Oligorecurrent Non-Small-Cell Lung Cancer Treated by Chemo-Radiation Followed by Immunotherapy and Intracranial Radiosurgery: A Case Report and Mini Review of Literature
Abstract
1. Introduction
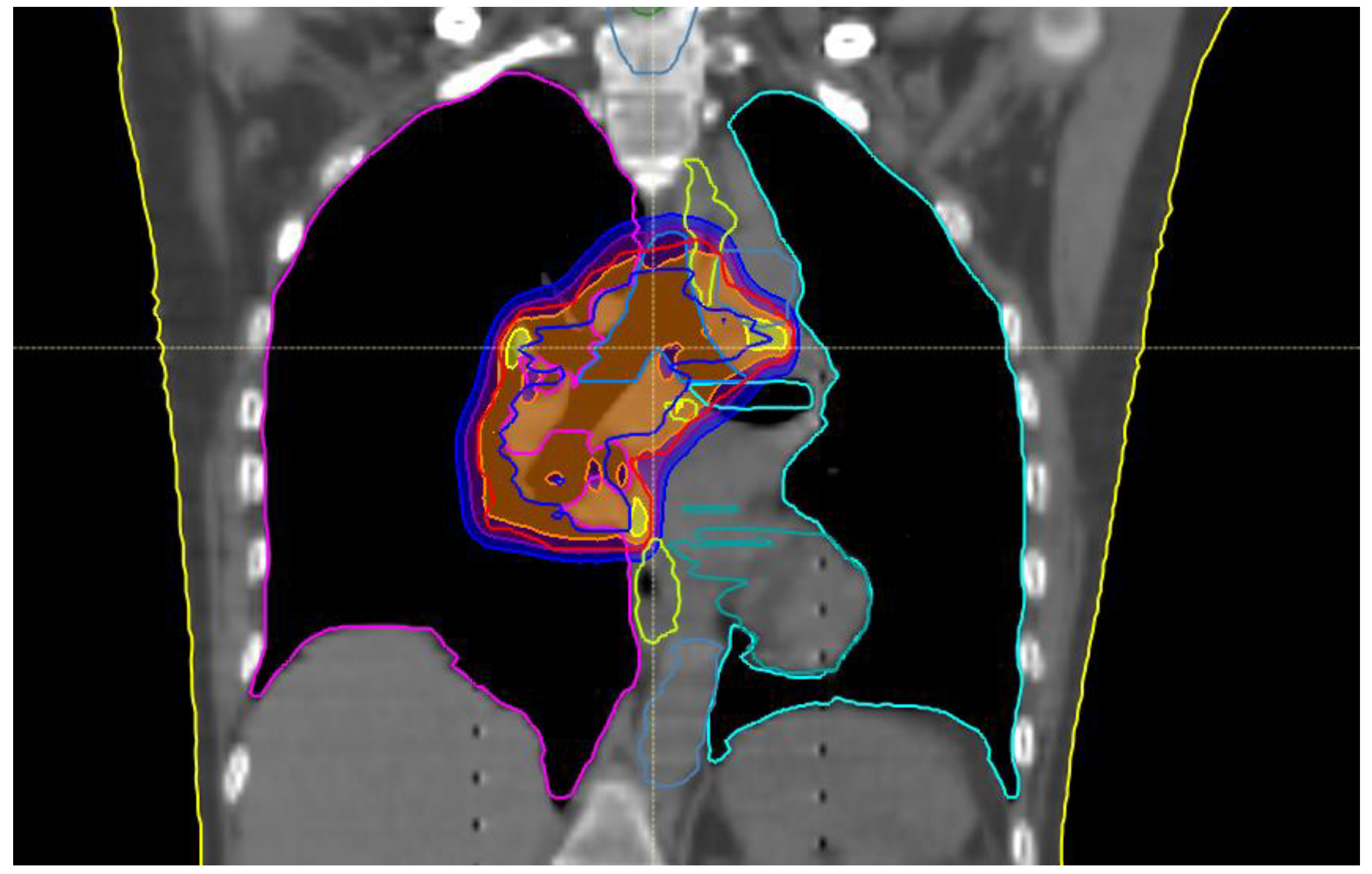
2. Case Presentation
3. Discussion
4. Conclusions
Author Contributions
Funding
Institutional Review Board Statement
Informed Consent Statement
Data Availability Statement
Acknowledgments
Conflicts of Interest
References
- Spigel, D.R.; Faivre-Finn, C.; Gray, J.E.; Vicente, D.; Planchard, D.; Paz-Ares, L.; Vansteenkiste, J.F.; Garassino, M.C.; Hui, R.; Quantin, X.; et al. Five-Year Survival Outcomes From the PACIFIC Trial: Durvalumab After Chemoradiotherapy in Stage III Non–Small-Cell Lung Cancer. J. Clin. Oncol. 2022, 40, 1301–1311. [Google Scholar] [CrossRef] [PubMed]
- Bruni, A.; Scotti, V.; Borghetti, P.; Vagge, S.; Cozzi, S.; D’Angelo, E.; Levra, N.G.; Fozza, A.; Taraborrelli, M.; Piperno, G.; et al. A Real-World, Multicenter, Observational Retrospective Study of Durvalumab After Concomitant or Sequential Chemoradiation for Unresectable Stage III Non-Small Cell Lung Cancer. Front. Oncol. 2021, 11, 744956. [Google Scholar] [CrossRef] [PubMed]
- Patel, S.; Zhao, S.; Wei, L.; Li, M.; Bertino, E.; Presley, C.; Welliver, M.; Haglund, K.; Palmer, J.; Arnett, A.; et al. Incidence and Outcomes of Brain Metastases in Unresectable Stage III Patients with NSCLC Treated with Durvalumab after Chemoradiation. J. Thorac. Oncol. 2021, 16, S363–S364. [Google Scholar] [CrossRef]
- Le Pechoux, C.; Pourel, N.; Barlesi, F.; Lerouge, D.; Antoni, D.; Lamezec, B.; Nestle, U.; Boisselier, P.; Dansin, E.; Paumier, A.; et al. Postoperative radiotherapy versus no postoperative radiotherapy in patients with completely resected non-small-cell lung cancer and proven mediastinal N2 involvement (Lung ART): An open-label, randomised, phase 3 trial. Lancet Oncol. 2022, 23, 104–114. [Google Scholar] [CrossRef] [PubMed]
- Shimamura, S.; Saiki, M.; Ide, S.; Masuda, K.; Uchida, Y.; Sogami, Y.; Kasai, K.; Inoue, T.; Ishihara, H. Significant therapeutic effectiveness of durvalumab after chemoradiotherapy for a patient with post-operative recurrent pulmonary pleomorphic carcinoma. Respirol. Case Rep. 2021, 9, e00781. [Google Scholar] [CrossRef] [PubMed]
