecological valued tree, Korean pine. Plant Cell Tissue Organ Cult. 2022, 148, 197–207. [Google Scholar] [CrossRef]
- Li, X.; Liu, X.-T.; Wei, J.-T.; Li, Y.; Tigabu, M.; Zhao, X.-Y. Genetic Improvement of Pinus koraiensis in China: Current Situation and Future Prospects. Forests 2020, 11, 148. [Google Scholar] [CrossRef]
- Wu, H.B.; Yin, D.S.; Rodriguez-Calcerrada, J.; Zhang, J.Y.; Gil, L.; Zhang, P.; Shen, H.L. Cone-bearing effects on photosynthetic traits do not change with needle age in Pinus koraiensis trees. New For. 2022, 53, 607–626. [Google Scholar] [CrossRef]
- Zhang, Q.; Li, R.; Wang, B.; Kombi Kaviriri, D.; Pei, X.; Wang, Z.; Liang, D.; Zhang, P.; Zhao, X. Research Progress on Flowering and Fruiting of Pinus koraiensis. Mol. Plant Breed. 2019, 17, 1364–1372. [Google Scholar]
- Li, Y.; Li, X.; Zhao, M.-H.; Pang, Z.-Y.; Wei, J.-T.; Tigabu, M.; Chiang, V.L.; Sederoff, H.; Sederoff, R.; Zhao, X.-Y. An Overview of the Practices and Management Methods for Enhancing Seed Production in Conifer Plantations for Commercial Use. Horticulturae 2021, 7, 252. [Google Scholar] [CrossRef]
- Mendoza-Hernandez, N.B.; Ramirez-Herrera, C.; Lopez-Upton, J.; Reyes-Hernandez, V.; Lopez, P. REPRODUCTIVE CHARACTERISTICS VARIATION IN Pinus patula TREES AT A SEXUAL SEED ORCHARD. Agrociencia 2018, 52, 279–291. [Google Scholar]
- Huijser, P.; Schmid, M. The control of developmental phase transitions in plants. Development 2011, 138, 4117–4129. [Google Scholar] [CrossRef]
- Han, Y.Z.; Yu, J.J.; Guo, F.L.; Watkins, S.C. Polysomes are associated with microtubules in fertilized eggs of Chinese pine (Pinus tabulaeformis). Protoplasma 2006, 227, 223–227. [Google Scholar] [CrossRef]
- Guo, F.L.; Yu, L.F.; Watkins, S.; Han, Y.Z. Orientation of microtubules suggests a role in mRNA transportation in fertilized eggs of Chinese pine (Pinus tabulaeformis). Protoplasma 2007, 231, 239–243. [Google Scholar] [CrossRef]
- Xiao, F.; Yang, X.; Zhao, Y.; Fan, F. Transcriptome analysis of Pinus massoniana Lamb. microstrobili during sexual reversal. Open Life Sci. 2018, 13, 97–106. [Google Scholar] [CrossRef] [PubMed]
- Yang, B.-J.; Han, X.-X.; Yin, L.-L.; Xing, M.-Q.; Xu, Z.-H.; Xue, H.-W. Arabidopsis PROTEASOME REGULATOR1 is required for auxin-mediated suppression of proteasome activity and regulates auxin signalling. Nat. Commun. 2016, 7, 11388. [Google Scholar] [CrossRef] [PubMed]
- Mahonen, A.P.; Higuchi, M.; Tormakangas, K.; Miyawaki, K.; Pischke, M.S.; Sussman, M.R.; Helariutta, Y.; Kakimoto, T. Cytokinins regulate a bidirectional phosphorelay network in Arabidopsis. Curr. Biol. 2006, 16, 1116–1122. [Google Scholar] [CrossRef] [PubMed]
- del Pozo, J.C.; Estelle, M. F-box proteins and protein degradation: An emerging theme in cellular regulation. Plant Mol. Biol. 2000, 44, 123–128. [Google Scholar] [CrossRef]
- Nambara, E.; Van Wees, S.C.M. Plant hormone functions and interactions in biological systems. Plant J. 2021, 105, 287–289. [Google Scholar] [CrossRef]
- Guo, L.; Luo, X.; Li, M.; Joldersma, D.; Plunkert, M.; Liu, Z. Mechanism of fertilization-induced auxin synthesis in the endosperm for seed and fruit development. Nat. Commun. 2022, 13, 3985. [Google Scholar] [CrossRef] [PubMed]
