Elimination of Viroids from Tobacco Pollen Involves a Decrease in Propagation Rate and an Increase of the Degradation Processes
Abstract
1. Introduction
2. Results
2.1. Infectivity of AFCVd and CBCVd in N. tabacum
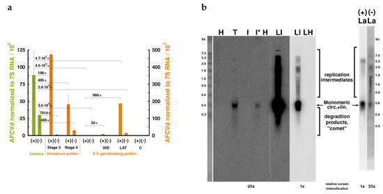
2.2. Viroid Elimination from N. tabacum Pollen
2.3. Low Viroid Levels in Pollen did not Cause Strong PATHOGENIC Symptoms Connected to Pollen Vitality
2.4. Viroid Degradation in Pollen
2.5. AFCVd-Specific Small RNAs in N. tabacum
- The number of (−) reads in transformed/infected samples is lower than in the non-transformed samples (compare panels f with a or h with b in Figure S5). Note that the transgene produces (+) AFCVd while (−) strands have to stem from replication.
 - Mutations are also present in transgenic pollen tubes; these have to be due to ongoing replication. Their positions, however, are more restricted (196U→C mostly in (+); 207U→A, 309A→C, and 309A→U in similar amounts in (+) and (−)) than in the corresponding leaves (at least 67G→U and 77G→A in addition to those in pollen tubes).
 - Vd-sRNAs with 5’C are less preferred in transformed/infected pollen tubes than in infected pollen.
 
2.6. Levels of Possible Factors Mediating the Degradation Processes of Viroids
2.7. The Model of Viroid Elimination Involving the Regulation of Translation Machinery in Pollen
3. Discussion
4. Materials and Methods
4.1. Plant Cultivation Conditions, Pollen Stages Collection and In Vitro Pollen Germination
4.2. Hop Viroid Strains, Viroid Inoculation and Detection by Dot-Blot
4.3. RNA Extraction and Purification, RT-PCR, Strand-Specific Viroid RT-qPCRs and mRNA Quantification by RT-qPCR
4.4. Northern Blot Analyses in Agarose and Acrylamide Gels and Molecular Hybridization
4.5. Molecular Cloning, Preparation of Plant Vectors, Plant Transformation and Transient Expression System
4.6. Bioinformatic Methods and RNA Profiling
4.7. Pollen Microscopy
4.8. Protein Extraction and Filter-Aided Sample Preparation
4.9. LC-MS/MS Analysis
5. Conclusions
Supplementary Materials
Author Contributions
Funding
Acknowledgments
Conflicts of Interest
References
- Honys, D.; Reňák, D.; Twell, D. Male gametophyte development and function. In Floriculture, Ornamental and Plant Biotechnology—Advances and Topical Issues; da Silva, J., Ed.; Global Science Books: Isleworth, UK, 2006; Volume I, pp. 76–87. [Google Scholar]
 - She, W.; Baroux, C. Chromatin dynamics during plant sexual reproduction. Front. Plant Sci. 2014, 5, 354. [Google Scholar] [CrossRef] [PubMed]
 - McCormick, S. Male gametophyte development. Plant Cell 1993, 5, 1265–1275. [Google Scholar] [CrossRef]
 - Hafidh, S.; Potěšil, D.; Fíla, J.; Čapková, V.; Zdráhal, Z.; Honys, D. Quantitative proteomics of the tobacco pollen tube secretome identifies novel pollen tube guidance proteins important for fertilization. Genome Biol. 2016, 17, 81. [Google Scholar] [CrossRef] [PubMed]
 - Slotkin, R.; Vaughn, M.; Borges, F.; Tanurdzić, M.; Becker, J.; Feijó, J.; Martienssen, R. Epigenetic reprogramming and small RNA silencing of transposable elements in pollen. Cell 2009, 136, 461–472. [Google Scholar] [CrossRef]
 - Martínez, G.; Panda, K.; Köhler, C.; Slotkin, R. Silencing in sperm cells is directed by RNA movement from the surrounding nurse cell. Nat. Plants 2016, 2, 16030. [Google Scholar] [CrossRef]
