Release of HMGB1 and Toll-like Receptors 2, 4, and 9 Signaling Are Modulated by Bifidobacterium animalis subsp. lactis BB-12 and Salmonella Typhimurium in a Gnotobiotic Piglet Model of Preterm Infants
Abstract
1. Introduction
2. Results
2.1. Clinical Signs of Enterocolitis
2.2. Goblet Cells in the Ileum
2.3. Goblet Cells in the Colon
2.4. TLR2, TLR4, TLR9, MyD88, TRIF, and RAGE mRNA in Ileum
2.5. TLR2, TLR4, TLR9, MyD88, TRIF, and RAGE mRNA in Colon
2.6. TLR2, TLR4, TLR9, MyD88, TRIF, and RAGE mRNA in Mesenteric Lymph Nodes
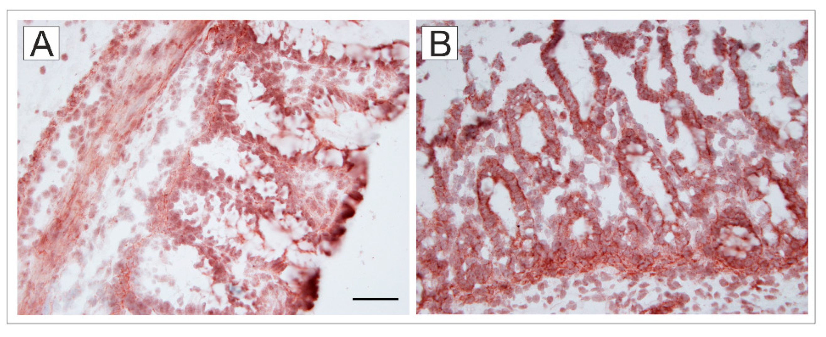
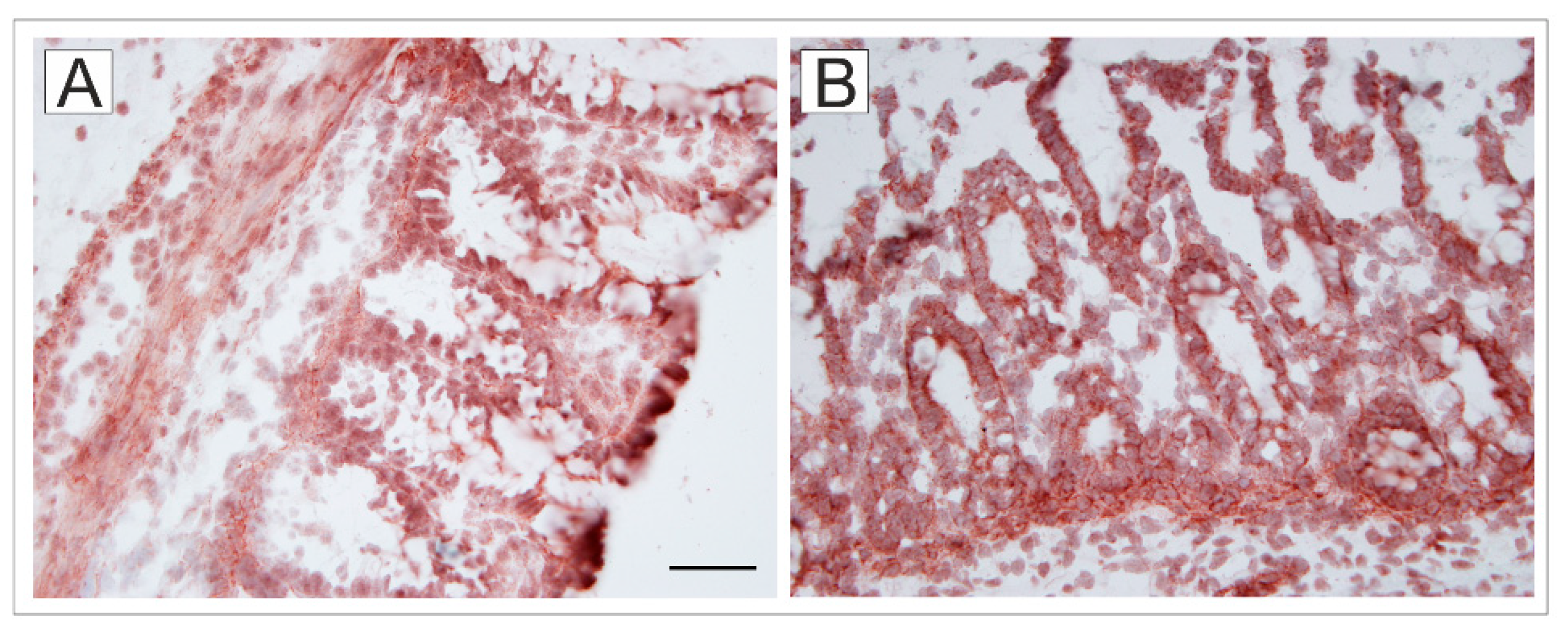
2.7. HMGB1 Expression in the Colon
2.8. Intestinal Levels of HMGB1, IL-6, and IL-12/23p40
2.9. HMGB, IL-6, and IL-12/23p40 in Plasma
3. Discussion
3.1. Animal Models of Immunocompromised Host and Probiotics
3.2. Gnotobiotic Piglet Translational Model
3.3. Intestinal Barrier
3.4. Receptors and Biomarkers
3.5. Cytokines
3.6. HMGB1 Protein Expression in the Ileum and Its Intestinal and Plasmatic Levels
3.7. Conclusions
4. Materials and Methods
4.1. Bacteria
4.2. Gnotobiotic Piglets
4.3. Mucin and Goblet Cells in the Ileum and Colon
4.4. Intestinal Lavage and Blood Plasma
4.5. RNA Purification and cDNA Synthesis
4.6. Real-Time PCR
4.7. Intestinal and Plasmatic HMGB1 Levels
4.8. IL-6 and IL-12/23 p40 in Intestinal Lavage and Blood plasma
4.9. Immunochemical Detection of HMGB1 in the Colon
4.10. Statistical Analysis
Author Contributions
Funding
Institutional Review Board Statement
Informed Consent Statement
Data Availability Statement
Acknowledgments
Conflicts of Interest
References
- Walani, S.R. Global Burden of Preterm Birth. Int. J. Gynaecol. Obstet. 2020, 150, 31–33. [Google Scholar] [CrossRef]
- Humberg, A.; Fortmann, I.; Siller, B.; Kopp, M.V.; Herting, E.; Göpel, W.; Härtel, C. German Neonatal Network, German Center for Lung Research and Priming Immunity at the beginning of life (PRIMAL) Consortium Preterm Birth and Sustained Inflammation: Consequences for the Neonate. Semin. Immunopathol. 2020, 42, 451–468. [Google Scholar] [CrossRef]
- Goldstein, R.F.; Malcolm, W.F. Care of the Neonatal Intensive Care Unit Graduate after Discharge. Pediatr. Clin. North Am. 2019, 66, 489–508. [Google Scholar] [CrossRef]
- Da Fonseca, E.B.; Damião, R.; Moreira, D.A. Preterm Birth Prevention. Best Pract. Res. Clin. Obstet. Gynaecol. 2020, 69, 40–49. [Google Scholar] [CrossRef]
- Rutayisire, E.; Huang, K.; Liu, Y.; Tao, F. The Mode of Delivery Affects the Diversity and Colonization Pattern of the Gut Microbiota during the First Year of Infants’ Life: A Systematic Review. BMC Gastroenterol. 2016, 16, 86. [Google Scholar] [CrossRef]
- Wang, J.; Dominguez-Bello, M.G. Microbial Colonization Alters Neonatal Gut Metabolome. Nat. Microbiol. 2020, 5, 785–786. [Google Scholar] [CrossRef]
- Nagpal, R.; Kurakawa, T.; Tsuji, H.; Takahashi, T.; Kawashima, K.; Nagata, S.; Nomoto, K.; Yamashiro, Y. Evolution of Gut Bifidobacterium Population in Healthy Japanese Infants over the First Three Years of Life: A Quantitative Assessment. Sci. Rep. 2017, 7, 10097. [Google Scholar] [CrossRef]
- Akagawa, S.; Tsuji, S.; Onuma, C.; Akagawa, Y.; Yamaguchi, T.; Yamagishi, M.; Yamanouchi, S.; Kimata, T.; Sekiya, S.-I.; Ohashi, A.; et al. Effect of Delivery Mode and Nutrition on Gut Microbiota in Neonates. Ann. Nutr. Metab. 2019, 74, 132–139. [Google Scholar] [CrossRef]
