Specific Mutations near the Amyloid Precursor Protein Cleavage Site Increase γ-Secretase Sensitivity and Modulate Amyloid-β Production
Abstract
1. Introduction
2. Results
2.1. Effects of APP FAD Mutations on γ-Secretase Activity
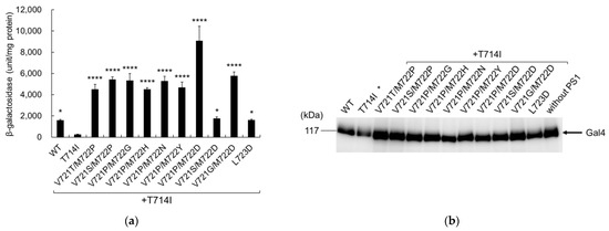
2.2. Secondary Mutations That Restore Cleavage of the APP FAD Mutant
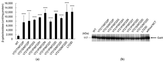
2.3. Secondary Mutations Enhanced the Cleavage of APP
2.4. Proline and Aspartate Mutations Enhanced the Cleavage of APP
2.5. Aspartate Mutations Facilitated Cleavage of APP by Enhancing Interactions with the Positively Charged PS1 K380 Residue
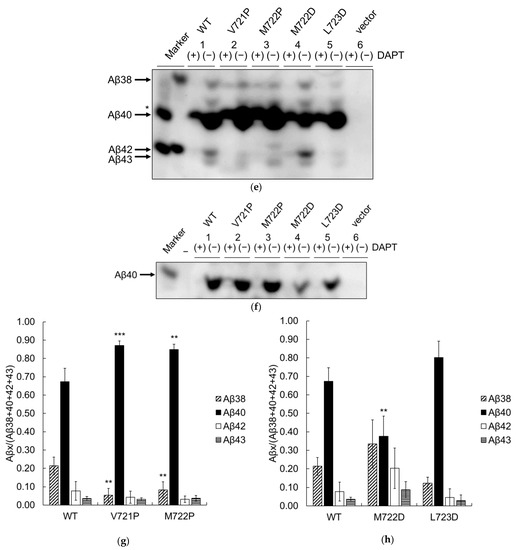
2.6. Secondary Mutations Restored T714I in Chinese Hamster Ovary Cells
2.7. Secondary Mutations Modulate the Cleavage of APP
3. Discussion
4. Materials and Methods
4.1. γ-Secretase Reconstitution and Reporter Assays
4.2. Random Mutagenesis by Inverse PCR
4.3. Aβ Production in Chinese Hamster Ovary Cells
4.4. Antibodies
Supplementary Materials
Author Contributions
Funding
Institutional Review Board Statement
Informed Consent Statement
Data Availability Statement
Acknowledgments
Conflicts of Interest
References
- Selkoe, D.J.; Hardy, J. The amyloid hypothesis of Alzheimer’s disease at 25 years. EMBO Mol. Med. 2016, 8, 595–608. [Google Scholar] [CrossRef] [PubMed]
- De Strooper, B.; Vassar, R.; Golde, T. The secretase: Enzymes with therapeutic potential in Alzeimer disease. Nat. Rev. Neurol. 2010, 6, 99–107. [Google Scholar] [CrossRef]
- Tomita, T. Molecular mechanism of intramembrane proteolysis by γ-secretase. J. Biochem. 2014, 156, 195–201. [Google Scholar] [CrossRef] [PubMed]
- Takami, M.; Nagashima, Y.; Sano, Y.; Ishihara, S.; Morishita-Kawashima, M.; Funamoto, S.; Ihara, Y. γ-secretase: Successive tripeptide and tetrapeptide release from the transmembrane domain of β-carboxyl terminal fragment. J. Neurosci. 2009, 29, 13042–13052. [Google Scholar] [CrossRef]
- Bolduc, D.M.; Montagna, D.R.; Seghers, M.C.; Wolfe, M.S.; Selkoe, D.J. The amyloid-beta forming tripeptide cleavage mechanism of γ-secretase. eLife 2016, 5, e17578. [Google Scholar] [CrossRef]
- Jarrett, J.T.; Berger, E.P.; Lansbury, P.T., Jr. The C-terminus of the beta protein is critical in amyloidogenesis. Ann. N. Y. Acad. Sci. 1993, 695, 144–148. [Google Scholar] [CrossRef]
- Iwatsubo, T.; Odaka, A.; Suzuki, N.; Mizusawa, H.; Nukina, N.; Ihara, Y. Visualization of A42(43) and Aβ40 in senile plaques with end-specific Aβ monoclonals: Evidence that an initinally deposited species is Aβ42(43). Neuron 1994, 13, 45–53. [Google Scholar] [CrossRef]
- Szaruga, M.; Veugelen, S.; Benurwar, M.; Lismont, S.; Sepulveda-Falla, D.; Lleo, A.; Ryan, N.S.; Lashley, T.; Fox, N.C.; Murayama, S.; et al. Qualitative changes in human γ-secretase under-lie familial Alzheimer’s disease. J. Exp. Med. 2015, 212, 2003–2013. [Google Scholar] [CrossRef]