 - McCue, A.; Cresti, M.; Feijó, J.; Slotkin, R. Cytoplasmic connection of sperm cells to the pollen vegetative cell nucleus: Potential roles of the male germ unit revisited. J. Exp. Bot. 2011, 62, 1621–1631. [Google Scholar] [CrossRef]
 - Daròs, J.; Elena, S.; Flores, R. Viroids: An Ariadne’s thread into the RNA labyrinth. EMBO Rep. 2006, 7, 593–598. [Google Scholar] [CrossRef]
 - Ding, B. Viroids: Self-replicating, mobile, and fast-evolving noncoding regulatory RNAs. Wiley Interdiscip. Rev. RNA 2010, 1, 362–375. [Google Scholar] [CrossRef]
 - Hadidi, A.; Randles, J.; Flores, R.; Palukaitis, P. (Eds.) Viroids and Satellites; Academic Press: New York, NY, USA; Elsevier: Amsterdam, The Netherlands, 2017. [Google Scholar]
 - Schindler, I.M.; Mühlbach, H.P. Involvement of nuclear DNA-dependent RNA polymerases in potato spindle tuber viroid replication: A reevaluation. Plant Sci. 1992, 84, 221–229. [Google Scholar] [CrossRef]
 - Diener, T. Origin and evolution of viroids and viroid-like satellite RNAs. Virus Genes 1995, 11, 119–131. [Google Scholar] [CrossRef]
 - Flores, R.; Hernández, C.; Martínez de Alba, A.; Daròs, J.; Di Serio, F. Viroids and viroid-host interactions. Annu. Rev. Phytopathol. 2005, 43, 117–139. [Google Scholar] [CrossRef]
 - Fernow, K.; Peterson, L.; Plaisted, R. Spindle tuber virus in seeds and pollen of infected potato plants. Am. Potato J. 1970, 47, 75–80. [Google Scholar] [CrossRef]
 - Kryczyński, S.; Paduch-Cichal, E.; Skrzeczkowski, L. Transmission of three viroids through seed and pollen of tomato plants. J. Phytopathol. 1988, 121, 51–57. [Google Scholar] [CrossRef]
 - Hadidi, A.; Hansen, A.; Parish, C.; Yang, X. Scar skin and dapple apple viroids are seed-borne and persistent in infected apple trees. Res. Virol. 1991, 142, 289–296. [Google Scholar] [CrossRef]
 - Mink, G. Pollen and seed-transmitted viruses and viroids. Annu. Rev. Phytopathol. 1993, 31, 375–402. [Google Scholar] [CrossRef]
 - Pacumbaba, E.; Zelazny, B.; Orense, J.; Rillo, E. Evidence for pollen and seed transmission of the coconut cadang-cadang viroid in Cocos nucifera. J. Phytopathol. 1994, 142, 37–42. [Google Scholar] [CrossRef]
 - Wan Chow Wah, Y.; Symons, R. A high sensitivity RT-PCR assay for the diagnosis of grapevine viroids in field and tissue culture samples. J. Virol. Methods 1997, 63, 57–69. [Google Scholar] [CrossRef]
 - Card, S.; Pearson, M.; Clover, G. Plant pathogens transmitted by pollen. Australas. Plant Pathol. 2007, 36, 455–461. [Google Scholar] [CrossRef]
 - Matsushita, Y.; Tsuda, S. Distribution of Potato spindle tuber viroid in reproductive organs of petunia during its developmental stages. Phytopathology 2014, 104, 964–969. [Google Scholar] [CrossRef]
 - Van Bogaert, N.; De Jonghe, K.; Van Damme, E.; Maes, M.; Smagghe, G. Quantitation and localization of pospiviroids in aphids. J. Virol. Methods 2015, 211, 51–54. [Google Scholar] [CrossRef]
 - Faggioli, F.; Luigi, M.; Sveikauskas, V.; Olivier, T.; Marn, M.; Plesko, I.; De Jonghe, K.; Van Bogaert, N.; Grausgruber-Gröger, S. An assessment of the transmission rate of four pospiviroid species through tomato seeds. Eur. J. Plant Pathol. 2015, 143, 613–617. [Google Scholar] [CrossRef]
