Increased Serum Levels of Tumor Necrosis Factor-like Ligand 1A in Atopic Dermatitis
Abstract
1. Introduction
2. Results
2.1. Serum TL1A Level Was Elevated in AD Samples
2.2. Correlation between TL1A and Clinical Marker for AD
2.3. Involvement of Bronchial Asthma in AD Samples
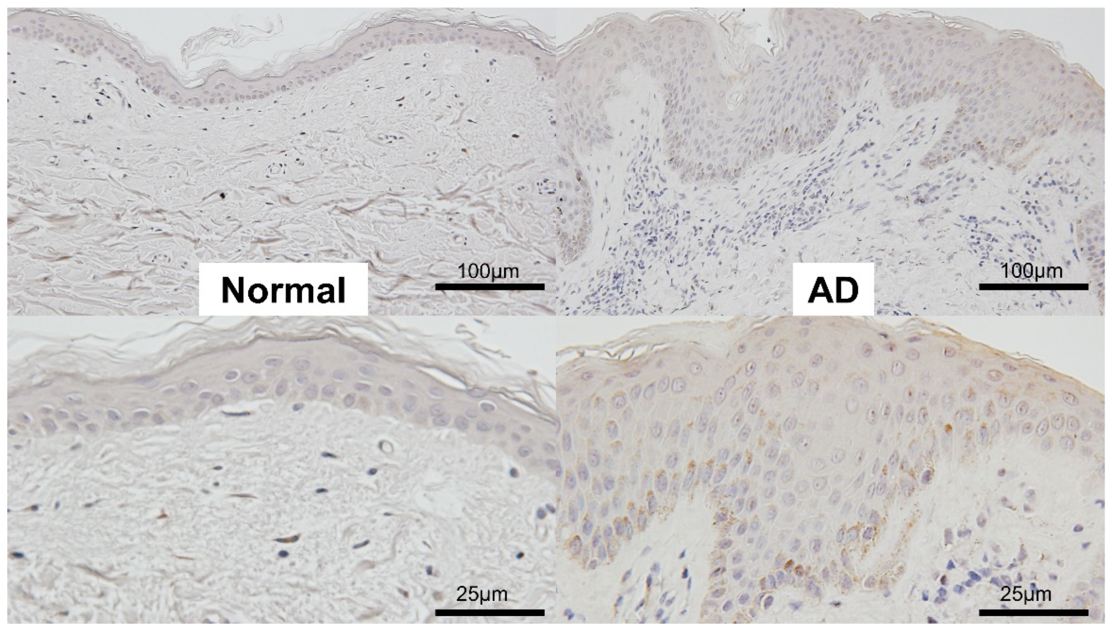
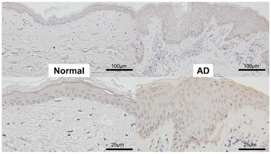
2.4. Immunohistochemistry
3. Discussion
4. Materials and Methods
4.1. Clinical Samples
4.2. Enzyme-Linked Immunosorbent Assay
4.3. Immunohistochemistry
4.4. Statistical Analysis
Author Contributions
Funding
Institutional Review Board Statement
Informed Consent Statement
Data Availability Statement
Conflicts of Interest
References
- Leung, D.Y.; Boguniewicz, M.; Howell, M.D.; Nomura, I.; Hamid, Q.A. New insights into atopic dermatitis. J. Clin. Investig. 2004, 113, 651–657. [Google Scholar] [CrossRef] [PubMed]
- Bieber, T. Atopic dermatitis. N. Engl. J. Med. 2008, 358, 1483–1494. [Google Scholar] [CrossRef] [PubMed]
- Howell, M.D.; Kim, B.E.; Gao, P.; Grant, A.V.; Boguniewicz, M.; DeBenedetto, A.; Schneider, L.; Beck, L.A.; Barnes, K.C.; Leung, D.Y. Cytokine modulation of atopic dermatitis filaggrin skin expression. J. Allergy Clin. Immunol. 2007, 120, 150–155. [Google Scholar] [CrossRef] [PubMed]
- Kim, B.E.; Leung, D.Y.; Boguniewicz, M.; Howell, M.D. Loricrin and involucrin expression is down-regulated by Th2 cytokines through STAT-6. Clin. Immunol. 2008, 126, 332–337. [Google Scholar] [CrossRef] [PubMed]
- Kim, B.E.; Leung, D.Y. Significance of Skin Barrier Dysfunction in Atopic Dermatitis. Allergy Asthma Immunol. Res. 2018, 10, 207–215. [Google Scholar] [CrossRef]
- Grewe, M.; Bruijnzeel-Koomen, C.A.; Schöpf, E.; Thepen, T.; Langeveld-Wildschut, A.G.; Ruzicka, T.; Krutmann, J. A role for Th1 and Th2 cells in the immunopathogenesis of atopic dermatitis. Immunol. Today 1998, 19, 359–361. [Google Scholar] [CrossRef]
- Tsiogka, A.; Kyriazopoulou, M.; Kontochristopoulos, G.; Nicolaidou, E.; Stratigos, A.; Rigopoulos, D.; Gregoriou, S. The JAK/STAT Pathway and Its Selective Inhibition in the Treatment of Atopic Dermatitis: A Systematic Review. J. Clin. Med. 2022, 11, 4431. [Google Scholar] [CrossRef]
- Wollenberg, A.; Beck, L.; Blauvelt, A.; Simpson, E.; Chen, Z.; Chen, Q.; Shumel, B.; Khokhar, F.; Hultsch, T.; Rizova, E.; et al. Laboratory safety of dupilumab in moderate-to-severe atopic dermatitis: Results from three phase III trials (LIBERTY AD SOLO 1, LIBERTY AD SOLO 2, LIBERTY AD CHRONOS). Br. J. Dermatol. 2019, 182, 1120–1135. [Google Scholar] [CrossRef]
- Guttman-Yassky, E.; Teixeira, H.D.; Simpson, E.L.; Papp, K.A.; Pangan, A.L.; Blauvelt, A.; Thaçi, D.; Chu, C.-Y.; Hong, H.C.-H.; Katoh, N.; et al. Once-daily upadacitinib versus placebo in adolescents and adults with moderate-to-severe atopic dermatitis (Measure Up 1 and Measure Up 2): Results from two replicate double-blind, randomised controlled phase 3 trials. Lancet 2021, 397, 2151–2168. [Google Scholar] [CrossRef]
