Beneficial Effects of Tamarind Trypsin Inhibitor in Chitosan–Whey Protein Nanoparticles on Hepatic Injury Induced High Glycemic Index Diet: A Preclinical Study
Abstract
1. Introduction
2. Results and Discussion
2.1. Obtainment and Characterization of TTI and Nanoformulations (CW and ECW)
2.2. Evaluation of Biochemical Parameters
2.2.1. Hematological Parameters
2.2.2. Fasting Glucose, Insulin, and Model Homeostasis
2.2.3. Lipid Profile
2.2.4. Assessing Renal Function
2.2.5. Assessing Liver Function
2.3. Liver Damage Assessment Scores
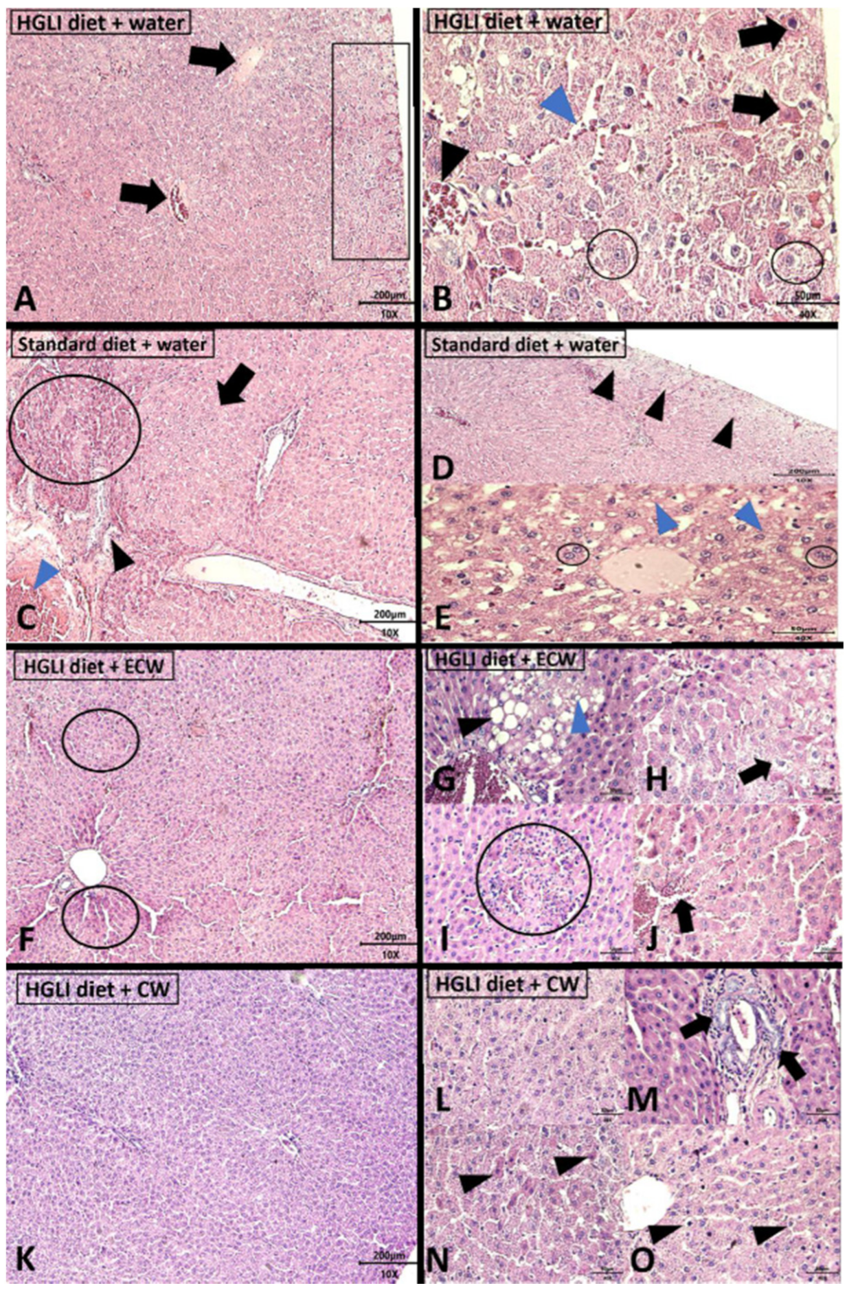
2.4. Histopathological Analysis of Liver Tissue
3. Materials and Methods
3.1. Obtaining the TTI
3.2. Production and Characterization of Nanoformulations
3.3. Study Design
3.4. Evaluation of Hematological and Biochemical Parameters
3.5. Liver Damage Assessment Scores
3.6. Histopathological Analysis of Liver Tissue
3.7. Statistical Analysis
4. Conclusions
Author Contributions
Funding
Institutional Review Board Statement
Conflicts of Interest
References
- Soares, L.R.; Luiza, M.; Pereira, C.; Mota, M.A.; Jacob, A.; Yuri, V.; Kashiwabara, T.G.B. A transição da desnutrição para a obesidade. Braz J. Surg. Clin. Res. 2014, 5, 64–68. Available online: https://www.mastereditora.com.br/periodico/20131130_150631.pdf (accessed on 18 August 2021).
