Generation of Inducible BCL11B Knockout in TAL1/LMO1 Transgenic Mouse T Cell Leukemia/Lymphoma Model
Abstract
:1. Introduction
2. Results
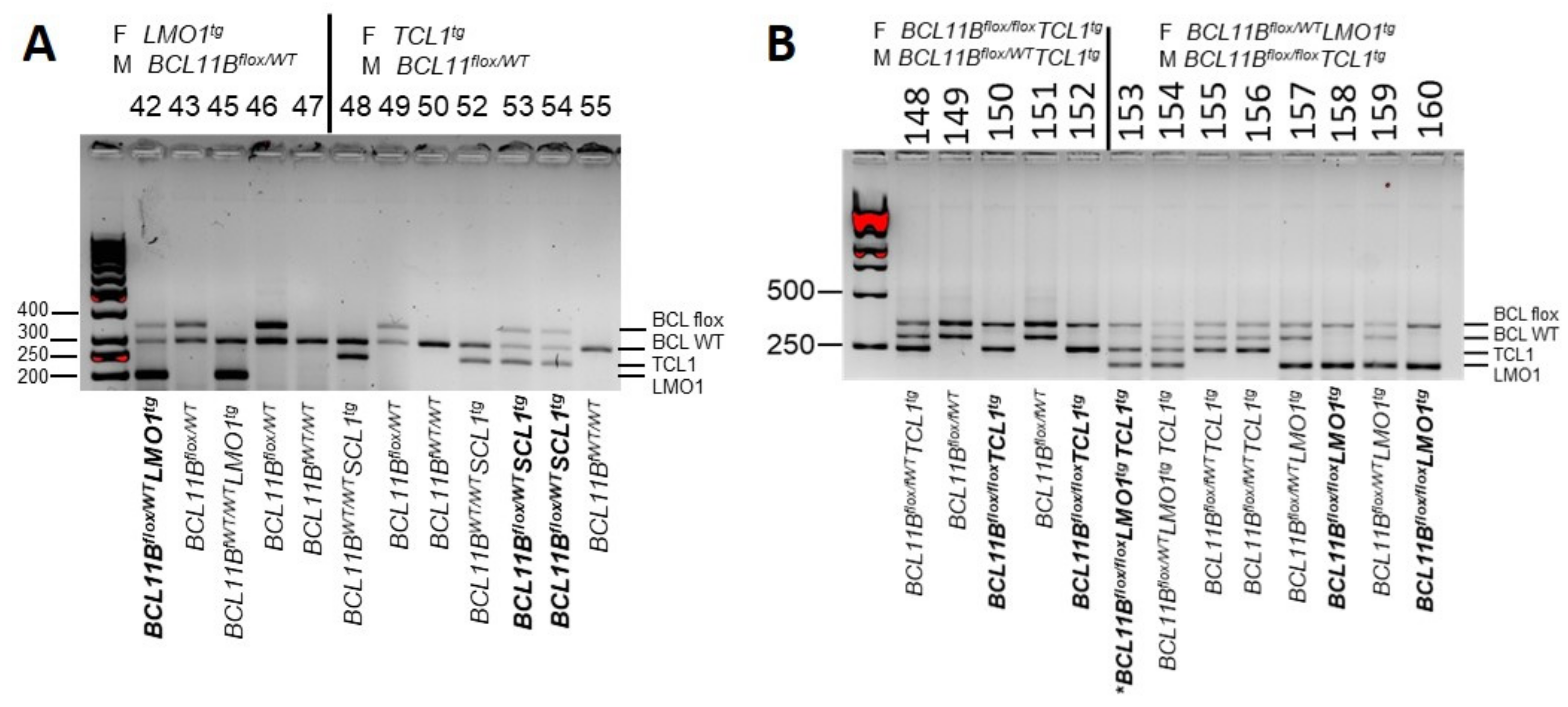
2.1. Establishment of BCL11Bflox/flox LMO1tg and BCL11Bflox/flox TAL1tg Mice
2.2. Introduction of the Cre/ESR1 Recombinase Construct to the BCL11Bflox/floxLMO1tg and BCL11Bflox/floxTAL1tg Mice
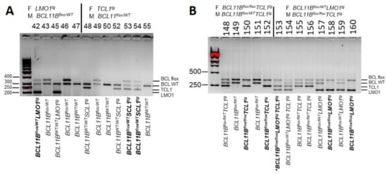
2.3. Generation of the Final Experimental Mouse Model of Inducible BCL11B Knockout in T-Cell Malignancies
2.4. Creation of the BCL11Bflox/delCREtg/tgLMO1tg and BCL11Bflox/delCREtg/tgTAL1tg Mice
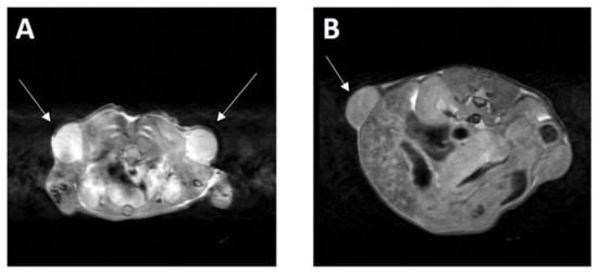
2.5. Diagnosis of Hematologic Malignancies
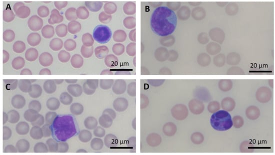
2.6. Determination of the Immunophenotype of the Malignant Disease by Flow Cytometry
3. Discussion
4. Materials and Methods
4.1. Mouse Models
4.2. Genotyping
4.3. Magnetic Resonance Imaging (MRI)
4.4. Induction of BCL11B Knockout by Tamoxifen Administration
4.5. Detection of CreER-Mediated BCL11B Knockout
4.6. Flow Cytometry
5. Conclusions
Author Contributions
Funding
Institutional Review Board Statement
Informed Consent Statement
Data Availability Statement
Acknowledgments
Conflicts of Interest
References
- Teras, L.R.; DeSantis, C.E.; Cerhan, J.R.; Morton, L.M.; Jemal, A.; Flowers, C.R. 2016 US lymphoid malignancy statistics by World Health Organization subtypes. CA Cancer J. Clin. 2016, 66, 443–459. [Google Scholar] [CrossRef] [PubMed]
- Cortes, J.R.; Palomero, T. Biology and Molecular Pathogenesis of Mature T-Cell Lymphomas. Cold Spring Harb. Perspect. Med. 2021, 11, a035402. [Google Scholar] [CrossRef] [PubMed]
- Shiraz, P.; Jehangir, W.; Agrawal, V. T-Cell Acute Lymphoblastic Leukemia-Current Concepts in Molecular Biology and Management. Biomedicines 2021, 9, 1621. [Google Scholar] [CrossRef] [PubMed]
- Avram, D.; Califano, D. The multifaceted roles of Bcl11b in thymic and peripheral T cells: Impact on immune diseases. J. Immunol. 2014, 193, 2059–2065. [Google Scholar] [CrossRef] [PubMed] [Green Version]