- Simpson, E.; Lacour, J.; Spelman, L.; Galimberti, R.; Eichenfield, L.; Bissonnette, R.; King, B.; Thyssen, J.; Silverberg, J.; Bieber, T.; et al. Baricitinib in patients with moderate-to-severe atopic dermatitis and inadequate response to topical corticosteroids: Results from two randomized monotherapy phaseIIItrials. Br. J. Dermatol. 2020, 183, 242–255. [Google Scholar] [CrossRef]
- Noda, S.; Suárez-Fariñas, M.; Ungar, B.; Kim, S.J.; de Guzman Strong, C.; Xu, H.; Peng, X.; Estrada, Y.D.; Nakajima, S.; Honda, T.; et al. The Asian atopic dermatitis phenotype combines features of atopic dermatitis and psoriasis with increased TH17 polarization. J. Allergy Clin. Immunol. 2015, 136, 1254–1264. [Google Scholar] [CrossRef] [PubMed]
- Koga, C.; Kabashima, K.; Shiraishi, N.; Kobayashi, M.; Tokura, Y. Possible Pathogenic Role of Th17 Cells for Atopic Dermatitis. J. Investig. Dermatol. 2008, 128, 2625–2630. [Google Scholar] [CrossRef] [PubMed]
- Esaki, H.; Brunner, P.M.; Renert-Yuval, Y.; Czarnowicki, T.; Huynh, T.; Tran, G.; Lyon, S.; Rodriguez, G.; Immaneni, S.; Johnson, D.B.; et al. Early-onset pediatric atopic dermatitis is TH2 but also TH17 polarized in skin. J. Allergy Clin. Immunol. 2016, 138, 1639–1651. [Google Scholar] [CrossRef] [PubMed]
- Kamijo, H.; Miyagaki, T.; Hayashi, Y.; Akatsuka, T.; Watanabe-Otobe, S.; Oka, T.; Shishido-Takahashi, N.; Suga, H.; Sugaya, M.; Sato, S. Increased IL-26 Expression Promotes T Helper Type 17- and T Helper Type 2-Associated Cytokine Production by Keratinocytes in Atopic Dermatitis. J. Investig. Dermatol. 2020, 140, 636–644.e2. [Google Scholar] [CrossRef] [PubMed]
- Suárez-Fariñas, M.; Dhingra, N.; Gittler, J.; Shemer, A.; Cardinale, I.; Strong, C.D.G.; Krueger, J.G.; Guttman-Yassky, E. Intrinsic atopic dermatitis shows similar TH2 and higher TH17 immune activation compared with extrinsic atopic dermatitis. J. Allergy Clin. Immunol. 2013, 132, 361–370. [Google Scholar] [CrossRef] [PubMed]
- Czarnowicki, T.; Gonzalez, J.; Shemer, A.; Malajian, D.; Xu, H.; Zheng, X.; Khattri, S.; Gilleaudeau, P.; Sullivan-Whalen, M.; Suárez-Fariñas, M.; et al. Severe atopic dermatitis is characterized by selective expansion of circulating TH2/TC2 and TH22/TC22, but not TH17/TC17, cells within the skin-homing T-cell population. J. Allergy Clin. Immunol. 2015, 136, 104–115.e7. [Google Scholar] [CrossRef]
- Migone, T.-S.; Zhang, J.; Luo, X.; Zhuang, L.; Chen, C.; Hu, B.; Hong, J.S.; Perry, J.W.; Chen, S.-F.; Zhou, J.X.; et al. TL1A Is a TNF-like Ligand for DR3 and TR6/DcR3 and Functions as a T Cell Costimulator. Immunity 2002, 16, 479–492. [Google Scholar] [CrossRef]