- Kac, G.; Pérez-Escamilla, R. Nutrition transition and obesity prevention through the life-course. Int. J. Obes. Suppl. 2013, 3, S6–S8. [Google Scholar] [CrossRef] [PubMed]
- Popkin, B.M. Nutrition Transition and the Global Diabetes Epidemic. Curr. Diabetes Rep. 2015, 15, 1–8. [Google Scholar] [CrossRef]
- DiNicolantonio, J.J.; Berger, A. Added sugars drive nutrient and energy deficit in obesity: A new paradigm. Open Hear. 2016, 3, 1–6. [Google Scholar] [CrossRef] [PubMed]
- Ng, M.; Fleming, T.; Robinson, M.; Thomson, B.; Graetz, N.; Margono, C.; Mullany, E.C.; Biryukov, S.; Abbafati, C.; Abera, S.F.; et al. Global, regional, and national prevalence of overweight and obesity in children and adults during 1980–2013: A systematic analysis for the Global Burden of Disease Study 2013. Lancet 2014, 384, 766–781. [Google Scholar] [CrossRef]
- Hruby, A.; Hu, F.B. The Epidemiology of Obesity: A Big Picture. Pharmacoeconomics 2015, 33, 673–689. [Google Scholar] [CrossRef]
- Lu, F.-B.; Hu, E.-D.; Xu, L.-M.; Chen, L.; Wu, J.-L.; Li, H.; Chen, D.-Z.; Chen, Y.-P. The relationship between obesity and the severity of non-alcoholic fatty liver disease: Systematic review and meta-analysis. Expert Rev. Gastroenterol. Hepatol. 2018, 12, 491–502. [Google Scholar] [CrossRef]
- Polyzos, S.A.; Kountouras, J.; Mantzoros, C.S. Obesity and nonalcoholic fatty liver disease: From pathophysiology to therapeutics. Metabolism 2019, 92, 82–97. [Google Scholar] [CrossRef]
- Hodges, J.K.; Sasaki, G.Y.; Bruno, R.S. Anti-inflammatory activities of green tea catechins along the gut-liver axis in nonalcoholic fatty liver disease: Lessons learned from preclinical and human studies. J. Nutr. Biochem. 2020, 85, 108478. [Google Scholar] [CrossRef]
- Younossi, Z.M.; Koenig, A.B.; Abdelatif, D.; Fazel, Y.; Henry, L.; Wymer, M. Global epidemiology of nonalcoholic fatty liver disease-Meta-analytic assessment of prevalence, incidence, and outcomes. Hepatology 2016, 64, 73–84. [Google Scholar] [CrossRef]
- Barbosa, F.D.S.; Almeida, M.E.F. Doença Hepática Gordurosa Não Alcoólica: Um problema global de caráter reversível. J. Health Biol. Sci. 2019, 7, 305. [Google Scholar] [CrossRef]
- Arab, J.P.; Dirchwolf, M.; Álvares-Da-Silva, M.R.; Barrera, F.; Benítez, C.; Castellanos-Fernandez, M.; Castro-Narro, G.; Chavez-Tapia, N.; Chiodi, D.; Cotrim, H.; et al. Latin American Association for the study of the liver (ALEH) practice guidance for the diagnosis and treatment of non-alcoholic fatty liver disease. Ann. Hepatol. 2020, 19, 674–690. [Google Scholar] [CrossRef]
- Chalasani, N.; Younossi, Z.; LaVine, J.E.; Charlton, M.; Cusi, K.; Rinella, M.; Harrison, S.A.; Brunt, E.M.; Sanyal, A.J. The diagnosis and management of nonalcoholic fatty liver disease: Practice guidance from the American Association for the Study of Liver Diseases. Hepatology 2018, 67, 328–357. [Google Scholar] [CrossRef] [PubMed]
- Leoni, S.; Tovoli, F.; Napoli, L.; Serio, I.; Ferri, S.; Bolondi, L. Current guidelines for the management of non-alcoholic fatty liver disease: A systematic review with comparative analysis. World J. Gastroenterol. 2018, 24, 3361–3373. [Google Scholar] [CrossRef] [PubMed]
- Stefan, N.; Haring, H.; Cusi, K. Non-alcoholic fatty liver disease: Causes, diagnosis, cardiometabolic consequences, and treatment strategies. Lancet Diabetes Endocrinol. 2018, 7, 313–324. [Google Scholar] [CrossRef]
- Jennison, E.; Patel, J.; Scorletti, E.; Byrne, C.D. Diagnosis and management of non-alcoholic fatty liver disease. Postgrad. Med. J. 2019, 95, 314–322. [Google Scholar] [CrossRef]
- Gerges, S.H.; Wahdan, S.A.; Elsherbiny, D.A.; El-Demerdash, E. Non-alcoholic fatty liver disease: An overview of risk factors, pathophysiological mechanisms, diagnostic procedures, and therapeutic interventions. Life Sci. 2021, 271, 119220. [Google Scholar] [CrossRef] [PubMed]
- Jahn, D.; Kircher, S.; Hermanns, H.M.; Geier, A. Animal models of NAFLD from a hepatologist’s point of view. Biochim. Biophys. Acta Mol. Basis Dis. 2019, 1865, 943–953. [Google Scholar] [CrossRef]
- Aguiar, A.J.F.C.; Carvalho, F.M.C.; Costa, I.S.; Santos, J.P.S.O.; Bortolin, R.H.; Silbiger, V.N.; Neves, R.A.M.; Maciel, B.L.L.; Santos, E.A.; Morais, A.H.A. A high glycemic index pellet-diet induces metabolic disorders and increased adipose tissue PPARγ expression in experimental model. Ann. Nutr. Metab. 2017, 71, 1229–1230. Available online: https://shortest.link/ikM (accessed on 12 November 2020).
