Foliar Infiltration of Virus-Derived Small Hairpin RNAs Triggers the RNAi Mechanism against the Cucumber Mosaic Virus
Abstract
:1. Introduction
2. Results
2.1. Synthesis, Quality, and Yield of ShRNAs
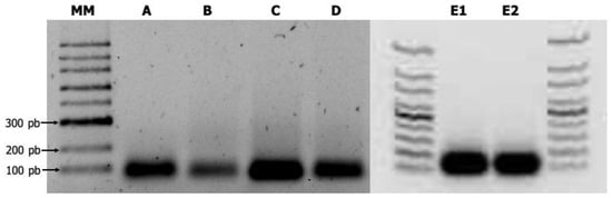
2.2. Primer Efficiency and Specificity
2.3. Effect of Virus-Derived Artificial ShRNAs on CMV Infection
2.4. Immunological-Based Assays for Specific Detection of CMV
2.5. RT-PCR and RT-QPCR
3. Discussion
4. Materials and Methods
4.1. Design and Synthesis of ShRNAs
4.2. Plants, Virus Maintenance, and ShRNA Infiltration
4.3. Protein Extraction and Quantitation
4.4. Immunological-Based Assays for Specific Detection of CMV
4.5. RNA Isolation and CDNA Synthesis
4.6. PCR, Quantitative Real-Time PCR (qPCR) and Primer Efficiency Test
4.7. Statistical Analysis
5. Conclusions
Supplementary Materials
Author Contributions
Funding
Institutional Review Board Statement
Informed Consent Statement
Acknowledgments
Conflicts of Interest
References
- Doolittle, S.P. A new infectious mosaic disease of cucumber. Phytopathology 1916, 6, 145–147. [Google Scholar]
- Kenyon, L.; Kumar, S.; Tsai, W.S.; Hughes, J.D.A. Chapter Six—Virus diseases of peppers (Capsicum spp.) and their control. In Advances in Virus Research; Loebenstein, G., Katis, N., Eds.; Academic Press: Waltham, MA, USA, 2014; Volume 90, pp. 297–354. [Google Scholar] [CrossRef]
- Bujarski, J.; Gallitelli, D.; García-Arenal, F.; Pallás, V.; Palukaitis, P.; Reddy, M.K.; Wang, A. ICTV Report Consortium 2019. ICTV Virus Taxonomy Profile: Bromoviridae. J. Gen. Virol. 2019, 100, 1206–1207. [Google Scholar] [CrossRef] [PubMed]
- García-Arenal, F.; Palukaitis, P. Cucumber Mosaic Virus. In Encyclopedia of Virology, 3rd ed.; Mahy, B.W.J., van Regenmortel, M.H.V., Eds.; Academic Press: Oxford, UK, 2008; pp. 614–619. [Google Scholar] [CrossRef]
- Scholthof, K.B.; Adkins, S.; Czosnek, H.; Palukaitis, P.; Jacquot, E.; Hohn, T.; Hohn, B.; Saunders, K.; Candresse, T.; Ahlquist, P.; et al. Top 10 plant viruses in molecular plant pathology. Mol. Plant Pathol. 2011, 12, 938–954. [Google Scholar] [CrossRef] [PubMed]
- Jacquemond, M. Cucumber mosaic virus. Adv. Virus Res. 2012, 84, 439–504. [Google Scholar] [CrossRef]
- Watters, K.E.; Choudhary, K.; Aviran, S.; Lucks, J.B.; Perry, K.L.; Thompson, J.R. Probing of RNA structures in a positive sense RNA virus reveals selection pressures for structural elements. Nucleic Acids Res. 2018, 46, 2573–2584. [Google Scholar] [CrossRef] [Green Version]
- Ding, S.W.; Anderson, B.J.; Haase, H.R.; Symons, R.H. New overlapping gene encoded by the cucumber mosaic virus genome. Virology 1994, 198, 593–601. [Google Scholar] [CrossRef]
- Rahman, M.S.; Ahmed, A.U.; Jahan, K.; Khatun, F. Management of Cucumber Mosaic Virus (CMV) infecting cucumber in bangladesh. Bangladesh J. Agril. Res. 2020, 45, 65–76. [Google Scholar]