- Gao, C.; Wang, Y.; Qu, H. Study of auxin regulation of pollen tube growth through calcium channels in Pyrus pyrifolia. Plant Growth Regul. 2019, 89, 99–108. [Google Scholar] [CrossRef]
- Mobini, S.; Khazaei, H.; Warkentin, T.D.; Vandenberg, A. Shortening the generation cycle in faba bean (Vicia faba) by application of cytokinin and cold stress to assist speed breeding. Plant Breed. 2020, 139, 1181–1189. [Google Scholar] [CrossRef]
- Kant, S.; Bi, Y.-M.; Zhu, T.; Rothstein, S.J. SAUR39, a Small Auxin-Up RNA Gene, Acts as a Negative Regulator of Auxin Synthesis and Transport in Rice. Plant Physiol. 2009, 151, 691–701. [Google Scholar] [CrossRef]
- Li, X.; Wu, M.; Liu, G.; Pei, W.; Zhai, H.; Yu, J.; Zhang, J.; Yu, S. Identification of candidate genes for fiber length quantitative trait loci through RNA-Seq and linkage and physical mapping in cotton. Bmc Genom. 2017, 18, 1–12. [Google Scholar] [CrossRef]
- Xu, F.; He, S.; Zhang, J.; Mao, Z.; Wang, W.; Li, T.; Hua, J.; Du, S.; Xu, P.; Li, L.; et al. Photoactivated CRY1 and phyB Interact Directly with AUX/IAA Proteins to Inhibit Auxin Signaling in Arabidopsis. Mol. Plant 2018, 11, 523–541. [Google Scholar] [CrossRef] [PubMed]
- Xie, M.T.; Chen, H.Y.; Huang, L.; O’Neil, R.C.; Shokhirev, M.N.; Ecker, J.R. A B-ARR-mediated cytokinin transcriptional network directs hormone cross-regulation and shoot development. Nat. Commun. 2018, 9, 1604. [Google Scholar] [CrossRef] [PubMed]
- Sakai, H.; Honma, T.; Aoyama, T.; Sato, S.; Kato, T.; Tabata, S.; Oka, A. ARR1, a transcription factor for genes immediately responsive to cytokinins. Science 2001, 294, 1519–1521. [Google Scholar] [CrossRef] [PubMed]
- Ren, B.; Liang, Y.; Deng, Y.; Chen, Q.; Zhang, J.; Yang, X.; Zuo, J. Genome-wide comparative analysis of type-A Arabidopsis response regulator genes by overexpression studies reveals their diverse roles and regulatory mechanisms in cytokinin signaling. Cell Res. 2009, 19, 1178–1190. [Google Scholar] [CrossRef] [PubMed]
- Chai, M.F.; Wei, P.C.; Chen, Q.J.; An, R.; Chen, J.; Yang, S.; Wang, X.C. NADK3, a novel cytoplasmic source of NADPH, is required under conditions of oxidative stress and modulates abscisic acid responses in Arabidopsis. Plant J. 2006, 47, 665–674. [Google Scholar] [CrossRef]
- Zhai, Z.; Keereetaweep, J.; Liu, H.; Feil, R.; Lunn, J.E.; Shanklin, J. Expression of a Bacterial Trehalose-6-phosphate Synthase otsA Increases Oil Accumulation in Plant Seeds and Vegetative Tissues. Front. Plant Sci. 2021, 12, 656962. [Google Scholar] [CrossRef]
- Yui, R.; Iketani, S.; Mikami, T.; Kubo, T. Antisense inhibition of mitochondrial pyruvate dehydrogenase E1 alpha subunit in anther tapetum causes male sterility. Plant J. 2003, 34, 57–66. [Google Scholar] [CrossRef]
- Siva, A.B.; Panneerdoss, S.; Sailasree, P.; Singh, D.K.; Kameshwari, D.B.; Shivaji, S. Inhibiting Sperm Pyruvate Dehydrogenase Complex and Its E3 Subunit, Dihydrolipoamide Dehydrogenase Affects Fertilization in Syrian Hamsters. PLoS ONE 2014, 9, e97916. [Google Scholar] [CrossRef]