- Przybylski, G.K.; Dik, W.A.; Wanzeck, J.; Grabarczyk, P.; Majunke, S.; Martin-Subero, J.I.; Siebert, R.; Dölken, G.; Ludwig, W.-D.; Verhaaf, B.; et al. Disruption of the BCL11B gene through inv(14)(q11.2q32.31) results in the expression of BCL11B-TRDC fusion transcripts and is associated with the absence of wild-type BCL11B transcripts in T-ALL. Leukemia 2005, 19, 201–208. [Google Scholar] [CrossRef] [PubMed] [Green Version]
- Grabarczyk, P.; Przybylski, G.K.; Depke, M.; Völker, U.; Bahr, J.; Assmus, K.; Bröker, B.M.; Walther, R.A.; Schmidt, C. Inhibition of BCL11B expression leads to apoptosis of malignant but not normal mature T cells. Oncogene 2007, 26, 3797–3810. [Google Scholar] [CrossRef] [PubMed] [Green Version]
- Porcher, C.; Chagraoui, H.; Kristiansen, M.S. SCL/TAL1: A multifaceted regulator from blood development to disease. Blood 2017, 129, 2051–2060. [Google Scholar] [CrossRef] [PubMed]
- Matthews, J.M.; Lester, K.; Joseph, S.; Curtis, D.J. LIM-domain-only proteins in cancer. Nat. Rev. Cancer 2013, 13, 111–122. [Google Scholar] [CrossRef] [PubMed]
- Aplan, P.D.; Jones, C.A.; Chervinsky, D.S.; Zhao, X.; Ellsworth, M.; Wu, C.; McGuire, E.A.; Gross, K.W. An scl gene product lacking the transactivation domain induces bony abnormalities and cooperates with LMO1 to generate T-cell malignancies in transgenic mice. EMBO J. 1997, 16, 2408–2419. [Google Scholar] [CrossRef] [PubMed] [Green Version]
- Wakabayashi, Y.; Watanabe, H.; Inoue, J.; Takeda, N.; Sakata, J.; Mishima, Y.; Hitomi, J.; Yamamoto, T.; Utsuyama, M.; Niwa, O.; et al. Bcl11b is required for differentiation and survival of alphabeta T lymphocytes. Nat. Immunol. 2003, 4, 533–539. [Google Scholar] [CrossRef] [PubMed]
- Bardelli, V.; Arniani, S.; Pierini, V.; Di Giacomo, D.; Pierini, T.; Gorello, P.; Mecucci, C.; La Starza, R. T-Cell Acute Lymphoblastic Leukemia: Biomarkers and Their Clinical Usefulness. Genes 2021, 12, 1118. [Google Scholar] [CrossRef] [PubMed]
- Huang, X.; Du, X.; Li, Y. The role of BCL11B in hematological malignancy. Exp. Hematol. Oncol. 2012, 1, 22. [Google Scholar] [CrossRef] [PubMed] [Green Version]