- Luz, A.B.S.; Figueredo, J.B.D.S.; Salviano, B.D.P.D.; Aguiar, A.J.F.C.; Pinheiro, L.G.S.D.; Krause, M.F.D.; Camillo, C.D.S.; Ladd, F.V.L.; Bortolin, R.H.; Silbiger, V.N.; et al. Adipocytes and intestinal epithelium dysfunctions linking obesity to inflammation induced by high glycemic index pellet-diet in Wistar rats. Biosci. Rep. 2018, 38, 3. [Google Scholar] [CrossRef]
- Lima, V.C.O.; Piuvezam, G.; Maciel, B.L.L.; Morais, A.H.A. Trypsin inhibitors: Promising candidate satietogenic proteins as complementary treatment for obesity and metabolic disorders? J. Enzym. Inhib. Med. Chem. 2019, 34, 405–419. [Google Scholar] [CrossRef]
- Carvalho, F.M.C.; Maciel, B.L.L.; Morais, A.H.A. Tamarind Enzymatic Inhibitors: Activities and Health Application Perspectives. Food Rev. Int. 2020, 2, 1–14. [Google Scholar] [CrossRef]
- Costa, I.S.; Medeiros, A.F.; Carvalho, F.M.C.; Lima, V.C.O.; Serquiz, R.P.; Serquiz, A.C.; Silbiger, V.N.; Bortolin, R.H.; Maciel, B.L.L.; Santos, E.A.; et al. Satietogenic Protein from Tamarind Seeds Decreases Food Intake, Leptin Plasma and CCK-1r Gene Expression in Obese Wistar Rats. Obes. Facts 2018, 11, 440–453. [Google Scholar] [CrossRef]
- Carvalho, F.M.C.; Lima, V.C.O.; Costa, I.S.; Medeiros, A.F.; Serquiz, A.C.; Lima, M.C.J.S.; Serquiz, R.P.; Maciel, B.L.L.; Uchôa, A.F.; Santos, E.A.; et al. A Trypsin Inhibitor from Tamarind Reduces Food Intake and Improves Inflammatory Status in Rats with Metabolic Syndrome Regardless of Weight Loss. Nutrients 2016, 8, 544. [Google Scholar] [CrossRef]
- Ribeiro, J.A.D.N.C.; Serquiz, A.C.; Silva, P.F.D.S.; Barbosa, P.B.B.M.; Sampaio, T.B.M.; Junior, R.F.D.A.; De Oliveira, A.S.; Machado, R.; Maciel, B.L.L.; Uchôa, A.F.; et al. Trypsin inhibitor from tamarindus indica L. Seeds reduces weight gain and food consumption and increases plasmatic cholecystokinin levels. Clinics 2015, 70, 136–143. [Google Scholar] [CrossRef]
- Carvalho, F.M.C.; Lima, V.C.O.; Costa, I.S.; Luz, A.B.S.; Ladd, F.V.L.; Serquiz, A.C.; Bortolin, R.H.; Silbiger, V.N.; Maciel, B.L.L.; Santos, E.A.; et al. Anti-TNF-α Agent Tamarind Kunitz Trypsin Inhibitor Improves Lipid Profile of Wistar Rats Presenting Dyslipidemia and Diet-induced Obesity Regardless of PPAR-γ Induction. Nutrients 2019, 11, 512. [Google Scholar] [CrossRef] [PubMed]
- De Medeiros, A.F.; Costa, I.S.; De Carvalho, F.M.C.; Kiyota, S.; De Souza, B.B.P.; Sifuentes, D.N.; Serquiz, R.P.; Maciel, B.L.L.; Uchôa, A.F.; Santos, E.A.; et al. Biochemical characterisation of a Kunitz-type inhibitor from Tamarindus indica L. seeds and its efficacy in reducing plasma leptin in an experimental model of obesity. J. Enzym. Inhib. Med. Chem. 2018, 33, 334–348. [Google Scholar] [CrossRef] [PubMed]
- Queiroz, J.L.C.; Costa, R.O.A.; Matias, L.L.R.; De Medeiros, A.F.; Gomes, A.F.T.; Pais, T.D.S.; Passos, T.S.; Maciel, B.L.L.; Santos, E.A.; Morais, A.H.A. Chitosan-whey protein nanoparticles improve encapsulation efficiency and stability of a trypsin inhibitor isolated from Tamarindus indica L. Food Hydrocoll. 2018, 84, 247–256. [Google Scholar] [CrossRef]
- Costa, R.O.A.; Matias, L.L.R.; Passos, T.S.; de Queiroz, J.L.C.; de Carvalho, F.M.C.; Maciel, B.L.L.; Uchôa, A.F.; Amado, I.R.; Gonçalves, C.; Pastrana, L.; et al. Safety and potential functional of nanoparticles loaded with a trypsin inhibitor isolated from tamarind seeds. Futur. Foods 2020, 1–2, 100001. [Google Scholar] [CrossRef]
- Matias, L.L.R.; Costa, R.O.A.; Passos, T.S.; Queiroz, J.L.C.; Serquiz, A.C.; Maciel, B.L.L.; Santos, P.P.A.; Camillo, C.S.; Gonçalves, C.; Amado, I.; et al. Tamarind Trypsin Inhibitor in Chitosan-Whey Protein Nanoparticles Reduces Fasting Blood Glucose Levels without Compromising Insulinemia: A Preclinical Study. Nutrients 2019, 11, 2770. [Google Scholar] [CrossRef] [PubMed]
- European Food Safety Authority (EFSA). Guidance on risk assessment of the aplication of nanosciense and nanotechnologies in the food and feed chain: Part 1, human and animal health. EFSA J. 2018, 16, 5327. Available online: https://efsa.onlinelibrary.wiley.com/doi/abs/10.2903/j.efsa.2011.2140 (accessed on 15 January 2021).