 - Matsushita, Y.; Yanagisawa, H.; Sano, T. Vertical and Horizontal Transmission of Pospiviroids. Viruses 2018, 10, 706. [Google Scholar] [CrossRef] [PubMed]
 - Yanagisawa, H.; Sano, T.; Hase, S.; Matsushita, Y. Influence of the terminal left domain on horizontal and vertical transmissions of tomato planta macho viroid and potato spindle tuber viroid through pollen. Virology 2018, 526, 22–31. [Google Scholar] [CrossRef] [PubMed]
 - Desjardins, P.; Drake, R.; Atkins, E.; Bergh, B. Pollen transmission of Avocado Sunblotch Virus experimentally demonstrated. Calif. Agric. 1979, 33, 14–15. [Google Scholar]
 - Singh, R.; Boucher, A. High incidence of transmission and occurrence of a viroid in commercial seeds of Coleus in Canada. Plant Dis. 1991, 75, 184–187. [Google Scholar] [CrossRef]
 - Singh, R.; Boucher, A.; Somerville, T. Detection of potato spindle tuber viroid in the pollen and various parts of potato plant pollinated with viroid-infected pollen. Plant Dis. 1992, 76, 951–953. [Google Scholar] [CrossRef]
 - Matoušek, J.; Orctová, L.; Ptáček, J.; Patzak, J.; Dědič, P.; Steger, G.; Riesner, D. Experimental transmission of pospiviroid populations to weed species characteristic of potato and hop fields. J. Virol. 2007, 81, 11891–11899. [Google Scholar] [CrossRef][Green Version]
 - Semancik, J. Citrus Exocortis Viroid. CMI/AAB Description of Plant Viruses. 1980, Volume 226, p. 4. Available online: http://www.dpvweb.net/dpv/showdpv.php?dpvno=226 (accessed on 23 April 2020).
 - Matoušek, J.; Orctová, L.; Škopek, J.; Pešina, K.; Steger, G. Elimination of hop latent viroid upon developmental activation of pollen nucleases. Biol. Chem. 2008, 389, 905–918. [Google Scholar] [CrossRef]
 - Sano, T.; Yoshida, H.; Goshono, M.; Monma, T.; Kawasaki, H.; Ishizaki, K. Characterization of a new viroid strain from hops: Evidence for viroid speciation by isolation in different host species. J. Gen. Plant Pathol. 2004, 70, 181–187. [Google Scholar] [CrossRef]
 - Matoušek, J.; Siglová, K.; Jakše, J.; Radišek, S.; Brass, J.; Tsushima, T.; Guček, T.; Duraisamy, G.; Sano, T.; Steger, G. Propagation and some physiological effects of Citrus Bark Crack. Viroid Apple Fruit Crinkle Viroid Mult. Infected Hop (Humulus Lupulus L.). J. Plant Physiol. 2017, 213. [Google Scholar] [CrossRef]
 - Tupý, J.; Süss, J.; Hrabětová, E.; Říhova, L. Developmental changes in gene expression during pollen differentiation and maturation in Nicotiana tabacum L. Biol. Plant. 1983, 25, 231. [Google Scholar] [CrossRef]
 - Katoh, K.; Toh, H. Improved accuracy of multiple ncRNA alignment by incorporating structural information into a MAFFT-based framework. BMC Bioinform. 2008, 9, 212. [Google Scholar] [CrossRef]
 - Wilm, A.; Linnenbrink, K.; Steger, G. ConStruct: Improved construction of RNA consensus structures. BMC Bioinform. 2008, 9, 219. [Google Scholar] [CrossRef]
 - Weinberg, Z.; Breaker, R. R2R—Software to speed the depiction of aesthetic consensus RNA secondary structures. BMC Bioinform. 2011, 12, 3. [Google Scholar] [CrossRef]
 - Mishra, A.; Duraisamy, G.; Matoušek, J.; Radisek, S.; Javornik, B.; Jakse, J. Identification and characterization of microRNAs in Humulus lupulus using high-throughput sequencing and their response to Citrus bark cracking viroid (CBCVd) infection. BMC Genomics 2016, 17, 919. [Google Scholar] [CrossRef]