- Takasugi, N.; Tomita, T.; Hayashi, I.; Tsuruoka, M.; Niimura, M.; Takahashi, Y.; Thinakaran, G.; Iwatsubo, T. The role of presenilin cofactors in the gamma-secretase complex. Nature 2003, 422, 438–441. [Google Scholar] [CrossRef]
- Wolfe, M.S.; Xia, W.; Ostaszewski, B.L.; Diehl, T.S.; Kimberly, W.T.; Selkoe, D.J. Two transmembrane aspartates in pre-senilin-1 required for presenilin endoproteolysis and gamma-secretase activity. Nature 1999, 398, 513–517. [Google Scholar] [CrossRef]
- Laudon, H.; Hansson, E.M.; Melén, K.; Bergman, A.; Farmery, M.R.; Winblad, B.; Lendahl, U.; von Heijne, G.; Näslund, J.A. Nine-transmembrane domain topology for Presenilin 1. J. Biol. Chem. 2005, 280, 35352–35360. [Google Scholar] [CrossRef] [PubMed]
- Güner, G.; Lichtenthaler, S.F. The substrate repertoire of γ-secretase/presenilin. Semin. Cell Dev. Biol. 2020, 105, 27–42. [Google Scholar] [CrossRef]
- Goate, A.; Chartier-Harlin, M.C.; Mullan, M.; Brown, J.; Crawford, F.; Fidani, L.; Giuffra, L.; Haynes, A.; Irving, N.; James, L.; et al. Segregation of a missense mutation in the amyloid precursor protein gene with familial Alzheimer’s disease. Nature 1991, 349, 704–706. [Google Scholar] [CrossRef] [PubMed]
- ALZFORUM. Available online: https://www.alzforum.org/mutations/app (accessed on 15 November 2022).
- Kumar-Singh, S.; De Jonghe, C.; Cruts, M.; Kleinert, R.; Wang, R.; Mercken, M.; De Strooper, B.; Vanderstichele, H.; Löfgren, A.; Vanderhoeven, I.; et al. Nonfibrillar diffuse amyloid deposition due to a gamma(42)-secretase site mutation points to an essential role for N-truncated A beta(42) in Alzheimer’s disease. Hum. Mol. Genet. 2000, 9, 2589–2598. [Google Scholar] [CrossRef]
- Cruts, M.; Dermaut, B.; Rademakers, R.; Van den Broeck, M.; Stögbauer, F.; Van Broeckhoven, C. Novel APP mutation V715A associated with presenile Alzheimer’s disease in a German family. J. Neurol. 2003, 250, 1374–1375. [Google Scholar] [CrossRef]
- Lichtenthaler, S.F.; Wang, R.; Grimm, H.; Uljon, S.N.; Masters, C.L.; Beyreuther, K. Mechanism of the cleavage specificity of Alzheimer’s disease gamma-secretase identified by phenylalanine-scanning mutagenesis of the transmembrane domain of the amyloid precursor protein. Proc. Natl. Acad. Sci. USA 1999, 16, 3053–3058. [Google Scholar] [CrossRef] [PubMed]
- Eckman, C.B.; Mehta, N.D.; Crook, R.; Perez-tur, J.; Prihar, G.; Pfeiffer, E.; Graff-Radford, N.; Hinder, P.; Yager, D.; Zenk, B.; et al. A new pathogenic mutation in the APP gene (I716V) increases the relative proportion of A beta 42(43). Hum. Mol. Genet. 1997, 6, 2087–2089. [Google Scholar] [CrossRef]
- Jonsson, T.; Atwal, J.K.; Steinberg, S.; Snaedal, J.; Jonsson, P.V.; Bjornsson, S.; Stefansson, H.; Sulem, P.; Gudbjartsson, D.; Maloney, J.; et al. A mutation in APP protects against Alzheimer’s disease and age-related cognitive decline. Nature 2012, 488, 96–99. [Google Scholar] [CrossRef] [PubMed]