- Sagiri, S.S.; Anis, A.; Pal, K. Review on Encapsulation of Vegetable Oils: Strategies, Preparation Methods, and Applications. Polym. Technol. Eng. 2016, 55, 291–311. [Google Scholar] [CrossRef]
- Chanphai, P.; Thomas, T.J.; Tajmir-Riahi, H.A. Conjugation of biogenic and synthetic polyamines with trypsin and trypsin inhibitor. RSC Adv. 2016, 6, 53690–53697. [Google Scholar] [CrossRef]
- Montero, N.; Pérez, E.; Benito, M.; Teijón, C.; Teijón, J.M.; Olmo, R.; Blanco, M.D. Biocompatibility studies of intravenously administered ionic-crosslinked chitosan-BSA nanoparticles as vehicles for antitumour drugs. Int. J. Pharm. 2019, 554, 337–351. [Google Scholar] [CrossRef]
- Kurokawa, T.; Ohkohchi, N. Platelets in liver disease, cancer and regeneration. World J. Gastroenterol. 2017, 23, 3228. [Google Scholar] [CrossRef] [PubMed]
- Saab, S.; Brown, R.S.J. Management of Thrombocytopenia in Patients with Chronic Liver Disease. Dig. Dis. Sci. 2019, 64, 2757–2768. [Google Scholar] [CrossRef]
- Seo, M.H.; Park, J.H.; Kwak, H.-S. Antidiabetic activity of nanopowdered chitosan in db/db mice. Food Sci. Biotechnol. 2010, 19, 1245–1250. [Google Scholar] [CrossRef]
- Liu, S.-H.; Chang, Y.-H.; Chiang, M.-T. Chitosan reduces gluconeogenesis and increases glucose uptake in skeletal muscle in streptozotocin-induced diabetic rats. J. Agric. Food Chem. 2010, 58, 5795–5800. [Google Scholar] [CrossRef]
- Petersen, B.L.; Ward, L.S.; Bastian, E.D.; Jenkins, A.L.; Campbell, J.; Vuksan, V. A whey protein supplement decreases post-prandial glycemia. Nutr. J. 2009, 8, 47. [Google Scholar] [CrossRef]
- Chen, X.; Shen, T.; Li, Q.; Chen, X.; Li, Y.; Li, D.; Chen, G.; Ling, W.; Chen, Y.-M. Retinol Binding Protein-4 Levels and Non-alcoholic Fatty Liver Disease: A community-based cross-sectional study. Sci. Rep. 2017, 7, 45100. [Google Scholar] [CrossRef]
- Freeman, A.M.; Pennings, N. Insulin Resistance. 2021. Available online: https://www.ncbi.nlm.nih.gov/books/NBK507839/ (accessed on 12 February 2021).
- Alves-Bezerra, M.; Cohen, D.E. Triglyceride metabolism in the liver. Compr. Physiol. 2018, 8, 1–22. [Google Scholar] [CrossRef]
- Mato, J.M.; Alonso, C.; Noureddin, M.; Lu, S.C. Biomarkers and subtypes of deranged lipid metabolism in nonalcoholic fatty liver disease. World J. Gastroenterol. 2019, 25, 3009–3020. [Google Scholar] [CrossRef]
- Röhrl, C.; Stangl, H. HDL endocytosis and resecretion. Biochim. Biophys. Acta- Mol. Cell Biol. Lipids 2013, 1831, 1626–1633. [Google Scholar] [CrossRef]
- Gaggini, M.; Morelli, M.; Buzzigoli, E.; DeFronzo, R.A.; Bugianesi, E.; Gastaldelli, A. Non-alcoholic fatty liver disease (NAFLD) and its connection with insulin resistance, dyslipidemia, atherosclerosis and coronary heart disease. Nutrients 2013, 5, 1544–1560. [Google Scholar] [CrossRef]
- Katsiki, N.; Mikhailidis, D.P.; Mantzoros, C.S. Non-alcoholic fatty liver disease and dyslipidemia: An update. Metabolism 2016, 65, 1109–1123. [Google Scholar] [CrossRef] [PubMed]
- Chacko, K.R.; Reinus, J. Extrahepatic Complications of Nonalcoholic Fatty Liver Disease. Clin. Liver Dis. 2016, 20, 387–401. [Google Scholar] [CrossRef] [PubMed]
- Jia, G.; Di, F.; Wang, Q.; Shao, J.; Gao, L.; Wang, L.; Li, Q.; Li, N. Non-Alcoholic Fatty Liver Disease Is a Risk Factor for the Development of Diabetic Nephropathy in Patients with Type 2 Diabetes Mellitus. PLoS ONE 2015, 10, e0142808. [Google Scholar] [CrossRef] [PubMed]
- Casoinic, F.; Sâmpelean, D.; Bădău, C.; Prună, L. Nonalcoholic fatty liver disease--a risk factor for microalbuminuria in type 2 diabetic patients. Romanian J. Intern. Med. 2009, 47, 55–59. [Google Scholar]
- Ahn, A.-L.; Choi, J.-K.; Kim, M.-N.; Kim, S.-A.; Oh, E.-J.; Kweon, H.-J.; Cho, D.-Y. Non-alcoholic Fatty Liver Disease and Chronic Kidney Disease in Koreans Aged 50 Years or Older. Korean J. Fam. Med. 2013, 34, 199–205. [Google Scholar] [CrossRef]