 - Langmead, B.; Trapnell, C.; Pop, M.; Salzberg, S. Ultrafast and memory-efficient alignment of short DNA sequences to the human genome. Genome Biol. 2009, 10, R25. [Google Scholar] [CrossRef]
 - Katsarou, K.; Mavrothalassiti, E.; Dermauw, W.; Van Leeuwen, T.; Kalantidis, K. Combined activity of DCL2 and DCL3 is crucial in the defense against potato spindle tuber viroid. PLoS Pathog. 2016, 12, e1005936. [Google Scholar] [CrossRef]
 - Mi, S.; Cai, T.; Hu, Y.; Chen, Y.; Hodges, E.; Ni, F.; Wu, L.; Li, S.; Zhou, H.; Long, C.; et al. Sorting of small RNAs into Arabidopsis argonaute complexes is directed by the 5’ terminal nucleotide. Cell 2008, 133, 116–127. [Google Scholar] [CrossRef]
 - Minoia, S.; Carbonell, A.; Di Serio, F.; Gisel, A.; Carrington, J.; Navarro, B.; Flores, R. Specific argonautes selectively bind small RNAs derived from potato spindle tuber viroid and attenuate viroid accumulation in vivo. J. Virol. 2014, 88, 11933–11945. [Google Scholar] [CrossRef]
 - Honys, D.; Twell, D. Transcriptome analysis of haploid male gametophyte development in Arabidopsis. Genome Biol. 2004, 5, R85. [Google Scholar] [CrossRef]
 - Eiras, M.; Nohales, M.; Kitajima, E.; Flores, R.; Daròs, J. Ribosomal protein L5 and transcription factor IIIA from Arabidopsis thaliana bind in vitro specifically Potato spindle tuber viroid RNA. Arch. Virol. 2010, 156, 529–533. [Google Scholar] [CrossRef]
 - Wang, Y.; Qu, J.; Ji, S.; Wallace, A.; Wu, J.; Li, Y.; Gopalan, V.; Ding, B. A land plant-specific transcription factor directly enhances transcription of a pathogenic noncoding RNA template by DNA-dependent RNA polymerase II. Plant Cell 2016, 28, 1094–1107. [Google Scholar] [CrossRef]
 - Jiang, J.; Smith, H.; Ren, D.; Dissanayaka Mudiyanselage, S.; Dawe, A.; Wang, L.; Wang, Y. Potato spindle tuber viroid modulates its replication through a direct interaction with a splicing regulator. J. Virol. 2018, 92, e01004-18. [Google Scholar] [CrossRef]
 - Matoušek, J.; Kocábek, T.; Patzak, J.; Füssy, Z.; Procházková, J.; Heyerick, A. Combinatorial analysis of lupulin gland transcription factors from R2R3Myb, bHLH and WDR families indicates a complex regulation of chs_H1 genes essential for prenylflavonoid biosynthesis in hop (Humulus lupulus L.). BMC Plant Biol. 2012, 12, 27. [Google Scholar] [CrossRef]
 - Matoušek, J.; Kocábek, T.; Patzak, J.; Bříza, J.; Siglová, K.; Mishra, A.; Duraisamy, G.; Týcová, A.; Ono, E.; Krofta, K. The “putative” role of transcription factors from HlWRKY family in the regulation of the final steps of prenylflavonid and bitter acids biosynthesis in hop (Humulus lupulus L.). Plant Mol. Biol. 2016, 92, 263–277. [Google Scholar] [CrossRef]
 - Matoušek, J.; Patzak, J. A low transmissibility of hop latent viroid through a generative phase of Humulus lupulus L. Biol. Plant. 2000, 43, 145–148. [Google Scholar] [CrossRef]
 - Ganapathi, T.; Suprasanna, P.; Rao, P.; Bapat, V. Tobacco (Nicotiana tabacum L.)—A model system for tissue culture interventions and genetic engineering. Indian J. Biotech. 2004, 3, 171–184. Available online: http://nopr.niscair.res.in/handle/123456789/7722 (accessed on 23 April 2020).