- Brooks, B.; Firek, B.A.; Miller, C.S.; Sharon, I.; Thomas, B.C.; Baker, R.; Morowitz, M.J.; Banfield, J.F. Microbes in the Neonatal Intensive Care Unit Resemble Those Found in the Gut of Premature Infants. Microbiome 2014, 2, 1. [Google Scholar] [CrossRef]
- Mueller, N.T.; Differding, M.K.; Østbye, T.; Hoyo, C.; Benjamin-Neelon, S.E. Association of Birth Mode of Delivery with Infant Faecal Microbiota, Potential Pathobionts, and Short Chain Fatty Acids: A Longitudinal Study over the First Year of Life. BJOG 2021, 128, 1293–1303. [Google Scholar] [CrossRef]
- Fan, Y.; Pedersen, O. Gut Microbiota in Human Metabolic Health and Disease. Nat. Rev. Microbiol. 2021, 19, 55–71. [Google Scholar] [CrossRef]
- Donovan, S.M. Evolution of the Gut Microbiome in Infancy within an Ecological Context. Curr. Opin. Clin. Nutr. Metab. Care 2020, 23, 223–227. [Google Scholar] [CrossRef]
- Kawai, T.; Akira, S. Toll-like Receptors and Their Crosstalk with Other Innate Receptors in Infection and Immunity. Immunity 2011, 34, 637–650. [Google Scholar] [CrossRef]
- Gensollen, T.; Iyer, S.S.; Kasper, D.L.; Blumberg, R.S. How Colonization by Microbiota in Early Life Shapes the Immune System. Science 2016, 352, 539–544. [Google Scholar] [CrossRef]
- Gong, T.; Liu, L.; Jiang, W.; Zhou, R. DAMP-Sensing Receptors in Sterile Inflammation and Inflammatory Diseases. Nat. Rev. Immunol. 2020, 20, 95–112. [Google Scholar] [CrossRef]
- Meizlish, M.L.; Franklin, R.A.; Zhou, X.; Medzhitov, R. Tissue Homeostasis and Inflammation. Annu. Rev. Immunol. 2021, 39, 557–581. [Google Scholar] [CrossRef]
- Bianchi, M.E.; Crippa, M.P.; Manfredi, A.A.; Mezzapelle, R.; Rovere Querini, P.; Venereau, E. High-Mobility Group Box 1 Protein Orchestrates Responses to Tissue Damage via Inflammation, Innate and Adaptive Immunity, and Tissue Repair. Immunol. Rev. 2017, 280, 74–82. [Google Scholar] [CrossRef]
- Paudel, Y.N.; Angelopoulou, E.; Piperi, C.; Balasubramaniam, V.R.M.T.; Othman, I.; Shaikh, M.F. Enlightening the Role of High Mobility Group Box 1 (HMGB1) in Inflammation: Updates on Receptor Signalling. Eur. J. Pharmacol. 2019, 858, 172487. [Google Scholar] [CrossRef]
- Van Best, N.; Trepels-Kottek, S.; Savelkoul, P.; Orlikowsky, T.; Hornef, M.W.; Penders, J. Influence of Probiotic Supplementation on the Developing Microbiota in Human Preterm Neonates. Gut Microbes 2020, 12, 1826747. [Google Scholar] [CrossRef]
- Samara, J.; Moossavi, S.; Alshaikh, B.; Ortega, V.A.; Pettersen, V.K.; Ferdous, T.; Hoops, S.L.; Soraisham, A.; Vayalumkal, J.; Dersch-Mills, D.; et al. Supplementation with a Probiotic Mixture Accelerates Gut Microbiome Maturation and Reduces Intestinal Inflammation in Extremely Preterm Infants. Cell Host Microbe 2022, 30, 696–711.e5. [Google Scholar] [CrossRef]
- Plummer, E.L.; Danielewski, J.A.; Garland, S.M.; Su, J.; Jacobs, S.E.; Murray, G.L. The Effect of Probiotic Supplementation on the Gut Microbiota of Preterm Infants. J. Med. Microbiol. 2021, 70, 001403. [Google Scholar] [CrossRef]
- Lee, E.-S.; Song, E.-J.; Nam, Y.-D.; Lee, S.-Y. Probiotics in Human Health and Disease: From Nutribiotics to Pharmabiotics. J. Microbiol. 2018, 56, 773–782. [Google Scholar] [CrossRef]