- Li, Y.; Zhu, S.; Li, B.; Shao, X.; Liu, X.; Liu, A.; Wu, B.; Zhang, Y.; Wang, H.; Wang, X.; et al. Association between non-alcoholic fatty liver disease and chronic kidney disease in population with prediabetes or diabetes. Int. Urol. Nephrol. 2014, 46, 1785–1791. [Google Scholar] [CrossRef]
- Feng, Q.; Liu, Y.; Huang, J.; Chen, K.; Huang, J.; Xiao, K. Uptake, distribution, clearance, and toxicity of iron oxide nanoparticles with different sizes and coatings. Sci. Rep. 2018, 8, 2082. [Google Scholar] [CrossRef] [PubMed]
- Tiwari, D.K.; Jin, T.; Behari, J. Dose-dependent in-vivo toxicity assessment of silver nanoparticle in Wistar rats. Toxicol. Mech. Methods 2011, 21, 13–24. [Google Scholar] [CrossRef]
- Creppy, E.E.; Baudrimont, I.; Betbeder, A.M. Prevention of nephrotoxicity of ochratoxin A, a food contaminant. Toxicol. Lett. 1995, 82–83, 869–877. [Google Scholar] [CrossRef]
- Abdel-Wahhab, M.A.; Aljawish, A.; El-Nekeety, A.A.; Abdel-Aziem, S.H.; Hassan, N.S. Chitosan nanoparticles plus quercetin suppress the oxidative stress, modulate DNA fragmentation and gene expression in the kidney of rats fed ochratoxin A-contaminated diet. Food Chem. Toxicol. 2017, 99, 209–221. [Google Scholar] [CrossRef] [PubMed]
- Motta, V.T. Bioquímica Clínica Para o Laboratório: Princípios e Interpretações, 5th ed.; Robe: São Paulo, Brazil, 2009. [Google Scholar]
- Long, M.T.; Gandhi, S.; Loomba, R. Advances in non-invasive biomarkers for the diagnosis and monitoring of non-alcoholic fatty liver disease. Metabolism 2020, 111, 154259. [Google Scholar] [CrossRef] [PubMed]
- Cohen, J.A.; Kaplan, M.M. The SGOT/SGPT ratio--an indicator of alcoholic liver disease. Dig. Dis. Sci. 1979, 24, 835–838. [Google Scholar] [CrossRef]
- Zamin, I., Jr.; Mattos, A.A.; de Perin, C.; Ramos, G.Z. A importância do índice AST/ALT no diagnóstico da esteatohepatite não-alcoólica. Arq. Gastroenterol. 2002, 39, 22–26. [Google Scholar] [CrossRef]
- Wree, A.; Broderick, L.; Canbay, A.; Hoffman, H.M.; Feldstein, A.E. From NAFLD to NASH to cirrhosis-new insights into disease mechanisms. Nat. Rev. Gastroenterol. Hepatol. 2013, 10, 627–636. [Google Scholar] [CrossRef]
- Petta, S.; Gastaldelli, A.; Rebelos, E.; Bugianesi, E.; Messa, P.; Miele, L.; Svegliati-Baroni, G.; Valenti, L.; Bonino, F. Pathophysiology of Non Alcoholic Fatty Liver Disease. Int. J. Mol. Sci. 2016, 17, 2082. [Google Scholar] [CrossRef]
- Maurice, J.; Manousou, P. Non-alcoholic fatty liver disease. Clin. Med. 2018, 18, 245–250. [Google Scholar] [CrossRef]
- Fallatah, H.; Akbar, H.; Fallatah, A. Fibroscan Compared to FIB-4, APRI, and AST/ALT Ratio for Assessment of Liver Fibrosis in Saudi Patients With Nonalcoholic Fatty Liver Disease. Hepat Mon. 2016, 16, 7. [Google Scholar] [CrossRef] [PubMed]
- Vilar-Gomez, E.; Chalasani, N. Non-invasive assessment of non-alcoholic fatty liver disease: Clinical prediction rules and blood-based biomarkers. J. Hepatol. 2018, 68, 305–315. [Google Scholar] [CrossRef] [PubMed]
- Kolhe, K.M.; Amarapurkar, A.; Parikh, P.; Chaubal, A.; Chauhan, S.; Khairnar, H.; Walke, S.; Ingle, M.; Pandey, V.; Shukla, A. Aspartate transaminase to platelet ratio index (APRI) but not FIB-5 or FIB-4 is accurate in ruling out significant fibrosis in patients with non-alcoholic fatty liver disease (NAFLD) in an urban slum-dwelling population. BMJ Open Gastroenterol. 2019, 6, e000288. [Google Scholar] [CrossRef]
- Mazza, R.P.J.; Pereira, C.C.A.; Waitzberg, D.L. Doenças hepáticas. In Nutrição Clínica no Adulto; Cuparri, L., Ed.; Manole: São Paulo, Brazil, 2005; pp. 313–348. [Google Scholar]