 - Hafidh, S.; Fíla, J.; Honys, D. Male gametophyte development and function in angiosperms: A general concept. Plant Reprod. 2016, 29, 31–51. [Google Scholar] [CrossRef]
 - Yanagisawa, H.; Matsushita, Y. Differences in dynamics of horizontal transmission of Tomato planta macho viroid and Potato spindle tuber viroid after pollination with viroid-infected pollen. Virology 2018, 516, 258–264. [Google Scholar] [CrossRef]
 - Gas, M.; Molina-Serrano, D.; Hernández, C.; Flores, R.; Daròs, J. Monomeric linear RNA of citrus exocortis viroid resulting from processing in vivo has 5’-phosphomonoester and 3’-hydroxyl termini: Implications for the RNase and RNA ligase involved in replication. J. Virol. 2008, 82, 10321–10325. [Google Scholar] [CrossRef]
 - Nohales, M.Á.; Flores, R.; Darós, J. Viroid RNA redirects host DNA ligase 1 to act as an RNA ligase. Proc. Natl. Acad. Sci. USA 2012, 109, 13805–13810. [Google Scholar] [CrossRef]
 - Honys, D.; Čapková, V. Temporal changes in the RNA distribution between polysomes and postpolysomal ribonucleoprotein particles in tobacco male gametophyte. Biol. Plant. 2000, 43, 517–522. [Google Scholar] [CrossRef]
 - Fu, Y.; Bannach, O.; Chen, H.; Teune, J.H.; Schmitz, A.; Steger, G.; Xiong, L.; Barbazuk, W. Alternative splicing of anciently exonized 5S rRNA regulates plant transcription factor TFIIIA. Genome Res. 2009, 19, 913–921. [Google Scholar] [CrossRef] [PubMed]
 - Hammond, M.; Wachter, A.; Breaker, R. A plant 5S ribosomal RNA mimic regulates alternative splicing of transcription factor IIIA pre-mRNAs. Nat. Struct. Mol. Biol. 2009, 16, 541–549. [Google Scholar] [CrossRef] [PubMed]
 - Dissanayaka Mudiyanselage, S.; Qu, J.; Tian, N.; Jiang, J.; Wang, Y. Potato spindle tuber viroid RNA-templated transcription: Factors and regulation. Viruses 2018, 10, 503. [Google Scholar] [CrossRef]
 - Matoušek, J.; Trněná, L.; Svoboda, P.; Oriniaková, P.; Lichtenstein, C. The gradual reduction of viroid levels in hop mericlones following heat therapy: A possible role for a nuclease degrading dsRNA. Biol. Chem. 1995, 376, 715–721. [Google Scholar] [CrossRef]
 - Owens, R. Potato spindle tuber viroid: The simplicity paradox resolved? Mol. Plant Pathol. 2007, 8, 549–560. [Google Scholar] [CrossRef] [PubMed]