- O’Brien, C.E.; Meier, A.K.; Cernioglo, K.; Mitchell, R.D.; Casaburi, G.; Frese, S.A.; Henrick, B.M.; Underwood, M.A.; Smilowitz, J.T. Early Probiotic Supplementation with B. Infantis in Breastfed Infants Leads to Persistent Colonization at 1 Year. Pediatr. Res. 2022, 91, 627–636. [Google Scholar] [CrossRef]
- Ducarmon, Q.R.; Zwittink, R.D.; Hornung, B.V.H.; van Schaik, W.; Young, V.B.; Kuijper, E.J. Gut Microbiota and Colonization Resistance against Bacterial Enteric Infection. Microbiol. Mol. Biol. Rev. 2019, 83, e00007-19. [Google Scholar] [CrossRef]
- Jungersen, M.; Wind, A.; Johansen, E.; Christensen, J.E.; Stuer-Lauridsen, B.; Eskesen, D. The Science behind the Probiotic Strain Bifidobacterium Animalis Subsp. Lactis BB-12(®). Microorganisms 2014, 2, 92–110. [Google Scholar] [CrossRef]
- Pang, J.; Wang, S.; Wang, Z.; Wu, Y.; Zhang, X.; Pi, Y.; Han, D.; Zhang, S.; Wang, J. Xylo-Oligosaccharide Alleviates Salmonella Induced Inflammation by Stimulating Bifidobacterium Animalis and Inhibiting Salmonella Colonization. FASEB J. 2021, 35, e21977. [Google Scholar] [CrossRef]
- Ruff, W.E.; Greiling, T.M.; Kriegel, M.A. Host-Microbiota Interactions in Immune-Mediated Diseases. Nat. Rev. Microbiol. 2020, 18, 521–538. [Google Scholar] [CrossRef]
- Thaiss, C.A.; Zmora, N.; Levy, M.; Elinav, E. The Microbiome and Innate Immunity. Nature 2016, 535, 65–74. [Google Scholar] [CrossRef]
- Splichalova, A.; Slavikova, V.; Splichalova, Z.; Splichal, I. Preterm Life in Sterile Conditions: A Study on Preterm, Germ-Free Piglets. Front. Immunol. 2018, 9, 220. [Google Scholar] [CrossRef]
- Sampah, M.E.S.; Hackam, D.J. Dysregulated Mucosal Immunity and Associated Pathogeneses in Preterm Neonates. Front. Immunol. 2020, 11, 899. [Google Scholar] [CrossRef]
- Kulkarni, T.; Majarikar, S.; Deshmukh, M.; Ananthan, A.; Balasubramanian, H.; Keil, A.; Patole, S. Probiotic Sepsis in Preterm Neonates-a Systematic Review. Eur. J. Pediatr. 2022, 181, 2249–2262. [Google Scholar] [CrossRef]
- Wikler, D. Must Research Benefit Human Subjects If It Is to Be Permissible? J. Med. Ethics 2017, 43, 114–117. [Google Scholar] [CrossRef]
- Duval, K.; Grover, H.; Han, L.-H.; Mou, Y.; Pegoraro, A.F.; Fredberg, J.; Chen, Z. Modeling Physiological Events in 2D vs. 3D Cell Culture. Physiology 2017, 32, 266–277. [Google Scholar] [CrossRef]
- Kovler, M.L.; Sodhi, C.P.; Hackam, D.J. Precision-Based Modeling Approaches for Necrotizing Enterocolitis. Dis. Model. Mech. 2020, 13, dmm044388. [Google Scholar] [CrossRef]
- Rutai, A.; Zsikai, B.; Tallósy, S.P.; Érces, D.; Bizánc, L.; Juhász, L.; Poles, M.Z.; Sóki, J.; Baaity, Z.; Fejes, R.; et al. A Porcine Sepsis Model with Numerical Scoring for Early Prediction of Severity. Front. Med. 2022, 9, 867796. [Google Scholar] [CrossRef]
- Sangild, P.T.; Siggers, R.H.; Schmidt, M.; Elnif, J.; Bjornvad, C.R.; Thymann, T.; Grondahl, M.L.; Hansen, A.K.; Jensen, S.K.; Boye, M.; et al. Diet- and Colonization-Dependent Intestinal Dysfunction Predisposes to Necrotizing Enterocolitis in Preterm Pigs. Gastroenterology 2006, 130, 1776–1792. [Google Scholar] [CrossRef] [PubMed]
- Nolan, L.S.; Wynn, J.L.; Good, M. Exploring Clinically-Relevant Experimental Models of Neonatal Shock and Necrotizing Enterocolitis. Shock 2020, 53, 596–604. [Google Scholar] [CrossRef]