- Pompili, S.; Vetuschi, A.; Gaudio, E.; Tessitore, A.; Capelli, R.; Alesse, E.; Latella, G.; Sferra, R.; Onori, P. Long-term abuse of a high-carbohydrate diet is as harmful as a high-fat diet for development and progression of liver injury in a mouse model of NAFLD/NASH. Nutrition 2020, 75–76, 110782. [Google Scholar] [CrossRef] [PubMed]
- Pierce, A.; Duwaerts, C.C.; Soon, R.K.; Siao, K.; Grenert, J.P.; Fitch, M.; Hellerstein, M.K.; Beysen, C.; Turner, S.M.; Maher, J.J. Isocaloric manipulation of macronutrients within a high-carbohydrate/moderate-fat diet induces unique effects on hepatic lipogenesis, steatosis and liver injury. J. Nutr. Biochem. 2015, 29, 20. [Google Scholar] [CrossRef][Green Version]
- Donnelly, K.L.; Smith, C.I.; Schwarzenberg, S.J.; Jessurun, J.; Boldt, M.D.; Parks, E.J. Sources of fatty acids stored in liver and secreted via lipoproteins in patients with nonalcoholic fatty liver disease. J. Clin. Investig. 2005, 115, 1343–1351. [Google Scholar] [CrossRef] [PubMed]
- Oleszczuk, A.; Spannbauer, M.; Tannapfel, A.; Blüher, M.; Hengstler, J.; Pietsch, U.-C.; Schuhmacher, A.; Wittekind, C.; Hauss, J.P.; Schön, M.R. Regenerative capacity differs between micro- and macrovesicular hepatic steatosis. Exp. Toxicol. Pathol. 2007, 59, 205–213. [Google Scholar] [CrossRef] [PubMed]
- Ellis, A.J.; Wendon, J.A.; Portmann, B.; Williams, R. Acute liver damage and ecstasy ingestion. Gut 1996, 38, 454–458. [Google Scholar] [CrossRef]
- Day, C.P.; James, O.F. Hepatic steatosis: Innocent bystander or guilty party? Hepatology 1998, 27, 1463–1466. [Google Scholar] [CrossRef] [PubMed]
- Takahashi, Y.; Inui, A.; Fujisawa, T.; Takikawa, H.; Fukusato, T. Histopathological characteristics of non-alcoholic fatty liver disease in children: Comparison with adult cases. Hepatol. Res. 2011, 41, 1066–1074. [Google Scholar] [CrossRef]
- Buzato, C.B.; Collares, C.; Arana, S.; Carvalho, C.P.F. Histologia do fígado, vias biliares e pâncreas. In Sistema Digestório: Integração Básico-Clínica; Oriá, R.B., Brito, G.A.C., Eds.; Editora Edgard Blucher Ltd.: São Paulo, Brazil, 2016; pp. 335–368. [Google Scholar]
- De Jesus, R.; Waitzberg, D.; Campos, F. Regeneração hepática: Papel dos fatores de crescimento e nutrientes. Rev. Assoc. Méd. Bras. 2000, 46, 242–254. [Google Scholar] [CrossRef] [PubMed][Green Version]
- Roquete, M.L.V. O Espessamento Ecogênico Periportal e a Histopatologia Hepática no Diagnóstico da Atresia Biliar. Ph.D. Thesis, Universidade Federal de Minas Gerais, Belo Horizonte, Brazil, 2006. [Google Scholar]
- Ferreira, A.R.; Queiroz, T.C.N.; Vidigal, P.V.T.; Ferreira, R.P.; Wanderley, D.C.; Fagundes, E.D.T. Histological evolution of fibrosis in patients with biliary atresia. J. Bras. Patol. Med. Lab. 2019, 55, 458–465. [Google Scholar] [CrossRef]
- Monrose, E.; Zamudio, A.R.; Aristide, A.; Navalurkar, R.; Bedekar, R.; Ferrara, L.; Kushner, T. 3555 Intrahepatic Cholestasis of Pregnancy (ICP) is associated with higher prevalence of NAFLD: A case-control study. J. Clin. Transl. Sci. 2019, 3, 148. [Google Scholar] [CrossRef][Green Version]
- Phillips, J.; Senaratne, S. Intrahepatic cholestasis of pregnancy: An under recognised complication of maternal NAFLD? J. Hepatol. 2021, 74, 751–752. [Google Scholar] [CrossRef] [PubMed]
- Andreollo, N.; Dos Santos, E.; Araújo, M.; Lopes, L. Rat’s age versus human’s age: What is the relationship? Arq. Bras. Cir. Dig. 2012, 25, 49–51. [Google Scholar] [CrossRef]
- Li, X.; Dong, D.; Hua, Y.; Chen, Y.; Kong, X.; Zhang, C. Soybean whey protein/chitosan complex behavior and selective recovery of kunitz trypsin inhibitor. J. Agric. Food Chem. 2014, 62, 7279–7286. [Google Scholar] [CrossRef] [PubMed]
- Zhao, Z.; Xiao, Q. Effect of chitosan on the heat stability of whey protein solution as a function of pH. J. Sci. Food Agric. 2017, 97, 1576–1581. [Google Scholar] [CrossRef] [PubMed]