- Florax, R.J.; Travisi, C.M.; Nijkamp, P.A. Meta-analysis of the willingness to pay for reductions in pesticide risk exposure. Eur. Rev. Agric. Econ. 2005, 32, 441–467. [Google Scholar] [CrossRef] [Green Version]
- Sharma, V.K.; Sanghera, G.S.; Kashyap, P.L.; Sharma, B.B.; Chandel, C. RNA interference: A novel tool for plant disease management. Afr. J. Biotechnol. 2013, 12, 2303–2312. [Google Scholar] [CrossRef]
- Csorba, T.; Kontra, L.; Burgyán, J. Viral silencing suppressors: Tools forged to fine-tune host-pathogen coexistence. Virology 2015, 479, 85–103. [Google Scholar] [CrossRef] [Green Version]
- Sharp, P.A. RNA interference—2001. Genes Dev. 2001, 15, 485–490. [Google Scholar] [CrossRef] [PubMed] [Green Version]
- Guo, J.; Gao, S.; Lin, Q.; Wang, H.; Que, Y.; Xu, L. Transgenic sugarcane resistant to Sorghum mosaic virus based on coat protein gene silencing by RNA interference. BioMed Res. Int. 2015, 2015, 861907. [Google Scholar] [CrossRef] [PubMed] [Green Version]
- Wang, F.; Li, W.; Zhu, J.; Fan, F.; Wang, J.; Zhong, W.; Wang, M.B.; Liu, Q.; Zhu, Q.H.; Zhou, T.; et al. Hairpin RNA Targeting Multiple Viral Genes Confers Strong Resistance to Rice Black-Streaked Dwarf. Virus Int. J. Mol. Sci. 2016, 17, 705. [Google Scholar] [CrossRef] [Green Version]
- Konakalla, N.C.; Kaldis, A.; Berbati, M.; Masarapu, H.; Voloudakis, A.E. Exogenous application of double-stranded RNA molecules from TMV p126 and CP genes confers resistance against TMV in tobacco. Planta 2016, 244, 961–969. [Google Scholar] [CrossRef] [PubMed]
- Mitter, N.; Worrall, E.A.; Robinson, K.E.; Li, P.; Jain, R.G.; Taochy, C.; Fletcher, S.J.; Carroll, B.J.; Lu, G.Q.; Xu, Z.P. Clay nanosheets for topical delivery of RNAi for sustained protection against plant viruses. Nat. Plants 2017, 3, 16207. [Google Scholar] [CrossRef] [PubMed]
- Kaldis, A.; Berbati, M.; Melita, O.; Reppa, C.; Holeva, M.; Otten, P.; Voloudakis, A. Exogenously applied dsRNA molecules deriving from the Zucchini yellow mosaic virus (ZYMV) genome move systemically and protect cucurbits against ZYMV. Mol. Plant Pathol. 2018, 19, 883–895. [Google Scholar] [CrossRef] [Green Version]
- Dubrovina, A.S.; Aleynova, O.A.; Kalachev, A.V.; Suprun, A.R.; Ogneva, Z.V.; Kiselev, K.V. Induction of Transgene Supression in Plants via External Application of Synthetic dsRNA. Int. J. Mol. Sci. 2019, 20, 1585. [Google Scholar] [CrossRef] [Green Version]
- Voinnet, O. Induction and suppression of RNA silencing: Insights from viral infections. Nat. Rev. Genet. 2005, 6, 206–220. [Google Scholar] [CrossRef]
- Wang, M.B.; Metzlaff, M. RNA silencing and antiviral defense in plants. Curr. Opin. Plant Biol. 2005, 8, 216–222. [Google Scholar] [CrossRef]
- Schwind, N.; Zwiebel, M.; Itaya, A.; Ding, B.; Wang, M.B.; Krczal, G.; Wassenegger, M. RNAi-mediated resistance to Potato spindle tuber viroid in transgenic tomato expressing a viroid hairpin RNA construct. Mol. Plant Pathol. 2009, 10, 459–469. [Google Scholar] [CrossRef]