- Lunney, J.K.; Van Goor, A.; Walker, K.E.; Hailstock, T.; Franklin, J.; Dai, C. Importance of the Pig as a Human Biomedical Model. Sci. Transl. Med. 2021, 13, eabd5758. [Google Scholar] [CrossRef] [PubMed]
- Qin, J.; Li, R.; Raes, J.; Arumugam, M.; Burgdorf, K.S.; Manichanh, C.; Nielsen, T.; Pons, N.; Levenez, F.; Yamada, T.; et al. A Human Gut Microbial Gene Catalogue Established by Metagenomic Sequencing. Nature 2010, 464, 59–65. [Google Scholar] [CrossRef]
- Xiao, L.; Estellé, J.; Kiilerich, P.; Ramayo-Caldas, Y.; Xia, Z.; Feng, Q.; Liang, S.; Pedersen, A.Ø.; Kjeldsen, N.J.; Liu, C.; et al. A Reference Gene Catalogue of the Pig Gut Microbiome. Nat. Microbiol. 2016, 1, 16161. [Google Scholar] [CrossRef]
- Burrin, D.; Sangild, P.T.; Stoll, B.; Thymann, T.; Buddington, R.; Marini, J.; Olutoye, O.; Shulman, R.J. Translational Advances in Pediatric Nutrition and Gastroenterology: New Insights from Pig Models. Annu. Rev. Anim. Biosci. 2020, 8, 321–354. [Google Scholar] [CrossRef] [PubMed]
- Meurens, F.; Summerfield, A.; Nauwynck, H.; Saif, L.; Gerdts, V. The Pig: A Model for Human Infectious Diseases. Trends Microbiol. 2012, 20, 50–57. [Google Scholar] [CrossRef]
- Lu, T.; Yang, B.; Wang, R.; Qin, C. Xenotransplantation: Current Status in Preclinical Research. Front. Immunol. 2019, 10, 3060. [Google Scholar] [CrossRef]
- Bæk, O.; Ren, S.; Brunse, A.; Sangild, P.T.; Nguyen, D.N. Impaired Neonatal Immunity and Infection Resistance Following Fetal Growth Restriction in Preterm Pigs. Front. Immunol. 2020, 11, 1808. [Google Scholar] [CrossRef] [PubMed]
- Nguyen, D.N.; Jiang, P.; Frøkiær, H.; Heegaard, P.M.H.; Thymann, T.; Sangild, P.T. Delayed Development of Systemic Immunity in Preterm Pigs as a Model for Preterm Infants. Sci. Rep. 2016, 6, 36816. [Google Scholar] [CrossRef] [PubMed]
- Splichalova, A.; Donovan, S.M.; Tlaskalova-Hogenova, H.; Stranak, Z.; Splichalova, Z.; Splichal, I. Monoassociation of Preterm Germ-Free Piglets with Bifidobacterium Animalis Subsp. Lactis BB-12 and Its Impact on Infection with Salmonella typhimurium. Biomedicines 2021, 9, 183. [Google Scholar] [CrossRef] [PubMed]
- Splichalova, A.; Splichalova, Z.; Karasova, D.; Rychlik, I.; Trevisi, P.; Sinkora, M.; Splichal, I. Impact of the Lipopolysaccharide Chemotype of Salmonella enterica Serovar Typhimurium on Virulence in Gnotobiotic Piglets. Toxins 2019, 11, 534. [Google Scholar] [CrossRef]
- Tlaskalova-Hogenova, H.; Mandel, L.; Trebichavsky, I.; Kovaru, F.; Barot, R.; Sterzl, J. Development of Immune Responses in Early Pig Ontogeny. Vet. Immunol. Immunopathol. 1994, 43, 135–142. [Google Scholar] [CrossRef]
- Cukrowska, B.; Kozáková, H.; Reháková, Z.; Sinkora, J.; Tlaskalová-Hogenová, H. Specific Antibody and Immunoglobulin Responses after Intestinal Colonization of Germ-Free Piglets with Non-Pathogenic Escherichia Coli O86. Immunobiology 2001, 204, 425–433. [Google Scholar] [CrossRef]
- Zamora, I.J.; Stoll, B.; Ethun, C.G.; Sheikh, F.; Yu, L.; Burrin, D.G.; Brandt, M.L.; Olutoye, O.O. Low Abdominal NIRS Values and Elevated Plasma Intestinal Fatty Acid-Binding Protein in a Premature Piglet Model of Necrotizing Enterocolitis. PLoS ONE 2015, 10, e0125437. [Google Scholar] [CrossRef] [PubMed]
- Azcarate-Peril, M.A.; Foster, D.M.; Cadenas, M.B.; Stone, M.R.; Jacobi, S.K.; Stauffer, S.H.; Pease, A.; Gookin, J.L. Acute Necrotizing Enterocolitis of Preterm Piglets Is Characterized by Dysbiosis of Ileal Mucosa-Associated Bacteria. Gut Microbes 2011, 2, 234–243. [Google Scholar] [CrossRef] [PubMed]