- Bradford, M.M. A rapid and sensitive method for the quantitation of microgram quantities of protein utilizing the principle of protein-dye binding. Anal. Biochem. 1976, 72, 248–254. [Google Scholar] [CrossRef]
- Kakade, M.L.; Hoffa, D.E.; Liener, I.E. Contribution of Trypsin Inhibitors to the Deleterious Effects of Unheated Soybeans Fed to Rats. J. Nutr. 1973, 103, 1772–1778. [Google Scholar] [CrossRef] [PubMed]
- Laemmli, U.K. Cleavage of Structural Proteins during the Assembly of the Head of Bacteriophage T4. Nature 1970, 227, 680–685. [Google Scholar] [CrossRef]
- Oakley, B.R.; Kirsch, D.R.; Morris, N.R. A simplified ultrasensitive silver stain for detecting proteins in polyacrylamide gels. Anal. Biochem. 1980, 105, 361–363. [Google Scholar] [CrossRef]
- Luque-Alcaraz, A.; Lizardi-Mendoza, J.; Goycoolea, F.; Higuera-Ciapara, I.; Argüelles-Monal, W. Preparation of Chitosan Nanoparticles by Nanoprecipitation and Their Ability as a Drug Nanocarrier. RSC Adv. 2016, 6, 59250–59256. [Google Scholar] [CrossRef]
- Kumari, R.; Gupta, S.; Singh, A.R.; Ferosekhan, S.; Kothari, D.; Pal, A.K.; Jadhao, S.B. Chitosan Nanoencapsulated Exogenous Trypsin Biomimics Zymogen-Like Enzyme in Fish Gastrointestinal Tract. PLoS ONE 2013, 8, e74743. [Google Scholar] [CrossRef] [PubMed]
- Committee for the Update of the Guide for the Care and Use of Laboratory Animals. Guide for the Care and Use of Laboratory Animals, 8th ed.; Institute for Laboratory Animal Research, Division on Earth and Life Studies; The National Academies Press: Washington, DC, USA, 2011; pp. 1–220. Available online: https://shortest.link/ikN (accessed on 27 September 2020).
- Matthews, D.R.; Hosker, J.P.; Rudenski, A.S.; Naylor, B.A.; Treacher, D.F.; Turner, R.C. Homeostasis model assessment: Insulin resistance and beta-cell function from fasting plasma glucose and insulin concentrations in man. Diabetologia 1985, 28, 412–419. [Google Scholar] [CrossRef] [PubMed]
- Sterling, R.K.; Lissen, E.; Clumeck, N.; Sola, R.; Correa, M.C.; Montaner, J.; Sulkowski, M.S.; Torriani, F.J.; Dieterich, D.T.; Thomas, D.L.; et al. Development of a simple noninvasive index to predict significant fibrosis in patients with HIV/HCV coinfection. Hepatology 2006, 43, 1317–1325. [Google Scholar] [CrossRef] [PubMed]
- Wai, C.; Marrero, J.A.; Conjeevaram, H.S.; Lok, A.S.; Greenson, J.K.; Fontana, R.J.; Kalbfleisch, J.D. A simple noninvasive index can predict both significant fibrosis and cirrhosis in patients with chronic hepatitis C. Hepatology 2003, 38, 518–526. [Google Scholar] [CrossRef]
- Cochran, W.G. Sampling Technique, 2nd ed.; John Wiley and Sons Inc.: New York, NY, USA, 1963. [Google Scholar]




| Parameters | HGLI Diet + Water | Standard Diet + Water | HGLI Diet + ECW | HGLI Diet + CW |
|---|---|---|---|---|
| Hemoglobin (g/dL) | 13.34 (0.77) a | 12.94 (0.46) a | 13.56 (1.29) a | 14.73 (3.17) a |
| Hematocrit (%) | 39.62 (2.31) a | 39.14 (3.47) a | 32.90(15.61) a | 44.18 (9.52) a |
| Leukocyte total count (×103/µL) | 7.78 (0.57) a | 7.34 (0.97) a | 7.34 (0.69) a | 4.91 (1.06) b |
| Platelets (×105 /µL) | 2.45 (0.43) a | 3.95 (1.20) a | 4.38 (0.65) a | 4.23 (2.86) a |
| Fasting blood glucose (mg/dL) | 175.94 (21.07) a | 141.73 (2.81) b | 146.28 (7.44) b | 149.13 (6.97) b |
| Insulin (µU/mL) | 4.58 (0.64) a | 4.08 (0.55) a | 4.44 (0.45) a | 19.41 (1.64) b |
| HOMA-IR | 2.01 (0.49) a | 1.46 (0.25) a | 1.60 (0.15) a | 7.16 (0.90) b |
| HOMA-BETA | 14.80 (1.87) a | 18.00 (1,93) a | 19.39 (3.02) a | 81.30 (3.23) b |
| Total cholesterol (mg/dL) | 87.21 (17.68) a | 82.57 (5.57) a | 82.32 (6.22) a | 64.11 (6.63) b |
| HDL-c (mg/dL) | 30.20 (5.11) a | 32.86 (2,60) a | 36.72 (3.41) a | 22.83 (3.02) b |
| LDL-c (mg/dL) | 14.45 (5.15) a | 16.00 (1.13) a | 16.79 (0.90) a | 21.11 (7.93) a |