- Dresselhaus, T.; Franklin-Tong, N. MaleFemale Crosstalk during Pollen Germination, Tube Growth and Guidance, and Double Fertilization. Mol. Plant 2013, 6, 1018–1036. [Google Scholar] [CrossRef]
- Weterings, K.; Russell, S.D. Experimental analysis of the fertilization process. Plant Cell 2004, 16, S107–S118. [Google Scholar] [CrossRef]
- Gillmor, C.S.; Lukowitz, W.; Brininstool, G.; Sedbrook, J.C.; Hamann, T.; Poindexter, P.; Somerville, C. Glycosylphosphatidylinositol-anchored proteins are required for cell wall synthesis and morphogenesis in Arabidopsis. Plant Cell 2005, 17, 1128–1140. [Google Scholar] [CrossRef] [PubMed]
- Zakrzewska, A.; Palamarczyk, G.; Krotkiewski, H.; Zdebska, E.; Saloheimo, M.; Penttila, M.; Kruszewska, J.S. Overexpression of the gene encoding GTP: Mannose-1-phosphate guanyltransferase, mpg1, increases cellular GDP-Mannose levels and protein mannosylation in Trichoderma reesei. Appl. Environ. Microbiol. 2003, 69, 4383–4389. [Google Scholar] [CrossRef]
- Yi, Y.; Liu, L.; Zhou, W.; Peng, D.; Han, R.; Yu, N. Characterization of GMPP from Dendrobium huoshanense yielding GDP-D-mannose. Open Life Sci. 2021, 16, 102–107. [Google Scholar] [CrossRef]
- Chen, X.; Wang, Z.; Tang, R.; Wang, L.; Chen, C.; Ren, Z. Genome-wide identification and expression analysis of Hsf and Hsp gene families in cucumber (Cucumis sativus L.). Plant Growth Regul. 2021, 95, 223–239. [Google Scholar] [CrossRef]
- Balbuena, T.S.; Silveira, V.; Junqueira, M.; Dias, L.L.C.; Santa-Catarina, C.; Shevchenko, A.; Floh, E.I.S. Changes in the 2-DE protein profile during zygotic embryogenesis in the Brazilian Pine (Araucaria angustifolia). J. Proteom. 2009, 72, 337–352. [Google Scholar] [CrossRef] [PubMed]
- Qi, Y.; Wang, H.; Zou, Y.; Liu, C.; Liu, Y.; Wang, Y.; Zhang, W. Over-expression of mitochondrial heat shock protein 70 suppresses programmed cell death in rice. Febs Lett. 2011, 585, 231–239. [Google Scholar] [CrossRef] [PubMed]
- Rowarth, N.M.; Dauphinee, A.N.; Denbigh, G.L.; Gunawardena, A.H.L.A.N. Hsp70 plays a role in programmed cell death during the remodelling of leaves of the lace plant (Aponogeton madagascariensis). J. Exp. Bot. 2020, 71, 907–918. [Google Scholar] [CrossRef]
- Xie, J.; Jin, Y.; Wang, G. The role of SCF ubiquitin-ligase complex at the beginning of life. Reprod. Biol. Endocrinol. 2019, 17, 101. [Google Scholar] [CrossRef]
- Wang, M.Y.; Song, Y.L.; Zhang, S.X.; Zhao, X.L.; Wang, J.W.; Niu, N.; Zhang, G.S. The Analysis of SKP1 Gene Expression in Physiological Male Sterility Induced by Chemical Hybridizing Agent SQ-1 in Wheat (Triticum aestivum L.). Cereal Res. Commun. 2015, 43, 204–212. [Google Scholar] [CrossRef]
- Liu, F.Q.; Ni, W.M.; Griffith, M.E.; Huang, Z.Y.; Chang, C.Q.; Peng, W.; Ma, H.; Xie, D.X. The ASK1 and ASK2 genes are essential for Arabidopsis early development. Plant Cell 2004, 16, 5–20. [Google Scholar] [CrossRef]
- Piva, R.; Liu, J.; Chiarle, R.; Podda, A.; Pagano, M.; Inghirami, G. In vivo interference with Skp1 function leads to genetic instability and neoplastic transformation. Mol. Cell. Biol. 2002, 22, 8375–8387. [Google Scholar] [CrossRef] [PubMed]