- Kominami, R. Role of the transcription factor Bcl11b in development and lymphomagenesis. Proc. Jpn. Acad. Ser. B Phys. Biol. Sci. 2012, 88, 72–87. [Google Scholar] [CrossRef] [PubMed] [Green Version]
- Yoshikai, Y.; Sato, T.; Morita, S.; Kohara, Y.; Takagi, R.; Mishima, Y.; Kominami, R. Effect of Bcl11b genotypes and gamma-radiation on the development of mouse thymic lymphomas. Biochem. Biophys. Res. Commun. 2008, 373, 282–285. [Google Scholar] [CrossRef] [PubMed]
- Huang, X.; Chen, S.; Shen, Q.; Chen, S.; Yang, L.; Grabarczyk, P.; Przybylski, G.K.; Schmidt, C.A.; Li, Y. Down regulation of BCL11B expression inhibits proliferation and induces apoptosis in malignant T cells by BCL11B-935-siRNA. Hematology 2011, 16, 236–242. [Google Scholar] [CrossRef] [PubMed]
- Li, P.; Burke, S.; Wang, J.; Chen, X.; Ortiz, M.; Lee, S.C.; Lu, D.; Campos, L.; Goulding, D.; Ng, B.L.; et al. Reprogramming of T cells to natural killer-like cells upon Bcl11b deletion. Science 2010, 329, 85–89. [Google Scholar] [CrossRef] [PubMed] [Green Version]
- Grabarczyk, P.; Nähse, V.; Delin, M.; Przybylski, G.; Depke, M.; Hildebrandt, P.; Völker, U.; Schmidt, C.A. Increased expression of bcl11b leads to chemoresistance accompanied by G1 accumulation. PLoS ONE 2010, 5, e12532. [Google Scholar] [CrossRef] [PubMed] [Green Version]
- Golonzhka, O.; Liang, X.; Messaddeq, N.; Bornert, J.-M.; Campbell, A.L.; Metzger, D.; Chambon, P.; Ganguli-Indra, G.; Leid, M.; Indra, A.K. Dual role of COUP-TF-interacting protein 2 in epidermal homeostasis and permeability barrier formation. J. Investig. Dermatol. 2009, 129, 1459–1470. [Google Scholar] [CrossRef] [PubMed] [Green Version]
- Seibler, J.; Zevnik, B.; Kuter-Luks, B.; Andreas, S.; Kern, H.; Hennek, T.; Rode, A.; Heimann, C.; Faust, N.; Kauselmann, G.; et al. Rapid generation of inducible mouse mutants. Nucleic Acids Res. 2003, 31, e12. [Google Scholar] [CrossRef] [PubMed]
- Lin, Y.W.; DeVeney, R.; Barbara, M.; Iscove, N.N.; Nimer, S.D.; Slape, C.; Aplan, P.D. OLIG2 (BHLHB1), a bHLH transcription factor, contributes to leukemogenesis in concert with LMO1. Cancer Res. 2005, 65, 7151–7158. [Google Scholar] [CrossRef] [PubMed] [Green Version]