- Bai, X.; Yan, C.; Yang, G.; Lu, P.; Ma, D.; Sun, L.; Zhou, R.; Scheres, S.H.W.; Shi, Y. An atomic structure of human γ-secretase. Nature 2015, 525, 212–217. [Google Scholar] [CrossRef]
- Fukumori, A.; Steiner, H. Substrate recruitment of γ-secretase and mechanism of clinical presenilin mutations revealed by photoaffinity mapping. EMBO J. 2016, 35, 1628–1643. [Google Scholar] [CrossRef]
- Zhou, R.; Yang, G.; Guo, X.; Zhou, Q.; Lei, J.; Shi, Y. Recognition of the amyloid precursor protein by human γ-secretase. Science 2019, 363, eaaw0930. [Google Scholar] [CrossRef] [PubMed]
- Yang, G.; Zhou, R.; Zhou, Q.; Guo, X.; Yan, C.; Ke, M.; Lei, J.; Shi, Y. Structural basis of Notch recognition by human γ-secretase. Nature 2019, 565, 192–197. [Google Scholar] [CrossRef]
- Yang, G.; Zhou, R.; Guo, X.; Yan, C.; Lei, J.; Shi, Y. Structural basis of γ-secretase inhibition by small molecule drugs. Cell 2019, 184, 521–533. [Google Scholar] [CrossRef] [PubMed]
- Futai, E.; Yagishita, S.; Ishiura, S. Nicastrin is dispensable for gamma-secretase protease activity in the presence of specific presenilin mutations. J. Biol. Chem. 2009, 284, 13013–13022. [Google Scholar] [CrossRef]
- Futai, E. Advanced yeast models of familial Alzheimer disease expressing FAD-linked presenilin to screen mutations and γ-secretase modulators. Methods Mol. Biol. 2019, 2049, 403–417. [Google Scholar]
- Futai, E.; Osawa, S.; Cai, T.; Fujisawa, T.; Ishiura, S.; Tomita, T. Suppressor mutations for presenilin 1 familial Alzheimer disease mutants modulate γ-secretase activities. J. Biol. Chem. 2016, 291, 435–446. [Google Scholar] [CrossRef] [PubMed]
- Higashide, H.; Ishihara, S.; Nobuhara, M.; Ihara, Y.; Funamoto, S. Alanine substitutions in the GXXXG motif alter C99 cleavage by γ-secretase but not its dimerization. J. Neurochem. 2017, 140, 955–962. [Google Scholar] [CrossRef]
- De Jonghe, C.; Esselens, C.; Kumar-Singh, S.; Craessaerts, K.; Serneels, S.; Checler, F.; Annaert, W.; Van Broeckhoven, C.; De Strooper, B. Pathogenic APP mutations near the gamma-secretase cleavage site differentially affect Abeta secretion and APP C-terminal fragment stability. Hum. Mol. Genet. 2001, 10, 1665–1671. [Google Scholar] [CrossRef]
- Suárez-Calvet, M.; Belbin, O.; Pera, M.; Badiola, N.; Magrané, J.; Guardia-Laguarta, C.; Muñoz, L.; Colom-Cadena, M.; Clarimón, J.; Lleó, A. Autosomal-dominant Alzheimer’s disease mutations at the same codon of amyloid precursor protein differentially alter Aβ production. J. Neurochem. 2014, 128, 330–339. [Google Scholar] [CrossRef] [PubMed]
- Watahiki, H.; Yagishita, S.; Futai, E.; Ishiura, S. CTF1-51, a truncated carboxyl-terminal fragment of amyloid precursor protein, suppresses the effects of Aβ42-lowering γ-secretase modulators. Neurosci. Lett. 2012, 27, 96–99. [Google Scholar] [CrossRef]
- Qi-Takahara, Y.; Morishima-Kawashima, M.; Tanimura, Y.; Dolios, G.; Hirotani, N.; Horikoshi, Y.; Kametani, F.; Maeda, M.; Saido, T.C.; Wang, R.; et al. Longer forms of amyloid beta protein: Implications for the mechanism of intramem-brane cleavage by gamma-secretase. J. Neurosci. 2005, 25, 436–445. [Google Scholar] [CrossRef]