| VLDL-c (mg/dL) | 41.19 (21.83) a | 34.28 (5.91) a | 28.77 (9.00) a | 20.18 (7.14) a |
| Triglycerides (mg/dL) | 72.24 (25.76) a | 79.98 (5.67) a | 83.96 (4.51) a | 105.58 (39.66) a |
| Total protein (mg/dL) | 6.00 (0.46) a | 6.24 (0.33) a | 5.98 (0.60) a | 6.36 (0.32) a |
| Albumin (mg/dL) | 3.89 (0.23) a | 3.50 (0.43) a | 3.82 (0.26) a | 2.42 (0.26) b |
| Urea (mg/dL) | 26.47 (1.16) a | 25.64 (1.66) a | 26.48 (1.72) a | 36.34 (7.38) b |
| Creatinine (mg/dL) | 0.65 (0.10) a | 0.70 (0.10) a | 0.88 (0.19) a | 0.60 (0.22) a |
| AST (U/L) | 83.77 (25.75) a | 57.62(17.41) a,b | 51.16 (7.57) b | 72.05 (6.48) a,b |
| ALT (U/L) | 60.26 (32.90) a | 51.02 (14.73) a | 44.64(12.01) a | 54.78 (6.56) a |
| GGT (U/L) | 31.28 (6.16) a | 36.82 (5.97) a | 30.30(15.47) a | 22.50 (3.87) a |
| ALP (U/L) | 80.54 (13.44) a | 62.00 (9.53) b | 61.20(10.76) b | 60.35 (6.70) b |
| Parameters | Mean (SD) |
|---|---|
| Hemoglobin (g/dL) | 23.90 (15.70) |
| Hematocrit (%) | 39.80 (4.82) |
| Leukocyte total count (×103/µL) | 6.44 (0.66) |
| Platelets (×105/µL) | 3.41 (0.69) |
| Fasting blood glucose (mg/dL) | 88.80 (17.87) |
| Insulin (µU/mL) | 12.17 (0.73) |
| HOMA-IR | 2.67 (0.63) |
| HOMA-BETA | 47.44 (9.07) |
| Total cholesterol (mg/dL) | 112.00 (54.00) |
| HDL-c (mg/dL) | 23.40 (4.04) |
| LDL-c (mg/dL) | 22.76 (4.05) |
| VLDL-c (mg/dL) | 20.65 (5.59) |
| Triglycerides (mg/dL) | 100.18 (29.80) |
| Total protein (mg/dL) | 6.46 (0.42) |
| Albumin (mg/dL) | 2.30 (0.26) |
| Urea (mg/dL) | 32.20 (7.08) |
| Creatinine (mg/dL) | 0.80 (0.16) |
| AST (U/L) | 49.20 (11.90) |
| ALT (U/L) | 43.40 (6.11) |
| GGT (U/L) | 33.50 (3.38) |
| ALP (U/L) | 64.50 (6.59) |
Publisher’s Note: MDPI stays neutral with regard to jurisdictional claims in published maps and institutional affiliations. |
© 2021 by the authors. Licensee MDPI, Basel, Switzerland. This article is an open access article distributed under the terms and conditions of the Creative Commons Attribution (CC BY) license (https://creativecommons.org/licenses/by/4.0/).
Share and Cite
Aguiar, A.J.F.C.; de Queiroz, J.L.C.; Santos, P.P.A.; Camillo, C.S.; Serquiz, A.C.; Costa, I.S.; Oliveira, G.S.; Gomes, A.F.T.; Matias, L.L.R.; Costa, R.O.A.; et al. Beneficial Effects of Tamarind Trypsin Inhibitor in Chitosan–Whey Protein Nanoparticles on Hepatic Injury Induced High Glycemic Index Diet: A Preclinical Study. Int. J. Mol. Sci. 2021, 22, 9968. https://doi.org/10.3390/ijms22189968
Aguiar AJFC, de Queiroz JLC, Santos PPA, Camillo CS, Serquiz AC, Costa IS, Oliveira GS, Gomes AFT, Matias LLR, Costa ROA, et al. Beneficial Effects of Tamarind Trypsin Inhibitor in Chitosan–Whey Protein Nanoparticles on Hepatic Injury Induced High Glycemic Index Diet: A Preclinical Study. International Journal of Molecular Sciences. 2021; 22(18):9968. https://doi.org/10.3390/ijms22189968
Chicago/Turabian StyleAguiar, Ana J. F. C., Jaluza L. C. de Queiroz, Pedro P. A. Santos, Christina S. Camillo, Alexandre C. Serquiz, Izael S. Costa, Gerciane S. Oliveira, Ana F. T. Gomes, Lídia L. R. Matias, Rafael O. A. Costa, and et al. 2021. "Beneficial Effects of Tamarind Trypsin Inhibitor in Chitosan–Whey Protein Nanoparticles on Hepatic Injury Induced High Glycemic Index Diet: A Preclinical Study" International Journal of Molecular Sciences 22, no. 18: 9968. https://doi.org/10.3390/ijms22189968
APA StyleAguiar, A. J. F. C., de Queiroz, J. L. C., Santos, P. P. A., Camillo, C. S., Serquiz, A. C., Costa, I. S., Oliveira, G. S., Gomes, A. F. T., Matias, L. L. R., Costa, R. O. A., Passos, T. S., & Morais, A. H. A. (2021). Beneficial Effects of Tamarind Trypsin Inhibitor in Chitosan–Whey Protein Nanoparticles on Hepatic Injury Induced High Glycemic Index Diet: A Preclinical Study. International Journal of Molecular Sciences, 22(18), 9968. https://doi.org/10.3390/ijms22189968