Publisher’s Note: MDPI stays neutral with regard to jurisdictional claims in published maps and institutional affiliations. |
© 2022 by the authors. Licensee MDPI, Basel, Switzerland. This article is an open access article distributed under the terms and conditions of the Creative Commons Attribution (CC BY) license (https://creativecommons.org/licenses/by/4.0/).
Share and Cite
Przybylski, G.K.; Korsak, D.; Iżykowska, K.; Nowicka, K.; Zalewski, T.; Tubacka, M.; Mosor, M.; Januszkiewicz-Lewandowska, D.; Frydrychowicz, M.; Boruczkowski, M.; et al. Generation of Inducible BCL11B Knockout in TAL1/LMO1 Transgenic Mouse T Cell Leukemia/Lymphoma Model. Int. J. Mol. Sci. 2022, 23, 4932. https://doi.org/10.3390/ijms23094932
Przybylski GK, Korsak D, Iżykowska K, Nowicka K, Zalewski T, Tubacka M, Mosor M, Januszkiewicz-Lewandowska D, Frydrychowicz M, Boruczkowski M, et al. Generation of Inducible BCL11B Knockout in TAL1/LMO1 Transgenic Mouse T Cell Leukemia/Lymphoma Model. International Journal of Molecular Sciences. 2022; 23(9):4932. https://doi.org/10.3390/ijms23094932
Chicago/Turabian StylePrzybylski, Grzegorz K., Dorota Korsak, Katarzyna Iżykowska, Karina Nowicka, Tomasz Zalewski, Małgorzata Tubacka, Maria Mosor, Danuta Januszkiewicz-Lewandowska, Magdalena Frydrychowicz, Maciej Boruczkowski, and et al. 2022. "Generation of Inducible BCL11B Knockout in TAL1/LMO1 Transgenic Mouse T Cell Leukemia/Lymphoma Model" International Journal of Molecular Sciences 23, no. 9: 4932. https://doi.org/10.3390/ijms23094932
APA StylePrzybylski, G. K., Korsak, D., Iżykowska, K., Nowicka, K., Zalewski, T., Tubacka, M., Mosor, M., Januszkiewicz-Lewandowska, D., Frydrychowicz, M., Boruczkowski, M., Dworacki, G., van den Brandt, J., Grabarczyk, P., Schmidt, C. A., Zeng, C., & Li, Y. (2022). Generation of Inducible BCL11B Knockout in TAL1/LMO1 Transgenic Mouse T Cell Leukemia/Lymphoma Model. International Journal of Molecular Sciences, 23(9), 4932. https://doi.org/10.3390/ijms23094932