- Tabassum, B.; Nasir, I.A.; Khan, A.; Aslam, U.; Tariq, M.; Shahid, N.; Husnain, T. Short hairpin RNA engineering: In planta gene silencing of potato virus Y. Crop. Prot. 2016, 86, 1–8. [Google Scholar] [CrossRef]
- Akbar, S.; Tahir, M.; Wang, M.B.; Liu, Q. Expression Analysis of Hairpin RNA Carrying Sugarcane mosaic virus (SCMV) Derived Sequences and Transgenic Resistance Development in a Model Rice Plant. BioMed Res. Int. 2017, 2017, 1646140. [Google Scholar] [CrossRef] [PubMed] [Green Version]
- Aslam, U.; Tabassum, B.; Nasir, I.A.; Khan, A.; Husnain, T. A virus-derived short hairpin RNA confers resistance against sugarcane mosaic virus in transgenic sugarcane. Transgenic. Res. 2018, 27, 203–210. [Google Scholar] [CrossRef] [PubMed]
- Worrall, E.A.; Bravo-Cazar, A.; Nilon, A.T.; Fletcher, S.J.; Robinson, K.E.; Carr, J.P.; Mitter, N. Exogenous application of RNAi-inducing double-stranded RNA inhibits aphid-mediated tansmission of a plant virus. Front. Plant Sci. 2019, 10, 265. [Google Scholar] [CrossRef] [Green Version]
- Namgial, T.; Kaldis, A.; Chakraborty, S.; Voloudakis, A. Topical application of double-stranded RNA molecules containing sequences of Tomato leaf curl virus and Cucumber mosaic virus confers protection against the cognate viruses. Physiol. Mol. Plant Pathol. 2019, 108, 101432. [Google Scholar] [CrossRef]
- Vadlamudi, T.; Patil, B.L.; Kaldis, A.; Gopal, D.V.; Mishra, R.; Berbati, M.; Voloudakis, A. DsRNA-mediated protection against two isolates of Papaya ringspot virus through topical application of dsRNA in papaya. J. Virol. Methods 2020, 275, 113750. [Google Scholar] [CrossRef]
- Lau, S.E.; Mazumdar, P.; Hee, T.W.; Song, A.L.A.; Othman, R.Y.; Harikrishna, J.A. Crude extracts of bacterially-expressed dsRNA protect orchid plants against Cymbidium mosaic virus during transplantation from in vitro culture. J. Hortic. Sci. Biotechnol. 2014, 89, 569–576. [Google Scholar] [CrossRef]
- Shen, W.; Yang, G.; Chen, Y.; Yan, P.; Tuo, D.; Li, X.; Zhou, P. Resistance of non-transgenic papaya plants to papaya ringspot virus (PRSV) mediated by intron-containing hairpin dsRNAs expressed in bacteria. Acta Virol. 2014, 58, 261–266. [Google Scholar] [CrossRef] [Green Version]
- Zhang, H.; Demirer, G.S.; Zhang, H.; Ye, T.; Goh, N.S.; Aditham, A.J.; Cunningham, F.J.; Fan, C.; Landry, M.P. DNA nanostructures coordinate gene silencing in mature plants. Proc. Natl. Acad. Sci. USA 2019, 116, 7543–7548. [Google Scholar] [CrossRef] [Green Version]
- Kim, N.Y.; Baek, J.Y.; Choi, H.S.; Chung, I.S.; Shin, S.; Lee, J.I.; Yang, J.M. Short-hairpin RNA-mediated gene expression interference in Trichoplusia ni cells. J. Microbiol. Biotechnol. 2012, 22, 190–198. [Google Scholar] [CrossRef] [Green Version]
- Livak, K.J.; Schmittgen, T.D. Analysis of relative gene expression data using real-time quantitative PCR and the 2−ΔΔCT method. Methods 2001, 25, 402–408. [Google Scholar] [CrossRef] [PubMed]






| Genes | Sequences (5′-3′) | Amplicon Size (bp) | E (%) | R2 |
|---|---|---|---|---|