- Aiba, Y.; Nakamura, M. The Role of TL1A and DR3 in Autoimmune and Inflammatory Diseases. Mediat. Inflamm. 2013, 2013, 1–9. [Google Scholar] [CrossRef]
- Sun, X.; Zhao, J.; Liu, R.; Jia, R.; Sun, L.; Li, X.; Li, Z. Elevated serum and synovial fluid TNF-like ligand 1A (TL1A) is associated with autoantibody production in patients with rheumatoid arthritis. Scand. J. Rheumatol. 2012, 42, 97–101. [Google Scholar] [CrossRef]
- Bamias, G.; Martin, C.; Marini, M.; Hoang, S.; Mishina, M.; Ross, W.G.; Sachedina, M.A.; Friel, C.M.; Mize, J.; Bickston, S.J.; et al. Expression, Localization, and Functional Activity of TL1A, a Novel Th1-Polarizing Cytokine in Inflammatory Bowel Disease. J. Immunol. 2003, 171, 4868–4874. [Google Scholar] [CrossRef]
- Aiba, Y.; Harada, K.; Komori, A.; Ito, M.; Shimoda, S.; Nakamura, H.; Nagaoka, S.; Abiru, S.; Migita, K.; Ishibashi, H.; et al. Systemic and local expression levels of TNF-like ligand 1A and its decoy receptor 3 are increased in primary biliary cirrhosis. Liver Int. 2013, 34, 679–688. [Google Scholar] [CrossRef] [PubMed]
- Bayry, J. TL1A in the inflammatory network in autoimmune diseases. Nat. Rev. Rheumatol. 2010, 6, 67–68. [Google Scholar] [CrossRef] [PubMed]
- Pedersen, A.E.; Schmidt, E.G.W.; Sørensen, J.F.; Faber, C.; Nielsen, B.S.; Holmstrøm, K.; Omland, S.H.; Tougaard, P.; Skov, S.; Bang, B. Secretion, blood levels and cutaneous expression of TL1A in psoriasis patients. Apmis 2015, 123, 547–555. [Google Scholar] [CrossRef]
- Bamias, G.; Evangelou, K.; Vergou, T.; Tsimaratou, K.; Kaltsa, G.; Antoniou, C.; Kotsinas, A.; Kim, S.; Gorgoulis, V.; Stratigos, A.J.; et al. Upregulation and nuclear localization of TNF-like Cytokine 1A (TL1A) and its receptors DR3 and DcR3 in psoriatic skin lesions. Exp. Dermatol. 2011, 20, 725–731. [Google Scholar] [CrossRef]
- Li, L.; Fu, L.; Lu, Y.; Wang, W.; Liu, H.; Li, F.; Chen, T. TNF-like ligand 1A is associated with the pathogenesis of psoriasis vulgaris and contributes to IL-17 production in PBMCs. Arch. Dermatol. Res. 2014, 306, 927–932. [Google Scholar] [CrossRef] [PubMed]
- Kim, B.S.; Siracusa, M.C.; Saenz, S.A.; Noti, M.; Monticelli, L.A.; Sonnenberg, G.F.; Hepworth, M.R.; Van Voorhees, A.S.; Comeau, M.R.; Artis, D. TSLP Elicits IL-33–Independent Innate Lymphoid Cell Responses to Promote Skin Inflammation. Sci. Transl. Med. 2013, 5, 170ra16. [Google Scholar] [CrossRef] [PubMed]
- Imai, Y.; Yasuda, K.; Nagai, M.; Kusakabe, M.; Kubo, M.; Nakanishi, K.; Yamanishi, K. IL-33–Induced Atopic Dermatitis–like Inflammation in Mice Is Mediated by Group 2 Innate Lymphoid Cells in Concert with Basophils. J. Investig. Dermatol. 2019, 139, 2185–2194.e3. [Google Scholar] [CrossRef] [PubMed]