- Clarke, R.C.; Gyles, C.L. Virulence of Wild and Mutant Strains of Salmonella typhimurium in Ligated Intestinal Segments of Calves, Pigs, and Rabbits. Am. J. Vet. Res. 1987, 48, 504–510. [Google Scholar] [PubMed]
- Splichal, I.; Rychlik, I.; Splichalova, I.; Karasova, D.; Splichalova, A. Toll-Like Receptor 4 Signaling in the Ileum and Colon of Gnotobiotic Piglets Infected with Salmonella typhimurium or Its Isogenic ∆rfa Mutants. Toxins 2020, 12, 545. [Google Scholar] [CrossRef] [PubMed]
- Salmon, H.; Berri, M.; Gerdts, V.; Meurens, F. Humoral and Cellular Factors of Maternal Immunity in Swine. Dev. Comp. Immunol. 2009, 33, 384–393. [Google Scholar] [CrossRef]
- Mair, K.H.; Sedlak, C.; Käser, T.; Pasternak, A.; Levast, B.; Gerner, W.; Saalmüller, A.; Summerfield, A.; Gerdts, V.; Wilson, H.L.; et al. The Porcine Innate Immune System: An Update. Dev. Comp. Immunol. 2014, 45, 321–343. [Google Scholar] [CrossRef] [PubMed]
- Masi, A.C.; Stewart, C.J. The Role of the Preterm Intestinal Microbiome in Sepsis and Necrotising Enterocolitis. Early Hum. Dev. 2019, 138, 104854. [Google Scholar] [CrossRef]
- Hong, C.R.; Han, S.M.; Jaksic, T. Surgical Considerations for Neonates with Necrotizing Enterocolitis. Semin. Fetal Neonatal Med. 2018, 23, 420–425. [Google Scholar] [CrossRef]
- Allaire, J.M.; Crowley, S.M.; Law, H.T.; Chang, S.-Y.; Ko, H.-J.; Vallance, B.A. The Intestinal Epithelium: Central Coordinator of Mucosal Immunity. Trends Immunol. 2018, 39, 677–696. [Google Scholar] [CrossRef]
- Linden, S.K.; Sutton, P.; Karlsson, N.G.; Korolik, V.; McGuckin, M.A. Mucins in the Mucosal Barrier to Infection. Mucosal Immunol. 2008, 1, 183–197. [Google Scholar] [CrossRef]
- Johansson, M.E.V.; Phillipson, M.; Petersson, J.; Velcich, A.; Holm, L.; Hansson, G.C. The Inner of the Two Muc2 Mucin-Dependent Mucus Layers in Colon Is Devoid of Bacteria. Proc. Natl. Acad. Sci. USA 2008, 105, 15064–15069. [Google Scholar] [CrossRef]
- Splichalova, A.; Pechar, R.; Killer, J.; Splichalova, Z.; Bunesova, V.N.; Vlkova, E.; Salmonova, H.S.; Splichal, I. Colonization of Germ-Free Piglets with Mucinolytic and Non-Mucinolytic Bifidobacterium Boum Strains Isolated from the Intestine of Wild Boar and Their Interference with Salmonella typhimurium. Microorganisms 2020, 8, 2002. [Google Scholar] [CrossRef]
- Puiman, P.J.; Jensen, M.; Stoll, B.; Renes, I.B.; de Bruijn, A.C.J.M.; Dorst, K.; Schierbeek, H.; Schmidt, M.; Boehm, G.; Burrin, D.G.; et al. Intestinal Threonine Utilization for Protein and Mucin Synthesis Is Decreased in Formula-Fed Preterm Pigs. J. Nutr. 2011, 141, 1306–1311. [Google Scholar] [CrossRef] [PubMed]
- Zarepour, M.; Bhullar, K.; Montero, M.; Ma, C.; Huang, T.; Velcich, A.; Xia, L.; Vallance, B.A. The Mucin Muc2 Limits Pathogen Burdens and Epithelial Barrier Dysfunction during Salmonella enterica Serovar Typhimurium Colitis. Infect. Immun. 2013, 81, 3672–3683. [Google Scholar] [CrossRef] [PubMed]
- Ren, S.; Hui, Y.; Obelitz-Ryom, K.; Brandt, A.B.; Kot, W.; Nielsen, D.S.; Thymann, T.; Sangild, P.T.; Nguyen, D.N. Neonatal Gut and Immune Maturation Is Determined More by Postnatal Age than by Postconceptional Age in Moderately Preterm Pigs. Am. J. Physiol. Gastrointest. Liver Physiol. 2018, 315, G855–G867. [Google Scholar] [CrossRef]