 - Minoia, S.; Navarro, B.; Delgado, S.; Di Serio, F.; Flores, R. Viroid RNA turnover: Characterization of the subgenomic RNAs of potato spindle tuber viroid accumulating in infected tissues provides insights into decay pathways operating in vivo. Nucleic Acids Res. 2015, 43, 2313–2325. [Google Scholar] [CrossRef]
 - Cotton, F.; Hazen, E.; Legg, M. Staphylococcal nuclease: Proposed mechanism of action based on structure of enzyme-thymidine 3’,5’-bisphosphate-calcium ion complex at 1.5-Å resolution. Proc. Natl. Acad. Sci. USA 1979, 76, 2551–2555. [Google Scholar] [CrossRef]
 - Gutierrez-Beltran, E.; Moschou, P.; Smertenko, A.; Bozhkov, P. Tudor staphylococcal nuclease links formation of stress granules and processing bodies with mRNA catabolism in Arabidopsis. Plant Cell 2015, 27, 926–943. [Google Scholar] [CrossRef]
 - Wilson, C. Plant nucleases: Biochemistry and development of multiple molecular forms. Isozymes Curr. Top. Biol. Med. Res. 1982, 6, 33–54. [Google Scholar] [PubMed]
 - Tupý, J.; Hrabětová, E.; Balatková, V. A simple rapid method of determining pollen tube growth in mass culture. Plant Sci. Lett. 1977, 9, 285–290. [Google Scholar] [CrossRef]
 - Matoušek, J.; Orctová, L.; Steger, G.; Škopek, J.; Moors, M.; Dědič, P.; Riesner, D. Analysis of thermal stress-mediated PSTVd variation and biolistic inoculation of progeny of viroid “thermomutants” to tomato and Brassica species. Virology 2004, 323, 67–78. [Google Scholar] [CrossRef] [PubMed]
 - Matoušek, J.; Schröder, A.; Trěná, L.; Reimers, M.; Baumstark, T.; Dědič, P.; Vlasak, J.; Becker, I.; Kreuzaler, F.; Fladung, M.; et al. Inhibition of viroid infection by antisense RNA expression in transgenic plants. Biol. Chem. Hoppe-Seyler 1994, 375, 765–777. [Google Scholar] [CrossRef] [PubMed]
 - eurofins Genomics. Available online: https://www.eurofinsgenomics.eu/ (accessed on 23 April 2020).
 - Pfaffl, M. A new mathematical model for relative quantification in real-time RT-PCR. Nucleic Acids Res. 2001, 29, e45. [Google Scholar] [CrossRef] [PubMed]
 - Matoušek, J.; Junker, V.; Vrba, L.; Schubert, J.; Patzak, J.; Steger, G. Molecular characterization and genome organization of 7 SL RNA genes from hop (Humulus lupulus L.). Gene 1999, 239, 173–183. [Google Scholar] [CrossRef]
 - Sol Genomics Network, Nicotiana tabacum Genome Data. Available online: https://solgenomics.net/organism/Nicotiana_tabacum/genome (accessed on 23 April 2020).