- Salimi, M.; Barlow, J.L.; Saunders, S.P.; Xue, L.; Gutowska-Owsiak, D.; Wang, X.; Huang, L.-C.; Johnson, D.; Scanlon, S.T.; McKenzie, A.N.J.; et al. A role for IL-25 and IL-33–driven type-2 innate lymphoid cells in atopic dermatitis. J. Exp. Med. 2013, 210, 2939–2950. [Google Scholar] [CrossRef]
- Walker, J.A.; McKenzie, A.N. Development and function of group 2 innate lymphoid cells. Curr. Opin. Immunol. 2013, 25, 148–155. [Google Scholar] [CrossRef]
- Akdis, C.A.; Arkwright, P.D.; Brüggen, M.-C.; Busse, W.; Gadina, M.; Guttman-Yassky, E.; Kabashima, K.; Mitamura, Y.; Vian, L.; Wu, J.; et al. Type 2 immunity in the skin and lungs. Allergy 2020, 75, 1582–1605. [Google Scholar] [CrossRef]
- Bamias, G.; Kaltsa, G.; Siakavellas, S.I.; Papaxoinis, K.; Zampeli, E.; Michopoulos, S.; Zouboulis-Vafiadis, I.; Ladas, S.D. High intestinal and systemic levels of decoy receptor 3 (DcR3) and its ligand TL1A in active ulcerative colitis. Clin. Immunol. 2010, 137, 242–249. [Google Scholar] [CrossRef] [PubMed]
- Weidinger, S.; Beck, L.A.; Bieber, T.; Kabashima, K.; Irvine, A.D. Atopic dermatitis. Nat. Rev. Dis. Prim. 2018, 4, 1. [Google Scholar] [CrossRef] [PubMed]
- Peters, M.C.; Kerr, S.; Dunican, E.M.; Woodruff, P.G.; Fajt, M.L.; Levy, B.D.; Israel, E.; Phillips, B.R.; Mauger, D.T.; Comhair, S.A.; et al. Refractory airway type 2 inflammation in a large subgroup of asthmatic patients treated with inhaled corticosteroids. J. Allergy Clin. Immunol. 2018, 143, 104–113.e14. [Google Scholar] [CrossRef] [PubMed]
- Li, L.; Lu, Y.; Fu, L.; Zhou, P.; Zhang, L.; Wang, W.; Nie, J.; Zhang, D.; Liu, Y.; Wu, B.; et al. Expression of death receptor 3 (DR3) on peripheral blood mononuclear cells of patients with psoriasis vulgaris. Hear. 2018, 94, 551–555. [Google Scholar] [CrossRef] [PubMed]
- Dyring-Andersen, B.; Geisler, C.; Agerbeck, C.; Lauritsen, J.; Gúdjonsdottir, S.; Skov, L.; Bonefeld, C. Increased number and frequency of group 3 innate lymphoid cells in nonlesional psoriatic skin. Br. J. Dermatol. 2014, 170, 609–616. [Google Scholar] [CrossRef]
- Teunissen, M.B.; Munneke, J.M.; Bernink, J.H.; Spuls, P.I.; Res, P.C.; Velde, A.T.; Cheuk, S.; Brouwer, M.W.; Menting, S.P.; Eidsmo, L.; et al. Composition of Innate Lymphoid Cell Subsets in the Human Skin: Enrichment of NCR + ILC3 in Lesional Skin and Blood of Psoriasis Patients. J. Investig. Dermatol. 2014, 134, 2351–2360. [Google Scholar] [CrossRef]
- Chan, Y.-C.; Ho, K.-H.; Chuah, Y.-S.; Lau, C.-C.; Thomas, A.; Tambyah, P.A. Eosinophilic meningitis secondary to allergic Aspergillus sinusitis. J. Allergy Clin. Immunol. 2004, 114, 194–195. [Google Scholar] [CrossRef]
- Yan, K.; Huang, Q.; Fang, X.; Zhang, Z.; Han, L.; Gadaldi, K.; Kang, K.; Zheng, Z.; Xu, J.; Yawalkar, N. IgE and Fcε RI are highly expressed on innate cells in psoriasis. Br. J. Dermatol. 2016, 175, 122–133. [Google Scholar] [CrossRef]