- Wrzosek, L.; Miquel, S.; Noordine, M.-L.; Bouet, S.; Joncquel Chevalier-Curt, M.; Robert, V.; Philippe, C.; Bridonneau, C.; Cherbuy, C.; Robbe-Masselot, C.; et al. Bacteroides Thetaiotaomicron and Faecalibacterium Prausnitzii Influence the Production of Mucus Glycans and the Development of Goblet Cells in the Colonic Epithelium of a Gnotobiotic Model Rodent. BMC Biol. 2013, 11, 61. [Google Scholar] [CrossRef] [PubMed]
- Abe, F.; Muto, M.; Yaeshima, T.; Iwatsuki, K.; Aihara, H.; Ohashi, Y.; Fujisawa, T. Safety Evaluation of Probiotic Bifidobacteria by Analysis of Mucin Degradation Activity and Translocation Ability. Anaerobe 2010, 16, 131–136. [Google Scholar] [CrossRef]
- Takeda, K.; Akira, S. Toll-like Receptors in Innate Immunity. Int. Immunol. 2005, 17, 1–14. [Google Scholar] [CrossRef] [PubMed]
- Seumen, C.H.T.; Tomasiunaite, U.; Legler, D.F.; Hauck, C.R. Elimination of Negative Feedback in TLR Signalling Allows Rapid and Hypersensitive Detection of Microbial Contaminants. Sci. Rep. 2021, 11, 24414. [Google Scholar] [CrossRef] [PubMed]
- Takeda, K.; Akira, S. Toll-like Receptors. Curr. Protoc. Immunol. 2015, 109, 14.12.1–14.12.10. [Google Scholar] [CrossRef]
- Galanos, C.; Freudenberg, M.A. Mechanisms of Endotoxin Shock and Endotoxin Hypersensitivity. Immunobiology 1993, 187, 346–356. [Google Scholar] [CrossRef]
- Splíchal, I.; Trebichavský, I.; Splíchalová, A.; Barrow, P.A. Protection of Gnotobiotic Pigs against Salmonella enterica Serotype Typhimurium by Rough Mutant of the Same Serotype Is Accompanied by the Change of Local and Systemic Cytokine Response. Vet. Immunol. Immunopathol. 2005, 103, 155–161. [Google Scholar] [CrossRef] [PubMed]
- Foster, N.; Lovell, M.A.; Marston, K.L.; Hulme, S.D.; Frost, A.J.; Bland, P.; Barrow, P.A. Rapid Protection of Gnotobiotic Pigs against Experimental Salmonellosis Following Induction of Polymorphonuclear Leukocytes by Avirulent Salmonella enterica. Infect. Immun. 2003, 71, 2182–2191. [Google Scholar] [CrossRef] [PubMed]
- Foster, N.; Richards, L.; Higgins, J.; Kanellos, T.; Barrow, P. Oral Vaccination with a Rough Attenuated Mutant of S. Infantis Increases Post-Wean Weight Gain and Prevents Clinical Signs of Salmonellosis in S. Typhimurium Challenged Pigs. Res. Vet. Sci. 2016, 104, 152–159. [Google Scholar] [CrossRef] [PubMed]
- Talbot, S.; Tötemeyer, S.; Yamamoto, M.; Akira, S.; Hughes, K.; Gray, D.; Barr, T.; Mastroeni, P.; Maskell, D.J.; Bryant, C.E. Toll-like Receptor 4 Signalling through MyD88 Is Essential to Control Salmonella enterica Serovar Typhimurium Infection, but Not for the Initiation of Bacterial Clearance. Immunology 2009, 128, 472–483. [Google Scholar] [CrossRef] [PubMed]
- Splichal, I.; Donovan, S.M.; Jenistova, V.; Splichalova, I.; Salmonova, H.; Vlkova, E.; Neuzil Bunesova, V.; Sinkora, M.; Killer, J.; Skrivanova, E.; et al. High Mobility Group Box 1 and TLR4 Signaling Pathway in Gnotobiotic Piglets Colonized/Infected with L. amylovorus, L. mucosae, E. coli Nissle 1917 and S. typhimurium. Int. J. Mol. Sci. 2019, 20, 6294. [Google Scholar] [CrossRef]
- Commins, S.P.; Borish, L.; Steinke, J.W. Immunologic Messenger Molecules: Cytokines, Interferons, and Chemokines. J. Allergy Clin. Immunol. 2010, 125, S53–S72. [Google Scholar] [CrossRef] [PubMed]