 - Edwards, K.; Fernandez-Pozo, N.; Drake-Stowe, K.; Humphry, M.; Evans, A.; Bombarely, A.; Allen, F.; Hurst, R.; White, B.; Kernodle, S.; et al. A reference genome for Nicotiana tabacum enables map-based cloning of homeologous loci implicated in nitrogen utilization efficiency. BMC Genomics 2017, 18, 448. [Google Scholar] [CrossRef]
 - Rivera-Bustamante, R.; Gin, R.; Semancik, J. Enhanced resolution of circular and linear molecular forms of viroid and viroid-like RNA by electrophoresis in a discontinuous-pH system. Anal. Biochem. 1986, 156, 91–95. [Google Scholar] [CrossRef]
 - Haseloff, J.; Siemering, K.; Prasher, D.; Hodge, S. Removal of a cryptic intron and subcellular localization of green fluorescent protein are required to mark transgenic Arabidopsis plants brightly. Proc. Natl. Acad. Sci. USA 1997, 94, 2122–2127. [Google Scholar] [CrossRef]
 - Töpfer, R.; Matzeit, V.; Gronenborn, B.; Schell, J.; Steinbiss, H. A set of plant expression vectors for transcriptional and translational fusions. Nucleic Acids Res. 1987, 15, 5890. [Google Scholar] [CrossRef]
 - Matoušek, J.; Kocábek, T.; Patzak, J.; Stehlík, J.; Füssy, Z.; Krofta, K.; Heyerick, A.; Roldán-Ruiz, I.; Maloukh, L.; De Keukeleire, D. Cloning and molecular analysis of HlbZip1 and HlbZip2 transcription factors putatively involved in the regulation of the lupulin metabolome in hop (Humulus lupulus L.). J. Agric. Food Chem. 2010, 58, 902–912. [Google Scholar] [CrossRef] [PubMed]
 - Gibalová, A.; Steinbachová, L.; Hafidh, S.; Bláhová, V.; Gadiou, Z.; Michailidis, C.; Müller, K.; Pleskot, R.; Dupl’áková, N.; Honys, D. Characterization of pollen-expressed bZIP protein interactions and the role of ATbZIP18 in the male gametophyte. Plant Reprod. 2016, 30, 1–17. [Google Scholar] [CrossRef] [PubMed]
 - Horsch, R.; Fry, J.; Hoffman, N.; Eichholtz, D.; Rogers, S.; Fraley, R. A simple and general method for transferring genes into plants. Science 1985, 227, 1229–1231. [Google Scholar] [CrossRef]
 - AFCVd-infected Nicotiana tabacum. Available online: http://www.ncbi.nlm.nih.gov/bioproject/610504 (accessed on 23 April 2020).
 - Bolger, A.; Lohse, M.; Usadel, B. Trimmomatic: A flexible trimmer for Illumina sequence data. Bioinformatics 2014, 30, 2114–2120. [Google Scholar] [CrossRef]
 - Graphics Layout Engine. Available online: http://glx.sourceforge.net/ (accessed on 23 April 2020).
 - Dupl’áková, N.; Dobrev, P.; Reňák, D.; Honys, D. Rapid separation of Arabidopsis male gametophyte developmental stages using a Percoll gradient. Nat. Protoc. 2016, 11, 1817–1832. [Google Scholar] [CrossRef]
 - Wiśniewski, J.; Zougman, A.; Nagaraj, N.; Mann, M. Universal sample preparation method for proteome analysis. Nat. Methods 2009, 6, 359–362. [Google Scholar] [CrossRef]
 - Wišniewski, J.; Ostasiewicz, P.; Mann, M. High recovery FASP applied to the proteomic analysis of microdissected formalin fixed paraffin embedded cancer tissues retrieves known colon cancer markers. J. Proteom. Res. 2011, 10, 3040–3049. [Google Scholar] [CrossRef]
 - Yeung, Y.; Stanley, E. Rapid detergent removal from peptide samples with ethyl acetate for mass spectrometry analysis. Curr. Protoc. Protein Sci. 2010, 16. [Google Scholar] [CrossRef]
 - The Global Proteome Machine, cRAP Protein Sequences. Available online: https://www.thegpm.org/crap/ (accessed on 23 April 2020).
 - Sol Genomics Network. Available online: ftp://ftp.solgenomics.net/genomes/Nicotiana_tabacum/edwards_et_al_2017/annotation/Nitab-v4.5_proteins_Edwards2017.fasta (accessed on 23 April 2020).
 - GitHub, OmicsWorkflows, KNIME_docker_vnc. Available online: https://github.com/OmicsWorkflows/KNIME_docker_vnc (accessed on 23 April 2020).