- Huber, R.M. Disease progression in non-small cell lung cancer on immune-checkpoint inhibition, what are the options? Precis. Cancer Med. 2019, 2, 13. [Google Scholar] [CrossRef]
- Fuloria, S.; Subramaniyan, V.; Karupiah, S.; Kumari, U.; Sathasivam, K.; Meenakshi, D.; Wu, Y.; Sekar, M.; Chitranshi, N.; Malviya, R.; et al. Comprehensive Review of Methodology to Detect Reactive Oxygen Species (ROS) in Mammalian Species and Establish Its Relationship with Antioxidants and Cancer. Antioxidants 2021, 10, 128. [Google Scholar] [CrossRef] [PubMed]
- Subramaniyan, V.; Fuloria, S.; Gupta, G.; Kumar, D.H.; Sekar, M.; Sathasivam, K.V.; Sudhakar, K.; Alharbi, K.S.; Al-Malki, W.H.; Afzal, O.; et al. A review on epidermal growth factor receptor’s role in breast and non-small cell lung cancer. Chem. Interact. 2021, 351, 109735. [Google Scholar] [CrossRef] [PubMed]
- Felip, E.; Altorki, N.; Zhou, C.; Csőszi, T.; Vynnychenko, I.; Goloborodko, O.; Luft, A.; Akopov, A.; Martinez-Marti, A.; Kenmotsu, H.; et al. IMpower010 Investigators. Adjuvant atezolizumab after adjuvant chemotherapy in resected stage IB-IIIA non-small-cell lung cancer (IMpower010): A randomised, multicentre, open-label, phase 3 trial. Lancet 2021, 398, 1344–1357. [Google Scholar] [CrossRef] [PubMed]
- Borghetti, P.; Imbrescia, J.; Volpi, G.; Scotti, V.; Aquilano, M.; Bruni, A.; Franceschini, D.; Ursino, S.; Ciammella, P.; Piperno, G.; et al. Chemo-radiotherapy plus durvalumab for loco-regional relapse of resected NSCLC. Radiat. Oncol. 2022, 17, 124. [Google Scholar] [CrossRef] [PubMed]
- Terada, Y.; Isaka, M.; Harada, H.; Konno, H.; Kojima, H.; Mizuno, T.; Murayama, S.; Takahashi, T.; Ohde, Y. Radiotherapy for local recurrence of non-small-cell lung cancer after lobectomy and lymph node dissection can local recurrence be radically cured by radiation? Jpn. J. Clin. Oncol. 2020, 50, 425–433. [Google Scholar] [CrossRef] [PubMed]
- Senan, S.; Özgüroğlu, M.; Daniel, D.; Villegas, A.; Vicente, D.; Murakami, S.; Hui, R.; Faivre-Finn, C.; Paz-Ares, L.; Wu, Y.; et al. Outcomes with durvalumab after chemoradiotherapy in stage IIIA-N2 non-small-cell lung cancer: An exploratory analysis from the PACIFIC trial. ESMO Open 2022, 7, 100410. [Google Scholar] [CrossRef] [PubMed]