- Imai, S.; Cai, T.; Yoshida, C.; Tomita, T.; Futai, E. Specific mutations in presenilin 1 cause conformational changes in γ-secretase to modulate amyloid β trimming. J. Biochem. 2018, 165, 37–46. [Google Scholar] [CrossRef]
- Watanabe, H.; Yoshida, C.; Hidaka, M.; Ogawa, T.; Tomita, T.; Futai, E. Specific Mutations in Aph1 Cause γ-Secretase Activation. Int. J. Mol. Sci. 2022, 3, 507. [Google Scholar] [CrossRef]
- Nadezhdin, K.D.; Bocharova, O.V.; Bocharov, E.V.; Arseniev, A.S. Structural and dynamic study of the transmembrane domain of the amyloid precursor protein. Acta Nat. 2011, 3, 69–76. [Google Scholar] [CrossRef] [PubMed]
- Brown, M.C.; Abdine, A.; Chavez, J.; Schaffner, A.; Torres-Arancivia, C.; Lada, B.; JiJi, R.D.; Osman, R.; Cooley, J.W.; Ubarretxena-Belandia, I. Unwinding of the Substrate Transmembrane Helix in Intramembrane Proteolysis. Biophys. J. 2018, 114, 1579–1589. [Google Scholar] [CrossRef]
- Götz, A.; Mylonas, N.; Högel, P.; Silber, M.; Heinel, H.; Menig, S.; Vogel, A.; Feyrer, H.; Huster, D.; Luy, B.; et al. Modulating Hinge Flexibility in the APP Transmembrane Domain Alters γ-Secretase Cleavage. Biophys. J. 2019, 116, 2103–2120. [Google Scholar] [CrossRef] [PubMed]
- Fernandez, M.A.; Biette, K.M.; Dolios, G.; Seth, D.; Wang, R.; Wolfe, M.S. Transmembrane Substrate Determinants for γ-Secretase Processing of APP CTFβ. Biochemistry 2016, 55, 5675–5688. [Google Scholar] [CrossRef]
- Nilsson, I.; Sääf, A.; Whitley, P.; Gafvelin, G.; Waller, C.; von Heijne, G. Proline-induced disruption of a transmembrane alpha-helix in its natural environment. J. Mol. Biol. 1998, 284, 1165–1175. [Google Scholar] [CrossRef] [PubMed]
- Cordes, F.S.; Bright, J.N.; Sansom, M.S. Proline-induced distortions of transmembrane helices. J. Mol. Biol. 2002, 323, 951–960. [Google Scholar] [CrossRef]
- Dimitrov, M.; Alattia, J.R.; Lemmin, T.; Lehal, R.; Fligier, A.; Houacine, J.; Hussain, I.; Radtke, F.; Dal Peraro, M.; Beher, D.; et al. Alzheimer’s disease mutations in APP but not γ-secretase modulators affect epsilon-cleavage-dependent AICD production. Nat. Commun. 2013, 4, 2246. [Google Scholar] [CrossRef]
- Bhattarai, A.; Devkota, S.; Bhattarai, S.; Wolfe, M.S.; Miao, Y. Mechanisms of γ-Secretase Activation and Substrate Processing. ACS Cent. Sci. 2020, 6, 969–983. [Google Scholar] [CrossRef]
- Berezovska, O.; Ramdya, P.; Skoch, J.; Wolfe, M.S.; Bacskai, B.J.; Hyman, B.T. Amyloid precursor protein associates with nicastrin-dependent docking site on presenilin 1-γ-secretase complex in cells demonstrated by fluorescent lifetime imaging. J. Neurosci. 2003, 23, 4560–4566. [Google Scholar] [CrossRef] [PubMed]
- GnomAD. Available online: https://gnomad.broadinstitute.org/gene/ENSG00000142192?dataset=gnomad_r2_1 (accessed on 15 November 2022).