 








| Viroid | Inoculum | Inoculation Method | Number of Plants | |
|---|---|---|---|---|
| Inoculated | Infected | |||
| AFCVd | Crude RNA from N. benthamiana | Carborundum | 12 | 1 | 
| AFCVd | Full length genomic restriction fragments SalI | biolistic | 12 | 0 | 
| AFCVd | RNA (native viroid ) from N. benthamiana | biolistic | 12 | 9 | 
| CBCVd | Crude RNA from N. benthamiana | Carborundum | 12 | 0 | 
| CBCVd | Full length genomic restriction fragments SacI | biolistic | 12 | 0 | 
| CBCVd | RNA (native viroid ) from N. benthamiana | biolistic | 12 | 0 | 
| Parameters of Vitality | ||||
|---|---|---|---|---|
| Genotypes | Young Bicellular [% ± SD] | Aborted Pollen [% ± SD] | Mass of Pollen Tubes [mg ± SD] | Length of Pollen Tubes [μm ± SD] | 
| AFCVd-infected | n.d. | 2.45 ± 0.95 | 6.75 ± 0.71 | 1027 ± 362 | 
| Control | n.d. | 3.87 ± 0.85 | 6.13 ±1.21 | 877 ±386 | 
| 35S:AFCVd/infected | n.d. | 9.77 ± 3.28 | 9.05 ± 0.84 | 895 ± 257 | 
| Control | n.d. | 3.87 ± 0.85 | 6.95 ± 0.36 | 1084 ± 405 | 
| LAT52:AFCVd/infected | 2.51 ± 0.57 | 6.32 ± 1.34 | 8.27 ± 2.19 | 999 ± 328 | 
| Control | 2.05 ± 1.41 | 3.74 ± 1.15 | 10.52 ± 3.05 | 948 ± 300 | 
| 35S:CBCVd/infected | 1.17 ± 0.46 | 6.19 ± 2.05 | 6.30 ± 0.37 | 784 ± 273 | 
| Control | 0.94 ± 0.41 | 3.68 ± 1.40 | 7.07 ± 0.74 | 1040 ± 325 | 
© 2020 by the authors. Licensee MDPI, Basel, Switzerland. This article is an open access article distributed under the terms and conditions of the Creative Commons Attribution (CC BY) license (http://creativecommons.org/licenses/by/4.0/).
Share and Cite
Matoušek, J.; Steinbachová, L.; Drábková, L.Z.; Kocábek, T.; Potěšil, D.; Mishra, A.K.; Honys, D.; Steger, G. Elimination of Viroids from Tobacco Pollen Involves a Decrease in Propagation Rate and an Increase of the Degradation Processes. Int. J. Mol. Sci. 2020, 21, 3029. https://doi.org/10.3390/ijms21083029
Matoušek J, Steinbachová L, Drábková LZ, Kocábek T, Potěšil D, Mishra AK, Honys D, Steger G. Elimination of Viroids from Tobacco Pollen Involves a Decrease in Propagation Rate and an Increase of the Degradation Processes. International Journal of Molecular Sciences. 2020; 21(8):3029. https://doi.org/10.3390/ijms21083029
Chicago/Turabian StyleMatoušek, Jaroslav, Lenka Steinbachová, Lenka Záveská Drábková, Tomáš Kocábek, David Potěšil, Ajay Kumar Mishra, David Honys, and Gerhard Steger. 2020. "Elimination of Viroids from Tobacco Pollen Involves a Decrease in Propagation Rate and an Increase of the Degradation Processes" International Journal of Molecular Sciences 21, no. 8: 3029. https://doi.org/10.3390/ijms21083029
APA StyleMatoušek, J., Steinbachová, L., Drábková, L. Z., Kocábek, T., Potěšil, D., Mishra, A. K., Honys, D., & Steger, G. (2020). Elimination of Viroids from Tobacco Pollen Involves a Decrease in Propagation Rate and an Increase of the Degradation Processes. International Journal of Molecular Sciences, 21(8), 3029. https://doi.org/10.3390/ijms21083029
        