- Bagchi, R.; Melnyk, C.W.; Christ, G.; Winkler, M.; Kirchsteiner, K.; Salehin, M.; Mergner, J.; Niemeyer, M.; Schwechheimer, C.; Villalobos, L.I.A.C.; et al. The Arabidopsis ALF4 protein is a regulator of SCF E3 ligases. Embo J. 2018, 37, 255–268. [Google Scholar] [CrossRef]
- Jia, L.; Sun, Y. RBX1/ROC1-SCF E3 ubiquitin ligase is required for mouse embryogenesis and cancer cell survival. Cell Div. 2009, 4, 1–6. [Google Scholar] [CrossRef] [PubMed]
- Noureddine, M.A.; Donaldson, T.D.; Thacker, S.A.; Duronio, R.J. Drosophila Roc1a encodes a RING-H2 protein with a unique function in processing the Hh signal transducer Ci by the SCF E3 ubiquitin ligase. Dev. Cell 2002, 2, 757–770. [Google Scholar] [CrossRef]
- Li, S.; Yang, N.; Chen, L. Paraffin section observation of flower bud differentiation of Chimonanthus praecox in Kunming and comparison of the differentiation processes in different regions, China. Hortic. Plant J. 2022, 8, 221–229. [Google Scholar] [CrossRef]
- Van Wychen, S.; Laurens, L.M.L. Total Carbohydrate Content Determination of Microalgal Biomass by Acid Hydrolysis Followed by Spectrophotometry or Liquid Chromatography. Methods Mol. Biol. 2020, 1980, 191–202. [Google Scholar] [PubMed]








Disclaimer/Publisher’s Note: The statements, opinions and data contained in all publications are solely those of the individual author(s) and contributor(s) and not of MDPI and/or the editor(s). MDPI and/or the editor(s) disclaim responsibility for any injury to people or property resulting from any ideas, methods, instructions or products referred to in the content. |
© 2023 by the authors. Licensee MDPI, Basel, Switzerland. This article is an open access article distributed under the terms and conditions of the Creative Commons Attribution (CC BY) license (https://creativecommons.org/licenses/by/4.0/).
Share and Cite
Yu, X.; Liu, X.; Wang, Y.; Zhang, Y.; Shen, H.; Yang, L. Transcriptomic Analysis of Hormone Signal Transduction, Carbohydrate Metabolism, Heat Shock Proteins, and SCF Complexes before and after Fertilization of Korean Pine Ovules. Int. J. Mol. Sci. 2023, 24, 6570. https://doi.org/10.3390/ijms24076570
Yu X, Liu X, Wang Y, Zhang Y, Shen H, Yang L. Transcriptomic Analysis of Hormone Signal Transduction, Carbohydrate Metabolism, Heat Shock Proteins, and SCF Complexes before and after Fertilization of Korean Pine Ovules. International Journal of Molecular Sciences. 2023; 24(7):6570. https://doi.org/10.3390/ijms24076570
Chicago/Turabian StyleYu, Xiaoqian, Xueqing Liu, Yuanxing Wang, Yue Zhang, Hailong Shen, and Ling Yang. 2023. "Transcriptomic Analysis of Hormone Signal Transduction, Carbohydrate Metabolism, Heat Shock Proteins, and SCF Complexes before and after Fertilization of Korean Pine Ovules" International Journal of Molecular Sciences 24, no. 7: 6570. https://doi.org/10.3390/ijms24076570
APA StyleYu, X., Liu, X., Wang, Y., Zhang, Y., Shen, H., & Yang, L. (2023). Transcriptomic Analysis of Hormone Signal Transduction, Carbohydrate Metabolism, Heat Shock Proteins, and SCF Complexes before and after Fertilization of Korean Pine Ovules. International Journal of Molecular Sciences, 24(7), 6570. https://doi.org/10.3390/ijms24076570