- jMorp. Available online: https://jmorp.megabank.tohoku.ac.jp/genes/351?genome=GRCh38&srSnvindelTranscriptId=NM_000484.4 (accessed on 15 November 2022).
- COSMIC. Available online: https://cancer.sanger.ac.uk/cosmic/gene/analysis?ln=APP#gene-view (accessed on 15 November 2022).
- Castro, M.A.; Parson, K.F.; Beg, I.; Wilkinson, M.C.; Nurmakova, K.; Levesque, I.; Voehler, M.W.; Wolfe, M.S.; Ruotolo, B.T.; Sanders, C.R. Verteporfin is a substrate-selective γ-secretase inhibitor that binds the amyloid precursor protein transmembrane domain. J. Biol. Chem. 2022, 298, 101792. [Google Scholar] [CrossRef]
- Kukar, T.L.; Ladd, T.B.; Bann, M.A.; Fraering, P.C.; Narlawar, R.; Maharvi, G.M.; Healy, B.; Chapman, R.; Welzel, A.T.; Price, R.W.; et al. Substrate-targeting gamma-secretase modulators. Nature 2008, 453, 925–929. [Google Scholar] [CrossRef]
- Zhao, J.; Xiao, Y.; Liu, X.; Kim, S.; Wu, X.; Barros, M.; Zhuang, R.; Hou, X.; Zhang, Y.; Robakis, N.K.; et al. Substrate interaction inhibits γ-secretase production of amyloid-β peptides. Chem. Commun. 2020, 56, 2578–2581. [Google Scholar] [CrossRef] [PubMed]
- Miller, C.A., 3rd; Martinat, M.A.; Hyman, L.E. Assessment of aryl hydrocarbon receptor complex interactions using pBEVY plasmids: Expressionvectors with bi-directional promoters for use in Saccharomyces cerevisiae. Nucleic Acids. Res. 1998, 26, 3577–3583. [Google Scholar] [CrossRef]
- Mumberg, D.; Müller, R.; Funk, M. Yeast vectors for the controlled expression of heterologous proteins in different genetic backgrounds. Gene 1995, 156, 119–122. [Google Scholar] [CrossRef] [PubMed]
- James, P.; Halladay, J.; Craig, E.A. Genomic libraries and a host strain designed for highly efficient Two-Hybrid selection in yeast. Genetics 1996, 144, 1425–1436. [Google Scholar] [CrossRef]
- Lichtenthaler, S.F.; Multhaup, G.; Masters, C.L.; Beyreuther, K. A novel substrate for analyzing Alzheimer’s disease gamma-secretase. FEBS Lett. 1999, 453, 288–292. [Google Scholar] [CrossRef]













| APP Mutants | Growth with PS1 WT | Growth without PS1 |
|---|---|---|
| WT | ++ | |
| APP T714I | − | |
| APP T714I, PCR mutation | ||
| V721T/M722P | ++ | − * |
| V721P/M722G | ++ | − |
| V721S/M722P | ++ | − |
| V721P/M722D | ++ | − * |
| V721S/M722D | ++ | − |
| V721P/M722H | ++ | − |
| V721G/M722D | ++ | − |
| V721P/M722Y | ++ | − |
| V721P/M722N | ++ | − |
| L723D | ++ | − |
| APP | WT | M722D | M722E | L723D | L723E | |
|---|---|---|---|---|---|---|
| PS1 | ||||||
| WT | 1.00 ± 0.19 | 3.42 ± 0.16 | 2.23 ± 0.13 | 5.67 ± 0.18 | 3.91 ± 0.83 | |
| K380E | 1.00 ± 0.07 | 0.86 ± 0.06 | 0.45 ± 0.06 | 2.29 ± 0.13 | 1.65 ± 0.09 | |
| WT | T714I | T714I/ V721P | T714I/ M722P | T714I/ M722D | T714I/ L723D | |
|---|---|---|---|---|---|---|
| Short Aβs (Aβ38 + Aβ40) | 91.4 ± 4.7 | 78.5 ± 5.1 | 94.3 ± 1.3 | 85.8 ± 3.1 | 59.5 ± 7.3 | 67.7 ± 13.1 |