- Trebichavský, I.; Tlaskalová, H.; Cukrowska, B.; Splíchal, I.; Sinkora, J.; Oeháková, Z.; Sinkora, M.; Pospísil, R.; Kováøù, F.; Charley, B.; et al. Early Ontogeny of Immune Cells and Their Functions in the Fetal Pig. Vet. Immunol. Immunopathol. 1996, 54, 75–81. [Google Scholar] [CrossRef]
- Reháková, Z.; Trebichavský, I.; Sinkora, J.; Splíchal, I.; Sinkora, M. Early Ontogeny of Monocytes and Macrophages in the Pig. Physiol. Res. 1998, 47, 357–363. [Google Scholar]
- Karki, R.; Kanneganti, T.-D. The “Cytokine Storm”: Molecular Mechanisms and Therapeutic Prospects. Trends Immunol. 2021, 42, 681–705. [Google Scholar] [CrossRef]
- Mehta, S.; Gill, S.E. Improving Clinical Outcomes in Sepsis and Multiple Organ Dysfunction through Precision Medicine. J. Thorac. Dis. 2019, 11, 21–28. [Google Scholar] [CrossRef]
- Barichello, T.; Generoso, J.S.; Singer, M.; Dal-Pizzol, F. Biomarkers for Sepsis: More than Just Fever and Leukocytosis-a Narrative Review. Crit. Care 2022, 26, 14. [Google Scholar] [CrossRef]
- Splichal, I.; Splichalova, A. Experimental Enteric Bacterial Infections in Pigs. J. Infect. Dis. 2018, 218, 504–505. [Google Scholar] [CrossRef] [PubMed]
- Revello, R.; Alcaide, M.J.; Dudzik, D.; Abehsera, D.; Bartha, J.L. Differential Amniotic Fluid Cytokine Profile in Women with Chorioamnionitis with and without Funisitis. J. Matern.-Fetal Neonatal Med. 2016, 29, 2161–2165. [Google Scholar] [CrossRef] [PubMed]
- Weissenbacher, T.; Laubender, R.P.; Witkin, S.S.; Gingelmaier, A.; Schiessl, B.; Kainer, F.; Friese, K.; Jeschke, U.; Dian, D.; Karl, K. Diagnostic Biomarkers of Pro-Inflammatory Immune-Mediated Preterm Birth. Arch. Gynecol. Obstet. 2013, 287, 673–685. [Google Scholar] [CrossRef]
- Gude, S.S.; Peddi, N.C.; Vuppalapati, S.; Venu Gopal, S.; Marasandra Ramesh, H.; Gude, S.S. Biomarkers of Neonatal Sepsis: From Being Mere Numbers to Becoming Guiding Diagnostics. Cureus 2022, 14, e23215. [Google Scholar] [CrossRef]
- Hunter, C.A.; Jones, S.A. IL-6 as a Keystone Cytokine in Health and Disease. Nat. Immunol. 2015, 16, 448–457. [Google Scholar] [CrossRef]
- Castellheim, A.; Thorgersen, E.B.; Hellerud, B.C.; Pharo, A.; Johansen, H.T.; Brosstad, F.; Gaustad, P.; Brun, H.; Fosse, E.; Tønnessen, T.I.; et al. New Biomarkers in an Acute Model of Live Escherichia Coli-Induced Sepsis in Pigs. Scand. J. Immunol. 2008, 68, 75–84. [Google Scholar] [CrossRef]
- Nakano, N.; Nishiyama, C.; Kanada, S.; Niwa, Y.; Shimokawa, N.; Ushio, H.; Nishiyama, M.; Okumura, K.; Ogawa, H. Involvement of Mast Cells in IL-12/23 P40 Production Is Essential for Survival from Polymicrobial Infections. Blood 2007, 109, 4846–4855. [Google Scholar] [CrossRef]
- Zamora, R.; Grishin, A.; Wong, C.; Boyle, P.; Wang, J.; Hackam, D.; Upperman, J.S.; Tracey, K.J.; Ford, H.R. High-Mobility Group Box 1 Protein Is an Inflammatory Mediator in Necrotizing Enterocolitis: Protective Effect of the Macrophage Deactivator Semapimod. Am. J. Physiol. Gastrointest. Liver Physiol. 2005, 289, G643–G652. [Google Scholar] [CrossRef]
- Splichalova, A.; Splichal, I.; Chmelarova, P.; Trebichavsky, I. Alarmin HMGB1 Is Released in the Small Intestine of Gnotobiotic Piglets Infected with Enteric Pathogens and Its Level in Plasma Reflects Severity of Sepsis. J. Clin. Immunol. 2011, 31, 488–497. [Google Scholar] [CrossRef]