- Halilovic, E. Total Serum Immunoglobulin E Levels in Patients with Psoriasis. Mater. Socio Medica 2020, 32, 105–107. [Google Scholar] [CrossRef]
- Pate, M.B.; Smith, J.K.; Chi, D.S.; Krishnaswamy, G. Regulation and dysregulation of immunoglobulin E: A molecular and clinical perspective. Clin. Mol. Allergy 2010, 8, 3. [Google Scholar] [CrossRef]
- Kokkotis, G.; Bamias, G. TL1A as a therapeutic target in inflammatory bowel disease. Expert Rev. Clin. Immunol. 2022, 18, 551–555. [Google Scholar] [CrossRef] [PubMed]
- Danese, S.; Klopocka, M.; Scherl, E.J.; Romatowski, J.; Allegretti, J.R.; Peeva, E.; Vincent, M.S.; Schoenbeck, U.; Ye, Z.; Hassan-Zahraee, M.; et al. Anti-TL1A Antibody PF-06480605 Safety and Efficacy for Ulcerative Colitis: A Phase 2a Single-Arm Study. Clin. Gastroenterol. Hepatol. 2021, 19, 2324–2332.e6. [Google Scholar] [CrossRef] [PubMed]




| Characteristics | Normal | AD |
|---|---|---|
| Number | 16 | 36 |
| Age(years) | 39.5 ± 15.5 | 36.3 ± 16.2 |
| Sex (male/female) | 10/6 | 26/10 |
| EASI score | 24.8 ± 10.1 |
| TARC (IU/mL) | 2413 ± 4361 |
| IgE (IU/mL) | 7877 ± 9770 |
| LDH (U/L) | 240.5 ± 67.9 |
| Eosinophils (/uL) | 540 ± 396 |
Disclaimer/Publisher’s Note: The statements, opinions and data contained in all publications are solely those of the individual author(s) and contributor(s) and not of MDPI and/or the editor(s). MDPI and/or the editor(s) disclaim responsibility for any injury to people or property resulting from any ideas, methods, instructions or products referred to in the content. |
© 2023 by the authors. Licensee MDPI, Basel, Switzerland. This article is an open access article distributed under the terms and conditions of the Creative Commons Attribution (CC BY) license (https://creativecommons.org/licenses/by/4.0/).
Share and Cite
Hisamoto, T.; Suga, H.; Yoshizaki-Ogawa, A.; Sato, S.; Yoshizaki, A. Increased Serum Levels of Tumor Necrosis Factor-like Ligand 1A in Atopic Dermatitis. Int. J. Mol. Sci. 2023, 24, 1813. https://doi.org/10.3390/ijms24031813
Hisamoto T, Suga H, Yoshizaki-Ogawa A, Sato S, Yoshizaki A. Increased Serum Levels of Tumor Necrosis Factor-like Ligand 1A in Atopic Dermatitis. International Journal of Molecular Sciences. 2023; 24(3):1813. https://doi.org/10.3390/ijms24031813
Chicago/Turabian StyleHisamoto, Teruyoshi, Hiraku Suga, Asako Yoshizaki-Ogawa, Shinichi Sato, and Ayumi Yoshizaki. 2023. "Increased Serum Levels of Tumor Necrosis Factor-like Ligand 1A in Atopic Dermatitis" International Journal of Molecular Sciences 24, no. 3: 1813. https://doi.org/10.3390/ijms24031813
APA StyleHisamoto, T., Suga, H., Yoshizaki-Ogawa, A., Sato, S., & Yoshizaki, A. (2023). Increased Serum Levels of Tumor Necrosis Factor-like Ligand 1A in Atopic Dermatitis. International Journal of Molecular Sciences, 24(3), 1813. https://doi.org/10.3390/ijms24031813