- Brooks, E.D.; Verma, V.; Senan, S.; De Baere, T.; Lu, S.; Brunelli, A.; Chang, J.Y.; International Association for the Study of Lung Cancer Advanced Radiation Technology Committee. Salvage Therapy for Locoregional Recurrence After Stereotactic Ablative Radiotherapy for Early-Stage NSCLC. J. Thorac. Oncol. 2019, 15, 176–189. [Google Scholar] [CrossRef] [PubMed]
- Brooks, E.D.; Sun, B.; Feng, L.; Verma, V.; Zhao, L.; Gomez, D.R.; Liao, Z.; Jeter, M.; O’Reilly, M.; Welsh, J.W.; et al. Association of Long-term Outcomes and Survival With Multidisciplinary Salvage Treatment for Local and Regional Recurrence After Stereotactic Ablative Radiotherapy for Early-Stage Lung Cancer. JAMA Netw. Open 2018, 1, e181390. [Google Scholar] [CrossRef] [PubMed]
- Chicas-Sett, R.; Zafra, J.; Rodriguez-Abreu, D.; Castilla-Martinez, J.; Benitez, G.; Salas, B.; Hernandez, S.; Lloret, M.; Onieva, J.L.; Barragan, I.; et al. Combination of SABR With Anti-PD-1 in Oligoprogressive Non-Small Cell Lung Cancer and Melanoma: Results of a Prospective Multicenter Observational Study. Int. J. Radiat. Oncol. 2022, 114, 655–665. [Google Scholar] [CrossRef] [PubMed]
- Scoccianti, S.; Olmetto, E.; Pinzi, V.; Osti, M.F.; Di Franco, R.; Caini, S.; Anselmo, P.; Matteucci, P.; Franceschini, D.; Mantovani, C.; et al. Immunotherapy in association with stereotactic radiotherapy for non-small cell lung cancer brain metastases: Results from a multicentric retrospective study on behalf of AIRO. Neuro-Oncol. 2021, 23, 1750–1764. [Google Scholar] [CrossRef] [PubMed]
- Kishi, N.; Matsuo, Y.; Shintani, T.; Ogura, M.; Mitsuyoshi, T.; Araki, N.; Fujii, K.; Okumura, S.; Nakamatsu, K.; Kishi, T.; et al. Recurrence patterns and progression-free survival after chemoradiotherapy with or without consolidation durvalumab for stage III non-small cell lung cancer. J. Radiat. Res. 2022, rrac057. [Google Scholar] [CrossRef] [PubMed]
- Mooradian, M.J.; Allen, A.; Cai, L. 100P SPOTLIGHT Real-world study: Patients characteristics and treatment patterns in patients with unresectable stage III NSLCL receiving durvalumab after chemoradiotherapy. Ann. Oncol. 2021, 32, S1417–S1418. [Google Scholar] [CrossRef]
- Taugner, J.; Kasmann, L.; Chukwuka, E.; Rühle, A.; Tufman, A.; Reinmuth, N.; Duell, T.; Belka, C.; Manapov, F. Real-world analysis of treatment patterns in durvalumab maintenance after chemoradiotherapy in unresectable, locally advanced NSCLC patients. Real-world analysis of treatment patterns in durvalumab maintenance after chemoradiotherapy in unresectable, locally advanced NSCLC patients. Investig. New Drugs 2021, 39, 1189–1196. [Google Scholar]