- Splichalova, A.; Splichal, I. Local and Systemic Occurrences of HMGB1 in Gnotobiotic Piglets Infected with E. coli O55 Are Related to Bacterial Translocation and Inflammatory Cytokines. Cytokine 2012, 60, 597–600. [Google Scholar] [CrossRef] [PubMed]
- Fajgenbaum, D.C.; June, C.H. Cytokine Storm. N. Engl. J. Med. 2020, 383, 2255–2273. [Google Scholar] [CrossRef] [PubMed]
- Wei, Y.; Yang, J.; Wang, J.; Yang, Y.; Huang, J.; Gong, H.; Cui, H.; Chen, D. Successful Treatment with Fecal Microbiota Transplantation in Patients with Multiple Organ Dysfunction Syndrome and Diarrhea Following Severe Sepsis. Crit. Care 2016, 20, 332. [Google Scholar] [CrossRef] [PubMed]
- Splichal, I.; Splichalova, A. High Mobility Group Box 1 in Pig Amniotic Membrane Experimentally Infected with E. coli O55. Biomolecules 2021, 11, 1146. [Google Scholar] [CrossRef] [PubMed]









Disclaimer/Publisher’s Note: The statements, opinions and data contained in all publications are solely those of the individual author(s) and contributor(s) and not of MDPI and/or the editor(s). MDPI and/or the editor(s) disclaim responsibility for any injury to people or property resulting from any ideas, methods, instructions or products referred to in the content. |
© 2023 by the authors. Licensee MDPI, Basel, Switzerland. This article is an open access article distributed under the terms and conditions of the Creative Commons Attribution (CC BY) license (https://creativecommons.org/licenses/by/4.0/).
Share and Cite
Splichal, I.; Donovan, S.M.; Kindlova, Z.; Stranak, Z.; Neuzil Bunesova, V.; Sinkora, M.; Polakova, K.; Valaskova, B.; Splichalova, A. Release of HMGB1 and Toll-like Receptors 2, 4, and 9 Signaling Are Modulated by Bifidobacterium animalis subsp. lactis BB-12 and Salmonella Typhimurium in a Gnotobiotic Piglet Model of Preterm Infants. Int. J. Mol. Sci. 2023, 24, 2329. https://doi.org/10.3390/ijms24032329
Splichal I, Donovan SM, Kindlova Z, Stranak Z, Neuzil Bunesova V, Sinkora M, Polakova K, Valaskova B, Splichalova A. Release of HMGB1 and Toll-like Receptors 2, 4, and 9 Signaling Are Modulated by Bifidobacterium animalis subsp. lactis BB-12 and Salmonella Typhimurium in a Gnotobiotic Piglet Model of Preterm Infants. International Journal of Molecular Sciences. 2023; 24(3):2329. https://doi.org/10.3390/ijms24032329
Chicago/Turabian StyleSplichal, Igor, Sharon M. Donovan, Zdislava Kindlova, Zbynek Stranak, Vera Neuzil Bunesova, Marek Sinkora, Katerina Polakova, Barbora Valaskova, and Alla Splichalova. 2023. "Release of HMGB1 and Toll-like Receptors 2, 4, and 9 Signaling Are Modulated by Bifidobacterium animalis subsp. lactis BB-12 and Salmonella Typhimurium in a Gnotobiotic Piglet Model of Preterm Infants" International Journal of Molecular Sciences 24, no. 3: 2329. https://doi.org/10.3390/ijms24032329
APA StyleSplichal, I., Donovan, S. M., Kindlova, Z., Stranak, Z., Neuzil Bunesova, V., Sinkora, M., Polakova, K., Valaskova, B., & Splichalova, A. (2023). Release of HMGB1 and Toll-like Receptors 2, 4, and 9 Signaling Are Modulated by Bifidobacterium animalis subsp. lactis BB-12 and Salmonella Typhimurium in a Gnotobiotic Piglet Model of Preterm Infants. International Journal of Molecular Sciences, 24(3), 2329. https://doi.org/10.3390/ijms24032329