| Long Aβs (Aβ42 + Aβ43) | 8.6 ± 4.7 | 21.5 ± 5.1 | 5.7 ± 1.3 | 14.2 ± 3.1 | 40.5 ± 7.3 | 32.3 ± 13.1 |
| Cleavage line 1; Aβ49 → 46 → 43 → 40 (Aβ40 + Aβ43) | 71.8 ± 8.6 | 34.4 ± 5.3 | 91.3 ± 4.5 | 61.4 ± 2.1 | 24.2 ± 3.4 | 26.3 ± 0.9 |
| Cleavage line 2; Aβ48 → 45 → 42 → 38 (Aβ38 + Aβ42) | 28.2 ± 8.6 | 65.6 ± 5.3 | 8.7 ± 4.5 | 38.6 ± 2.1 | 75.8 ± 3.4 | 73.7 ± 0.9 |
| WT | V721P | M722P | M722D | L723D | |
|---|---|---|---|---|---|
| Short Aβs (Aβ38 + Aβ40) | 88.8 ± 6.1 | 92.5 ± 3.8 | 93.1 ± 3.2 | 71.0 ± 14.6 | 92.6 ± 7.7 |
| Long Aβs (Aβ42 + Aβ43) | 11.2 ± 6.1 | 7.5 ± 3.8 | 6.9 ± 3.2 | 29.0 ± 14.6 | 7.4 ± 7.7 |
| Cleavage line 1; Aβ49 → 46 → 43 → 40 | 70.9 ± 6.3 | 90.4 ± 2.0 | 88.6 ± 3.3 | 46.3 ± 7.9 | 83.1 ± 5.9 |
| Aβ40 + Aβ43 | |||||
| Cleavage line 2; Aβ48 → 45 → 42 → 38 | 29.1 ± 6.3 | 9.6 ± 2.0 | 11.4 ± 3.3 | 53.7 ± 7.9 | 16.9 ± 5.9 |
| Aβ38 + Aβ42 |
Disclaimer/Publisher’s Note: The statements, opinions and data contained in all publications are solely those of the individual author(s) and contributor(s) and not of MDPI and/or the editor(s). MDPI and/or the editor(s) disclaim responsibility for any injury to people or property resulting from any ideas, methods, instructions or products referred to in the content. |
© 2023 by the authors. Licensee MDPI, Basel, Switzerland. This article is an open access article distributed under the terms and conditions of the Creative Commons Attribution (CC BY) license (https://creativecommons.org/licenses/by/4.0/).
Share and Cite
Suzuki, R.; Takahashi, H.; Yoshida, C.; Hidaka, M.; Ogawa, T.; Futai, E. Specific Mutations near the Amyloid Precursor Protein Cleavage Site Increase γ-Secretase Sensitivity and Modulate Amyloid-β Production. Int. J. Mol. Sci. 2023, 24, 3970. https://doi.org/10.3390/ijms24043970
Suzuki R, Takahashi H, Yoshida C, Hidaka M, Ogawa T, Futai E. Specific Mutations near the Amyloid Precursor Protein Cleavage Site Increase γ-Secretase Sensitivity and Modulate Amyloid-β Production. International Journal of Molecular Sciences. 2023; 24(4):3970. https://doi.org/10.3390/ijms24043970
Chicago/Turabian StyleSuzuki, Ryota, Haruka Takahashi, Chika Yoshida, Masafumi Hidaka, Tomohisa Ogawa, and Eugene Futai. 2023. "Specific Mutations near the Amyloid Precursor Protein Cleavage Site Increase γ-Secretase Sensitivity and Modulate Amyloid-β Production" International Journal of Molecular Sciences 24, no. 4: 3970. https://doi.org/10.3390/ijms24043970
APA StyleSuzuki, R., Takahashi, H., Yoshida, C., Hidaka, M., Ogawa, T., & Futai, E. (2023). Specific Mutations near the Amyloid Precursor Protein Cleavage Site Increase γ-Secretase Sensitivity and Modulate Amyloid-β Production. International Journal of Molecular Sciences, 24(4), 3970. https://doi.org/10.3390/ijms24043970