Disclaimer/Publisher’s Note: The statements, opinions and data contained in all publications are solely those of the individual author(s) and contributor(s) and not of MDPI and/or the editor(s). MDPI and/or the editor(s) disclaim responsibility for any injury to people or property resulting from any ideas, methods, instructions or products referred to in the content. |
© 2023 by the authors. Licensee MDPI, Basel, Switzerland. This article is an open access article distributed under the terms and conditions of the Creative Commons Attribution (CC BY) license (https://creativecommons.org/licenses/by/4.0/).
Share and Cite
Bruni, A.; Bertolini, F.; D’Angelo, E.; Guaitoli, G.; Imbrescia, J.; Cappelli, A.; Guidi, G.; Stefani, A.; Dominici, M.; Lohr, F. Oligorecurrent Non-Small-Cell Lung Cancer Treated by Chemo-Radiation Followed by Immunotherapy and Intracranial Radiosurgery: A Case Report and Mini Review of Literature. Int. J. Mol. Sci. 2023, 24, 1892. https://doi.org/10.3390/ijms24031892
Bruni A, Bertolini F, D’Angelo E, Guaitoli G, Imbrescia J, Cappelli A, Guidi G, Stefani A, Dominici M, Lohr F. Oligorecurrent Non-Small-Cell Lung Cancer Treated by Chemo-Radiation Followed by Immunotherapy and Intracranial Radiosurgery: A Case Report and Mini Review of Literature. International Journal of Molecular Sciences. 2023; 24(3):1892. https://doi.org/10.3390/ijms24031892
Chicago/Turabian StyleBruni, Alessio, Federica Bertolini, Elisa D’Angelo, Giorgia Guaitoli, Jessica Imbrescia, Anna Cappelli, Gabriele Guidi, Alessandro Stefani, Massimo Dominici, and Frank Lohr. 2023. "Oligorecurrent Non-Small-Cell Lung Cancer Treated by Chemo-Radiation Followed by Immunotherapy and Intracranial Radiosurgery: A Case Report and Mini Review of Literature" International Journal of Molecular Sciences 24, no. 3: 1892. https://doi.org/10.3390/ijms24031892
APA StyleBruni, A., Bertolini, F., D’Angelo, E., Guaitoli, G., Imbrescia, J., Cappelli, A., Guidi, G., Stefani, A., Dominici, M., & Lohr, F. (2023). Oligorecurrent Non-Small-Cell Lung Cancer Treated by Chemo-Radiation Followed by Immunotherapy and Intracranial Radiosurgery: A Case Report and Mini Review of Literature. International Journal of Molecular Sciences, 24(3), 1892. https://doi.org/10.3390/ijms24031892