| Replication (1a) | F: GCGTTATCCACGCTGGTATT R: AAATCCGCACTGTTTTCCAC | 165 | 110.00 | 0.996 |
| Replication (2a) | F: TGGATGTCAGCGAGAGTGTC R: ATACGCATGGGTTTGACCAT | 172 | 103.36 | 0.981 |
| Suppressor of silencing (2b) | F: CAAAAGTCCCAGCGAGAGAG R: GGCGAACCAATCTGTATCGT | 190 | 94.85 | 0.955 |
| Capsid (3b) | F: AACCAGTGCTGGTCGTAACC R: GCGTTCACTCCCTACAAAGG | 172 | 92.92 | 0.995 |
| F-Box (Reference gene) | F: GGCACTCACAAACGTCTATTTC R: ACCTGGGAGGCATCCTGCTTAT | 127 | 92.76 | 0.994 |
| Oligo | Strand | Sequences (5′3′) | Gene Function |
|---|---|---|---|
| shRNA1a | Sense | TAATACGACTCACTATAGGGTATTGTTTATTCTGTCGGTTATtcaagagATAACCGACAGAATAAACAATACCCTTT | Replication (ORF1a/RNA1) |
| Antisense | AAAGGGTATTGTTTATTCTGTCGGTTATctcttgaATAACCGACAGAATAAACAATACCCTATAGTGAGTCGTATTA | ||
| shRNA2a | Sense | TAATACGACTCACTATAGGGTCCATTTTTGGTACCCGTGAAGtcaagagCTTCACGGGTACCAAAAATGGACCCTTT | Replication (ORF2a/RNA2) |
| Antisense | AAAGGGTCCATTTTTGGTACCGTGAAGctcttgaCTTCACGGGGTACCAAAAATGGACCCTATAGTGAGTCGTATTA | ||
| shRNA2b | Sense | TAATACGACTCACTATAGGGTCATGCCGCCATGTGAACGTGGtcaagagCCACGTTCACATGGCGGCATGACCCTTT | Silencing suppressor (ORF2b/RNA2) |
| Antisense | AAAGGGTCATGCCGCCATGTGAACGTGGctcttgaCCACGTTCACATGGCGGCATGACCCTATAGTGAGTCGTATTA | ||
| shRNA3b | Sense | TAATACGACTCACTATAGGGTACACGTTCACATCTATTACCCtcaagagGGGTAATAGATGTGAACGTGTACCCTTT | Capsid (ORF3b/RNA3) |
| Antisense | AAAGGGTACACGTTCACATCTATTACCCctcttgaGGGTAATAGATGTGAACGTGTACCCTATAGTGAGTCGTATTA |
Publisher’s Note: MDPI stays neutral with regard to jurisdictional claims in published maps and institutional affiliations. |
© 2022 by the authors. Licensee MDPI, Basel, Switzerland. This article is an open access article distributed under the terms and conditions of the Creative Commons Attribution (CC BY) license (https://creativecommons.org/licenses/by/4.0/).
Share and Cite
Villegas-Estrada, B.; Sánchez, M.A.; Valencia-Jiménez, A. Foliar Infiltration of Virus-Derived Small Hairpin RNAs Triggers the RNAi Mechanism against the Cucumber Mosaic Virus. Int. J. Mol. Sci. 2022, 23, 4938. https://doi.org/10.3390/ijms23094938
Villegas-Estrada B, Sánchez MA, Valencia-Jiménez A. Foliar Infiltration of Virus-Derived Small Hairpin RNAs Triggers the RNAi Mechanism against the Cucumber Mosaic Virus. International Journal of Molecular Sciences. 2022; 23(9):4938. https://doi.org/10.3390/ijms23094938
Chicago/Turabian StyleVillegas-Estrada, Bernardo, Manuel Alejandro Sánchez, and Arnubio Valencia-Jiménez. 2022. "Foliar Infiltration of Virus-Derived Small Hairpin RNAs Triggers the RNAi Mechanism against the Cucumber Mosaic Virus" International Journal of Molecular Sciences 23, no. 9: 4938. https://doi.org/10.3390/ijms23094938
APA StyleVillegas-Estrada, B., Sánchez, M. A., & Valencia-Jiménez, A. (2022). Foliar Infiltration of Virus-Derived Small Hairpin RNAs Triggers the RNAi Mechanism against the Cucumber Mosaic Virus. International Journal of Molecular Sciences, 23(9), 4938. https://doi.org/10.3390/ijms23094938

